Insights on Minimizing False Positives in IHHNV Detection: Experiences from Ecuador’s Penaeus vannamei Aquaculture
Abstract
1. Introduction
1.1. General Background
1.2. IHHNV Characteristics and Historical Impact
1.3. Diagnostic Challenges and Genotypic Variability
Ecuadorian Industry Resilience and Implications for SPF Certification and Trade
2. Results
2.1. PCR Results
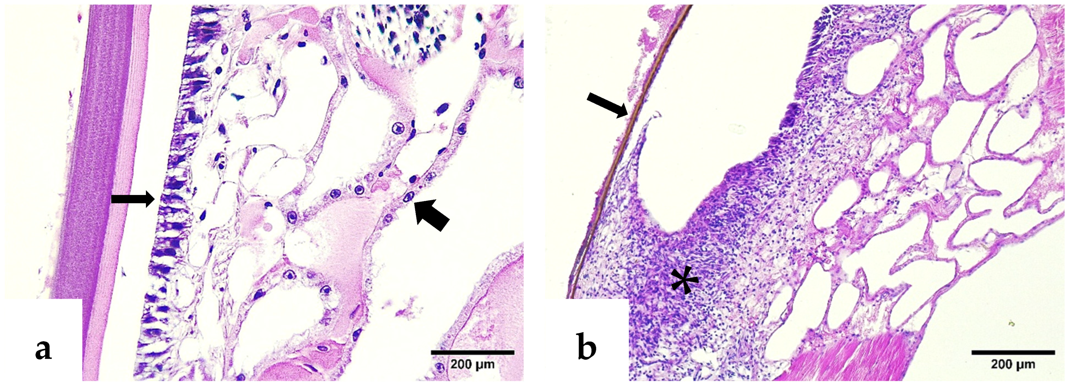
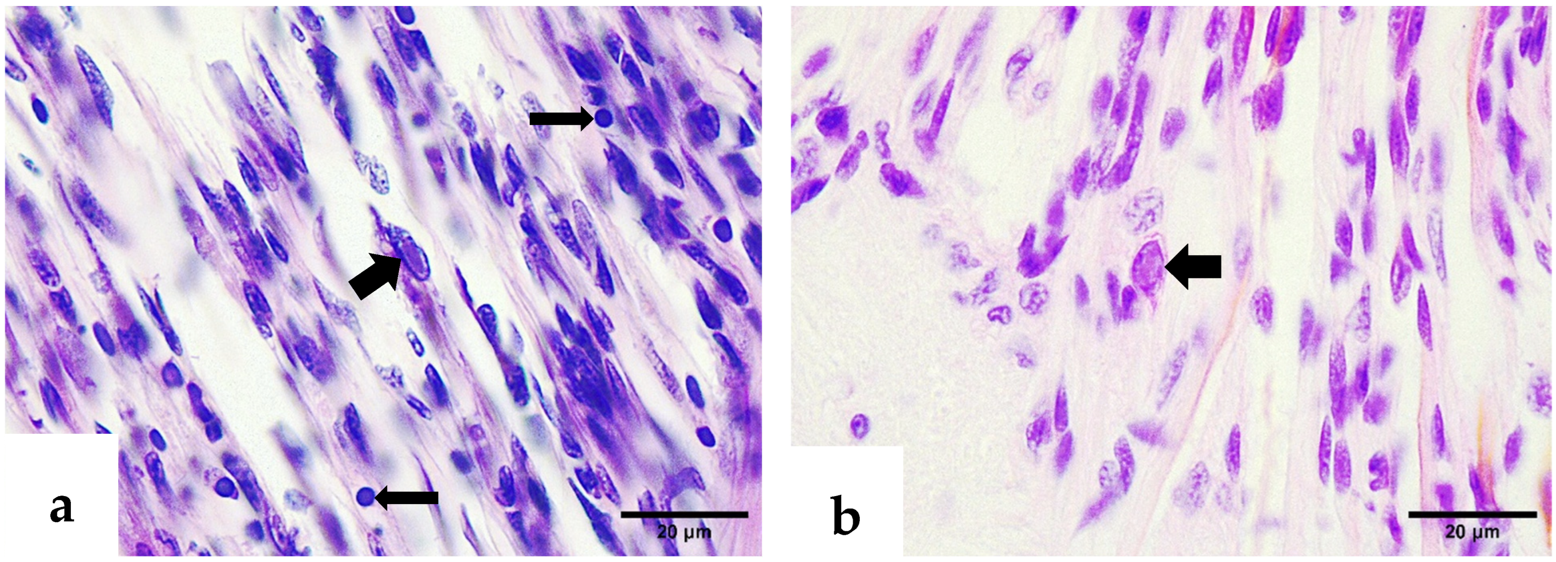
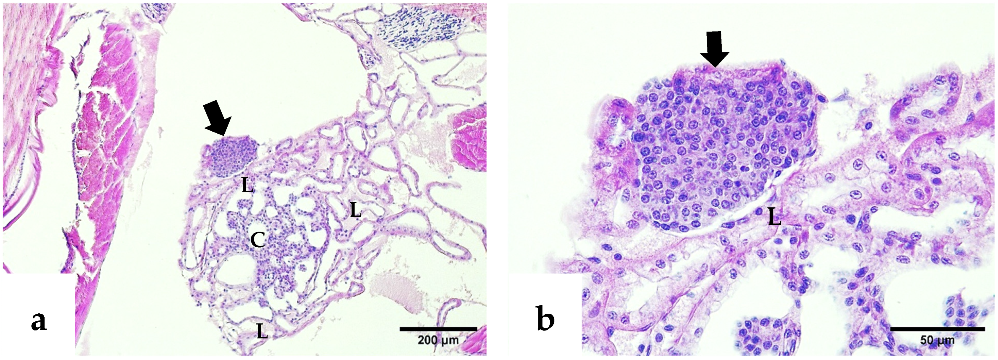
2.2. Histopathology Results
3. Discussion
4. Materials and Methods
4.1. Sample Collection
4.2. DNA Extraction
4.3. PCR Methods Used
4.4. Histopathology
5. Conclusions
Supplementary Materials
Author Contributions
Funding
Institutional Review Board Statement
Informed Consent Statement
Data Availability Statement
Conflicts of Interest
References
- Pénzes, J.J.; Söderlund-Venermo, M.; Canuti, M.; Eis-Hübinger, A.M.; Hughes, J.; Cotmore, S.F.; Harrach, B. Reorganizing the Family Parvoviridae: A Revised Taxonomy Independent of the Canonical Approach Based on Host Association. Arch. Virol. 2020, 165, 2133–2146. [Google Scholar] [CrossRef] [PubMed]
- Sritunyalucksana, K.; Sanguanrut, P.; Srisala, J.; Thawonsuwan, J.; Saleetid, N.; Vanichviriyakit, R.; Chotwiwatthanakun, C.; Flegel, T.W.; Taengchaiyaphum, S. No Single PCR Test Is Sufficient to Determine Parvovirus IHHNV Presence in or Impact on Farmed Shrimp Production. J. World Aquac. Soc. 2025, 56, e70046. [Google Scholar] [CrossRef]
- World Organization for Animal Health. IHHNV. In Manual of Diagnostic Tests for Aquatic Animals; World Organization for Animal Health: Paris, France, 2019. [Google Scholar]
- Rai, P.; Pradeep, B.; Safeena, M.P.; Karunasagar, I.; Karunasagar, I. Simultaneous Presence of Infectious Hypodermal and Hematopoietic Necrosis Virus (IHHNV) and Type A Virus-Related Sequence in Penaeus monodon from India. Aquaculture 2009, 295, 168–174. [Google Scholar] [CrossRef]
- Imsonpang, S.; Pudgerd, A.; Chotwiwatthanakun, C.; Srisala, J.; Sanguanrut, P.; Kasamechotchung, C.; Sritunyalucksana, K.; Taengchaiyaphum, S.; Vanichviriyakit, R. Confirmatory Test of Active IHHNV Infection in Shrimp by Immunohistochemistry and IHHNV-LongAmp PCR. J. Fish Dis. 2024, 47, e13905. [Google Scholar] [CrossRef]
- Lightner, D.V.; Redman, R.M.; Bell, T.A.; Brock, J.A. Detection of IHHN Virus in Penaeus stylirostris and P. vannamei Imported into Hawaii. J. World Maric. Soc. 1983, 14, 212–225. [Google Scholar] [CrossRef]
