Sign in to use this feature.

Years

Between: -

Subjects

remove_circle_outline
remove_circle_outline
remove_circle_outline
remove_circle_outline
remove_circle_outline
remove_circle_outline
remove_circle_outline

Journals

Article Types

Countries / Regions

Search Results (40)

Search Parameters:
Keywords = infectious hematopoietic necrosis virus

Order results
Result details
Results per page
Select all
Export citation of selected articles as:
15 pages, 5144 KB  
Article
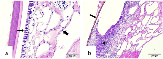
Insights on Minimizing False Positives in IHHNV Detection: Experiences from Ecuador’s Penaeus vannamei Aquaculture
by Pablo Intriago, Melany del Barco, María Mercedes Vásquez, Bolivar Montiel and Ronald Villamar
Int. J. Mol. Sci. 2025, 26(23), 11484; https://doi.org/10.3390/ijms262311484 - 27 Nov 2025
Viewed by 402
Abstract
Detection of infectious hypodermal and hematopoietic necrosis virus (IHHNV) in shrimp aquaculture is complicated by endogenous viral elements (EVEs) causing false positives in conventional PCR assays. This study analyzed 277 Penaeus vannamei samples from Ecuador using World Organization for Animal Health (WOAH)-recommended short-fragment [...] Read more.
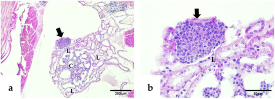
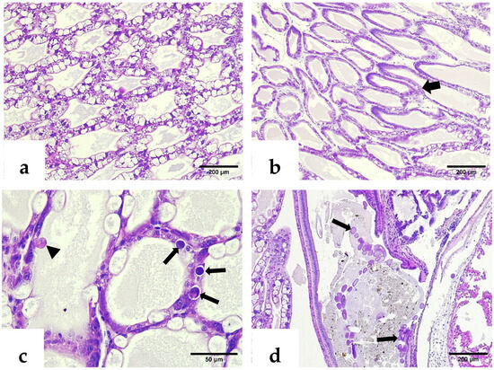
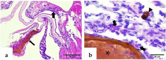
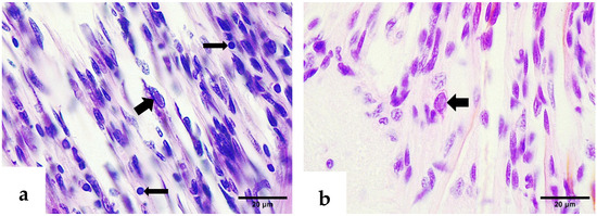
Detection of infectious hypodermal and hematopoietic necrosis virus (IHHNV) in shrimp aquaculture is complicated by endogenous viral elements (EVEs) causing false positives in conventional PCR assays. This study analyzed 277 Penaeus vannamei samples from Ecuador using World Organization for Animal Health (WOAH)-recommended short-fragment primers (IHHNV-309, -389, -392, -77012; ~1.5 kb amplicons) and long-amplicon PCR (LA-PCR; ~3.7 kb, 90% of the genome), complemented by histopathology. Short-fragment primers showed high positivity rates (72.9–83.0% individually; 69.3% combined), while LA-PCR reduced positives to 29.6%, with 95.1% overlap indicating true infections as a subset of conventional results. Approximately 55.6% of samples likely contained EVEs mimicking IHHNV, and 14.8% were true negatives. Histopathology confirmed classic IHHNV lesions (Cowdry A-type inclusions) in only one sample (0.36%), which also showed co-infections (hepatopancreatic atrophy, gregarines, and unidentified viral inclusions), suggesting multifactorial pathology. These findings highlight inflated IHHNV prevalence due to single-primer PCR, particularly in Ecuador, where reliance on WOAH-suggested primers (e.g., 389F/R) fails to distinguish infectious IHHNV from EVEs or confirm subclinical status, risking misattribution of losses to IHHNV while overlooking pathogens like Vibrio spp. We advocate LA-PCR and histopathology to enhance diagnostics and support sustainable shrimp fisheries. Full article
(This article belongs to the Special Issue Viral Biology: Infection and Pathology, Diagnosis and Treatment)
Show Figures

