Giant Atrial Dilatation: Systematic Review of Reported Cases from the Last Decade and an Illustrative Case with Dysphagia and Severe Dysphonia
Abstract
1. Introduction
2. Materials and Methods
3. Results
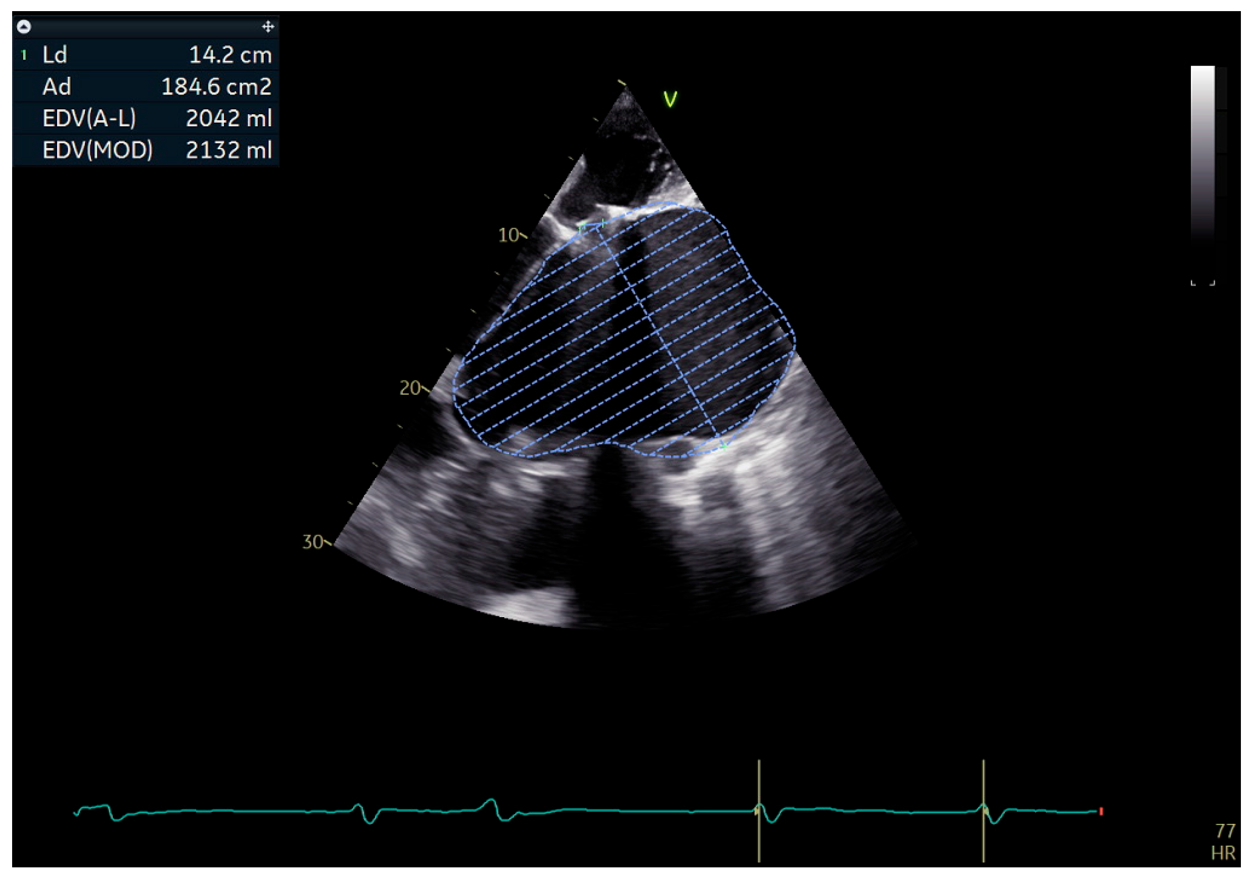
4. Case Presentation
5. Discussion
6. Conclusions
Supplementary Materials
Author Contributions
Funding
Institutional Review Board Statement
Informed Consent Statement
Data Availability Statement
Conflicts of Interest
Abbreviations
| AF | Atrial Fibrillation |
| CT | Computed Tomography |
| GLA | Giant Left Atrium |
| GRA | Giant Right Atrium |
| l | Left |
| LVEF | Left Ventricular Ejection Fraction |
| MRI | Magnetic Resonance Imaging |
| na | Not applicable |
| ns | Not specified |
| r | Right |
| TAPSE | Tricuspid Annular Plane Systolic Excursion |
Appendix A
| Journal | Year | Age | Sex | Symptoms | Comorbidities | Diagnostic | Supplementary Diagnostic | Cardiac Surgery Before | Diameter Atrium | Biatrial Dilatation | Appendage Aneurysm? | LVEF | Pulmonary Artery Hypertension | Present Thromb? | Arrythmia | Treatment | Cardiac Surgery Concomitant | Complication | Outcome |
|---|---|---|---|---|---|---|---|---|---|---|---|---|---|---|---|---|---|---|---|
| BMC [4] | 2017 | ns | ns | nausea | high blood pressure | echo | mri, ct | no | ns | ns | right 10.5 cm | ns | ns | yes | atrial fibrillation | conservative | na | na | ns |
| BMJ [19] | 2015 | 24 | f | orthopnea, stridor | Hurler- Scheie syndrome | echo | ct, mri | no | ns | ns | left 8 cm | ns | severe | yes | no | surgical resection | mitral stenosis | no | 10 months |
| Medicine [20] | 2016 | 63 | f | dyspnea, lower extremity edema | high blood pressure, cirrhosis | echo | CT | 9 years prior mitral valve replacement and thrombectomy | l 14.4 cm r 10.7 | yes | no | 68% | mild | yes | atrial fibrillation | conservative | na | na | ns |
| Turk [21] | 2016 | 57 | f | ns | ns | echo | ns | na | ns | ns | left | ns | ns | no | atrial fibrillation | conservative | na | na | ns |
| Cardiol [31] | 2019 | 46 | m | palpitation | ns | echo | speckle tracking, ct | no | ns | yes | left 6 cm | 56% | ns | no | atrial fibrillation | conservative | na | na | ns |
