Sign in to use this feature.

Years

Between: -

Subjects

remove_circle_outline
remove_circle_outline
remove_circle_outline
remove_circle_outline

Journals

Article Types

Countries / Regions

Search Results (113)

Search Parameters:
Keywords = neuroendocrine pituitary tumors

Order results
Result details
Results per page
Select all
Export citation of selected articles as:
15 pages, 2428 KB  
Article
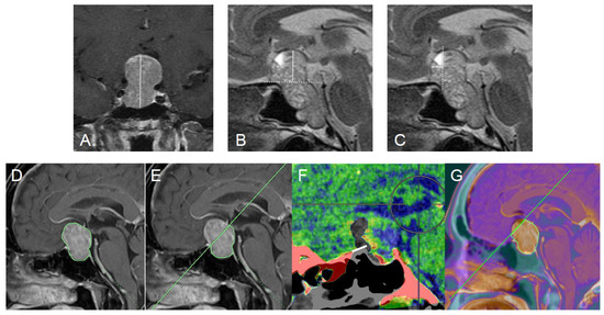
Pituitary Neuroendocrine Tumors Extending Primarily Below the Sella and into the Clivus: A Distinct Growth Pattern with Specific Challenges
by Lennart W. Sannwald, Nina Kreße, Nadja Grübel, Andreas Knoll, Johannes Roßkopf, Michal Hlavac, Christian R. Wirtz and Andrej Pala
Curr. Oncol. 2026, 33(1), 36; https://doi.org/10.3390/curroncol33010036 - 8 Jan 2026
Abstract
Evaluation of pituitary neuroendocrine tumors remains complex depending on the exact growth pattern, involvement of critical neurovascular structures, pituitary function and endocrinological activity of the tumor. A predominant growth into the sphenoid sinus and clivus poses specific challenges. We reviewed 557 surgeries for [...] Read more.
Evaluation of pituitary neuroendocrine tumors remains complex depending on the exact growth pattern, involvement of critical neurovascular structures, pituitary function and endocrinological activity of the tumor. A predominant growth into the sphenoid sinus and clivus poses specific challenges. We reviewed 557 surgeries for pituitary neuroendocrine tumors in an endonasal endoscopic technique performed between 1 January 2015 and 31 August 2025 to identify 13 cases (2.3%). Clinical, radiological and surgical data were selected by chart review. Thirteen cases aged from 31 to 68 years with almost exclusively non-functioning or clinically silent tumors (92%) were identified. Clival infiltration was restricted to the dorsum sellae in 2/13 (15%), spread to the floor of the sphenoid in 6/13 (46%) and extended inferior to the sphenoid in 5/13 (38%) cases with a high rate of cavernous sinus (62%) and sphenoid sinus infiltration (69%). Complete resection was achieved in 31%, and the residual tumor was clival/sphenoidal in 5/13 cases or within the cavernous sinus in 6/13 cases. The diaphragma sellae was reported to be intact in 92% of cases, and postoperative transient arginine vasopressin deficiency did not occur. Pituitary neuroendocrine tumors predominantly growing below the sella and infiltrating the clivus and sphenoid present specific challenges with a high rate of preoperative pituitary insufficiency, frequent cavernous sinus infiltration and postoperative tumor residuals in the cavernous sinus, sphenoid bone and clivus which are sometimes difficult to delineate. The surgical approach must be tailored specifically to treat the clival infiltration zone to reduce the risk of recurrence. Full article
Show Figures