- Lightner, D.V.; Redman, R.M.; Bell, T.A. Infectious Hypodermal and Hematopoietic Necrosis, a Newly Recognized Virus Disease of Penaeid Shrimp. J. Invertebr. Pathol. 1983, 42, 62–70. [Google Scholar] [CrossRef] [PubMed]
- Arbon, P.M.; Martinez, A.; Garrett, M.; Jerry, D.R.; Condon, K. Determining patterns of tissue tropism for IHHNV, GAV, YHV-7 infection in giant black tiger shrimp (Penaeus monodon) using real-time, RT-qPCR. Aquaculture 2024, 584, 740680. [Google Scholar] [CrossRef]
- Kalagayan, H.; Godin, D.; Kanna, R.; Hagino, G.; Sweeney, J.; Wyban, J.; Brock, J. IHHN Virus as an Etiological Factor in Runt-Deformity-Syndrome of Juvenile Penaeus vannamei Cultured in Hawaii. J. World Aquac. Soc. 1991, 22, 235–243. [Google Scholar] [CrossRef]
- Bell, T.A.; Lightner, D.V. IHHN Virus: Infectivity and Pathogenicity Studies in Penaeus stylirostris and Penaeus vannamei. Aquaculture 1984, 38, 185–194. [Google Scholar] [CrossRef]
- Owens, L.; Anderson, I.; Kenway, M.; Trott, L.; Benzie, J. Infectious hypodermal and haematopoietic necrosis virus (IHHNV) in an interspecies hybrid penaeid prawn from tropical Australia. Dis. Aquat. Org. 1992, 14, 219–278. [Google Scholar] [CrossRef]
- Krabsetsve, K.; Cullen, B.; Owens, L. Rediscovery of the Australian strain of infectious hypodermal and haematopoietic necrosis virus. Dis. Aquat. Org. 2004, 61, 153–158. [Google Scholar] [CrossRef] [PubMed]
- Sellars, M.J.; Cowley, J.A.; Musson, D.; Rao, M.; Menzies, M.L.; Coman, G.J.; Murphy, B.S. Reduced growth performance of Black Tiger shrimp (Penaeus monodon) infected with infectious hypodermal and hematopoietic necrosis virus. Aquaculture 2019, 499, 160–166. [Google Scholar] [CrossRef]
- Tang, K.F.J.; Lightner, D.V. Infectious Hypodermal and Hematopoietic Necrosis Virus (IHHNV) in the Genome of the Black Tiger Prawn Penaeus monodon from Africa and Australia. Virus Res. 2006, 118, 185–191. [Google Scholar] [CrossRef]
- Cowley, J.A.; Rao, M.; Coman, G. Real-time PCR tests to specifically detect IHHNV lineages and an IHHNV EVE integrated in the genome of Penaeus monodon. Dis. Aquat. Org. 2018, 129, 145–158. [Google Scholar] [CrossRef] [PubMed]
- Jimenez, J.; Barniol, R.; de Barniol, L.; Machuca, M. Infection of IHHN Virus in Two Species of Cultured Penaeoid Shrimp Litopenaeus vannamei (Boone) and Litopenaeus stylirostris (Stimpson) in Ecuador during El Niño 1997-98. Aquac. Res. 1999, 30, 695–705. [Google Scholar] [CrossRef]
