Sign in to use this feature.

Years

Between: -

Subjects

remove_circle_outline
remove_circle_outline
remove_circle_outline
remove_circle_outline
remove_circle_outline
remove_circle_outline
remove_circle_outline
remove_circle_outline

Journals

remove_circle_outline
remove_circle_outline
remove_circle_outline
remove_circle_outline
remove_circle_outline
remove_circle_outline
remove_circle_outline
remove_circle_outline

Article Types

Countries / Regions

remove_circle_outline
remove_circle_outline
remove_circle_outline
remove_circle_outline

Search Results (154)

Search Parameters:
Keywords = non-resonant strength

Order results
Result details
Results per page
Select all
Export citation of selected articles as:
20 pages, 4925 KB  
Review
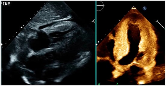
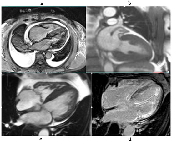
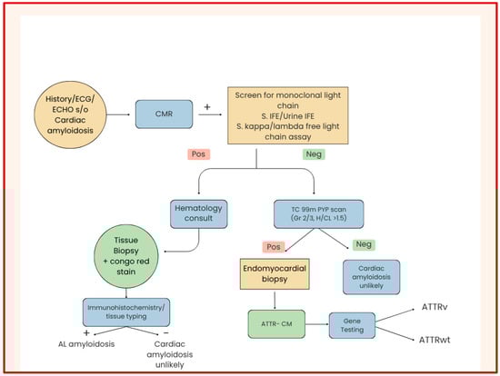
Multimodality Imaging in Cardiac Amyloidosis
by Mayuresh Chaudhari and Mahi Lakshmi Ashwath
J. Clin. Med. 2026, 15(1), 163; https://doi.org/10.3390/jcm15010163 (registering DOI) - 25 Dec 2025
Abstract
Cardiac amyloidosis is an underdiagnosed cause of heart failure characterized by extracellular deposition of misfolded proteins. Advances in non-invasive imaging, including echocardiography, cardiac magnetic resonance imaging (CMR), and radionuclide imaging, have significantly enhanced the diagnostic accuracy and monitoring of cardiac amyloidosis. This review [...] Read more.
Cardiac amyloidosis is an underdiagnosed cause of heart failure characterized by extracellular deposition of misfolded proteins. Advances in non-invasive imaging, including echocardiography, cardiac magnetic resonance imaging (CMR), and radionuclide imaging, have significantly enhanced the diagnostic accuracy and monitoring of cardiac amyloidosis. This review explores the role of each modality, their individual strengths, and current consensus recommendations. Emphasis is placed on the integration of multimodal imaging to guide diagnosis, prognosis, and therapeutic decisions in both AL and ATTR amyloidosis. Full article
(This article belongs to the Section Cardiology)
Show Figures

Figure 1

15 pages, 3223 KB  
Article
First Clinical Description of Coagulation of Whole Blood with Resonant Acoustic Rheometry
by Connor M. Bunch, Weiping Li, Kiera Downey, Timothy L. Hall, Allen Chehimi, Samuel J. Thomas, Afsheen Mansoori, Miguel Velasco, Marie N. Karam, Jenny Chen, Jacob Tuttle, Matthew R. Walsh, Scott G. Thomas, Mark M. Walsh, Joseph B. Miller, Jan P. Stegemann and Cheri X. Deng
Diagnostics 2026, 16(1), 47; https://doi.org/10.3390/diagnostics16010047 - 23 Dec 2025
Viewed by 5
Abstract
Background/Objectives: The timely evaluation of blood clot formation and breakdown is essential in the care of patients with severe bleeding or critical illness. Resonant acoustic rheometry is a novel, non-contact ultrasound method that measures changes in the viscoelastic properties of blood in [...] Read more.
Background/Objectives: The timely evaluation of blood clot formation and breakdown is essential in the care of patients with severe bleeding or critical illness. Resonant acoustic rheometry is a novel, non-contact ultrasound method that measures changes in the viscoelastic properties of blood in a standard microplate format. Here, we present the first clinical description of whole blood coagulation and fibrinolysis assessed with resonant acoustic rheometry, with paired thromboelastography measurements for comparison. Methods: In this retrospective analysis, whole blood samples from three critically ill patients were divided and tested under four different conditions that included a control mixture, kaolin activation, tissue factor activation, and a tissue factor mixture supplemented with tissue plasminogen activator. The resonant acoustic rheometry system obtained real time measurements of resonant surface waves and displacements from the samples. Heat maps and spectrograms of the resonant surface waves were analyzed to determine the onset of clotting, the rate of viscoelastic stiffening, the time to maximum rigidity, and the onset as well as magnitude of fibrinolysis. These measurements were compared with thromboelastography reaction time, clot strength, fibrinogen contribution, and lysis values. Results: Resonant acoustic rheometry detected reproducible transitions from liquid to clot and from clot to lysis in all samples. Activator-dependent changes in clot initiation and propagation matched the expected hierarchy observed in thromboelastography. Significantly, samples exposed to tissue plasminogen activator demonstrated a clear fall in resonant frequency and a corresponding rise in surface displacement that reflected fibrinolysis. The technique also reproduced clinically meaningful patterns of hemostasis that aligned with each patient’s underlying disease. Conclusions: Whole blood clotting can be measured with resonant acoustic rheometry in a manner that aligns with established clinical assays. These results suggest strong potential for future use of resonant acoustic rheometry as a cost-effective, complementary platform for rapid, scalable, and clinically informative hemostatic assessment. Full article
Show Figures

