Sign in to use this feature.

Years

Between: -

Subjects

remove_circle_outline
remove_circle_outline
remove_circle_outline
remove_circle_outline
remove_circle_outline
remove_circle_outline
remove_circle_outline

Journals

Article Types

Countries / Regions

remove_circle_outline
remove_circle_outline
remove_circle_outline
remove_circle_outline
remove_circle_outline

Search Results (559)

Search Parameters:
Keywords = mesenchymal stem cells source

Order results
Result details
Results per page
Select all
Export citation of selected articles as:
21 pages, 3861 KB  
Article
Achieving Lasting Umbilical Cord Decontamination and Sustainable Stem Cell Sourcing by Combining Plasma-Functionalized Liquid and Ultrasound
by Yuanyuan Pan, Alexander Pogoda, Monika Röntgen, Juergen F. Kolb and Sybille Hasse
Foods 2026, 15(3), 532; https://doi.org/10.3390/foods15030532 - 3 Feb 2026
Abstract
The growing demand for alternative meat products is accelerating research into reproductive cell sources for cell-based meat processes, also called cultured meat. Porcine umbilical cord tissue is recognized as an advantageous source of mesenchymal stem cells (MSCs). However, effective decontamination must be achieved [...] Read more.
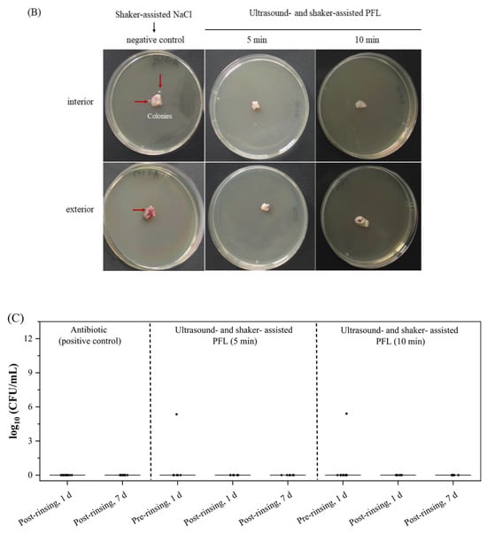
The growing demand for alternative meat products is accelerating research into reproductive cell sources for cell-based meat processes, also called cultured meat. Porcine umbilical cord tissue is recognized as an advantageous source of mesenchymal stem cells (MSCs). However, effective decontamination must be achieved without compromising tissue integrity and cell recovery. In this study, we evaluated the decontamination of porcine umbilical cords using plasma-functionalized liquid (PFL) generated by a microwave-driven plasma source. It was applied alone and in combination with ultrasound, with the combined approach demonstrating superior performance. Specifically, the ultrasound–PFL combination treatment reduced the initial microbial load of individual tissue samples, ranging from 4.08 to 7.41 log10 CFU/g, approaching the limit of detection of the applied microbiological assays. Statistical analysis indicated a significant contribution of both PFL and ultrasound to microbial reduction, while mesenchymal stem cell yields (5.4 × 105 cells/g tissue) and cell viability (84%) remained comparable to antibiotic-rinsed controls. Recovered cells retained functional capacity, as demonstrated by successful 3D spheroid formation. These results highlight ultrasound-assisted PFL rinsing as an efficient, long-lasting, and antibiotic-free decontamination strategy without compromising tissue compatibility. This study thereby extends the application of plasma-functionalized liquids and demonstrates the feasibility of sustainable stem cell sourcing. It offers opportunities in cultured meat bioprocessing. Full article
(This article belongs to the Special Issue Non-Thermal Processing Technologies for Sustainable Food Processing)
Show Figures

Figure 1

18 pages, 13816 KB  
Article
Synergistic Overexpression of Sox9, TGFβ1, and Col II Induces Functional Chondrogenesis in hUC-MSCs Using a 3D Culture Approach
by Shumaila Khalid, Sobia Ekram, Faiza Ramzan, Asmat Salim and Irfan Khan
Organoids 2026, 5(1), 3; https://doi.org/10.3390/organoids5010003 - 14 Jan 2026
Viewed by 183
Abstract
Human umbilical cord-derived mesenchymal stem cells (hUC-MSCs) possess the potential for chondrogenic differentiation, offering a promising alternative source for cartilage regeneration. To address the limited availability and expansion capacity of autologous chondrocytes, we investigated the effect of co-overexpression of Sox9, TGFβ1, and type [...] Read more.
Human umbilical cord-derived mesenchymal stem cells (hUC-MSCs) possess the potential for chondrogenic differentiation, offering a promising alternative source for cartilage regeneration. To address the limited availability and expansion capacity of autologous chondrocytes, we investigated the effect of co-overexpression of Sox9, TGFβ1, and type II collagen (Col II) on the chondrogenic differentiation of hUC-MSCs using both 2D and 3D pellet culture systems. Following transfection, the cells exhibited a chondrocyte-like morphology and a marked downregulation of the stemness marker Stro-1. After 21 days in a 3D pellet culture system, the cells formed cartilage-like tissue characterized by the strong expression of chondrocyte-specific genes (Sox9, TGFβ1, Col II, Aggrecan) along with the significant secretion of sulfated glycosaminoglycans (sGaGs). These effects were attributed to enhanced cell–cell contact and extracellular matrix interactions promoted by the 3D environment. Our findings suggest that genetically modified hUC-MSCs cultured in a 3D pellet system represent a robust in vitro model for cartilage regeneration, with potential applications in transplantation and drug toxicity screening. Full article
Show Figures

