Sign in to use this feature.

Years

Between: -

Subjects

remove_circle_outline
remove_circle_outline
remove_circle_outline
remove_circle_outline

Journals

Article Types

Countries / Regions

Search Results (23)

Search Parameters:
Keywords = mesangial matrix expansion

Order results
Result details
Results per page
Select all
Export citation of selected articles as:
18 pages, 3135 KB  
Article
Obesity-Associated NAFLD Coexists with a Chronic Inflammatory Kidney Condition That Is Partially Mitigated by Short-Term Oral Metformin
by Amod Sharma, Reza Hakkak, Neriman Gokden, Neelam Joshi and Nirmala Parajuli
Nutrients 2025, 17(13), 2115; https://doi.org/10.3390/nu17132115 - 26 Jun 2025
Viewed by 845
Abstract
Background/Objectives: Chronic kidney disease (CKD) is twice as prevalent in individuals with obesity-associated non-alcoholic fatty liver disease (Ob-NAFLD), highlighting the need to determine the link and mechanisms of kidney injury as well as explore therapies. Metformin, a first-line treatment for type 2 diabetes, [...] Read more.
Background/Objectives: Chronic kidney disease (CKD) is twice as prevalent in individuals with obesity-associated non-alcoholic fatty liver disease (Ob-NAFLD), highlighting the need to determine the link and mechanisms of kidney injury as well as explore therapies. Metformin, a first-line treatment for type 2 diabetes, shows promise in managing NAFLD, but its renal benefits in Ob-NAFLD remain unclear. This study investigates the impact of Ob-NAFLD on kidney injury and assesses the potential protective effects of metformin. Methods: Five-week-old female Zucker rats (obese fa/fa and lean Fa/Fa) were fed an AIN-93G diet for 8 weeks to induce Ob-NAFLD, then fed the diet with Metformin for 10 weeks. Kidneys were collected for histopathological and biochemical analyses. Results: Histopathological studies showed increased tubular injury, mesangial matrix expansion, and fibrosis in kidneys with Ob-NAFLD compared to lean control (LC) rats. Immunohistochemistry further revealed an elevated macrophage and neutrophil infiltration and increased levels of nitrotyrosine and p22phox in Ob-NAFLD kidneys. Furthermore, Ob-NAFLD rat kidneys showed upregulation of TNF-α and CCL2 genes and increased levels of caspase-3 (total and cleaved). Interestingly, metformin treatment significantly decreased TNF-α mRNA and blunted nitrotyrosine levels, and modestly reduced immune cell infiltration in Ob-NAFLD. Conclusions: These findings indicate that Ob-NAFLD promotes CKD as evidenced by tubular injury, oxidative stress, inflammation, and fibrosis. While short-term metformin treatment showed anti-oxidative and anti-inflammatory effects in Ob-NAFLD, its impact on structural kidney damage was limited, highlighting the need for longer treatment or alternative therapeutics such as oxidant scavengers and anti-inflammatory drugs to effectively mitigate renal pathologies. Full article
(This article belongs to the Section Nutrition and Obesity)
Show Figures

Figure 1

14 pages, 1644 KB  
Article
A Simplified and Robust Model for the Study of Diabetic Nephropathy: Streptozotocin-Induced Diabetic Mice Fed a High-Protein Diet
by Océane Pointeau, Romain Barbosa, Maéva Loriot, Julia Leemput, Elisabeth Dubus, Sébastien Zwe Causse, Laurent Demizieux, Patricia Passilly-Degrace, Pascal Degrace, Bruno Vergès and Tony Jourdan
Int. J. Mol. Sci. 2025, 26(6), 2477; https://doi.org/10.3390/ijms26062477 - 10 Mar 2025
Viewed by 1620
Abstract
To better understand diabetic nephropathy (DN), developing accurate animal models is crucial. Current models often fail to fully mimic human DN, showing only mild albuminuria, glomerular hypertrophy, and limited mesangial matrix expansion. Our study aims to develop a more robust model by combining [...] Read more.
To better understand diabetic nephropathy (DN), developing accurate animal models is crucial. Current models often fail to fully mimic human DN, showing only mild albuminuria, glomerular hypertrophy, and limited mesangial matrix expansion. Our study aims to develop a more robust model by combining streptozotocin (STZ)-induced diabetes with a high-protein diet (HPD). We divided C57Bl/6J mice into three groups: control, STZ with a standard diet (STZ-SD), and STZ with a HPD (45 kcal% protein) (STZ-HPD) for 12 weeks. Renal function was evaluated using the urinary albumin-to-creatinine ratio, and kidney tissues were analyzed for histological and molecular changes. The STZ-HPD group showed significantly higher albuminuria and more severe glomerular and tubular damage compared to the control and STZ-SD groups. These changes were accompanied by increased inflammatory and oxidative stress markers, highlighting the harmful effects of high-protein intake on renal injury. Our findings suggest that the STZ-HPD model could be a valuable tool for studying DN pathophysiology and evaluating therapeutic interventions, providing a new approach for preclinical research. Full article
(This article belongs to the Section Molecular Endocrinology and Metabolism)
Show Figures

