Sign in to use this feature.

Years

Between: -

Subjects

remove_circle_outline
remove_circle_outline
remove_circle_outline
remove_circle_outline
remove_circle_outline
remove_circle_outline
remove_circle_outline

Journals

Article Types

Countries / Regions

Search Results (128)

Search Parameters:
Keywords = mitral valve management

Order results
Result details
Results per page
Select all
Export citation of selected articles as:
13 pages, 823 KB  
Article
Advancing Minimally Invasive Mitral Valve Surgery: Early Outcomes of a Total Endoscopic 2D and 3D Approach
by Carlo Savini, Mariafrancesca Fiorentino, Diego Sangiorgi, Simone Calvi, Antonino Costantino, Elena Tenti and Elisa Mikus
J. Cardiovasc. Dev. Dis. 2025, 12(12), 501; https://doi.org/10.3390/jcdd12120501 - 18 Dec 2025
Viewed by 309
Abstract
Background: The minimally invasive approach is increasingly recognized as the standard for surgical management of mitral valve disease. Advances in endoscopic visualization and surgical instrumentation have enhanced precision while minimizing trauma, improving both functional and esthetic outcomes. This study presents a single-center experience [...] Read more.
Background: The minimally invasive approach is increasingly recognized as the standard for surgical management of mitral valve disease. Advances in endoscopic visualization and surgical instrumentation have enhanced precision while minimizing trauma, improving both functional and esthetic outcomes. This study presents a single-center experience with total endoscopic mitral valve repair (MVR) performed using two- or three-dimensional video-assisted technology. Methods: Between October 2022 and September 2025, 239 patients underwent total endoscopic MVR at our institution. Demographic, operative, and postoperative data were collected and analyzed. Results: Median age was 63 years, with 64.4% male. Median logistic EuroSCORE and EuroSCORE II were 2.53 and 0.83, respectively. Most patients were NYHA class II (54.4%), and 47.7% had pulmonary hypertension. Mitral annuloplasty was performed in 99.2% of cases; 78.6% received Gore-Tex chordae, 6.3% underwent posterior leaflet resection, and 11.7% edge-to-edge repair. Conversion to sternotomy occurred in 0.4%. In-hospital mortality was 1.3%; stroke occurred in 0.4%. Postoperative atrial fibrillation developed in 26.8%, while major complications such as sepsis (2.1%) and renal failure requiring dialysis (1.3%) were infrequent. Median ventilation time was 5 h, ICU stay was 2 days, and hospital stay was 7 days. Pre-discharge echocardiography showed ≤mild regurgitation in 99.2%. Conclusions: Total endoscopic MVR using two- or three-dimensional video assistance is safe, feasible, and yields excellent clinical, functional, and cosmetic results, with low morbidity and rapid recovery. Full article
(This article belongs to the Special Issue State of the Art in Mitral Valve Disease)
Show Figures

Graphical abstract

20 pages, 6309 KB  
Review
Echocardiographic Assessment of Patients Undergoing Mitral Valve Repair
by Marco Rolando, Nadeem Elmasry, Federico Gobbi, Antonella Moreo, Nina Ajmone Marsan, Erberto Carluccio and Federico Fortuni
J. Cardiovasc. Dev. Dis. 2025, 12(12), 498; https://doi.org/10.3390/jcdd12120498 - 17 Dec 2025
Viewed by 477
Abstract
Mitral regurgitation (MR) is one of the most prevalent valvular disorders worldwide, with a growing burden driven by population aging and improved diagnostic capabilities. Understanding the mechanism of MR, whether primary, due to intrinsic valve abnormalities, or secondary, resulting from atrial or ventricular [...] Read more.
Mitral regurgitation (MR) is one of the most prevalent valvular disorders worldwide, with a growing burden driven by population aging and improved diagnostic capabilities. Understanding the mechanism of MR, whether primary, due to intrinsic valve abnormalities, or secondary, resulting from atrial or ventricular remodeling, is essential for optimal management. Echocardiography, particularly advanced modalities such as three-dimensional imaging and strain analysis, plays a central role in this process. It allows accurate quantification of MR severity, detailed characterization of valve and ventricular anatomy, and assessment of remodeling, all of which are critical for determining the optimal timing for intervention. Beyond diagnosis, echocardiography is indispensable in guiding therapy selection: it informs surgical planning by defining leaflet pathology for repair versus replacement strategies, and directs transcatheter interventions by guiding interatrial septal puncture, catheter orientation, and device deployment in real time. While surgery remains the gold standard for primary MR, transcatheter approaches including edge-to-edge repair and emerging mitral valve replacement are increasingly relevant, particularly in patients at high surgical risk or with complex anatomy. This review emphasizes the pivotal role of echocardiography in the pre-procedural assessment of MR, highlighting its ability to integrate anatomical, functional, and hemodynamic information to guide patient-tailored therapeutic strategies and optimize outcomes within a Heart Team framework. Full article
(This article belongs to the Special Issue State of the Art in Mitral Valve Disease)
Show Figures