Figure 1

11 pages, 3120 KB  
Article
Effectiveness of a Modified Transsellar Approach with Planum Sphenoidale Removal for Pituitary Neuroendocrine Tumors with Anterosuperior Extension
by Rei Yamaguchi, Masahiko Tosaka, Naoto Mukada, Masanori Aihara, Yuhei Yoshimoto and Soichi Oya
J. Clin. Med. 2026, 15(1), 367; https://doi.org/10.3390/jcm15010367 - 4 Jan 2026
Viewed by 95
Abstract
Background/Objectives: Achieving gross total resection is crucial in the surgical management of pituitary neuroendocrine tumors (PitNETs). However, PitNETs with anterosuperior extension remain challenging to completely remove using the conventional transsellar approach (TSA) due to limited access to the anterior suprasellar region. This study [...] Read more.
Background/Objectives: Achieving gross total resection is crucial in the surgical management of pituitary neuroendocrine tumors (PitNETs). However, PitNETs with anterosuperior extension remain challenging to completely remove using the conventional transsellar approach (TSA) due to limited access to the anterior suprasellar region. This study evaluated the efficacy and safety of a modified TSA (mTSA) that involves additional removal of the tuberculum sellae and planum sphenoidale (PS) bones without expanding the dural incision. Methods: We retrospectively reviewed 104 patients with nonfunctioning PitNETs who underwent endoscopic transsphenoidal surgery between 2017 and 2022. Seventy-seven patients were treated with the conventional TSA and 27 with the mTSA. Tumor configuration and accessible area were measured on pre- and postoperative MR imaging and CT. The ratio of the accessible to total tumor area was calculated on mid-sagittal images. Surgical outcomes and postoperative complications were compared between groups. Results: Gross total resection was achieved in all patients. Tumors treated with mTSA were larger (median height, 32 mm vs. 25 mm; p < 0.001) and showed greater anterosuperior extension. The mTSA increased the median accessible tumor area from 70% to 88%, with a median PS removal distance of 4.4 mm. Postoperative complications were minimal: cerebrospinal fluid leakage (3%), meningitis (3%), transient ocular movement disturbance (2%), and transient visual worsening (1%). No hemorrhage or anosmia occurred. Conclusions: The mTSA safely expands the surgical corridor to the anterior suprasellar region, enhancing accessibility and enabling complete resection without dural incision. This approach balances surgical radicality and safety in PitNETs with anterosuperior extension. Full article
(This article belongs to the Section Oncology)
Show Figures

Figure 1

11 pages, 1211 KB  
Case Report
AMH in PCOS and Beyond—Rare Case Series
by Ralitsa Robeva, Tzvetozar Mehandjiev, Roumen Dimitrov, Yuri Hranov, Silvia Andonova, Mihaela Mladenova, Atanaska Elenkova, George Hadjidekov and Sabina Zacharieva
Diagnostics 2026, 16(1), 123; https://doi.org/10.3390/diagnostics16010123 - 1 Jan 2026
Viewed by 343
Abstract
Background and Clinical Significance: Anti-Müllerian hormone (AMH) is a dimeric glycoprotein secreted from the granulosa cells of the preantral and small antral follicles, which has entered routine clinical practice as a valuable tool for the diagnosis of different ovarian disorders. Increased AMH [...] Read more.
Background and Clinical Significance: Anti-Müllerian hormone (AMH) is a dimeric glycoprotein secreted from the granulosa cells of the preantral and small antral follicles, which has entered routine clinical practice as a valuable tool for the diagnosis of different ovarian disorders. Increased AMH levels have been recommended as a criterion for polycystic ovary syndrome (PCOS). However, its widespread use remains limited due to analytical diversity and contradictory age-specific thresholds, among other factors that modulate AMH levels. Case Presentation: Herein, we present a rare case series of women with increased AMH levels. The difficulties in the differential diagnosis of patients with elevated AMH levels, because of PCOS combined with pituitary dysfunction, increased ovarian volume, or granulosa cell tumors (GCTs), are discussed. Conclusions: The presented rare cases of increased AMH emphasize the important role of AMH as a diagnostic marker in women with hypogonadotropic hypogonadism and granulosa cell tumors. On the other hand, it is still unknown if increased AMH produced by unusually enlarged or supernumerary ovaries should be considered as actual PCOS cases or as a specific subgroup. Additionally, the unusual case of GCTs with pronounced AMH and LH increase but normal steroids supports the pathophysiological role of AMH for the development of neuroendocrine dysfunction. Moreover, it suggests that GCTs should be considered in the differential diagnosis of chronic anovulation even in women with normal ovarian steroid production in case of unusually high AMH levels for the age. Further studies are needed to explain PCOS heterogeneity and to ensure proper differential diagnosis for every affected woman. Full article
(This article belongs to the Special Issue Diagnosis and Prognosis of Gynecological and Obstetric Diseases)
Show Figures

