Prolonged Survival and Restored Useful Life by Early Induction of Intrathecal Chemotherapy in a Patient with Leptomeningeal Carcinomatosis from Ovarian Cancer
Abstract
:1. Introduction
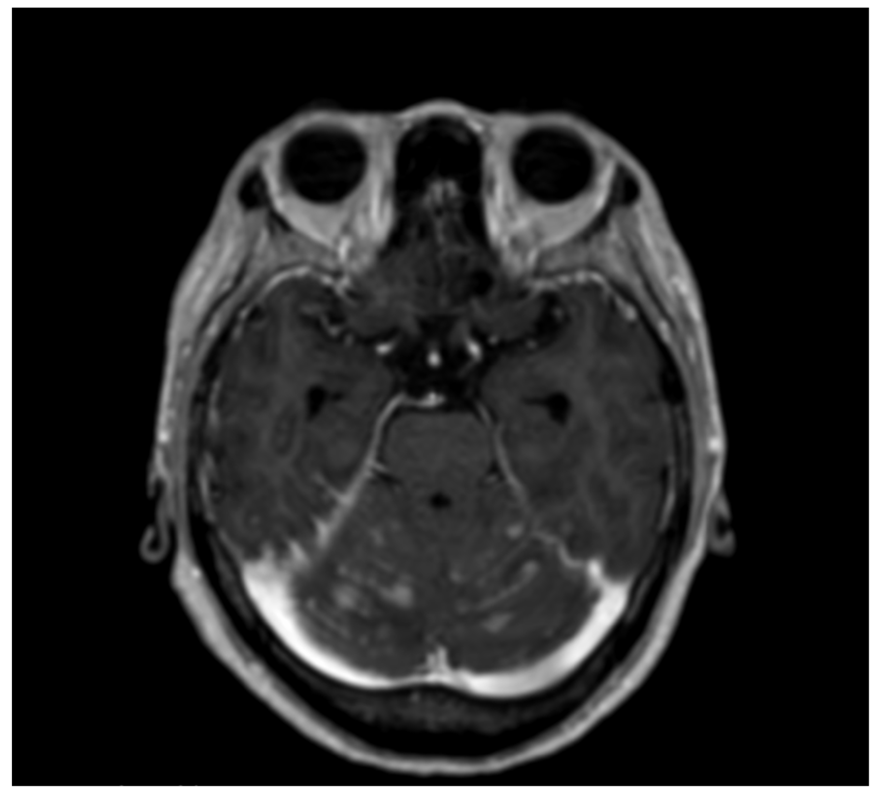
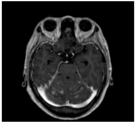
2. Case Presentation
3. Discussion
4. Conclusions
Author Contributions
Funding
Institutional Review Board Statement
Informed Consent Statement
Data Availability Statement
Conflicts of Interest
References
- Kaplan, J.G.; DeSouza, T.G.; Farkash, A.; Shafran, B.; Pack, D.; Rehman, F.; Fuks, J.; Portenoy, R. Leptomeningeal metastases: Comparison of clinical features and laboratory data of solid tumors, lymphomas and leukemias. J. Neurooncol. 1990, 9, 225. [Google Scholar] [CrossRef]
- Posner, J.B. Neurologic Complications of Cancer; F.A. Davis Company: Philadelphia, PA, USA, 1995. [Google Scholar]
- Kesari, S.; Batchelor, T.T. Leptomeningeal metastases. Neurol. Clin. 2003, 21, 25. [Google Scholar] [CrossRef]
- Chamberlain, M.C. Neoplastic meningitis. Curr. Neurol. Neurosci. Rep. 2008, 13, 967–977. [Google Scholar]
- Clarke, J.L.; Perez, H.R.; Jacks, L.M.; Panageas, K.S.; Deangelis, L.M. Leptomeningeal metastases in the MRI era. Neurology 2010, 74, 1449–1454. [Google Scholar] [CrossRef] [Green Version]
- Wang, N.; Bertalan, M.S.; Brastianos, P.K. Leptomeningeal metastasis from systemic cancer: Review and update on management. Cancer 2018, 124, 21–35. [Google Scholar] [CrossRef]
- Nguyen, T.K.; Sahgal, A.; Detsky, J.; Atenafu, E.G.; Myrehaug, S.; Tseng, C.L.; Husain, Z.; Heyn, C.; Maralani, P.; Ruschin, M.; et al. Predictors of leptomeningeal disease following hypofractionated stereotactic radiotherapy for intact and resected brain metastases. Neuro Oncol. 2020, 22, 84–93. [Google Scholar] [CrossRef]
- Shi, Q.; Tian, C.; Huang, X.; Pu, C. Analysis of Cerebrospinal Fluid Carbohydrate Antigen Series Biomarkers in Non-neoplastic Diseases. Ann. Clin. Lab Sci. 2015, 45, 623–626. [Google Scholar]
- Zhang, Y.; Ban, R.; Shi, Q.; Tian, C. Baseline serum/cerebrospinal fluid ratio of carcinoembryonic antigen and carbohydrate antigen series biomarkers in non-neoplastic diseases: A cross-sectional study on 224 patients. Clin. Biochem. 2019, 63, 135–138. [Google Scholar] [CrossRef]
- Yust-Katz, S.; Mathis, S.; Groves, M.D. Leptomeningeal metastases from genitourinary cancer: The University of Texas MD Anderson Cancer Center experience. Med. Oncol. 2013, 30, 429. [Google Scholar] [CrossRef]
- Committee of Brain Tumor Registry of Japan. Brain tumor registry of Japan (2005–2008). Neurol. Med. Chir. 2017, 57 (Suppl. 1), 9–102. [Google Scholar] [CrossRef]
- Yano, H.; Nagao, S.; Yamaguchi, S. Leptomeningeal metastases arising from gynecological cancers. Int. J. Clin. Oncol. 2020, 25, 391–395. [Google Scholar] [CrossRef] [PubMed]
