Sign in to use this feature.

Years

Between: -

Subjects

remove_circle_outline
remove_circle_outline
remove_circle_outline
remove_circle_outline
remove_circle_outline
remove_circle_outline
remove_circle_outline
remove_circle_outline
remove_circle_outline

Journals

remove_circle_outline
remove_circle_outline
remove_circle_outline
remove_circle_outline
remove_circle_outline
remove_circle_outline
remove_circle_outline
remove_circle_outline
remove_circle_outline
remove_circle_outline
remove_circle_outline
remove_circle_outline
remove_circle_outline
remove_circle_outline
remove_circle_outline
remove_circle_outline
remove_circle_outline
remove_circle_outline

Article Types

Countries / Regions

remove_circle_outline
remove_circle_outline
remove_circle_outline
remove_circle_outline
remove_circle_outline
remove_circle_outline
remove_circle_outline
remove_circle_outline

Search Results (2,158)

Search Parameters:
Keywords = in vivo screening

Order results
Result details
Results per page
Select all
Export citation of selected articles as:
12 pages, 1880 KB  
Article
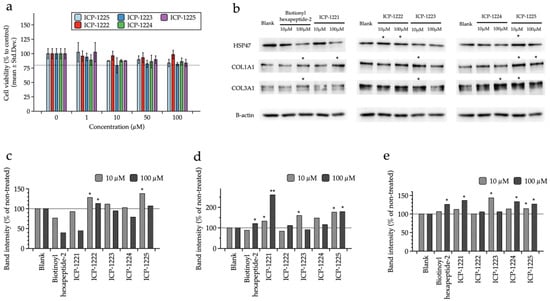
Development of New Anti-Wrinkle Peptide Using Cheminformatics-Assisted Peptidomimetic Design
by Soyoon Baek, Sekyoo Jeong, Seokjeong Yoon, Yeonjae Kim, Sungwoo Kim, Hwa-Jee Chung, Hyun-Jung Kim, In Ki Hong and Gaewon Nam
Cosmetics 2025, 12(6), 260; https://doi.org/10.3390/cosmetics12060260 (registering DOI) - 15 Nov 2025
Abstract
Peptides are recognized as multifunctional bioactive ingredients in cosmetic science, as they offer diverse beneficial effects such as skin rejuvenation, anti-aging, and skin barrier enhancement. In this study, we applied a cheminformatics-assisted peptidomimetic design platform to design novel peptides targeting heat shock protein [...] Read more.
Peptides are recognized as multifunctional bioactive ingredients in cosmetic science, as they offer diverse beneficial effects such as skin rejuvenation, anti-aging, and skin barrier enhancement. In this study, we applied a cheminformatics-assisted peptidomimetic design platform to design novel peptides targeting heat shock protein 47 (Hsp47), a collagen-specific molecular chaperone that is downregulated during skin aging. Using molecular fingerprint similarity-based peptide design and protein–peptide docking simulations, five candidate peptides were screened, among which ICP-1225 (TY) emerged as a potent stimulator of Hsp47 and collagen (COL1A1 and COL3A1) expression in dermal fibroblasts. To improve stability and skin penetration, fatty acid-conjugated derivatives of ICP-1225 were synthesized, and acetyl-TY (ICP-1236) demonstrated the most consistent upregulation of Hsp47 and collagen in vitro. Restoration of Hsp47 protein expression and dermal collagen levels in UVB-damaged ex vivo human skin explants was also observed. These findings highlight the potential of cheminformatics-assisted peptide design in the development of next-generation cosmetic actives. ICP-1236 represents a promising anti-wrinkle candidate through the modulation of Hsp47 and collagen pathways, warranting further clinical evaluation. Full article
(This article belongs to the Special Issue Feature Papers in Cosmetics in 2025)
Show Figures

