Due to scheduled maintenance work on our servers, there may be short service disruptions on this website between 11:00 and 12:00 CEST on March 28th.
Sign in to use this feature.

Years

Between: -

Subjects

remove_circle_outline
remove_circle_outline
remove_circle_outline
remove_circle_outline
remove_circle_outline
remove_circle_outline
remove_circle_outline
remove_circle_outline
remove_circle_outline

Journals

remove_circle_outline
remove_circle_outline
remove_circle_outline
remove_circle_outline
remove_circle_outline
remove_circle_outline
remove_circle_outline
remove_circle_outline
remove_circle_outline
remove_circle_outline
remove_circle_outline
remove_circle_outline
remove_circle_outline
remove_circle_outline
remove_circle_outline
remove_circle_outline
remove_circle_outline
remove_circle_outline
remove_circle_outline
remove_circle_outline
remove_circle_outline
remove_circle_outline
remove_circle_outline
remove_circle_outline
remove_circle_outline
remove_circle_outline
remove_circle_outline
remove_circle_outline

Article Types

Countries / Regions

remove_circle_outline
remove_circle_outline
remove_circle_outline
remove_circle_outline
remove_circle_outline
remove_circle_outline
remove_circle_outline
remove_circle_outline
remove_circle_outline
remove_circle_outline
remove_circle_outline

Search Results (8,130)

Search Parameters:
Keywords = methanol

Order results
Result details
Results per page
Select all
Export citation of selected articles as:
16 pages, 899 KB  
Article
Intraplant and Interspecific Antioxidant Interactions in Origanum vulgare and Mentha aquatica
by Elena Kurin, Svetlana Dokupilová, Lucia Račková, Pavel Mučaji and Silvia Bittner Fialová
Molecules 2026, 31(7), 1110; https://doi.org/10.3390/molecules31071110 - 27 Mar 2026
Abstract
The antioxidant activity of Origanum vulgare L. and Mentha aquatica L. has been widely reported; however, interaction effects within and between different plant parts remain insufficiently characterized. This study aimed to evaluate the antioxidant behavior of methanolic extracts from leaves, flowers, and rhizomes [...] Read more.
The antioxidant activity of Origanum vulgare L. and Mentha aquatica L. has been widely reported; however, interaction effects within and between different plant parts remain insufficiently characterized. This study aimed to evaluate the antioxidant behavior of methanolic extracts from leaves, flowers, and rhizomes of both species and to assess the nature of intraplant and interspecific interactions using combination analysis. Antioxidant activity was determined for individual extracts and their binary mixtures using DPPH and ABTS radical scavenging assays. Phytochemical analysis was performed by LC-MS/MS. In O. vulgare, all intraplant mixtures exhibited synergistic effects, suggesting complementary contributions of phenolic acids and flavonoids across plant organs. In contrast, M. aquatica showed more variable responses, with additive to antagonistic interactions, particularly in combinations involving rhizomes with lower phenolic content. Interspecific mixtures further demonstrated that interaction outcomes depended on the qualitative and quantitative composition of phytochemicals: leaf mixtures showed synergism, whereas flower and rhizomes mixtures tended toward antagonism. Comparable interaction trends were observed in both radical scavenging assays. These results indicate that antioxidant activity in plant mixtures is not simply additive but is strongly influenced by phytochemical composition and plant part, highlighting the importance of empirical testing when designing multicomponent plant-based antioxidant formulations. Full article
Show Figures

Graphical abstract

16 pages, 1014 KB  
Article
Phytochemical Profile and Evaluation of the Insecticidal Potential of Bessera elegans Root Extracts Against Melanaphis sorghi
by Anette Guadalupe Leyva-Bello, Miguel Angel Mendoza-Catalán, Ana Elvira Zacapala-Gómez, Erubiel Toledo-Hernández, Luz Janet Tagle-Emigdio, Rodolfo Figueroa-Brito, Alejandro Zamilpa, Manases González-Cortazar, Marco Antonio Leyva-Vázquez and César Sotelo-Leyva
Crops 2026, 6(2), 37; https://doi.org/10.3390/crops6020037 - 27 Mar 2026
Abstract
Sorghum (Sorghum bicolor L. Moench) is one of the most important cereal crops in Mexico due to its extensive cultivation and use in human nutrition, livestock production, and the biofuel industry. However, its productivity is severely affected by the sorghum aphid, Melanaphis [...] Read more.
Sorghum (Sorghum bicolor L. Moench) is one of the most important cereal crops in Mexico due to its extensive cultivation and use in human nutrition, livestock production, and the biofuel industry. However, its productivity is severely affected by the sorghum aphid, Melanaphis sorghi Theobald, 1904 (Hemiptera: Aphididae), a major pest of this crop. Its control relies primarily on synthetic chemical insecticides, whose intensive use has led to environmental impacts and health risks, prompting the search for more sustainable alternatives. In this study, the insecticidal activity of root extracts from Bessera elegans was evaluated against apterous adults of M. sorghi using artificial diet bioassays at different concentrations and exposure times. Chemical characterization of the extracts and the active fraction was carried out using high-performance liquid chromatography (HPLC) and gas chromatography coupled to mass spectrometry (GC–MS). The methanolic extract exhibited the lowest LC50 value (2562 ppm), indicating the highest insecticidal potency, while the acetone extract achieved the highest maximum mortality (98%) at the highest tested concentration. Fractionation of the methanolic extract allowed the identification of fraction BeF1 as the most active, with 94% mortality at 1000 ppm. Chemical characterization indicated a predominance of polyphenolic secondary metabolites, mainly flavonoids and lignans. These results highlight the potential of B. elegans as a natural alternative for the integrated management of the sorghum aphid. Full article
Show Figures