Figure 1

12 pages, 1952 KB  
Article
Development and Application of Infectious Hematopoietic Necrosis Virus Antigen-Specific DAS-ELISA Detection Method
by Jing-Zhuang Zhao, Min Wu, Li-Ming Xu, Yi-Zhi Shao, Wei-Tong Liu and Tong-Yan Lu
Fishes 2025, 10(10), 533; https://doi.org/10.3390/fishes10100533 - 20 Oct 2025
Viewed by 550
Abstract
Infectious hematopoietic necrosis virus (IHNV), a salmonid rhabdovirus, causes severe mortality exceeding 90% in both wild and farmed salmon and trout. Frequent outbreaks of IHNV highlight the urgent need for rapid detection methods to support effective prevention and control. This study developed a [...] Read more.
Infectious hematopoietic necrosis virus (IHNV), a salmonid rhabdovirus, causes severe mortality exceeding 90% in both wild and farmed salmon and trout. Frequent outbreaks of IHNV highlight the urgent need for rapid detection methods to support effective prevention and control. This study developed a double-antibody sandwich ELISA (DAS-ELISA) targeting the nucleocapsid (N) protein of IHNV. Two peptides derived from the N protein—selected for their strong antigenicity, high level of conservation, and surface accessibility—were used as immunogens to generate two specific monoclonal antibodies. Following optimization, the DAS-ELISA was established using monoclonal antibody N-15 as the capture antibody and horseradish peroxidase (HRP)-conjugated antibody N-106 as the detection antibody. The results of this study demonstrated that DAS-ELISA exhibited high specificity for multiple IHNV strains and showed no cross-reactivity with IPNV, SVCV, or VHSV. The detection sensitivity of DAS-ELISA for IHNV was determined to be 103 TCID50/mL. Parallel analysis of 293 clinical samples using DAS-ELISA and WOAH reference method demonstrated a concordance rate of 92.83% (κ = 0.856). These results confirm that the established DAS-ELISA exhibits high sensitivity, specificity, broad-spectrum applicability, and repeatability. In conclusion, this DAS-ELISA provides a reliable and efficient tool for high-throughput early detection of IHNV infection in clinical settings. Full article
(This article belongs to the Special Issue Advances in Rainbow Trout: 2nd Edition)
Show Figures

Figure 1

26 pages, 3208 KB  
Article
Efficacy of Three Vaccine Regimens Against Infectious Hematopoietic Necrosis Virus Transmission Potential in Rainbow Trout
by Juliette Doumayrou, Mary G. Frazier, Hannah N. Brown and Andrew R. Wargo
Vaccines 2025, 13(8), 864; https://doi.org/10.3390/vaccines13080864 - 15 Aug 2025
Viewed by 1738
Abstract
Background: Vaccination is often a highly effective approach for protecting against clinical disease and mortality caused by viruses. However, vaccine efficacy against viral transmission has rarely been assessed, which can provide vital information on the eradication efficacy and sustainability of vaccines in the [...] Read more.
Background: Vaccination is often a highly effective approach for protecting against clinical disease and mortality caused by viruses. However, vaccine efficacy against viral transmission has rarely been assessed, which can provide vital information on the eradication efficacy and sustainability of vaccines in the field. Methods: Here, we evaluated the host mortality, shedding, and direct fish-to-fish transmission protection efficacy of three vaccine regimens (DNA, inactivated, and attenuated) against infectious hematopoietic necrosis virus (IHNV) in rainbow trout. We quantified protection against single- and mixed-genotype IHNV infections when the vaccines were delivered by intramuscular injection, intraperitoneal injection, and bath immersion, respectively, to reflect field conditions. Results: All three vaccine regimens provided significant protection against fish mortality. The DNA vaccine regimen was qualitatively the most protective and the attenuated vaccine regimen the least. However, these three vaccines provided limited protection against viral shedding. Cumulative shedding over the course of the infection was only slightly reduced compared to unvaccinated fish. There was some indication that the viral genotype fish were exposed to influenced vaccine efficacy, perhaps as a result of genetic similarity to the vaccine strain. Likewise, the DNA vaccine reduced direct transmission in fish cohabitation experiments from 100% to 50%. The inactivated and attenuated vaccine had little impact on IHNV transmission. Conclusions: Collectively, our results suggest that existing IHNV vaccines that increase host survival provide minimal virus transmission protection in rainbow trout, which is likely to limit their long-term efficacy in the field. This work contributes to a growing body of evidence that enhancement of the transmission protection of IHNV and other vaccines will likely bolster disease reduction in the field. Full article
(This article belongs to the Section Veterinary Vaccines)
Show Figures

