Sign in to use this feature.

Years

Between: -

Subjects

remove_circle_outline
remove_circle_outline
remove_circle_outline
remove_circle_outline
remove_circle_outline
remove_circle_outline
remove_circle_outline
remove_circle_outline
remove_circle_outline

Journals

remove_circle_outline
remove_circle_outline
remove_circle_outline
remove_circle_outline
remove_circle_outline
remove_circle_outline
remove_circle_outline
remove_circle_outline
remove_circle_outline
remove_circle_outline
remove_circle_outline
remove_circle_outline
remove_circle_outline
remove_circle_outline

Article Types

Countries / Regions

remove_circle_outline
remove_circle_outline
remove_circle_outline
remove_circle_outline
remove_circle_outline

Search Results (974)

Search Parameters:
Keywords = novel object recognition

Order results
Result details
Results per page
Select all
Export citation of selected articles as:
15 pages, 3002 KB  
Article
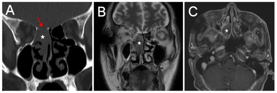
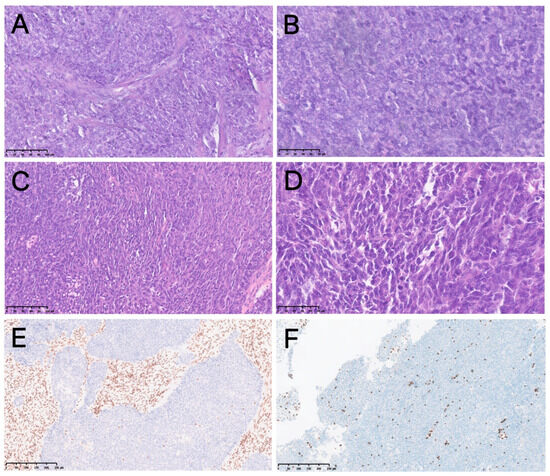
SWI/SNF-Deficient Sinonasal Carcinomas: A Retrospective Case Series of 17 Patients from a Single Institution
by Zijun Qiu, Aodeng Surita, Xiaowei Wang, Yingxian Qian, Zhenzhen Zhu and Wei Lv
J. Clin. Med. 2026, 15(8), 2939; https://doi.org/10.3390/jcm15082939 - 13 Apr 2026
Viewed by 269
Abstract
Objectives: We aimed to characterize the clinicopathologic features, treatment, and outcomes of three types of Switch/Sucrose Nonfermentable (SWI/SNF)-deficient sinonasal carcinomas (SDSCs), thereby expanding the spectrum of these rare entities and facilitating early diagnosis. Methods: We designed a retrospective single-center case series [...] Read more.
Objectives: We aimed to characterize the clinicopathologic features, treatment, and outcomes of three types of Switch/Sucrose Nonfermentable (SWI/SNF)-deficient sinonasal carcinomas (SDSCs), thereby expanding the spectrum of these rare entities and facilitating early diagnosis. Methods: We designed a retrospective single-center case series to analyze the clinicopathological features of 17 patients with SMARCB1-deficient sinonasal carcinoma (n = 10), SMARCA4-deficient carcinoma (n = 6) and SMARCA4-deficient sinonasal teratocarcinosarcoma (TCS) (n = 1) treated between 2018 and 2025, and reviewed the relevant literature. Results: The cohort included 14 males and 3 females, aged 26 to 69 years (mean, 47 years). SMARCB1-deficient sinonasal carcinomas predominantly involved the ethmoid sinus (6 of 8 patients), presenting epistaxis (7 of 10 patients), nasal obstruction (5 of 10 patients), and ocular symptoms (4 of 10 patients). SMARCA4-deficient sinonasal carcinomas mainly arose in the nasal cavity (3 of 4 patients), characterized by nasal obstruction (4 of 6 patients), and epistaxis or purulent rhinorrhea (4 of 6 patients); ocular symptoms were less common (2 of 6 patients). The TCS patient had left nasal cavity and ethmoid involvement with nasal obstruction and purulent rhinorrhea. Most patients presented with advanced-stage disease (T4a, n = 9), with skull base (n = 6), and orbital (n = 3) involvement. Histologically, immunohistochemical analysis confirmed complete SMARCB1 or SMARCA4 loss (complete in carcinomas and partial in TCS), diffuse CK positivity, and high Ki-67 indices. Treatment modalities included: chemotherapy and immunotherapy without surgery (n = 2), radical surgery with adjuvant chemoradiotherapy and immunotherapy (n = 2), radical surgery with chemoradiotherapy (n = 9), postoperative radiotherapy alone (n = 3), and non-radical surgery with chemoradiotherapy (n = 1). At a median follow-up of 19 months (range, 8–57 months), 2 patients were lost to follow-up, 3 died, 2 had persistent disease, and 10 remained disease-free. Conclusions: SDSC is an aggressive tumor with male predominance and advanced-stage presentation. Early recognition and appropriate immunohistochemical evaluation are essential for timely diagnosis and management. Prospective studies of novel targeted and immunotherapeutic strategies are warranted. Full article
(This article belongs to the Section Otolaryngology)
Show Figures