Figure 1

24 pages, 13852 KB  
Article
Ternary Interactions of Starch, Protein, and Polyphenols in Constructing Composite Thermoplastic Starch-Based Edible Packaging: Optimization of Preparation Techniques and Investigation of Film-Formation Mechanisms
by Anna Wang, Jingyuan Zhang and Ligen Wu
Foods 2026, 15(1), 36; https://doi.org/10.3390/foods15010036 - 22 Dec 2025
Viewed by 76
Abstract
Biodegradable starch-based films often suffer from insufficient mechanical strength, which limits their practical applications. To enhance film performance, this study optimized the preparation of composite thermoplastic starch (CTPS) films composed of corn starch, sorbitol, whey protein isolate (WPI), and gallic acid (GA). The [...] Read more.
Biodegradable starch-based films often suffer from insufficient mechanical strength, which limits their practical applications. To enhance film performance, this study optimized the preparation of composite thermoplastic starch (CTPS) films composed of corn starch, sorbitol, whey protein isolate (WPI), and gallic acid (GA). The optimized formulation—0.074 g/mL corn starch, 47.5% sorbitol, 5.6% WPI, and 2.0 mg/mL GA—yielded films with a tensile strength of 3.11 ± 0.31 MPa and an elongation at break of 43.35 ± 0.69%, achieving a desirable balance between flexibility and strength. Mechanistic investigations using in situ Fourier-transform infrared spectroscopy (FTIR), low-field nuclear magnetic resonance (LF-NMR), confocal laser scanning microscopy (CLSM), and molecular docking revealed a ternary interaction system among starch, WPI, and GA. These components primarily interacted through hydrogen bonding and van der Waals forces. Such non-covalent interactions enhanced the short-range molecular ordering of the starch matrix, stabilized the secondary structure of WPI, and facilitated water redistribution during film formation. The resulting interaction network among starch, proteins, and polyphenols significantly improved the mechanical properties and antioxidant capacity of the CTPS films. Full article
(This article belongs to the Special Issue Using Biodegradable Films and Coatings for Food Packaging Materials)
Show Figures

Figure 1

14 pages, 4136 KB  
Article
Tuning Surface-Enhanced Raman Scattering (SERS) via Filling Fraction and Period in Gold-Coated Bullseye Gratings
by Ziqi Li, Yaming Cheng, Carlos Fernandes, Xiaolu Wang and Harry E. Ruda
Nanomaterials 2025, 15(24), 1863; https://doi.org/10.3390/nano15241863 - 11 Dec 2025
Viewed by 249
Abstract
Surface-enhanced Raman scattering (SERS) is a highly sensitive analytical technique capable of single-molecule detection, yet its performance strongly depends on the underlying plasmonic architecture. In this study, we developed a robust SERS platform based on long-range–ordered bullseye plasmonic nano-gratings with tunable period and [...] Read more.
Surface-enhanced Raman scattering (SERS) is a highly sensitive analytical technique capable of single-molecule detection, yet its performance strongly depends on the underlying plasmonic architecture. In this study, we developed a robust SERS platform based on long-range–ordered bullseye plasmonic nano-gratings with tunable period and filling fraction, fabricated via electron beam lithography and reactive ion etching and uniformly coated with a thin gold film. These concentric nanostructures support efficient surface plasmon resonance and radial SPP focusing, enabling intense electromagnetic field enhancement across the substrate. Using this platform, we achieved quantitative detection of Rhodamine 6G with enhancement factors of 105. Notably, our results reveal a previously unrecognized mechanistic insight: the geometric configuration producing the strongest local electric fields does not yield the highest SERS enhancement, due to misalignment between the dominant field orientation and the molecular polarizability tensor. This finding explains the non-monotonic dependence of SERS performance on grating geometry and introduces a new design principle in which both field strength and field–molecule alignment must be co-optimized. Overall, this work provides a mechanistic framework for rationally engineering plasmonic substrates for sensitive and quantitative molecular detection. Full article
(This article belongs to the Section Nanophotonics Materials and Devices)
Show Figures