Graphical abstract

11 pages, 2222 KB  
Article
First Report of Bacterial Kidney Disease (BKD) Caused by Renibacterium salmoninarum in Chum Salmon (Oncorhynchus keta) Farmed in South Korea
by Kyoung-Hui Kong, In-Ha Gong, Sung-Ju Jung, Myung-Joo Oh, Myung-Hwa Jung, Hyun-Ja Han, Hyoung Jun Kim and Wi-Sik Kim
Microorganisms 2024, 12(11), 2329; https://doi.org/10.3390/microorganisms12112329 - 15 Nov 2024
Viewed by 2311
Abstract
In 2021, a prominent increase in mortality was observed in juvenile and subadult cultured chum salmon (Oncorhynchus keta) on a mariculture farm in Jeollanam-do Province, South Korea. The affected fish displayed distinct symptoms: pale gills, petechial hemorrhages in the muscles, and [...] Read more.
In 2021, a prominent increase in mortality was observed in juvenile and subadult cultured chum salmon (Oncorhynchus keta) on a mariculture farm in Jeollanam-do Province, South Korea. The affected fish displayed distinct symptoms: pale gills, petechial hemorrhages in the muscles, and white nodules on the kidneys. Infectious pancreatic necrosis virus (IPNV) was cultured from some fish samples using fish cell lines. Bacteria were isolated from various fish tissues using kidney disease medium-two (KDM-2) culture medium. By detecting and sequencing the 16S rRNA gene using DNA extracted from the kidneys of the infected fish via PCR, the isolated bacteria were identified as Renibacterium salmoninarum. Histopathological examination primarily focused on hematopoietic tissues of kidneys and revealed clear evidence of severe necrosis and granulomatous changes. Additionally, nuclei with peripherally displaced chromatin were abundant in the kidneys of affected fish. These findings suggest that mass mortality of chum salmon was caused by R. salmoninarum, which induced typical bacterial kidney disease (BKD) symptoms, without IPNV infection. This represents the first outbreak of BKD attributed to R. salmoninarum infection in farmed chum salmon in South Korea. Full article
(This article belongs to the Section Veterinary Microbiology)
Show Figures

Figure 1

22 pages, 7955 KB  
Article
Development and Evaluation of a Shrimp Virus (IHHNV)-Mediated Gene Transfer and Expression System for Shrimps
by Yiwen Tao, Jinwu Wang, Rui Xiao, Qingli Zhang and Huarong Guo
Int. J. Mol. Sci. 2024, 25(16), 8999; https://doi.org/10.3390/ijms25168999 - 19 Aug 2024
Cited by 1 | Viewed by 2243
Abstract
An efficient gene transfer and expression tool is lacking for shrimps and shrimp cells. To solve this, this study has developed a shrimp DNA virus-mediated gene transfer and expression system, consisting of insect Sf9 cells for viral packaging, the shrimp viral vector of [...] Read more.
An efficient gene transfer and expression tool is lacking for shrimps and shrimp cells. To solve this, this study has developed a shrimp DNA virus-mediated gene transfer and expression system, consisting of insect Sf9 cells for viral packaging, the shrimp viral vector of pUC19-IHHNV-PH-GUS and the baculoviral vector of Bacmid or Bacmid-VP28 encoding the shrimp WSSV envelope protein VP28. The pUC19-IHHNV-PH-GUS vector was constructed by assembling the genomic DNA of shrimp infectious hypodermal and hematopoietic necrosis virus (IHHNV), which has shortened inverted terminal repeats, into a pUC19 backbone, and then an expression cassette of baculoviral polyhedron (PH) promoter-driven GUS (β-glucuronidase) reporter gene was inserted immediately downstream of IHHNV for proof-of-concept. It was found that the viral vector of pUC19-IHHNV-PH-GUS could be successfully packaged into IHHNV-like infective virions in the Sf9 cells, and the gene transfer efficiency of this system was evaluated and verified in three systems of Sf9 cells, shrimp hemolymph cells and tissues of infected shrimps, but the GUS expression could only be detected in cases where the viral vector was co-transfected or co-infected with a baculovirus of Bacmid or Bacmid-VP28 due to the Bacmid-dependence of the PH promoter. Moreover, the packaging and infection efficiencies could be significantly improved when Bacmid-VP28 was used instead of Bacmid. Full article
(This article belongs to the Special Issue Virus Engineering and Applications: 2nd Edition)
Show Figures

