Sign in to use this feature.

Years

Between: -

Subjects

remove_circle_outline
remove_circle_outline
remove_circle_outline
remove_circle_outline
remove_circle_outline
remove_circle_outline
remove_circle_outline
remove_circle_outline

Journals

Article Types

Countries / Regions

Search Results (150)

Search Parameters:
Keywords = ligature

Order results
Result details
Results per page
Select all
Export citation of selected articles as:
23 pages, 8233 KB  
Article
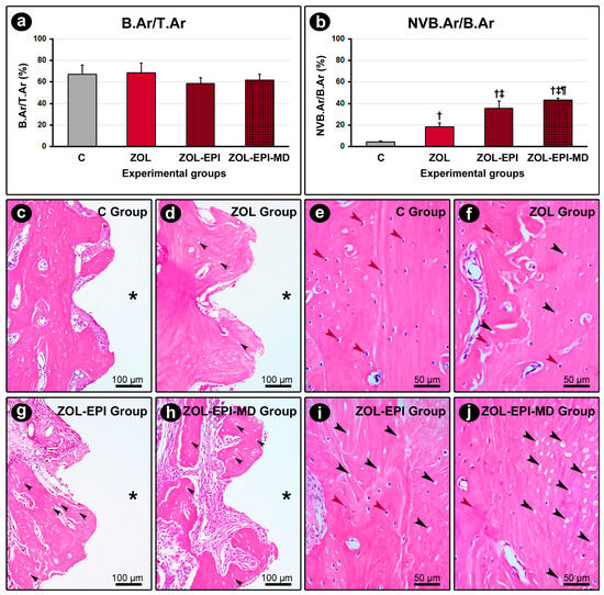
Effectiveness and Safety of Mechanical Debridement for Treating Experimental Peri-Implantitis in Elderly Rats Receiving Oncological Dosages of Zoledronate
by Luan Felipe Toro, Eduardo Quintão Manhanini Souza, Vinícius Franzão Ganzaroli, Jéssica de Oliveira Alvarenga Freire, Leandro Lemes da Costa, Estevão Lopes Pereira, Beatriz Alexandrelli Machado, João Martins de Mello-Neto, Mariza Akemi Matsumoto, Cláudio Aparecido Casatti, Luciano Tavares Ângelo Cintra, Letícia Helena Theodoro, Valdir Gouveia Garcia and Edilson Ervolino
Int. J. Mol. Sci. 2026, 27(3), 1355; https://doi.org/10.3390/ijms27031355 - 29 Jan 2026
Abstract
This study evaluated the effectiveness and safety of mechanical debridement (MD) in treating experimental peri-implantitis (EPI) in rats with osseointegrated implants, specifically those treated with high-dose zoledronate. Senescent Wistar rats underwent the extraction of their upper incisor, followed by immediate implant placement. After [...] Read more.
This study evaluated the effectiveness and safety of mechanical debridement (MD) in treating experimental peri-implantitis (EPI) in rats with osseointegrated implants, specifically those treated with high-dose zoledronate. Senescent Wistar rats underwent the extraction of their upper incisor, followed by immediate implant placement. After 8 weeks, the implants were exposed, and a transmucosal component was placed. The animals were divided into four groups: Control (C), ZOL, ZOL-EPI, and ZOL-EPI-MD. In the 9th week, drug treatment commenced, consisting of the administration of 0.45 mL of a vehicle (for group C) or zoledronate (for groups ZOL, ZOL-EPI, and ZOL-EPI-MD) every 4 days over 10 weeks. After 5 weeks of drug treatment, a cotton bandage was placed around the implants to induce EPI in the ZOL-EPI and ZOL-EPI-MD groups. In the ZOL-EPI-MD group, the ligature was removed at week 16, and local treatment was performed using MD. Euthanasia was conducted at week 19. Histological sections were obtained and stained with hematoxylin–eosin for histopathological and histometric analyses, such as the percentage of total bone tissue (B.Ar/T.Ar) and the percentage of non-vital bone tissue (NVB.Ar/B.Ar). Immunohistochemical reactions were performed to detect TNFα, IL-1β, VEGF, OCN, and TRAP. In the peri-implant connective tissue, mild, intense, and moderate inflammatory infiltrates were observed in the ZOL, ZOL-EPI, and ZOL-EPI-MD groups, respectively. Immunolabeling for TNFα and IL-1β correlated with these histopathological findings. The ZOL and ZOL-EPI-MD groups showed lower immunolabeling for VEGF compared to the control group. There was a reduction in TRAP-positive cells and lower immunolabeling for OCN in the groups treated with zoledronate, with the ZOL-EPI-MD group displaying even lower levels of OCN compared to the ZOL group. While there was no significant difference in B.Ar/T.Ar across the groups, both the ZOL, ZOL-EPI, and ZOL-EPI-MD groups exhibited higher levels of NVB.Ar/B.Ar, with the ZOL-EPI-MD group showing the highest NVB.Ar/B.Ar compared to ZOL and the other groups. In conclusion, MD, as a standalone treatment, showed neither effectiveness nor safety in the management of EPI in rats that received high doses of zoledronate. Full article
(This article belongs to the Special Issue Application of Biotechnology to Dental Treatment)
Show Figures