- Huerlimann, R.; Cowley, J.A.; Wade, N.M.; Wang, Y.; Kasinadhuni, N.; Chan, C.-K.K.; Jabbari, J.S.; Siemering, K.; Gordon, L.; Tinning, M.; et al. Genome Assembly of the Australian Black Tiger Shrimp (Penaeus monodon) Reveals a Novel Fragmented IHHNV EVE Sequence. G3 Genes Genomes Genet. 2022, 12, jkac034. [Google Scholar] [CrossRef]
- Tang, K.F.; Durand, S.V.; White, B.L.; Redman, R.M.; Pantoja, C.R.; Lightner, D.V. Postlarvae and Juveniles of a Selected Line of Penaeus stylirostris Are Resistant to Infectious Hypodermal and Hematopoietic Necrosis Virus Infection. Aquaculture 2000, 190, 203–210. [Google Scholar] [CrossRef]
- Tang, K.F.J.; Navarro, S.A.; Lightner, D.V. PCR Assay for Discriminating between Infectious Hypodermal and Hematopoietic Necrosis Virus (IHHNV) and the Virus-Related Sequences in the Genome of Penaeus monodon. Dis. Aquat. Org. 2007, 74, 165–170. [Google Scholar] [CrossRef]
- Taengchaiyaphum, S.; Wongkhaluang, P.; Sittikankaew, K.; Karoonuthaisiri, N.; Flegel, T.W.; Sritunyalucksana, K. Shrimp Genome Sequence Contains Independent Clusters of Ancient and Current Endogenous Viral Elements (EVE) of the Parvovirus IHHNV. BMC Genom. 2022, 23, 565. [Google Scholar] [CrossRef]
- Nunan, L.M.; Poulos, B.T.; Lightner, D.V. Use of Polymerase Chain Reaction (PCR) for the Detection of Infectious Hypodermal and Hematopoietic Necrosis Virus (IHHNV) in Penaeid Shrimp. Mar. Biotechnol. 2000, 2, 319–328. [Google Scholar] [CrossRef]
- Brock, J.A.; Intriago, P.; Medina, A. OIE Should Eliminate IHHNV as a Reportable Farmed Shrimp Pathogen. Responsible Seaf. Advocate 2022, 16, 1–8. [Google Scholar]
- Intriago, P.; Medina, A.; Cercado, N.; Arteaga, K.; Montenegro, A.; Burgos, M.; Espinoza, J.; Brock, J.A.; McIntosh, R.; Flegel, T. Passive Surveillance for Shrimp Pathogens in Penaeus vannamei Submitted from Three Regions of Latin America. Aquac. Rep. 2024, 36, 102092. [Google Scholar] [CrossRef]
- Intriago, P.; Montiel, B.; Valarezo, M.; Gallardo, J.; Cataño, Y. Advanced Pathogen Monitoring in Penaeus vannamei from Three Latin American Regions: Passive Surveillance Part 2. Viruses 2025, 17, 187. [Google Scholar] [CrossRef]
- Caro, L.F.A.; Gomez-Sanchez, M.M.; Piedrahita, Y.; Mai, H.N.; Cruz-Flores, R.; Alenton, R.R.R.; Dhar, A.K. Current Status of Infection with Infectious Hypodermal and Hematopoietic Necrosis Virus (IHHNV) in the Peruvian and Ecuadorian Shrimp Industry. PLoS ONE 2022, 17, e0272456. [Google Scholar] [CrossRef]
