Dietary Choline Deprivation Exacerbates Kidney Injury in Streptozotocin-Induced Diabetes in Adult Rats †
Abstract
1. Introduction
- Choline deprivation affects kidney structure and function of diabetes rats
- Choline deprivation aggravates the progression of kidney injury in STZ-induced diabetes.
2. Materials and Methods
2.1. Animals and Diet
2.2. Experimental Procedure
2.3. Blood and Tissue Collection
2.4. Biochemical Assessment
2.5. Histopathological Examination
- a
- Renal necrosis:
- b
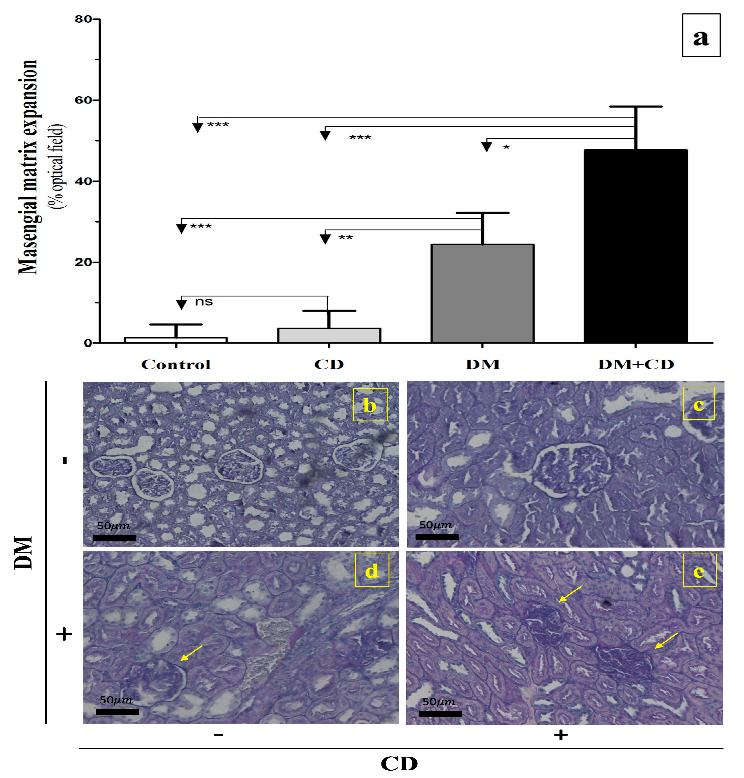
- Mesangial expansion:
- c
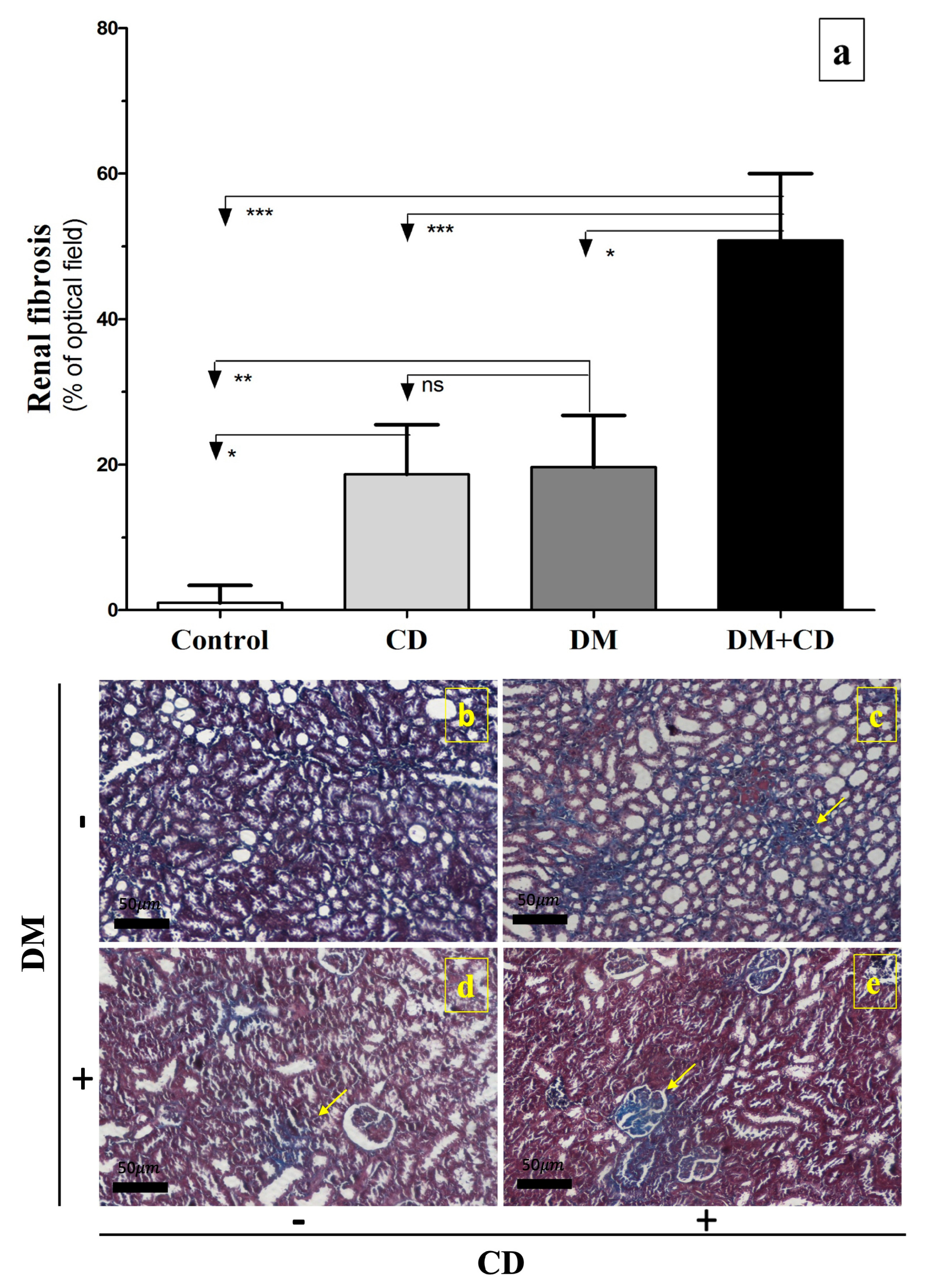
- Renal fibrosis:
2.6. Immunohistochemical Assessment
2.7. Statistical Analysis
3. Results
3.1. Body Weight and Kidney Weight
3.2. Markers of Renal Function
3.3. Glycaemic Profile
3.4. Lipid Profile
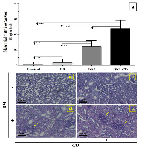
3.5. Renal Histopathology
3.6. Immunohistochemical Findings
3.6.1. KIM-1 Expression
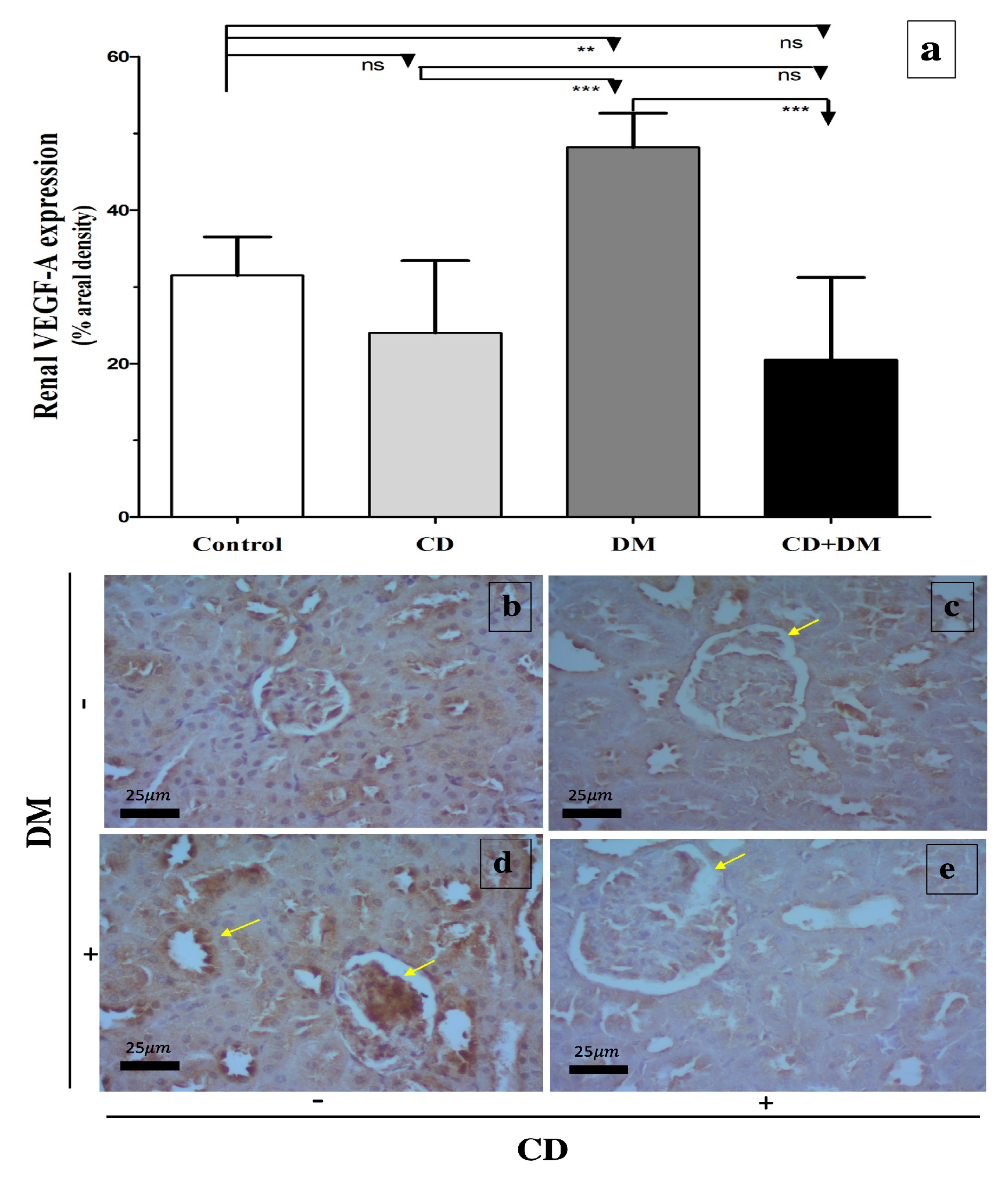
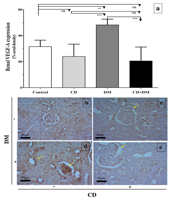
3.6.2. Renal VEGF-A Stain Expression
4. Discussion
5. Conclusions
Author Contributions
Funding
Institutional Review Board Statement
Informed Consent Statement
Data Availability Statement
Acknowledgments
Conflicts of Interest
References
- Natesan, V.; Kim, S.J. Diabetic Nephropathy—A review of risk factors, progression, mechanism, and dietary management. Biomol. Ther. 2021, 29, 365–372. [Google Scholar] [CrossRef] [PubMed] [PubMed Central]
- Samsu, N. Diabetic nephropathy: Challenges in pathogenesis, diagnosis, and treatment. Biomed Res. Int. 2021, 2021, 1497449. [Google Scholar] [CrossRef] [PubMed]
- Blusztajn, J.K. Choline, a vital amine. Science 1998, 281, 794–795. [Google Scholar] [CrossRef] [PubMed]
- Carmel, R.; Jacobsen, D.W. Homocysteine in Health and Disease; Cambridge University Press: Cambridge, UK, 2001. [Google Scholar]
- Niculescu, M.D.; Craciunescu, C.N.; Zeisel, S.H. Dietary choline deficiency alters global and gene-specific DNA methylation in the developing hippocampus of mouse fetal brains. FASEB J. Off. Publ. Fed. Am. Soc. Exp. Biol. 2006, 20, 43. [Google Scholar]