Figure 1

14 pages, 2875 KB  
Article
Glucosyl Hesperidin Supplementation Prevents Tubulointerstitial Fibrosis and Immune Activation in Diabetic Nephropathy in Mice
by Kotaro Hashimoto, Yuki Yoshida, Mion Kamesawa, Nao Yazawa, Hikaru Tominaga, Rahmawati Aisyah, Siyi Chen, Chanikan Bumrungkit, Seiji Kawamoto, Thanutchaporn Kumrungsee and Noriyuki Yanaka
Nutrients 2025, 17(3), 383; https://doi.org/10.3390/nu17030383 - 21 Jan 2025
Cited by 1 | Viewed by 1516
Abstract
Background: Diabetic nephropathy (DN) is a serious condition that can result in end-stage renal failure. Recent evidence has focused on the dietary effects of polyphenols on blood glucose levels and the complications of diabetes. Objectives: In this study, we investigated the protective effect [...] Read more.
Background: Diabetic nephropathy (DN) is a serious condition that can result in end-stage renal failure. Recent evidence has focused on the dietary effects of polyphenols on blood glucose levels and the complications of diabetes. Objectives: In this study, we investigated the protective effect of glucosyl hesperidin (G-Hes), composed of glucose and hesperidin, against streptozotocin (STZ)-induced nephropathy in mice. Methods: We used an STZ-induced diabetic mouse model to investigate the preventive effect of G-Hes on renal pathology. After G-Hes supplementation for 4 weeks, we investigated the renal gene expression profiles using DNA microarray analysis and renal histology to examine the underlying molecular mechanism. Results: G-Hes suppressed the increase in kidney weight without any change in the blood glucose levels. This study identified 511 genes whose expression levels were substantially increased during DN development but were downregulated by G-Hes supplementation. G-Hes prevented mRNA expression associated with renal tubule injury, fibrosis, and immune responses. Notably, G-Hes supplementation considerably decreased the complement component C3 at the mRNA and protein levels in the glomeruli and ameliorated glomerular and mesangial matrix expansion in diabetic nephropathy. Conclusions: G-Hes supplementation is useful in preventing tubulointerstitial fibrosis and inflammation in a mouse model of DN, without exhibiting a hypoglycemic effect. Full article
(This article belongs to the Section Nutrition and Diabetes)
Show Figures

Figure 1

16 pages, 9787 KB  
Article
Dietary Choline Deprivation Exacerbates Kidney Injury in Streptozotocin-Induced Diabetes in Adult Rats
by Ahmed W. Al-Humadi, Carel W. le Roux, Neil G. Docherty, Werd Al-Najim, Martin Tze Wah Kueh, Andreas C. Lazaris and Charis Liapi
Diabetology 2025, 6(1), 8; https://doi.org/10.3390/diabetology6010008 - 20 Jan 2025
Cited by 1 | Viewed by 1679
Abstract
Background: Choline (Ch) deprivation causes kidney injury and dysfunction, and diabetic nephropathy is also known to be a complication of diabetes; thus, this interplay could potentially aggravate diabetic kidney disease. Aim: This study aims to examine the effect of Ch-deprivation on [...] Read more.
Background: Choline (Ch) deprivation causes kidney injury and dysfunction, and diabetic nephropathy is also known to be a complication of diabetes; thus, this interplay could potentially aggravate diabetic kidney disease. Aim: This study aims to examine the effect of Ch-deprivation on the severity of kidney injury in streptozotocin (STZ)-induced diabetic rats. Methods: Twenty-four adult male Wistar rats were divided into four groups: control (C), nondiabetic Ch-deprived (CD), diabetic (DM), and diabetic Ch-deprived (DM + CD). Diabetes was induced by the intraperitoneal administration of 50 mg/kg body weight STZ; Ch-deprivation was induced through a choline-deficient diet. Rats were euthanized at week 5 of the study. Biochemical tests, renal histopathology, immunohistochemistry of the kidney injury molecule-1 (KIM-1), and vascular endothelial growth factor-A (VEGF-A) expression were assessed. Results: DM + CD and DM groups demonstrated significant increases in glucose levels and in the homeostasis model of insulin resistance (HOMA IR). Creatinine and blood urea nitrogen levels significantly increased in the DM + CD group compared to the control, and homocysteine levels were higher in the CD group. Kidney histopathology revealed that renal tubular necrosis, mesangial matrix expansion, and renal fibrosis substantially increased in the DM + CD group compared to all other groups, and KIM-1 and VEGF-A expressions were most pronounced in the DM + CD and DM groups, respectively. Conclusions: Ch deprivation affected kidney function and structure in STZ-induced diabetic rats. Choline deficiency and diabetes seem to have a synergistic effect, as evidenced by kidney biochemistry, histopathology, and immunohistochemistry. These findings could highlight the important role of choline in therapeutic strategies for the treatment and, potentially, prevention of chronic diabetic kidney disease. Full article
(This article belongs to the Special Issue Exclusive Papers Collection of Editorial Board Members in Diabetology)
Show Figures