Graphical abstract

34 pages, 15774 KB  
Review
Parvoviruses of Aquatic Animals
by Frederick Kibenge, Molly Kibenge, Marco Montes de Oca and Marcos Godoy
Pathogens 2024, 13(8), 625; https://doi.org/10.3390/pathogens13080625 - 26 Jul 2024
Cited by 6 | Viewed by 4934
Abstract
Family Parvoviridae consists of small, non-enveloped viruses with linear, single-stranded DNA genomes of approximately 4-6 kilobases, subdivided into three subfamilies, Parvovirinae, Densovirinae, and Hamaparvovirinae, and unassigned genus Metalloincertoparvovirus. Parvoviruses of aquatic animals infect crustaceans, mollusks, and finfish. This review describes [...] Read more.
Family Parvoviridae consists of small, non-enveloped viruses with linear, single-stranded DNA genomes of approximately 4-6 kilobases, subdivided into three subfamilies, Parvovirinae, Densovirinae, and Hamaparvovirinae, and unassigned genus Metalloincertoparvovirus. Parvoviruses of aquatic animals infect crustaceans, mollusks, and finfish. This review describes these parvoviruses, which are highly host-specific and associated with mass morbidity and mortality in both farmed and wild aquatic animals. They include Cherax quadricarinatus densovirus (CqDV) in freshwater crayfish in Queensland, Australia; sea star-associated densovirus (SSaDV) in sunflower sea star on the Northeastern Pacific Coast; Clinch densovirus 1 in freshwater mussels in the Clinch River, Virginia, and Tennessee, USA, in subfamily Densovirinae; hepatopancreatic parvovirus (HPV) and infectious hypodermal and hematopoietic necrosis virus (IHHNV) in farmed shrimp worldwide; Syngnathid ichthamaparvovirus 1 in gulf pipefish in the Gulf of Mexico and parts of South America; tilapia parvovirus (TiPV) in farmed tilapia in China, Thailand, and India, in the subfamily Hamaparvovirinae; and Penaeus monodon metallodensovirus (PmMDV) in Vietnamese P. monodon, in unassigned genus Metalloincertoparvovirus. Also included in the family Parvoviridae are novel parvoviruses detected in both diseased and healthy animals using metagenomic sequencing, such as zander parvovirus from zander in Hungary and salmon parvovirus from sockeye salmon smolts in British Columbia, Canada. Full article
Show Figures

Figure 1

14 pages, 2153 KB  
Article
Host miR-146a-3p Facilitates Replication of Infectious Hematopoietic Necrosis Virus by Targeting WNT3a and CCND1
by Jingwen Huang, Shihao Zheng, Qiuji Li, Hongying Zhao, Xinyue Zhou, Yutong Yang, Wenlong Zhang and Yongsheng Cao
Vet. Sci. 2024, 11(5), 204; https://doi.org/10.3390/vetsci11050204 - 8 May 2024
Cited by 1 | Viewed by 2269
Abstract
Infectious hematopoietic necrosis virus (IHNV) is a serious pathogen that causes great economic loss to the salmon and trout industry. Previous studies showed that IHNV alters the expression patterns of splenic microRNAs (miRNAs) in rainbow trout. Among the differentially expressed miRNAs, miRNA146a-3p was [...] Read more.
Infectious hematopoietic necrosis virus (IHNV) is a serious pathogen that causes great economic loss to the salmon and trout industry. Previous studies showed that IHNV alters the expression patterns of splenic microRNAs (miRNAs) in rainbow trout. Among the differentially expressed miRNAs, miRNA146a-3p was upregulated by IHNV. However, it is unclear how IHNV utilizes miRNA146a-3p to escape the immune response or promote viral replication. The present study suggested that one multiplicity of infection (MOI) of IHNV induced the most significant miR-146a-3p expression at 1 day post infection (dpi). The upregulation of miR-146a-3p by IHNV was due to viral N, P, M, and G proteins and relied on the interferon (IFN) signaling pathway. Further investigation revealed that Wingless-type MMTV integration site family 3a (WNT3a) and G1/S-specific cyclin-D1-like (CCND1) are the target genes of miRNA-146a-3p. The regulation of IHNV infection by miRNA-146a-3p is dependent on WNT3a and CCND1. MiRNA-146a-3p was required for the downregulation of WNT3a and CCND1 by IHNV. Moreover, we also found that WNT3a and CCND1 are novel proteins that induce the type-I IFN response in RTG-2 cells, and both of them could inhibit the replication of IHNV. Therefore, IHNV-induced upregulation of miRNA-146a-3p promotes early viral replication by suppressing the type-I IFN response by targeting WNT3a and CCND1. This work not only reveals the molecular mechanism of miRNA-146a-3p during IHNV infection but also provides new antiviral targets for IHNV. Full article
(This article belongs to the Section Veterinary Microbiology, Parasitology and Immunology)
Show Figures