Figure 1

17 pages, 2601 KB  
Article
Protective Effects of Magnolia kobus DC. Extract on Inflammatory Response and Alveolar Bone Loss in Ligature-Induced Periodontitis Rats
by Da-Eun Min, Sung-Kwon Lee, Eunji Kim, Seong-Hyeon Park, Deok-Geun Kim and Bong-Keun Choi
Curr. Issues Mol. Biol. 2026, 48(1), 109; https://doi.org/10.3390/cimb48010109 - 20 Jan 2026
Viewed by 106
Abstract
Periodontitis is a chronic inflammatory condition characterized by dysregulated immune responses that promote alveolar bone destruction. Targeting inflammatory signaling pathways has therefore become an important area of investigation. This study investigated the anti-inflammatory and bone-protective effects of Magnolia kobus DC. extract (MKE) in [...] Read more.
Periodontitis is a chronic inflammatory condition characterized by dysregulated immune responses that promote alveolar bone destruction. Targeting inflammatory signaling pathways has therefore become an important area of investigation. This study investigated the anti-inflammatory and bone-protective effects of Magnolia kobus DC. extract (MKE) in a ligature-induced periodontitis rat model. Rats were assigned to five groups (n = 5 per group): non-ligature control, ligature control, doxycycline (20 mg/kg), MKE 100 mg/kg, and MKE 400 mg/kg, and treated orally for eight weeks. Periodontal damage and alveolar bone loss were assessed by micro-computed tomography (micro-CT), gingival index, and tooth mobility. Micro-CT analysis demonstrated a dose-dependent reduction in alveolar bone loss, as evidenced by a significant decrease in the cementoenamel junction–alveolar bone crest (CEJ–ABC) distance and reduced furcation involvement in MKE-treated groups compared with the ligature control group, while tooth mobility scores were significantly improved. Serum levels of receptor activator of nuclear factor kappa-B ligand, interleukin-1β, tumor necrosis factor-α, and cyclooxygenase-2 were significantly decreased, while nuclear factor kappa-B signaling was suppressed in gingival tissue. The extract also significantly reduced matrix metalloproteinases 3, 8, 9, and 13, and increased collagen type I and II expression. In summary, MKE exerted anti-inflammatory and bone-protective properties, effectively reducing alveolar bone loss and maintaining periodontal structure. These findings support MKE’s potential application as a natural anti-inflammatory and bone-protective agent and as a functional food ingredient for periodontitis prevention and treatment, meriting further clinical evaluation. Full article
(This article belongs to the Section Molecular Pharmacology)
Show Figures

Figure 1

14 pages, 2102 KB  
Article
Research to Improve Fixed Orthodontic Treatment of Thirty Six Angle Class II Severe Malocclusions with Premolar Extractions Using a Modified Orthodontic Scientific Simulator
by Radu Mircea Pisc, Anne-Marie Rauten, Mihai Raul Popescu, Mihaela Ionescu, Oana Gîngu, Stelian-Mihai-Sever Petrescu and Horia Octavian Manolea
Bioengineering 2026, 13(1), 41; https://doi.org/10.3390/bioengineering13010041 - 29 Dec 2025
Viewed by 313
Abstract
This study aimed to evaluate the new orthodontic TiNb wires in direct comparison to the gold standard in orthodontics, NiTi wires, when treating. There is limited literature on patients with severe malocclusions being treated from start to end with TiNb, and TiNb wires [...] Read more.
This study aimed to evaluate the new orthodontic TiNb wires in direct comparison to the gold standard in orthodontics, NiTi wires, when treating. There is limited literature on patients with severe malocclusions being treated from start to end with TiNb, and TiNb wires were mostly used in the final stages of treatment. Our protocol consisted of three orthodontic wires: 0.016, 0.016 × 0.025, and 0.019 × 0.025 for levelling and aligning the stage and 0.019 × 0.025 stainless steel for the finishing stage, in order to treat the same case reproduced on a modified scientific simulator. The bracket system used was made by GC slot 0.22, TiNb wires made by Morita, and NiTi wires produced by GC. We ligated all brackets using SS wire ligatures 0.008, and for anchorage, we used a transpalatal arch. The temperature of the scientific simulator was set between 20 and 25 degrees Celsius. We have used upper arches and studied the repositioning of upper ectopic canines and space closure in order to obtain an equilibrated maxillary arch. After each change of orthodontic wires, we scanned the upper arch using Medit i600 (Medit, Seoul, Republic of Korea). After concluding all stages on all upper arches, we assessed the results using LITTLE’s Irregularity index and stereo microscopy to explain metal stress on NiTi and TiNb. We propose an optimized process for using TiNb and NiTi wires when treating class II severe malocclusions with premolar extractions. Thus, we observed permanent deformation for all 0.016 TiNb wires used in the first stage, so TiNb underperformed in comparison with NiTi. Also, the Little’s Irregularity Index was superior in the NiTi wires group on 0.016 wires, verifying the change of state in the TiNb wires group. Full article
(This article belongs to the Special Issue Oral and Maxillofacial Regeneration and Restoration)
Show Figures

