Sign in to use this feature.

Years

Between: -

Subjects

remove_circle_outline
remove_circle_outline
remove_circle_outline
remove_circle_outline
remove_circle_outline

Journals

Article Types

Countries / Regions

Search Results (15)

Search Parameters:
Keywords = leptomeningeal carcinomatosis

Order results
Result details
Results per page
Select all
Export citation of selected articles as:
7 pages, 686 KB  
Case Report
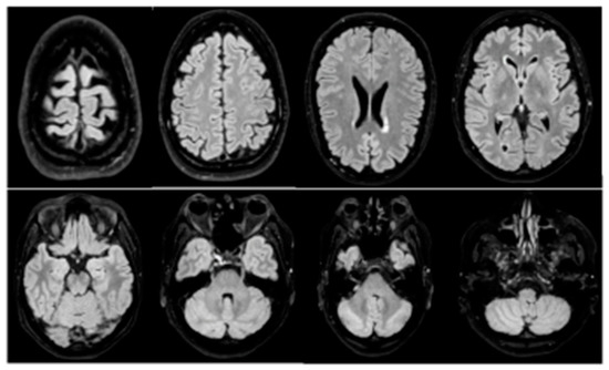
Treatment of Leptomeningeal Disease with Tepotinib in a Patient with Lung Adenocarcinoma Harboring MET Exon 14 Skipping Mutation Presenting with Extensive Metastasis Involving Duodenum
by Jacquelyn Shugarts, Aida Amado, Taylor Praska, Monica Camou and Jiaxin Niu
Reports 2025, 8(2), 96; https://doi.org/10.3390/reports8020096 - 18 Jun 2025
Viewed by 1094
Abstract
Background and Clinical Significance: The mesenchymal–epithelial transition (MET) exon 14 skipping mutation (METex14) is a rare genetic alteration occurring in non-small cell lung cancer (NSCLC). Tyrosine kinase inhibitors (TKIs) are the approved treatment for first-line therapy in a metastatic setting. However, the unusual [...] Read more.
Background and Clinical Significance: The mesenchymal–epithelial transition (MET) exon 14 skipping mutation (METex14) is a rare genetic alteration occurring in non-small cell lung cancer (NSCLC). Tyrosine kinase inhibitors (TKIs) are the approved treatment for first-line therapy in a metastatic setting. However, the unusual presentation of gastrointestinal metastasis and leptomeningeal carcinomatosis (LMD) poses significant treatment challenges. Case Presentation: Here we report a case of a 72-year-old male with metastatic METex14-positive NSCLC, presenting with brain and duodenal metastases. Conclusions: The patient responded exceptionally well to first-line chemoimmunotherapy, achieving clinically complete remission for 2 years. He subsequently developed cerebellar metastasis and leptomeningeal disease (LMD) but demonstrated a remarkable response to tepotinib and continued to enjoy radiographic complete remission over 2.5 years at the time of this report. Full article
(This article belongs to the Section Oncology)
Show Figures

Figure 1

15 pages, 684 KB  
Review
Diagnostics and Screening in Breast Cancer with Brain and Leptomeningeal Metastasis: A Review of the Literature
by Adam J. Cohen-Nowak, Virginia B. Hill and Priya Kumthekar
Cancers 2024, 16(21), 3686; https://doi.org/10.3390/cancers16213686 - 31 Oct 2024
Cited by 2 | Viewed by 3818
Abstract
Brain and leptomeningeal metastases are complications of breast cancer with high rates of morbidity and mortality and have an estimated incidence of up to 30%. While National Comprehensive Cancer Network (NCCN) guidelines recommend screening for central nervous system metastasis in other neurotropic cancers [...] Read more.
Brain and leptomeningeal metastases are complications of breast cancer with high rates of morbidity and mortality and have an estimated incidence of up to 30%. While National Comprehensive Cancer Network (NCCN) guidelines recommend screening for central nervous system metastasis in other neurotropic cancers such as non-small cell lung cancer, there are no such recommendations for asymptomatic breast cancer patients at any stage of disease. This review highlights ongoing studies into screening and diagnostics for breast cancer with brain and leptomeningeal metastasis (BCBLM) as they relate to patient outcomes and prognostication. These include imaging methods such as MRI with novel contrast agents with or without PET/CT, as well as ‘liquid biopsy’ testing of the cerebrospinal fluid and serum to analyze circulating tumor cells, genomic material, proteins, and metabolites. Given recent advances in radiation, neurosurgery, and systemic treatments for BCBLM, screening for CNS involvement should be considered in patients with advanced breast cancer as it may impact treatment decisions and overall survival. Full article
(This article belongs to the Special Issue Breast Cancer Brain Metastasis and Leptomeningeal Disease)
Show Figures