| BMJ [22] | 2019 | 45 | f | dyspnea, palpitation | high blood pressure | xray | echo, CT | no | ns | ns | left | ns | ns | yes | atrial fibrillation | conservative | na | na | 6 months |
| Elsevier [17] | 2017 | 22 | m | palpitation | ns | echo | ct | no | ns | ns | right 10.3 cm | ns | ns | no | sinus tachycardia | conservative | na | na | ns |
| JCS [23] | 2017 | 36 | f | chest pain | ns | echo | CT | no | ns | ns | left 9.6 cm | ns | ns | no | no | surgical resection | no | no | 6 months |
| DeBakey [5] | 2022 | 52 | f | dyspnea | pneumonia | Ct | mri, ct | no | ns | ns | left | ns | ns | no | ns | conservative | na | no | ns |
| Texas [32] | 2017 | 73 | m | orthopnea | mitral stenosis | echo | ns | no | l 15.6 | ns | no | ns | ns | no | atrial fibrillation | conservative | na | na | ms |
| Circ [33] | 2017 | 51 | m | asymptomatic | colon cancer | ct | rx, echo, mri | no | r 13.3 cm | no | yes | ns | ns | no | no | conservative | na | a | ns |
| BMC [24] | 2018 | 42 | m | palpitation, hemoptysis | ns | echo | ct | no | l 13 cm | no | no | 40 | severe | no | no | surgical resection | mitral regurgitation tricuspid regurgitation | pneumonia, mesenteric ischemia | deceased in 202 days |
| BMC [24] | 2018 | 64 | m | dyspnea, fatigue, palpitation | hepatomegaly | echo | ns | no | l 17 cm | no | no | 40 | severe | no | atrioventricular block | surgical reconstruction | mitral regurgitation tricuspid regurgitation | no | deceased in 10 years |
| BMC [24] | 2018 | 65 | f | chest pain, dyspnea | hepatomegaly | echo | ns | no | l 9.2 cm | no | no | 35 | moderate | no | no | surgical reconstruction | mitral stenosis tricuspid regurgitation | no | deceased in 10 years |
| BMC [24] | 2018 | 64 | f | palpitations, dyspnea | ns | xray | echo, CT | no | l 9 cm | yes | no | 45 | moderate | no | atrial fibrillation | surgical reconstruction | mitral regurgitation tricuspid regurgitation | no | 1 year |
| BMJ [25] | 2018 | 79 | f | dyspnea | ns | ct | echo, CT | mitral valve replacement | l 11 cm | ns | no | 55 | severe | no | no | conservative | na | na | ns |