- Zeisel, S.H. Choline: Critical role during fetal development and dietary requirements in adults. Annu. Rev. Nutr. 2006, 26, 229–250. [Google Scholar] [CrossRef]
- Zeisel, S.H.; Da Costa, K.-A. Choline: An essential nutrient for public health. Nutr. Rev. 2009, 67, 615–623. [Google Scholar] [CrossRef]
- Canty, D.J.; Zeisel, S.H. Lecithin and choline in human health and disease. Nutr. Rev. 1994, 52, 327–339. [Google Scholar] [CrossRef] [PubMed]
- Konstandi, M.; Segos, D.; Galanopoulou, P.; Theocharis, S.; Zarros, A.; Lang, M.A.; Marselos, M.; Liapi, C. Effects of choline-deprivation on paracetamol-or phenobarbital-induced rat liver metabolic response. J. Appl. Toxicol. 2009, 29, 101–109. [Google Scholar] [CrossRef] [PubMed]
- Institute of Medicine Food and Nutrition Board. Choline. In Dietary Reference Intakes for Thiamin, Riboflavin, Niacin, Vitamin B6, Vitamin B12, Pantothenic Acid, Biotin, and Choline; National Academies Press: Washington, DC, USA, 1998; pp. 390–422. [Google Scholar]
- European Food Safety Authority. Dietary reference values for choline. EFSA J. 2016, 14, e04484. [Google Scholar]
- Caudill, M.A. Pre- and postnatal health: Evidence of increased choline needs. J. Am. Diet. Assoc. 2010, 110, 1198–1206. [Google Scholar] [CrossRef] [PubMed]
- Wu, B.T.; Innis, S.M.; Mulder, K.A.; Dyer, R.A.; King, D.J. Low plasma vitamin B-12 is associated with a lower pregnancy-associated rise in plasma free choline in Canadian pregnant women and lower postnatal growth rates in their male infants. Am. J. Clin. Nutr. 2013, 98, 1209–1217. [Google Scholar] [CrossRef] [PubMed]
- Derbyshire, E. Could we be overlooking a potential choline crisis in the United Kingdom? BMJ Nutr. Prev. Health 2019, 2, 86–89. [Google Scholar] [CrossRef]
- Vallianou, N.G.; Kounatidis, D.; Psallida, S.; Panagopoulos, F.; Stratigou, T.; Geladari, E.; Karampela, I.; Tsilingiris, D.; Dalamaga, M. The Interplay Between Dietary Choline and Cardiometabolic Disorders: A Review of Current Evidence. Curr. Nutr. Rep. 2024, 13, 152–165. [Google Scholar] [CrossRef] [PubMed]