Figure 1

18 pages, 5536 KB  
Article
Exploring the Dynamic Interaction Between Pituitary Neuroendocrine Tumors (Pit-NETs) Cells and Their Angiogenic Microenvironment by Using the MIB1 Labeling Index, VEGF Expression and Digital Image Analysis
by Mihaela Cozma, Anca Maria Cimpean, Mihail Parnov, Ana Silvia Corlan, Silvia Stratulat, Paula Fala and Eugen Melnic
Curr. Issues Mol. Biol. 2026, 48(1), 27; https://doi.org/10.3390/cimb48010027 - 25 Dec 2025
Viewed by 173
Abstract
One controversial issue in pituitary pathology is the simultaneous proliferation of PitNETs and endothelial cells. No previous studies have compared the MIB1 Labeling Index (MIB1 LI) of PitNETs and stromal endothelial compartments and its connection with VEGF protein and gene expression. Simultaneous PitNETs [...] Read more.
One controversial issue in pituitary pathology is the simultaneous proliferation of PitNETs and endothelial cells. No previous studies have compared the MIB1 Labeling Index (MIB1 LI) of PitNETs and stromal endothelial compartments and its connection with VEGF protein and gene expression. Simultaneous PitNETs proliferation index assessment in tumor and endothelial cells is related to VEGF protein and gene expression, and by using the automated QuPath platform for digital image analysis (DIA), it can be determined whether this dual proliferation specifically characterizes certain PitNETs subtypes. A total of 109 PitNETs were immunostained for endothelial cells (CD34) and proliferation (MIB1). VEGF was assessed by using IHC and RNA scopes. QuPath_DIA measured hormone-dependent MIB1 nuclear expression in tumor and stromal endothelial cells. MIB1 LI correlated with VEGF_mRNA and protein expression. PRL-secreting and non-functioning PitNETs had a high MIB1 LI in stromal endothelial cells. MIB1-positive tumor cell (%MIB1 LI.T) and endothelial cell (%MIB1 LI.E) percentages were substantially correlated (p = 0.01). The profiles of VEGF and hormones significantly and heterogeneously impact the MIB1-LI of tumor and endothelial cells. Tumor–endothelial cell proliferative interaction is specific to PRL-secreting and non-functioning PitNETs. These findings suggest that digital analysis of MIB1 and VEGF expression may serve as a valuable tool for risk stratification in PitNETs. Full article
(This article belongs to the Section Biochemistry, Molecular and Cellular Biology)
Show Figures

Figure 1

13 pages, 896 KB  
Article
Effect of Heat-Killed Lactiplantibacillus plantarum SNK12 on Sleep Quality and Stress-Related Neuroendocrine and Inflammatory Biomarkers in Adults: A Randomized, Double-Blind, Placebo-Controlled, Parallel-Group Trial
by Takumi Watanabe, Shiho Kurosaka, Yuriko Namatame and Toshio Kawahara
Life 2026, 16(1), 26; https://doi.org/10.3390/life16010026 - 24 Dec 2025
Viewed by 325
Abstract
Heat-killed Lactiplantibacillus plantarum SNK12 (SNK), isolated from a traditional Japanese fermented food, has been suggested to influence sleep quality, but human data on sleep improvement with heat-killed lactic acid bacteria (postbiotics) remain limited. We conducted a randomized controlled trial to test whether heat-killed [...] Read more.
Heat-killed Lactiplantibacillus plantarum SNK12 (SNK), isolated from a traditional Japanese fermented food, has been suggested to influence sleep quality, but human data on sleep improvement with heat-killed lactic acid bacteria (postbiotics) remain limited. We conducted a randomized controlled trial to test whether heat-killed SNK (≥1 × 1011 cells/day for 4 weeks) improves sleep quality and alters stress-related immune and neuroendocrine biomarkers. Healthy adults received SNK or a placebo for 4 weeks. The primary outcome was the Oguri–Shirakawa–Azumi Sleep Inventory MA version (OSA-MA) factor “Sleepiness on Rising”; secondary outcomes were other OSA-MA factors and the stress-related biomarkers salivary cortisol and plasma tumor necrosis factor-α (TNF-α). Compared with placebo, SNK improved Sleepiness on Rising (p = 0.032) and Initiation and Maintenance of Sleep (p = 0.010). Salivary cortisol (p = 0.016) and plasma TNF-α (p = 0.037) were also lower with SNK, and no safety concerns emerged. These concomitant changes in subjective sleep indices and stress-related biomarkers are consistent with modulation of hypothalamic–pituitary–adrenal axis activity and inflammatory pathways along the gut–brain axis. SNK may, therefore, represent a practical postbiotic option to support sleep quality. Full article
(This article belongs to the Section Medical Research)
Show Figures