Figure 1

9 pages, 2382 KB  
Case Report
Leptomeningeal Carcinomatosis in Early Gastric Cancer: A Case Report and Literature Review
by Alessio Lucarini, Giulia Arrivi, Elena Liotta, Francesco Saverio Li Causi, Leonardo Di Cicco, Federica Mazzuca, Mattia Falchetto Osti, Genoveffa Balducci and Paolo Mercantini
Healthcare 2024, 12(12), 1184; https://doi.org/10.3390/healthcare12121184 - 12 Jun 2024
Cited by 2 | Viewed by 2833
Abstract
Leptomeningeal carcinomatosis (LC) is a rare site of metastasis in solid tumors, and it is associated with poor prognosis due to disabling symptoms and a scarcity of treatment options. This condition is an uncommon entity in gastric cancer (GC). We present a case [...] Read more.
Leptomeningeal carcinomatosis (LC) is a rare site of metastasis in solid tumors, and it is associated with poor prognosis due to disabling symptoms and a scarcity of treatment options. This condition is an uncommon entity in gastric cancer (GC). We present a case of primary LC manifestation in a patient with an incidental diagnosis of localized node-negative GC. We additionally perform a literature review and discuss the diagnostic and therapeutic challenges. In conclusion, LC from GC represents a rare condition with a dramatic prognosis. Its diagnosis might be very challenging. A multidisciplinary approach appears to be the best strategy for the management of LC from GC. Full article
Show Figures

Figure 1

10 pages, 1830 KB  
Article
Patients with Leptomeningeal Carcinomatosis and Hydrocephalus-Feasibility of Combined Ventriculoperitoneal Shunt and Reservoir Insertion for Intrathecal Chemotherapy
by Matthias Schneider, Christian Wispel, Anna-Laura Potthoff, Muriel Heimann, Valeri Borger, Christina Schaub, Ulrich Herrlinger, Hartmut Vatter, Patrick Schuss and Niklas Schäfer
Curr. Oncol. 2024, 31(5), 2410-2419; https://doi.org/10.3390/curroncol31050180 - 24 Apr 2024
Cited by 5 | Viewed by 4004
Abstract
Therapeutic management of patients with leptomeningeal carcinomatosis (LC) may require treatment of concomitant hydrocephalus (HC) in addition to intrathecal chemotherapy (ITC). Ventriculoperitoneal shunts (VPS) equipped with a valve for manual deactivation of shunt function and a concomitant reservoir for application of ITC pose [...] Read more.
Therapeutic management of patients with leptomeningeal carcinomatosis (LC) may require treatment of concomitant hydrocephalus (HC) in addition to intrathecal chemotherapy (ITC). Ventriculoperitoneal shunts (VPS) equipped with a valve for manual deactivation of shunt function and a concomitant reservoir for application of ITC pose an elegant solution to both problems. The present study evaluates indication, feasibility, and safety of such a modified shunt/reservoir design (mS/R). All patients with LC aged ≥ 18 years who had undergone mS/R implantation between 2013 and 2020 at the authors’ institution were further analyzed. ITC was indicated following the recommendation of the neuro-oncological tumor board and performed according to a standardized protocol. Sixteen patients with LC underwent mS/R implantation for subsequent ITC and concomitant treatment of HC. Regarding HC-related clinical symptoms, 69% of patients preoperatively exhibited lethargy, 38% cognitive impairment, and 38% (additional) visual disturbances. Postoperatively, 86% of patients achieved subjective improvement of HC-related symptoms. Overall, postoperative complications occurred in three patients (19%). No patient encountered cancer treatment-related complications. The present study describes a combination procedure consisting of a standard VPS-system and a standard reservoir for patients suffering from LC and HC. No cancer treatment-related complications occurred, indicating straightforward handling and thus safety. Full article
(This article belongs to the Section Neuro-Oncology)
Show Figures