| BMJ [26] | 2018 | 67 | f | dyspnea, lower extremity edema | pleural effusion | xray | echo, ct | mitral valve replacement | l 19.7 | no | no | 40 | severe | no | ns | conservative | na | na | ns |
| Ann Noninv [27] | 2021 | 60 | f | dizziness | amaurosis | xray | echo, | mitral valve replacement aortic valve replacement tricuspid valvuloplasty | r 8.2 cm | no | no | 70 | severe | no | atrial fibrillation | conservative | na | na | ns |
| BMJ [34] | 2016 | 78 | m | dyspnea | ns | echo | xray, ct | mitral valve replacement | l 20.6 cm | no | no | ns | ns | yes | atrial fibrillation | ns | ns | ns | ns |
| Brazilian [35] | 2019 | 60 | m | asymptomatic | ns | echo | mri | 14 years prior orthotopic heart transplant | l 9.8 | no | no | ns | ns | yes | no | conservative | thrombectomy | renal failure, myocardial infarct, acute respiratory disfunction | deceased in 11 days |
| Internat [28] | 2018 | 55 | f | orthopnea, dyspnea, hoarseness | ns | echo | ct | no | l 15 cm | no | no | ns | ns | no | ns | conservative | na | heart failure | deceased in 3 days |
| Balkan [18] | 2024 | 89 | f | dyspnea, lower extremity edema | hepatomegaly | echo | ct | 15 years prior myxoma excision | l 8 cm | yes | no | 63 | moderate | yes | atrial fibrillation | conservative | na | na | ns |
| Texas [29] | 2016 | 65 | f | difficulty swallowing | cachexia, pulmonary right lobe atelectasis | echo | CT, mri | mitral valve replacement | l 19 cm | no | no | ns | ns | no | atrial fibrillation | conservative | na | na | ns |
| Hellenic [30] | 2018 | 88 | f | dyspnea | x-ray | echo, CT | no | l 11.9 | no | no | ns | severe | no | atrial fibrillation | conservative | na | na | ns |
References
- El Maghraby, A.; Hajar, R. Giant Left Atrium: A Review. Heart Views 2012, 13, 46. [Google Scholar] [CrossRef] [PubMed]
- Ozkan, A.; Tuncer, A.; Ozkan, M. Giant Left Atrium. J. Am. Coll. Cardiol. 2012, 60, e13. [Google Scholar] [CrossRef]
- Left Atrial Enlargement (LAE): Symptoms, Causes & Treatment. Available online: https://my.clevelandclinic.org/health/diseases/23967-left-atrial-enlargement (accessed on 29 September 2025).