Figure 1

6 pages, 171 KB  
Editorial
Endocrine Tumors: Diagnosis, Treatment, and Management—Closing Editorial
by Jules Zhang-Yin, Emmanouil Panagiotidis and Francesco Dondi
J. Clin. Med. 2025, 14(24), 8890; https://doi.org/10.3390/jcm14248890 - 16 Dec 2025
Viewed by 316
Abstract
Endocrine tumors encompass a diverse group of neoplasms arising from hormone-producing glands, including the thyroid, parathyroid, pituitary, adrenal glands, and neuroendocrine cells dispersed in organs like the pancreas and gastrointestinal tract [...] Full article
(This article belongs to the Special Issue Endocrine Tumors: Diagnosis, Treatment, and Management)
10 pages, 3316 KB  
Case Report
Role of 68Ga-DOTATOC Positron Emission Tomography in Locating Pulmonary Neuroendocrine Tumor Presenting with ACTH-Dependent Cushing’s Syndrome: A Case Report
by Misako Tanaka, Masakazu Uejima, Kuniaki Ozaki, Maiko Nishigori, Yukako Kurematsu, Kosuke Kaji, Kei Moriya, Tadashi Namisaki, Akira Mitoro, Fumihiko Nishimura, Motoaki Yasukawa and Hitoshi Yoshiji
J. Clin. Med. 2025, 14(24), 8634; https://doi.org/10.3390/jcm14248634 - 5 Dec 2025
Viewed by 282
Abstract
Background: In ectopic adrenocorticotropic hormone (ACTH) syndrome, locating the responsible lesion is often challenging. Case Presentation: A 68-year-old woman was transferred to Nara Medical University hospital for a detailed investigation of her ACTH-dependent Cushing’s syndrome. Because of hypercortisolism-induced immunosuppression, she subsequently developed [...] Read more.
Background: In ectopic adrenocorticotropic hormone (ACTH) syndrome, locating the responsible lesion is often challenging. Case Presentation: A 68-year-old woman was transferred to Nara Medical University hospital for a detailed investigation of her ACTH-dependent Cushing’s syndrome. Because of hypercortisolism-induced immunosuppression, she subsequently developed severe Nocardia pneumonia and was forced to temporarily depend on noninvasive positive pressure ventilation (NIPPV). Intravenous antifungal agents and antibiotics were administered, resulting in significant symptomatic improvement. Metyrapone was administered to suppress excessive cortisol. Contrast-enhanced magnetic resonance imaging of the pituitary revealed a 4 mm sized poorly enhanced area, and microadenoma was suspected. Although cavernous venous sampling was indispensable prior to trans-spheroidal surgery (TSS), this examination could not be performed because of the presence of deep vein thrombosis. TSS was performed for both diagnostic and therapeutic purposes, but hypercortisolism did not improve. Moreover, immunohistochemical findings of the specimen revealed nonfunctional pituitary tumor. Methods: We re-evaluated the responsible lesion causing ACTH-dependent Cushing’s syndrome. Fluorine-18 fluorodeoxyglucose (FDG) positron emission tomography (PET) revealed weak and abnormal FDG uptake in the right pericardium, but the possibility of nonspecific uptake could not be ruled out. However, gallium-68 1,4,7,10-tetraazacyclododecane-N,N′,N′′,N′′′-tetraacetic-acid-D-Phe1-Tyr3-octreotide (68Ga-DOTATOC)-PET demonstrated the same degree of abnormal uptake; therefore, a functional pulmonary tumor was strongly suspected. Results: Video-Assisted Thoracic Surgery (VATS) was performed, and histopathological findings of the specimen revealed a neuroendocrine tumor with positive ACTH staining. After VATS, ACTH and cortisol levels were normalized. Conclusions: Here, we report a case of ACTH-dependent Cushing’s syndrome caused by a lung neuroendocrine tumor, in which 68Ga-DOTATOC PET was helpful in detecting the functional tumors. Full article
(This article belongs to the Section Endocrinology & Metabolism)
Show Figures