Graphical abstract

12 pages, 383 KB  
Article
Evaluation of Thermal Inactivation and Chemical Disinfection Efficacy Against Lassa Virus
by Mengli Yang, Zhidan Zhang, Cong Cai, Kaiyun Ding, Xueping Chen, Shanhe Wu, Xin Guo, Qiangming Sun and Yunchuan Wang
Viruses 2026, 18(4), 412; https://doi.org/10.3390/v18040412 - 27 Mar 2026
Abstract
Lassa virus (LASV), the causative agent of Lassa fever, must be handled under biosafety level 4 (BSL-4) conditions, requiring validated inactivation protocols to ensure laboratory and public safety. Although LASV is an enveloped virus theoretically susceptible to physical and chemical inactivation methods, quantitative [...] Read more.
Lassa virus (LASV), the causative agent of Lassa fever, must be handled under biosafety level 4 (BSL-4) conditions, requiring validated inactivation protocols to ensure laboratory and public safety. Although LASV is an enveloped virus theoretically susceptible to physical and chemical inactivation methods, quantitative data on its inactivation kinetics remain limited. This study systematically evaluated the efficacy of thermal treatment (56 °C, 70 °C, 95 °C), laboratory chemical inactivants (beta-propiolactone, formaldehyde, methanol, TRIzol), and five commercial disinfectants against infectious LASV. Viral infectivity was determined by titrating residual virus in Vero E6 cells, and complete inactivation was verified by three consecutive blind passages. Thermal inactivation was achieved at 56 °C for 40 min, 70 °C for 5 min, and 95 °C for 2 min. Both 0.1% and 0.05% beta-propiolactone completely inactivated LASV after 24 h at 4 °C, while 4% formaldehyde, 50% methanol, and 25% TRIzol achieved complete inactivation within 15 min, 10 min, and 2 min, respectively. For surface disinfection, 2% and 5% Micro-Chem Plus™ and 75% ethanol reduced viral titers by ≥4 log10 TCID50/mL within 30 s; 1% sodium hypochlorite and 0.25% Virkon required 1 min, whereas 3% hydrogen peroxide required 3 min to achieve the same reduction. These results provide quantitative, evidence-based parameters that can serve as a valuable reference for the safe handling of LASV under controlled BSL-4 laboratory conditions. Full article
(This article belongs to the Special Issue High Consequence Viral Transmission)
Show Figures

Graphical abstract

16 pages, 2321 KB  
Article
A Study of Pre-Injection Effects on Combustion, Emissions, and Performance of Methanol–Ammonia Dual-Fuel Engines
by Yihang Huang, Hua Xiao, Aiguo Chen, Zan Huang, Jun Lai and Guansheng Chen
Processes 2026, 14(7), 1060; https://doi.org/10.3390/pr14071060 - 26 Mar 2026
Abstract
The implementation of methanol-ammonia dual-fuel engines has the potential to contribute to a reduction in carbon emissions in the environment. The present study employs numerical simulations of the methanol-ammonia dual-fuel engine to investigate methanol direct injection pre-injection strategies. The impact of pre-main injection [...] Read more.
The implementation of methanol-ammonia dual-fuel engines has the potential to contribute to a reduction in carbon emissions in the environment. The present study employs numerical simulations of the methanol-ammonia dual-fuel engine to investigate methanol direct injection pre-injection strategies. The impact of pre-main injection time interval and pre-injection quantity was investigated on output power, output torque, cylinder pressure and exhaust emissions such as NOX, HC, CO, and CO2. The results show that compared with the single methanol injection strategy, increasing the pre-injection strategy can effectively reduce soot emissions. Under certain pre-injection conditions, NOX and soot emissions can also be significantly reduced. Compared with low pre-injection quantities, by using high pre-injection quantities, soot and NOX emissions can be reduced by 36.91% and 35.31%, respectively. Under high pre-injection quantities, increasing the pre-main injection time interval can also significantly reduce NOX emissions. Compared with the single methanol injection strategy, the pre-injection strategy leads to an increase in cylinder pressure peak and an advance in peak timing. As the pre-main injection time interval increases, both output power and output torque decrease. It is found that when the pre-injection quantity is 6 mg and the pre-main injection time interval is 25 °CA, with no substantial reduction in output power and output torque, the engine’s soot emissions can be reduced by 34.67%, and NOX emissions can be reduced by 30.31%. Full article
(This article belongs to the Section Energy Systems)
Show Figures