Graphical abstract

31 pages, 4075 KB  
Article
Oxidative Dissolution Effects on Shale Pore Structure, Mechanical Properties, and Gel-Breaking Performance
by Jingyang Chen, Liangbin Dou, Tao Li, Yanjun Zhang, Kelong Deng, Xuebin Cheng, Zhifa Kang, Ruxu Wang and Yang Shi
Gels 2025, 11(12), 982; https://doi.org/10.3390/gels11120982 - 7 Dec 2025
Viewed by 177
Abstract
Shale reservoirs contain abundant organic matter, pyrite, and clay minerals, making them highly susceptible to fluid-sensitivity damage; consequently, conventional hydraulic fracturing often yields poor stimulation performance, with low fracturing fluid flowback and rapid post-treatment production decline. Oxidative dissolution, however, can significantly alter the [...] Read more.
Shale reservoirs contain abundant organic matter, pyrite, and clay minerals, making them highly susceptible to fluid-sensitivity damage; consequently, conventional hydraulic fracturing often yields poor stimulation performance, with low fracturing fluid flowback and rapid post-treatment production decline. Oxidative dissolution, however, can significantly alter the physical properties of shale reservoirs and improve stimulation effectiveness. In this study, nuclear magnetic resonance (NMR), contact-angle measurements, and triaxial compression tests are combined to systematically evaluate the effects of oxidative dissolution on the pore structure, wettability, and mechanical properties of Wufeng Formation shale from the Sichuan Basin. Core-flooding experiments with NaClO solutions show that, as the oxidant dosage (pore volume) increases, shale permeability rises by 66.67–266.67% and porosity by 1.79–9.58%, while the hydrophilic surface fraction increases from 5.45% to 61.73%. These changes are accompanied by a steady reduction in rock strength: the compressive strength decreases by up to 57.8%, and the elastic modulus exhibits a non-monotonic response to oxidation. Oxidative dissolution preferentially enlarges micropores, improves pore connectivity, and strengthens water wetness by consuming oil-wet organic matter and pyrite, which also enhances gel-breaking efficiency. Based on the experimental results, a series of characterization models are developed for oxidized shale reservoirs, including quantitative relationships linking porosity to compressive strength, elastic modulus, and contact angle, as well as a model relating oxidant dosage to microscopic pore structure evolution and imbibition enhancement. Overall, the coupled modifications of pore structure, wettability, and mechanical behavior produced by oxidative dissolution synergistically broaden the effective action range of fracturing fluids, promote shale gas desorption, and improve hydrocarbon seepage, providing a theoretical basis and practical guidance for oxidation-assisted stimulation in shale reservoirs. Full article
(This article belongs to the Section Gel Applications)
Show Figures