- Frisk, G.; Svensson, T.; Bäcklund, L.M.; Lidbrink, E.; Blomqvist, P.; Smedby, K.E. Incidence and time trends of brain metastases admissions among breast cancer patients in Sweden. Br. J. Cancer 2012, 106, 1850–1853. [Google Scholar] [CrossRef] [PubMed] [Green Version]
- Fox, B.D.; Cheung, V.J.; Patel, A.J.; Suki, D.; Rao, G. Epidemiology of metastatic brain tumors. Neurosurg. Clin. N. Am. 2011, 22, 1–6. [Google Scholar] [CrossRef]
- Groves, M.D. New strategies in the management of leptomeningeal metastases. Arch. Neurol. 2010, 67, 305–312. [Google Scholar] [CrossRef] [PubMed] [Green Version]
- Tosoni, A.; Franceschi, E.; Brandes, A.A. Chemotherapy in breast cancer patients with brain metastases: Have new chemotherapic agents changed the clinical outcome? Crit. Rev. Oncol. Hematol. 2008, 68, 212–221. [Google Scholar] [CrossRef] [PubMed]
- Pierce, S.R.; Clark, L.H. Current First-line Therapy for Ovarian Cancer: A Comprehensive Review. Obstet. Gynecol. Surv. 2018, 73, 650–657. [Google Scholar] [CrossRef] [PubMed]
- Pignata, S.; Scambia, G.; Ferrandina, G.; Savarese, A.; Sorio, R.; Breda, E.; Gebbia, V.; Musso, P.; Frigerio, L.; Del Medico, P.; et al. Carboplatin plus paclitaxel versus carboplatin plus pegylated liposomal doxorubicin as first-line treatment for patients with ovarian cancer: The MITO-2 randomized phase III trial. J. Clin. Oncol. 2011, 29, 3628–3635. [Google Scholar] [CrossRef]
- Oza, A.M.; Cook, A.D.; Pfisterer, J.; Embleton, A.; Ledermann, J.A.; Pujade-Lauraine, E.; Kristensen, G.; Carey, M.S.; Beale, P.; Cervantes, A.; et al. Standard chemotherapy with or without bevacizumab for women with newly diagnosed ovarian cancer (ICON7): Overall survival results of a phase 3 randomised trial. Lancet Oncol. 2015, 16, 928–936. [Google Scholar] [CrossRef]
- Du Bois, A.; Floquet, A.; Kim, J.W.; Rau, J.; del Campo, J.M.; Friedlander, M.; Pignata, S.; Fujiwara, K.; Vergote, I.; Colombo, N.; et al. Incorporation of pazopanib in maintenance therapy of ovarian cancer. J. Clin. Oncol. 2014, 32, 3374–3382. [Google Scholar] [CrossRef]
- Pfisterer, J.; Plante, M.; Vergote, I.; du Bois, A.; Hirte, H.; Lacave, A.J.; Wagner, U.; Stähle, A.; Stuart, G.; Kimmig, R.; et al. Gemcitabine plus carboplatin compared with carboplatin in patients with platinum-sensitive recurrent ovarian cancer: An intergroup trial of the AGO-OVAR, the NCIC CTG, and the EORTC GCG. J. Clin. Oncol. 2006, 24, 4699–4707. [Google Scholar] [CrossRef]
- Gladieff, L.; Ferrero, A.; De Rauglaudre, G.; Brown, C.; Vasey, P.; Reinthaller, A.; Pujade-Lauraine, E.; Reed, N.; Lorusso, D.; Siena, S.; et al. Carboplatin and pegylated liposomal doxorubicin versus carboplatin and paclitaxel in partially platinum-sensitive ovarian cancer patients: Results from a subset analysis of the CALYPSO phase III trial. Ann. Oncol. 2012, 23, 1185–1189. [Google Scholar] [CrossRef]