Figure 1

25 pages, 1163 KB  
Article
Bioactivities of Alchemilla alpina L. Extract on Women’s Reproductive and Metabolic Health: Antioxidant, Enzyme Inhibitory, Receptor Modulatory Properties and Potential Cytotoxic Effects
by Sanja Krstić, Sofija Bekić, Nemanja Živanović, Andrea Pirković, Jovana Vuković, Rudolf Bauer and Milena Rašeta
Int. J. Mol. Sci. 2026, 27(7), 3025; https://doi.org/10.3390/ijms27073025 - 26 Mar 2026
Abstract
Alchemilla alpina L. (Rosaceae), belongs to a genus well recognized in traditional medicine for treating gynecological disorders and hormonal imbalance; however, the specific bioactivity of A. alpina itself remains poorly characterized. This study aimed to elucidate the phenolic composition and the biological potential [...] Read more.
Alchemilla alpina L. (Rosaceae), belongs to a genus well recognized in traditional medicine for treating gynecological disorders and hormonal imbalance; however, the specific bioactivity of A. alpina itself remains poorly characterized. This study aimed to elucidate the phenolic composition and the biological potential of the methanolic (MeOH) extract of A. alpina. LC–MS/MS analysis identified 39 phenolic compounds, with rutin, catechin, kaempferol-3-O-glucoside, and caffeic acid being the dominant constituents. The extract exhibited high total phenolic and flavonoid contents, consistent with strong antioxidant capacities. It demonstrated notable α-glucosidase and acetylcholinesterase inhibitory activities, indicating its potential relevance for metabolic and neurodegenerative disorders. The extract effectively reduced AAPH-induced ROS levels in MRC-5 fibroblasts, indicating cytoprotective and antioxidative effects. The cytotoxicity toward cervical cancer cells HeLa and ovarian cancer cells A2780 was moderate and concentration dependent. A yeast-based fluorescent screen revealed a strong and selective binding affinity toward estrogen receptor α (ERα) and selective inhibition of human recombinant AKR1C3 (59.5%), without affecting AKR1C4. Additionally, high COX-1/COX-2 inhibition (>70%) supported its anti-inflammatory potential. Collectively, these findings provide the first integrated evidence of A. alpina’s phenolic richness and multifunctional bioactivity, scientifically supporting its potential in managing hormone-dependent and oxidative stress-related disorders. Full article
(This article belongs to the Special Issue Role of Natural Products in Health and Diseases)
Show Figures