Figure 1

16 pages, 3486 KB  
Article
Heterologous Exchanges of Glycoprotein and Non-Virion Protein in Novirhabdoviruses: Assessment of Virulence in Yellow Perch (Perca flavescens) and Rainbow Trout (Oncorhynchus mykiss)
by Vikram N. Vakharia, Arun Ammayappan, Shamila Yusuff, Tarin M. Tesfaye and Gael Kurath
Viruses 2024, 16(4), 652; https://doi.org/10.3390/v16040652 - 22 Apr 2024
Cited by 1 | Viewed by 1982
Abstract
Infectious hematopoietic necrosis virus (IHNV) and viral hemorrhagic septicemia virus (VHSV) are rhabdoviruses in two different species belonging to the Novirhabdovirus genus. IHNV has a narrow host range restricted to trout and salmon species, and viruses in the M genogroup of IHNV have [...] Read more.
Infectious hematopoietic necrosis virus (IHNV) and viral hemorrhagic septicemia virus (VHSV) are rhabdoviruses in two different species belonging to the Novirhabdovirus genus. IHNV has a narrow host range restricted to trout and salmon species, and viruses in the M genogroup of IHNV have high virulence in rainbow trout (Oncorhynchus mykiss). In contrast, the VHSV genotype IVb that invaded the Great Lakes in the United States has a broad host range, with high virulence in yellow perch (Perca flavescens), but not in rainbow trout. By using reverse-genetic systems of IHNV-M and VHSV-IVb strains, we generated six IHNV:VHSV chimeric viruses in which the glycoprotein (G), non-virion-protein (NV), or both G and NV genes of IHNV-M were replaced with the analogous genes from VHSV-IVb, and vice versa. These chimeric viruses were used to challenge groups of rainbow trout and yellow perch. The parental recombinants rIHNV-M and rVHSV-IVb were highly virulent in rainbow trout and yellow perch, respectively. Parental rIHNV-M was avirulent in yellow perch, and chimeric rIHNV carrying G, NV, or G and NV genes from VHSV-IVb remained low in virulence in yellow perch. Similarly, the parental rVHSV-IVb exhibited low virulence in rainbow trout, and chimeric rVHSV with substituted G, NV, or G and NV genes from IHNV-M remained avirulent in rainbow trout. Thus, the G and NV genes of either virus were not sufficient to confer high host-specific virulence when exchanged into a heterologous species genome. Some exchanges of G and/or NV genes caused a loss of host-specific virulence, providing insights into possible roles in viral virulence or fitness, and interactions between viral proteins. Full article
(This article belongs to the Special Issue The World of Rhabdoviruses)
Show Figures

Figure 1

11 pages, 1316 KB  
Article
Development of a Melting Curve-Based Triple Eva Green Real-Time PCR Assay for Simultaneous Detection of Three Shrimp Pathogens
by Xuan Dong, Yujin Chen, Haoyu Lou, Guohao Wang, Chengyan Zhou, Liying Wang, Xuan Li, Jingfei Luo and Jie Huang
Animals 2024, 14(4), 592; https://doi.org/10.3390/ani14040592 - 11 Feb 2024
Cited by 3 | Viewed by 5960
Abstract
Infections with Enterocytozoon hepatopenaei (EHP), infectious hypodermal and hematopoietic necrosis virus (IHHNV), and Decapod iridescent virus 1 (DIV1) pose significant challenges to the shrimp industry. Here, a melting curve-based triple real-time PCR assay based on the fluorescent dye Eva Green was established for [...] Read more.
Infections with Enterocytozoon hepatopenaei (EHP), infectious hypodermal and hematopoietic necrosis virus (IHHNV), and Decapod iridescent virus 1 (DIV1) pose significant challenges to the shrimp industry. Here, a melting curve-based triple real-time PCR assay based on the fluorescent dye Eva Green was established for the simultaneous detection of EHP, IHHNV, and DIV1. The assay showed high specificity, sensitivity, and reproducibility. A total of 190 clinical samples from Shandong, Jiangsu, Sichuan, Guangdong, and Hainan provinces in China were evaluated by the triple Eva Green real-time PCR assay. The positive rates of EHP, IHHNV, and DIV1 were 10.5%, 18.9%, and 44.2%, respectively. The samples were also evaluated by TaqMan qPCR assays for EHP, DIV1, and IHHNV, and the concordance rate was 100%. This illustrated that the newly developed triple Eva Green real-time PCR assay can provide an accurate method for the simultaneous detection of three shrimp pathogens. Full article
(This article belongs to the Special Issue Bacterial and Viral Diseases in Aquatic Animals)
Show Figures