- Chamberlain, M.C.; Kormanik, P.R. Carcinomatous meningitis secondary to breast cancer: Predictors of response to combined modality therapy. J. Neurooncol. 1997, 35, 55–64. [Google Scholar] [CrossRef]
- Chamberlain, M.C.; Kormanik, P. Carcinoma meningitis secondary to non-small cell lung cancer: Combined modality therapy. Arch. Neurol. 1998, 55, 506–512. [Google Scholar] [CrossRef] [Green Version]
- Mayer, R.J.; Berkowitz, R.S.; Griffiths, C.T. Central nervous system involvement by ovarian carcinoma: A complication of prolonged survivial with metastatic disease. Cancer 1978, 41, 776–783. [Google Scholar] [CrossRef]
- Kaufmann, M.; Zaloumis, M.; Rabe, T.; Heinrich, D.; Kubli, F. Carcinomatous meningeosis during cis-platinum treatment of gynaecological cancers. Geburtshilfe Frauenheilkd. 1982, 42, 166–168. [Google Scholar] [CrossRef] [PubMed]
- Bakri, Y.N.; Lee, J.H., Jr.; Lewis, G.C., Jr.; Lublin, F.D.; Danoff, B. Meningeal carcinomatosis complicating gynecologic malignancies: A literature review and report of a case. Obstet. Gynecol. Surv. 1983, 38, 1–5. [Google Scholar] [CrossRef]
- Gordon, A.N.; Kavanagh, J.J., Jr.; Wharton, J.T.; Rutledge, F.N.; Obbens, E.A.; Bodey, G.P., Sr. Successful treatment of leptomeningeal relapse of epithelial ovarian cancer. Gynecol. Oncol. 1984, 18, 119–124. [Google Scholar] [CrossRef]
- Plaxe, S.C.; Dottino, P.R.; Lipsztein, R.; Dalton, J.; Cohen, C.J. Clinical features and treatment outcome of patients with epithelial carcinoma of the ovary metastatic to the central nervous system. Obstet. Gynecol. 1990, 75, 278–281. [Google Scholar]
- Kamiya, N.; Murakumo, Y.; Goto, T. Meningeal involvement by ovarian cancer. J. Jpn. Soc. Cancer Ther. 1991, 26, 2539–2543. (In Japanese) [Google Scholar]
- Khalil, A.M.; Yamout, B.I.; Tabbal, S.D.; Salem, Z.M.; Mroueh, A.M. Case report and review of literature: Leptomeningeal relapse in epithelial ovarian cancer. Gynecol. Oncol. 1994, 54, 227–231. [Google Scholar] [CrossRef] [PubMed]
- Slosarek, J.; Osuch, Z.; Nowacki, P.; Słowik, T. Unusual clinical course in a case of carcinomatosis of cerebrospinal meninges. Neurol. Neurochir. Pol. 1978, 12, 189–191. [Google Scholar]
- Behnam, K.; Aguilera, A.J.; Kornfeld, M.; Jordan, S.W.; Hilgers, R.D. Meningeal carcinomatosis from an ovarian primary: A clinicopathologic study. Gynecol. Oncol. 1984, 19, 104–109. [Google Scholar] [CrossRef]
- Jackson, P. Carcinomatous meningitis associated with carcinoma of the ovary. Case report. Br. J. Obstet. Gynaecol. 1984, 91, 824–825. [Google Scholar] [CrossRef]
- Stein, M.; Steiner, M.; Klein, B.; Beck, D.; Atad, J.; Kuten, A.; Robinson, E.; Goldsher, D. Involvement of the central nervous system by ovarian carcinoma. Cancer 1986, 58, 2066–2069. [Google Scholar] [CrossRef]