- Courrèges, M.A.C.; Caruso, C.; Klein, J.; Monserrat, A.J. Protective effect of menhaden oil on renal necrosis occurring in weanling rats fed a methyl-deficient diet. Nutr. Res. 2002, 22, 1077–1089. [Google Scholar] [CrossRef]
- Repetto, M.G.; Ossani, G.; Monserrat, A.J.; Boveris, A. Oxidative damage: The biochemical mechanism of cellular injury and necrosis in choline deficiency. Exp. Mol. Pathol. 2010, 88, 143–149. [Google Scholar] [CrossRef] [PubMed]
- Ossani, G.; Dalghi, M.; Repetto, M. Oxidative damage lipid peroxidation in the kidney of choline-deficient rats. Front. Biosci. 2007, 12, 1174–1183. [Google Scholar] [CrossRef]
- Chen, W.; Feng, J.; Ji, P.; Liu, Y.; Wan, H.; Zhang, J. Association of hyperhomocysteinemia and chronic kidney disease in the general population: A systematic review and meta-analysis. BMC Nephrol. 2023, 24, 247. [Google Scholar] [CrossRef]
- da Costa, K.A.; Gaffney, C.E.; Fischer, L.M.; Zeisel, S.H. Choline deficiency in mice and humans is associated with increased plasma homocysteine concentration after a methionine load. Am. J. Clin. Nutr. 2005, 81, 440–444. [Google Scholar] [CrossRef] [PubMed] [PubMed Central]
- Wu, G.; Zhang, L.; Li, T.; Lopaschuk, G.; Vance, D.E.; Jacobs, R.L. Choline deficiency attenuates body weight gain and improves glucose tolerance in ob/ob mice. J. Obes. 2012, 2012, 319172. [Google Scholar] [CrossRef] [PubMed]
- Veteläinen, R.; Van Vliet, A.; Van Gulik, T.M. Essential pathogenic and metabolic differences in steatosis induced by choline or methione-choline deficient diets in a rat model. J. Gastroenterol. Hepatol. 2007, 22, 1526–1533. [Google Scholar] [CrossRef] [PubMed]
- Council of the European Union. Council Directive 86/609/EEC of 24 November 1986 on the approximation of laws, regulations and administrative provisions of the Member States regarding the protection of animals used for experimental and other scientific purposes. J. Eur. Union 1986, 358, 1–28. [Google Scholar]
- Al-Humadi, A.; Strilakou, A.; Al-Humadi, H.; Al-Saigh, R.; Agapitos, E.; Mourouzis, I.; Al-Najim, W.; Liapi, C. Dietary choline deprivation exacerbates cardiomyopathy in streptozotocin-induced diabetic adult rats. Diabetology 2021, 2, 190–204. [Google Scholar] [CrossRef]