Figure 1

23 pages, 3088 KB  
Article
Influence of Perforation on Elastic Modulus and Shear Modulus of Lightweight Thin-Walled Cylindrical Shells
by Inga Lasenko, Viktors Mironovs, Pavel Akishin, Marija Osipova, Anastasija Sirotkina and Andris Skromulis
Metals 2025, 15(11), 1263; https://doi.org/10.3390/met15111263 - 19 Nov 2025
Viewed by 397
Abstract
Perforated cylindrical shaped metal plates are used with high efficiency in the manufacture of deflectors, components of cooling systems, wind tunnels, climatic chambers, filters, and cylindrical implants. This is particularly important for lightweight cylindrical structures, where even minor changes in stiffness can affect [...] Read more.
Perforated cylindrical shaped metal plates are used with high efficiency in the manufacture of deflectors, components of cooling systems, wind tunnels, climatic chambers, filters, and cylindrical implants. This is particularly important for lightweight cylindrical structures, where even minor changes in stiffness can affect structural strength. One of the most important parameters determining the mechanical behavior of such structures is the effective elastic modulus of the perforated element which characterizes its resistance to deformation. The research involves plates made of stainless steel 304 alloy, where perforations were created using the laser-cutting method. The cylindrical shape of the samples with height 50 mm, thickness 1 mm, and diameter 48 mm of each specimen was obtained using metal rolling and welding techniques. To determine the effective elastic modulus, a non-destructive material property evaluation method was applied by solving an inverse problem. In this research, resonance frequencies were determined using a laser vibrometer and a full factorial experimental plan was developed. Physical samples were digitized into 3D models using 3D scanning technology. To evaluate the accuracy of the applied finite element numerical model, its convergence analysis was performed. Numerical results were approximated using the least-squares method, while the effective elastic modulus was calculated by formulating and minimizing the error functional between experimental and numerical eigenfrequencies. The results indicate that increasing the relative perforation area from 0% to 50.24% leads to a decrease in the effective elastic modulus from 184.76 GPa to 50.69 GPa, confirming that increasing the perforation area in a stainless steel 304 cylinder reduces its elastic properties. The observed reduction in resonance frequencies and elastic properties is primarily due to the stiffness decrease caused by the higher perforation volume. Full article
Show Figures

Graphical abstract

30 pages, 10173 KB  
Article
Sensitivity Evaluation of a Dual-Finger Metamaterial Biosensor for Non-Invasive Glycemia Tracking on Multiple Substrates
by Esraa Mansour, Mohamed I. Ahmed, Ahmed Allam, Ramesh K. Pokharel and Adel B. Abdel-Rahman
Sensors 2025, 25(22), 7034; https://doi.org/10.3390/s25227034 - 18 Nov 2025
Viewed by 587
Abstract
Accurate, non-invasive glucose monitoring remains a major challenge in biomedical sensing. We present a high-sensitivity planar microwave biosensor that progresses from a 2-cell hexagonal array to an 8-cell hexagonal array, and finally to a 16-cell double-honeycomb (DHC-CSRR) architecture to enhance field confinement and [...] Read more.
Accurate, non-invasive glucose monitoring remains a major challenge in biomedical sensing. We present a high-sensitivity planar microwave biosensor that progresses from a 2-cell hexagonal array to an 8-cell hexagonal array, and finally to a 16-cell double-honeycomb (DHC-CSRR) architecture to enhance field confinement and resonance strength. Full-wave simulations using Debye-modeled glucose phantoms demonstrate that the optimized 16-cell array on a Rogers RO3210 substrate substantially increases the electric field intensity and transmission response |S21| sensitivity compared with FR-4 and previous multi-CSRR designs. In vitro measurements using pharmacy-grade glucose solutions (5–25%) and saline mixtures with added glucose, delivered through an acrylic channel aligned to the sensing region, confirm the simulated trends. In vivo, vector network analyzer (VNA) tests were conducted on four human subjects (60–150 mg/dL), comparing single- and dual-finger placements. The FR-4 substrate (εr = 4.4) provided higher frequency sensitivity (2.005 MHz/(mg/dL)), whereas the Rogers RO3210 substrate (εr = 10.2) achieved greater amplitude sensitivity (9.35 × 10−2 dB/(mg/dL)); dual-finger contact outperformed single-finger placement for both substrates. Repeated intra-day VNA measurements yielded narrow 95% confidence intervals on |S21|, with an overall uncertainty of approximately ±0.5 dB across the tested glucose levels. Motivated by the larger |S21| response on Rogers, we adopted amplitude resolution as the primary metric and built a compact prototype using the AD8302-EVALZ with a custom 3D-printed enclosure to enhance measurement precision. In a cohort of 31 participants, capillary blood glucose was obtained using a commercial glucometer, after which two fingers were placed on the sensing region; quadratic voltage-to-glucose calibration yielded R2 = 0.980, root–mean–square error (RMSE) = 2.316 mg/dL, overall accuracy = 97.833%, and local sensitivity = 1.099 mg/dL per mV, with anthropometric variables (weight, height, age) showing no meaningful correlation. Clarke Error Grid Analysis placed 100% of paired measurements in Zone A, indicating clinically acceptable agreement with the reference meter. Benchmarking against commercial continuous glucose monitoring systems highlights substrate selection as a dominant lever for amplitude sensitivity and positions the proposed fully non-invasive, consumable-free architecture as a promising route toward portable RF-based glucose monitors, while underscoring the need for larger cohorts, implementation on flexible biocompatible substrates, and future regulatory pathways. Full article
(This article belongs to the Section Biomedical Sensors)
Show Figures