Figure 1

15 pages, 4254 KB  
Article
A Refined Approach to Permanent Coronary Artery Ligation in Rats: Enhancing Outcomes and Reducing Animal Burden
by Ellen Heeren, Lotte Vastmans, Dorien Deluyker, Marc Hendrikx and Virginie Bito
Animals 2026, 16(1), 99; https://doi.org/10.3390/ani16010099 - 29 Dec 2025
Viewed by 244
Abstract
Rodents models of myocardial infarction (MI) continue to be frequently used in preclinical cardiovascular research, despite alternative approaches being on the rise. The commonly used coronary artery permanent ligation (PL) approach is often hampered by substantial perioperative mortality and variable success rates. We [...] Read more.
Rodents models of myocardial infarction (MI) continue to be frequently used in preclinical cardiovascular research, despite alternative approaches being on the rise. The commonly used coronary artery permanent ligation (PL) approach is often hampered by substantial perioperative mortality and variable success rates. We optimized the rat PL protocol by relying exclusively on isoflurane inhalation anesthesia by introducing a standardized intubation setup, maintaining strict control of body temperature throughout surgery, and surgical technique refinements. The latter included gentle mobilization of the Pectoralis major and thymus, a medial thoracotomy through the third intercostal space, and the use of a reference ligature to facilitate reliable identification and ligation of the left anterior descending coronary artery (LAD). Cardiac rhythm was continuously monitored, and extubation was carefully timed to reduce complications. With this protocol, perioperative mortality was reduced to zero and successful ligation was obtained in 94% of animals (n = 172). Echocardiography and histology confirmed consistent induction of infarcts. By lowering invasiveness and improving survival and reproducibility, the refined PL method enhances both the reliability of preclinical research and compliance with the 3Rs, representing a meaningful step forward for studies in cardiac regeneration. Full article
(This article belongs to the Section Animal Welfare)
Show Figures