Figure 1

20 pages, 1454 KB  
Review
Leptomeningeal Metastases in Melanoma Patients: An Update on and Future Perspectives for Diagnosis and Treatment
by Julian Steininger, Frank Friedrich Gellrich, Kay Engellandt, Matthias Meinhardt, Dana Westphal, Stefan Beissert, Friedegund Meier and Isabella C. Glitza Oliva
Int. J. Mol. Sci. 2023, 24(14), 11443; https://doi.org/10.3390/ijms241411443 - 14 Jul 2023
Cited by 12 | Viewed by 7161
Abstract
Leptomeningeal disease (LMD) is a devastating complication of cancer with a particularly poor prognosis. Among solid tumours, malignant melanoma (MM) has one of the highest rates of metastasis to the leptomeninges, with approximately 10–15% of patients with advanced disease developing LMD. Tumour cells [...] Read more.
Leptomeningeal disease (LMD) is a devastating complication of cancer with a particularly poor prognosis. Among solid tumours, malignant melanoma (MM) has one of the highest rates of metastasis to the leptomeninges, with approximately 10–15% of patients with advanced disease developing LMD. Tumour cells that metastasise to the brain have unique properties that allow them to cross the blood–brain barrier, evade the immune system, and survive in the brain microenvironment. Metastatic colonisation is achieved through dynamic communication between metastatic cells and the tumour microenvironment, resulting in a tumour-permissive milieu. Despite advances in treatment options, the incidence of LMD appears to be increasing and current treatment modalities have a limited impact on survival. This review provides an overview of the biology of LMD, diagnosis and current treatment approaches for MM patients with LMD, and an overview of ongoing clinical trials. Despite the still limited efficacy of current therapies, there is hope that emerging treatments will improve the outcomes for patients with LMD. Full article
(This article belongs to the Special Issue Molecular Research and New Therapy in Melanoma and Other Skin Cancers)
Show Figures

Figure 1

7 pages, 723 KB  
Case Report
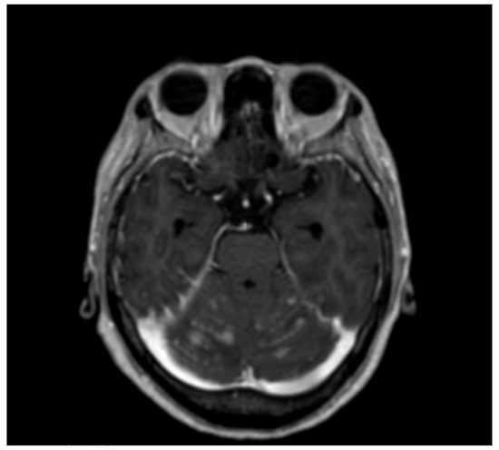
Complete Cerebrospinal Fluid Response to T-DM1 in HER2 Positive Metastatic Breast Cancer: A Case Report
by Francesca Zacchi, Elena Giontella, Alessia Nottegar and Elena Fiorio
Life 2023, 13(3), 756; https://doi.org/10.3390/life13030756 - 10 Mar 2023
Viewed by 2254
Abstract
Leptomeningeal carcinomatosis is a rare but serious consequence of pre-existing tumors, such as breast, lung, and gastrointestinal carcinomas. Further, leptomeningeal carcinomatosis is more frequently diagnosed with breast cancers, if only because breast cancers are diagnosed far more often than any other carcinomas. In [...] Read more.
Leptomeningeal carcinomatosis is a rare but serious consequence of pre-existing tumors, such as breast, lung, and gastrointestinal carcinomas. Further, leptomeningeal carcinomatosis is more frequently diagnosed with breast cancers, if only because breast cancers are diagnosed far more often than any other carcinomas. In this paper, we present the case of a leptomeningeal carcinomatosis patient who experienced complete remission following therapy targeted at the Her-2 (human epidermal growth factor receptor 2-positive) receptor. This patient’s diagnosis was complicated by the fact that brain and column MRI imaging were clear, but analysis of the cerebrospinal fluid led to the conclusion of leptomeningeal carcinomatosis. The tests were requested because the patient, under chemotherapy for advanced breast cancer at the time, reported some neurological symptoms. Following the diagnosis of leptomeningeal carcinomatosis and subsequent T-DM1 Her-2 receptor therapy, the patient showed a complete response to leptomeningeal carcinomatosis within 30 days and survived for another 16 months. This case offers compelling evidence that the effect TDM1 Her-2 receptor therapy has on a patient’s remission and long-term survivability is considerably better than other therapies for similar pre-existing conditions diagnosed with leptomeningeal carcinomatosis. Further prospective studies should confirm these findings. Full article
(This article belongs to the Section Physiology and Pathology)
Show Figures