Figure 1

11 pages, 394 KB  
Review
Emerging Speech-in-Noise Tools for the Assessment of Hearing Loss: A Scoping Review
by Andrea Migliorelli, Marianna Manuelli, Chiara Visentin, Chiara Bianchini, Francesco Stomeo, Stefano Pelucchi, Nicola Prodi and Andrea Ciorba
Audiol. Res. 2026, 16(2), 57; https://doi.org/10.3390/audiolres16020057 - 11 Apr 2026
Viewed by 175
Abstract
Background/Objectives: The objective of this scoping review was to map and critically describe emerging speech-in-noise assessment tools developed over the last decade for the evaluation of hearing loss beyond conventional audiological measures. Methods: This review was conducted in accordance with the [...] Read more.
Background/Objectives: The objective of this scoping review was to map and critically describe emerging speech-in-noise assessment tools developed over the last decade for the evaluation of hearing loss beyond conventional audiological measures. Methods: This review was conducted in accordance with the Preferred Reporting Items for Systematic Reviews and Meta-Analyses extension for Scoping Reviews (PRISMA-ScR) guidelines. A comprehensive literature search was performed in the PubMed/MEDLINE, Scopus, and Embase databases. A comprehensive review of studies describing novel or emerging SIN-based assessment tools was conducted, with a particular emphasis on those including adult participants with normal hearing and hearing loss. Results: Nine studies met the inclusion criteria and were included in the review. The identified tools cover a range of methodological innovations, including advanced digits-in-noise paradigms, antiphasic and binaural presentation modes, optimized adaptive procedures, and digital or automated testing platforms. Several studies also incorporated artificial intelligence-based approaches, such as machine learning, text-to-speech, and automatic speech recognition, to enhance test development, administration, and hearing loss classification. Across all studies, SIN measures demonstrated the ability to reliably differentiate between normal hearing listeners and individuals with hearing loss and to provide complementary information beyond pure-tone audiometry. Conclusions: Emerging speech-in-noise tools show considerable potential to improve the functional assessment of hearing loss and to support more sensitive, accessible, and scalable approaches for hearing evaluation. Further research is required to assess their clinical integration and long-term impact on hearing screening and diagnostic pathways. Full article
Show Figures

Figure 1

20 pages, 2869 KB  
Article
Behavior and Musculoskeletal Effects of Chronic D-Galactose Treatment in Mice: Role of Heme Oxygenase-1
by Sally Wahba, Olufunto O. Badmus, Andrew R. Wasson, Elshymaa A. Abdel-Hakeem, Merhan Mamdouh Ragy, Hanaa Mohamad Ibrahim, Daniela Rüedi-Bettschen and David E. Stec
Biomolecules 2026, 16(4), 548; https://doi.org/10.3390/biom16040548 - 8 Apr 2026
Viewed by 416
Abstract
Chronic d-galactose (d-gal) treatment is a model to induce accelerated aging-like phenotypes in rodents. However, the sex differences in behavioral and musculoskeletal manifestations of this model are not well understood. Heme oxygenase-1 (HO-1) is a cytoprotective protein that may have anti-aging properties. The [...] Read more.
Chronic d-galactose (d-gal) treatment is a model to induce accelerated aging-like phenotypes in rodents. However, the sex differences in behavioral and musculoskeletal manifestations of this model are not well understood. Heme oxygenase-1 (HO-1) is a cytoprotective protein that may have anti-aging properties. The goal of this study was to better understand the sex differences in the behavioral and musculoskeletal effects of chronic d-gal treatment in C57BL/6J mice, as well as the role of HO-1 induction or inhibition. Eight-week-old male and female mice received daily saline or d-gal injections (500 mg/kg, s.c.) for 12 weeks. After this time, mice in the d-gal group were randomized into three groups (n = 6/group/sex): d-gal, d-gal + cobalt protoporphyrin (CoPP) (5 mg/kg, s.c. weekly), and d-gal + zinc deutroporphyrin bisglycol (ZnBG) (42 mg/kg, i.p. triweekly) for a period of 4 weeks. Open-field, novel-object recognition, Barnes maze, grip strength, micro-computed tomography (µ-CT), histology, and protein analysis were performed. Chronic d-gal treatment resulted in a sexual dimorphic response, with female mice being more prone to develop deficits in both short- and long-term spatial memory as well as in non-spatial memory. Male mice exhibited deficits only in long-term spatial memory when treated chronically with d-gal. Inhibition of HO-1 was protective in both females and males. Chronic d-gal treatment did not accelerate the development of osteoporosis or sarcopenia in either males or females. Our results demonstrate a sexual dimorphic response to the chronic effects of d-gal treatment on aging, with greater effects in females than in males, which is dependent on HO-1. Full article
Show Figures