Figure 1

18 pages, 290 KB  
Review
Usage of Silver Nanoparticles in Orthodontic Appliances
by Meigan Niu, Janet Jisoo Lee, Geelsu Hwang, Chun-Hsi Chung, Mark S. Wolff, Zhong Zheng and Chenshuang Li
Materials 2026, 19(1), 115; https://doi.org/10.3390/ma19010115 - 29 Dec 2025
Viewed by 360
Abstract
Orthodontic treatment, offering significant benefits for oral function and facial aesthetics, is in high demand among both adolescent and adult populations. Orthodontic appliances pose challenges for maintaining oral hygiene and increase the risk of dental and periodontal diseases. With advances in dental materials [...] Read more.
Orthodontic treatment, offering significant benefits for oral function and facial aesthetics, is in high demand among both adolescent and adult populations. Orthodontic appliances pose challenges for maintaining oral hygiene and increase the risk of dental and periodontal diseases. With advances in dental materials and the use of nanoparticles, a significant amount of research has focused on modifying orthodontic appliances with nanoparticles to reduce bacterial adhesion and biofilm formation. Silver nanoparticles are one of the most popular antibacterial materials in medical research. This article presents current evidence on silver nanoparticle-incorporated orthodontic appliances, including brackets, molar bands, archwires, elastomeric ligatures, mini-implants, and acrylic retainers. Silver nanoparticles and modified silver nanoparticles exhibit robust antibacterial activity when applied to the surfaces of orthodontic appliances. However, there are exceptions in which, on a few orthodontic appliances, the silver nanoparticle incorporation actually increased biofilm formation. Moreover, a silver nanoparticle incorporation may introduce adverse effects, such as cytotoxicity, and increase surface roughness. It is also worth noting that most of the studies were conducted in vitro. Long-term clinical studies are necessary to evaluate the stability, safety, and clinical efficacy of silver nanoparticle-incorporated orthodontic appliances under real-world conditions. Full article
(This article belongs to the Special Issue Materials for Dentistry: Experiments and Practice)
14 pages, 3177 KB  
Article
Effects of Subcutaneous Administration of Glucocorticoids by Pellets on a Mouse Model of Ligature-Induced Periodontal Disease
by Rintaro Kato, Takuma Sato, Shunsuke Kako, Masako Tabuchi, Yuki Aoki, Kai Kataoka, Sho Okuni, Yoshihiko Sugita, Hatsuhiko Maeda and Ken Miyazawa
J. Clin. Med. 2025, 14(22), 8251; https://doi.org/10.3390/jcm14228251 - 20 Nov 2025
Viewed by 426
Abstract
Background/Objective: Glucocorticoids (GC) have anti-inflammatory effects, but long-term use can suppress bone formation and cause osteoporosis. The impact of inflammatory environments, such as periodontitis, on alveolar bone metabolism remains insufficiently understood. Methods: We used wild-type (C57BL/6J, n = 47) mice to compare glucocorticoid [...] Read more.
Background/Objective: Glucocorticoids (GC) have anti-inflammatory effects, but long-term use can suppress bone formation and cause osteoporosis. The impact of inflammatory environments, such as periodontitis, on alveolar bone metabolism remains insufficiently understood. Methods: We used wild-type (C57BL/6J, n = 47) mice to compare glucocorticoid (GC) effects with and without sustained-release GC pellets. Mice were divided into GC-administered (2 weeks: n = 8; 4 weeks: n = 8; 8 weeks: n = 7) and non-GC-administered groups (2 weeks: n = 8; 4 weeks: n = 8; 8 weeks: n = 8). A ligature wire was placed around the left first molar of all mice to induce periodontal disease, while the right first molar served as a control. Femur and alveolar bone changes were assessed at 2, 4, and 8 weeks using μCT, HE staining, tartrate-resistant acid phosphatase (TRAP) staining, and immunohistochemistry (TNF-α). Anonymized evaluators performed histological analyses, and statistical analyses. One-way ANOVA with the Tukey post hoc test and t tests. Results: GC administration significantly reduced femoral bone mass at 2, 4, and 8 weeks. In mice without ligature, GC administration did not significantly affect alveolar bone mass or osteoblast number at 2 or 4 weeks, but a reduction was noted at 8 weeks post-treatment. No significant differences in osteoclast numbers or TNF-α levels were observed after GC administration. In a periodontal disease mouse model, GC administration led to greater bone loss, fewer osteoblasts, and increased osteoclasts and TNF-α levels. Conclusions: GC use in periodontal disease risks abnormal bone metabolism and progressive alveolar bone resorption. Full article
(This article belongs to the Special Issue Advances in Periodontitis and Other Periodontal Diseases)
Show Figures

Figure 1

13 pages, 3161 KB  
Article
Hepatocyte Growth Factor Differentially Modulates Oral Microbiota in Early vs. Late Experimental Periodontitis
by Ruotong Ji, Xiaomin Zhao, Zhen Chen, Yifei Ge, Zhicong Wu and Xinhong Wang
Biology 2025, 14(10), 1393; https://doi.org/10.3390/biology14101393 - 11 Oct 2025
Viewed by 485
Abstract
Background: Periodontitis is a chronic disease triggered by disturbed oral microbiota. We have previously reported that hepatocyte growth factor (HGF) could mitigate early-stage experimental periodontitis but exacerbate the condition in its late stage. Here, we investigated the impact of HGF on the periodontal [...] Read more.
Background: Periodontitis is a chronic disease triggered by disturbed oral microbiota. We have previously reported that hepatocyte growth factor (HGF) could mitigate early-stage experimental periodontitis but exacerbate the condition in its late stage. Here, we investigated the impact of HGF on the periodontal microbiome during periodontitis progression. Methods: We established ligation-induced periodontitis in wild-type (WT) mice and HGF high-expression transgenic (HGF-Tg) mice. We quantified the levels of IL-6 and TNF-α in periodontal tissues, as well as the serum concentrations of CTXI and PINP. Ligatures were collected on days 0, 7, and 28 after ligation for 16S rRNA sequencing and microbial analysis. Results: HGF significantly altered the diversity of ligatures during periodontitis. Interestingly, specific microbial genera, such as Lactobacillus, exhibited opposing trends between the two disease stages of HGF-Tg mice, aligning with the different effects of HGF on periodontitis progression. We also identified some taxa, such as Sphingomonas, associated with IL-6, TNF-α, CTXI, and PINP. The predicted inflammatory pathways (e.g., IL-17 signaling pathways) were enriched in HGF-Tg mice on day 28 but decreased on day 7. Conclusions: HGF exerted different influences on the microbiota of ligatures during early and late stages of periodontitis, which may account for the divergent effects of HGF on periodontitis progression. Full article
Show Figures

