Echoes of Muscle Aging: The Emerging Role of Shear Wave Elastography in Sarcopenia Diagnosis
Abstract
1. Introduction
2. Methods
3. Muscle Stiffness via SWE as a Window into Sarcopenia
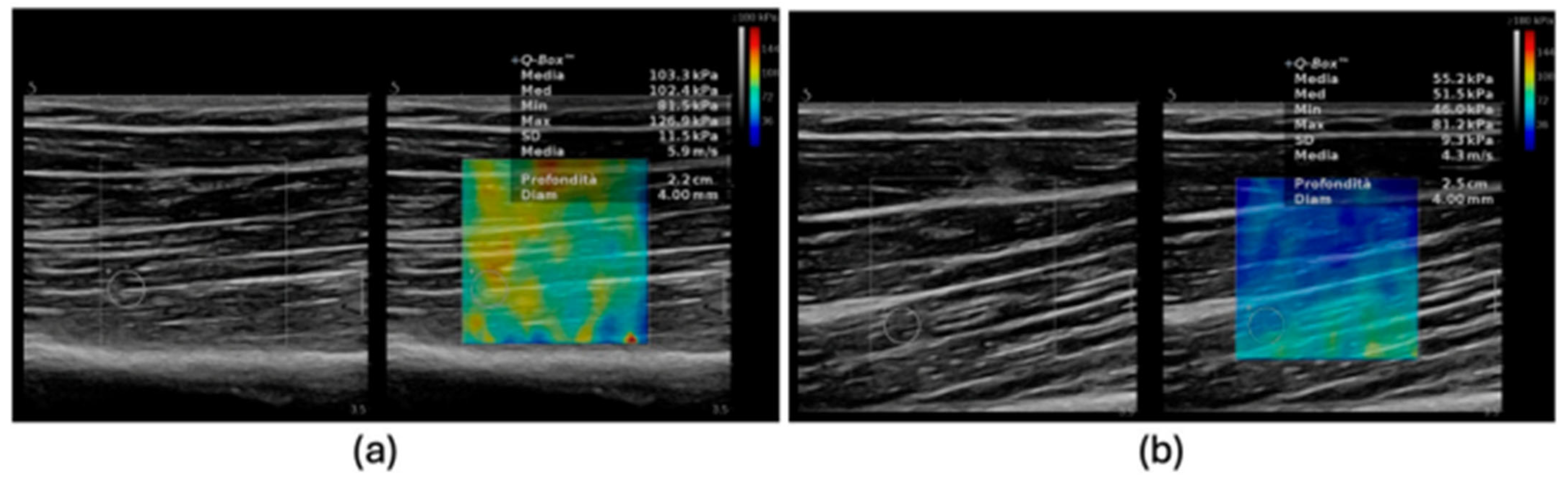
4. Principles of Shear Wave Elastography (SWE)
5. Clinical Applications of SWE in Sarcopenia: Evidence Across Different Patient Populations
5.1. Quantitative Muscle Assessment in Type 2 Diabetes Using SWE: Correlations, Cut-Offs and Clinical Utility
5.1.1. Evidence from Gastrocnemius Muscle Studies (GCM)
5.1.2. Evidence from Rectus Femoris Muscle Studies
5.2. Impact of Sarcopenia in Cirrhosis and the Emerging Utility of SWE
5.3. Pilot Investigations of SWE in Sarcopenia Diagnosis Across Diverse Diseases
6. Conclusions
Author Contributions
Funding
Institutional Review Board Statement
Informed Consent Statement
Data Availability Statement
Acknowledgments
Conflicts of Interest
References
- Rosenberg, I.H. Summary comments. Am. J. Clin. Nutr. 1989, 50, 1231–1233. [Google Scholar] [CrossRef]
- Cruz-Jentoft, A.J.; Baeyens, J.P.; Bauer, J.M.; Boirie, Y.; Cederholm, T.; Landi, F.; Martin, F.C.; Michel, J.-P.; Rolland, Y.; Schneider, S.M.; et al. Sarcopenia: European consensus on definition an diagnosis. Age Ageing 2010, 39, 412–423. [Google Scholar] [CrossRef] [PubMed]
- Falcon, L.J.; Harris-Love, M.O. Sarcopenia and the New ICD-10-CM Code: Screening, Staging, and Diagnosis Considerations. Fed. Pract. 2017, 34, 24–32. [Google Scholar] [PubMed]
- Carvalho Do Nascimento, P.R.; Bilodeau, M.; Poitras, S. How do we define and measure sarcopenia? A meta-analysis of observational studies. Age Ageing 2021, 50, 1906–1913. [Google Scholar] [CrossRef]
- Petermann-Rocha, F.; Balntzi, V.; Gray, S.R.; Lara, J.; Ho, F.K.; Pell, J.P.; Celis-Morales, C. Global prevalence of sarcopenia and severe sarcopenia: A systematic review and meta-analysis. J. Cachexia Sarcopenia Muscle 2022, 13, 86–99. [Google Scholar] [CrossRef]
- Shafiee, G.; Keshtkar, A.; Soltani, A.; Ahadi, Z.; Larijani, B.; Heshmat, R. Prevalence of sarcopenia in the world: A systematic review and meta-analysis of general population studies. J. Diabetes Metab. Disord. 2017, 16, 21. [Google Scholar] [CrossRef]
- Cruz-Jentoft, A.J.; Bahat, G.; Bauer, J.; Boirie, Y.; Bruyère, O.; Cederholm, T.; Cooper, C.; Landi, F.; Rolland, Y.; Sayer, A.A.; et al. Sarcopenia: Revised European consensus on definition and diagnosis. Age Ageing 2019, 48, 16–31. [Google Scholar] [CrossRef]
- Fielding, R.A.; Vellas, B.; Evans, W.J.; Bhasin, S.; Morley, J.E.; Newman, A.B.; van Kan, G.A.; Andrieu, S.; Bauer, J.; Breuille, D.; et al. Sarcopenia: An Undiagnosed Condition in Older Adults. Current Consensus Definition: Prevalence, Etiology, and Consequences. International Working Group on Sarcopenia. J. Am. Med. Dir. Assoc. 2011, 12, 249–256. [Google Scholar] [CrossRef]
- Wang, H.; Hai, S.; Cao, L.; Zhou, J.; Liu, P.; Dong, B.-R. Estimation of prevalence of sarcopenia by using a new bioelectrical impedance analysis in Chinese community-dwelling elderly people. BMC Geriatr. 2016, 16, 216. [Google Scholar] [CrossRef]
- Studenski, S.A.; Peters, K.W.; Alley, D.E.; Cawthon, P.M.; McLean, R.R.; Harris, T.B.; Ferrucci, L.; Guralnik, J.M.; Fragala, M.S.; Kenny, A.M.; et al. The FNIH Sarcopenia Project: Rationale, Study Description, Conference Recommendations, and Final Estimates. J. Gerontol. Ser. A 2014, 69, 547–558. [Google Scholar] [CrossRef]