Graphical abstract

27 pages, 621 KB  
Article
Decoding Emotional Reactions to Architectural Heritage: A Comparison of Styles
by Alexis-Raúl Garzón-Paredes and Marcelo Royo-Vela
Tour. Hosp. 2026, 7(4), 103; https://doi.org/10.3390/tourhosp7040103 - 7 Apr 2026
Viewed by 219
Abstract
Architectural heritage plays a central role in shaping visitors’ emotional experiences within cultural tourism contexts. However, empirical research examining how specific architectural styles evoke emotional responses remains limited, particularly when using objective measurement techniques. This study investigates emotional reactions to architectural heritage by [...] Read more.
Architectural heritage plays a central role in shaping visitors’ emotional experiences within cultural tourism contexts. However, empirical research examining how specific architectural styles evoke emotional responses remains limited, particularly when using objective measurement techniques. This study investigates emotional reactions to architectural heritage by applying the Stimulus–Organism–Response (SOR) theoretical framework. In this model, architectural styles act as environmental stimuli, emotional processing represents the organismic state, and the resulting emotional activation constitutes the response. An experimental protocol was conducted with a sample of 645 participants exposed to a series of standardized architectural heritage images representing different architectural styles and infrastructure types. Emotional reactions were captured in real time through facial emotion recognition technology, enabling the objective measurement of eight basic emotions: neutral, happiness, sadness, surprise, fear, disgust, anger, and contempt. The collected emotional data were statistically analyzed using Analysis of Variance (ANOVA) to identify significant differences in emotional responses across architectural styles, heritage typologies, and gender. When significant differences were detected, Tukey’s HSD post hoc tests were applied to determine specific group contrasts. The findings reveal that different architectural styles generate distinct emotional patterns, highlighting the role of architectural aesthetics as a powerful mediator of affective engagement with heritage environments. From a theoretical perspective, this research contributes to heritage tourism and environmental psychology by integrating the SOR framework with real-time emotion detection technologies, providing a novel methodological approach for analyzing emotional responses to architectural heritage. Full article
Show Figures

Figure 1

13 pages, 922 KB  
Article
Auditory Stimulation Rescues Cognitive Deficit in Fmr1-KO Mice
by Mohamed Ouardouz, Amanda E. Hernan, J. Matthew Mahoney and Rodney C. Scott
Brain Sci. 2026, 16(4), 380; https://doi.org/10.3390/brainsci16040380 - 30 Mar 2026
Viewed by 338
Abstract
Background/Objectives: Fragile X Syndrome (FXS) is a neurodevelopmental disorder caused by a triplet repeat expansion in the Fmr1 gene leading to the loss of Fragile X Messenger Ribonucleoprotein (Fmr1 protein). The loss of Fmr1 protein modulates many cell biological processes and leads [...] Read more.
Background/Objectives: Fragile X Syndrome (FXS) is a neurodevelopmental disorder caused by a triplet repeat expansion in the Fmr1 gene leading to the loss of Fragile X Messenger Ribonucleoprotein (Fmr1 protein). The loss of Fmr1 protein modulates many cell biological processes and leads to the emergence of intellectual disability and autism. FXS is modeled in Fmr1-KO mice that display features consistent with human FXS, including hypersensitivity, cognitive and learning deficits, hyperactivity and audiogenic seizures. Here, we investigated the effect of auditory stimulation during a range of developmental stages on recognition memory and sociability deficits in Fmr1-KO mice. Methods: Fmr1-KO mice were subjected to auditory stimulation for 2 min three times a day at one-hour intervals for 5 days at the nursing, juvenile and adult stages. The animals were tested for social interaction and novel object recognition at 2 to 3 months old. Results: During auditory stimulation, the wild running phenotype was observed in the Fmr1-KO juvenile animals and two animals at the nursing stage experienced status epilepticus and died. Fmr1-KO animals showed social deficits compared to both the control and animals exposed to auditory stimulation at the juvenile stage. In the novel object recognition task, auditory stimulation was more effective at the nursing and juvenile stages. Conclusions: These data show that auditory stimulation may be an effective way to restore cognitive and social deficits in FXS. Full article
(This article belongs to the Special Issue Rethinking Neurodevelopmental Disorders: Beyond One-Size-Fits-All)
Show Figures