Figure 1

21 pages, 4292 KB  
Article
Intermethod Characterization of Commercially Available Extracellular Vesicles as Reference Materials
by Sumeet Poudel, Diane L. Nelson, James H. Yen, Yuefan Wang, Hui Zhang, Zhiyong He, Ashley Beasley Green, Wyatt N. Veerland, Thomas E. Cleveland IV, Sean E. Lehman, Kurt D. Benkstein, Bryant C. Nelson and Lili Wang
Biomolecules 2026, 16(1), 66; https://doi.org/10.3390/biom16010066 - 31 Dec 2025
Viewed by 608
Abstract
The National Institute of Standards and Technology (NIST) is developing analytical methods to characterize extracellular vesicles (EVs) to support the urgent need for standardized EV reference materials (RMs). This study used orthogonal techniques, cryogenic electron microscopy (Cryo-EM), particle tracking analysis (PTA), asymmetrical flow [...] Read more.
The National Institute of Standards and Technology (NIST) is developing analytical methods to characterize extracellular vesicles (EVs) to support the urgent need for standardized EV reference materials (RMs). This study used orthogonal techniques, cryogenic electron microscopy (Cryo-EM), particle tracking analysis (PTA), asymmetrical flow field-flow fractionation (AF4), and microfluidic resistive pulse sensing (MRPS), to evaluate particle size distributions (PSDs) and particle number concentrations (PNCs) of human mesenchymal stem cells (MSCs) and LNCaP prostate cancer cell EVs. Proteomic profiles were assessed by mass spectrometry (MS), and microRNA (miRNA) content of LNCaP EVs was evaluated by small RNA-seq at two independent laboratories. A commercial green fluorescent protein exosome served as a control, except in Cryo-EM, proteomic, and miRNA analyses. Cryo-EM, regarded as the gold standard for morphological resolution, served as PSD reference. PSDs from all methods skewed larger than Cryo-EM, with MRPS closest, AF4 most divergent, and PTA intermediate with broader distributions. All techniques reported broad PSDs (30 nm to >350 nm) with PNCs decreasing with increasing particle size, except for AF4. Quantitative discrepancies in PNCs reached up to two orders of magnitude across methods and cell sources. MS identified global and EV-specific proteins, including syntenin-1 and tetraspanins CD9, CD63, and CD81. RNA-seq revealed notable inter-laboratory variation. These findings highlight the variability across measurement platforms and emphasize the need for reproducible methods to support NIST’s mission of developing reliable EV reference materials. Full article
(This article belongs to the Section Cellular Biochemistry)
Show Figures