Figure 1

16 pages, 3522 KB  
Article
Repurposing Niclosamide to Modulate Renal RNA-Binding Protein HuR for the Treatment of Diabetic Nephropathy in db/db Mice
by Lili Zhuang, Wenjin Liu, Xiao-Qing Tsai, Connor Outtrim, Anna Tang, Zhou Wang and Yufeng Huang
Int. J. Mol. Sci. 2024, 25(17), 9651; https://doi.org/10.3390/ijms25179651 - 6 Sep 2024
Cited by 4 | Viewed by 1704
Abstract
Hu antigen R (HuR) plays a key role in regulating genes critical to the pathogenesis of diabetic nephropathy (DN). This study investigates the therapeutic potential of niclosamide (NCS) as an HuR inhibitor in DN. Uninephrectomized mice were assigned to four groups: normal control; [...] Read more.
Hu antigen R (HuR) plays a key role in regulating genes critical to the pathogenesis of diabetic nephropathy (DN). This study investigates the therapeutic potential of niclosamide (NCS) as an HuR inhibitor in DN. Uninephrectomized mice were assigned to four groups: normal control; untreated db/db mice terminated at 14 and 22 weeks, respectively; and db/db mice treated with NCS (20 mg/kg daily via i.p.) from weeks 18 to 22. Increased HuR expression was observed in diabetic kidneys from db/db mice, which was mitigated by NCS treatment. Untreated db/db mice exhibited obesity, progressive hyperglycemia, albuminuria, kidney hypertrophy and glomerular mesangial matrix expansion, increased renal production of fibronectin and a-smooth muscle actin, and decreased glomerular WT-1+-podocytes and nephrin expression. NCS treatment did not affect mouse body weight, but reduced blood glucose and HbA1c levels and halted the DN progression observed in untreated db/db mice. Renal production of inflammatory and oxidative stress markers (NF-κBp65, TNF-a, MCP-1) and urine MDA levels increased during disease progression in db/db mice but were halted by NCS treatment. Additionally, the Wnt1-signaling-pathway downstream factor, Wisp1, was identified as a key downstream mediator of HuR-dependent action and found to be markedly increased in db/db mouse kidneys, which was normalized by NCS treatment. These findings suggest that inhibition of HuR with NCS is therapeutic for DN by improving hyperglycemia, renal inflammation, and oxidative stress. The reduction in renal Wisp1 expression also contributes to its renoprotective effects. This study supports the potential of repurposing HuR inhibitors as a novel therapy for DN. Full article
Show Figures

Figure 1

15 pages, 5730 KB  
Article
Oleuropein Supplementation Ameliorates Long-Course Diabetic Nephropathy and Diabetic Cardiomyopathy Induced by Advanced Stage of Type 2 Diabetes in db/db Mice
by Shujuan Zheng, Ruixuan Geng, Jingya Guo, Seong-Gook Kang, Kunlun Huang and Tao Tong
Nutrients 2024, 16(6), 848; https://doi.org/10.3390/nu16060848 - 15 Mar 2024
Cited by 7 | Viewed by 2591
Abstract
Previous studies have reported the therapeutic effects of oleuropein (OP) consumption on the early stage of diabetic nephropathy and diabetic cardiomyopathy. However, the efficacy of OP on the long-course of these diabetes complications has not been investigated. Therefore, in this study, to investigate [...] Read more.
Previous studies have reported the therapeutic effects of oleuropein (OP) consumption on the early stage of diabetic nephropathy and diabetic cardiomyopathy. However, the efficacy of OP on the long-course of these diabetes complications has not been investigated. Therefore, in this study, to investigate the relieving effects of OP intake on these diseases, and to explore the underlying mechanisms, db/db mice (17-week-old) were orally administrated with OP (200 mg/kg bodyweight) for 15 weeks. We found that OP reduced expansion of the glomerular mesangial matrix, renal inflammation, renal fibrosis, and renal apoptosis. Meanwhile, OP treatment exerted cardiac anti-fibrotic, anti-inflammatory, and anti-apoptosis effects. Notably, transcriptomic and bioinformatic analyses indicated 290 and 267 differentially expressed genes in the kidney and heart replying to OP treatment, respectively. For long-course diabetic nephropathy, OP supplementation significantly upregulated the cyclic guanosine monophosphate-dependent protein kinase (cGMP–PKG) signaling pathway. For long-course diabetic cardiomyopathy, p53 and cellular senescence signaling pathways were significantly downregulated in response to OP supplementation. Furthermore, OP treatment could significantly upregulate the transcriptional expression of the ATPase Na+/K+ transporting subunit alpha 3, which was enriched in the cGMP–PKG signaling pathway. In contrast, OP treatment could significantly downregulate the transcriptional expressions of cyclin-dependent kinase 1, G two S phase expressed protein 1, and cyclin B2, which were enriched in p53 and cellular senescence signal pathways; these genes were confirmed by qPCR validation. Overall, our findings demonstrate that OP ameliorated long-course diabetic nephropathy and cardiomyopathy in db/db mice and highlight the potential benefits of OP as a functional dietary supplement in diabetes complications treatment. Full article
(This article belongs to the Section Proteins and Amino Acids)
Show Figures