Figure 1

19 pages, 2384 KB  
Article
Non-Invasive Regional Neurochemical Profiling of Zebrafish Brain Using Localized Magnetic Resonance Spectroscopy at 28.2 T
by Rico Singer, Wanbin Hu, Li Liu, Huub J. M. de Groot, Herman P. Spaink and A. Alia
Molecules 2025, 30(21), 4320; https://doi.org/10.3390/molecules30214320 - 6 Nov 2025
Viewed by 597
Abstract
Localized 1H magnetic resonance spectroscopy (MRS) is a powerful tool in pre-clinical and clinical neurological research, offering non-invasive insight into neurochemical composition in localized brain regions. Zebrafish (Danio rerio) are increasingly being utilized as models in neurological disorder research, providing [...] Read more.
Localized 1H magnetic resonance spectroscopy (MRS) is a powerful tool in pre-clinical and clinical neurological research, offering non-invasive insight into neurochemical composition in localized brain regions. Zebrafish (Danio rerio) are increasingly being utilized as models in neurological disorder research, providing valuable insights into disease mechanisms. However, the small size of the zebrafish brain and limited MRS sensitivity at low magnetic fields hinder comprehensive neurochemical analysis of localized brain regions. Here, we investigate the potential of ultra-high-field (UHF) MR systems, particularly 28.2 T, for this purpose. This present study pioneers the application of localized 1H spectroscopy in zebrafish brain at 28.2 T. Point resolved spectroscopy (PRESS) sequence parameters were optimized to reduce the impact of chemical shift displacement error and to enable molecular level information from distinct brain regions. Optimized parameters included gradient strength, excitation frequency, echo time, and voxel volume specifically targeting the 0–4.5 ppm chemical shift regions. Exceptionally high-resolution cerebral metabolite spectra were successfully acquired from localized regions of the zebrafish brain in voxels as small as 125 nL, allowing for the identification and quantification of major brain metabolites with remarkable spectral clarity, including lactate, myo-inositol, creatine, alanine, glutamate, glutamine, choline (phosphocholine + glycerol-phospho-choline), taurine, aspartate, N-acetylaspartyl-glutamate (NAAG), N-acetylaspartate (NAA), and γ-aminobutyric acid (GABA). The unprecedented spatial resolution achieved in a small model organism enabled detailed comparisons of the neurochemical composition across distinct zebrafish brain regions, including the forebrain, midbrain, and hindbrain. This level of precision opens exciting new opportunities to investigate how specific diseases in zebrafish models influence the neurochemical composition of specific brain areas. Full article
(This article belongs to the Section Analytical Chemistry)
Show Figures

Figure 1

16 pages, 875 KB  
Review
Preoperative Assessment of Surgical Resectability in Ovarian Cancer Using Ultrasound: A Narrative Review Based on the ISAAC Trial
by Juan Luis Alcázar, Cristian Morales, Carolina Venturo, Florencia de la Maza, Laura Lucio, Manuel Lozano, José Carlos Vilches, Rodrigo Orozco and Manuela Ludovisi
Onco 2025, 5(4), 46; https://doi.org/10.3390/onco5040046 - 16 Oct 2025
Viewed by 835
Abstract
Background: Ovarian cancer remains a major contributor to cancer-related morbidity and mortality worldwide. Primary cytoreductive surgery is the cornerstone of treatment, and accurate preoperative assessment of tumor resectability is critical to guiding optimal therapeutic strategies in patients with advanced tubo-ovarian cancer. Methods: [...] Read more.
Background: Ovarian cancer remains a major contributor to cancer-related morbidity and mortality worldwide. Primary cytoreductive surgery is the cornerstone of treatment, and accurate preoperative assessment of tumor resectability is critical to guiding optimal therapeutic strategies in patients with advanced tubo-ovarian cancer. Methods: A narrative review about the role of ultrasound for assessing tumor spread and prediction of tumor resectability was performed. Results: The ISAAC study represents the largest prospective multicenter trial to date comparing the diagnostic performance of ultrasound (US), computed tomography (CT), and whole-body diffusion-weighted magnetic resonance imaging (WB-DWI/MRI) in predicting non-resectability, using surgical and histopathological findings as the reference standard. Key strengths of the study include the use of standardized imaging and intraoperative reporting protocols across ESGO-accredited high-volume oncologic centers. All three imaging modalities were performed within four weeks prior to surgery by independent, blinded expert operators. US demonstrated diagnostic accuracy comparable to that of CT and WB-DWI/MRI. The study also defined modality-specific thresholds for the Peritoneal Cancer Index (PCI) and Predictive Index Value (PIV), offering quantitative tools to support surgical decision-making. A noteworthy secondary finding was patient preference: in a cohort of 144 participants who underwent all three imaging modalities, nearly half preferred US, while WB-DWI/MRI was the least favored due to discomfort and examination duration. Conclusions: The ISAAC study represents a significant advancement in imaging-based prediction of surgical non-resectability in tubo-ovarian cancer. Its findings suggest that, in expert hands, ultrasound can match or even surpass cross-sectional imaging for preoperative staging, supporting its integration into routine clinical practice, particularly in resource-constrained settings. Full article
Show Figures