- Zarros, A.; Liapi, C.; Galanopoulou, P.; Marinou, K.; Mellios, Z.; Skandali, N.; Al-Humadi, H.; Anifantaki, F.; Gkrouzman, E.; Tsakiris, S. Effects of adult-onset streptozotocin-induced diabetes on the rat brain antioxidant status and the activities of acetylcholinesterase,(Na+, K+)-and Mg2+-ATPase: Modulation by L-cysteine. Metab. Brain Dis. 2009, 24, 337–348. [Google Scholar] [CrossRef] [PubMed]
- Tervaert, T.W.; Mooyaart, A.L.; Amann, K.; Cohen, A.H.; Cook, H.T.; Drachenberg, C.B.; Ferrario, F.; Fogo, A.B.; Haas, M.; de Heer, E.; et al. Pathologic classification of diabetic nephropathy. J. Am. Soc. Nephrol. 2010, 21, 556–563. [Google Scholar] [CrossRef] [PubMed]
- Ossani, G.P.; Denninghoff, V.C.; Uceda, A.M.; Díaz, M.L.; Uicich, R.; Monserrat, A.J. Short-term menhaden oil-rich diet changes renal lipid profile in acute kidney injury. J. Oleo Sci. 2015, 64, 497–503. [Google Scholar] [CrossRef] [PubMed][Green Version]
- Montes De Oca, M.; Perazzo, J.C.; Monserrat, A.J.; Arrizurieta De Muchnik, E.E. Acute renal failure induced by choline deficiency: Structural-functional correlations. Nephron 1980, 26, 41–48. [Google Scholar] [CrossRef] [PubMed]
- Wijekoon, E.P.; Hall, B.; Ratnam, S.; Brosnan, M.E.; Zeisel, S.H.; Brosnan, J.T. Homocysteine metabolism in ZDF (type 2) diabetic rats. Diabetes 2005, 54, 3245–3251. [Google Scholar] [CrossRef] [PubMed]
- Murray, A.J.; Anderson, R.E.; Watson, G.C.; Radda, G.K.; Clarke, K. Uncoupling proteins in human heart. Lancet 2004, 364, 1786–1788. [Google Scholar] [CrossRef] [PubMed]
- Ogar, I.; Egbung, G.E.; Nna, V.U.; Atangwho, I.J.; Itam, E.H. Hyptis verticillata attenuates dyslipidaemia, oxidative stress, and hepato-renal damage in streptozotocin-induced diabetic rats. Life Sci. 2019, 219, 283–293. [Google Scholar] [CrossRef]
- Mestry, S.N.; Dhodi, J.B.; Kumbhar, S.B.; Juvekar, A.R. Attenuation of diabetic nephropathy in streptozotocin-induced diabetic rats by Punica granatum Linn. leaves extract. J. Tradit. Complement. Med. 2017, 7, 273–280. [Google Scholar] [CrossRef] [PubMed]