Figure 1

30 pages, 533 KB  
Systematic Review
Drug-Loaded Extracellular Vesicle-Based Drug Delivery: Advances, Loading Strategies, Therapeutic Applications, and Clinical Challenges
by Linh Le Dieu, Adrienn Kazsoki and Romána Zelkó
Pharmaceutics 2026, 18(1), 45; https://doi.org/10.3390/pharmaceutics18010045 - 29 Dec 2025
Viewed by 704
Abstract
Background/Objectives: Extracellular vesicles (EVs) are nanosized carriers with high biocompatibility, low immunogenicity, and the ability to cross biological barriers, making them attractive for drug delivery. Despite growing interest, the clinical translation of drug-loaded EVs remains limited. This systematic review aimed to summarize [...] Read more.
Background/Objectives: Extracellular vesicles (EVs) are nanosized carriers with high biocompatibility, low immunogenicity, and the ability to cross biological barriers, making them attractive for drug delivery. Despite growing interest, the clinical translation of drug-loaded EVs remains limited. This systematic review aimed to summarize current evidence on EV sources, loading strategies, therapeutic applications, and translational challenges. Methods: Following PRISMA 2020 guidelines, a systematic search was conducted in Embase, PubMed, Reaxys, and Scopus for the period 2020–2025. Eligible studies included original articles on drug-loaded EVs from human, animal, plant, or other sources. Data on EV source, drug type, particle size, loading method, administration route, and therapeutic application were extracted. Clinical trials were identified through ClinicalTrials.gov. Results: A total of 65 studies were included after screening 5316 records, along with two clinical trials. Human mesenchymal stem cell (MSC)-derived EVs were the most frequent source in oncology, while plant-derived EVs predominated in non-oncology applications. Anti-cancer drugs such as doxorubicin, gemcitabine, and docetaxel were most frequently loaded, alongside curcumin, berberine, and atorvastatin. EV sizes generally ranged from 50 to 200 nm, with larger vesicles reported for plant-derived EVs. Intravenous administration predominated, with most studies demonstrating sustained release and enhanced therapeutic efficacy. Passive loading was most common, especially for hydrophobic drugs, whereas active methods such as electroporation and sonication were preferred for hydrophilic cargo. Two clinical trials showed preliminary therapeutic benefits with favorable safety. Conclusions: Drug-loaded EVs represent a promising and versatile drug delivery platform, yet their clinical translation is hindered by variability in isolation and loading methods, production scalability, and safety evaluation. Further standardization and large-scale studies are needed to advance EV-based therapeutics toward clinical use. Full article
(This article belongs to the Special Issue Biomimetic Nanoparticles for Disease Treatment and Diagnosis)
Show Figures

Graphical abstract

16 pages, 1175 KB  
Article
HERVs and Epigenetic Regulators Transcriptional Expression After Chondrogenic Differentiation of Adipose Tissue-Derived Mesenchymal Stem Cells
by Ilaria Galliano, Cristina Calvi, Stefano Gambarino, Alice Dato, Anna Pau, Maddalena Dini, Anna Clemente, Carlotta Castagnoli and Massimiliano Bergallo
Curr. Issues Mol. Biol. 2026, 48(1), 37; https://doi.org/10.3390/cimb48010037 - 26 Dec 2025
Viewed by 247
Abstract
Mesenchymal stem cells (MSCs) are multipotent cells capable of differentiating into various connective tissue cell types. Adipose tissue provides a rich source of MSCs (ADSCs), which can differentiate into osteoblasts, adipocytes, and chondroblasts. Pluripotency factors such as SOX2, NANOG, and OCT4 maintain MSC [...] Read more.
Mesenchymal stem cells (MSCs) are multipotent cells capable of differentiating into various connective tissue cell types. Adipose tissue provides a rich source of MSCs (ADSCs), which can differentiate into osteoblasts, adipocytes, and chondroblasts. Pluripotency factors such as SOX2, NANOG, and OCT4 maintain MSC stemness, whereas human endogenous retroviruses (HERVs) and their epigenetic regulators TRIM28 and SETDB1 have been implicated in transcriptional regulation and cell fate decisions. This study investigated the transcriptional expression of HERV-H, -K, and -W, TRIM28, SETDB1, and pluripotency markers (NANOG, OCT4, SOX2) during chondrogenic differentiation of ADSCs using Real-Time PCR. Chondrogenesis was confirmed by aggrecan (ACAN) upregulation and aggrecan immunostaining. Although no statistically significant differences were observed for HERV-H, HERV-K, or HERV-W, HERV-K and HERV-W showed a trend toward decreased expression in differentiated cells, consistent with the overall shift in transcriptional profile during lineage commitment. TRIM28 expression was significantly reduced, while SETDB1 showed a decreasing trend. Among pluripotency markers, OCT4 was significantly downregulated, whereas NANOG and SOX2 remained stable. Correlation analyses revealed that in differentiated ADSCs, HERV-W expression correlated negatively with TRIM28 and positively with SETDB1, while no correlations were found for HERV-H or HERV-K. These findings suggest that specific HERV families and their epigenetic regulators may undergo coordinated modulation during chondrogenic differentiation, supporting a complex and family-specific interplay between retroelement regulation, pluripotency factors, and MSC lineage commitment. Full article
Show Figures