Figure 1

11 pages, 319 KB  
Article
Non-Linear Quantum Dynamics in Coupled Double-Quantum- Dot-Cavity Systems
by Tatiana Mihaescu, Mihai A. Macovei and Aurelian Isar
Physics 2025, 7(4), 47; https://doi.org/10.3390/physics7040047 - 14 Oct 2025
Viewed by 792
Abstract
The steady-state quantum dynamics of a compound sample consisting of a semiconductor double-quantum-dot (DQD) system, non-linearly coupled with a leaking superconducting transmission line resonator, is theoretically investigated. Particularly, the transition frequency of the DQD is taken to be equal to the doubled resonator [...] Read more.
The steady-state quantum dynamics of a compound sample consisting of a semiconductor double-quantum-dot (DQD) system, non-linearly coupled with a leaking superconducting transmission line resonator, is theoretically investigated. Particularly, the transition frequency of the DQD is taken to be equal to the doubled resonator frequency, whereas the inter-dot Coulomb interaction is considered weak. As a consequence, the steady-state quantum dynamics of this complex non-linear system exhibit sudden changes in its features, occurring at a critical DQD-cavity coupling strength, suggesting perspectives for designing on-chip microwave quantum switches. Furthermore, we show that, above the threshold, the electrical current through the double-quantum dot follows the mean photon number into the microwave mode inside the resonator. This might not be the case any more below that critical coupling strength. Lastly, the photon quantum correlations vary from super-Poissonian to Poissonian photon statistics, i.e., towards single-qubit lasing phenomena at microwave frequencies. Full article
Show Figures

Figure 1

17 pages, 1895 KB  
Review
Diffusion Basis Restricted Fraction as a Putative Magnetic Resonance Imaging Marker of Neuroinflammation: Histological Evidence, Diagnostic Accuracy, and Translational Potential
by Szabolcs Kéri
Life 2025, 15(10), 1599; https://doi.org/10.3390/life15101599 - 14 Oct 2025
Cited by 1 | Viewed by 1416
Abstract
Diffusion basis spectrum imaging–derived restricted fraction (DBSI-RF) isolates the low apparent diffusion coefficient water signal attributed to cellular crowding. It is therefore proposed as a putative magnetic resonance imaging (MRI) marker of neuroinflammation. The purpose of this narrative review is to evaluate animal [...] Read more.
Diffusion basis spectrum imaging–derived restricted fraction (DBSI-RF) isolates the low apparent diffusion coefficient water signal attributed to cellular crowding. It is therefore proposed as a putative magnetic resonance imaging (MRI) marker of neuroinflammation. The purpose of this narrative review is to evaluate animal and human studies that compared DBSI-RF with histopathological benchmarks and clinical parameters. Across inflammatory demyelination, viral encephalitis, traumatic brain injury, and neurodegenerative disorders, DBSI-RF correlated moderately to strongly with immune cell density and distinguished inflammation from demyelinating or axonal pathology. In acute multiple sclerosis, combined isotropic fractions predicted lesion evolution, clinical subtypes, and deep-learning models that included DBSI-RF classified lesion subtypes with high accuracy. DBSI-RF might also be used to track putative neuroinflammation associated with psychosocial stress, mood disorders, and anxiety disorders. The strengths of the method include sensitivity to subclinical changes and the concurrent mapping of coexisting edema, demyelination, and axon loss. Limitations include non-specific etiology features, a demanding acquisition protocol, and limited large-scale human validation. Overall, DBSI-RF may demonstrate a promising diagnostic and prognostic accuracy, warranting standardized, multicenter, prospective trials and external validation. Full article
(This article belongs to the Section Medical Research)
Show Figures