- Denninghoff, V.; Ossani, G.; Uceda, A.; Rugnone, M.; Fernández, E.; Fresno, C.; González, G.; Díaz, M.L.; Avagnina, A.; Elsner, B. Molecular pathology of acute kidney injury in a choline-deficient model and fish oil protective effect. Eur. J. Nutr. 2014, 53, 897–906. [Google Scholar] [CrossRef] [PubMed]
- Ossani, G.P.; Marcotegui, A.R.; Uceda, A.M.; Monserrat, A.J.; Lago, N.R.; Perazzo, J.C. Menhaden oil rich diet and experimental renal damage due to ischemia reperfusion. J. Oleo Sci. 2017, 66, 1157–1159. [Google Scholar] [CrossRef] [PubMed]
- Yoon, G.S.; Keswani, R.K.; Sud, S.; Rzeczycki, P.M.; Murashov, M.D.; Koehn, T.A.; Standiford, T.J.; Stringer, K.A.; Rosania, G.R. Clofazimine biocrystal accumulation in macrophages upregulates interleukin 1 receptor antagonist production to induce a systemic anti-inflammatory state. Antimicrob. Agents Chemother. 2016, 60, 3470–3479. [Google Scholar] [CrossRef] [PubMed]
- Al-Humadi, A.; Al-Humadi, H.; Liapi, C. Novel insight on the impact of choline-deficiency in sepsis. Ann. Res. Hosp. 2019, 3, 12. [Google Scholar] [CrossRef]
- Yoshida, L.S.; Miyazawa, T.; Hatayama, I.; Sato, K.; Fujimoto, K.; Kaneda, T. Phosphatidylcholine peroxidation and liver cancer in mice fed a choline-deficient diet with ethionine. Free. Radic. Biol. Med. 1993, 14, 191–199. [Google Scholar] [CrossRef] [PubMed]
- Esterbauer, H. Cytotoxicity and genotoxicity of lipid-oxidation products. Am. J. Clin. Nutr. 1993, 57, 779S–786S. [Google Scholar] [CrossRef] [PubMed]
- Newberne, P.; Bresnahan, M.; Kula, N. Effects of two synthetic antioxidants, vitamin E, and ascorbic acid on the choline-deficient rat. J. Nutr. 1969, 97, 219–231. [Google Scholar] [CrossRef] [PubMed]
- Allison, S.J. Dysfunctional fatty acid oxidation in renal fibrosis. Nat. Rev. Nephrol. 2015, 11, 64. [Google Scholar] [CrossRef]
- Parker, M.D.; Myers, E.J.; Schelling, J.R. Na+–H+ exchanger-1 (NHE1) regulation in kidney proximal tubule. Cell. Mol. Life Sci. 2015, 72, 2061–2074. [Google Scholar] [CrossRef]
- Gilbert, R.E. Proximal tubulopathy: Prime mover and key therapeutic target in diabetic kidney disease. Diabetes 2017, 66, 791–800. [Google Scholar] [CrossRef]