- Sivakumaran, L.; Sayegh, K.; Mehanna, E.; Sanchez, F.W.; Fields, J.; Cury, R. Use of Cardiovascular Magnetic Resonance in the Evaluation of a Giant Right Atrial Appendage Aneurysm: A Case Report and Review of the Literature. BMC Res. Notes 2017, 10, 681. [Google Scholar] [CrossRef]
- Sauza-Sosa, J.C.; De la Cruz-Reyna, E.L.; Velazquez-Gutierrez, C.N. An Unusual Congenital Heart Disease: Giant Left Atrial Appendage. Methodist. Debakey Cardiovasc. J. 2022, 18, 106–107. [Google Scholar] [CrossRef]
- Majeed, F.; Abdelsalam, M.; Nashad, T.; Sule, A.A. Giant Atrium, Giant Clot: Need for Anticoagulation. BMJ Case Rep. 2017, 2017, bcr2017222748. [Google Scholar] [CrossRef]
- Biscione, C.; Sergnese, O.; Forleo, G.B.; Costantino, M.F.; Andreotta, P.; Romeo, F. Giant Left Atrium 30 Years after Surgical Mitral Valve Replacement: An Assessment of Conservative Therapy. Int. J. Cardiol. 2013, 166, e6–e8. [Google Scholar] [CrossRef] [PubMed]
- Vincent, M.L.; del Valle, K.T.; Bennett, C.E. Giant Left Atrium Causing Inferior Vena Cava Obstruction and Dysphagia. Mayo Clin. Proc. 2023, 98, 1254–1255. [Google Scholar] [CrossRef] [PubMed]
- Hurst, J.W. Memories of Patients with a Giant Left Atrium. Circulation 2001, 104, 2630–2631. [Google Scholar] [CrossRef]
- Kelesidis, T.; Maysky, M.; Kelesidis, I. Giant Right Atrium with Severe Pulmonary Hypertension. CMAJ 2010, 182, E147. [Google Scholar] [CrossRef]
- Cozma, D.; Streian, C.G.; Petrescu, L.; Mornos, C. Subclinical Left Atrium Remodelling in Patients with Frequent Premature Ventricular Contractions. Pol. Heart J. 2014, 72, 1141–1147. [Google Scholar] [CrossRef]
- Maloku, A.; Hamadanchi, A.; Bäz, L.; Richter, M.; Bargenda, S.; Möbius-Winkler, S.; Schulze, P.C.; Franz, M. Management of Giant Left Atrial Thrombus Late after Transcatheter Mitral Valve-in-Ring Replacement Using a Transcatheter Aortic Valve: A Case Report. BMC Cardiovasc. Disord. 2024, 24, 644. [Google Scholar] [CrossRef]
- Apostolakis, E.; Shuhaiber, J.H. The Surgical Management of Giant Left Atrium. Eur. J. Cardiothorac. Surg. 2007, 33, 182–190. [Google Scholar] [CrossRef]
- Le Roux, B.T.; Gotsman, M.S. Giant Left Atrium. Thorax 1970, 25, 190–198. [Google Scholar] [CrossRef]
- Johnson, J.; Danielson, G.K.; MacVaugh, H.; Joyner, C.R. Plication of the Giant Left Atrium at Operation for Severe Mitral Regurgitation. Surgery 1967, 61, 118–121. [Google Scholar] [PubMed]
- Ias, J.; Ios-Ortega, C.R.; Talledo-Paredes, L.; Yepez-Calder On, C.; Callalli-Mattos, E.; Gonzales-Castro, S.; Al-Kassab-C Ordova, A.; Aguilar-Carranza, C.; Erez-Valverde, P.Y.; Hernandez, A.V.; et al. A New Surgical Technique for Left Atrial Reduction in Giant Left Atrium. JTCVS Tech. 2023, 17, 56–64. [Google Scholar] [CrossRef]
- Celik, O.; Ustabasloglu, F.E.; Uygur, B.; Aklncl, O. Giant Right Atrial Appendage Aneurysm: Diagnosis with Cardiac Magnetic Resonance Imaging. Diagn. Interv. Imaging 2017, 98, 171–172. [Google Scholar] [CrossRef]
- Borizanova, A.; Kinova, E.; Getsov, P.; Goudev, A. Giant Left Atrium in an Octogenarian with a Complex Etiology. Balk. Med. J. 2024, 41, 226–227. [Google Scholar] [CrossRef]
