Achieving Lasting Umbilical Cord Decontamination and Sustainable Stem Cell Sourcing by Combining Plasma-Functionalized Liquid and Ultrasound
Abstract
1. Introduction
2. Materials and Methods
2.1. Sample Procurement and Preparation
2.2. Plasma Equipment Setup and Generation of Plasma-Functionalized Liquid (PFL)
2.3. Decontamination Treatments
2.4. Microbial Assessment
2.5. Establishment of Explant Culture
2.6. Establishment of 3D Cell Culture
2.7. Data Analysis
3. Results
3.1. Decontamination Efficacy Increases with Rinsing Time
3.2. Introducing a Recovery Period Restores Cell Viability
3.3. Ultrasound-Assisted PFL Rinsing Eliminates Bacterial Contamination but Yields Low Cell Numbers
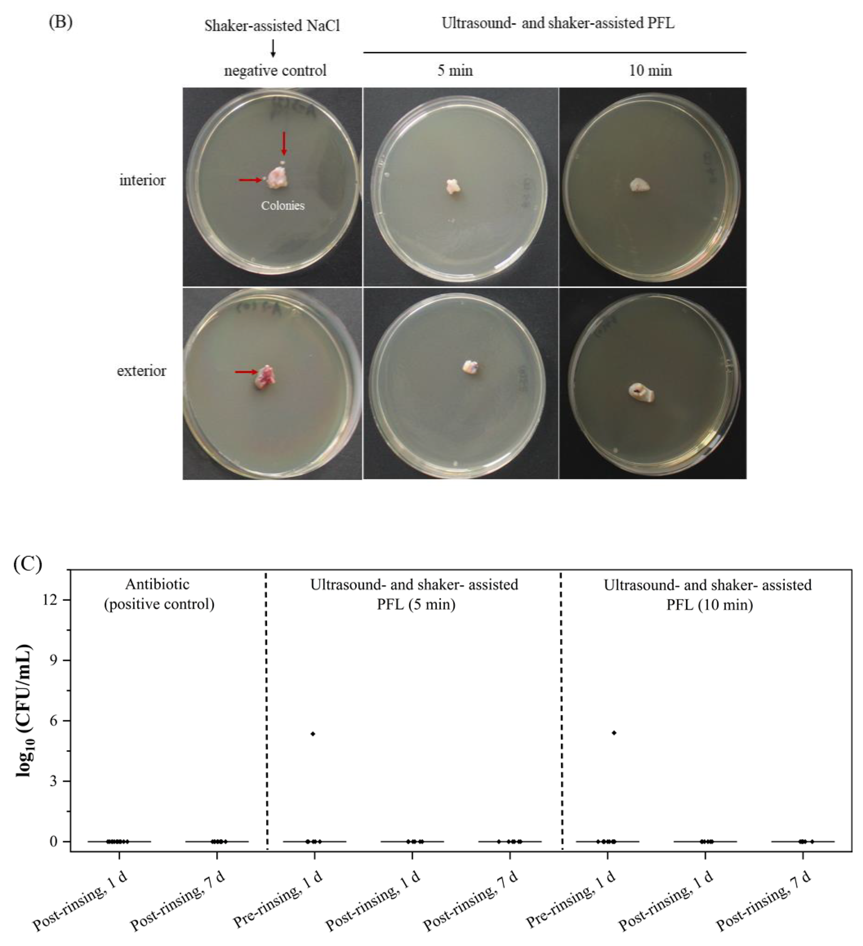
3.4. Combination of Ultrasound- and Shaker-Assisted Rinsing Optimized Decontamination Efficiency and Cell Yield
3.5. Successful Cell Isolation and Spheroid Formation Confirms MSC Functionality
4. Discussion
5. Conclusions
Author Contributions
Funding
Institutional Review Board Statement
Informed Consent Statement
Data Availability Statement
Acknowledgments
Conflicts of Interest
Abbreviations
| PFL | Plasma functionalized liquid |
| MSCs | Mesenchymal stem cells |
| US | Ultrasound |
| NaCl | Sodium chloride |
| FBS | Fetal bovine serum |
| IBC | International bulk container |
| pUC | Porcine umbilical cord |
| PPA | Plasma processed air |
| slm | Standard liter per minute |
| CI | Confidence interval |
| DPBS | Dulbecco’s phosphate-buffered solution |
| CFU | Colony forming unit |
| mL | Milliliter |
| LOD | Limit of detection |
| ROS | Reactive oxygen species |
| LIPU | Low-intensity pulsed ultrasound |
References
- Eibl, R.; Senn, Y.; Gubser, G.; Jossen, V.; van den Bos, C.; Eibl, D. Cellular Agriculture: Opportunities and Challenges. Annu. Rev. Food Sci. Technol. 2021, 12, 51–73. [Google Scholar] [CrossRef]
- Stephens, N.; Di Silvio, L.; Dunsford, I.; Ellis, M.; Glencross, A.; Sexton, A. Bringing cultured meat to market: Technical, socio-political, and regulatory challenges in cellular agriculture. Trends Food Sci. Technol. 2018, 78, 155–166. [Google Scholar] [CrossRef]
- Ozhava, D.; Bhatia, M.; Freman, J.; Mao, Y. Sustainable Cell Sources for Cultivated Meat. J. Biomed. Res. Environ. Sci. 2022, 3, 1382–1388. [Google Scholar] [CrossRef]
- Guan, X.; Zhou, J.; Du, G.; Chen, J. Bioprocessing technology of muscle stem cells: Implications for cultured meat. Trends Biotechnol. 2022, 40, 721–734. [Google Scholar] [CrossRef] [PubMed]
- Miersch, C.; Stange, K.; Hering, S.; Kolisek, M.; Viergutz, T.; Röntgen, M. Molecular and functional heterogeneity of early postnatal porcine satellite cell populations is associated with bioenergetic profile. Sci. Rep. 2017, 7, 45052. [Google Scholar] [CrossRef] [PubMed]
- Lau, C.H.; van Engelen, K.; Gordon, S.; Renaud, J.; Topp, E. Novel Antibiotic Resistance Determinants from Agricultural Soil Exposed to Antibiotics Widely Used in Human Medicine and Animal Farming. Appl. Environ. Microbiol. 2017, 83, e00989-17. [Google Scholar] [CrossRef] [PubMed]