- Saksmerprome, V.; Jitrakorn, S.; Chayaburakul, K.; Laiphrom, S.; Boonsua, K.; Flegel, T.W. Additional Random, Single to Multiple Genome Fragments of Penaeus stylirostris Densovirus in the Giant Tiger Shrimp Genome Have Implications for Viral Disease Diagnosis. Virus Res. 2011, 160, 180–190. [Google Scholar] [CrossRef] [PubMed]
- Utari, H.B.; Soowannayan, C.; Flegel, T.W.; Whityachumnarnkul, B.; Kruatrachue, M. Variable RNA Expression from Recently Acquired, Endogenous Viral Elements (EVE) of White Spot Syndrome Virus (WSSV) in Shrimp. Dev. Comp. Immunol. 2017, 76, 370–379. [Google Scholar] [CrossRef]
- Alday-Sanz, V.; Brock, J.; Flegel, T.W.; McIntosh, R.; Bondad-Reantaso, M.G.; Salazar, M.; Subasinghe, R. Facts, Truths and Myths about SPF Shrimp in Aquaculture. Rev. Aquac. 2020, 12, 76–84. [Google Scholar] [CrossRef]
- Brock, J.A.; Antonio, N.; Argue, B. Genomic IHHN-Related DNA Sequences in Black Tiger Shrimp. Glob. Aquac. Advocate 2013, 16, 40–44. [Google Scholar]
- Caicedo, J.A.; Vásquez, G.M.; Calderón, C.P.; Celis, E.; Castro, J.-N.; Araujo-Junior, J.; Mai, H.N.; Dhar, A.K. A Case Report about the Detection of Infectious Hypodermal and Hematopoietic Necrosis Virus (IHHNV) in Shrimp Displaying No Clinical Signs or Histopathological Lesions from Farms on Colombia’s North Coast. J. Invertebr. Pathol. 2025, 212, 108382. [Google Scholar] [CrossRef]
- Zhong, X.; Yuan, J.; Zhang, X.; Li, S.; Liu, C.; Si, S.; Hu, J.; Prachumwat, A.; Sritunyalucksana, K.; Li, F. Dynamic Integration and Evolutionary Trajectory of Endogenous IHHNV Elements in Crustacean Genomes. DNA Res. 2025, 32, dsaf018. [Google Scholar] [CrossRef]
- Jitrakorn, S.; Arunrut, N.; Sanguanrut, P.; Flegel, T.W.; Kiatpathomchai, W.; Saksmerprome, V. In Situ DIG-Labeling, Loop-Mediated DNA Amplification (ISDL) for Highly Sensitive Detection of Infectious Hypodermal and Hematopoietic Necrosis Virus (IHHNV). Aquaculture 2016, 456, 36–43. [Google Scholar] [CrossRef]
- Jaroenram, W.; Owens, L. Recombinase polymerase amplification combined with a lateral flow dipstick for discriminating between infectious Penaeus stylirostris densovirus and virus-related sequences in shrimp genome. J. Virol. Methods 2014, 208, 144–151. [Google Scholar] [CrossRef]