Figure 1

26 pages, 5050 KB  
Article
Production of Chromium–Manganese Ligature from Low-Grade Chromium and Iron–Manganese Ores Using Silicon–Aluminum Alloys as Reductants
by Yerbolat Makhambetov, Saule Abdulina, Sultan Kabylkanov, Azamat Burumbayev, Armat Zhakan, Zhadiger Sadyk and Amankeldy Akhmetov
Processes 2025, 13(10), 3158; https://doi.org/10.3390/pr13103158 - 3 Oct 2025
Cited by 1 | Viewed by 710
Abstract
This study investigates the production of chromium–manganese ligature by a metallothermic process using complex silicon–aluminum reducing agents. Low-grade chromium and iron–manganese ores from the Kempirsai and Kerege-Tas deposits in Kazakhstan were used as raw materials, while the reducing agents included alumosilicomanganese alloy (AlSiMn) [...] Read more.
This study investigates the production of chromium–manganese ligature by a metallothermic process using complex silicon–aluminum reducing agents. Low-grade chromium and iron–manganese ores from the Kempirsai and Kerege-Tas deposits in Kazakhstan were used as raw materials, while the reducing agents included alumosilicomanganese alloy (AlSiMn) and ferrosilicoaluminum (FeSiAl). Thermodynamic calculations were performed with HSC Chemistry 10 at 1400–1800 °C and reducing agent dosages of 10–100 kg per 100 kg of ore charge. Crucible smelting experiments were then carried out in a Tamman furnace, followed by large-scale laboratory trials in a 100 kVA refining electric furnace to verify reproducibility, with a total of 14 runs. The chemical composition of the ligatures varied depending on the reductant: with AlSiMn the alloy contained Fe—23.14%, Cr—53.74%, Mn—20.03%, and Si—3.06%; with FeSiAl, it contained Fe—42.01%, Cr—25.74%, Mn—27.15%, and Si—5.05%; and with FeSiCr dust, it contained Fe—34.45%, Cr—21.45%, Mn—39.82%, and Si—4.24%. X-ray diffraction (XRD) and scanning electron microscopy (SEM) analyses confirmed the presence of α-(Fe,Cr,Mn), FeSi, and Cr5Si3 phases. The results demonstrate the efficiency of complex silicon–aluminum reducing agents and the ability to regulate the composition of chromium–manganese ligatures by the selected reductant. Full article
Show Figures

Figure 1

18 pages, 1232 KB  
Review
The Role of Endoplasmic Reticulum Stress in the Development of Periodontitis—From Experimental Cell and Animal Models to Humans
by Sebastian Gawlak-Socka, Paulina Sokołowska, Gabriela Henrykowska, Edward Kowalczyk, Sebastian Kłosek and Anna Wiktorowska-Owczarek
Int. J. Mol. Sci. 2025, 26(19), 9620; https://doi.org/10.3390/ijms26199620 - 2 Oct 2025
Cited by 2 | Viewed by 1624
Abstract
Periodontal disease is a prevalent inflammatory disorder that can lead to severe oral complications. Recent studies increasingly underline the role of endoplasmic reticulum (ER) stress in its pathogenesis. Experimental models using inflammatory agents such as lipopolysaccharide (LPS), tumor necrosis factor-alpha (TNF-α), and ligature-induced [...] Read more.
Periodontal disease is a prevalent inflammatory disorder that can lead to severe oral complications. Recent studies increasingly underline the role of endoplasmic reticulum (ER) stress in its pathogenesis. Experimental models using inflammatory agents such as lipopolysaccharide (LPS), tumor necrosis factor-alpha (TNF-α), and ligature-induced periodontitis in rodents, as well as chemical hypoxia, have consistently demonstrated the activation of unfolded protein response (UPR) pathways in periodontal cells. Key ER stress markers, including CHOP, GRP78, PERK, and ATF6, were upregulated in periodontal ligament cells, stem cells, and gingival epithelial cells under these conditions. While ER stress in periodontitis is primarily associated with detrimental outcomes such as apoptosis and inflammation, it may also have a physiological role in bone remodeling via the PERK-eIF2α-ATF4 axis. Importantly, several ER stress-modulating agents—such as oridonin, melatonin, and exosomes derived from M2 macrophages—have shown therapeutic potential by reducing stress marker expression and limiting periodontal damage. These findings suggest that targeting ER stress may offer a novel therapeutic strategy. Future human studies are essential to determine whether a combined approach targeting inflammation and ER stress could more effectively halt or reverse periodontal tissue destruction, while also assessing the long-term safety of ER stress modulation. Full article
(This article belongs to the Section Molecular Biology)
Show Figures