Graphical abstract

16 pages, 440 KB  
Article
Interleukin Variants Are Associated with the Development and Progression of IgA Nephropathy: A Candidate-Gene Association Study and Meta-Analysis
by Ioanna Chronopoulou, Maria Tziastoudi, Georgios Pissas, Efthimios Dardiotis, Maria Dardioti, Spyridon Golfinopoulos, Georgios Filippidis, Peter R. Mertens, Evangelia E. Tsironi, Vassilios Liakopoulos, Theodoros Eleftheriadis and Ioannis Stefanidis
Int. J. Mol. Sci. 2023, 24(22), 16347; https://doi.org/10.3390/ijms242216347 - 15 Nov 2023
Cited by 4 | Viewed by 1998
Abstract
The interleukin-1 gene cluster encodes cytokines, which modulate mesangial cell proliferation and matrix expansion, both constituting central factors in the development and progression of immunoglobulin A nephropathy (IgAN). A candidate-gene study was performed to examine the association of polymorphisms of the interleukin-1 gene [...] Read more.
The interleukin-1 gene cluster encodes cytokines, which modulate mesangial cell proliferation and matrix expansion, both constituting central factors in the development and progression of immunoglobulin A nephropathy (IgAN). A candidate-gene study was performed to examine the association of polymorphisms of the interleukin-1 gene cluster with the risk of progressive IgAN. To gain deeper insights into the involvement of interleukin genes in IgAN, a meta-analysis of genetic association studies (GAS) that examine the association between interleukin variants and IgAN was conducted. Association study: The case-control study consisted of 121 unrelated Caucasians with sporadic, histologically diagnosed IgAN and of 246 age- and sex-matched healthy controls. Persistent proteinuria (>2 g/24 h) and/or impaired kidney function (serum creatinine > 1.5 mg/dL) defined progressive (n = 67) vs. non-progressive (n = 54) IgAN cases. Genotypes were assessed for two promoter-region single-nucleotide polymorphisms, C-899T (rs1800587) in IL1A and C-511T (rs16944) in IL1B, and for one penta-allelic variable-length tandem repeat polymorphism (VNTR 86 bp intron 2) in IL1RN. The association of these variants with the susceptibility of IgAN and the development of progressive IgAN (healthy status, IgAN, progressive IgAN) was tested using the generalized odds ratio (ORG) metric. Linkage disequilibrium and haplotype analysis were also performed. Meta-analysis: We included in the meta-analysis 15 studies investigating association between 14 interleukin variants harbored in eight different genes and IgAN. The ORG was used to evaluate the association between interleukin variants and IgAN using random effects models. The present case-control study revealed association of IL1B C-511T (rs16944) with the progression of IgAN (p = 0.041; ORG = 2.11 (1.09–4.07)). On haplotype analysis, significant results were derived for the haplotypes C-C-1 (p = 0.005; OR = 0.456 (0.261~0.797)) and C-T-2 (p = 0.003; OR = 4.208 (1.545–11.50)). Regarding association and meta-analysis results, variants in IL1B (rs1143627 and rs16944), IL1RN (rs928940, rs439154, and rs315951) and IL10 (rs1800871) were associated with IgAN based on either genotype or allele counts. Genetic variants and haplotypes in the IL1B, IL1RN, and IL10 genes might contribute to an increased risk for development and progression of IgAN. Full article
(This article belongs to the Section Molecular Immunology)
Show Figures