Figure 1

16 pages, 1808 KB  
Article
Phytochemical Characterization and Biological Evaluation of Camellia hakodae Ninh Flowers
by Nguyen Hoang Thao My, Nguyen Huu Lac Thuy, Vo Thi Kim Khuyen and Nguyen Duc Tuan
Molecules 2026, 31(7), 1088; https://doi.org/10.3390/molecules31071088 - 26 Mar 2026
Abstract
Camellia hakodae Ninh flowers are an endemic Vietnamese species with limited phytochemical and biological characterization. This study aimed to characterize the phytochemical profile and evaluate antioxidant and anti-inflammatory activities of the total flower extract. Ultrasonic-assisted extraction (UAE) and maceration with methanol and ethanol [...] Read more.
Camellia hakodae Ninh flowers are an endemic Vietnamese species with limited phytochemical and biological characterization. This study aimed to characterize the phytochemical profile and evaluate antioxidant and anti-inflammatory activities of the total flower extract. Ultrasonic-assisted extraction (UAE) and maceration with methanol and ethanol at different concentrations were carried out to evaluate the efficiency of extracting total phenolic content (TPC) and total flavonoid content (TFC), quantified by colorimetric assays, along with the antioxidant and anti-inflammatory activities of the resulting extracts. The highest TPC (94.9 ± 4.5 mg GAE/g) and TFC (3.1 ± 0.2 mg QE/g) were obtained using UAE with 70% methanol, while maceration with 70% ethanol showed comparable TPC values. The optimized extract exhibited strong antioxidant activity with an IC50 of 29.06 µg/mL, close to that of ascorbic acid (28.16 µg/mL) and significant anti-inflammatory activity in the proteinase inhibition assay (IC50 = 2.72 mg/mL) compared to acetylsalicylic acid (IC50 = 3.16 mg/mL). GC-MS and LC-QTOF-MS/MS analyses revealed diverse metabolites, including phenolic acids, flavonoids, fatty acids, terpenoids, and nitrogen-containing compounds, with representative constituents, such as quinic acid, catechins, flavonol glycosides, and loliolide, providing strong chemical evidence for the observed bioactivities. This integrated study demonstrates that C. hakodae flower is a rich source of multifunctional bioactive compounds and highlights its strong potential for applications in nutraceuticals, functional foods, and cosmeceuticals. Full article
(This article belongs to the Special Issue Biological Evaluation of Plant Extracts, 2nd Edition)
Show Figures

Graphical abstract

9 pages, 1393 KB  
Proceeding Paper
Phytofabrication of Silver Nanoparticles from Water Hyacinth (Eichhornia crassipes) as a Potential Pest Control Tool for Spodoptera frugiperda 
by Joserie Joice Reyes, Jeremy Kyle Edson Austria, Ma. Angelica Chua, Anna Maria Parzuelo, Sean Carlo Castro, Jerry Go Olay, Rugi Vicente Rubi and Carlou Siga-an Eguico
Eng. Proc. 2026, 124(1), 91; https://doi.org/10.3390/engproc2026124091 - 26 Mar 2026
Abstract
The invasive fall armyworm (Spodoptera frugiperda) threatens Philippine crops, highlighting the need for sustainable pest management. This study therefore optimizes the green synthesis of silver nanoparticles (AgNPs) from water hyacinth (Eichhornia crassipes), an abundant and problematic aquatic weed, as [...] Read more.
The invasive fall armyworm (Spodoptera frugiperda) threatens Philippine crops, highlighting the need for sustainable pest management. This study therefore optimizes the green synthesis of silver nanoparticles (AgNPs) from water hyacinth (Eichhornia crassipes), an abundant and problematic aquatic weed, as a potential pest control tool. Methanolic leaf extracts were prepared under varying methanol concentrations, temperatures, and extraction times, and total phenolic content was quantified using the Folin–Ciocalteu method. SEM–EDX confirmed the formation of silver nanoparticles synthesized from Eichhornia crassipes (Ec-AgNPs), with particles observed at ≤100 nm. Optimal extraction occurred at 47 °C, 90% methanol, and 76 min, maximizing phenolic yield. Overall, results suggest phenolic content and extract volume influence nanoparticle size and stability, with larger extract volumes increasing agglomeration risk. Pesticidal efficacy was not evaluated; further work is needed to assess pest control performance. Full article
(This article belongs to the Proceedings of The 6th International Electronic Conference on Applied Sciences)
Show Figures

Figure 1

23 pages, 2024 KB  
Article
Limitation of Power-to-Methanol: Identifying the Barriers of Bridging Energy and Bio-Carbon to Produce Decentralized Renewable Methanol via Integrated Economical and Environmental Evaluation
by Hans Gelten, Kim Hemmer, Benno Aalderink, Richard van Leeuwen and Zohre Kurt
Energies 2026, 19(7), 1626; https://doi.org/10.3390/en19071626 - 25 Mar 2026
Abstract
Power-to-X technologies play a crucial role in accelerating the energy and material transition. A key opportunity lies in integrating these systems with existing bio-based infrastructures such as anaerobic digesters, providing a reliable source of biogenic carbon. Developing effective Power-to-Methanol (PtM) pathways requires a [...] Read more.
Power-to-X technologies play a crucial role in accelerating the energy and material transition. A key opportunity lies in integrating these systems with existing bio-based infrastructures such as anaerobic digesters, providing a reliable source of biogenic carbon. Developing effective Power-to-Methanol (PtM) pathways requires a comprehensive understanding of process behavior through detailed simulation, including technical performance, economic feasibility, and environmental consequences. Despite growing interest, substantial variation remains in published levelized methanol costs, and many assessments insufficiently account for the full environmental footprint of production routes. This study evaluates the potential of PtM deployment in the Netherlands by comparing two pathways that utilize biogenic carbon sources: (i) hydrogenation of captured CO2 using green hydrogen and (ii) dry methane reforming (DMR) of biogas, followed by catalytic syngas conversion to methanol. Results indicate that operational expenses—mainly driven by renewable electricity consumption—far outweigh capital investment. Both routes yield an LCoMeOH of approximately €2630 per tonne, about five times the cost of fossil-based methanol. Life cycle analysis shows that DMR performs more favorably overall, although elevated freshwater ecotoxicity and eutrophication result from digestate application as fertilizer. Continued improvements in renewable energy integration and nutrient recovery technologies are essential for enhancing future economic and environmental performance. Full article
(This article belongs to the Special Issue 11th International Conference on Smart Energy Systems (SESAAU2025))
Show Figures