- Bhasin, S.; Travison, T.G.; Manini, T.M.; Patel, S.; Pencina, K.M.; Fielding, R.A.; Magaziner, J.M.; Newman, A.B.; Kiel, D.P.; Cooper, C.; et al. Sarcopenia Definition: The Position Statements of the Sarcopenia Definition and Outcomes Consortium. J. Am. Geriatr. Soc. 2020, 68, 1410–1418. [Google Scholar] [CrossRef]
- Voulgaridou, G.; Tyrovolas, S.; Detopoulou, P.; Tsoumana, D.; Drakaki, M.; Apostolou, T.; Chatziprodromidou, I.P.; Papandreou, D.; Giaginis, C.; Papadopoulou, S.K. Diagnostic Criteria and Measurement Techniques of Sarcopenia: A Critical Evaluation of the Up-to-Date Evidence. Nutrients 2024, 16, 436. [Google Scholar] [CrossRef]
- Tosato, M.; Marzetti, E.; Cesari, M.; Savera, G.; Miller, R.R.; Bernabei, R.; Landi, F.; Calvani, R. Measurement of muscle mass in sarcopenia: From imaging to biochemical markers. Aging Clin. Exp. Res. 2017, 29, 19–27. [Google Scholar] [CrossRef]
- Mayans, D.; Cartwright, M.S.; Walker, F.O. Neuromuscular Ultrasonography: Quantifying Muscle and Nerve Measurements. Phys. Med. Rehabil. Clin. N. Am. 2012, 23, 133–148. [Google Scholar] [CrossRef]
- Taljanovic, M.S.; Gimber, L.H.; Becker, G.W.; Latt, L.D.; Klauser, A.S.; Melville, D.M.; Gao, L.; Witte, R.S. Shear-Wave Elastography: Basic Physics and Musculoskeletal Applications. Radiographics 2017, 37, 855–870. [Google Scholar] [CrossRef] [PubMed] [PubMed Central]
- Kragstrup, T.W.; Kjaer, M.; Mackey, A.L. Structural, biochemical, cellular, and functional changes in skeletal muscle extracellular matrix with aging. Scand. J. Med. Sci. Sports 2011, 21, 749–757. [Google Scholar] [CrossRef] [PubMed]
- Larsson, L.; Degens, H.; Li, M.; Salviati, L.; Lee, Y.I.; Thompson, W.; Kirkland, J.L.; Sandri, M. Sarcopenia: Aging-Related Loss of Muscle Mass. and Function. Physiol. Rev. 2019, 99, 427–511. [Google Scholar] [CrossRef] [PubMed] [PubMed Central]
- Frontera, W.R.; Hughes, V.A.; Lutz, K.J.; Evans, W.J. A cross-sectional study of muscle strength and mass in 45- to 78-yr-old men and women. J. Appl. Physiol. 1991, 71, 644–650. [Google Scholar] [CrossRef] [PubMed]
- Priego, T.; Martín, A.I.; González-Hedström, D.; Granado, M.; López-Calderón, A. Role of hormones in sarcopenia. Vitam. Horm. 2021, 115, 535–570. [Google Scholar] [CrossRef] [PubMed]
- Robinson, S.; Granic, A.; Sayer, A.A. Nutrition and Muscle Strength, As the Key Component of Sarcopenia: An Overview of Current Evidence. Nutrients 2019, 11, 2942. [Google Scholar] [CrossRef] [PubMed] [PubMed Central]
- Aagaard, P.; Suetta, C.; Caserotti, P.; Magnusson, S.P.; Kjaer, M. Role of the nervous system in sarcopenia and muscle atrophy with aging: Strength training as a countermeasure. Scand. J. Med. Sci. Sports 2010, 20, 49–64. [Google Scholar] [CrossRef] [PubMed]
- McGregor, R.A.; Cameron-Smith, D.; Poppitt, S.D. It is not just muscle mass: A review of muscle quality, composition and metabolism during ageing as determinants of muscle function and mobility in later life. Longev. Heal. 2014, 3, 9. [Google Scholar] [CrossRef] [PubMed] [PubMed Central]