Figure 1

18 pages, 8723 KB  
Article
PTEN, MMP2, and NF-κB and Regulating MicroRNA-181 Aggravate Insulin Resistance and Progression of Diabetic Nephropathy: A Case-Control Study
by Manoj Khokhar, Purvi Purohit, Sojit Tomo, Riddhi G. Agarwal, Ashita Gadwal, Nitin Kumar Bajpai, Gopal Krishna Bohra and Ravindra Kumar Shukla
Kidney Dial. 2023, 3(1), 121-138; https://doi.org/10.3390/kidneydial3010011 - 15 Mar 2023
Cited by 7 | Viewed by 3058
Abstract
Diabetic nephropathy (DN) is characterized by an increase in urinary albumin excretion, diabetic glomerular lesions, and a decline in glomerular filtration rate (GFR). We assessed the expression of phosphatase and tensin homolog (PTEN), nuclear factor kappa-β (NF-κB), matrix metalloproteinase-2 (MMP2), and microRNA-181 in [...] Read more.
Diabetic nephropathy (DN) is characterized by an increase in urinary albumin excretion, diabetic glomerular lesions, and a decline in glomerular filtration rate (GFR). We assessed the expression of phosphatase and tensin homolog (PTEN), nuclear factor kappa-β (NF-κB), matrix metalloproteinase-2 (MMP2), and microRNA-181 in healthy controls (HC), individuals with type 2 diabetes mellitus (T2DM) without nephropathy, and those with DN. Our study investigated the association between these genes, insulin resistance (IR), and eGFR to gain insight into their roles in the pathogenesis and progression of DN. Anthropometric measurements and biochemical tests were conducted on HC (N = 36), T2DM (N = 38) patients, and DN (N = 35) patients. We used real-time polymerase chain reaction (RT-PCR) for whole blood gene expression analysis and performed bioinformatics analyses, including protein–protein interaction, gene ontology, and co-expression networks. We compared our expression data with other GEO-Microarray datasets. Our study highlights the role of IR in the progression of nephropathy in T2DM via the PTEN-Akt-mTOR signalling pathway. We also observed a decreasing trend in the expression of MMP2 and PTEN and an increasing trend in the expression of NF-κB and miR-181b-5p with the progression of nephropathy to the severe stage. The dysregulated expression of MMP2, PTEN, NF-κB, and miR-181b-5p in patients with T2DM contributes to the progression of T2DM to DN by aggravating IR, inflammation, accelerating basement membrane thickening, mesangial matrix expansion, and renal fibrosis. Full article
Show Figures

Figure 1

15 pages, 8125 KB  
Article
Sirtuin 3 Deficiency Aggravates Kidney Disease in Response to High-Fat Diet through Lipotoxicity-Induced Mitochondrial Damage
by Monica Locatelli, Daniela Macconi, Daniela Corna, Domenico Cerullo, Daniela Rottoli, Giuseppe Remuzzi, Ariela Benigni and Carlamaria Zoja
Int. J. Mol. Sci. 2022, 23(15), 8345; https://doi.org/10.3390/ijms23158345 - 28 Jul 2022
Cited by 17 | Viewed by 3258
Abstract
Sirtuin 3 (SIRT3) is the primary mitochondrial deacetylase that controls the antioxidant pathway and energy metabolism. We previously found that renal Sirt3 expression and activity were reduced in mice with type 2 diabetic nephropathy associated with oxidative stress and mitochondrial abnormalities and that [...] Read more.
Sirtuin 3 (SIRT3) is the primary mitochondrial deacetylase that controls the antioxidant pathway and energy metabolism. We previously found that renal Sirt3 expression and activity were reduced in mice with type 2 diabetic nephropathy associated with oxidative stress and mitochondrial abnormalities and that a specific SIRT3 activator improved renal damage. SIRT3 is modulated by diet, and to assess whether Sirt3 deficiency aggravates mitochondrial damage and accelerates kidney disease in response to nutrient overloads, wild-type (WT) and Sirt3−/− mice were fed a high-fat-diet (HFD) or standard diet for 8 months. Sirt3−/− mice on HFD exhibited earlier and more severe albuminuria compared to WT mice, accompanied by podocyte dysfunction and glomerular capillary rarefaction. Mesangial matrix expansion, tubular vacuolization and inflammation, associated with enhanced lipid accumulation, were more evident in Sirt3−/− mice. After HFD, kidneys from Sirt3−/− mice showed more oxidative stress than WT mice, mitochondria ultrastructural damage in tubular cells, and a reduction in mitochondrial mass and energy production. Our data demonstrate that Sirt3 deficiency renders mice more prone to developing oxidative stress and mitochondrial abnormalities in response to HFD, resulting in more severe kidney diseases, and this suggests that mitochondria protection may be a method to prevent HFD-induced renal injury. Full article
(This article belongs to the Special Issue Nutrient Metabolites and Their Receptors in Human Diseases)
Show Figures