Figure 1

10 pages, 1614 KB  
Case Report
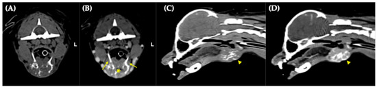
Successful Long-Term Survival Following Thyroid Storm Induced by Radioactive Iodine Therapy in a Dog with Thyroid Carcinoma
by Dasom Son, Byeong-Teck Kang, Younju Kim, Taesik Yun, Hakhyun Kim and Yeon Chae
Vet. Sci. 2025, 12(12), 1164; https://doi.org/10.3390/vetsci12121164 - 6 Dec 2025
Viewed by 569
Abstract
An 8-year-old castrated male Pomeranian with a non-resectable functional thyroid carcinoma and concurrent myxomatous mitral valve disease was referred for radioactive-iodine therapy. Due to clinical thyrotoxicosis at referral and concurrent cardiac disease, the radioiodine dose was selected conservatively at the lower end of [...] Read more.
An 8-year-old castrated male Pomeranian with a non-resectable functional thyroid carcinoma and concurrent myxomatous mitral valve disease was referred for radioactive-iodine therapy. Due to clinical thyrotoxicosis at referral and concurrent cardiac disease, the radioiodine dose was selected conservatively at the lower end of the reported therapeutic range. Despite a conservative radioactive iodine dose, the dog developed acute thyrotoxic decompensation consistent with thyroid storm (manifesting as anxiety, diarrhea, hyperthermia, hypersalivation, and marked tachycardia) within hours of treatment. Propranolol and butorphanol administration led to rapid clinical stabilization. Before the second radioactive iodine therapy, methimazole and propranolol were used for subsequent management, effectively controlling thyrotoxicosis risk and enabling a higher radioiodine dose. Serum thyroxine normalized within 1 month after the second treatment, and the dog maintained complete clinical remission thereafter. Radioactive iodine therapy served as definitive therapy to prevent recurrent life-threatening thyrotoxicosis, resulting in a euthyroid state and long-term survival. This case describes the first documented case of a dog with thyroid carcinoma developing probable thyroid storm associated with radioiodine treatment and subsequently achieving a favorable prognosis. Full article
(This article belongs to the Special Issue Focus on Tumours in Pet Animals: 2nd Edition)
Show Figures

Figure 1

15 pages, 2144 KB  
Review
Percutaneous Treatment of Mitral Regurgitation After Failed Mitral Transcatheter Edge-to-Edge Repair
by André González-García, Julio Echarte-Morales, Manuel Barreiro-Pérez, José Antonio Baz-Alonso, Andrés Íñiguez-Romo and Rodrigo Estévez-Loureiro
J. Cardiovasc. Dev. Dis. 2025, 12(12), 472; https://doi.org/10.3390/jcdd12120472 - 30 Nov 2025
Viewed by 436
Abstract
Mitral regurgitation is one of the most prevalent valvular heart diseases globally and the second most common indication for cardiac valve surgery, surpassed only by aortic stenosis. Over the past decades, open-heart mitral valve surgery has been the gold-standard intervention for this complex [...] Read more.
Mitral regurgitation is one of the most prevalent valvular heart diseases globally and the second most common indication for cardiac valve surgery, surpassed only by aortic stenosis. Over the past decades, open-heart mitral valve surgery has been the gold-standard intervention for this complex disorder, but in recent years, transcatheter edge-to-edge repair has emerged as a valuable option in selected clinical scenarios. However, a considerable proportion of patients develop recurrent mitral regurgitation during follow-up, leading to a significant increase in morbidity and mortality. In this context, data is limited regarding the optimal approach. This review provides an overview of the current evidence on transcatheter mitral valve intervention therapies for the management of recurrent mitral regurgitation following transcatheter edge-to-edge repair. Full article
Show Figures