Figure 1

17 pages, 7253 KB  
Article
RETRACTED: Andrographolide Alleviates Oxidative Damage and Inhibits Apoptosis Induced by IHNV Infection via CTSK/BCL2/Cytc Axis
by Qi Liu, Linfang Li, Jingzhuang Zhao, Guangming Ren, Tongyan Lu, Yizhi Shao and Liming Xu
Int. J. Mol. Sci. 2024, 25(1), 308; https://doi.org/10.3390/ijms25010308 - 25 Dec 2023
Cited by 3 | Viewed by 2346 | Retraction
Abstract
Infectious hematopoietic necrosis virus (IHNV) is an important pathogen that causes significant economic losses to salmon trout farming. Although vaccines have been invented for the treatment of IHNV, findings from our previous survey show that breeding enterprises and farmers require effective oral drugs [...] Read more.
Infectious hematopoietic necrosis virus (IHNV) is an important pathogen that causes significant economic losses to salmon trout farming. Although vaccines have been invented for the treatment of IHNV, findings from our previous survey show that breeding enterprises and farmers require effective oral drugs or immune enhancers. However, studies on the development of oral drugs are limited. In the present study, we used bioinformatics methods to predict the protein targets of andrographolide (Andro) in IHNV. Cells were infected with IHNV, and the effect of andrographolide was explored by evaluating the expression levels of genes implicated in oxidative stress, activities of antioxidant enzymes, and the expression of genes implicated in apoptosis and necrosis. In the present study, cells were divided into NC, IHNV, IHNV+10 μM andrographolide, and IHNV+20 μM andrographolide groups. qRT-PCR was performed to determine the expression level of genes, and an antioxidant enzyme detection kit was used to evaluate the activities of antioxidant enzymes. Fluorescent staining was performed using a reactive oxygen species detection kit (ROS) and Hoechst 33342/PI double staining kit, and the mechanism of alleviation of apoptosis and oxidative stress andrographolide after IHNV infection was determined. The results indicated that andrographolide inhibits viral growth by binding to the NV protein of IHNV and increasing the antioxidant capacity of the body through the CTSK/BCL2/Cytc axis, thereby inhibiting the occurrence of IHNV-induced apoptosis. This is the first study to explore the antagonistic mechanism of action of andrographolide in alleviating IHNV infection. The results provide valuable information on alternative strategies for the treatment of IHNV infection during salmon family and provide a reference for the use of andrographolide as an antioxidant agent in agricultural settings. Full article
(This article belongs to the Special Issue Protein–Protein Interactions: New Perspectives in Drug Discovery)
Show Figures

Figure 1

16 pages, 6432 KB  
Article
Teleost Eye Is the Portal of IHNV Entry and Contributes to a Robust Mucosal Immune Response
by Xinyou Wang, Guangyi Ding, Peng Yang, Gaofeng Cheng, Weiguang Kong and Zhen Xu
Int. J. Mol. Sci. 2024, 25(1), 160; https://doi.org/10.3390/ijms25010160 - 21 Dec 2023
Cited by 2 | Viewed by 2114
Abstract
The ocular mucosa (OM) is an important and unique part of the vertebrate mucosal immune system. The OM plays an important role in maintaining visual function and defending against foreign antigens or microorganisms, while maintaining a balance between the two through complex regulatory [...] Read more.
The ocular mucosa (OM) is an important and unique part of the vertebrate mucosal immune system. The OM plays an important role in maintaining visual function and defending against foreign antigens or microorganisms, while maintaining a balance between the two through complex regulatory mechanisms. However, the function of ocular mucosal defense against foreign pathogens and mucosal immune response in bony fish are still less studied. To acquire deeper understanding into the mucosal immunity of the OM in teleost fish, we established a study of the immune response of rainbow trout (Oncorhynchus mykiss) infected with the infectious hematopoietic necrosis virus (IHNV). Our findings revealed that IHNV could successfully infiltrate the trout’s OM, indicating that the OM could be an important portal for the IHNV. Furthermore, qPCR and RNA-Seq analysis results showed that a large number of immune-related genes were significantly upregulated in the OM of trout with IHNV infection. Critically, the results of our RNA-Seq analysis demonstrated that viral infection triggered a robust immune response, as evidenced by the substantial induction of antiviral, innate, and adaptive immune-related genes in the OM of infected fish, which underscored the essential role of the OM in viral infection. Overall, our findings revealed a previously unknown function of teleost OM in antiviral defense, and provided a theoretical basis for the study of the mucosal immunity of fish. Full article
(This article belongs to the Collection Feature Papers in Molecular Immunology)
Show Figures