Figure 1

28 pages, 1177 KB  
Review
Extracellular Vesicles in Osteogenesis: Comparative Analysis of Stem Cell Sources, Conditioning Strategies, and In Vitro Models Toward Advanced Bone Regeneration
by Luca Dalle Carbonare, Arianna Minoia, Michele Braggio, Francesca Cristiana Piritore, Anna Vareschi, Mattia Cominacini, Alberto Gandini, Franco Antoniazzi, Daping Cui, Maria Grazia Romanelli and Maria Teresa Valenti
Cells 2026, 15(1), 27; https://doi.org/10.3390/cells15010027 - 23 Dec 2025
Viewed by 685
Abstract
Extracellular vesicles (EVs) derived from stem cells have emerged as promising mediators of osteogenesis, suggesting cell-free alternatives for bone tissue engineering and regenerative medicine. This review provides a comprehensive analysis of the main stem cell sources used for EV production, including bone marrow [...] Read more.
Extracellular vesicles (EVs) derived from stem cells have emerged as promising mediators of osteogenesis, suggesting cell-free alternatives for bone tissue engineering and regenerative medicine. This review provides a comprehensive analysis of the main stem cell sources used for EV production, including bone marrow mesenchymal stem cells (BM-MSCs), adipose-derived stem cells (ADSCs), umbilical cord MSCs (UC-MSCs), induced pluripotent stem cells (iPSCs), and alternative stromal populations. Particular attention is given to the ways in which different conditioning and differentiation strategies, such as osteogenic induction, hypoxia, and mechanical stimulation, modulate EV cargo composition and enhance their therapeutic potential. We further discuss the in vitro models employed to evaluate EV-mediated bone regeneration, ranging from 2D cultures to complex 3D spheroids, scaffold-based systems, and bone organoids. Overall, this review emphasizes the current challenges related to standardization, scalable production, and clinical translation. It also outlines future directions, including bioengineering approaches, advanced preclinical models, and the integration of multi-omics approaches and artificial intelligence to optimize EV-based therapies. By integrating current knowledge, this work aims to guide researchers toward more consistent and physiologically relevant strategies to harness EVs for effective bone regeneration. Finally, this work uniquely integrates a comparative analysis of EVs from multiple stem cell sources with engineering strategies and emerging clinical perspectives, thereby providing an updated and translational framework for their application in bone regeneration. Full article
Show Figures

Figure 1

23 pages, 2400 KB  
Review
Clinical Insights into Mesenchymal Stem Cell Applications for Spinal Cord Injury
by Matthew Shkap, Daria Namestnikova, Elvira Cherkashova, Daria Chudakova, Arthur Biktimirov, Konstantin Yarygin and Vladimir Baklaushev
Int. J. Mol. Sci. 2025, 26(24), 12139; https://doi.org/10.3390/ijms262412139 - 17 Dec 2025
Viewed by 1028
Abstract
This review examines the safety and clinical efficacy of mesenchymal stem/stromal cells (MSCs)-based therapies in patients with spinal cord injury (SCI). The analysis covers 26 clinical studies conducted on patients with varying degrees of the post-SCI neurological deficit. The review highlights the methodology [...] Read more.
This review examines the safety and clinical efficacy of mesenchymal stem/stromal cells (MSCs)-based therapies in patients with spinal cord injury (SCI). The analysis covers 26 clinical studies conducted on patients with varying degrees of the post-SCI neurological deficit. The review highlights the methodology of trials, the source of MSCs, the dosage of cells administered, transplantation methods, patient inclusion criteria, and the methods of evaluating the effectiveness of the therapy. MSC transplantation in SCI was safe and feasible in all the studies summarized in our review. All studies conducted have demonstrated varying degrees of patient improvement and reduction in the severity of neurological deficits. However, further controlled randomized studies on larger numbers of patients are needed to better evaluate the therapeutic efficacy of MS transplantation. The prospects of the enhancement of the efficacy of the SCI cell therapy with MSCs, including their transplantation with other types of stem cells, administration of MSC-derived exosomes, genetic modification of MSCs, use of the MSC- and other-stem-cell-based tissue-engineered scaffolds, and combination of cell therapy with neuromodulation, are discussed. Full article
Show Figures