- Allen, H.K.; Trachsel, J.; Looft, T.; Casey, T.A. Finding alternatives to antibiotics. Ann. N. Y. Acad. Sci. 2014, 1323, 91–100. [Google Scholar] [CrossRef]
- Ermolaeva, S.A.; Varfolomeev, A.F.; Chernukha, M.Y.; Yurov, D.S.; Vasiliev, M.M.; Kaminskaya, A.A.; Moisenovich, M.M.; Romanova, J.M.; Murashev, A.N.; Selezneva, I.I.; et al. Bactericidal effects of non-thermal argon plasma in vitro, in biofilms and in the animal model of infected wounds. J. Med. Microbiol. 2011, 60, 75–83. [Google Scholar] [CrossRef]
- Ghosh, C.; Sarkar, P.; Issa, R.; Haldar, J. Alternatives to Conventional Antibiotics in the Era of Antimicrobial Resistance. Trends Microbiol. 2019, 27, 323–338. [Google Scholar] [CrossRef]
- Murugaiyan, J.; Kumar, P.A.; Rao, G.S.; Iskandar, K.; Hawser, S.; Hays, J.P.; Mohsen, Y.; Adukkadukkam, S.; Awuah, W.A.; Jose, R.A.M.; et al. Progress in Alternative Strategies to Combat Antimicrobial Resistance: Focus on Antibiotics. Antibiotics 2022, 11, 200. [Google Scholar] [CrossRef]
- Andrés, C.M.C.; Lastra, J.M.P.; Andres Juan, C.; Plou, F.J.; Pérez-Lebeña, E. Chlorine Dioxide: Friend or Foe for Cell Biomolecules? A Chemical Approach. Int. J. Mol. Sci. 2022, 23, 15660. [Google Scholar] [CrossRef] [PubMed]
- Ricke, S.C. Perspectives on the use of organic acids and short chain fatty acids as antimicrobials. Poult. Sci. 2003, 82, 632–639. [Google Scholar] [CrossRef]
- Scholtz, V.; Pazlarova, J.; Souskova, H.; Khun, J.; Julak, J. Nonthermal plasma—A tool for decontamination and disinfection. Biotechnol. Adv. 2015, 33, 1108–1119. [Google Scholar] [CrossRef]
- Handorf, O.; Below, H.; Schnabel, U.; Riedel, K.; Ehlbeck, J. Investigation of the chemical composition of plasma-treated water by MidiPLexc and its antimicrobial effect on L. monocytogenes and Pseudomonas fluorescens monospecies suspension cultures. J. Phys. D Appl. Phys. 2020, 53, 305204. [Google Scholar] [CrossRef]
- Pogoda, A.; Pan, Y.; Röntgen, M.; Hasse, S. Plasma-Functionalized Liquids for Decontamination of Viable Tissues: A Comparative Approach. Int. J. Mol. Sci. 2024, 25, 10791. [Google Scholar] [CrossRef]
- Tsoukou, E.; Bourke, P.; Boehm, D. Understanding the Differences Between Antimicrobial and Cytotoxic Properties of Plasma Activated Liquids. Plasma Med. 2018, 8, 299–320. [Google Scholar] [CrossRef]
- Xiang, Q.S.; Fan, L.M.; Li, Y.F.; Dong, S.S.; Li, K.; Bai, Y.H. A review on recent advances in plasma-activated water for food safety: Current applications and future trends. Crit. Rev. Food Sci. Nutr. 2022, 62, 2250–2268. [Google Scholar] [CrossRef]
- Zimmermann, J.L.; Shimizu, T.; Schmidt, H.U.; Li, Y.F.; Morfill, G.E.; Isbary, G. Test for bacterial resistance build-up against plasma treatment. New J. Phys. 2012, 14, 073037. [Google Scholar] [CrossRef]
- Wang, Q.; Salvi, D. Recent progress in the application of plasma-activated water (PAW) for food decontamination. Curr. Opin. Food Sci. 2021, 42, 51–60. [Google Scholar] [CrossRef]