Figure 1

7 pages, 1076 KB  
Brief Report
Prevalence of Infectious Hypodermal and Hematopoietic Necrosis Virus (IHHNV) in Farmed Procambarus clarkii of the Middle and Lower Reaches of the Yangtze River in China
by Feng Xu, Yongwei Wei, Jianfei Lu and Jiong Chen
Pathogens 2023, 12(8), 1038; https://doi.org/10.3390/pathogens12081038 - 14 Aug 2023
Cited by 7 | Viewed by 1962
Abstract
Procambarus clarkii is an important economic aquaculture species worldwide. Infectious hypodermal and hematopoietic necrosis virus (IHHNV) infects numerous crustacean hosts, including P. clarkii. However, there have been few reports on the prevalence of IHHNV in P. clarkii. In this study, 200 [...] Read more.
Procambarus clarkii is an important economic aquaculture species worldwide. Infectious hypodermal and hematopoietic necrosis virus (IHHNV) infects numerous crustacean hosts, including P. clarkii. However, there have been few reports on the prevalence of IHHNV in P. clarkii. In this study, 200 farmed P. clarkii were collected from Anhui, Jiangsu, Zhejiang, Hunan, Hubei, and Sichuan provinces in China. PCR detection was employed per the protocol by the World Organization for Animal Health (WOAH) to identify and detect the presence of IHHNV. The positive rate of IHHNV in different provinces ranged from 16.7 to 56.7%, and the overall IHHNV-positive rate was 38.5%. IHHNV strains isolated in this study related closely to infectious IHHNV and split into two major distinct branches. Besides, the IHHNV strains shared a high homology (93.4–99.4%). These findings suggest that a high prevalence of IHHNV was established in farmed P. clarkii in the middle and lower reaches of the Yangtze River. Full article
Show Figures

Figure 1

15 pages, 13100 KB  
Article
Coinfection with Yellow Head Virus Genotype 8 (YHV-8) and Oriental Wenrivirus 1 (OWV1) in Wild Penaeus chinensis from the Yellow Sea
by Jiahao Qin, Fanzeng Meng, Guohao Wang, Yujin Chen, Fan Zhang, Chen Li, Xuan Dong and Jie Huang
Viruses 2023, 15(2), 361; https://doi.org/10.3390/v15020361 - 27 Jan 2023
Cited by 4 | Viewed by 3214
Abstract
At present, there are few studies on the epidemiology of diseases in wild Chinese white shrimp Penaeus chinensis. In order to enrich the epidemiological information of the World Organisation for Animal Health (WOAH)-listed and emerging diseases in wild P. chinensis, we [...] Read more.
At present, there are few studies on the epidemiology of diseases in wild Chinese white shrimp Penaeus chinensis. In order to enrich the epidemiological information of the World Organisation for Animal Health (WOAH)-listed and emerging diseases in wild P. chinensis, we collected a total of 37 wild P. chinensis from the Yellow Sea in the past three years and carried out molecular detection tests for eleven shrimp pathogens. The results showed that infectious hypodermal and hematopoietic necrosis virus (IHHNV), Decapod iridescent virus 1 (DIV1), yellow head virus genotype 8 (YHV-8), and oriental wenrivirus 1 (OWV1) could be detected in collected wild P. chinensis. Among them, the coexistence of IHHNV and DIV1 was confirmed using qPCR, PCR, and sequence analysis with pooled samples. The infection with YHV-8 and OWV1 in shrimp was studied using molecular diagnosis, phylogenetic analysis, and transmission electron microscopy. It is worth highlighting that this study revealed the high prevalence of coinfection with YHV-8 and OWV1 in wild P. chinensis populations and the transmission risk of these viruses between the wild and farmed P. chinensis populations. This study enriches the epidemiological information of WOAH-listed and emerging diseases in wild P. chinensis in the Yellow Sea and raises concerns about biosecurity issues related to wild shrimp resources. Full article
(This article belongs to the Special Issue State-of-the-Art Aquatic Viruses Research in China)
Show Figures