Figure 1

24 pages, 775 KB  
Review
The PitNET Puzzle: From Zero to Linking Molecular Behavior with Neurosurgical Aspects
by Amira Kamel, Ligia Gabriela Tataranu, Bianca-Cristina Cristutiu, Anica Dricu and Radu Eugen Rizea
Medicina 2025, 61(11), 1973; https://doi.org/10.3390/medicina61111973 - 3 Nov 2025
Viewed by 474
Abstract
The pituitary gland is considered the conductor of the hormonal orchestra, and despite its small dimensions, numerous tumoral lesions can arise within it. Over the past decade, substantial changes have been made regarding the nomenclature, which are summarized in the 5th Edition of [...] Read more.
The pituitary gland is considered the conductor of the hormonal orchestra, and despite its small dimensions, numerous tumoral lesions can arise within it. Over the past decade, substantial changes have been made regarding the nomenclature, which are summarized in the 5th Edition of the World Health Organization Classification of Endocrine and Neuroendocrine Tumors. Furthermore, significant breakthroughs in biomolecular mechanisms have been uncovered, which have formed the basis for the new classification. The management of these lesions varies according to several factors such as tumoral dimensions, hormonal activity, symptomatology, and radiological findings. At the same time, the therapeutic goal is represented by normalization of hormonal hypersecretion if present, control of tumoral growth and/or relief of mass effect symptoms, and preservation or restoration of the pituitary function. The current narrative review aims to explore the link between biomolecular aspects, the extent of resectability, and the postoperative outcome. Full article
(This article belongs to the Section Oncology)
Show Figures

Figure 1

20 pages, 1294 KB  
Review
Stress Pathways in Chronic Kidney Disease: Linking Cortisol, Oxidative Stress, and Inflammation
by Maria Motrenikova, Krasimir Boyanov, Neli Bojinova and Anelia Bivolarska
Antioxidants 2025, 14(10), 1259; https://doi.org/10.3390/antiox14101259 - 20 Oct 2025
Viewed by 2761
Abstract
This review aims to synthesize current evidence on the role of chronic stress and hypothalamic–pituitary–adrenal (HPA) axis dysregulation in the pathogenesis of chronic kidney disease (CKD). The focus is on the interplay between cortisol, oxidative stress, inflammation, and metabolic risk factors within the [...] Read more.
This review aims to synthesize current evidence on the role of chronic stress and hypothalamic–pituitary–adrenal (HPA) axis dysregulation in the pathogenesis of chronic kidney disease (CKD). The focus is on the interplay between cortisol, oxidative stress, inflammation, and metabolic risk factors within the psycho-neuro-endocrine-immune (PNEI) system. CKD is a multifactorial disease characterized by oxidative stress, chronic low-grade inflammation, and neuroendocrine imbalance. These processes interact to accelerate renal injury and systemic complications. Pro-inflammatory mediators such as tumor necrosis factor-alpha (TNF-α), interleukin-1 beta (IL-1β), and interleukin-6 (IL-6), together with oxidative stress markers including malondialdehyde (MDA), advanced oxidation protein products (AOPPs), and 8-hydroxy-2′-deoxyguanosine (8-OHdG), are strongly associated with disease progression. Altered cortisol dynamics—assessed in serum, saliva, and hair—further reflect chronic HPA activation and contribute to immune dysfunction, metabolic disturbances, and cardiovascular risk. By integrating experimental and clinical findings, this review highlights how stress-induced dysregulation of the PNEI system amplifies CKD progression. Understanding these interconnected mechanisms underscores the potential of combining oxidative, inflammatory, and neuroendocrine biomarkers for improved risk stratification and targeted therapeutic interventions. Full article
(This article belongs to the Special Issue Oxidative Stress and Inflammation in Kidney Diseases)
Show Figures