- Katsigiannis, A.S.; Bayliss, D.L.; Walsh, J.L. Cold plasma for the disinfection of industrial food-contact surfaces: An overview of current status and opportunities. Compr. Rev. Food Sci. Food Saf. 2022, 21, 1086–1124. [Google Scholar] [CrossRef]
- Ma, R.; Wang, G.; Tian, Y.; Wang, K.; Zhang, J.; Fang, J. Non-thermal plasma-activated water inactivation of food-borne pathogen on fresh produce. J. Hazard. Mater. 2015, 300, 643–651. [Google Scholar] [CrossRef]
- Machado-Moreira, B.; Tiwari, B.K.; Richards, K.G.; Abram, F.; Burgess, C.M. Application of plasma activated water for decontamination of alfalfa and mung bean seeds. Food Microbiol. 2021, 96, 103708. [Google Scholar] [CrossRef]
- Randeniya, L.K.; de Groot, G.J.J.B. Non-Thermal Plasma Treatment of Agricultural Seeds for Stimulation of Germination, Removal of Surface Contamination and Other Benefits: A Review. Plasma Process. Polym. 2015, 12, 608–623. [Google Scholar] [CrossRef]
- Waskow, A.; Betschart, J.; Butscher, D.; Oberbossel, G.; Klöti, D.; Büttner-Mainik, A.; Adamcik, J.; von Rohr, P.R.; Schuppler, M. Characterization of Efficiency and Mechanisms of Cold Atmospheric Pressure Plasma Decontamination of Seeds for Sprout Production. Front. Microbiol. 2018, 9, 3164. [Google Scholar] [CrossRef]
- Ehlbeck, J.; Schnabel, U.; Andrasch, M.; Stachowiak, J.; Stolz, N.; Fröhling, A.; Schlüter, O.; Weltmann, K.D. Plasma Treatment of Food. Contrib. Plasma Phys. 2015, 55, 753–757. [Google Scholar] [CrossRef]
- Schnabel, U.; Niquet, R.; Schlüter, O.; Gniffke, H.; Ehlbeck, J. Decontamination and Sensory Properties of Microbiologically Contaminated Fresh Fruits and Vegetables by Microwave Plasma Processed Air (Ppa). J. Food Process. Preserv. 2015, 39, 653–662. [Google Scholar] [CrossRef]
- Beitia, E.; Gkogka, E.; Chanos, P.; Hertel, C.; Heinz, V.; Valdramidis, V.; Aganovic, K. Microbial decontamination assisted by ultrasound-based processing technologies in food and model systems: A review. Compr. Rev. Food Sci. Food Saf. 2023, 22, 2802–2849. [Google Scholar] [CrossRef] [PubMed]
- Johnson Esua, O.; Cheng, J.H.; Sun, D.W. Novel technique for treating grass carp (Ctenopharyngodon idella) by combining plasma functionalized liquids and Ultrasound: Effects on bacterial inactivation and quality attributes. Ultrason. Sonochemistry 2021, 76, 105660. [Google Scholar] [CrossRef] [PubMed]
- Royintarat, T.; Choi, E.H.; Boonyawan, D.; Seesuriyachan, P.; Wattanutchariya, W. Chemical-free and synergistic interaction of ultrasound combined with plasma-activated water (PAW) to enhance microbial inactivation in chicken meat and skin. Sci. Rep. 2020, 10, 1559. [Google Scholar] [CrossRef]
- Andrasch, M.; Stachowiak, J.; Schlüter, O.; Schnabel, U.; Ehlbeck, J. Scale-up to pilot plant dimensions of plasma processed water generation for fresh-cut lettuce treatment. Food Packag. Shelf Life 2017, 14, 40–45. [Google Scholar] [CrossRef]