- Brazier, A.; Hasan, R.; Jenkins, P.; Hoschtitzky, A. Urgent Resection of a Giant Left Atrial Appendage Aneurysm and Mitral Valve Replacement in a Complex Case of Hurler-Scheie Syndrome. BMJ Case Rep. 2015, 2015, bcr2015211551. [Google Scholar] [CrossRef]
- Shao, Q.; Tian, R.; Zhang, X.; Gao, X.; Lai, J.; Tian, Z.; Yan, X.; Zhang, S. Chronic Disseminated Intravascular Coagulation Induced by Left Atrial Thrombus in a Patient with Giant “Normal” Heart A Case Report. Medicine 2016, 95, e5501. [Google Scholar] [CrossRef] [PubMed]
- Kahraman, F.; Ari, H. Giant Left Atrial Appendage That Appeared as Pericardial Effusion in Hypertrophic Cardiomyopathy. Turk Kardiyol. Dern. Ars. 2016, 44, 170. [Google Scholar]
- Khanra, D.; Tiwari, P.; Kodliwadmath, A.; Duggal, B. Giant Left Atrial Appendage Aneurysm and Atrial Fibrillation: Chicken or the Egg? BMJ Case Rep. 2019, 12, e231300. [Google Scholar] [CrossRef]
- Chen, Y.; Mou, Y.; Jiang, L.J.; Hu, S.J. Congenital Giant Left Atrial Appendage Aneurysm: A Case Report. J. Cardiothorac. Surg. 2017, 12, 15. [Google Scholar] [CrossRef] [PubMed]
- Mitrev, Z.; Klincheva, M.; Anguseva, T.; Zdravkovski, I.; Rosalia, R.A. Cardiac Autotransplantation and Ex Vivo Surgical Repair of Giant Left Atrium: A Case Presentation. BMC Cardiovasc. Disord. 2018, 18, 239. [Google Scholar] [CrossRef] [PubMed]
- Grzeskowiak, M.Z.; Ahmed, N. Case of Giant Left Atrium from Congestive Heart Failure. BMJ Case Rep. 2018, 2018, bcr2018226043. [Google Scholar] [CrossRef]
- Tan, J.L.; Thakur, K.; Finkel, J. Giant Left Atrium: Look before You Leap into Invasive Procedures. BMJ Case Rep. 2018, 2018, bcr2018224777. [Google Scholar] [CrossRef] [PubMed]
- Xiong, Q.; Hu, J.; Zhou, Q.; Huang, L.; Yu, J.; Li, J.; Chen, Q.; Hong, K. Successful Implantation of Leadless Pacemaker in a Patient with Giant Right Atrium and Tricuspid Valve Stenosis. Ann. Noninvasive Electrocardiol. 2022, 27, e12905. [Google Scholar] [CrossRef]
- Yang, M.; Zhang, L. Giant Left Atrium with Left Lung Damage: A Case Report. J. Int. Med. Res. 2018, 46, 4821–4824. [Google Scholar] [CrossRef]
- Gajanana, D.; Morris, D.L.; Janzer, S.F.; George, J.C.; Figueredo, V.M.; Stainback, R.F. Giant Left Atrium Causing Dysphagia. Tex. Heart Inst. J. 2016, 43, 469–471. [Google Scholar] [CrossRef]
- Ntalas, I.; Niederer, S.; Aziz, W.; Chambers, J.B.; Rajani, R. Giant Left Atrium: Adaptive or Maladaptive? Hell. J. Cardiol. 2019, 60, 400–401. [Google Scholar] [CrossRef]
- Li, M.; Wang, Y.; Liu, S.; Yang, J.; Ma, C. Giant Left Atrial Appendage Aneurysm Compressing the Left Ventricular Wall Diagnosed by Multiple Imaging Technology. Cardiol. J. 2019, 26, 416–417. [Google Scholar] [CrossRef]
- Kilit, C.; Amasyali, B.; Ali Astarcioglu, M. Spontaneous Echo Contrast in a 73-Year-Old Man with Mitral Stenosis and a Giant Left Atrium. Tex. Heart Inst. J. 2017, 44, 424–425. [Google Scholar] [CrossRef]
- Nam, J.H.; Lee, C.H. Giant Right Atrial Aneurysm—Multimodality Imaging. Circ. J. 2017, 81, 415–416. [Google Scholar] [CrossRef]
- Kadoya, Y.; Yamano, M.; Matoba, S. Sludge A Giant Left Atrium. BMJ Case Rep. 2016, 2016, bcr2016217660. [Google Scholar] [CrossRef] [PubMed]