Graphical abstract

23 pages, 3152 KB  
Article
In Vitro Cytotoxic Activity of Coleus hadiensis Methanolic Extract: Metabolic and Transcriptomic Effects in Lung Cancer Cell Line
by Ana L. Valdez-Arellanes, Mónica A. Ramírez-Cabrera, Eder U. Arredondo-Espinoza, Emanuel Hernández-Núñez, Monica N. Sanchez-González, Isaias Balderas-Rentería and Karla Ramirez-Estrada
Molecules 2026, 31(7), 1074; https://doi.org/10.3390/molecules31071074 - 25 Mar 2026
Viewed by 52
Abstract
Cancer cells resort to metabolic reprogramming to sustain proliferation. Lung cancer has one of the highest mortality rates of all types of cancer. An important factor in its high mortality rate is its tumors’ ability to undergo significant metabolic reprogramming. Phytochemicals can counteract [...] Read more.
Cancer cells resort to metabolic reprogramming to sustain proliferation. Lung cancer has one of the highest mortality rates of all types of cancer. An important factor in its high mortality rate is its tumors’ ability to undergo significant metabolic reprogramming. Phytochemicals can counteract this altered metabolism and exhibit anticancer properties. Coleus hadiensis, a plant used in traditional medicine, has shown such potential. This study evaluated the in vitro cytotoxic activity of its methanolic extract and its effects on the metabolism of HTB-177 lung cancer cells. Qualitative and quantitative phytochemical analysis of this extract was performed to characterize its main constituents. Lung cancer cells were treated with different extract concentrations to evaluate their response to the extract. Cytotoxicity was determined using an MTT assay, and metabolites were analyzed through 1H-NMR spectroscopy combined with multivariate statistical analysis. Transcriptomic profiling was also conducted to assess gene expression changes in metabolic pathways. Three main phenolic compounds were identified in the extract. The HPLC profile revealed peaks corresponding to gallic acid (GA), ferulic acid (FA), and rosmarinic acid (RA). The extract exhibited cytotoxic activity with an IC50 of 192.85 µg/mL. Metabolic alterations were observed mainly in glycolysis, the Krebs cycle, and lipid metabolism—key pathways for tumor growth. Transcriptomic data revealed altered metabolism-related genes. The upregulation of ME1 correlated with the observed increase in pyruvate levels, while the downregulation of ALDH7A1 and ASRGL1 was linked to altered amino acid catabolism. Furthermore, transcriptomic data revealed the upregulation of the pro-apoptotic gene HRK. These results indicate that the methanolic extract of C. hadiensis possesses cytotoxic activity against lung cancer cells by modulating central metabolic routes and gene expression linked to cancer cell survival and proliferation. Full article
Show Figures