Graphical abstract

12 pages, 2610 KB  
Article
Combined Use of Diffusion- and Perfusion-Weighted Magnetic Resonance Imaging in the Differential Diagnosis of Sellar Tumors: A Single-Centre Experience
by Adrian Korbecki, Marek Łukasiewicz, Arkadiusz Kacała, Michał Sobański, Agata Zdanowicz-Ratajczyk, Karolina Szałata, Mateusz Dorochowicz, Justyna Korbecka, Grzegorz Trybek, Anna Zimny and Joanna Bladowska
J. Clin. Med. 2025, 14(20), 7168; https://doi.org/10.3390/jcm14207168 - 11 Oct 2025
Viewed by 746
Abstract
Background/Objectives: To evaluate whether incorporating both diffusion-weighted imaging (DWI) and perfusion-weighted imaging (PWI) in pituitary MRI examinations improves differential diagnosis by providing additional diagnostic value. Methods: A retrospective analysis was performed on 88 patients with histologically confirmed sellar or parasellar tumors who underwent [...] Read more.
Background/Objectives: To evaluate whether incorporating both diffusion-weighted imaging (DWI) and perfusion-weighted imaging (PWI) in pituitary MRI examinations improves differential diagnosis by providing additional diagnostic value. Methods: A retrospective analysis was performed on 88 patients with histologically confirmed sellar or parasellar tumors who underwent 1.5T MRI with DWI and dynamic susceptibility contrast PWI (DSC-PWI) between October 2007 and April 2023. DWI parameters included minimum apparent diffusion coefficient (ADCmin) and relative ADCmin (rADCmin). PWI parameters included mean and maximum relative cerebral blood volume (rCBV, rCBVmax) and relative peak height (rPH, rPHmax), normalized to white matter. Tumor regions of interest were manually segmented, excluding calcified or hemorrhagic areas. Group comparisons and ROC analyses assessed diagnostic performance of individual and combined parameters. Results: Significant differences in diffusion and perfusion metrics were observed among the five tumor types. The combined analysis of DWI and PWI improved diagnostic accuracy in selected comparisons. The greatest benefit occurred in distinguishing meningiomas from solid non-functional pituitary adenomas (pituitary neuroendocrine tumors-PitNET), where the combination of ADCmin and rPHmax yielded an AUC of 0.818, sensitivity of 88%, and specificity of 76%, exceeding the performance of either parameter alone. In other comparisons, including meningiomas versus invasive PitNETs and adamantinomatous craniopharyngiomas, combined analysis did not substantially improve accuracy when single parameters, particularly rCBVmax (AUC = 0.995), already demonstrated excellent performance. Conclusions: Integration of DWI and PWI into pituitary MRI protocols enhances diagnostic performance in selected tumor groups. The additive value is context-dependent, supporting the tailored application of these sequences in the evaluation of sellar and parasellar tumors. Full article
(This article belongs to the Section Nuclear Medicine & Radiology)
Show Figures

Figure 1

20 pages, 994 KB  
Perspective
Endocrinology and the Lung: Exploring the Bidirectional Axis and Future Directions
by Pedro Iglesias
J. Clin. Med. 2025, 14(19), 6985; https://doi.org/10.3390/jcm14196985 - 2 Oct 2025
Cited by 1 | Viewed by 2012
Abstract
The lung is increasingly recognized as an organ with dual endocrine and respiratory roles, participating in a complex bidirectional crosstalk with systemic hormones and local/paracrine activity. Endocrine and paracrine pathways regulate lung development, ventilation, immunity, and repair, while pulmonary cells express hormone receptors [...] Read more.
The lung is increasingly recognized as an organ with dual endocrine and respiratory roles, participating in a complex bidirectional crosstalk with systemic hormones and local/paracrine activity. Endocrine and paracrine pathways regulate lung development, ventilation, immunity, and repair, while pulmonary cells express hormone receptors and secrete mediators with both local and systemic effects, defining the concept of the “endocrine lung”. This narrative review summarizes current evidence on the endocrine–pulmonary axis. Thyroid hormones, glucocorticoids, sex steroids, and metabolic hormones (e.g., insulin, leptin, adiponectin) critically influence alveologenesis, surfactant production, ventilatory drive, airway mechanics, and immune responses. Conversely, the lung produces mediators such as serotonin, calcitonin gene-related peptide, endothelin-1, leptin, and keratinocyte growth factor, which regulate vascular tone, alveolar homeostasis, and immune modulation. We also describe the respiratory manifestations of major endocrine diseases, including obstructive sleep apnea and lung volume alterations in acromegaly, immunosuppression and myopathy in Cushing’s syndrome, hypoventilation in hypothyroidism, restrictive “diabetic lung”, and obesity-related phenotypes. In parallel, chronic pulmonary diseases such as chronic obstructive pulmonary disease, interstitial lung disease, and sleep apnea profoundly affect endocrine axes, promoting insulin resistance, hypogonadism, GH/IGF-1 suppression, and bone metabolism alterations. Pulmonary neuroendocrine tumors further highlight the interface, frequently presenting with paraneoplastic endocrine syndromes. Finally, therapeutic interactions are discussed, including the risks of hypothalamic–pituitary–adrenal axis suppression with inhaled corticosteroids, immunotherapy-induced endocrinopathies, and inhaled insulin. Future perspectives emphasize mapping pulmonary hormone networks, endocrine phenotyping of chronic respiratory diseases, and developing hormone-based interventions. Full article
(This article belongs to the Section Endocrinology & Metabolism)
Show Figures