- Schnabel, U.; Handorf, O.; Yarova, K.; Zessin, B.; Zechlin, S.; Sydow, D.; Zellmer, E.; Stachowiak, J.; Andrasch, M.; Below, H.; et al. Plasma-Treated Air and Water—Assessment of Synergistic Antimicrobial Effects for Sanitation of Food Processing Surfaces and Environment. Foods 2019, 8, 55. [Google Scholar] [CrossRef] [PubMed]
- Schnabel, U.; Andrasch, M.; Stachowiak, J.; Weit, C.; Weihe, T.; Schmidt, C.; Muranyi, P.; Schlüter, O.; Ehlbeck, J. Sanitation of fresh-cut endive lettuce by plasma processed tap water (PPtW)—Up-scaling to industrial level. Innov. Food Sci. Emerg. Technol. 2019, 53, 45–55. [Google Scholar] [CrossRef]
- Jaime-Rodríguez, M.; Cadena-Hernández, A.L.; Rosales-Valencia, L.D.; Padilla-Sánchez, J.M.; Chavez-Santoscoy, R.A. Are genetic drift and stem cell adherence in laboratory culture issues for cultivated meat production? Front. Nutr. 2023, 10, 1189664. [Google Scholar] [CrossRef]
- Park, Y.M.; Lee, M.; Jeon, S.; Hrůzová, D. In vitro effects of conditioned medium from bioreactor cultured human umbilical cord-derived mesenchymal stem cells (hUC-MSCs) on skin-derived cell lines. Regen. Ther. 2021, 18, 281–291. [Google Scholar] [CrossRef]
- Stange, K.; Wolter, T.; Fu, Z.; Burdeos, G.; Mideksa, Y.; Friese, A.; Röntgen, M. Isolation of Porcine Umbilical Cord Cells by Mechanical Tissue Dissociation Using a Tissue Grinder. Cells 2025, 14, 1425. [Google Scholar] [CrossRef]
- Oehmigen, K.; Hähnel, M.; Brandenburg, R.; Wilke, C.; Weltmann, K.D.; von Woedtke, T. The Role of Acidification for Antimicrobial Activity of Atmospheric Pressure Plasma in Liquids. Plasma Process. Polym. 2010, 7, 250–257. [Google Scholar] [CrossRef]
- Kondeti, V.; Phan, C.Q.; Wende, K.; Jablonowski, H.; Gangal, U.; Granick, J.L.; Hunter, R.C.; Bruggeman, P.J. Long-lived and short-lived reactive species produced by a cold atmospheric pressure plasma jet for the inactivation of Pseudomonas aeruginosa and Staphylococcus aureus. Free Radic. Biol. Med. 2018, 124, 275–287. [Google Scholar] [CrossRef] [PubMed]
- Nicol, M.J.; Brubaker, T.R.; Honish, B.J., II; Simmons, A.N.; Kazemi, A.; Geissel, M.A.; Whalen, C.T.; Siedlecki, C.A.; Bilén, S.G.; Knecht, S.D.; et al. Antibacterial effects of low-temperature plasma generated by atmospheric-pressure plasma jet are mediated by reactive oxygen species. Sci. Rep. 2020, 10, 3066. [Google Scholar] [CrossRef]
- Pan, Y.; Zhang, Y.; Cheng, J.-H.; Sun, D.-W. Inactivation of Listeria Monocytogenes at various growth temperatures by ultrasound pretreatment and cold plasma. LWT 2020, 118, 108635. [Google Scholar] [CrossRef]
- Schnabel, U.; Balazinski, M.; Wagner, R.; Stachowiak, J.; Boehm, D.; Andrasch, M.; Bourke, P.; Ehlbeck, J. Optimizing the application of plasma functionalised water (PFW) for microbial safety in fresh-cut endive processing. Innov. Food Sci. Emerg. Technol. 2021, 72, 102745. [Google Scholar] [CrossRef]
- Zhu, H.; Wu, Z.; Ding, X.; Post, M.J.; Guo, R.; Wang, J.; Wu, J.; Tang, W.; Ding, S.; Zhou, G. Production of cultured meat from pig muscle stem cells. Biomaterials 2022, 287, 121650. [Google Scholar] [CrossRef]