Figure 1

31 pages, 6561 KB  
Article
Distinct and Overlapping Neuroprotective Efficacy of Silk Lutein and Sericin-Derived Oligopeptides from Yellow Silk Cocoons in Rodent Models of Aβ-Induced and Age-Related Cognitive Decline
by Pornnarin Taepavarapruk, Virakboth Prum and Manote Sutheerawattananonda
Int. J. Mol. Sci. 2026, 27(7), 2986; https://doi.org/10.3390/ijms27072986 - 25 Mar 2026
Viewed by 383
Abstract
Yellow silk cocoons of Bombyx mori provide two distinct bioactive classes: the carotenoid silk lutein (SL) and sericin-derived oligopeptides (SDOs). Their comparative efficacy and mechanisms in promoting cognitive health remain uncharacterized. This study compared the neuroprotective and cognitive-enhancing effects of SL and SDOs [...] Read more.
Yellow silk cocoons of Bombyx mori provide two distinct bioactive classes: the carotenoid silk lutein (SL) and sericin-derived oligopeptides (SDOs). Their comparative efficacy and mechanisms in promoting cognitive health remain uncharacterized. This study compared the neuroprotective and cognitive-enhancing effects of SL and SDOs through chronic oral administration in two rodent models: an amyloid-beta (Aβ25–35)-induced amnesia model in mice and a natural aging model in rats. Cognitive function was assessed using the Morris Water Maze (MWM) and Novel Object Recognition (NOR) tests, and underlying mechanisms were investigated via in vivo hippocampal long-term potentiation (LTP) and immunohistochemical analysis for apoptosis markers. Both SL and SDOs significantly ameliorated -induced deficits in recognition and spatial memory. Both substances enhanced spatial memory and LTP in old male rats in the natural aging paradigm, with efficacy comparable to that of donepezil (Don). This LTP-enhancing effect was sex-specific, being prominent in males but absent in aged females, although both sexes showed improved recognition memory. Critically, cognitive impairments in the model were not associated with significant neuronal apoptosis, and the protective effects appeared independent of anti-apoptotic pathways. In conclusion, SL and SDOs are potent cognitive-enhancing agents that mitigate memory deficits in acute neurotoxicity and chronic aging models. Their primary mechanism appears to be a robust enhancement of hippocampal synaptic plasticity rather than apoptosis prevention, positioning them as powerful synaptoprotective agents. These findings validate the potential to upcycle this agro-industrial byproduct into high-value nutraceuticals for promoting healthy brain aging. Full article
(This article belongs to the Section Molecular Pharmacology)
Show Figures

Figure 1

36 pages, 6193 KB  
Article
Preliminary Research on the Possibility of Automating the Identification of Pollen Grains in Melissopalynology Using AI, with Particular Emphasis on Computer Image Analysis Methods
by Kacper Litwińczyk, Michał Podralski, Paulina Skorynko, Ewa Malinowska, Zuzanna Czarnota, Beata Bąk and Artur Janowski
Sensors 2026, 26(7), 2043; https://doi.org/10.3390/s26072043 - 25 Mar 2026
Viewed by 461
Abstract
Melissopalynological analysis is essential for determining the botanical origin of honey, corbicular pollen and bee bread, as well as detecting adulteration. However, it traditionally relies on labor-intensive and subjective manual pollen identification. As a proof-of-concept preceding full honey analysis, this study evaluates artificial [...] Read more.
Melissopalynological analysis is essential for determining the botanical origin of honey, corbicular pollen and bee bread, as well as detecting adulteration. However, it traditionally relies on labor-intensive and subjective manual pollen identification. As a proof-of-concept preceding full honey analysis, this study evaluates artificial intelligence methods for automated pollen grain recognition under controlled conditions. Hazel (Corylus avellana L.) and dandelion (Taraxacum officinale F.H. Wigg.) were used as model taxa to validate the proposed approach before its application to real varietal honey samples. This study introduces a novel three-stage pipeline that decouples object detection from feature extraction, utilizing YOLOv12m for region-of-interest generation and, for the first time in melissopalynology, DINOv3 ConvNeXt-B for deep feature representation. Microscopic images acquired at 400× magnification yielded 2498 dandelion and 1941 hazel pollen grains. The detector achieved an mAP@0.5 of 0.936 with an F1 score of 0.88, while the classifier reached 98.1% accuracy with good class separability (Silhouette coefficient: 0.407). The primary technical contribution is the systematic optimization of the detection-to-classification interface. Context-aware bounding box expansion (12%) and an optimized IoU-NMS threshold (0.65) significantly improve the stability of morphological feature extraction, as confirmed by ablation studies. Computational cost reporting further supports reproducible, deployment-oriented comparison. The results confirm the feasibility of this AI-based framework as an intermediate step toward automated melissopalynological analysis, with future work focusing on standardized microscopy protocols and expanded pollen databases for varietal honey authentication. Full article
(This article belongs to the Special Issue Sensing and Machine Learning Control: Progress and Applications)
Show Figures