Figure 1

7 pages, 2194 KB  
Case Report
Creutzfeldt–Jakob Disease Mimicking Transient Brain Ischemia in a Patient with a Mitral Valve Prosthesis—A Case Report
by Goda Barauskienė, Medeinė Laurikaitytė, Daiva Emilija Rekienė, Saulius Sadauskas, Albinas Naudžiūnas and Edita Mašanauskienė
Reports 2025, 8(4), 250; https://doi.org/10.3390/reports8040250 - 28 Nov 2025
Viewed by 480
Abstract
Background and Clinical Significance: Creutzfeldt–Jakob disease (CJD) is a rare and fatal neurodegenerative disorder caused by prion protein misfolding. The disease poses significant diagnostic challenges, particularly when its initial symptoms mimic other conditions, such as transient ischemic attacks. Early recognition and differentiation [...] Read more.
Background and Clinical Significance: Creutzfeldt–Jakob disease (CJD) is a rare and fatal neurodegenerative disorder caused by prion protein misfolding. The disease poses significant diagnostic challenges, particularly when its initial symptoms mimic other conditions, such as transient ischemic attacks. Early recognition and differentiation from other neurological conditions are critical, as misdiagnosis may lead to unnecessary interventions. This case highlights a unique presentation of CJD in a male Caucasian patient with a history of cardiac surgery and mitral valve prosthesis, emphasizing the role of multidisciplinary evaluation in complex neurological cases. Case Presentation: A male patient in his mid-sixties with a history of mitral valve mechanical prosthesis and prior infective endocarditis presented with progressive cognitive decline, memory impairment, and episodes of confusion. Initial cardiovascular investigations suggested mitral valve prosthesis thrombosis, while neurological assessment pointed toward transient brain ischemia. However, brain imaging remained inconclusive. Given the rapid deterioration of cognitive and motor functions, further diagnostic workup was performed. MRI findings revealed cortical diffusion restrictions consistent with probable CJD. Despite symptomatic management, the patient’s condition worsened, leading to akinetic mutism and death within eight days of diagnosis. Conclusions: This case underscores the diagnostic complexity of CJD, particularly when initial symptoms overlap with transient ischemic events. It highlights the importance of comprehensive neuroimaging and an interdisciplinary approach in recognizing atypical neurodegenerative diseases to improve diagnostic accuracy and patient management. Full article
Show Figures

Figure 1

12 pages, 1081 KB  
Review
Pectus Excavatum—A Frequent but Often Neglected Entity in Sports Cardiology
by Łukasz Małek, Anna Lemańska and Mateusz Śpiewak
Diagnostics 2025, 15(23), 2956; https://doi.org/10.3390/diagnostics15232956 - 21 Nov 2025
Viewed by 981
Abstract
Pectus excavatum (PE) is the most frequent chest wall deformity, representing 65–95% of all cases, with an estimated prevalence of up to 1 in 300 births. Despite its frequency, it remains underrecognized in sports cardiology. PE results from sternal depression and narrowing of [...] Read more.
Pectus excavatum (PE) is the most frequent chest wall deformity, representing 65–95% of all cases, with an estimated prevalence of up to 1 in 300 births. Despite its frequency, it remains underrecognized in sports cardiology. PE results from sternal depression and narrowing of the anterior chest, which may lead to cardiac compression, impaired diastolic filling, and reduced stroke volume during exercise. Consequently, athletes with PE often present with cardiovascular symptoms such as exercise-induced dyspnoea, chest pain, palpitations, presyncope, or reduced physical fitness. Electrocardiographic changes, including right bundle branch block, axis deviation, atrial enlargement, T-wave inversion, QS complexes or Brugada phenocopies, are frequent and may mimic serious cardiovascular conditions, complicating pre-participation screening. Furthermore, PE is associated with potentially high-risk conditions including mitral valve prolapse, ventricular arrhythmias, and connective tissue disorders such as Marfan syndrome, which carry implications for sports eligibility and safety. Assessment of athletes with PE requires multimodal imaging (echocardiography, computed tomography, magnetic resonance), cardiopulmonary exercise testing, and exclusion of concomitant cardiovascular disease. Treatment strategies range from conservative approaches (physiotherapy, vacuum bell therapy) to surgical correction, most commonly with the Nuss procedure, which can improve cardiac function, exercise capacity, and quality of life. Management should involve shared decision making between clinicians, athletes, and families, weighing potential risks against athletic aspirations. Awareness of PE in sports cardiology is crucial, as it not only influences differential diagnosis and screening outcomes but also impacts career decisions and the psychological well-being of athletes. Full article
(This article belongs to the Special Issue Diagnostic Challenges in Sports Cardiology—2nd Edition)
Show Figures