- Szeto, S.G.; Narimatsu, M.; Lu, M.; He, X.; Sidiqi, A.M.; Tolosa, M.F.; Chan, L.; De Freitas, K.; Bialik, J.F.; Majumder, S. YAP/TAZ are mechanoregulators of TGF-β-Smad signaling and renal fibrogenesis. J. Am. Soc. Nephrol. 2016, 27, 3117–3128. [Google Scholar] [CrossRef]
- Garcia-Fernandez, N.; Jacobs-Cachá, C.; Mora-Gutiérrez, J.M.; Vergara, A.; Orbe, J.; Soler, M.J. Matrix metalloproteinases in diabetic kidney disease. J. Clin. Med. 2020, 9, 472. [Google Scholar] [CrossRef] [PubMed]
- Wang, S.; Han, H.-M.; Pan, Z.-W.; Hang, P.-Z.; Sun, L.-H.; Jiang, Y.-N.; Song, H.-X.; Du, Z.-M.; Liu, Y. Choline inhibits angiotensin II-induced cardiac hypertrophy by intracellular calcium signal and p38 MAPK pathway. Naunyn-Schmiedeberg’s Arch. Pharmacol. 2012, 385, 823–831. [Google Scholar] [CrossRef]
- Liu, L.; Lu, Y.; Bi, X.; Xu, M.; Yu, X.; Xue, R.; He, X.; Zang, W. Choline ameliorates cardiovascular damage by improving vagal activity and inhibiting the inflammatory response in spontaneously hypertensive rats. Sci. Rep. 2017, 7, 42553. [Google Scholar] [CrossRef] [PubMed]
- Albright, C.D.; Zeisel, S.H. Choline deficiency causes increased localization of transforming growth factor-β1 signaling proteins and apoptosis in the rat liver. Pathobiology 1997, 65, 264–270. [Google Scholar] [CrossRef] [PubMed]
- Albright, C.D.; Tsai, A.Y.; Mar, M.-H.; Zeisel, S.H. Choline availability modulates the expression of TGFβ1 and cytoskeletal proteins in the hippocampus of developing rat brain. Neurochem. Res. 1998, 23, 751–758. [Google Scholar] [CrossRef]
- Zhao, L.; Chen, T.; Hang, P.; Li, W.; Guo, J.; Pan, Y.; Du, J.; Zheng, Y.; Du, Z. Choline attenuates cardiac fibrosis by inhibiting p38MAPK signaling possibly by acting on M3 muscarinic acetylcholine receptor. Front. Pharmacol. 2019, 10, 1386. [Google Scholar] [CrossRef] [PubMed]
- Zhao, X.; Zhang, Y.; Li, L.; Mann, D.; Imig, J.D.; Emmett, N.; Gibbons, G.; Jin, L.-M. Glomerular expression of kidney injury molecule-1 and podocytopenia in diabetic glomerulopathy. Am. J. Nephrol. 2011, 34, 268–280. [Google Scholar] [CrossRef] [PubMed]