Figure 1

19 pages, 1968 KB  
Systematic Review
The Evolving Landscape of Leptomeningeal Cancer from Solid Tumors: A Systematic Review of Clinical Trials
by Lina Marenco-Hillembrand, Michael A. Bamimore, Julio Rosado-Philippi, Blake Perdikis, David N. Abarbanel, Alfredo Quinones-Hinojosa, Kaisorn L. Chaichana and Wendy J. Sherman
Cancers 2023, 15(3), 685; https://doi.org/10.3390/cancers15030685 - 22 Jan 2023
Cited by 11 | Viewed by 4618
Abstract
Leptomeningeal carcinomatosis (LMC) is a fatal but uncommon complication occurring in 5–15% of patients with stage IV cancer. Current treatment options are ineffective at managing leptomeningeal spread, with a median overall survival (mOS) of 2–6 months. We aimed to conduct a systematic review [...] Read more.
Leptomeningeal carcinomatosis (LMC) is a fatal but uncommon complication occurring in 5–15% of patients with stage IV cancer. Current treatment options are ineffective at managing leptomeningeal spread, with a median overall survival (mOS) of 2–6 months. We aimed to conduct a systematic review of the literature to identify past and future therapies for LMC from solid tumors. Forty-three clinical trials (CTs) published between 1982–2022 were identified. Of these, 35 (81.4%) were non-randomized CTs and 8 (18.6%) were randomized CTs. The majority consisted of phase I (16.3%) and phase II CTs (65.1%). Trials enrolled patients with LMC from various primary histology (n = 23, 57.5%), with one CT evaluating LCM from melanoma (2.4%). A total of 21 trials evaluated a single modality treatment. Among CTs, 23.7% closed due to low accrual. Intraventricular (ITV)/intrathecal (IT) drug delivery was the most common route of administration (n = 22, 51.2%) vs. systemic drug delivery (n = 13, 30.3%). Two clinical trials evaluated the use of craniospinal irradiation for LMC with favorable results. LMC continues to carry a dismal prognosis, and over the years, increments in survival have remained stagnant. A paradigm shift towards targeted systemic therapy with continued standardization of efficacy endpoints will help to shed light on promising treatments. Full article
(This article belongs to the Special Issue Diagnosis and Treatment of Brain Metastases)
Show Figures

Figure 1

16 pages, 524 KB  
Review
Novel Therapeutic Approaches in Neoplastic Meningitis
by Atulya Aman Khosla, Shreya Saxena, Ahmad Ozair, Vyshak Alva Venur, David M. Peereboom and Manmeet S. Ahluwalia
Cancers 2023, 15(1), 119; https://doi.org/10.3390/cancers15010119 - 25 Dec 2022
Cited by 9 | Viewed by 4175
Abstract
Central nervous system (CNS) metastasis from systemic cancers can involve the brain parenchyma, leptomeninges, or the dura. Neoplastic meningitis (NM), also known by different terms, including leptomeningeal carcinomatosis and carcinomatous meningitis, occurs due to solid tumors and hematologic malignancies and is associated with [...] Read more.
Central nervous system (CNS) metastasis from systemic cancers can involve the brain parenchyma, leptomeninges, or the dura. Neoplastic meningitis (NM), also known by different terms, including leptomeningeal carcinomatosis and carcinomatous meningitis, occurs due to solid tumors and hematologic malignancies and is associated with a poor prognosis. The current management paradigm entails a multimodal approach focused on palliation with surgery, radiation, and chemotherapy, which may be administered systemically or directly into the cerebrospinal fluid (CSF). This review focuses on novel therapeutic approaches, including targeted and immunotherapeutic agents under investigation, that have shown promise in NM arising from solid tumors. Full article
(This article belongs to the Special Issue Updates on Molecular Targeted Therapies for CNS Tumors)
Show Figures