- Bartus, K.; Litwinowicz, R.; Kapelak, B.; Filip, G.; Wierzbicki, K.; Lee, R.J. Giant Left Atrium Associated with Massive Thrombus Formation 14 Years after Orthotopic Heart Transplantation. Braz. J. Cardiovasc. Surg. 2020, 35, 1010–1012. [Google Scholar] [CrossRef]
- Cozma, D.; Streian, C.G.; Vacarescu, C.; Mornos, C. Back to Sinus Rhythm from Atrial Flutter or Fibrillation: Dabigatran Is Safe without Transoesophageal Control. Kardiol. Pol. 2016, 74, 425–430. [Google Scholar] [CrossRef]
- Mahla, H.; Bhairappa, S.; Chikkamuniswamy, R.; Manjunath, C.N. Giant Left and Right Atrium: Spectrum of Rheumatic Heart Disease. BMJ Case Rep. 2013, 2013, bcr2013201853. [Google Scholar] [CrossRef] [PubMed]
- Tan, J.L.; Taware, V.; Finkel, J.; Thakur, K. The Great Mimickers of Giant Left Atrium. J. Am. Coll. Cardiol. 2018, 71, A2272. [Google Scholar] [CrossRef]
- Flores Umanzor, E.J.; Mimbrero, M.; San Antonio, R.; Caldentey, G.; Vannini, L. Giant Left Atrium as a Rare Cause of Dysphagia. Am. J. Med. 2016, 129, e335–e336. [Google Scholar] [CrossRef]
- Urbina, E.M.; Bhagat, K.M.; Bevill, T.B. A Giant Left Atrium Causing Extrinsic Compression of the Left Lower Lobe in a Patient WITH Pulmonary Hypertension and Mitral Valve Disease. Chest 2022, 162, A1127. [Google Scholar] [CrossRef]
- Toldo, C.M.; Puga, S.E.; Kairuz, P.V.; Barreto, R.A. Giant Left Atrium. Int. Phys. Med. Rehabil. J. 2018, 3, 72–73. [Google Scholar] [CrossRef]
- Darwazah, A.K.; El Sayed, H. Giant Left Atrium Associated with Massive Thrombus Formation. Thromb. J. 2013, 11, 5. [Google Scholar] [CrossRef]
- Ahmed, I.; Sarkar, A.; Pande, A.; Kundu, C. A “Non-Rheumatic” Giant Left Atrium. Ann. Pediatr. Cardiol. 2015, 8, 95–97. [Google Scholar] [CrossRef]
- Adrian, L.H.; Sanjaya, C.R.; Hutomo, S.A.; Negari, A.D.S. Prognostic Value of Left Atrial Volume Index in Patients with Rheumatic Giant Left Atrium. Eur. Heart J. 2023, 44, ehad655.1725. [Google Scholar] [CrossRef]
- Voltarelli, C.L.; Erbano, B.O.; Magalhães, T.; Erbano, L.H.O.; Mialski, T.B.R.; Miyazima, R.M.; Marques, G.L.; Voltarelli, C.L.; Erbano, B.; Magalhães, T.; et al. Giant Right Atrium: An Extreme Structural Damage Case Due to Rheumatic Heart Disease. Cureus 2023, 15, e44898. [Google Scholar] [CrossRef] [PubMed]
- Med Sidi El Moctar, E.; El Hadj Sidi, C.; Abdulrazzak, M.; Eldeghedi, M.; Thoraya, A.; Boye, K. Giant Left Atrium and Management Modalities (Surgical vs. Conservative): A Case Report from Mauritania. Ann. Med. Surg. 2023, 85, 4624–4628. [Google Scholar] [CrossRef] [PubMed]
- Cujec, B.; Bharadwaj, B.; Orchard, R.C.; Lopez, J.F. Transesophageal Echocardiography in the Diagnosis of Left Atrial Appendage Aneurysm. J. Am. Soc. Echocardiogr. 1990, 3, 408–411. [Google Scholar] [CrossRef] [PubMed]
- Kerim Bu Gra, A.; Kadirogullari, E.; Onan, B. Reduction Plasty for Giant Left Atrium Causing Dysphagia: Case Report. Authorea Prepr. 2020, 69, 546–549. [Google Scholar] [CrossRef]
- Kim, Y.W.; Kim, H.J.; Ju, M.H.; Lee, J.W. The Treatment of Left Atrial Appendage Aneurysm by a Minimally Invasive Approach. Korean J. Thorac. Cardiovasc. Surg. 2018, 51, 146–148. [Google Scholar] [CrossRef]
- Krishan, K.; Pinney, S.; Anyanwu, A.C. Management of Giant Left Atrium in Patient Undergoing Left Ventricular Assist Device Placement. Ann. Thorac. Surg. 2010, 90, e17–e19. [Google Scholar] [CrossRef]