Figure 1

13 pages, 1941 KB  
Article
Mitral Valve Repair for the Treatment of Acute Bacterial Endocarditis: Analysis of a 10-Year Single-Center Experience
by Martina Musto, Sonia Lerta, Gloria Sangaletti, Raffaele Bruno, Elena Seminari, Giulia Magrini, Romina Frassica, Monica Wu, Stefano Pelenghi and Pasquale Totaro
J. Clin. Med. 2025, 14(22), 7907; https://doi.org/10.3390/jcm14227907 - 7 Nov 2025
Viewed by 398
Abstract
Background/Objectives: Acute bacterial endocarditis (ABE) is a frequent situation and continues to be a challenge. Mitral valve involvement during acute bacterial endocarditis is often the result of the spread of the endocarditic process from the adjacent aortic valve. Mitral involvement, on the other [...] Read more.
Background/Objectives: Acute bacterial endocarditis (ABE) is a frequent situation and continues to be a challenge. Mitral valve involvement during acute bacterial endocarditis is often the result of the spread of the endocarditic process from the adjacent aortic valve. Mitral involvement, on the other hand, could also be an expression of the initial localization of the bacteria. The best option for treating mitral ABE is still a matter of debate. Recent reports have shown satisfactory results with mitral reconstructive techniques in the treatment of mitral ABE. In this study, we present a comprehensive review of our 10-year institutional experience in the surgical management of acute mitral endocarditis with a focus on technical considerations, outcomes, and the durability of mitral valve repair in this high-risk population. Methods: We queried the institutional database, cross-referencing patients admitted with a diagnosis of “acute bacterial endocarditis” with patients undergoing surgical procedures for “valvular disease” at our division. Out of 1136 valvular procedures listed in our PACS database, 180 patients were admitted with a diagnosis of active acute endocarditis, and 46 included treatment of the mitral valve. We analyzed and compared short- and long-term follow-up (ranging from 3 to 141 months with a mean of 42 ± 38 months) of these 46 patients, dividing them into two groups: mitral valve repair (MVr) and mitral valve replacement (MVR). Results: 18 (40%) patients underwent reconstructive treatment of the mitral valve, and 28 (60%) underwent mitral valve replacement. Cumulative in-hospital mortality was 10% (5 pts, all from the MVR group), however, with no difference between the two groups. A shorter time gap from diagnosis to surgery (<10 days) was the only predictive factor for early mortality. A further 11 patients died during follow-up (2 from group A and 9 from group B). Long-term survival, on the other hand, was negatively influenced by MV surgical replacement (p = 0.0178), older patients’ age (>60 years), and urgent surgical procedures. Finally, patients with MVr also experienced a favorable postoperative event-free curve for endocarditis recurrence (p = 0.0260) and time elapsed before recurrence (p = 0.0438). Conclusions: Mitral valve repair in the case of active endocarditis could be a treatment associated with more favorable outcomes, providing that a complete eradication of infective tissue can be accomplished. Conservative treatment, when feasible, seems to offer favorable cumulative long-term outcomes. Full article
Show Figures