Figure 1

18 pages, 1452 KB  
Review
Radiotherapy for Leptomeningeal Carcinomatosis in Breast Cancer Patients: A Narrative Review
by Ewa Pawłowska, Anna Romanowska and Jacek Jassem
Cancers 2022, 14(16), 3899; https://doi.org/10.3390/cancers14163899 - 12 Aug 2022
Cited by 6 | Viewed by 3459
Abstract
Leptomeningeal carcinomatosis (LC), defined as the infiltration of the leptomeninges by cancer cells, is a rare oncological event with the most common etiology being breast cancer (BC), lung cancer, and melanoma. Despite innovations in radiotherapy (RT), firm evidence of its impact on survival [...] Read more.
Leptomeningeal carcinomatosis (LC), defined as the infiltration of the leptomeninges by cancer cells, is a rare oncological event with the most common etiology being breast cancer (BC), lung cancer, and melanoma. Despite innovations in radiotherapy (RT), firm evidence of its impact on survival is lacking, and concerns are related to its possible neurotoxicity. Owing to a paucity of data, the optimal treatment strategy for LC remains unknown. This review discusses current approaches, indications, and contraindications for various forms of RT for LC in BC. A separate section is dedicated to new RT techniques, such as proton therapy. We also summarize ongoing clinical trials evaluating the role of RT in patients with LC. Full article
(This article belongs to the Special Issue Brain Metastases in Breast Cancer)
Show Figures

Graphical abstract

6 pages, 1130 KB  
Communication
Leptomeningeal Carcinomatosis in a Patient with Pancreatic Cancer: A Rare Phenomenon?
by Taichi Sayanagi, Yumiko Ohishi, Makoto Katayama and Ryota Tamura
Medicines 2022, 9(7), 39; https://doi.org/10.3390/medicines9070039 - 12 Jul 2022
Cited by 3 | Viewed by 2637
Abstract
Complication of leptomeningeal carcinomatosis (LMC) is critical. It causes rapid neurological deterioration, and subsequently, discontinuation of the ineffective treatment even in body tumor dormancy. Large molecular chemotherapeutic agents that are unlikely to penetrate the CSF space, are more likely to not treat LMC, [...] Read more.
Complication of leptomeningeal carcinomatosis (LMC) is critical. It causes rapid neurological deterioration, and subsequently, discontinuation of the ineffective treatment even in body tumor dormancy. Large molecular chemotherapeutic agents that are unlikely to penetrate the CSF space, are more likely to not treat LMC, typically in chemo-sensitive tumors. With the introduction of novel regimens, significant advances in overall survival have been observed even in formerly chemo-resistant tumors, such as pancreatic cancer. Although such cases are still rare, the number of pancreatic cancer patients complicated with LMC are increasing, and this therefore needs more recognition. A 49-year-old woman was diagnosed with stage IVa pancreatic cancer. She underwent surgery, and subsequent adjuvant chemotherapy. After three lines of chemotherapy over a 3-year period, where the body disease remained dormant, the patient was complicated by LMC. The diagnosis was made 4 months after the onset of headache. The patient received intrathecal methotrexate treatment but succumbed shortly after treatment induction. Pancreatic cancer is still relatively chemo-resistant and is one of the least likely types of tumor to be complicated by LMC due to patients dying of the primary tumor. Advancements in treatments have led to a prolonged period of primary tumor control, but not in the CNS due to the poor penetration of chemo-agents to this site. The present case seems to be a typical result of modern era anti-cancer therapy. Therefore, we emphasize the necessity of earlier recognition of this complication so that we can initiate specific treatment targeting the CSF space, especially in this formerly chemo-resistant tumor in order to improve its prognosis. Full article
(This article belongs to the Section Neurology and Neurologic Diseases)
Show Figures

Figure 1

8 pages, 1779 KB  
Case Report
Prolonged Survival and Restored Useful Life by Early Induction of Intrathecal Chemotherapy in a Patient with Leptomeningeal Carcinomatosis from Ovarian Cancer
by Kento Takahara, Makoto Katayama and Ryota Tamura
Brain Sci. 2022, 12(6), 748; https://doi.org/10.3390/brainsci12060748 - 7 Jun 2022
Cited by 1 | Viewed by 2782
Abstract
Leptomeningeal carcinomatosis (LMC) is a rare but devastating complication of advanced cancer. Breast cancer, lung cancer, and melanoma are the three most common causes of LMC, whereas it is rare in ovarian cancer. Here, we report the case of a 59-year-old woman who [...] Read more.
Leptomeningeal carcinomatosis (LMC) is a rare but devastating complication of advanced cancer. Breast cancer, lung cancer, and melanoma are the three most common causes of LMC, whereas it is rare in ovarian cancer. Here, we report the case of a 59-year-old woman who was diagnosed with LMC from ovarian cancer and was successfully treated with intrathecal chemotherapy via Ommaya reservoir and radiation therapy. The patient had an amelioration of symptoms and prolonged survival. Though LMC from ovarian cancer is thought to be rare, it is not going to remain a rare entity because the incidence of LMC in general is thought to be increasing, which is also the case with ovarian cancer. According to 31 cases whose treatment course is reported in literature, despite the absence of an established treatment for LMC, intrathecal (IT) chemotherapy whose survival benefit has been suggested in past studies might also prolong survival in patients with LMC from ovarian cancer. IT chemotherapy via Ommaya reservoir may be preferred to the lumbar puncture route. The presentation of non-specific symptoms of LMC in patients may hinder its diagnosis; however, early diagnosis and treatment induction is the key for patients’ prolonged survival and restored useful life. Full article
(This article belongs to the Section Neuro-oncology)
Show Figures