Figure 1

19 pages, 2752 KB  
Article
Effects of Zanthoxyli Pericarpium Extracts on Ligature-Induced Periodontitis and Alveolar Bone Loss in Rats
by Jang-Soo Kim, Beom-Rak Choi, Geun-Log Choi, Hye-Rim Park, Jin-Gwan Kwon, Chan-Gon Seo, Jae-Kwang Kim and Sae-Kwang Ku
Antioxidants 2025, 14(10), 1159; https://doi.org/10.3390/antiox14101159 - 24 Sep 2025
Viewed by 1035
Abstract
Zanthoxyli Pericarpium (ZP), the dried pericarp of mature fruits of Zanthoxylum schinifolium Siebold and Zucc., has traditionally been used in East Asian medicine for its medicinal properties, but its therapeutic potential in periodontitis has not been elucidated. In the present study, we investigated [...] Read more.
Zanthoxyli Pericarpium (ZP), the dried pericarp of mature fruits of Zanthoxylum schinifolium Siebold and Zucc., has traditionally been used in East Asian medicine for its medicinal properties, but its therapeutic potential in periodontitis has not been elucidated. In the present study, we investigated the effects of ZP on ligature-induced experimental periodontitis (EPD) in male Sprague Dawley rats. Animals were assigned to vehicle control, ligature control, ZP-treated (25, 50, and 100 mg/kg), or indomethacin-treated (5 mg/kg) groups (n = 10 per group) and orally administered the respective treatments daily for 10 days after ligature placement. ZP significantly reduced anaerobic bacterial proliferation and inflammatory cell infiltration in gingival tissue. ZP suppressed the production of inflammatory mediators, such as tumor necrosis factor-α and interleukin-1β, in both gingival tissues and lipopolysaccharide-stimulated RAW 264.7 macrophages, through inhibition of the mitogen-activated protein kinase (MAPK) and nuclear factor-κB (NF-κB) signaling pathways. In addition, ZP decreased myeloperoxidase activity and reduced matrix metalloproteinase-8 expression, thereby preserving collagen areas. ZP also restored the receptor activator of NF-κB ligand/osteoprotegerin (RANKL/OPG) balance, leading to a reduction in osteoclast numbers and their occupancy on the alveolar surface, and it effectively ameliorated horizontal alveolar bone loss. Furthermore, ZP exhibited antioxidant effects by lowering malondialdehyde levels and inducible nitric oxide synthase activity in gingival tissues. Statistical analysis was performed using ANOVA followed by a post hoc test, with significance set at p < 0.05. These findings indicate that ZP mitigates periodontitis through combined antimicrobial, anti-inflammatory, antioxidant, and anti-resorptive actions, supporting its potential as a therapeutic candidate for periodontitis. Full article
(This article belongs to the Special Issue Antioxidants as Weapons to Maintain or Restore Oral Health)
Show Figures

Graphical abstract

13 pages, 269 KB  
Article
Suicide in Prison: A Forensic Analysis of Sixteen Cases in Correctional Settings
by Maria Puntarello, Ginevra Malta, Mauro Midiri, Tommaso D’Anna, Giuseppe Davide Albano, Stefania Zerbo and Antonina Argo
Forensic Sci. 2025, 5(3), 44; https://doi.org/10.3390/forensicsci5030044 - 15 Sep 2025
Cited by 1 | Viewed by 2145
Abstract
Background/Objectives: Suicide in prison is a significant medico-legal and public health concern, with rates several times higher than in the general population. Vulnerability is heightened by psychiatric disorders, substance use, and custodial stressors such as isolation, overcrowding, and restricted healthcare access. This [...] Read more.
Background/Objectives: Suicide in prison is a significant medico-legal and public health concern, with rates several times higher than in the general population. Vulnerability is heightened by psychiatric disorders, substance use, and custodial stressors such as isolation, overcrowding, and restricted healthcare access. This study examines custodial suicides to identify diagnostic complexities, systemic shortcomings, and possible prevention strategies, including technological innovations. Methods: We conducted a retrospective forensic investigation of sixteen confirmed custodial suicides between 2022 and 2024. Each underwent a standardized protocol comprising crime scene inspection, complete autopsy, histopathology, toxicology, and review of prison medical and psychiatric records. Data on suicide methods, psychiatric comorbidities, and substance use were analyzed. Results: Hanging was the predominant method (12/16), displaying classical forensic signs such as pale, oblique ligature marks and petechial hemorrhages. Four cases involved acute intoxication, often with non-prescribed drugs. Psychiatric disorders were identified in 14 cases, including major depressive disorder, bipolar disorder, and substance use disorder. Toxicological analyses revealed both prescribed and illicit substances, highlighting unauthorized exchanges within facilities. Autopsy findings consistently excluded homicide or natural causes, confirming the vitality of lesions and the mechanism of death. Conclusions: Custodial suicides are strongly associated with untreated or inadequately managed psychiatric conditions, compounded by restrictive prison environments. Comprehensive forensic autopsies are essential for accurate cause-of-death determination and institutional accountability. Preventive strategies should combine psychiatric care, architectural modifications to reduce ligature points, and ethical integration of AI-based surveillance for early detection of suicidal behavior. A multidisciplinary, rights-based approach is crucial to reduce suicide rates and safeguard the dignity and life of incarcerated individuals. Full article
12 pages, 3458 KB  
Article
Adenosine A2a Receptor Stimulation Mitigates Periodontitis and Is Mitoprotective in Gingival Fibroblasts Promoting Cellular Resilience
by A. C. Morandini, S. Dawson, N. Paladines, N. Adams and E. S. Ramos-Junior
Cells 2025, 14(16), 1266; https://doi.org/10.3390/cells14161266 - 16 Aug 2025
Cited by 1 | Viewed by 4025
Abstract
Adenosine signaling plays protective roles in gingival mitochondrial health and inflammation control, with the ectoenzyme CD73 implicated in periodontitis. Here, we investigated the effects of selective adenosine A2a receptor (A2aR) stimulation using the agonist CGS21680 in a mouse model of ligature-induced periodontitis (LIP) [...] Read more.
Adenosine signaling plays protective roles in gingival mitochondrial health and inflammation control, with the ectoenzyme CD73 implicated in periodontitis. Here, we investigated the effects of selective adenosine A2a receptor (A2aR) stimulation using the agonist CGS21680 in a mouse model of ligature-induced periodontitis (LIP) and in gingival fibroblast mitochondrial function. Mature C57Bl/6 mice underwent LIP and received daily intraperitoneal injections of CGS21680 (0.1 mg/Kg) or saline. After 8 days, gingival tissues and maxillae were analyzed for alveolar bone loss and Il-1β levels. In parallel, murine gingival fibroblasts (mGFs) were treated with Tnf-α (5 ng/mL) ± CGS21680 (10 µM) to assess mitochondrial function, morphology, and quality control. A2aR activation significantly reduced alveolar bone loss and Il-1β expression in vivo. In vitro, CGS21680 suppressed Tnf-α-induced Cxcl10 and Cxcl12 expressions and enhanced Vegf production. Mitochondrial analysis revealed increased mitochondrial complex levels, membrane potential, and mass, alongside reduced reactive oxygen species (ROS), proton leak, and mitochondrial stress. Ultrastructural studies showed elongated, healthier mitochondria and increased pro-fusion markers, indicating enhanced mitochondrial quality control. Overall, A2aR stimulation attenuates periodontal inflammation and confers mitoprotective effects on gingival fibroblasts, supporting its potential as a therapeutic strategy to both mitigate periodontitis progression and preserve tissue bioenergetics supporting cellular resilience. Full article
Show Figures