Figure 1

17 pages, 813 KB  
Review
The Pituitary Immune Environment and Immunotherapy: From Hypophysitis to Pituitary Neuroendocrine Tumors
by Toru Tateno, Mariam Shahidi, Jian-Qiang Lu and Constance Chik
Cells 2025, 14(18), 1450; https://doi.org/10.3390/cells14181450 - 16 Sep 2025
Cited by 1 | Viewed by 1275
Abstract
The immune landscape plays an important role in various pituitary diseases, ranging from hypophysitis to pituitary neuroendocrine tumors. Moreover, the use of immune checkpoint inhibitors (ICIs) has dramatically altered the landscape of cancer treatment by improving prognosis and overall survival in a multitude [...] Read more.
The immune landscape plays an important role in various pituitary diseases, ranging from hypophysitis to pituitary neuroendocrine tumors. Moreover, the use of immune checkpoint inhibitors (ICIs) has dramatically altered the landscape of cancer treatment by improving prognosis and overall survival in a multitude of advanced-staged malignancies, though their use in pituitary neuroendocrine tumors has remained limited. In this review, we will focus on selected topics to highlight the impact of the immune microenvironment on the function of the pituitary gland, namely, animal models of autoimmune hypophysitis, including ICI-induced hypophysitis as a common adverse event, and the importance of its early recognition in patients treated with ICIs. Using a case, we will provide an overview on the epidemiology, pathogenesis, clinical spectrum, diagnosis, predictors, and management of ICI-induced hypophysitis. We will also summarize the role of the immune microenvironment in pituitary neuroendocrine tumors with programmed cell death ligand 1 as a biomarker for treatment. Lastly, we will review the role of ICIs in the management of 40 patients with aggressive and metastatic pituitary neuroendocrine tumors. Current knowledge gaps in these topics will also be highlighted. Full article
Show Figures

Figure 1

19 pages, 2536 KB  
Systematic Review
From Subtle Signs to Severe Sequelae—A Century of Symptomatology and Comorbidities in the Diagnosis of GH-Secreting Pituitary Neuroendocrine Tumors: A Systematic Review
by María José Ayora, Lizeth Vinueza-Mera, Santiago Aynaguano, David Poma Jimenez, Felipe Loza Hernandez, Sebastian Jara Jimenez, Jose A. Rodas and Jose E. Leon-Rojas
Diagnostics 2025, 15(17), 2137; https://doi.org/10.3390/diagnostics15172137 - 24 Aug 2025
Viewed by 1234
Abstract
Background/Objectives: Somatotropinomas rank as the second most prevalent functional pituitary neuroendocrine tumors (PitNETs), responsible for acromegaly in adults and gigantism in children. Early diagnosis and treatment would help prevent irreversible physical changes and other associated comorbidities. The aim of this review is [...] Read more.
Background/Objectives: Somatotropinomas rank as the second most prevalent functional pituitary neuroendocrine tumors (PitNETs), responsible for acromegaly in adults and gigantism in children. Early diagnosis and treatment would help prevent irreversible physical changes and other associated comorbidities. The aim of this review is to characterize the symptomatic presentation of growth hormone (GH)-secreting PitNET at the time of diagnosis. Methods: A search was conducted in PubMed, Scopus, Cochrane, and the Virtual Health Library (VHL). Primary descriptive and analytical studies were selected if they were written in Spanish or English and addressed the symptoms of acromegaly and/or gigantism due to somatotropinomas. Results: Out of 8470 articles, 93 fulfilled the inclusion criteria, covering 1745 patients (55.4% women). The most frequent diagnostic signs/symptoms were enlarged extremities (12.4%) and facial changes (13.1%). Endocrine–metabolic (42.82%) and cardiovascular (31.45%) were the most prevalent comorbidities. The average diagnostic delay was 6.7 years, with the number of reports of the disease significantly increasing in recent decades, most likely due to ongoing advances in imaging and standardized hormonal tests. Conclusions: Timely recognition of a somatotropinoma’s symptoms and comorbidities is crucial for early diagnosis and referral to specialized care and the prevention of permanent physical and/or physiological changes. Full article
(This article belongs to the Special Issue Diagnosis and Management of Neuroendocrine Tumors)
Show Figures