Figure 1

48 pages, 101281 KB  
Review
PET-CT in Clinical Adult Oncology—V. Head and Neck and Neuro Oncology
by Richard H. Wiggins, John M. Hoffman, Gabriel C. Fine, Matthew F. Covington, Ahmed Ebada Salem, Bhasker R. Koppula and Kathryn A. Morton
Cancers 2022, 14(11), 2726; https://doi.org/10.3390/cancers14112726 - 31 May 2022
Cited by 13 | Viewed by 11299
Abstract
PET-CT is an advanced imaging modality with many oncologic applications, including staging, assessment of response to therapy, restaging, and longitudinal surveillance for recurrence. The goal of this series of six review articles is to provide practical information to providers and imaging professionals regarding [...] Read more.
PET-CT is an advanced imaging modality with many oncologic applications, including staging, assessment of response to therapy, restaging, and longitudinal surveillance for recurrence. The goal of this series of six review articles is to provide practical information to providers and imaging professionals regarding the best use of PET-CT for specific oncologic indications, and the potential pitfalls and nuances that characterize these applications. In addition, key tumor-specific clinical information and representative PET-CT images are provided to outline the role that PET-CT plays in the management of oncology patients. Hundreds of different types of tumors exist, both pediatric and adult. A discussion of the role of FDG PET for all of these is beyond the scope of this review. Rather, this series of articles focuses on the most common adult malignancies that may be encountered in clinical practice. It also focuses on FDA-approved and clinically available radiopharmaceuticals, rather than research tracers or those requiring a local cyclotron. The fifth review article in this series focuses on PET-CT imaging in head and neck tumors, as well as brain tumors. Common normal variants, key anatomic features, and benign mimics of these tumors are reviewed. The goal of this review article is to provide the imaging professional with guidance in the interpretation of PET-CT for the more common head and neck malignancies and neuro oncology, and to inform the referring providers so that they can have realistic expectations of the value and limitations of PET-CT for the specific type of tumor being addressed. Full article
(This article belongs to the Special Issue Non-Invasive Imaging and Spectroscopic Methods in Cancer)
Show Figures

Figure 1

11 pages, 1167 KB  
Article
Leptomeningeal Carcinomatosis: A Clinical Dilemma in Neuroendocrine Neoplasms
by Leonidas Apostolidis, Jörg Schrader, Henning Jann, Anja Rinke and Sebastian Krug
Biology 2021, 10(4), 277; https://doi.org/10.3390/biology10040277 - 28 Mar 2021
Cited by 1 | Viewed by 4037
Abstract
Central nervous system (CNS) involvement by paraneoplastic syndromes, brain metastases, or leptomeningeal carcinomatosis (LC) in patients with neuroendocrine neoplasms (NEN) has only been described in individual case reports. We evaluated patients with LC in four neuroendocrine tumor (NET) centers (Halle/Saale, Hamburg, Heidelberg, and [...] Read more.
Central nervous system (CNS) involvement by paraneoplastic syndromes, brain metastases, or leptomeningeal carcinomatosis (LC) in patients with neuroendocrine neoplasms (NEN) has only been described in individual case reports. We evaluated patients with LC in four neuroendocrine tumor (NET) centers (Halle/Saale, Hamburg, Heidelberg, and Marburg) and characterized them clinically. In the study, 17 patients with a LC were defined with respect to diagnosis, clinic, and therapy. The prognosis of a LC is very poor, with 10 months in median overall survival (mOS). This is reflected by an even worse course in neuroendocrine carcinoma (NEC) G3 Ki-67 >55%, with a mOS of 2 months. Motor and sensory deficits together with vigilance abnormalities were common symptoms. In most cases, targeted radiation or temozolomide therapy was used against the LC. LC appears to be similarly devastating to brain metastases in NEN patients. Therefore, the indication for CNS imaging should be discussed in certain cases. Full article
(This article belongs to the Section Cancer Biology)
Show Figures