- Goodpaster, B.H.; Park, S.W.; Harris, T.B.; Kritchevsky, S.B.; Nevitt, M.; Schwartz, A.V.; Simonsick, E.M.; Tylavsky, F.A.; Visser, M.; Newman, A.B. The loss of skeletal muscle strength, mass, and quality in older adults: The health, aging and body composition study. J. Gerontol. A Biol. Sci. Med. Sci. 2006, 61, 1059–1064. [Google Scholar] [CrossRef] [PubMed]
- Hortobágyi, T.; Zheng, D.; Weidner, M.; Lambert, N.J.; Westbrook, S.; Houmard, J.A. The influence of aging on muscle strength and muscle fiber characteristics with special reference to eccentric strength. J. Gerontol. A Biol. Sci. Med. Sci. 1995, 50, B399–B406. [Google Scholar] [CrossRef] [PubMed]
- Delmonico, M.J.; Harris, T.B.; Visser, M.; Park, S.W.; Conroy, M.B.; Velasquez-Mieyer, P.; Boudreau, R.; Manini, T.M.; Nevitt, M.; Newman, A.B.; et al. Health, Aging, and Body. Longitudinal study of muscle strength, quality, and adipose tissue infiltration. Am. J. Clin. Nutr. 2009, 90, 1579–1585. [Google Scholar] [CrossRef] [PubMed] [PubMed Central]
- Marcus, R.L.; Addison, O.; Kidde, J.P.; Dibble, L.E.; Lastayo, P.C. Skeletal muscle fat infiltration: Impact of age, inactivity, and exercise. J. Nutr. Health Aging 2010, 14, 362–366. [Google Scholar] [CrossRef] [PubMed] [PubMed Central]
- Manini, T.M.; Clark, B.C. Dynapenia and aging: An update. J. Gerontol. A Biol. Sci. Med. Sci. 2012, 67, 28–40. [Google Scholar] [CrossRef] [PubMed] [PubMed Central]
- Chabi, B.; Ljubicic, V.; Menzies, K.J.; Huang, J.H.; Saleem, A.; Hood, D.A. Mitochondrial function and apoptotic susceptibility in aging skeletal muscle. Aging Cell 2008, 7, 2–12. [Google Scholar] [CrossRef] [PubMed]
- de Lucena Alves, C.P.; de Almeida, S.B.; Lima, D.P.; Neto, P.B.; Miranda, A.L.; Manini, T.; Vlietstra, L.; Waters, D.L.; Bielemann, R.M.; Correa-de-Araujo, R.; et al. Muscle Quality in Older Adults: A Scoping Review. J. Am. Med. Dir. Assoc. 2023, 24, 462–467.e12. [Google Scholar] [CrossRef] [PubMed]
- Fragala, M.S.; Kenny, A.M.; Kuchel, G.A. Muscle quality in aging: A multi-dimensional approach to muscle functioning with applications for treatment. Sports Med. 2015, 45, 641–658. [Google Scholar] [CrossRef] [PubMed]
- Coronado-Zarco, R.; de León, A.O. Muscle quality an evolving concept. J. Frailty Sarcopenia Falls 2023, 8, 254–260. [Google Scholar] [CrossRef] [PubMed] [PubMed Central]
- Perkisas, S.; Bastijns, S.; Baudry, S.; Bauer, J.; Beaudart, C.; Beckwée, D.; Cruz-Jentoft, A.; Gasowski, J.; Hobbelen, H.; Jager-Wittenaar, H.; et al. Application of ultrasound for muscle assessment in sarcopenia: 2020 SARCUS update. Eur. Geriatr. Med. 2021, 12, 45–59. [Google Scholar] [CrossRef] [PubMed]
- Barbat-Artigas, S.; Rolland, Y.; Zamboni, M.; Aubertin-Leheudre, M. How to assess functional status: A new muscle quality index. J. Nutr. Health Aging 2012, 16, 67–77. [Google Scholar] [CrossRef] [PubMed]
- Narici, M.V.; Maffulli, N. Sarcopenia: Characteristics, mechanisms and functional significance. Br. Med. Bull. 2010, 95, 139–159. [Google Scholar] [CrossRef] [PubMed]
- Bohm, S.; Mersmann, F.; Arampatzis, A. Human tendon adaptation in response to mechanical loading: A systematic review and meta-analysis of exercise intervention studies on healthy adults. Sports Med. Open. 2015, 1, 7. [Google Scholar] [CrossRef] [PubMed] [PubMed Central]