Figure 1

10 pages, 657 KB  
Article
The Challenge of Endocarditis in Burn Patients: A Retrospective Cohort Study
by Francesco Coletta, Angela Sinagoga, Martina Mariani, Giuseppe Napolitano, Pasquale Rinaldi, Alessandro Perrella, Francesca Schettino, Crescenzo Sala, Tiziana Ascione, Ilaria Mataro, Carlo Petroccione, Maria Rosaria Cavezza, Antonio Tomasello, Raffaele Annunziata and Romolo Villani
Acta Microbiol. Hell. 2025, 70(4), 43; https://doi.org/10.3390/amh70040043 - 7 Nov 2025
Viewed by 550
Abstract
Severely burned patients are at high risk of local and systemic infections due to skin barrier loss. Their clinical management is complex and requires coordinated intensive care and infection prevention strategies. Diagnosing infective endocarditis (IE) in this population is particularly difficult due to [...] Read more.
Severely burned patients are at high risk of local and systemic infections due to skin barrier loss. Their clinical management is complex and requires coordinated intensive care and infection prevention strategies. Diagnosing infective endocarditis (IE) in this population is particularly difficult due to overlapping symptoms and limited diagnostic specificity. Common pathogens include Staphylococcus aureus, Pseudomonas aeruginosa, and Acinetobacter baumannii. We conducted a retrospective cohort study on 543 patients with burns affecting >18% of total body surface area (TBSA), admitted to our Burn Intensive Care Unit (BICU) from 2019 to 2024. The incidence of infective endocarditis was 1.47%, involving aortic (75%), mitral (12.5%), and tricuspid (12.5%) valves. Pathogens identified included S. aureus, Klebsiella pneumoniae, A. baumannii, and P. aeruginosa. This incidence is significantly higher than that in the general population. Mortality reached 50%, with an overall 3-month mortality of 75%. The literature on IE in burn patients is scarce, and the role of antibiotic prophylaxis remains controversial. Infective endocarditis in burn patients, although rare, represents a severe complication with high mortality. Early diagnosis and coordinated multidisciplinary care are essential to improve patient outcomes. Full article
Show Figures

Figure 1

19 pages, 4820 KB  
Systematic Review
Giant Atrial Dilatation: Systematic Review of Reported Cases from the Last Decade and an Illustrative Case with Dysphagia and Severe Dysphonia
by Caius Glad Streian, Iulia-Raluca Munteanu, Marinela-Adela Scuturoiu, Alina-Ramona Cozlac, Ana Lascu, Raluca-Elisabeta Staicu, Lucian-Silviu Falnita, Adrian Grigore Merce and Horea Bogdan Feier
J. Clin. Med. 2025, 14(21), 7832; https://doi.org/10.3390/jcm14217832 - 4 Nov 2025
Viewed by 597
Abstract
Background/Objectives: Giant atrial chambers are rare but clinically important conditions, most often linked to rheumatic mitral valve disease, though they may also occur in congenital or other acquired disorders. Despite their low prevalence, they entail major hemodynamic, arrhythmogenic, and extracardiac risks. This study [...] Read more.
Background/Objectives: Giant atrial chambers are rare but clinically important conditions, most often linked to rheumatic mitral valve disease, though they may also occur in congenital or other acquired disorders. Despite their low prevalence, they entail major hemodynamic, arrhythmogenic, and extracardiac risks. This study aimed to review recent evidence on giant atrial pathology—including giant left atrium (GLA), giant right atrium (GRA), and atrial appendage aneurysms—and to illustrate its relevance through cases of symptomatic extracardiac compression. Methods: A PubMed search on 15 September 2025 using “giant atrium” and limited to human, free full-text studies from the last 10 years yielded 93 results. After screening, 21 reports describing 24 cases were analyzed and compared with institutional experience. Results: GLA is most often defined by an anteroposterior diameter ≥6.5 cm or ≥8 cm, while criteria for GRA and appendage aneurysms remain inconsistent. Reported complications include atrial fibrillation, thromboembolism, and compression of mediastinal structures, with presentations such as dysphagia or airway obstruction. While valve surgery alone may suffice, many authors recommend concomitant atrial reduction or aneurysm resection in symptomatic patients. Conclusions: Giant atrial pathology, though uncommon, carries significant cardiac and extracardiac implications. Management should be individualized, and awareness of atypical manifestations is critical for timely diagnosis and treatment. Full article
(This article belongs to the Section Cardiovascular Medicine)
Show Figures