Graphical abstract

15 pages, 2181 KB  
Article
Postbiotics Derived from Lactococcus lactis and Streptococcus thermophilus Attenuate Experimental Periodontitis by Modulating Macrophage Polarization and Osteoclastogenesis
by Hyun-Joo Park, Mi-Kyoung Kim, Soon Chul Heo, Dong Ki Hong, Soo-Dong Park, Yeon Kim, Soo-Kyung Bae, Hyung Joon Kim and Moon-Kyoung Bae
Nutrients 2025, 17(16), 2638; https://doi.org/10.3390/nu17162638 - 14 Aug 2025
Cited by 3 | Viewed by 1064
Abstract
Background/Objectives: The potential of probiotics and postbiotics as adjunctive or alternative therapies for periodontal disease, which is characterized by chronic inflammation and alveolar bone loss, is gaining increasing attention. In this study, we aimed to elucidate the impact of postbiotic Lactococcus lactis [...] Read more.
Background/Objectives: The potential of probiotics and postbiotics as adjunctive or alternative therapies for periodontal disease, which is characterized by chronic inflammation and alveolar bone loss, is gaining increasing attention. In this study, we aimed to elucidate the impact of postbiotic Lactococcus lactis HY449 and Streptococcus thermophilus HY9012 on key cellular processes implicated in the pathogenesis of periodontitis. Methods: THP-1 cells were polarized into M1 macrophages by exposure to Porphyromonas gingivalis lipopolysaccharide in the presence of postbiotics, i.e., heat-killed forms of HY449 or HY9012. The effect of postbiotics on the differentiation of bone marrow-derived macrophages into osteoclasts was analyzed using tartrate-resistant acid phosphatase staining. An in vivo mouse model of ligature-induced periodontitis was used to assess changes in periodontal tissues. Results: The combination of postbiotic L. lactis HY449 and S. thermophilus HY9012 synergistically modulated macrophage polarization by significantly suppressing pro-inflammatory M1 markers and enhancing anti-inflammatory M2 markers. Additionally, postbiotic HY449 and HY9012 inhibited osteoclast differentiation, downregulating the expression of key osteoclastogenic genes and master transcription factors of osteoclast differentiation. In a mouse model of ligature-induced periodontitis, co-treatment with postbiotic HY449 and HY9012 demonstrated synergistic effects in reducing alveolar bone loss. Conclusions: The present findings support the use of postbiotic HY449 or HY9012 as adjunct treatments for the management of periodontitis. Full article
Show Figures