Figure 1

12 pages, 951 KB  
Article
Fundus Blood Flow in Patients with Sellar Lesions with Optic Nerve Bending and Chiasmal Compression
by Yoichiro Shinohara, Rei Yamaguchi, Masahiko Tosaka, Soichi Oya and Hideo Akiyama
J. Clin. Med. 2025, 14(16), 5790; https://doi.org/10.3390/jcm14165790 - 15 Aug 2025
Viewed by 744
Abstract
Background/objectives: Optic nerve bending and chiasmal compression impair vision in patients with sellar lesions; however, their effect on optic nerve head (ONH) blood flow remains unclear. This study used laser speckle flowgraphy to examine the relationship between clinical features and ONH blood [...] Read more.
Background/objectives: Optic nerve bending and chiasmal compression impair vision in patients with sellar lesions; however, their effect on optic nerve head (ONH) blood flow remains unclear. This study used laser speckle flowgraphy to examine the relationship between clinical features and ONH blood flow in patients with optic nerve bending and chiasmal compression. Methods: This retrospective study included 32 eyes (16 eyes with and 16 without optic nerve bending on the contralateral side) from 16 patients with sellar lesions. The best-corrected visual acuity (BCVA), simple visual field impairment score (SVFIS), optic nerve head mean blur rate (ONH-MBR), and six-segmented macular ganglion cell layer + inner plexiform layer (GCL + IPL) thickness were examined. Results: Preoperative BCVA and SVFIS in eyes with optic nerve bending were significantly worse than those in eyes without bending, and significantly correlated with the optic nerve-canal bending angle (ONCBA). After tumor resection, BCVA and SVFIS significantly improved in both groups. Preoperative ONH-MBR was significantly lower in bending eyes but increased significantly post-treatment in both groups. Preoperative ONH-MBR correlated with ONCBA, while postoperative ONH-MBR correlated with nasal GCL + IPL thickness. Conclusions: Optic nerve bending and chiasmal compression showed reduced blood flow to the ONH. These changes in blood flow may be associated with GCL + IPL thickness and optic nerve bending angle. Full article
(This article belongs to the Special Issue New Advances in Optic Nerve Diseases)
Show Figures

Graphical abstract

22 pages, 2225 KB  
Case Report
Comprehensive Fertility Management After Pituitary Adenoma Surgery: Lessons from a Rural Japanese Case and Practical Review
by Daisuke Numahata, Kosuke Kojo, San-e Ishikawa, Takumi Kuramae, Ayumi Nakazono, Kaoru Yanagida, Hiroyuki Nishiyama and Tatsuya Takayama
Reports 2025, 8(3), 144; https://doi.org/10.3390/reports8030144 - 15 Aug 2025
Viewed by 2155
Abstract
Background and Clinical Significance: Pituitary adenomas, also termed pituitary neuroendocrine tumors, pose a significant risk of hypogonadotropic hypogonadism (HH) after surgical resection, with profound consequences for fertility and sexual function in young patients. Case Presentation: We present the case of a 29-year-old man [...] Read more.
Background and Clinical Significance: Pituitary adenomas, also termed pituitary neuroendocrine tumors, pose a significant risk of hypogonadotropic hypogonadism (HH) after surgical resection, with profound consequences for fertility and sexual function in young patients. Case Presentation: We present the case of a 29-year-old man from rural Japan who developed severe HH and azoospermia following two transsphenoidal resections for a large pituitary adenoma. Despite early engagement with neurosurgery teams, fertility management was delayed by the absence of on-site endocrinology expertise and limited local oncofertility resources. After comprehensive endocrine evaluation and counseling, the patient began combined human chorionic gonadotropin and recombinant follicle-stimulating hormone therapy, resulting in full recovery of sexual function and normalization of semen parameters, ultimately leading to spontaneous conception and the birth of a healthy child. Building on this real-world case, we provide a narrative review of current practical management strategies for HH after pituitary surgery, including the utility of hormone-stimulation tests, Japanese guideline-based subsidy systems, and best-practice approaches to hormonal replacement. Conclusions: This case underscores not only the necessity for early, interdisciplinary collaboration and preoperative counseling but also highlights a rare instance in which a patient with a benign tumor received care that did not address his fertility-related needs, emphasizing that such considerations should be integrated into preoperative counseling even for non-malignant conditions. Strengthening regional oncofertility networks and improving healthcare providers’ awareness of fertility-preservation options remain essential for improving outcomes. Full article
(This article belongs to the Section Oncology)
Show Figures

Figure 1

Back to TopTop