- Ross, W.M.; Carmichael, J.A.; Shelley, W.E. Advanced carcinoma of the ovary with central nervous system relapse. Gynecol. Oncol. 1988, 30, 398–406. [Google Scholar] [CrossRef]
- Murthy, L.K.; Chandrashekar, H.R.; Hiremath, S.S.; Shashikala, P.; Arun, K.N. Meningeal carcinomatosis complicating ovarian malignancy. J. Assoc. Phys. India 1991, 39, 773–774. [Google Scholar]
- Chung, P.; Allerton, R. Malignant meningitis secondary to ovarian carcinoma: An unusual occurrence. Clin. Oncol. 2001, 13, 112–113. [Google Scholar]
- Al Barbarawi, M.; Smith, S.F.; Qudsieh, S.; Sekhon, L.H. Multiple cerebral and leptomeningeal metastases from ovarian carcinoma: Unusual early presentation. J. Clin. Neurosci. 2005, 12, 697–699. [Google Scholar] [CrossRef] [PubMed]
- Eralp, Y.; Saip, P.; Aydin, Z.; Berkman, S.; Topuz, E. Leptomeningeal dissemination of ovarian carcinoma through a ventriculoperitoneal shunt. Gynecol. Oncol. 2008, 108, 248–250. [Google Scholar] [CrossRef] [PubMed]
- Vitaliani, R.; Spinazzi, M.; Del Mistro, A.R.; Manara, R.; Tavolato, B.; Bonifati, D.M. Subacute onset of deafness and vertigo in a patient with leptomeningealmetastasis from ovarian cancer. Neurol. Sci. 2009, 30, 65–67. [Google Scholar] [CrossRef]
- Hasegawa, T.; Nakashima, A.; Ishimaru, M.; Shima, T.; Hidaka, T.; Saito, S. Carcinomatous meningitis associated with ovarian cancer complicated by SIADH. Gan Kagaku Ryoho Cancer Chemother. 2010, 37, 739–742. [Google Scholar]
- Li, H.K.; Harding, V.; Williamson, R.; Blagden, S.; Gabra, H.; Agarwal, R. Cerebral sinus thrombosis and leptomeningeal carcinomatosis in a patient with ovarian cancer. J. Clin. Oncol. 2012, 30, e19–e20. [Google Scholar] [CrossRef] [Green Version]
- Toyoshima, M.; Tsuji, K.; Shigeta, S.; Tokunaga, H.; Ito, K.; Watanabe, Y.; Yoshinaga, K.; Otsuki, T.; Niikura, H.; Yaegashi, N. Leptomeningeal metastasis from gynecologic cancers diagnosed by brain MRI. Clin. Imaging 2017, 41, 42–47. [Google Scholar] [CrossRef]
- Delord, J.P.; Fizazi, K.; el Hajj, M.; Pautier, P.; Lhommé, C. Isolated leptomeningeal metastasis from ovarian carcinoma: An unusual event. Eur. J. Cancer 1998, 34, 758–759. [Google Scholar] [CrossRef]
- Ohta, H.; Koyama, R.; Nagai, T.; Hirayama, Y.; Saito, S.; Yonesaka, A. Meningeal carcinomatosis from an ovarian primary with complete response to adjuvant chemotherapy after cranial irradiation. Int. J. Clin. Oncol. 2001, 6, 157–162. [Google Scholar] [CrossRef]
- Yamakawa, H.; Ariga, H.; Enomoto, A.; Netsu, S.; Suzuki, Y.; Konno, R. Meningeal dissemination from an ovarian carcinoma with effective response to intrathecal chemotherapy. Int. J. Clin. Oncol. 2009, 14, 447–451. [Google Scholar] [CrossRef]
- Melichar, B.; Tomsová, M.; Rehák, S.; Malírová, E.; Simonová, G. Meningeal carcinomatosis as a late complication of brain metastases of epithelial ovarian carcinoma. Eur. J. Gynaecol. Oncol. 2008, 29, 402–404. [Google Scholar]