Figure 1

17 pages, 1631 KB  
Article
Functionally Distinct Shed Subpopulations Detected After Magnetic-Activated Cell Sorting of CD71 and CD146
by Marina Miteva, Emilia Karova, Natalia Grancharova, Mirela Marinova-Takorova, Violeta Dogandzhiyska, Krasimir Hristov, Nikolay Ishkitiev, Vanyo Mitev, Evgeniy Aleksiev and Zornitsa Mihaylova
Cells 2025, 14(24), 2010; https://doi.org/10.3390/cells14242010 - 17 Dec 2025
Viewed by 425
Abstract
Mesenchymal stem cells derived from human exfoliated deciduous teeth (SHED) are a promising source for regenerative therapies due to their multipotency, proliferative capacity, and immunomodulatory properties. The present study aimed to isolate and characterize SHED subpopulations based on CD71 and CD146 expression and [...] Read more.
Mesenchymal stem cells derived from human exfoliated deciduous teeth (SHED) are a promising source for regenerative therapies due to their multipotency, proliferative capacity, and immunomodulatory properties. The present study aimed to isolate and characterize SHED subpopulations based on CD71 and CD146 expression and evaluate their multilineage differentiation potential. SHED were obtained from pediatric donors and separated into CD71+, CD71, CD146+, and CD146 fractions using magnetic-activated cell sorting (MACS). CD71+/CD71 and CD146+/CD146 populations were isolated independently; no simultaneous double sorting for both markers was performed. Immunocytochemistry was employed to confirm the expression of surface and intracellular markers, including STRO-1, CD44, nestin, and vimentin. Multilineage differentiation assays toward osteogenic, adipogenic, and chondrogenic lineages revealed that CD71+ cells exhibited reduced osteogenic capacity compared to CD71 cells, whereas CD146+ cells showed enhanced osteogenic and adipogenic differentiation. Chondrogenic differentiation seemed unaffected by marker expression under the 2D conditions employed. These results highlight functional heterogeneity within SHED populations and indicate that CD71 and CD146 independently influence differentiation outcomes. The selective enrichment of CD146+ SHED may enhance osteogenic and adipogenic regenerative applications, while CD71+ subsets may serve as a valuable model for studying proliferation and paracrine effects. Limitations include the use of in vitro differentiation assays and the absence of in vivo validation; additionally, combined CD71/CD146 analysis may further clarify the relationship between metabolic activity and stem/progenitor niche characteristics. Overall, marker-based characterization of SHED subpopulations provides insight into their biological properties and potential utility in targeted cell-based therapeutic strategies. Full article
Show Figures

Figure 1

17 pages, 8327 KB  
Article
Growth Factor-Primed WJ-MSC Secretome Enhances Fibroblast Expansion In Vitro
by Katia Jarquín-Yáñez, Diana Michel Aguilar-Sandoval, Gabriela Piñón-Zárate, Miguel Angel Herrera-Enríquez, Ivan Daniel Avila-Campos, Beatriz Hernandez-Tellez, Dayana Mayte Dominguez-Diaz, Blanca Esther Blancas-Luciano and Andrés Eliú Castell-Rodríguez
Biomedicines 2025, 13(12), 2863; https://doi.org/10.3390/biomedicines13122863 - 24 Nov 2025
Viewed by 615
Abstract
Background: In regenerative medicine, there is interest in using acellular therapy based on the secretome of mesenchymal stem cells (MSC) to promote wound healing. Wharton’s jelly cells (WJ-MSCs) are a readily available source. Their secretion has been optimized when stimulated with FGF and [...] Read more.
Background: In regenerative medicine, there is interest in using acellular therapy based on the secretome of mesenchymal stem cells (MSC) to promote wound healing. Wharton’s jelly cells (WJ-MSCs) are a readily available source. Their secretion has been optimized when stimulated with FGF and EGF to induce proliferation and prevent senescence. Therefore, evaluating the effect on proliferation and wound closure of human fibroblasts in vitro with different concentrations of the secretome of WJ-MSCs stimulated with growth factors is necessary to identify the most efficient work concentration. Methods: The secretome of human WJ-MSC was collected from passage 1 to passage 2 stimulated with FGF and EGF (W FGF/EGF) and the unstimulated secretome (WO FGF/EGF). The immunophenotype of WJ-MSCs after stimulation was evaluated by flow cytometry for the markers: CD105+, CD73+, CD90+, HLA-ABC+, CD44+, HLA-DR−, CD34−, CD11b−, CD19−, and CD45−. The presence of 14 growth factors in the secretome was evaluated using LEGENDplex through flow cytometry. Fibroblasts were cultured, and their culture medium was supplemented with two different concentrations: one of 1.25 mg/mL and another of 6.25 mg/mL of both stimulated and unstimulated secretome. Proliferation, cellular metabolism, and wound closure were evaluated in vitro. Results: The immunophenotype of WJ-MSCs after stimulation remained unchanged, and the production of growth-assessed factors was increased in stimulated WJ-MSCs. The optimal concentration that induced proliferation and wound closure in vitro was 1.25 mg/mL of stimulated WJ-MSC secretome. Conclusions: This study demonstrates that stimulation of WJ-MSCs with FGF and EGF enhances the secretion of growth factors, and that a concentration of 1.25 mg/mL of their secretome promotes optimal fibroblast proliferation and wound closure in vitro. These findings support the potential of optimized WJ-MSC secretome as a promising acellular strategy for regenerative medicine. Full article
Show Figures