Figure 1

29 pages, 5343 KB  
Article
Sound Absorption and Thermal Insulation by Polyurethane Foams Reinforced with Bio-Based Lignocellulosic Fillers: Data and Modeling
by Batol Masruri, Ebrahim Taban, Ali Khavanin and Keith Attenborough
Buildings 2025, 15(19), 3590; https://doi.org/10.3390/buildings15193590 - 5 Oct 2025
Viewed by 2422
Abstract
The acoustic, thermal, and mechanical performances of sawdust-reinforced polyurethane (PU) foam are investigated for different thicknesses and varying mesh sizes. Acoustic properties are explored using a combination of impedance tube testing and mathematical modeling with the Johnson–Champoux–Allard–Lafarge (JCAL) model, a simplified JCAL model [...] Read more.
The acoustic, thermal, and mechanical performances of sawdust-reinforced polyurethane (PU) foam are investigated for different thicknesses and varying mesh sizes. Acoustic properties are explored using a combination of impedance tube testing and mathematical modeling with the Johnson–Champoux–Allard–Lafarge (JCAL) model, a simplified JCAL model and a model of non-uniform cylindrical pores with a log-normal radius distribution (NUPSD). Thermal Insulation and mechanical properties are determined by measuring the effective thermal conductivity (Keff) and by tensile strength tests, respectively. Compared with pure PU foam, the presence of sawdust matches noise reduction coefficients (NRC) and increases sound absorption averages (SAA) by nearly 10%. Increasing thickness and width of backing air gap have the usual effects of improving low- and mid-frequency absorption and shifting resonance peaks toward lower frequencies. As well as superior acoustic performance, samples with Mesh 16 sawdust reinforcement provide both useful insulation (Keff = 0.044 W/mK) and tensile strength (~0.06 MPa), confirming their multifunctionality. Although the JCAL model provides reasonable fits to the sound absorption data, some of the fitted parameter values are unphysical. Predictions of the NUPSD model are relatively poor but improve with sample thickness and after fiber addition. Full article
(This article belongs to the Special Issue Advance in Eco-Friendly Building Materials and Innovative Structures)
Show Figures

Figure 1

13 pages, 502 KB  
Review
Echoes of Muscle Aging: The Emerging Role of Shear Wave Elastography in Sarcopenia Diagnosis
by Linda Galasso, Federica Vitale, Manuela Pietramale, Giorgio Esposto, Raffaele Borriello, Irene Mignini, Antonio Gasbarrini, Maria Elena Ainora and Maria Assunta Zocco
Diagnostics 2025, 15(19), 2495; https://doi.org/10.3390/diagnostics15192495 - 30 Sep 2025
Viewed by 1125
Abstract
Sarcopenia, a progressive age-related loss of skeletal muscle mass, strength, and function, is a major contributor to disability, reduced quality of life, and mortality in older adults. While current diagnostic approaches, such as dual-energy X-ray absorptiometry (DXA), bioelectrical impedance analysis (BIA), magnetic resonance [...] Read more.
Sarcopenia, a progressive age-related loss of skeletal muscle mass, strength, and function, is a major contributor to disability, reduced quality of life, and mortality in older adults. While current diagnostic approaches, such as dual-energy X-ray absorptiometry (DXA), bioelectrical impedance analysis (BIA), magnetic resonance imaging (MRI), and computed tomography (CT), are widely used to assess muscle mass, they have limitations in detecting early qualitative changes in muscle architecture and composition. Shear Wave Elastography (SWE), an ultrasound-based technique that quantifies tissue stiffness, has emerged as a promising tool to evaluate both muscle quantity and quality in a non-invasive, portable, and reproducible manner. Studies suggest that SWE can detect alterations in muscle mechanical properties associated with sarcopenia, providing complementary information to traditional morphometric assessments. Preliminary evidence indicates its good reproducibility, feasibility in various clinical settings, and potential for integration into routine evaluations. This narrative review summarizes current evidence on the use of SWE for the assessment of sarcopenia across diverse populations. Full article
(This article belongs to the Section Medical Imaging and Theranostics)
Show Figures