Figure 1

15 pages, 1999 KB  
Article
Potential Protective Effects of Naloxone in Traumatic Brain Injury Through JAK2/STAT3 Signaling Modulation
by Dong Hyuk Youn, Harry Jung, Ji Hyeon Lee, Seongwon Pak, Sung Woo Han, Jong-Tae Kim, Kang Song, Hae Ryong Choi, Gui Seung Han, Young-Suk Kwon, Jeong Jin Park, Jin Pyeong Jeon, Jae Jun Lee and Jong-Kook Rhim
Life 2026, 16(3), 480; https://doi.org/10.3390/life16030480 - 16 Mar 2026
Viewed by 480
Abstract
Background: We evaluated the potential neuroprotective effects of naloxone in moderate traumatic brain injury (TBI), focusing on its ability to alleviate neuroinflammation, reduce cognitive impairment, and to influence Janus tyrosine kinase 2 (JAK2)/signal transducer and activator of transcription 3 (STAT3) signaling markers. [...] Read more.
Background: We evaluated the potential neuroprotective effects of naloxone in moderate traumatic brain injury (TBI), focusing on its ability to alleviate neuroinflammation, reduce cognitive impairment, and to influence Janus tyrosine kinase 2 (JAK2)/signal transducer and activator of transcription 3 (STAT3) signaling markers. Methods: Male C57BL/6J mice were used to establish an in vivo model of moderate TBI using a stereotaxic impactor. Immediately post-injury, naloxone was administered intraperitoneally (1 mg/kg/day) for 7 days. A total of 72 mice were divided into four groups: Normal, normal with naloxone, TBI, and TBI with naloxone (18 mice in each group). Immunohistochemical analyses and cognitive functions were evaluated across the groups. Results: TBI mice treated with naloxone exhibited significantly reduced brain swelling and cortical tissue loss compared to untreated mice. Naloxone reduced Transforming growth factor beta 2 (TGF-β2) and increased interleukin 11 (IL-11) expression in the brain. Additionally, levels of JAK2, STAT3, and B-cell lymphoma 2 (Bcl-2) were significantly elevated following treatment, while expressions of Tumor protein p53 (p53), Caspase 3, Microtubule-associated proteins 1A/1B light chain 3B (LC3B), and Sequestosome 1 (p62) were reduced. Fluorescence intensities of ionized calcium binding adaptor molecule (Iba-1) and dichloro-dihydro-fluorescein diacetate (DCFH-DA) were enhanced, indicating decreased microglial activation and reactive oxygen species (ROS) production due to naloxone treatment. Cognitive function tests revealed improved performance in TBI mice treated with naloxone, demonstrated by decreased alteration rates in the Y-maze test and improved preference index scores in the novel object recognition (NOR) test. Conclusions: Naloxone shows potential for neuroprotection and enhanced cognitive performances, which may be associated with modulation of JAK2/STAT3 signaling in a mouse model of moderate TBI. Full article
Show Figures

Figure 1

19 pages, 4674 KB  
Article
Fluoxetine Repurposing Mitigates Alzheimer’s Disease Pathology via the GSK3β–CREB–ADAM10 Axis
by Soo-Ho Lee, Yeonghoon Son, Hyosun Jang, Hyun-Yong Kim, Kwang Seok Kim, Hyun-Shik Lee and Hae-June Lee
Int. J. Mol. Sci. 2026, 27(6), 2676; https://doi.org/10.3390/ijms27062676 - 14 Mar 2026
Viewed by 506
Abstract
Alzheimer’s disease (AD) is the most prevalent neurodegenerative disorder in the aging population. Drug repurposing provides a cost-effective strategy to identify novel therapeutics that may mitigate age-associated pathologies. Here, we report the therapeutic potential of fluoxetine, a selective serotonin reuptake inhibitor commonly used [...] Read more.
Alzheimer’s disease (AD) is the most prevalent neurodegenerative disorder in the aging population. Drug repurposing provides a cost-effective strategy to identify novel therapeutics that may mitigate age-associated pathologies. Here, we report the therapeutic potential of fluoxetine, a selective serotonin reuptake inhibitor commonly used as an antidepressant, in alleviating cognitive impairment and AD-like pathology in 5xFAD mice, a transgenic model of familial AD. Chronic fluoxetine administration significantly ameliorated anxiety-like behavior and cognitive deficits in 5xFAD mice, as assessed by open field, Y-maze, and novel object recognition tests. Fluoxetine treatment was associated with reduced amyloid plaque deposition in the hippocampus and cortex, attenuation of microglial activation, and decreased expression of inflammatory cytokines. At the molecular level, fluoxetine increased phosphorylation of GSK3β at Ser9, which was associated with enhanced CREB phosphorylation and upregulation of the α-secretase ADAM10. These effects were further examined in SH-SY5Y neuronal cells, where CREB phosphorylation and ADAM10 expression were significantly modulated by GSK3β inhibition, whereas CaMKII inhibition had no detectable effect under our experimental conditions. Our findings suggest that fluoxetine modulates amyloid-associated signaling pathways in the 5xFAD model, in part through regulation of the GSK3β-CREB signaling framework. These results provide mechanistic insight into how fluoxetine may influence APP processing in an amyloid-driven pathological context, although further studies are required to clarify its translational implications in human AD. Full article
Show Figures