- Zhang, P.; Rothblum, L.; Han, W.; Blasick, T.; Potdar, S.; Bonventre, J. Kidney injury molecule-1 expression in transplant biopsies is a sensitive measure of cell injury. Kidney Int. 2008, 73, 608–614. [Google Scholar] [CrossRef]
- Al-Humadi, H.; Alhumadi, A.; Al-Saigh, R.; Strilakou, A.; Lazaris, A.C.; Gazouli, M.; Liapi, C. Extracellular matrix remodeling in the liver of rats subjected to dietary choline deprivation and/or thioacetamide administration. Clin. Exp. Pharmacol. Physiol. 2018, 45, 1245–1256. [Google Scholar] [CrossRef]
- Schrijvers, B.F.; Flyvbjerg, A.; De Vriese, A.S. The role of vascular endothelial growth factor (VEGF) in renal pathophysiology. Kidney Int. 2004, 65, 2003–2017. [Google Scholar] [CrossRef]
- Bevan, H.S.; Van Den Akker, N.; Qiu, Y.; Polman, J.A.; Foster, R.R.; Yem, J.; Nishikawa, A.; Satchell, S.C.; Harper, S.J.; Gittenberger-De Groot, A.C. The alternatively spliced anti-angiogenic family of VEGF isoforms VEGFxxxb in human kidney development. Nephron Physiol. 2008, 110, 57–67. [Google Scholar] [CrossRef] [PubMed]
- Mironidou-Tzouveleki, M.; Tsartsalis, S.; Tomos, C. Vascular endothelial growth factor (VEGF) in the pathogenesis of diabetic nephropathy of type 1 diabetes mellitus. Curr. Drug Targets 2011, 12, 107–114. [Google Scholar] [CrossRef] [PubMed]
- Tanaka, S.; Tanaka, T.; Nangaku, M. Hypoxia as a key player in the AKI-to-CKD transition. Am. J. Physiol.-Ren. Physiol. 2014, 307, F1187–F1195. [Google Scholar] [CrossRef]
- Brockington, A.; Lewis, C.; Wharton, S.; Shaw, P. Vascular endothelial growth factor and the nervous system. Neuropathol. Appl. Neurobiol. 2004, 30, 427–446. [Google Scholar] [CrossRef] [PubMed]






| Groups | SCr (mg/dL) | BUN (mg/dL) | Kidneys wt. (g) | Kidneys/Body wt. Ratio |
|---|---|---|---|---|
| Control | 0.42 ± 0.07 | 32.33 ± 4.63 | 3.6 ± 0.17 | 0.007 ± 0.0004 |
| CD | 0.46 ± 0.09 | 36.33 ± 6.18 | 2.74 ± 0.18 | 0.007 ± 0.001 |
| DM | 0.50 ± 0.03 | 40.00 ± 5.17 | 3.01 ± 0.37 | 0.008 ± 0.001 |
| DM + CD | 0.58 ± 0.06 ** | 53.66 ± 10.91 ***#†† | 3.23 ± 0.28 † | 0.010 ± 0.001 **†† |
| Groups | TC (mg/dL) | TG (mg/dL) | HDL (mg/dL) | LDL (mg/dL) | Hcy (μmol/L) |
|---|---|---|---|---|---|