- Lim, J.Y.; Choi, S.J.; Widrick, J.J.; Phillips, E.M.; Frontera, W.R. Passive force and viscoelastic properties of single fibers in human aging muscles. Eur. J. Appl. Physiol. 2019, 119, 2339–2348. [Google Scholar] [CrossRef] [PubMed]
- Ateş, F.; Coleman-Wood, K.; Litchy, W.; Kaufman, K.R. Intramuscular pressure of human tibialis anterior muscle detects age-related changes in muscle performance. J. Electromyogr. Kinesiol. 2021, 60, 102587. [Google Scholar] [CrossRef] [PubMed] [PubMed Central]
- Trube, N.; Riedel, W.; Boljen, M. How muscle stiffness affects human body model behavior. Biomed. Eng. Online 2021, 20, 53. [Google Scholar] [CrossRef] [PubMed] [PubMed Central]
- Janczyk, E.M.; Champigny, N.; Michel, E.; Raffaelli, C.; Annweiler, C.; Zory, R.; Guérin, O.; Sacco, G. Sonoelastography to Assess Muscular Stiffness Among Older Adults and its Use for the Diagnosis of Sarcopenia: A Systematic Review. Ultraschall Med. 2021, 42, 634–642. (In English) [Google Scholar] [CrossRef] [PubMed]
- Ozturk, A.; Grajo, J.R.; Dhyani, M.; Anthony, B.W.; Samir, A.E. Principles of ultrasound elastography. Abdom. Radiol. 2018, 43, 773–785. [Google Scholar] [CrossRef] [PubMed] [PubMed Central]
- Doherty, J.R.; Trahey, G.E.; Nightingale, K.R.; Palmeri, M.L. Acoustic radiation force elasticity imaging in diagnostic ultrasound. IEEE Trans. Ultrason. Ferroelectr. Freq. Control 2013, 60, 685–701. [Google Scholar] [CrossRef] [PubMed] [PubMed Central]
- Yi, J.; Hahn, S.; Oh, K.; Lee, Y.H. Sarcopenia prediction using shear-wave elastography, grayscale ultrasonography, and clinical information with machine learning fusion techniques: Feature-level fusion vs. score-level fusion. Sci. Rep. 2024, 14, 2769. [Google Scholar] [CrossRef] [PubMed] [PubMed Central]
- Esposto, G.; Borriello, R.; Galasso, L.; Termite, F.; Mignini, I.; Cerrito, L.; Ainora, M.E.; Gasbarrini, A.; Zocco, M.A. Ultrasound Evaluation of Sarcopenia in Patients with Hepatocellular Carcinoma: A Faster and Easier Way to Detect Patients at Risk. Diagnostics 2024, 14, 371. [Google Scholar] [CrossRef] [PubMed] [PubMed Central]
- Lee, S.Y.; Ahn, S.; Kim, Y.J.; Ji, M.J.; Kim, K.M.; Choi, S.H.; Jang, H.C.; Lim, S. Comparison between Dual-Energy X-ray Absorptiometry and Bioelectrical Impedance Analyses for Accuracy in Measuring Whole Body Muscle Mass and Appendicular Skeletal Muscle Mass. Nutrients 2018, 10, 738. [Google Scholar] [CrossRef] [PubMed] [PubMed Central]
- Khan, A.I.; Reiter, D.A.; Sekhar, A.; Sharma, P.; Safdar, N.M.; Patil, D.H.; Psutka, S.P.; Small, W.C.; Bilen, M.A.; Ogan, K.; et al. MRI quantitation of abdominal skeletal muscle correlates with CT-based analysis: Implications for sarcopenia measurement. Appl. Physiol. Nutr. Metab. 2019, 44, 814–819. [Google Scholar] [CrossRef] [PubMed]
- Izzo, A.; Massimino, E.; Riccardi, G.; Della Pepa, G. A Narrative Review on Sarcopenia in Type 2 Diabetes Mellitus: Prevalence and Associated Factors. Nutrients 2021, 13, 183. [Google Scholar] [CrossRef] [PubMed] [PubMed Central]
- Hou, Y.; Xiang, J.; Wang, B.; Duan, S.; Song, R.; Zhou, W.; Tan, S.; He, B. Pathogenesis and comprehensive treatment strategies of sarcopenia in elderly patients with type 2 diabetes mellitus. Front. Endocrinol. 2024, 14, 1263650. [Google Scholar] [CrossRef] [PubMed] [PubMed Central]