Figure 1

11 pages, 1747 KB  
Case Report
Trousseau’s Syndrome and Marantic Endocarditis in a Patient with Pulmonary Adenocarcinoma: A Case Report and a Brief Review of the Literature
by Leandro Cosco, Margherita Padeletti, Andrea Sorrentino, Massimo Milli and Rossella Marcucci
Reports 2025, 8(4), 215; https://doi.org/10.3390/reports8040215 - 27 Oct 2025
Viewed by 880
Abstract
Background and Clinical Significance: Trousseau’s syndrome, characterized by recurrent thromboembolic events and non-bacterial thrombotic endocarditis, represents a severe paraneoplastic condition associated with poor prognosis in cancer patients. Due to the growing life expectancy of cancer patients, Trousseau’s syndrome is becoming more frequent. Consequently, [...] Read more.
Background and Clinical Significance: Trousseau’s syndrome, characterized by recurrent thromboembolic events and non-bacterial thrombotic endocarditis, represents a severe paraneoplastic condition associated with poor prognosis in cancer patients. Due to the growing life expectancy of cancer patients, Trousseau’s syndrome is becoming more frequent. Consequently, risk of thrombosis and bleeding assessment, as well as early diagnosis and opportune therapy will gain importance. Case Presentation: We describe a case of a 63-year-old Caucasian male presenting with ischemic stroke. During management, he developed a mitral valve marantic endocarditis, and finally the diagnosis of pulmonary adenocarcinoma was performed. The case description is followed by a brief review of the relevant literature on the condition. Discussion and Conclusions: This case highlights the complexity of diagnosing and managing Trousseau’s syndrome. Early recognition, appropriate anticoagulation strategies, and the need for multidisciplinary management are crucial to improve the outcomes and the quality of life for cancer patients. Full article
Show Figures

Graphical abstract

13 pages, 1039 KB  
Article
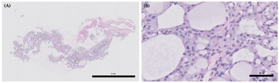
MicroRNA Expression Profiling in Canine Myxomatous Mitral Valve Disease Highlights Potential Diagnostic Tool and Molecular Pathways
by Gabriella Guelfi, Noemi Santarelli, Camilla Capaccia, Federica Valeri, Domenico Caivano and Elvio Lepri
Vet. Sci. 2025, 12(11), 1029; https://doi.org/10.3390/vetsci12111029 - 23 Oct 2025
Cited by 1 | Viewed by 773
Abstract
Myxomatous mitral valve disease (MMVD) is the most common acquired cardiac disoder in dogs and a relevant model for human mitral valve disease. However, the molecular drivers of disease progression remain unclear, and reliable biomarkers for early diagnosis still hamper clinical management. This [...] Read more.
Myxomatous mitral valve disease (MMVD) is the most common acquired cardiac disoder in dogs and a relevant model for human mitral valve disease. However, the molecular drivers of disease progression remain unclear, and reliable biomarkers for early diagnosis still hamper clinical management. This study investigated microRNA (miRNA) expression directly in histologically characterized mitral valve tissues. Formalin-fixed paraffin-embedded samples were obtained from control dogs (n = 7), low-grade MMVD (n = 8), and high-grade MMVD (n = 5). A bioinformatics workflow identified candidate miRNAs converging on extracellular matrix remodeling and canonical signaling pathways, including TGF-β, PI3K–Akt, and MAPK. Selected candidates, let-7 family, miR-98, miR-21, miR-30b, miR-133b, and miR-103, were validated by qPCR. Results revealed a general upregulation of the panel in MMVD compared with controls, with stage-dependent differences between low- and high-grade lesions. In particular, miR-21, let-7b, and miR-133b were markedly increased in advanced disease, while miR-30b emerged as an early-stage marker with potential prognostic value. These findings provide molecular evidence linking miRNA dysregulation to progressive valvular degeneration. By combining histologically defined tissue analysis with stage-based comparisons, this study identifies miRNAs with potential diagnostic and prognostic utility for canine MMVD. Full article
Show Figures