Figure 1

30 pages, 11166 KB  
Article
Potential Therapeutic Effects of Epithelial and Mesenchymal Stem Cell Secretome in Benzalkonium Chloride-Induced Limbal Stem Cell Dysfunction
by Agnieszka Prusek-Kucharek, Bartosz Sikora and Piotr Czekaj
Cells 2025, 14(22), 1790; https://doi.org/10.3390/cells14221790 - 14 Nov 2025
Viewed by 865
Abstract
Dry Eye Disease (DED) is a multifactorial condition of the ocular surface, with one potential cause being damage from eye drops containing preservatives such as benzalkonium chloride (BAC). Current treatments for DED are unsatisfactory; therefore, it is worth exploring new therapies based on [...] Read more.
Dry Eye Disease (DED) is a multifactorial condition of the ocular surface, with one potential cause being damage from eye drops containing preservatives such as benzalkonium chloride (BAC). Current treatments for DED are unsatisfactory; therefore, it is worth exploring new therapies based on the secretome derived from stem cells. Human stem cells are important sources of growth factors and cytokines that promote tissue regeneration. The secretome of these cells can be obtained in vitro in conditioned medium (CM). The aim of the study was to evaluate the effect of CM derived from adipose-derived stem cells (hADSCs) and amniotic membrane-derived cells expressing mesenchymal and/or epithelial markers on limbal stem cells (LSCs) damaged by BAC, focusing on their regenerative potential. The study used two experimental models: the first focused on neutralizing the toxic effects of BAC when each CM was administered concurrently, and the second on the therapeutic effects of CM after prior cell damage by BAC. The effects of CM on LSCs were assessed, including apoptosis, cell cycle progression, proliferation, migration, and inflammation. CM from ADSCs and amniotic cells were shown to significantly reduce BAC-induced damage to LSCs. All tested CM promoted LSC regeneration, although their efficacy varied among treatments. The application of CM during BAC exposure yielded stronger and more consistent benefits than post-injury treatment. Full article
(This article belongs to the Section Cell and Gene Therapy)
Show Figures

Figure 1

26 pages, 728 KB  
Review
Effect of Aging on the Morphofunctional Characteristics of Oral Cavity Mesenchymal Stromal Cells: A Scoping Review
by Josefa Alarcón-Apablaza, Luis A. Salazar, Pía Loren, Constanza Martínez-Cardozo and Ramón Fuentes
Biomedicines 2025, 13(11), 2776; https://doi.org/10.3390/biomedicines13112776 - 13 Nov 2025
Viewed by 553
Abstract
Over the past decade, interest has grown in understanding the morphofunctional changes that mesenchymal stem cells (MSCs) undergo due to age-associated senescence—a process particularly relevant given that adults and elderly individuals are the primary candidates for regenerative therapies. This study addresses this knowledge [...] Read more.
Over the past decade, interest has grown in understanding the morphofunctional changes that mesenchymal stem cells (MSCs) undergo due to age-associated senescence—a process particularly relevant given that adults and elderly individuals are the primary candidates for regenerative therapies. This study addresses this knowledge gap by systematically analyzing the influence of age-related senescence on the morphofunctional properties of MSCs derived from the oral cavity. A scoping review was conducted following the PRISMA-ScR guidelines. The databases searched were MEDLINE, SCOPUS, and Web of Science. In vitro studies were included if their primary objective was to investigate oral cavity mesenchymal stromal cells and age-related senescence. A total of 455 studies were identified, of which 17 were selected. Studies on MSCs from the oral cavity have shown that age-related senescence, starting around 35 years, reduces proliferation, viability, clonogenic capacity, and differentiation potential—particularly toward osteogenic and chondrogenic lineages—with higher values observed in younger individuals. However, MSC surface markers remain stably expressed and show no association with aging. Some studies also report no significant differences in proliferation rate or cell doubling time at early passages, and MSCs retain some plasticity at these stages. Despite age-related limitations, oral MSCs from elderly donors remain a promising therapeutic source, especially at early in vitro passages. Further research is needed to explore innovative strategies to enhance the regenerative potential of oral MSCs from older donors. Full article
(This article belongs to the Special Issue Feature Reviews in Mesenchymal Stem Cells)
Show Figures