Figure 1

12 pages, 2337 KB  
Article
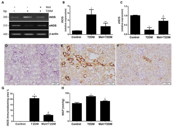
Metformin Is Associated with the Inhibition of Renal Artery AT1R/ET-1/iNOS Axis in a Rat Model of Diabetic Nephropathy with Suppression of Inflammation and Oxidative Stress and Kidney Injury
by Amal F. Dawood, Amro Maarouf, Norah M. Alzamil, Maha A. Momenah, Ayed A. Shati, Nervana M. Bayoumy, Samaa S. Kamar, Mohamed A. Haidara, Asmaa M. ShamsEldeen, Hanaa Z. Yassin, Peter W. Hewett and Bahjat Al-Ani
Biomedicines 2022, 10(7), 1644; https://doi.org/10.3390/biomedicines10071644 - 8 Jul 2022
Cited by 25 | Viewed by 2993
Abstract
Diabetes is the most common cause of end-stage renal disease, also called kidney failure. The link between the renal artery receptor angiotensin II type I (AT1R) and endothelin-1 (ET-1), involved in vasoconstriction, oxidative stress, inflammation and kidney fibrosis (collagen) in diabetes-induced nephropathy with [...] Read more.
Diabetes is the most common cause of end-stage renal disease, also called kidney failure. The link between the renal artery receptor angiotensin II type I (AT1R) and endothelin-1 (ET-1), involved in vasoconstriction, oxidative stress, inflammation and kidney fibrosis (collagen) in diabetes-induced nephropathy with and without metformin incorporation has not been previously studied. Diabetes (type 2) was induced in rats and another group started metformin (200 mg/kg) treatment 2 weeks prior to the induction of diabetes and continued on metformin until being culled at week 12. Diabetes significantly (p < 0.0001) modulated renal artery tissue levels of AT1R, ET-1, inducible nitric oxide synthase (iNOS), endothelial NOS (eNOS), and the advanced glycation end products that were protected by metformin. In addition, diabetes-induced inflammation, oxidative stress, hypertension, ketonuria, mesangial matrix expansion, and kidney collagen were significantly reduced by metformin. A significant correlation between the AT1R/ET-1/iNOS axis, inflammation, fibrosis and glycemia was observed. Thus, diabetes is associated with the augmentation of the renal artery AT1R/ET-1/iNOS axis as well as renal injury and hypertension while being protected by metformin. Full article
(This article belongs to the Section Endocrinology and Metabolism Research)
Show Figures

Figure 1

14 pages, 4869 KB  
Article
The Effects of EMMPRIN/CD147 on Late Function and Histopathological Lesions of the Renal Graft
by Magdalena Nalewajska, Martyna Opara-Bajerowicz, Krzysztof Safranow, Andrzej Pawlik, Kazimierz Ciechanowski, Sebastian Kwiatkowski and Ewa Kwiatkowska
Biology 2022, 11(2), 232; https://doi.org/10.3390/biology11020232 - 1 Feb 2022
Cited by 2 | Viewed by 2311
Abstract
Chronic kidney disease (CKD) is associated with renal fibrosis, and develops with the participation of fibroblasts and myofibroblasts from epithelial-to-mesenchymal transition (EMT). In cancer research, the key role of the glycoprotein CD147/EMMPRIN (extracellular matrix metalloproteinase inducer) in EMT has been proven. In this [...] Read more.
Chronic kidney disease (CKD) is associated with renal fibrosis, and develops with the participation of fibroblasts and myofibroblasts from epithelial-to-mesenchymal transition (EMT). In cancer research, the key role of the glycoprotein CD147/EMMPRIN (extracellular matrix metalloproteinase inducer) in EMT has been proven. In this study, we evaluate how serum CD147/EMMPRIN affects long-term renal graft function and renal biopsy specimen lesions. In total, 49 renal graft recipients who had a renal biopsy within the last 18 months were retrospectively reviewed. At their most recent appointments, their serum concentrations of CD147/EMMPRIN and renal function were assessed. The occurrence of delayed graft function (DGF), estimated glomerular filtration rate (eGFR) at 1-year post-kidney transplantation (Tx) and the subsequent years of the follow-up period, and renal biopsy specimen lesions, mainly those related to renal fibrosis and tubular atrophy, were also evaluated. Results: CD147/EMMPRIN serum concentration correlated negatively with eGFR at the most recent appointment (ME 69 months) and with eGFR at 1 and 2 years after Tx (p < 0.05, R = −0.69, R = −0.39, and R = −0.40, respectively). CD147/EMMPRIN serum levels correlated positively with urine protein concentrations (p < 0.05, R = 0.73). A positive correlation was further found with the severity of renal biopsy specimen lesions such as interstitial fibrosis (CI), tubular atrophy (CT), double contours of the GBM (CG), mesangial matrix expansion (MM), and arteriolar hyalinosis (AH) (p < 0.05, R = 0.39, R = 0.29, R = 0.41, R = 0.32 and R = 0.40, respectively). Patients with a history of DGF had higher CD147/EMMPRIN serum concentrations (<0.05). Conclusions: CD147/EMMPRIN is linked to poorer long-term renal graft function. Additionally, a high serum concentration of CD147/EMMPRIN affects interstitial fibrosis tubular atrophy (IF/TA) lesions and proteinuria. Full article
(This article belongs to the Special Issue Pathological Changes of the Extracellular Matrix as Diagnostic Target)
Show Figures