Figure 1

28 pages, 5436 KB  
Article
Discovery of Novel Molecular Scaffolds to Overcome Pseudomonas aeruginosa Aminoglycoside Resistance: Insights for a Consensus Scoring Rational Design Approach
by Francesco Iesce, Jochem Nelen, Alejandro Rodríguez-Martínez, Carlos Martínez-Cortés, Cristina Minnelli, Giovanna Mobbili, Alessandra Di Gregorio, Carla Vignaroli, Horacio Pérez-Sánchez and Roberta Galeazzi
Int. J. Mol. Sci. 2026, 27(6), 2642; https://doi.org/10.3390/ijms27062642 - 13 Mar 2026
Viewed by 474
Abstract
The berberine derivative 13-(2-methylbenzyl)-berberine (BED) has been shown to inhibit the MexXY-OprM efflux system of Pseudomonas aeruginosa (PA), a key contributor to aminoglycoside resistance, by interacting with the inner membrane protein MexY at an allosteric pocket (ALP). To enhance binding efficacy, this study [...] Read more.
The berberine derivative 13-(2-methylbenzyl)-berberine (BED) has been shown to inhibit the MexXY-OprM efflux system of Pseudomonas aeruginosa (PA), a key contributor to aminoglycoside resistance, by interacting with the inner membrane protein MexY at an allosteric pocket (ALP). To enhance binding efficacy, this study aims to identify novel chemical scaffolds that target the MexY allosteric pocket through an integrated computational strategy. In this work, a ligand-based virtual screening (LBVS) approach was employed using a 2D/3D pharmacophore model derived from BED to perform in silico screening of an Enamine compound library, which encompasses a broad and diverse chemical space. A key objective was to compare the predictive performance of this pharmacophore-based workflow with a structure-based (SB) strategy incorporating molecular docking and molecular dynamics (MD) simulations. Notably, the top-ranked LBVS hits were consistently validated by docking and MD analyses, showing stable binding and interaction patterns comparable or superior to those of BED. This convergence between ligand-based (LB) and SB methods highlights the internal coherence of the workflow and supports the robustness of the pharmacophore hypothesis. The identified scaffolds generally displayed high hydrophobicity, consistent with the physicochemical nature of the binding site, but resulting in limited aqueous solubility and complicating their experimental evaluation. While these features confirm the importance of hydrophobic interactions in MexY recognition, with a particular focus on some few residues, such as Phe560, it also underscores the need for formulation strategies or rational scaffold modifications introducing moderate polarity without weakening key contacts. Overall, the integrated computational strategy not only yields promising lead chemical structures but also provides a solid basis for their future optimization, ultimately supporting the design of new efflux pump inhibitors (EPIs) capable of contributing to improved antibiotic susceptibility in multidrug-resistant PA strains. Full article
Show Figures

Figure 1

16 pages, 2568 KB  
Article
Microglial-Targeted GCPII Inhibition Reverses Neurocognitive Impairment and Synaptic Loss After EcoHIV Infection
by Yuxin Zheng, Meixiang Huang, R. Michael Maragakis, Peter Pietri, Yu Su, Jesse Alt, Lukáš Tenora, Wathsala Liyanage, Ying Wu, Mary-Anne Thomas, Rangaramanujam M. Kannan, Xiaolei Zhu, Rana Rais and Barbara S. Slusher
Cells 2026, 15(6), 502; https://doi.org/10.3390/cells15060502 - 12 Mar 2026
Viewed by 605
Abstract
HIV-associated neurocognitive impairment persists despite combination antiretroviral therapy, largely driven by chronic microglial activation that sustains neuroinflammation and neuronal injury. Activated microglia contribute to HIV-associated brain pathology by releasing proinflammatory mediators that disrupt synaptic integrity and impair cognition. N-acetylaspartylglutamate (NAAG), an abundant neuropeptide [...] Read more.
HIV-associated neurocognitive impairment persists despite combination antiretroviral therapy, largely driven by chronic microglial activation that sustains neuroinflammation and neuronal injury. Activated microglia contribute to HIV-associated brain pathology by releasing proinflammatory mediators that disrupt synaptic integrity and impair cognition. N-acetylaspartylglutamate (NAAG), an abundant neuropeptide that maintains glutamatergic homeostasis, is hydrolyzed by glutamate carboxypeptidase II (GCPII) to glutamate. We previously demonstrated that reduced brain and cerebrospinal fluid NAAG levels in people living with HIV correlate with cognitive impairment, and that pharmacological GCPII inhibition with 2-(phosphonomethyl)-pentanedioic acid (2-PMPA) elevates brain NAAG and improves cognition in EcoHIV-infected mice. To enhance brain delivery and preferentially target activated microglia, we conjugated 2-PMPA to a generation 4 hydroxyl poly(amidoamine) (PAMAM) dendrimer (D-2-PMPA). Our findings demonstrate that D-2-PMPA achieves preferential microglial drug delivery, resulting in a >600% increase in cerebrospinal fluid NAAG levels. At doses 8.3-fold lower than free 2-PMPA, this formulation reversed EcoHIV-induced deficits in social interaction, novel object recognition, and fear-conditioned memory without altering locomotor activity or anxiety-like behavior. D-2-PMPA also restored prefrontal cortex synaptic density and preserved dendritic architecture. Together, these findings demonstrate that microglia-targeted GCPII inhibition represents a potent nanotherapeutic strategy to restore synaptic integrity and cognitive function in HIV-associated neurocognitive impairment. Full article
Show Figures