- Pal, R.; Prasad, T.N.; Bhadada, S.K.; Singla, V.; Yadav, U.; Chawla, N. Association between bone microarchitecture and sarcopenia in postmenopausal women with type 2 diabetes. Arch. Osteoporos. 2024, 19, 94. [Google Scholar] [CrossRef] [PubMed]
- An, L.; Shi, J.; Pan, Y.; Ding, Y.; Gao, W.; Ren, L.; Wang, J.; Wang, Y. The role of shear wave elastography in diagnosing sarcopenia in patients with type 2 diabetes. J. Endocrinol. Investig. 2025, 48, 2177–2185. [Google Scholar] [CrossRef] [PubMed]
- Wei, W.; Xie, C.; Cao, R.; Que, Y.; Zhong, X.; Chen, Z.; Lv, F.; Kang, Q.; Lin, R.; Cao, B.; et al. Ultrasound Assessment of the Gastrocnemius Muscle as a Potential Tool for Identifying Sarcopenia in Patients with Type 2 Diabetes. Diabetes Metab. Syndr. Obesity Targets Ther. 2023, 16, 3435–3444. [Google Scholar] [CrossRef] [PubMed] [PubMed Central]
- Chen, K.; Hu, S.; Liao, R.; Yin, S.; Huang, Y.; Wang, P. Application of conventional ultrasound coupled with shear wave elastography in the assessment of muscle strength in patients with type 2 diabetes. Quant. Imaging Med. Surg. 2024, 14, 1716–1728. [Google Scholar] [CrossRef] [PubMed] [PubMed Central]
- Wang, S.; Xu, X.; Cao, S.; Cheng, J.; Wang, Y.; Dong, Y. Sonographic methods to predict type 2 diabetes patients with sarcopenia: B mode ultrasound and shear wave elastography. Clin. Hemorheol. Microcirc. 2024, 87, 13–26. [Google Scholar] [CrossRef] [PubMed]
- Garcia-Diez, A.I.; Porta-Vilaro, M.; Isern-Kebschull, J.; Naude, N.; Guggenberger, R.; Brugnara, L.; Milinkovic, A.; Bartolome-Solanas, A.; Soler-Perromat, J.C.; Del Amo, M.; et al. Myosteatosis: Diagnostic significance and assessment by imaging approaches. Quant. Imaging Med. Surg. 2024, 14, 7937–7957. [Google Scholar] [CrossRef] [PubMed] [PubMed Central]
- Dhaliwal, A.; Armstrong, M.J. Sarcopenia in cirrhosis: A practical overview. Clin. Med. 2020, 20, 489–492. [Google Scholar] [CrossRef] [PubMed] [PubMed Central]
- Bozic, D.; Mamic, B.; Peric, I.; Bozic, I.; Zaja, I.; Ivanovic, T.; Gugic Ratkovic, A.; Grgurevic, I. Assessment of Sarcopenia in Patients with Liver Cirrhosis—A Literature Review. Nutrients 2025, 17, 2589. [Google Scholar] [CrossRef]
- Do, Y.; Lall, P.S.; Lee, H. Assessing the Effects of Aging on Muscle Stiffness Using Shear Wave Elastography and Myotonometer. Healthcare 2021, 9, 1733. [Google Scholar] [CrossRef]
- Becchetti, C.; Lange, N.F.; Delgado, M.G.; Brönnimann, M.P.; Maurer, M.H.; Dufour, J.F.; Berzigotti, A. 2D shear wave elastography of the rectus femoris muscle in patients with cirrhosis: Feasibility and clinical findings. A pilot study. Clin. Res. Hepatol. Gastroenterol. 2023, 47, 102080. [Google Scholar] [CrossRef] [PubMed]
- Enciu, V.T.; Ologeanu, P.M.; Fierbinteanu-Braticevici, C. Ultrasound Assessment of Sarcopenia in Alcoholic Liver Disease. Diagnostics 2024, 14, 1891. [Google Scholar] [CrossRef] [PubMed] [PubMed Central]
- Chen, M.; Liu, X.; Liu, Q.; Ding, C.; Zhao, P.; Zhang, Y.; Mao, C.; Liu, C. The value of ultrasound measurement of muscle thickness at different sites and shear wave elastography in Parkinson’s disease with sarcopenia: A pilot study. Front. Neurosci. 2023, 17, 1254859. [Google Scholar] [CrossRef] [PubMed] [PubMed Central]
- Han, X.; Li, Q.; Zhang, G.; Zhang, Z. Application value of two-dimensional ultrasound and shear-wave elastography parameters in evaluating sarcopenia with essential hypertension. Quant. Imaging Med. Surg. 2025, 15, 831–842. [Google Scholar] [CrossRef] [PubMed] [PubMed Central]