- Goto, Y.; Katsumata, N.; Nakai, S.; Sasajima, Y.; Yonemori, K.; Kouno, T.; Shimizu, C.; Ando, M.; Fujiwara, Y. Leptomeningeal metastasis from ovarian carcinoma successfully treated by the intraventricular administration of methotrexate. Int. J. Clin. Oncol. 2008, 13, 555–558. [Google Scholar] [CrossRef]
- Baek, W.S.; Kubba, S.V. Cauda equina syndrome due to leptomeningeal carcinomatosis of the ovary. Gynecol. Oncol. 2008, 111, 544–545. [Google Scholar] [CrossRef]
- Krupa, M.; Byun, K. Leptomeningeal carcinomatosis and bilateral internal auditory canal metastases from ovarian carcinoma. Radiol. Case Rep. 2017, 12, 386–390. [Google Scholar] [CrossRef] [PubMed]
- Tahir, N.; Ram, A.; Jain, N.; Vemireddy, L.P.; Zahra, F. Leptomeningeal Carcinomatosis in Epithelial Ovarian Cancer: A Diagnostic Challenge. Cureus 2021, 13, e14440. [Google Scholar] [CrossRef]
- Montes de Oca Delgado, M.; Cacho Díaz, B.; Santos Zambrano, J.; Guerrero Juárez, V.; López Martínez, M.S.; Castro Martínez, E.; Avendaño Méndez-Padilla, J.; Mejía Pérez, S.; Reyes Moreno, I.; Gutiérrez Aceves, A.; et al. The Comparative Treatment of Intraventricular Chemotherapy by Ommaya Reservoir vs. Lumbar Puncture in Patients with Leptomeningeal Carcinomatosis. Front. Oncol. 2018, 8, 509. [Google Scholar] [CrossRef] [PubMed]
- National Comprehensive Cancer Network. Central Nervous System Cancers, v.2.2021. Available online: https://www.nccn.org (accessed on 21 April 2022).
- Straathof, C.S.; de Bruin, H.G.; Dippel, D.W.; Vecht, C.J. The diagnostic accuracy of magnetic resonance imaging and cerebrospinal fluid cytology in leptomeningeal metastasis. J. Neurol. 1999, 246, 810–814. [Google Scholar] [CrossRef]
- Chamberlain, M.C.; Glantz, M.; Groves, M.D.; Wilson, W.H. Diagnostic tools for neoplastic meningitis: Detecting disease, identifying patient risk, and determining benefit of treatment. Semin. Oncol. 2009, 36 (Suppl. 2), S35–S45. [Google Scholar] [CrossRef] [PubMed] [Green Version]
- Freilich, R.J.; Krol, G.; DeAngelis, L.M. Neuroimaging and cerebrospinal fluid cytology in the diagnosis of leptomeningeal metastasis. Ann. Neurol. 1995, 38, 51–57. [Google Scholar] [CrossRef]
- Wasserstrom, W.R.; Glass, J.P.; Posner, J.B. Diagnosis and treatment of leptomeningeal metastases from solidtumors: Experience with 90 patients. Cancer 1982, 49, 759–772. [Google Scholar] [CrossRef]
- Glantz, M.J.; Cole, B.F.; Glantz, L.K.; Cobb, J.; Mills, P.; Lekos, A.; Walters, B.C.; Recht, L.D. Cerebrospinal fluid cytology in patients with cancer: Minimizing false-negative results. Cancer 1998, 82, 733–739. [Google Scholar] [CrossRef]
- Le Rhun, E.; Weller, M.; Brandsma, D.; Van den Bent, M.; de Azambuja, E.; Henriksson, R.; Boulanger, T.; Peters, S.; Watts, C.; EANO Executive Board; et al. EANO-ESMO Clinical Practice Guidelines for diagnosis, treatment and follow-up of patients with leptomeningeal metastasis from solid tumours. Ann. Oncol. 2017, 28 (Suppl. 4), iv84–iv99. [Google Scholar] [CrossRef]