Figure 1

23 pages, 4387 KB  
Article
Behavioral, Biochemical, and In Silico Evidence for Extraction-Dependent Neuroprotective Effects of Citrus limon Leaf Essential Oils in Scopolamine-Challenged Zebrafish
by Salwa Bouabdallah, Ahmed Kouki, Mona H. Ibrahim, Ion Brinza, Razvan Stefan Boiangiu, Mossadok Ben-Attia, Lucian Hritcu and Amr Amin
Pharmaceuticals 2026, 19(3), 458; https://doi.org/10.3390/ph19030458 - 11 Mar 2026
Viewed by 463
Abstract
Background/Objectives: Citrus limon leaf essential oil (EO) is traditionally used for its calming and cognitive-enhancing properties. Although the chemical composition of C. limon leaf essential oils (EOs) obtained by means of hydrodistillation (HD) and solvent-free microwave extraction (SFME) has been previously characterized, [...] Read more.
Background/Objectives: Citrus limon leaf essential oil (EO) is traditionally used for its calming and cognitive-enhancing properties. Although the chemical composition of C. limon leaf essential oils (EOs) obtained by means of hydrodistillation (HD) and solvent-free microwave extraction (SFME) has been previously characterized, the influence of the extraction method on their neuroprotective efficacy and dose–response effects remains insufficiently explored. In the present study, EOs obtained by means of HD (CEH) and SFME (CEM) were compared for their behavioral, biochemical, and in silico neuroprotective effects against scopolamine (SCOP)-induced cognitive and anxiety-like impairments in adult zebrafish. Methods: Adult Tübingen zebrafish were exposed to CEH or CEM via immersion at 10, 100, and 150 µL/L for 19 days prior to SCOP challenge (100 µM). Cognitive performance was evaluated using the Y-maze and novel object recognition (NOR) tests, while anxiety-like behavior was assessed using the novel tank test (NTT) and novel approach test (NAT). Brain acetylcholinesterase (AChE) activity and oxidative stress markers were quantified. Molecular docking analyses were conducted to investigate interactions between major EO constituents and AChE and monoamine oxidase A (MAO A). Results: Both CEH and CEM significantly attenuated SCOP-induced memory deficits, improved spontaneous alternation and NOR discrimination, and reduced anxiety-like behaviors. These effects were associated with AChE inhibition and restoration of redox balance. Notably, CEM generally exhibited stronger neurobehavioral and biochemical effects at comparable doses. In silico analyses supported these findings, revealing favorable binding affinities of key EO constituents toward cholinergic and monoaminergic targets. Conclusions: This study demonstrates that the extraction method influences the neuroprotective efficacy of C. limon leaf EOs. While both CEH and CEM exert antioxidant and cholinergic modulatory effects, CEM shows enhanced neuroprotective potential in a zebrafish model of SCOP-induced cognitive impairment, supporting the relevance of extraction-dependent biological profiling in EO-based neurotherapeutic research. Full article
Show Figures

Figure 1

22 pages, 20655 KB  
Article
Center Prior Guided Multi-Feature Fusion for Salient Object Detection in Metallurgical Furnace Images
by Lin Pan, Haisheng Zhong, Zhikun Qi, Xiaofang Chen and Denghui Wu
Appl. Sci. 2026, 16(6), 2668; https://doi.org/10.3390/app16062668 - 11 Mar 2026
Viewed by 208
Abstract
This paper proposes a novel salient object detection method for operational hole localization in metallurgical furnaces, addressing challenging industrial conditions including extreme illumination variations and strong electromagnetic interference to enable two-level measurement in aluminum electrolysis cells and impact position recognition of the front-of-furnace [...] Read more.
This paper proposes a novel salient object detection method for operational hole localization in metallurgical furnaces, addressing challenging industrial conditions including extreme illumination variations and strong electromagnetic interference to enable two-level measurement in aluminum electrolysis cells and impact position recognition of the front-of-furnace operation robot. It employs a multi-feature fusion framework combining foreground and background saliency maps with center prior maps. Foreground saliency maps are generated through spatial compactness and local contrast computations, enhancing discriminative features while suppressing shared foreground–background characteristics. Background saliency maps are constructed via sparse reconstruction to exploit redundant features. Then method integrates edge extraction and density clustering to generate center prior maps that emphasize foreground target centroids and mitigate background noise. Comprehensive evaluations on both a specialized operational hole dataset and six public datasets demonstrate superior performance compared to other methods. On the specialized dataset, it achieves a precision of 0.8954, a maximum F-measure of 0.8994, and an S-measure of 0.8662. While maintaining operational robustness, the method offers a practical solution for furnace monitoring and robotic operation guidance in metallurgical processes. Full article
(This article belongs to the Special Issue AI Applications in Modern Industrial Systems)
Show Figures