- Deng, M.; Zhou, X.; Li, Y.; Yin, Y.; Liang, C.; Zhang, Q.; Lu, J.; Wang, M.; Wang, Y.; Sun, Y.; et al. Ultrasonic Elastography of the Rectus Femoris, a Potential Tool to Predict Sarcopenia in Patients with Chronic Obstructive Pulmonary Disease. Front. Physiol. 2022, 12, 783421. [Google Scholar] [CrossRef] [PubMed] [PubMed Central]
- Sinanoğlu, M.S.; Güngör, Ş.; Dağ, N.; Varol, F.İ.; Kenç, Ş.; Gök, E. Ultrasound and shear wave elastography assessment of diaphragm thickness and stiffness in malnourished pediatric patients. Eur. J. Pediatr. 2024, 184, 35. [Google Scholar] [CrossRef] [PubMed]
- Chen, Z.T.; Ge, J.Y.; Jin, F.S.; Guo, L.H.; Wang, Q.; Zhao, H.; Sun, L.P.; Xu, H.X.; Sheng, H.; Li, X.L. China Alliance of Multi-Center Clinical Study for Ultrasound (Ultra-Chance). The value of ultrasound measured rectus femoris thickness, cross-sectional area and shear wave velocity in assessment of muscle in postmenopausal women with osteosarcopenia. Br. J. Radiol. 2025, 98, 1456–1462. [Google Scholar] [CrossRef] [PubMed]
- Yang, Q.; Zhang, C.; Zhang, Z.; Su, B. Muscle ultrasound to diagnose sarcopenia in chronic kidney disease: A systematic review and bayesian bivariate meta-analysis. BMC Nephrol. 2024, 25, 12. [Google Scholar] [CrossRef] [PubMed] [PubMed Central]
- Chen, Y.; Wang, B.; Xiao, L.; Li, Y.; Luo, Y. Changes in Muscle Mass in Patients with Renal Transplants Based on Ultrasound: A Prospective Study. J. Ultrasound Med. 2021, 40, 1637–1648. [Google Scholar] [CrossRef] [PubMed]

| Item | Notes |
|---|---|
| Patient Posture | Specify supine, prone, seated, or standing. Ensure consistent positioning across measurements. |
| Probe Alignment | Align parallel to muscle fibers; maintain consistent orientation throughout. |
| ROI Size | Record region of interest (ROI) dimensions; ensure adequate coverage of target muscle area. |
| Measurement Repetitions | Perform multiple measurements (e.g., 3–5 per site) to improve reliability; report mean ± SD. |
| Muscle State | Indicate whether the muscle is relaxed or contracted during measurement. |
| Reporting Template | Include: device, probe frequency, units (m/s or kPa), orientation, patient posture, muscle state, ROI size, number of repetitions, and notes on measurement quality. |
| Study and Authors | Muscle | SWE and Clinical Parameters | Main Findings | Diagnostic Performance |
|---|---|---|---|---|
| Li An et al. [49] | Medial gastrocnemius | SWV (bent and straight states), ASMI, handgrip strength | Lower SWV in sarcopenic patients (p < 0.01); positive correlations between SWV, ASMI, and strength | Model with BMI + ASMI + SWV: sensitivity 96.7%, specificity 82.5%, AUC 0.946 |
| Wei et al. [50] | Gastrocnemius | Thickness, CSA, SWE, muscle mass, strength | Sarcopenic patients had lower thickness, CSA, and SWE (p < 0.05); moderate correlations observed | Sensitivity 81.1%, specificity 75.0%, AUC 0.800 |
| Chen et al. [51] | Rectus femoris | CSA, SWE stiffness, differences between knee positions | Reduced CSA and stiffness in sarcopenic subjects; significant differences between bent and straight positions | Sensitivity and specificity 83.3% |