Figure 1

12 pages, 3058 KB  
Article
Endothelial ADAM17 Expression in the Progression of Kidney Injury in an Obese Mouse Model of Pre-Diabetes
by Vanesa Palau, Josué Jarrín, Sofia Villanueva, David Benito, Eva Márquez, Eva Rodríguez, María José Soler, Anna Oliveras, Javier Gimeno, Laia Sans, Marta Crespo, Julio Pascual, Clara Barrios and Marta Riera
Int. J. Mol. Sci. 2022, 23(1), 221; https://doi.org/10.3390/ijms23010221 - 25 Dec 2021
Cited by 5 | Viewed by 4549
Abstract
Disintegrin and metalloproteinase domain 17 (ADAM17) activates inflammatory and fibrotic processes through the shedding of various molecules such as Tumor Necrosis Factor-α (TNF-α) or Transforming Growht Factor-α (TGF-α). There is a well-recognised link between TNF-α, obesity, inflammation, and diabetes. In physiological situations, ADAM17 [...] Read more.
Disintegrin and metalloproteinase domain 17 (ADAM17) activates inflammatory and fibrotic processes through the shedding of various molecules such as Tumor Necrosis Factor-α (TNF-α) or Transforming Growht Factor-α (TGF-α). There is a well-recognised link between TNF-α, obesity, inflammation, and diabetes. In physiological situations, ADAM17 is expressed mainly in the distal tubular cell while, in renal damage, its expression increases throughout the kidney including the endothelium. The aim of this study was to characterize, for the first time, an experimental mouse model fed a high-fat diet (HFD) with a specific deletion of Adam17 in endothelial cells and to analyse the effects on different renal structures. Endothelial Adam17 knockout male mice and their controls were fed a high-fat diet, to induce obesity, or standard rodent chow, for 22 weeks. Glucose tolerance, urinary albumin-to-creatinine ratio, renal histology, macrophage infiltration, and galectin-3 levels were evaluated. Results showed that obese mice presented higher blood glucose levels, dysregulated glucose homeostasis, and higher body weight compared to control mice. In addition, obese wild-type mice presented an increased albumin-to-creatinine ratio; greater glomerular size and mesangial matrix expansion; and tubular fibrosis with increased galectin-3 expression. Adam17 deletion decreased the albumin-to-creatinine ratio, glomerular mesangial index, and tubular galectin-3 expression. Moreover, macrophage infiltration in the glomeruli of obese Adam17 knockout mice was reduced as compared to obese wild-type mice. In conclusion, the expression of ADAM17 in endothelial cells impacted renal inflammation, modulating the renal function and histology in an obese pre-diabetic mouse model. Full article
(This article belongs to the Special Issue Molecular Mechanisms of Kidney Injury)
Show Figures

Figure 1

18 pages, 8503 KB  
Article
Abnormal Blood Coagulation and Kidney Damage in Aged Hamsters Infected with Severe Acute Respiratory Syndrome Coronavirus 2
by Marumi Ohno, Michihito Sasaki, Yasuko Orba, Toshiki Sekiya, Md. Abdul Masum, Osamu Ichii, Tatsuya Sawamura, Akemi Kakino, Yasuhiko Suzuki, Hiroshi Kida, Hirofumi Sawa and Masashi Shingai
Viruses 2021, 13(11), 2137; https://doi.org/10.3390/v13112137 - 22 Oct 2021
Cited by 10 | Viewed by 2983
Abstract
Systemic symptoms have often been observed in patients with coronavirus disease 2019 (COVID-19) in addition to pneumonia, however, the details are still unclear due to the lack of an appropriate animal model. In this study, we investigated and compared blood coagulation abnormalities and [...] Read more.
Systemic symptoms have often been observed in patients with coronavirus disease 2019 (COVID-19) in addition to pneumonia, however, the details are still unclear due to the lack of an appropriate animal model. In this study, we investigated and compared blood coagulation abnormalities and tissue damage between male Syrian hamsters of 9 (young) and over 36 (aged) weeks old after intranasal infection with severe acute respiratory syndrome coronavirus 2 (SARS-CoV-2). Despite similar levels of viral replication and inflammatory responses in the lungs of both age groups, aged but not young hamsters showed significant prolongation of prothrombin time and prominent acute kidney damage. Moreover, aged hamsters demonstrated increased intravascular coagulation time-dependently in the lungs, suggesting that consumption of coagulation factors causes prothrombin time prolongation. Furthermore, proximal urinary tract damage and mesangial matrix expansion were observed in the kidneys of the aged hamsters at early and later disease stages, respectively. Given that the severity and mortality of COVID-19 are higher in elderly human patients, the effect of aging on pathogenesis needs to be understood and should be considered for the selection of animal models. We, thus, propose that the aged hamster is a good small animal model for COVID-19 research. Full article
(This article belongs to the Section SARS-CoV-2 and COVID-19)
Show Figures