- Zhao, Y.-M.; Oliveira, M.; Burgess, C.M.; Cropotova, J.; Rustad, T.; Sun, D.-W.; Tiwari, B.K. Combined effects of ultrasound, plasma-activated water, and peracetic acid on decontamination of mackerel fillets. LWT 2021, 150, 111957. [Google Scholar] [CrossRef]
- Bilek, S.E.; Turantaş, F. Decontamination efficiency of high power ultrasound in the fruit and vegetable industry, a review. Int. J. Food Microbiol. 2013, 166, 155–162. [Google Scholar] [CrossRef]
- de Lucas, B.; Pérez, L.M.; Bernal, A.; Gálvez, B.G. Application of low-intensity pulsed therapeutic ultrasound on mesenchymal precursors does not affect their cell properties. PLoS ONE 2021, 16, e0246261. [Google Scholar] [CrossRef]
- Chen, Y.; Yang, H.; Wang, Z.; Zhu, R.; Cheng, L.; Cheng, Q. Low-intensity pulsed ultrasound promotes mesenchymal stem cell transplantation-based articular cartilage regeneration via inhibiting the TNF signaling pathway. Stem Cell Res. Ther. 2023, 14, 93. [Google Scholar] [CrossRef]
- Semenova, E.; Grudniak, M.P.; Machaj, E.K.; Bocian, K.; Chroscinska-Krawczyk, M.; Trochonowicz, M.; Stepaniec, I.M.; Murzyn, M.; Zagorska, K.E.; Boruczkowski, D.; et al. Mesenchymal Stromal Cells from Different Parts of Umbilical Cord: Approach to Comparison & Characteristics. Stem Cell Rev. Rep. 2021, 17, 1780–1795. [Google Scholar] [CrossRef]
- Estrada, J.C.; Albo, C.; Benguría, A.; Dopazo, A.; López-Romero, P.; Carrera-Quintanar, L.; Roche, E.; Clemente, E.P.; Enríquez, J.A.; Bernad, A.; et al. Culture of human mesenchymal stem cells at low oxygen tension improves growth and genetic stability by activating glycolysis. Cell Death Differ. 2012, 19, 743–755. [Google Scholar] [CrossRef]
- Pilgrim, C.R.; McCahill, K.A.; Rops, J.G.; Dufour, J.M.; Russell, K.A.; Koch, T.G. A Review of Fetal Bovine Serum in the Culture of Mesenchymal Stromal Cells and Potential Alternatives for Veterinary Medicine. Front. Vet. Sci. 2022, 9, 859025. [Google Scholar] [CrossRef] [PubMed]
- Pan, Y.; Pogoda, A.; Röntgen, M.; Kolb, J.F.; Hasse, S. Achieving Lasting Umbilical Cord Decontamination and Sustainable Stem Cell Sourcing by Combining Plasma-Functionalized Liquid and Ultrasound—Dataset. 2026; Unpublished work. [Google Scholar] [CrossRef]







| Parameter | Concentration |
|---|---|
| Hydrogen peroxide (H2O2) | 0.165 (±0.01) mM |
| Nitrite (NO2−) | 6.46 (±0.04) mM |
| Nitrate (NO3−) | 7.03 (±0.05) mM |
| pH value | 2.05 (±0.03) |
| Transport | Trial Defined Mode | Cut Ends of pUC | Pre-Rinsing | Recover Solution | Cut Ends of pUC | Post-Rinsing During Creating Explant Culture | ||||||
|---|---|---|---|---|---|---|---|---|---|---|---|---|
| Solution | Volume | Assisted by | Time | Rounds | Solution | Volume | Rounds | |||||
| NaCl solution | Negative control | No | NaCl | 100 mL | shaker | 10 min | 3× | - | - | - | - | - |
| PFL from microwave-driven plasma source (4 L NaCl solution/4 min) | (1) shaker-assisted PFL rinsing: | |||||||||||
| No | PFL | 100 mL | shaker | 1 min | 3× | PFL | Yes | PFL | 20 mL | 4× | ||
| No | 5 min | 3× | PFL | Yes | PFL | 20 mL | 4× | |||||