| Wang et al. [52] | Rectus femoris | Muscle thickness (MT), ΔSWE, ASMI, strength | Strong correlation of MT and ΔSWE with ASMI (r > 0.76) and strength (r > 0.79); thickness cut-off 11.4 mm | AUC 0.952 |
| Authors | Muscle | SWE Parameter(s) | Results Summary | Diagnostic Performance |
|---|---|---|---|---|
| Becchetti et al. [57] | Rectus Femoris | Muscle stiffness (RFMS) | Feasible, reproducible; RFMS independent of liver function and frailty index; no correlation with frailty; muscle diameter inversely correlated with frailty (r = −0.578, p < 0.001) | Not established |
| Enciu et al. [58] | Rectus Femoris | Muscle stiffness (RFMS), thickness, echogenicity | RFMS higher in alcoholic hepatitis vs. cirrhosis (1.78 vs. 1.35 m/s, p = 0.001); correlated with disease severity and 30s chair stand test (p < 0.01) | Not established |
| Authors | Study Population | Study Design/Endpoint | SWE and US Parameters Measured | Key Findings |
|---|---|---|---|---|
| Xu Han et al. [60] | Patients with essential hypertension | Cross-sectional/Diagnosis | Muscle thickness (MT), cross-sectional area (CSA), fat layer (FL), pennation angle (PA), SWE on rectus femoris (RF) and gastrocnemius medialis (GM) | SWE combined with conventional US showed sensitivity 84.5% and specificity 90.8% for sarcopenia diagnosis |
| M Selçuk Sinanoğlu et al. [61] | Malnourished pediatric patients | Cross-sectional/Diagnosis | Diaphragm thickness and stiffness by SWE and US | Significant reduction in diaphragm thickness and stiffness correlated with anthropometric Z-scores |
| Zi-Tong Chen et al. [62] | Postmenopausal women with osteosarcopenia | Cross-sectional/Diagnosis | Rectus femoris (RF) thickness, CSA, shear wave velocity (SWV) | Combined model of RF CSA and SWV (AUC 0.917) outperformed individual parameters; sensitivity 70%, specificity 93% |
| Qinbo Yang et al. [63] | Chronic kidney disease (CKD) patients | Meta-analysis/Diagnosis | Rectus femoris CSA, muscle thickness (MT), SWE | High sensitivity (0.95) and moderate specificity (0.73) of CSA and SWE for sarcopenia diagnosis in CKD |
| Mingming Deng et al. [64] | Patients with chronic obstructive pulmonary disease (COPD) | Cross-sectional/Diagnosis | SWE mean elasticity, RF thickness, RF CSA | SWE mean elasticity had better sarcopenia prediction (AUC 0.863) than thickness and CSA; correlated with biomarkers and physical function |
| Yang Chen et al. [65] | Post-kidney transplant patients | Cross-sectional/Prognosis | Echo intensity, RF thickness, SWE elastic modulus | Increased echo intensity and elastic modulus in patients; SWE cutoff showed AUC ~0.84 for sarcopenia prediction |
| Study | Population | Unit of Measurement | Device/Manufacturer | Probe Frequency | Orientation/Muscle | Patient Position | Muscle Condition | Repetitions/ROI |
|---|---|---|---|---|---|---|---|---|
| An et al. (2025) [49] | Liver disease | SWV (m/s) | Mindray Resona I9S | 4–15 MHz (linear) | Not specified/RF | Prone, feet suspended | Extended + contracted | 3 per condition |
| Wei et al. (2023) [50] | Liver disease | Young’s modulus (kPa) | Siemens ACUSON Sequoia (ARFI) | 4–9 MHz (linear) | Longitudinal/RF | Prone, legs extended | Relaxed + stretched | 3 per condition |
| Chen et al. (2024) [51] | Liver disease | SWV (m/s) | GE LOGIQ E10 (ML6-15) | 4–15 MHz (linear) | Longitudinal/RF, BB | Supine (RF) and seated (BB) | Relaxed | 3 per muscle |