Figure 1

23 pages, 2577 KB  
Article
Broad-Spectrum Hepatoprotection by Pteropyrum scoparium Extract Against Multi-Pesticide Oxidative Stress in Rats
by Amal M. Al-Nasiri, Mostafa I. Waly, Ahmed Al-Alawi, Lyutha Al-Subhi, Haytham Ali and Khalid Al Zuhaibi
Foods 2026, 15(7), 1123; https://doi.org/10.3390/foods15071123 - 24 Mar 2026
Viewed by 40
Abstract
Chronic exposure to even low levels of pesticides is a serious public health issue, mainly due to the role of oxidative stress in damaging the liver and promoting cancer. This has driven interest in finding natural, plant-based antioxidants that can counteract this kind [...] Read more.
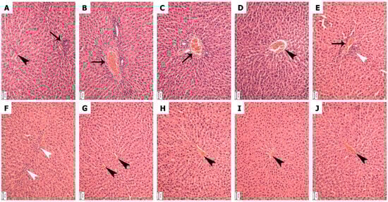
Chronic exposure to even low levels of pesticides is a serious public health issue, mainly due to the role of oxidative stress in damaging the liver and promoting cancer. This has driven interest in finding natural, plant-based antioxidants that can counteract this kind of chemical injury. In this study, we tested whether a methanol extract from the leaves of Pteropyrum scoparium (PSE) could protect the liver against oxidative harm caused by four common pesticides: acetochlor, deltamethrin, thiamethoxam, and rotenone. Chemical analysis showed that the extract contains high levels of phenolics (345.1 ± 7.6 mg GAE/g) and flavonoids (17.3 ± 1.3 mg CAE/g). GC–MS profiling revealed a diverse set of compounds, including fat-soluble antioxidants like squalene, α-tocopherol, and γ-sitosterol, and water-soluble phenolics like pyrogallol and catechol, suggesting PSE is equipped with a multi-layered antioxidant defence. In the animal experiment, rats were given each pesticide for 30 days, with or without PSE. All four pesticides caused clear oxidative stress in the liver: glutathione (GSH), total antioxidant capacity (TAC), antioxidant enzymes activities dropped, while markers of lipid damage (MDA) and free radical activity (DPPH) rose. Co-administration of PSE significantly restored GSH, TAC and antioxidant enzymes levels and reduced MDA and residual DPPH values compared to pesticide-only groups; these parameters were statistically comparable to the controls (p > 0.05), indicating a substantial recovery of hepatic redox balance. Histopathological examination of liver tissues confirmed these findings, as pesticide treatment caused visible liver injury; deltamethrin and thiamethoxam led to congestion in central veins, while rotenone and acetochlor triggered clusters of inflammatory Kupffer cells. In animals that also received PSE, liver structure remained largely normal, with much less congestion and inflammation. These results show that the combination of antioxidant constituents in PSE might contribute to hepatoprotection through redox modulation and preservation of endogenous antioxidant balance, as suggested by the observed biochemical and histological improvements. Full article
(This article belongs to the Section Food Toxicology)
Show Figures

Figure 1

12 pages, 1091 KB  
Article
Accelerated Cobalt-Catalyzed N-Methylation via Microwave-Induced Rapid Formation of Active Species Using Methanol and Methanol-d4
by Miki Takizawa, Takahiro Yamane, Akinobu Matsumoto, Takashi Miyazawa and Satoshi Horikoshi
Molecules 2026, 31(7), 1068; https://doi.org/10.3390/molecules31071068 - 24 Mar 2026
Viewed by 101
Abstract
The development of sustainable and environmentally benign N-methylation methodologies is essential for enhancing sustainable synthetic practice in pharmaceutical manufacturing. In this study, we demonstrate that microwave heating (MWH) markedly enhanced the efficiency of cobalt-catalyzed N-methylation using methanol or methanol-d4 [...] Read more.
The development of sustainable and environmentally benign N-methylation methodologies is essential for enhancing sustainable synthetic practice in pharmaceutical manufacturing. In this study, we demonstrate that microwave heating (MWH) markedly enhanced the efficiency of cobalt-catalyzed N-methylation using methanol or methanol-d4 as green C1 sources. Compared with conventional heating (CH), MWH enabled highly efficient syntheses of key pharmaceutical intermediates—including 6-dimethylamino-1-hexanol, imipramine hydrochloride, and butenafine hydrochloride—under milder conditions and shorter reaction times and without generating hazardous halogen-containing waste. UV–vis spectroscopic analysis revealed that MWH accelerated the transformation of Co(acac)2 into catalytically active Co species by approximately four-fold, providing a mechanistic basis for the enhanced reactivity. We hypothesized that this effect was caused by the selective microwave heating of the catalyst, which in turn promoted the rapid generation of catalytically active species. Notably, MWH also significantly improved the N-trideuteromethylation of amines using methanol-d4, achieving a 95% yield for imipramine-d3 hydrochloride versus 32% under CH. Molecular dynamics simulations indicated that methanol-d4 exhibited slower dipole relaxation and enhanced cluster fragmentation under microwave fields, improving catalyst–substrate contact, while kinetic isotope effects stabilized reactive intermediates. These synergistic effects account for the pronounced microwave promotion observed in deuterated systems. Overall, the combination of MWH and cobalt catalysis offers an energy-efficient, waste-minimizing, and environmentally benign strategy for the scalable synthesis of both methylated and deuterated amines. Full article
(This article belongs to the Special Issue Microwave-Assisted Synthesis and Extraction in Green Chemistry)
Show Figures