Figure 1

11 pages, 3049 KB  
Article
Viral Capsid Change upon Encapsulation of Double-Stranded DNA into an Infectious Hypodermal and Hematopoietic Necrosis Virus-like Particle
by Wattana Weerachatyanukul, Pauline Kiatmetha, Ponlawoot Raksat, Supawich Boonkua, Orawan Thongsum, Pitchanee Jariyapong, Charoonroj Chotwiwatthanakun, Puey Ounjai and Zoltan Metlagel
Viruses 2023, 15(1), 110; https://doi.org/10.3390/v15010110 - 30 Dec 2022
Cited by 1 | Viewed by 2374
Abstract
In this study, we aimed to encapsulate the sizable double-stranded DNA (dsDNA, 3.9 kbp) into a small-sized infectious hypodermal and hematopoietic necrosis virus-like particle (IHHNV-VLP; T = 1) and compared the changes in capsid structure between dsDNA-filled VLP and empty VLP. Based on [...] Read more.
In this study, we aimed to encapsulate the sizable double-stranded DNA (dsDNA, 3.9 kbp) into a small-sized infectious hypodermal and hematopoietic necrosis virus-like particle (IHHNV-VLP; T = 1) and compared the changes in capsid structure between dsDNA-filled VLP and empty VLP. Based on our encapsulation protocol, IHHNV-VLP was able to load dsDNA at an efficiency of 30–40% (w/w) into its cavity. Structural analysis revealed two subclasses of IHHNV-VLP, so-called empty and dsDNA-filled VLPs. The three-dimensional (3D) structure of the empty VLP produced in E. coli was similar to that of the empty IHHNV-VLP produced in Sf9 insect cells. The size of the dsDNA-filled VLP was slightly bigger (50 Å) than its empty VLP counterpart; however, the capsid structure was drastically altered. The capsid was about 1.5-fold thicker due to the thickening of the capsid interior, presumably from DNA–capsid interaction evident from capsid protrusions or nodules on the interior surface. In addition, the morphological changes of the capsid exterior were particularly observed in the vicinity of the five-fold axes, where the counter-clockwise twisting of the “tripod” structure at the vertex of the five-fold channel was evident, resulting in a widening of the channel’s opening. Whether these capsid changes are similar to virion capsid maturation in the host cells remains to be investigated. Nevertheless, the ability of IHHNV-VLP to encapsulate the sizable dsDNA has opened up the opportunity to package a dsDNA vector that can insert exogenous genes and target susceptible shrimp cells in order to halt viral infection. Full article
Show Figures

Figure 1

14 pages, 2729 KB  
Article
Development and Visualization Improvement for the Rapid Detection of Decapod Iridescent Virus 1 (DIV1) in Penaeus vannamei Based on an Isothermal Recombinase Polymerase Amplification Assay
by Yajin Xu, Yan Wang, Jingjie Hu, Zhenmin Bao and Mengqiang Wang
Viruses 2022, 14(12), 2752; https://doi.org/10.3390/v14122752 - 9 Dec 2022
Cited by 19 | Viewed by 3151
Abstract
Viral diseases have seriously restricted the healthy development of aquaculture, and decapod iridescent virus 1 (DIV1) has led to heavy losses in the global shrimp aquaculture industry. Due to the lack of effective treatment, early detection and regular monitoring are the most effective [...] Read more.
Viral diseases have seriously restricted the healthy development of aquaculture, and decapod iridescent virus 1 (DIV1) has led to heavy losses in the global shrimp aquaculture industry. Due to the lack of effective treatment, early detection and regular monitoring are the most effective ways to avoid infection with DIV1. In this study, a novel real-time quantitative recombinase polymerase amplification (qRPA) assay and its instrument-free visualization improvement were described for the rapid detection of DIV1. Optimum primer pairs, suitable reaction temperatures, and probe concentrations of a DIV1-qRPA assay were screened to determine optimal reaction conditions. Then, its ability to detect DIV1 was evaluated and compared with real-time quantitative polymerase chain reactions (qPCRs). The sensitivity tests demonstrated that the limit of detection (LOD) of the DIV1-qRPA assay was 1.0 copies μL−1. Additionally, the presentation of the detection results was improved with SYBR Green I, and the LOD of the DIV1-RPA-SYBR Green I assay was 1.0 × 103 copies μL−1. Both the DIV1-qRPA and DIV1-RPA-SYBR Green I assays could be performed at 42 °C within 20 min and without cross-reactivity with the following: white spot syndrome virus (WSSV), Vibrio parahaemolyticus associated with acute hepatopancreatic necrosis disease (VpAHPND), Enterocytozoon hepatopenaei (EHP), and infectious hypodermal and hematopoietic necrosis virus (IHHNV). In conclusion, this approach yields rapid, straightforward, and simple DIV1 diagnoses, making it potentially valuable as a reliable tool for the detection and prevention of DIV1, especially where there is a paucity of laboratory equipment. Full article
Show Figures

Figure 1

Back to TopTop