- Arreguín-Sánchez, F.; Pérez-Quiñónez, C.I.; Hernández-López, A.; Chávez-Herrera, D. The challenge of assessing the state of exploitation of short-lived fishery resources with limited data: The blue shrimp (Penaeus stylirostris) fishery in the Gulf of California, Mexico. Front. Mar. Sci. 2023, 10, 1245657. [Google Scholar] [CrossRef]
- García Borbón, J.A.; Rábago Quiroz, C.H.; Barrón Barraza, F.J. Mexico Baja California Sur Blue Brown Shrimp—Bottom Trawl/Cast Net] Fishery Improvement Project (FIP) Technical Report on the Status Productivity Management Recommendations for the Bahía Magdalena-Almejas Shrimp Fishery, B.C.S. Instituto Nacional de Pesca y Acuacultura, Dirección General de Investigación Pesquera en el Pacifico Central Regional de Investigación Acuícola y Pesquera la Paz. 2021. Available online: https://fisheryprogress.org/sites/default/files/documents_actions/Mexico%20Baja%20California%20Sur%20blue%20and%20brown%20shrimp-TechnicalReport-CloseSeason2022.pdf (accessed on 10 October 2025).
- Aranceta-Garza, F.; Arreguín-Sánchez, F.; Ponce-Díaz, G.; Seijo, J.C. Natural mortality of three commercial penaeid shrimps (Litopenaeus vannamei, L. stylirostris and Farfantepenaeus californiensis) of the Gulf of California using gnomonic time divisions. Sci. Mar. 2016, 80, 199–206. [Google Scholar] [CrossRef]
- Fernando, A.-G.; Francisco, A.-S.; Carlos, S.J.; Germán, P.-D.; Daniel, L.-C.; del Monte-Luna, P. Determination of catchability-at-age for the Mexican Pacific shrimp fishery in the southern Gulf of California. Reg. Stud. Mar. Sci. 2020, 33, 100967. [Google Scholar] [CrossRef]
- Avilés-Polanco, G.; Almendarez-Hernández, M.A.; Beltrán-Morales, L.F.; Aranceta-Garza, F. Cost Efficiencies of the Shrimp Fishery in Mexico: A Stochastic Frontier Analysis. Fishes 2023, 8, 472. [Google Scholar] [CrossRef]
- Bell, T.A.; Donald, V.L. A Handbook of Normal Penaeid Shrimp Histology; The World Aquaculture Society: Baton Rouge, LA, USA, 1988; ISBN 0-935868-37-2. [Google Scholar]
- Suvarna, S.K.; Layton, C.; John, D.B. Bancroft’s Theory and Practice of Histological Techniques, 8th ed.; Elsevier: Amsterdam, The Netherlands, 2019; ISBN 978-0-7020-6864-5. [Google Scholar]








| Method | Sequences (5′–3′) | Product Lenght | Ta °C | PCR Conditions |
|---|---|---|---|---|
| IHHNV 309 F/R | (5′-TCCAACACTTAGTCAAAACCAA-3′) (5′-TGTCTGCTACG ATGATTATCCA-3′) | 309 bp | 55 | 94 °C 30 seg 35 cycles in 94 °C 30 seg, 55 °C 30 seg, 72 °C 30 seg final 72° 7 min. |
| IHHNV 389 F/R | (5′-CGG AAC ACA ACC CGA CTT TA-3′) (5′-GGC CAA GAC CAA AAT ACG AA-3′) | 389 bp | 60 | 95 °C 5 min 35 cycles in 95 °C 30 seg, 60 °C 30 seg, 72 °C 1 min final 72° 7 min. |