Figure 1

15 pages, 1514 KB  
Article
Injectable Thermosensitive Hydrogel Containing Bakuchiol Reduces Periodontal Inflammation and Alveolar Bone Loss in a Rat Model
by Seong-Jin Shin, Gyu-Yeon Shim, Seong-Hee Moon, Yu-Jin Kim, Hyun-Jin Kim, Seunghan Oh, Jung-Hwan Lee and Ji-Myung Bae
J. Funct. Biomater. 2025, 16(8), 292; https://doi.org/10.3390/jfb16080292 - 13 Aug 2025
Viewed by 2455
Abstract
This study aimed to develop and evaluate a bakuchiol-loaded thermosensitive hydrogel (BTH) as a novel local drug delivery system for the management of periodontitis. Bakuchiol, a natural phenolic compound extracted from Psoralea corylifolia, was incorporated into a hydrogel composed of poloxamers and [...] Read more.
This study aimed to develop and evaluate a bakuchiol-loaded thermosensitive hydrogel (BTH) as a novel local drug delivery system for the management of periodontitis. Bakuchiol, a natural phenolic compound extracted from Psoralea corylifolia, was incorporated into a hydrogel composed of poloxamers and carboxymethylcellulose. The gelation behavior, physicochemical properties, and drug release profile were analyzed. Additionally, antibacterial activity against Porphyromonas gingivalis was assessed. Cytotoxicity was evaluated in human gingival fibroblasts and RAW 264.7 cells. Anti-inflammatory effects were determined by measuring proinflammatory cytokine expression in lipopolysaccharide-stimulated RAW 264.7 macrophages. Furthermore, alveolar bone loss, cytokine expression, and histological findings were assessed in a rat model of ligature-induced periodontitis. BTH demonstrated sol–gel transition at body temperature, with sustained drug release over 15 days. Moreover, it exhibited significant antibacterial activity against P. gingivalis and was non-cytotoxic at an extract concentration of 6.25%. In vitro, it significantly downregulated inflammatory cytokines in activated macrophages. In vivo, BTH application reduced alveolar bone loss and interleukin-1β expression in gingival tissues. Histological analysis confirmed decreased inflammatory cell infiltration and alveolar bone destruction. Thus, BTH demonstrated both antibacterial and anti-inflammatory activities, exhibiting potential as a promising therapeutic strategy for localized periodontal treatment. Full article
(This article belongs to the Section Dental Biomaterials)
Show Figures

Figure 1

16 pages, 1855 KB  
Article
Emodin-Loaded Thermoresponsive Hydrogel as a Potential Drug Delivery System for Periodontal Disease in a Rat Model of Ligature-Induced Periodontitis
by Gyu-Yeon Shim, Seong-Hee Moon, Seong-Jin Shin, Hyun-Jin Kim, Seunghan Oh and Ji-Myung Bae
Polymers 2025, 17(15), 2108; https://doi.org/10.3390/polym17152108 - 31 Jul 2025
Viewed by 1388
Abstract
Periodontitis, a chronic inflammatory disease, causes alveolar bone loss. Current treatments show limitations in achieving dual antimicrobial and anti-inflammatory effects. We evaluated an emodin-loaded thermoresponsive hydrogel as a local drug delivery system for periodontitis treatment. Emodin itself demonstrated antibacterial activity against Porphyromonas gingivalis [...] Read more.
Periodontitis, a chronic inflammatory disease, causes alveolar bone loss. Current treatments show limitations in achieving dual antimicrobial and anti-inflammatory effects. We evaluated an emodin-loaded thermoresponsive hydrogel as a local drug delivery system for periodontitis treatment. Emodin itself demonstrated antibacterial activity against Porphyromonas gingivalis, with minimal inhibitory and minimal bactericidal concentrations of 50 μM. It also suppressed mRNA expression of proinflammatory cytokines [tumor necrosis factor alpha, interleukin (IL)-1β, and IL-6] in lipopolysaccharide-stimulated RAW 264.7 cells. The hydrogel, formulated with poloxamers and carboxymethylcellulose, remained in a liquid state at room temperature and formed a gel at 34 °C, providing sustained drug release for 96 h and demonstrating biocompatibility with human periodontal ligament stem cells while exhibiting antibacterial activity against P. gingivalis. In a rat model of periodontitis, the hydrogel significantly reduced alveolar bone loss and inflammatory responses, as confirmed by micro-computed tomography and reverse transcription quantitative polymerase chain reaction of gingival tissue. The dual antimicrobial and anti-inflammatory properties of emodin, combined with its thermoresponsive delivery system, provide advantages over conventional treatments by maintaining therapeutic concentrations in the periodontal pocket while minimizing systemic exposure. This shows the potential of emodin-loaded thermoresponsive hydrogels as effective local delivery systems for periodontitis treatment. Full article
(This article belongs to the Section Smart and Functional Polymers)
Show Figures

Figure 1

Back to TopTop