Figure 1

13 pages, 2859 KB  
Article
Mitral Annular Disjunction and Arrhythmic Risk: Case Series and State of the Art
by Marisa Varrenti, Eleonora Bonvicini, Leandro Fabrizio Milillo, Ilaria Garofani, Lorenzo Gigli, Matteo Baroni, Alberto Preda, Marco Carbonaro, Roberto Menè, Giulia Colombo, Antonio Frontera, Raffaele Falco, Federica Giordano, Sara Vargiu, Fabrizio Guarracini, Patrizia Pedrotti, Cristina Giannattasio and Patrizio Mazzone
Biomedicines 2025, 13(11), 2589; https://doi.org/10.3390/biomedicines13112589 - 23 Oct 2025
Viewed by 1130
Abstract
Background: Mitral annular disjunction (MAD) is an anatomical abnormality associated with an increased risk of major arrhythmic events, regardless of the presence of mitral valve prolapse. Cardiac magnetic resonance (CMR) plays a key role in diagnosing MAD and identifying myocardial fibrosis, a marker [...] Read more.
Background: Mitral annular disjunction (MAD) is an anatomical abnormality associated with an increased risk of major arrhythmic events, regardless of the presence of mitral valve prolapse. Cardiac magnetic resonance (CMR) plays a key role in diagnosing MAD and identifying myocardial fibrosis, a marker of arrhythmic vulnerability. Aim: This study reports the experience of the De Gasperis Cardiology Centre at Niguarda Hospital (Milan, Italy) in managing high-risk MAD patients who underwent implantable cardioverter–defibrillator (ICD) implantation and describes their main clinical characteristics. Methods: Between January 2020 and April 2025, five patients with MAD who received ICDs were identified and monitored remotely. Although the small sample size limits generalizability, the objective was to characterize factors associated with arrhythmic susceptibility. Results: Four patients exhibited documented ventricular arrhythmias: two with non-sustained and two with sustained ventricular tachycardia. Notably, CMR did not reveal myocardial fibrosis in two symptomatic cases, suggesting that arrhythmic vulnerability may precede detectable structural abnormalities. The observed coexistence of MAD with arrhythmogenic cardiomyopathies and channelopathies underscores the relevance of comprehensive genetic evaluation in these patients. Conclusions: MAD should be considered a potential arrhythmogenic substrate rather than a benign anatomical variant. A multimodal diagnostic approach and individualized risk stratification—potentially integrating genetic findings—are essential for optimal patient management. Full article
Show Figures

Figure 1

11 pages, 553 KB  
Communication
Oxidative Stress Related to Mechanical Heart Valves: A Pilot Cross-Sectional Study
by Ilaria Maria Palumbo, Arianna Pannunzio, Danilo Menichelli, Vittoria Cammisotto, Valentina Castellani, Simona Bartimoccia, Emanuele Valeriani, Vito Maria Daniele Cormaci, Daniele Pastori and Pasquale Pignatelli
Antioxidants 2025, 14(10), 1264; https://doi.org/10.3390/antiox14101264 - 20 Oct 2025
Cited by 1 | Viewed by 835
Abstract
Background: Valvular heart disease remains a major global health issue, with mechanical prosthetic heart valves (MPHVs) widely used in surgical valve replacement. However, these devices carry a risk of thrombosis, particularly in the mitral position. Several mechanisms may be involved in this risk, [...] Read more.
Background: Valvular heart disease remains a major global health issue, with mechanical prosthetic heart valves (MPHVs) widely used in surgical valve replacement. However, these devices carry a risk of thrombosis, particularly in the mitral position. Several mechanisms may be involved in this risk, but the role of oxidative stress (OxS) remains unclear. Our aim was to assess the relationship between OxS impairment and platelet activation. Methods: We analyzed data from a pilot, observational, monocentric study conducted at our anticoagulation clinic at Sapienza University of Rome, involving adult patients with MPHVs (aortic or mitral) on vitamin K antagonist therapy, enrolled between June and September 2024. Clinical data and blood samples were collected to evaluate markers of NOX2-mediated OxS (sNOX2-dp, H2O2) and platelet activation (sCD40L) using ELISA-based assays. Results: Our cohort included 30 patients with mitral MPHVs and 30 patients with aortic MPHVs (46.7% males, 53.3% females). Serum sNOX2-dp and H2O2 were significantly higher in patients with mitral MPHVs (28.69 [25.08–33.18] vs. 24.27 [17.30–26.41] pg/mL, p = 0.001, and 22.94 [15.79–27.33] vs. 16.73 [12.50–20.87] µM, p = 0.013, respectively) compared with aortic MPHV patients. sCD40L was significantly elevated in mitral versus aortic MPHVs (5.61 [3.69–6.89] vs. 3.65 [2.14–5.54] ng/mL, p = 0.009). Spearman’s correlation analysis showed a significant correlation between sNOX2-dp levels and sCD40L in both groups (mitral MPHVs: rs = 0.521, p = 0.003; aortic MPHVs: rs = 0.443, p = 0.014). Conclusions: Mitral MPHVs are associated with heightened OxS and platelet activation compared to aortic MPHVs. These findings may help explain the higher thrombotic risk observed with mitral valves and support differential management strategies. Full article
(This article belongs to the Special Issue Oxidative Stress and Inflammation in Heart Failure)
Show Figures