Figure 1

8 pages, 7998 KB  
Case Report
Leptomeningeal Carcinomatosis of a Poorly Differentiated Cervical Carcinoma Caused by Human Papillomavirus Type 18
by Pierpaolo Zorzato, Mattia Zambon, Silvia Gori, Helena Frayle, Maria Teresa Gervasi and Annarosa Del Mistro
Viruses 2021, 13(2), 307; https://doi.org/10.3390/v13020307 - 16 Feb 2021
Cited by 4 | Viewed by 3682
Abstract
Cervical cancer is caused by a persistent infection with high-risk types of Papillomaviruses (hrHPV); HPV16 and HPV18 are associated with about 70% of the cases. In the last decades the introduction of a cervical cancer screening has allowed a decrease in cervical cancer [...] Read more.
Cervical cancer is caused by a persistent infection with high-risk types of Papillomaviruses (hrHPV); HPV16 and HPV18 are associated with about 70% of the cases. In the last decades the introduction of a cervical cancer screening has allowed a decrease in cervical cancer incidence and mortality; regular adhesion to the screening procedures, by pap test or HPV test, and colposcopy, according to the international guidelines, prevents cancer development and allows for diagnosis at the early stages. Nowadays, in industrialized countries, it is not common to diagnose this pathology in advanced stages, and this occurrence is frequently associated with patient’s unattendance of cervical screening programs. We describe a case of delayed diagnosis of cervical cancer, posed only after the onset of the neurological symptoms caused by leptomeningeal metastases, despite a two-year history of abnormal cytology. The endocervical mass was analyzed by immunohistochemistry, and search and typing of HPV sequences was performed by PCR in the meningeal carcinomatous cells. A poorly differentiated squamous cell carcinoma was diagnosed, and HPV18 sequences were detected. This rapidly fatal case highlights the importance of following the evidence-based recommended protocols and the preventive role of the population-based cervical cancer screening programs. Full article
(This article belongs to the Special Issue HPV and HPV Vaccine)
Show Figures

Figure 1

12 pages, 223 KB  
Review
Molecular Targeted Therapies for the Treatment of Leptomeningeal Carcinomatosis: Current Evidence and Future Directions
by Dae-Won Lee, Kyung-Hun Lee, Jin Wook Kim and Bhumsuk Keam
Int. J. Mol. Sci. 2016, 17(7), 1074; https://doi.org/10.3390/ijms17071074 - 5 Jul 2016
Cited by 31 | Viewed by 7925
Abstract
Leptomeningeal carcinomatosis (LMC) is the multifocal seeding of cerebrospinal fluid and leptomeninges by malignant cells. The incidence of LMC is approximately 5% in patients with malignant tumors overall and the rate is increasing due to increasing survival time of cancer patients. Eradication of [...] Read more.
Leptomeningeal carcinomatosis (LMC) is the multifocal seeding of cerebrospinal fluid and leptomeninges by malignant cells. The incidence of LMC is approximately 5% in patients with malignant tumors overall and the rate is increasing due to increasing survival time of cancer patients. Eradication of the disease is not yet possible, so the treatment goals of LMC are to improve neurologic symptoms and to prolong survival. A standard treatment for LMC has not been established due to low incidences of LMC, the rapidly progressing nature of the disease, heterogeneous populations with LMC, and a lack of randomized clinical trial results. Treatment options for LMC include intrathecal chemotherapy, systemic chemotherapy, and radiation therapy, but the prognoses remain poor with a median survival of <3 months. Recently, molecular targeted agents have been applied in the clinic and have shown groundbreaking results in specific patient groups epidermal growth factor receptor (EGFR)-targeted therapy or an anaplastic lymphoma kinase (ALK) inhibitor in lung cancer, human epidermal growth factor receptor 2 (HER2)-directed therapy in breast cancer, and CD20-targeted therapy in B cell lymphoma). Moreover, there are results indicating that the use of these agents under proper dose and administration routes can be effective for managing LMC. In this article, we review molecular targeted agents for managing LMC. Full article
(This article belongs to the Special Issue Brain Metastasis 2016)
Show Figures

Graphical abstract

Back to TopTop