| Control | 75.17 ± 8.84 | 61.17 ± 36.55 | 52.83 ± 7.94 | 10.10 ± 15.18 | 24.02 ± 1.85 |
| CD | 59.50 ± 12.34 | 72.00 ± 22.67 | 38.33 ± 11.48 * | 6.77 ± 4.57 | 30.08 ± 16.02 |
| DM | 72.20 ± 12.38 | 137.00 ± 47.93 * | 35.80 ± 5.22 * | 9.00 ± 8.28 | 10.90 ± 1.65 *† |
| DM + CD | 69.33 ± 12.04 | 86.00 ± 64.50 | 46.50 ± 9.81 | 5.63 ± 6.13 | 23.25 ± 16.03 |
Disclaimer/Publisher’s Note: The statements, opinions and data contained in all publications are solely those of the individual author(s) and contributor(s) and not of MDPI and/or the editor(s). MDPI and/or the editor(s) disclaim responsibility for any injury to people or property resulting from any ideas, methods, instructions or products referred to in the content. |
© 2025 by the authors. Licensee MDPI, Basel, Switzerland. This article is an open access article distributed under the terms and conditions of the Creative Commons Attribution (CC BY) license (https://creativecommons.org/licenses/by/4.0/).
Share and Cite
Al-Humadi, A.W.; le Roux, C.W.; Docherty, N.G.; Al-Najim, W.; Kueh, M.T.W.; Lazaris, A.C.; Liapi, C. Dietary Choline Deprivation Exacerbates Kidney Injury in Streptozotocin-Induced Diabetes in Adult Rats. Diabetology 2025, 6, 8. https://doi.org/10.3390/diabetology6010008
Al-Humadi AW, le Roux CW, Docherty NG, Al-Najim W, Kueh MTW, Lazaris AC, Liapi C. Dietary Choline Deprivation Exacerbates Kidney Injury in Streptozotocin-Induced Diabetes in Adult Rats. Diabetology. 2025; 6(1):8. https://doi.org/10.3390/diabetology6010008
Chicago/Turabian StyleAl-Humadi, Ahmed W., Carel W. le Roux, Neil G. Docherty, Werd Al-Najim, Martin Tze Wah Kueh, Andreas C. Lazaris, and Charis Liapi. 2025. "Dietary Choline Deprivation Exacerbates Kidney Injury in Streptozotocin-Induced Diabetes in Adult Rats" Diabetology 6, no. 1: 8. https://doi.org/10.3390/diabetology6010008
APA StyleAl-Humadi, A. W., le Roux, C. W., Docherty, N. G., Al-Najim, W., Kueh, M. T. W., Lazaris, A. C., & Liapi, C. (2025). Dietary Choline Deprivation Exacerbates Kidney Injury in Streptozotocin-Induced Diabetes in Adult Rats. Diabetology, 6(1), 8. https://doi.org/10.3390/diabetology6010008