Figure 1

6 pages, 1611 KB  
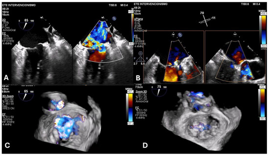
Case Report
Left Atrial Dissection After Mitral and Aortic Valve Replacement: The Importance of Early Diagnosis of a Rare Entity
by Despoina Sarridou, Sophia Anastasia Mouratoglou, Rafail Ioannidis, Aikaterini Amaniti, Giakoumis Mitos and Eleni Argiriadou
Reports 2025, 8(4), 205; https://doi.org/10.3390/reports8040205 - 17 Oct 2025
Viewed by 523
Abstract
Background and Clinical Significance: Left atrial dissection is a rare surgical complication (occurring in 0.16% of cases), which results in the formation of a large cavity between the endocardium and the epicardium. Case Presentation: We report a case of a 78-year-old man [...] Read more.
Background and Clinical Significance: Left atrial dissection is a rare surgical complication (occurring in 0.16% of cases), which results in the formation of a large cavity between the endocardium and the epicardium. Case Presentation: We report a case of a 78-year-old man who underwent combined aortic and mitral valve replacement. Extensive debridement of the calcified mitral annulus most probably precipitated the formation of a dissection flap detected by transesophageal echocardiography after protamine administration. Profound hypotension and hemodynamic instability were treated with inotropic and vasopressor support and fluid administration without any further surgical intervention. Conclusions: The patient recovered uneventfully under conservative management, highlighting the importance of perioperative echocardiography for prompt diagnosis and tailored intervention. Full article
Show Figures

Figure 1

16 pages, 2824 KB  
Review
Mitral Valve Prolapse and Sudden Cardiac Death—A Puzzle with Missing Pieces: Review of the Literature and Case Report
by Diana Roxana Opris, Marius Mihai Harpa, David-Emanuel Anitei, Paul Calburean and Roxana Rudzik
Med. Sci. 2025, 13(3), 185; https://doi.org/10.3390/medsci13030185 - 10 Sep 2025
Cited by 1 | Viewed by 2071
Abstract
Background: Mitral valve prolapse is a common valvular heart disorder, usually associated with a benign prognosis in the absence of significant mitral regurgitation. However, a subset of patients is at increased risk for complex ventricular arrhythmias and sudden cardiac death. Identifying these high-risk [...] Read more.
Background: Mitral valve prolapse is a common valvular heart disorder, usually associated with a benign prognosis in the absence of significant mitral regurgitation. However, a subset of patients is at increased risk for complex ventricular arrhythmias and sudden cardiac death. Identifying these high-risk individuals remains a major clinical challenge. Case Summary: We present the case of a 71-year-old female patient with recurrent syncopal episodes, a strong family history of sudden cardiac death, and complex ventricular ectopy. Multimodality imaging revealed bileaflet mitral valve prolapse, severe mitral regurgitation, mitral annular disjunction, and the Pickelhaube sign, with no evidence of myocardial fibrosis on cardiac magnetic resonance imaging. The patient underwent minimally invasive mitral valve repair and received an implantable cardioverter-defibrillator for primary prevention of sudden cardiac death. Follow-up revealed significant reverse cardiac remodeling, marked reduction in arrhythmic burden, and restoration of mitral valve function. Family screening identified mitral annular disjunction in both of her daughters, who were asymptomatic and without arrhythmias. Discussion: Mitral annular disjunction has emerged as a potentially arrhythmogenic substrate, especially in patients with familial clustering, raising the possibility of a genetic predisposition. Risk stratification remains difficult, as no individual clinical, electrocardiographic, or imaging marker has demonstrated consistent predictive value. Surgical correction of mitral valve prolapse with associated mitral annular disjunction may lead to a reduction in arrhythmic risk and promote favorable structural remodeling. Conclusions: This case-based review emphasizes the importance of advanced imaging techniques in the identification and management of high-risk mitral valve prolapse phenotypes. Early surgical intervention and close arrhythmic surveillance may improve outcomes, although further research is necessary to define risk assessment tools and explore the genetic background of arrhythmogenic mitral valve disease. Full article
Show Figures

Figure 1

Back to TopTop