| Becchetti et al. (2023) [57] | Cirrhosis | Young’s modulus (kPa) | Aixplorer (Supersonic Imagine) | 3.5–5 MHz | Transverse/RF, VM, IP | Supine, rest 7 min | Relaxed | 3 per muscle |
| Enciu et al. (2024) [58] | Alcoholic hepatitis + cirrhosis | SWV (m/s) | Siemens Acuson S2000 (ARFI) | 5–7.5 MHz (linear) | Transverse (thickness) + Long. (SWE)/RF | Supine, limbs relaxed | Relaxed | 5 measures (mean + IQR) |
| Han et al. (2025) [60] | Hypertension (≥55 years) | Young’s modulus (kPa) | Aixplorer (Supersonic Imagine) | 4–15 MHz (linear) | Transverse + Long./RF + GMM | Supine (RF) + prone (GMM) | Relaxed + contracted | 3 per muscle state |
| Deng et al. (2022) [61] | COPD (≥40 years) | Young’s modulus (kPa) | Aixplorer (Supersonic Imagine) | 4–15 MHz (linear) | Transverse/RF | Supine, dominant leg | Relaxed | 3 acquisitions × 5 ROI |
| Sinanoğlu et al. (2024) [62] | Malnutrition (pediatric age) | Young’s modulus (kPa) | RS85 Prestige (Samsung) | LA2-14A (linear) | Transverse/Right diaphragm | Supine, right arm above head | Relaxed, end expiration | 3 measures × 3 ROI (mean) |
| Yang et al. (2024) [64] | CKD (stages 1–5, MHD, post-Tx) | SWE (kPa), CSA (cm2), MT (cm) | Multiple (meta-analysis of 5 studies) | 4–12 MHz (linear) | RF, transverse + longitudinal axes | Various (not unified) | Generally relaxed | Variable (study dependent) |
Disclaimer/Publisher’s Note: The statements, opinions and data contained in all publications are solely those of the individual author(s) and contributor(s) and not of MDPI and/or the editor(s). MDPI and/or the editor(s) disclaim responsibility for any injury to people or property resulting from any ideas, methods, instructions or products referred to in the content. |
© 2025 by the authors. Licensee MDPI, Basel, Switzerland. This article is an open access article distributed under the terms and conditions of the Creative Commons Attribution (CC BY) license (https://creativecommons.org/licenses/by/4.0/).
Share and Cite
Galasso, L.; Vitale, F.; Pietramale, M.; Esposto, G.; Borriello, R.; Mignini, I.; Gasbarrini, A.; Ainora, M.E.; Zocco, M.A. Echoes of Muscle Aging: The Emerging Role of Shear Wave Elastography in Sarcopenia Diagnosis. Diagnostics 2025, 15, 2495. https://doi.org/10.3390/diagnostics15192495
Galasso L, Vitale F, Pietramale M, Esposto G, Borriello R, Mignini I, Gasbarrini A, Ainora ME, Zocco MA. Echoes of Muscle Aging: The Emerging Role of Shear Wave Elastography in Sarcopenia Diagnosis. Diagnostics. 2025; 15(19):2495. https://doi.org/10.3390/diagnostics15192495
Chicago/Turabian StyleGalasso, Linda, Federica Vitale, Manuela Pietramale, Giorgio Esposto, Raffaele Borriello, Irene Mignini, Antonio Gasbarrini, Maria Elena Ainora, and Maria Assunta Zocco. 2025. "Echoes of Muscle Aging: The Emerging Role of Shear Wave Elastography in Sarcopenia Diagnosis" Diagnostics 15, no. 19: 2495. https://doi.org/10.3390/diagnostics15192495
APA StyleGalasso, L., Vitale, F., Pietramale, M., Esposto, G., Borriello, R., Mignini, I., Gasbarrini, A., Ainora, M. E., & Zocco, M. A. (2025). Echoes of Muscle Aging: The Emerging Role of Shear Wave Elastography in Sarcopenia Diagnosis. Diagnostics, 15(19), 2495. https://doi.org/10.3390/diagnostics15192495