Figure 1

52 pages, 3943 KB  
Review
Applications of Modern Cell Therapies: The Latest Data in Ophthalmology
by Ioannis Iliadis, Nadezhda A. Pechnikova, Malamati Poimenidou, Diamantis D. Almaliotis, Ioannis Tsinopoulos, Tamara V. Yaremenko and Alexey V. Yaremenko
Life 2025, 15(10), 1610; https://doi.org/10.3390/life15101610 - 16 Oct 2025
Viewed by 3732
Abstract
Cell-based therapeutics are redefining interventions for vision loss by enabling tissue replacement, regeneration, and neuroprotection. This review surveys contemporary cellular strategies in ophthalmology through the lenses of therapeutic effectiveness, translational readiness, and governance. We profile principal sources—embryonic and induced pluripotent stem cells, mesenchymal [...] Read more.
Cell-based therapeutics are redefining interventions for vision loss by enabling tissue replacement, regeneration, and neuroprotection. This review surveys contemporary cellular strategies in ophthalmology through the lenses of therapeutic effectiveness, translational readiness, and governance. We profile principal sources—embryonic and induced pluripotent stem cells, mesenchymal stromal cells, retinal pigment epithelium, retinal progenitor and limbal stem cells—and enabling platforms including extracellular vesicles, encapsulated cell technology and biomaterial scaffolds. We synthesize clinical evidence across age-related macular degeneration, inherited retinal dystrophies, and corneal injury/limbal stem-cell deficiency, and highlight emerging applications for glaucoma and diabetic retinopathy. Delivery routes (subretinal, intravitreal, anterior segment) and graft formats (single cells, sheets/patches, organoids) are compared using standardized structural and functional endpoints. Persistent barriers include GMP-compliant derivation and release testing; differentiation fidelity, maturation, and potency; genomic stability and tumorigenicity risk; graft survival, synaptic integration, and immune rejection despite ocular immune privilege; the scarcity of validated biomarkers and harmonized outcome measures and ethical, regulatory, and health-economic constraints. Promising trajectories span off-the-shelf allogeneic products, patient-specific iPSC-derived grafts, organoid and 3D-bioprinted tissues, gene-plus-cell combinations, and cell-free extracellular-vesicle therapeutics. Overall, cell-based therapies remain investigational. With adequately powered trials, methodological harmonization, long-term surveillance, scalable xeno-free manufacturing, and equitable access frameworks, they may eventually become standards of care; at present, approvals are limited to specific products/indications and regions, and no cell therapy is the standard of care for retinal disease. Full article
(This article belongs to the Special Issue Advances in Biomedical Frontier Technologies and Disease Diagnosis)
Show Figures

Figure 1

18 pages, 8019 KB  
Article
Increased BMP/SMAD Signaling by PD-MSCs Promotes Bone Formation in an Ovariectomized Mouse Model of Osteoporosis
by Dae Hyun Lee, Hyeri Park, Sihyun Kim, Jong Ho Choi, Sang Shin Lee and Gi Jin Kim
Int. J. Mol. Sci. 2025, 26(20), 10017; https://doi.org/10.3390/ijms262010017 - 15 Oct 2025
Viewed by 935
Abstract
Mesenchymal stem cells (MSCs) have emerged as a promising therapeutic approach for degenerative diseases due to their ability to modulate disease progression through paracrine mechanisms. Among various MSC sources, placenta-derived MSCs (PD-MSCs) offer significant advantages, including high proliferation capacity, reduced senescence, and low [...] Read more.
Mesenchymal stem cells (MSCs) have emerged as a promising therapeutic approach for degenerative diseases due to their ability to modulate disease progression through paracrine mechanisms. Among various MSC sources, placenta-derived MSCs (PD-MSCs) offer significant advantages, including high proliferation capacity, reduced senescence, and low immunogenicity, making them ideal for allogeneic applications. In this study, we investigated the therapeutic effects of PD-MSC transplantation in an estrogen-deficiency-induced osteoporosis mouse model. Mice were divided into three groups: a normal control group, a non-transplanted osteoporosis group, and a PD-MSC-transplanted group. Our findings demonstrated that PD-MSC transplantation significantly improved osteoporosis-related parameters, including increased femur weight, bone volume, bone mineral density, and calcium deposition. Additionally, estrogen levels were elevated, bone formation markers were upregulated, and bone resorption markers were downregulated. PD-MSCs also reduced inflammatory cytokine levels while enhancing anti-inflammatory factors. Notably, the BMP/SMAD signaling pathway, crucial for bone formation, was significantly upregulated. These results suggest that PD-MSC transplantation effectively restores bone homeostasis by inhibiting osteoclast activity, promoting osteogenesis, and modulating inflammation. This study provides strong evidence supporting the potential of PD-MSCs as a novel therapeutic strategy for osteoporosis, offering a regenerative and anti-inflammatory approach to bone disease management. Full article
(This article belongs to the Section Biochemistry)
Show Figures