- Jang, W.S.; Kim, J.B.; Lee, S.J.; Kim, J.H. Impact of Volume Reduction in Giant Left Atrium during Surgical Ablation of Atrial Fibrillation. J. Thorac. Dis. 2019, 11, 84–92. [Google Scholar] [CrossRef]
- Page, M.J.; McKenzie, J.E.; Bossuyt, P.M.; Boutron, I.; Hoffmann, T.C.; Mulrow, C.D.; Shamseer, L.; Tetzlaff, J.M.; Akl, E.A.; Brennan, S.E.; et al. The PRISMA 2020 statement: An updated guideline for reporting systematic reviews. BMJ 2021, 372, n71. [Google Scholar] [CrossRef] [PubMed]










| Management Type | No. of Patients | Early Mortality * | Late Mortality |
|---|---|---|---|
| Surgical (atrial reduction ± valve surgery) | 6 | 1 (16.7%) | 2 (33.3%) |
| Conservative (medical therapy, anticoagulation, diuretics) | 17 | 2 (11.8%) | Not reported |
| Management Type | Major Complications | Follow-Up Duration |
|---|---|---|
| Surgical | Pneumonia, mesenteric ischemia | 6 mo–10 yr |
| Conservative | Heart failure, arrhythmia, multiorgan dysfunction (isolated reports) | Weeks–years |
Disclaimer/Publisher’s Note: The statements, opinions and data contained in all publications are solely those of the individual author(s) and contributor(s) and not of MDPI and/or the editor(s). MDPI and/or the editor(s) disclaim responsibility for any injury to people or property resulting from any ideas, methods, instructions or products referred to in the content. |
© 2025 by the authors. Licensee MDPI, Basel, Switzerland. This article is an open access article distributed under the terms and conditions of the Creative Commons Attribution (CC BY) license (https://creativecommons.org/licenses/by/4.0/).
Share and Cite
Streian, C.G.; Munteanu, I.-R.; Scuturoiu, M.-A.; Cozlac, A.-R.; Lascu, A.; Staicu, R.-E.; Falnita, L.-S.; Merce, A.G.; Feier, H.B. Giant Atrial Dilatation: Systematic Review of Reported Cases from the Last Decade and an Illustrative Case with Dysphagia and Severe Dysphonia. J. Clin. Med. 2025, 14, 7832. https://doi.org/10.3390/jcm14217832
Streian CG, Munteanu I-R, Scuturoiu M-A, Cozlac A-R, Lascu A, Staicu R-E, Falnita L-S, Merce AG, Feier HB. Giant Atrial Dilatation: Systematic Review of Reported Cases from the Last Decade and an Illustrative Case with Dysphagia and Severe Dysphonia. Journal of Clinical Medicine. 2025; 14(21):7832. https://doi.org/10.3390/jcm14217832
Chicago/Turabian StyleStreian, Caius Glad, Iulia-Raluca Munteanu, Marinela-Adela Scuturoiu, Alina-Ramona Cozlac, Ana Lascu, Raluca-Elisabeta Staicu, Lucian-Silviu Falnita, Adrian Grigore Merce, and Horea Bogdan Feier. 2025. "Giant Atrial Dilatation: Systematic Review of Reported Cases from the Last Decade and an Illustrative Case with Dysphagia and Severe Dysphonia" Journal of Clinical Medicine 14, no. 21: 7832. https://doi.org/10.3390/jcm14217832
APA StyleStreian, C. G., Munteanu, I.-R., Scuturoiu, M.-A., Cozlac, A.-R., Lascu, A., Staicu, R.-E., Falnita, L.-S., Merce, A. G., & Feier, H. B. (2025). Giant Atrial Dilatation: Systematic Review of Reported Cases from the Last Decade and an Illustrative Case with Dysphagia and Severe Dysphonia. Journal of Clinical Medicine, 14(21), 7832. https://doi.org/10.3390/jcm14217832