- Brower, J.V.; Saha, S.; Rosenberg, S.A.; Hullett, C.R.; Ian Robins, H. Management of leptomeningeal metastases: Prognostic factors and associated outcomes. J. Clin. Neurosci. 2016, 27, 130–137. [Google Scholar] [CrossRef]


| References | IT * Chmotherapy | Ommaya | Survival after Diagnosis of LM (Months) |
|---|---|---|---|
| Mayer | MTX | (−) | 4 |
| Mayer | Thio-tepa | (−) | 2 |
| Slosarek | (−) | 6 | |
| Kaufman | MTX | (−) | <2 |
| Bakri | MTX | (−) | <3 |
| Gordon | MTX | (+) | 15 |
| Behnam | (−) | 3 weeks | |
| Jackson | (−) | 2 days | |
| Stein | (−) | 1 | |
| Ross | (−) | 2 weeks | |
| Plaxe | MTX | (−) | 8 |
| Kamiya | MTX | (−) | 2 |
| Murphy | (−) | 3 days | |
| Khalil | MTX | (−) | 15 |
| Delord | MTX | (−) | <1 |
| Ohta | MTX, CDDP | (−) | >13 |
| Chung | (−) | 3 weeks | |
| al Barbarawi | (−) | 7 | |
| Yamanaka | MTX | (+) | >7 |
| Melichar | MTX, AraC | (+) | 1 |
| Goto | MTX | (+) | 18 |
| Baek | MTX | (−) | 8 |
| Eralp | (−) | 2 years | |
| Vitaliani | (−) | 3 weeks | |
| Hasegawa | (−) | 2 weeks | |
| Li | (−) | 3 weeks | |
| Toyoshima | (−) | 6 | |
| Toyoshima | (−) | 1 | |
| Toyoshima | (−) | 8 | |
| Krupa | not mentioned | not mentioned | |
| Tahir | (−) | 2 days |
Publisher’s Note: MDPI stays neutral with regard to jurisdictional claims in published maps and institutional affiliations. |
© 2022 by the authors. Licensee MDPI, Basel, Switzerland. This article is an open access article distributed under the terms and conditions of the Creative Commons Attribution (CC BY) license (https://creativecommons.org/licenses/by/4.0/).
Share and Cite
Takahara, K.; Katayama, M.; Tamura, R. Prolonged Survival and Restored Useful Life by Early Induction of Intrathecal Chemotherapy in a Patient with Leptomeningeal Carcinomatosis from Ovarian Cancer. Brain Sci. 2022, 12, 748. https://doi.org/10.3390/brainsci12060748
Takahara K, Katayama M, Tamura R. Prolonged Survival and Restored Useful Life by Early Induction of Intrathecal Chemotherapy in a Patient with Leptomeningeal Carcinomatosis from Ovarian Cancer. Brain Sciences. 2022; 12(6):748. https://doi.org/10.3390/brainsci12060748
Chicago/Turabian StyleTakahara, Kento, Makoto Katayama, and Ryota Tamura. 2022. "Prolonged Survival and Restored Useful Life by Early Induction of Intrathecal Chemotherapy in a Patient with Leptomeningeal Carcinomatosis from Ovarian Cancer" Brain Sciences 12, no. 6: 748. https://doi.org/10.3390/brainsci12060748
APA StyleTakahara, K., Katayama, M., & Tamura, R. (2022). Prolonged Survival and Restored Useful Life by Early Induction of Intrathecal Chemotherapy in a Patient with Leptomeningeal Carcinomatosis from Ovarian Cancer. Brain Sciences, 12(6), 748. https://doi.org/10.3390/brainsci12060748