Figure 1

19 pages, 518 KB  
Article
Vernonia amygdalina (Asteraceae) Deters Colorado Potato Beetle—A Key Pest of Cultivated Potato
by Ikponmwosa Egbon and Andrei Alyokhin
Agrochemicals 2026, 5(2), 15; https://doi.org/10.3390/agrochemicals5020015 - 24 Mar 2026
Viewed by 82
Abstract
Vernonia amygdalina Delile (Asteraceae), commonly known as bitter leaf, is a tropical shrub that may potentially serve as a biopesticide against the Colorado potato beetle Leptinotarsa decemlineata (Say) (Coleoptera: Chrysomelidae), a key pest of potatoes. The beetle’s behavioral response to the methanolic leaf [...] Read more.
Vernonia amygdalina Delile (Asteraceae), commonly known as bitter leaf, is a tropical shrub that may potentially serve as a biopesticide against the Colorado potato beetle Leptinotarsa decemlineata (Say) (Coleoptera: Chrysomelidae), a key pest of potatoes. The beetle’s behavioral response to the methanolic leaf extract of V. amygdalina was evaluated in this study. Using no-choice, dual-choice, and wind-tunnel assays under laboratory conditions, we evaluated responses of larvae and adults to potato leaf discs treated with V. amygdalina extract in a randomized complete block design, measuring feeding behavior, leaf damage levels, and remaining leaf area. The results showed that V. amygdalina had no biocidal effects against the beetle, as no mortality was incurred. However, dose-linked antifeedant effects were evident in both no-choice and dual-choice arenas. Vernonia amygdalina minimized leaf-area loss most effectively at the highest concentration, especially against the larvae. The extract showed no olfactory repellency but acted as an antifeedant, possibly through contact or taste (gustatory) receptors. The consistent behavioral avoidance at higher concentrations suggests that V. amygdalina acts as a form of deterrent against the Colorado potato beetle. Full article
(This article belongs to the Topic Natural Products in Crop Pest Management)
Show Figures

Graphical abstract

19 pages, 2038 KB  
Article
From Phytochemical Characterization to Energy Metabolism-Driven Molecular Responses: The Anticancer Potential of Lactarius deliciosus (L.) Gray in Breast Cancer Cells
by Levent Gülüm, Emrah Güler, Emir Çapkınoğlu, Ayşe Büşranur Çelik and Yusuf Tutar
Nutrients 2026, 18(6), 1008; https://doi.org/10.3390/nu18061008 - 23 Mar 2026
Viewed by 204
Abstract
Background/Objectives: This study aimed to investigate the phytochemical composition, antioxidant capacity, and anticancer potential of methanol and ethanol extracts of Lactarius deliciosus (L.) Gray in MCF-7 breast cancer cells, focusing on their effects on energy metabolism and related molecular mechanisms. Methods: In [...] Read more.
Background/Objectives: This study aimed to investigate the phytochemical composition, antioxidant capacity, and anticancer potential of methanol and ethanol extracts of Lactarius deliciosus (L.) Gray in MCF-7 breast cancer cells, focusing on their effects on energy metabolism and related molecular mechanisms. Methods: In L. deliciosus samples, total antioxidant activity and total phenolic content were determined spectrophotometrically, while individual phenolics were classified by HPLC and volatile aromatic compounds (VOCs) were determined by GC-MS. The anticancer effects of L. deliciosus in MCF-7 breast cancer were determined using RT-qPCR with 46 different genes. Results: Phytochemical profiling via HPLC and GC–MS revealed a rich diversity of bioactive compounds, including significant levels of gallic acid (298.89 µg/g), vanillic acid (191.98 µg/g), and succinic acid (724.73 µg/g). The extracts exhibited robust antioxidant activity and dose-dependent cytotoxicity, reducing cell viability to as low as 5.60% after 72 h. Molecular analysis through Reactome pathway enrichment and expression profiling of 46 genes demonstrated that L. deliciosus drives cancer cells into a metabolic impasse by reversing the Warburg effect. Key findings include the significant downregulation of glycolytic genes like SLC2A1/GLUT1 (−12.34) and HK2 (−1.71), alongside the repression of mitochondrial TCA cycle regulators such as IDH1 (−17.81) and OGDH (−2.54). This metabolic collapse triggered G0/G1 phase cell cycle arrest and induced apoptosis. Conlusions: These results align with international benchmarks for Lactarius species while providing novel insights into the metabolic reprogramming mechanism. The results obtained in this study highlight that L. deliciosus emerges as a promising natural agent for therapeutic strategies targeting cancer bioenergetics. Full article
Show Figures