Figure 1

17 pages, 4059 KB  
Article
Improving Land Cover Classification Accuracy in Satellite Imagery Using Artistic Styles
by Taeyeon Won and Yang Dam Eo
Appl. Sci. 2026, 16(5), 2476; https://doi.org/10.3390/app16052476 - 4 Mar 2026
Viewed by 295
Abstract
This study addresses ambiguity in spatial extent and boundaries in satellite image classification to improve the accuracy of fine-grained object-based Level 2 land cover classification. Unlike conventional data augmentation, we propose a novel Style-Adaptive U-Net that incorporates the visual characteristics of landscape paintings [...] Read more.
This study addresses ambiguity in spatial extent and boundaries in satellite image classification to improve the accuracy of fine-grained object-based Level 2 land cover classification. Unlike conventional data augmentation, we propose a novel Style-Adaptive U-Net that incorporates the visual characteristics of landscape paintings into classification learning. Specifically, we developed a lightweight CNN-based Art Encoder coupled with an Enhanced Style Feature Fusion (ESFF) module to inject artistic features into the network’s feature representation. Based on visual features extracted from works by Egon Schiele, Van Gogh, Claude Monet, and Elyse Dodge, the model utilizes painting styles with distinct boundaries or strong textures to explicitly enhance the boundary recognition capability of objects. Experimental results demonstrate the efficiency and superiority of the proposed model. It achieves a peak Dice score of 0.7631, outperforming the baseline U-Net’s 0.6512, and maintains a manageable processing load with only a 19% increase in parameters. Our comparative analysis shows a distinct representational mechanism by demonstrating that styles with explicit structural features (Schiele, Dodge) improve boundary discrimination, whereas styles emphasizing blurred transitions (Monet) yield limited functional gain. This validates our premise that the network actively utilizes artistic features as functional structural guidance rather than mere aesthetic enhancements, offering an efficient paradigm for resolving geographic ambiguity. Full article
(This article belongs to the Special Issue Remote Sensing Image Processing and Application, 2nd Edition)
Show Figures

Figure 1

22 pages, 3733 KB  
Article
Gut–Brain Metabolic Remodeling Mediates the Neuroprotective Effects of Combined Shrimp and Corn Peptides in Scopolamine-Induced Cognitive Impairment
by Xiaomeng Xu, Ruowen Liu, Enhui Ma, Limin Zhong and Songyi Lin
Foods 2026, 15(5), 827; https://doi.org/10.3390/foods15050827 - 2 Mar 2026
Viewed by 482
Abstract
(1) Background: Bioactive peptides from marine and plant sources show neuroprotective potential, yet how their combination ratios affect memory regulation via the gut–brain axis remains unclear. This study investigated the effects of different ratios of marine peptide QMDDQ (Glutamine-Methionine-Aspartate-Aspartate-Glutamine) and plant peptide AGLPM [...] Read more.
(1) Background: Bioactive peptides from marine and plant sources show neuroprotective potential, yet how their combination ratios affect memory regulation via the gut–brain axis remains unclear. This study investigated the effects of different ratios of marine peptide QMDDQ (Glutamine-Methionine-Aspartate-Aspartate-Glutamine) and plant peptide AGLPM (Alanine-Glycine-Leucine-Proline-Methionine) on scopolamine-induced memory impairment in mice. (2) Methods: Cognitive function was assessed using the Morris water maze and novel object recognition tests. Nissl staining, microplate-based assays for acetylcholine (ACh) content and acetylcholinesterase (AChE) activity, Western blotting for neurotrophic factors, LC-MS/MS-based intestinal peptide profiling, and HPLC-based brain amino acid analysis were performed. (3) Results: The 1:1 ratio most effectively restored learning and memory, regulated hippocampal cholinergic function, mitigated neuronal damage, and elevated BDNF, NGF, and NTF-3 expression. In the gut, peptides were hydrolyzed into glutamate- and proline-rich fragments, which influenced brain amino acid balance by elevating glutamate and proline levels while reducing NH3-related signaling. (4) Conclusions: These results highlight the ratio-dependent efficacy of QMDDQ-AGLPM combinations and provide evidence for a gut peptide remodeling-brain metabolic link relevant to cognitive impairment. Full article
(This article belongs to the Section Nutraceuticals, Functional Foods, and Novel Foods)
Show Figures

Graphical abstract

Back to TopTop