Figure 1

29 pages, 23339 KB  
Article
Pullout Behaviour and Influencing Mechanisms of Desert Plant Roots in Clayey Sand During Thawing
by Xiaofei Yang, Qinglin Li, Shuailong Yu, Pengrui Feng, Meixue Zhang, Wenjuan Chen and Guang Yang
Plants 2025, 14(18), 2876; https://doi.org/10.3390/plants14182876 - 16 Sep 2025
Viewed by 800
Abstract
In cold and arid regions, the mechanical properties and influencing mechanisms of the root–soil interface during the thawing stage remain poorly understood. This study focuses on Alhagi sparsifolia root–clayey sand composites to investigate the effects of temperature (−10 °C to 25 °C), initial [...] Read more.
In cold and arid regions, the mechanical properties and influencing mechanisms of the root–soil interface during the thawing stage remain poorly understood. This study focuses on Alhagi sparsifolia root–clayey sand composites to investigate the effects of temperature (−10 °C to 25 °C), initial soil water content (4–12%), and naturally varying root diameter (4.50–5.05 mm) on root pullout behaviour, and integrates endoscopic macro-observation, environmental scanning electron microscopy (ESEM), soil water migration tests, and nuclear magnetic resonance (NMR) techniques to reveal the dominant influencing mechanisms. Key findings reveal the following: (1) An increase in soil water content from 4% to 12%, and a temperature rise from −10 °C to 25 °C led to a maximum reduction in the average peak pullout force (FT) of roots exceeding 95%. (2) There is a non-monotonic relationship between root diameter and pull-out force, which can be attributed to two distinct failure modes: a newly observed failure mode known as root bark peeling, occurring under high soil moisture conditions (≥8%), and a commonly observed failure mode referred to as partial soil detachment, occurring under low soil moisture conditions (≤6%). (3) The coupling effects of temperature and water content reveal that the increase in temperature predominantly contributes to strength loss (>63%) during the ice–water phase transition (−10 °C to 0 °C), while soil water content primarily influences root pullout behaviour in the liquid water stage (5 °C to 25 °C). (4) As the temperature rises, in soils with low water content (4–6%), the reinforcing effect of roots appears to stabilize at −1 °C, whereas in soils with high water content (8–12%), stabilization occurs only beyond 5 °C. These findings enhance the understanding of root–soil interactions in thawing environments and provide a theoretical basis for soil bioengineering techniques aimed at slope stabilization in cold and arid regions. Full article
(This article belongs to the Section Plant Response to Abiotic Stress and Climate Change)
Show Figures

Figure 1

17 pages, 2616 KB  
Article
Investigation of the Dynamic Characterization of Traditional and Modern Building Materials Using an Impact Excitation Test
by Anil Ozdemir
Buildings 2025, 15(15), 2682; https://doi.org/10.3390/buildings15152682 - 30 Jul 2025
Viewed by 887
Abstract
This study presents a comprehensive non-destructive evaluation of a broad range of construction materials using the impulse excitation of vibration (IEV) technique. Tested specimens included low- and normal-strength concrete, fiber-reinforced concrete (with basalt, polypropylene, and glass fibers), lime mortars (NHL-2 and -3.5), plaster, [...] Read more.
This study presents a comprehensive non-destructive evaluation of a broad range of construction materials using the impulse excitation of vibration (IEV) technique. Tested specimens included low- and normal-strength concrete, fiber-reinforced concrete (with basalt, polypropylene, and glass fibers), lime mortars (NHL-2 and -3.5), plaster, and clay bricks (light and dark). Compressive and flexural strength tests complemented dynamic resonance testing on the same samples to ensure full mechanical characterization. Flexural and torsional resonance frequencies were used to calculate dynamic elastic modulus, shear modulus, and Poisson’s ratio. Strong correlations were observed between dynamic elastic modulus and shear modulus, supporting the compatibility of dynamic results with the classical elasticity theory. Flexural frequencies were more sensitive to material differences than torsional ones. Fiber additives, particularly basalt and polypropylene, significantly improved dynamic stiffness, increasing the dynamic elastic modulus/compressive strength ratio by up to 23%. In contrast, normal-strength concrete exhibited limited stiffness improvement despite higher strength. These findings highlight the reliability of IEV in mechanical properties across diverse material types and provide comparative reference data for concrete and masonry applications. Full article
(This article belongs to the Special Issue Advanced Studies in Structure Materials—2nd Edition)
Show Figures

Figure 1

Back to TopTop