| No | 10 min | 3× | PFL | Yes | PFL | 20 mL | 4× | |||||
| (2) shaker-assisted PFL rinsing with recover solution: | ||||||||||||
| No | PFL | 100 mL | shaker | 10 min | 3× | 0.9% NaCl (4h) | Yes | 10-fold dilution of stock PFL | 20 mL | 1× | ||
| No | 10 min | 3× | α-MEM with FCS (4 h) | Yes | 10-fold dilution of stock PFL | 20 mL | 1× | |||||
| No | 10 min | 3× | α-MEM with FCS (24 h) | Yes | 10-fold dilution of stock PFL | 20 mL | 1× | |||||
| (3) ultrasound-assisted PFL rinsing: | ||||||||||||
| No | PFL | 100 mL | ultrasonic bath (50%) | 5 min | 3× | α-MEM with FCS | Yes | 10-fold dilution of stock PFL | 30 mL | 1× | ||
| No | 10 min | 3× | α-MEM with FCS | Yes | 10-fold dilution of stock PFL | 30 mL | 1× | |||||
| No | ultrasonic bath (100%) | 5 min | 3× | α-MEM with FCS | Yes | 10-fold dilution of stock PFL | 30 mL | 1× | ||||
| No | 10 min | 3× | α-MEM with FCS | Yes | 10-fold dilution of stock PFL | 30 mL | 1× | |||||
| (4) combined ultrasound- and shaker-assisted PFL rinsing: | ||||||||||||
| Yes | PFL | 100 mL | ultrasonic bath (100%)/shaker | 5 min | 3× | α-MEM with FCS | No | 10-fold dilution of stock PFL | 30 mL | 1× | ||
| Yes | 10 min | 3× | α-MEM with FCS | No | 10-fold dilution of stock PFL | 30 mL | 1× | |||||
| NaCl solution + AB | Positive control | - | - | - | - | - | - | - | Yes | NaCl solution + AB | 20 mL | 4× |
Disclaimer/Publisher’s Note: The statements, opinions and data contained in all publications are solely those of the individual author(s) and contributor(s) and not of MDPI and/or the editor(s). MDPI and/or the editor(s) disclaim responsibility for any injury to people or property resulting from any ideas, methods, instructions or products referred to in the content. |
© 2026 by the authors. Licensee MDPI, Basel, Switzerland. This article is an open access article distributed under the terms and conditions of the Creative Commons Attribution (CC BY) license.
Share and Cite
Pan, Y.; Pogoda, A.; Röntgen, M.; Kolb, J.F.; Hasse, S. Achieving Lasting Umbilical Cord Decontamination and Sustainable Stem Cell Sourcing by Combining Plasma-Functionalized Liquid and Ultrasound. Foods 2026, 15, 532. https://doi.org/10.3390/foods15030532
Pan Y, Pogoda A, Röntgen M, Kolb JF, Hasse S. Achieving Lasting Umbilical Cord Decontamination and Sustainable Stem Cell Sourcing by Combining Plasma-Functionalized Liquid and Ultrasound. Foods. 2026; 15(3):532. https://doi.org/10.3390/foods15030532
Chicago/Turabian StylePan, Yuanyuan, Alexander Pogoda, Monika Röntgen, Juergen F. Kolb, and Sybille Hasse. 2026. "Achieving Lasting Umbilical Cord Decontamination and Sustainable Stem Cell Sourcing by Combining Plasma-Functionalized Liquid and Ultrasound" Foods 15, no. 3: 532. https://doi.org/10.3390/foods15030532
APA StylePan, Y., Pogoda, A., Röntgen, M., Kolb, J. F., & Hasse, S. (2026). Achieving Lasting Umbilical Cord Decontamination and Sustainable Stem Cell Sourcing by Combining Plasma-Functionalized Liquid and Ultrasound. Foods, 15(3), 532. https://doi.org/10.3390/foods15030532