Figure 1

24 pages, 935 KB  
Review
Cancer-Associated Fibroblasts Arising from Endothelial-to-Mesenchymal Transition: Induction Factors, Functional Roles, and Transcriptomic Evidence
by Junyeol Han, Eung-Gook Kim, Bo Yeon Kim and Nak-Kyun Soung
Biology 2025, 14(10), 1403; https://doi.org/10.3390/biology14101403 - 13 Oct 2025
Viewed by 2209
Abstract
Cancer-associated fibroblasts (CAFs) are key components of the tumor microenvironment (TME) that influence cancer progression via extracellular matrix (ECM) remodeling and secretion of growth factors and cytokines. Endothelial-to-mesenchymal transition (EndMT) is emerging as an important axis among the heterogeneous origins of CAFs. This [...] Read more.
Cancer-associated fibroblasts (CAFs) are key components of the tumor microenvironment (TME) that influence cancer progression via extracellular matrix (ECM) remodeling and secretion of growth factors and cytokines. Endothelial-to-mesenchymal transition (EndMT) is emerging as an important axis among the heterogeneous origins of CAFs. This review introduces the diverse methods used to induce EndMT in cancer—mouse tumor models, conditioned-medium treatment, co-culture, targeted gene perturbation, ligand stimulation, exosome exposure, irradiation, viral infection, and three-dimensional (3D) culture systems—and summarizes EndMT cell-type evidence uncovered using transcriptomic and proteomic technologies. Hallmark EndMT features include spindle-like morphology, increased motility, impaired angiogenesis and barrier function, decreased endothelial markers (CD31, VE-cadherin), and increased mesenchymal markers (α-SMA, FN1). Reported mechanisms include signaling via TGF-β, cytoskeletal/mechanical stress, reactive oxygen species, osteopontin, PAI-1, IL-1β, GSK-3β, HSP90α, Tie1, TNF-α, HSBP1, and NOTCH. Cancer-induced EndMT affects tumors and surrounding TME—promoting tumor growth and metastasis, expanding cancer stem cell-like cells, driving macrophage differentiation, and redistributing pericytes—and is closely associated with poor survival and therapy resistance. Finally, we indicate each study’s stance: some frame cancer-induced EndMT as a source of CAFs, whereas others, from an endothelial perspective, emphasize barrier weakening and promotion of metastasis. Full article
(This article belongs to the Special Issue Recent Advances in Tumor Microenvironment Biology)
Show Figures

Figure 1

28 pages, 1878 KB  
Review
Exosomes in Osteoarthritis: Breakthrough Innovations and Advanced Tissue Engineering for Cartilage Regeneration Since 2020
by Xiao-He Yang, Shu-Yin Chen, Quan-Fa Zhou and You-Zhi Cai
Biomedicines 2025, 13(10), 2486; https://doi.org/10.3390/biomedicines13102486 - 13 Oct 2025
Cited by 2 | Viewed by 3515
Abstract
Background/Objectives: Osteoarthritis (OA) is a prevalent age-related degenerative joint disease causing cartilage damage, leading to a debilitating lifestyle. However, there are currently no drugs on the market that promote cartilage repair, and advanced cases often require arthroplasty. Increasing evidence suggests that exosomes, the [...] Read more.
Background/Objectives: Osteoarthritis (OA) is a prevalent age-related degenerative joint disease causing cartilage damage, leading to a debilitating lifestyle. However, there are currently no drugs on the market that promote cartilage repair, and advanced cases often require arthroplasty. Increasing evidence suggests that exosomes, the smallest extracellular vesicles (30–150 nm) secreted by all cell types, are involved in the pathological process of OA and play a crucial and complex role in its progression. This review aims to provide in-depth insights into exosome biology, isolation techniques, their role in OA pathophysiology, and their clinical therapeutic potential. Methods: We systematically reviewed studies published since 2020 on exosomes in OA, focusing on their biological properties, isolation techniques, pathological roles, and therapeutic applications. Results: Exosomes derived from synovial fluid, chondrocytes, synoviocytes, and mesenchymal stem cells regulate key processes in OA progression, including inflammation, apoptosis, extracellular matrix degradation, and regeneration. Various cell-derived exosomes show therapeutic potential for cartilage damage/OA. However, their mechanisms of action have not been fully investigated. Moreover, emerging methodologies, such as utilizing novel materials for exosome delivery, potentially facilitate the development of more effective and personalized therapeutic interventions. Conclusions: Exosomes exert dual roles in OA pathogenesis and therapy. Although challenges remain regarding their sources, dosage, delivery, and standardization, exosome-based strategies represent a promising cell-free therapeutic approach with potential applications in personalized and precision medicine. Full article
(This article belongs to the Special Issue Advances in Extracellular Vesicles in Therapeutics)
Show Figures

Figure 1

Back to TopTop