Figure 1

10 pages, 394 KB  
Article
Hypertriglyceridemia Is Associated with More Severe Histological Glomerulosclerosis in IgA Nephropathy
by Won Jung Choi, Yu Ah Hong, Ji Won Min, Eun Sil Koh, Hyung Duk Kim, Tae Hyun Ban, Young Soo Kim, Yong Kyun Kim, Seok Joon Shin, Seok Young Kim, Chul Woo Yang and Yoon-Kyung Chang
J. Clin. Med. 2021, 10(18), 4236; https://doi.org/10.3390/jcm10184236 - 18 Sep 2021
Cited by 7 | Viewed by 3524
Abstract
IgA nephropathy (IgAN) is a globally well-known primary glomerular nephropathy. Hypertriglyceridemia (HTG) is one factor contributing to atherosclerosis and is a common complication of renal failure. HTG is a significant risk factor for decreased renal function in patients with IgAN. We evaluated the [...] Read more.
IgA nephropathy (IgAN) is a globally well-known primary glomerular nephropathy. Hypertriglyceridemia (HTG) is one factor contributing to atherosclerosis and is a common complication of renal failure. HTG is a significant risk factor for decreased renal function in patients with IgAN. We evaluated the association of HTG with the histopathological features of IgAN patients. A total of 480 patients diagnosed with IgAN via kidney biopsy from eight university hospitals affiliated with the College of Medicine of the Catholic University of Korea were included in the final cohort. Pathological features were evaluated by eight expert pathologists with hospital consensus. HTG was defined as a serum triglyceride (TG) level of ≥150 mg/dL. In the study population analysis, the HTG group was older, with more males; higher body mass index (BMI), low-density lipoprotein cholesterol (LDL-C) and spot urine protein ratio; and lower estimated glomerular filtration rate (eGFR). In the lipid profile analysis, eGFR was negatively correlated with TGs/ high-density lipoprotein cholesterol (HDL) and triglyceride-glucose index (TyG). Proteinuria positively correlated with TGs/HDL, non-HDL/HDL, LDL/HDL, TyG, TGs and LDL. The percentages of global sclerosis (GS), segmental sclerosis (SS) and capsular adhesion (CA), and the scores for mesangial matrix expansion (MME) and mesangial cell proliferation (MCP), were more elevated in the HTG group compared to the normal TG group. Multivariable linear regression analysis showed that the percentages of global sclerosis, segmental sclerosis and capsular adhesion, as well as the scores for mesangial matrix expansion and mesangial cell proliferation, were positively associated with TG level. In binary logistic regression, the HTG group showed a higher risk for global sclerosis and segmental sclerosis. In conclusion, HTG is a significant risk factor for glomerulosclerosis in IgAN. Full article
(This article belongs to the Section Nephrology & Urology)
Show Figures

Figure 1

19 pages, 1617 KB  
Article
Renal Outcome of IgM Nephropathy: A Comparative Prospective Cohort Study
by Yura Chae, Hye Eun Yoon, Yoon Kyung Chang, Young Soo Kim, Hyung Wook Kim, Bum Soon Choi, Cheol Whee Park, Ho Cheol Song, Young Ok Kim, Eun Sil Koh and Sungjin Chung
J. Clin. Med. 2021, 10(18), 4191; https://doi.org/10.3390/jcm10184191 - 16 Sep 2021
Cited by 6 | Viewed by 4138
Abstract
Immunoglobulin M nephropathy (IgMN) is an idiopathic glomerulonephritis characterized by diffuse deposits of IgM in the glomerular mesangium. However, its renal prognosis remains unknown. We compared renal outcomes of IgMN patients with those of patients with minimal change disease (MCD), focal segmental glomerulosclerosis [...] Read more.
Immunoglobulin M nephropathy (IgMN) is an idiopathic glomerulonephritis characterized by diffuse deposits of IgM in the glomerular mesangium. However, its renal prognosis remains unknown. We compared renal outcomes of IgMN patients with those of patients with minimal change disease (MCD), focal segmental glomerulosclerosis (FSGS), or mesangial proliferative glomerulonephritis (MsPGN) from a prospective observational cohort, with 1791 patients undergoing native kidney biopsy in eight hospitals affiliated with The Catholic University of Korea between December 2014 and October 2020. IgMN had more mesangial proliferation and matrix expansion than MsPGN and more tubular atrophy and interstitial fibrosis than MCD. IgMN patients had decreased eGFR than MCD patients in the earlier follow-up. However, there was no significant difference in urine protein or eGFR among all patients at the last follow-up. When IgMN was divided into three subtypes, patients with FSGS-like IgMN tended to have lower eGFR than those with MCD-like or MsPGN-like IgMN but higher proteinuria than MsPGN-like IgMN without showing a significant difference. The presence of hypertension at the time of kidney biopsy predicted ≥20% decline of eGFR over two years in IgMN patients. Our data indicate that IgMN would have a clinical course and renal prognosis similar to MCD, FSGS, and MsPGN. Full article
(This article belongs to the Special Issue Immunity and Inflammatory Processes in Renal Diseases)
Show Figures

Figure 1

Back to TopTop