| IHHNV 392 F/R | (5′-GGG CGA ACC AGA ATC ACT TA-3′) (5′-ATC CGG AGG AAT CTG ATG TG-3′) | 392 bp | 60 | |
| IHHNV 77012F/77353R | (5′-ATC-GGT-GCA-CTA-CTC-GGA-3′) (5′-TCG-TAC-TGG-CTG-TTC-ATC-3′) | 356 bp | 60 | |
| LA First 3665 F/R | (5′-CCCAGTTTCTAACTGACGAGTGAAGAGG-3′) (5′-CCTGACTCTAAATGACTGACTGACGATAGGG-3′) | 3665 bp | 62 | 94° 30 seg 35 cycles 94° 30 seg, 62° 30 seg, 72° 2 min 30 seg final 72° 10 min |
| LA Nested 1044 F/R | (5′-ACAGATGTCTACAATTCAAT-3′) (5′-AATAGTAGAGAAGTGTCCC-3′) | 1044 bp | 55 | 95° 1 min 35 cycles 95° 30 seg, 55° 30 seg, 72° 1 min final 72° 5 min |
Disclaimer/Publisher’s Note: The statements, opinions and data contained in all publications are solely those of the individual author(s) and contributor(s) and not of MDPI and/or the editor(s). MDPI and/or the editor(s) disclaim responsibility for any injury to people or property resulting from any ideas, methods, instructions or products referred to in the content. |
© 2025 by the authors. Licensee MDPI, Basel, Switzerland. This article is an open access article distributed under the terms and conditions of the Creative Commons Attribution (CC BY) license (https://creativecommons.org/licenses/by/4.0/).
Share and Cite
Intriago, P.; del Barco, M.; Vásquez, M.M.; Montiel, B.; Villamar, R. Insights on Minimizing False Positives in IHHNV Detection: Experiences from Ecuador’s Penaeus vannamei Aquaculture. Int. J. Mol. Sci. 2025, 26, 11484. https://doi.org/10.3390/ijms262311484
Intriago P, del Barco M, Vásquez MM, Montiel B, Villamar R. Insights on Minimizing False Positives in IHHNV Detection: Experiences from Ecuador’s Penaeus vannamei Aquaculture. International Journal of Molecular Sciences. 2025; 26(23):11484. https://doi.org/10.3390/ijms262311484
Chicago/Turabian StyleIntriago, Pablo, Melany del Barco, María Mercedes Vásquez, Bolivar Montiel, and Ronald Villamar. 2025. "Insights on Minimizing False Positives in IHHNV Detection: Experiences from Ecuador’s Penaeus vannamei Aquaculture" International Journal of Molecular Sciences 26, no. 23: 11484. https://doi.org/10.3390/ijms262311484
APA StyleIntriago, P., del Barco, M., Vásquez, M. M., Montiel, B., & Villamar, R. (2025). Insights on Minimizing False Positives in IHHNV Detection: Experiences from Ecuador’s Penaeus vannamei Aquaculture. International Journal of Molecular Sciences, 26(23), 11484. https://doi.org/10.3390/ijms262311484