Graphical abstract

23 pages, 1917 KB  
Article
Sex-Driven Variation in Polar Metabolites and Lipid Motifs of Paracentrotus lividus Gonads Profiled by 1H NMR
by Ricardo Ibanco-Cañete, Estela Carbonell-Garzón, Sergio Amorós-Trujillo, Pablo Sanchez-Jerez and Frutos Carlos Marhuenda Egea
Metabolites 2026, 16(3), 211; https://doi.org/10.3390/metabo16030211 - 21 Mar 2026
Viewed by 174
Abstract
Background/Objectives: Sea urchin gonads (“roe”) are a valuable seafood product and a chemically complex matrix whose composition varies with physiology and environment. We present a biphasic extraction and 1H NMR workflow to build a reusable reference inventory of polar metabolites and apolar [...] Read more.
Background/Objectives: Sea urchin gonads (“roe”) are a valuable seafood product and a chemically complex matrix whose composition varies with physiology and environment. We present a biphasic extraction and 1H NMR workflow to build a reusable reference inventory of polar metabolites and apolar lipid features in Paracentrotus lividus. Methods: Gonads from 37 adults (23 males, 14 females) collected at two sites (Alicante and Jávea–Dénia, Spain; October 2024) were lyophilized, extracted with methanol/chloroform/water, and analyzed by 400 MHz 1H NMR in buffered aqueous solution (polar) and CDCl3 (apolar). Polar metabolite identification combined 1D patterns with database matching and 1H–13C HSQC confirmation on representative samples, yielding 71 annotated resonances corresponding to 37 metabolites spanning amino acids, osmolytes/quaternary amines, carbohydrates/aminosugars, and nucleoside/purine-related compounds. Results: Polar fingerprints enabled supervised modelling: PLS-LDA separated sexes with low cross-validated error, and SPA/COSS ranking highlighted glycine, alanine, creatine and osmolyte-associated signals as key discriminants; pathway mapping supported the enrichment of amino-acid and one-carbon/purine networks. Apolar spectra were annotated at the motif level and used for lipid-index estimation, indicating substantial unsaturation but low docosahexaenoic acid (DHA) and modest sex effects. Conclusions: The curated peak lists and reporting framework facilitate reproducible NMR annotation and future comparative studies of P. lividus gonads. Full article
(This article belongs to the Special Issue Nutrition, Metabolism and Physiology in Aquatic Animals)
Show Figures

Graphical abstract

28 pages, 3943 KB  
Article
Practical Real-Time Quaking-Induced Conversion for Detecting Classical Bovine Spongiform Encephalopathy and Classical and Atypical Scrapie Prions
by Akio Suzuki, Kazuhei Sawada, Taku Nakashima, Toyotaka Sato, Kohtaro Miyazawa, Yuichi Matsuura, Keigo Ikeda, Yoshifumi Iwamaru and Motohiro Horiuchi
Pathogens 2026, 15(3), 333; https://doi.org/10.3390/pathogens15030333 - 20 Mar 2026
Viewed by 205
Abstract
Real-time quaking-induced conversion (RT-QuIC) is highly sensitive for prion detection; however, inhibitory factors present in tissue homogenates readily interfere with the assay. We previously reported that recombinant cervid prion protein (rCerPrP) enabled the establishment of practical RT-QuIC for detecting chronic wasting disease and [...] Read more.
Real-time quaking-induced conversion (RT-QuIC) is highly sensitive for prion detection; however, inhibitory factors present in tissue homogenates readily interfere with the assay. We previously reported that recombinant cervid prion protein (rCerPrP) enabled the establishment of practical RT-QuIC for detecting chronic wasting disease and atypical bovine spongiform encephalopathy (BSE) prions, i.e., detecting low levels of prions in high concentration of brain tissue homogenates. Accordingly, the present study aimed to establish RT-QuIC for detecting classical BSE (C-BSE) and classical and atypical scrapie (C- and A-scrapie, respectively). A single-step lipid extraction using a 3:1 mixture of 2-butanol and methanol was effective as a pretreatment to remove inhibitors from brain homogenates. Among three rPrPs extensively evaluated, recombinant sheep PrP (rShPrP) was the most suitable substrate for practical detection of C-BSE prions. rCerPrP-173S/177N and rCerPrP-98S/173S/177N, which carry sheep-type amino acid substations at codons 173 and 177 and at codons 98, 173, and 177, showed excellent performance for detecting C-scrapie prions. Moreover, rCerPrP-98S/173S/177N, but not rCerPrP-173S/177N, was identified as an optimal substrate for detecting A-scrapie prions. These results suggested that combining inhibitor-removal pretreatment with the optimization of rPrP substrate for each animal prions further enhanced of RT-QuIC performance. Full article
(This article belongs to the Collection Prions and Chronic Wasting Diseases)
Show Figures

Figure 1

Back to TopTop