Figure 1

23 pages, 5224 KB  
Article
Dietary Copper on the Onset of Puberty in Rats: Possible Mechanism
by Rui Sun, Zhongshen Wang, Cheng Li, Meng Li, Wenyan Yang and Lianyu Yang
Nutrients 2025, 17(22), 3534; https://doi.org/10.3390/nu17223534 - 12 Nov 2025
Viewed by 138
Abstract
Background/Objectives: Copper is an essential trace element for physiological processes related to reproduction, but its impact on the hypothalamic–pituitary–ovarian (HPOA) axis and its specific mechanism remain unclear. Methods: In vivo study: 21-day-old female Sprague Dawley (SD) rats were randomly assigned to [...] Read more.
Background/Objectives: Copper is an essential trace element for physiological processes related to reproduction, but its impact on the hypothalamic–pituitary–ovarian (HPOA) axis and its specific mechanism remain unclear. Methods: In vivo study: 21-day-old female Sprague Dawley (SD) rats were randomly assigned to five groups (n = 10 per group), with all groups fed a basal diet and supplemented with CuSO4·5H2O to achieve copper ion concentrations of 0, 15, 30, 45, or 60 mg/kg in the diet. During the second phase of proestrus, blood samples, hypothalamic tissues, pituitary tissues, and ovarian tissues were collected. In vitro study: Primary mixed hypothalamic neurons were isolated and cultured from fetal SD rats on embryonic day 17. After identification by NSE immunofluorescence staining, six copper ion concentration groups (0, 15.6, 31.2, 46.8, 62.4, and 78 μmol/L) were established. The optimal copper concentration for cell viability and GnRH secretion was screened using CCK-8 assay (Sangon, Shanghai, China) and ELISA (Mlbio, Shanghai, China). On this basis, the cells were treated with different concentrations of PKC agonist (PMA) and PKC inhibitor (chelerythrine). Cell viability was evaluated by CCK-8 assay, the expression level of PKC was detected by Western blot, and the optimal concentration with no obvious toxicity was selected for subsequent mechanism research. Results: Dietary copper dose-dependently regulated rat puberty onset; the 45 mg/kg copper group had the earliest onset, and showed significantly increased levels of reproduction-related hormones (GnRH, FSH, LH, E2) in serum and HPOA axis. Hypothalamic transcriptomics revealed significantly enriched GnRH signaling pathways and GABAergic synaptic pathways. Mechanistically, this copper dose upregulated hypothalamic KISS-1, GPR54, and PKC (mRNA/protein), and downregulated GABA/GABA-R. Adding 46.8 μmol/L copper (as Cu2+, equivalent to optimal in vivo level) could activate the KISS-1/GPR54-GnRH system in hypothalamic neurons; regulating PKC activity could synchronously affect the expression of KISS-1, GPR54, GnRH, and GABA/GABA-R, with additional copper enhancing this effect in vitro experiments. Conclusions: This study demonstrates for the first time that dietary copper at 45 mg/kg promotes puberty onset in SD rats. The mechanism involves activation of the hypothalamic PKC pathway, which inhibits GABAergic neurotransmission while activating the KISS-1/GPR54-GnRH system, thereby enhancing HPOA axis activity and gonadotropin secretion. Full article
(This article belongs to the Section Micronutrients and Human Health)
Show Figures

Figure 1

18 pages, 5023 KB  
Article
Developing a 3D Model Culture of an EBV+/CD30+ B-Anaplastic Large Cell Lymphoma Cell Line to Assay Brentuximab Vedotin Treatment
by Paolo Giannoni, Gabriella Pietra, Orlando Izzo, Giuseppina Fugazza, Roberto Benelli, Alessandro Poggi, Mauro Krampera, Chiara Utzeri, Monica Marchese, Marco Musso, Paola Visconti and Daniela de Totero
Antibodies 2025, 14(4), 98; https://doi.org/10.3390/antib14040098 - 10 Nov 2025
Viewed by 174
Abstract
Background/Objectives: Three-dimensional (3D) in vitro cell culture models have recently stimulated great interest since they may have more pre-clinical value than conventional in vitro 2D models. In fact, 3D culture models may mimic the in vivo biophysical 3D structure of tumors and cell-to-cell [...] Read more.
Background/Objectives: Three-dimensional (3D) in vitro cell culture models have recently stimulated great interest since they may have more pre-clinical value than conventional in vitro 2D models. In fact, 3D culture models may mimic the in vivo biophysical 3D structure of tumors and cell-to-cell interaction, thereby representing a more useful approach to testing drug responses. In this study we have developed a 3D culture model of an EBV+/CD30+cell line, D430B, previously characterized as an Anaplastic Large Cell Lymphoma of B phenotype (B-ALCL), to determine the cytotoxic activity of the antibody–drug conjugate Brentuximab Vedotin. Methods: By using of ultra-low attachment plates, we developed D430B spheroids that appeared particularly homogenous in terms of growth and size. Results: Brentuximab Vedotin treatment (1 to 20 μg/mL) turned out to be significantly cytotoxic to these cells, while the addition of the anti-CD20 chimeric antibody Rituximab (10 μg/mL) appeared almost ineffective, even though these cells express CD20. Moreover, when we co-cultured D430B cells with stromal cells (HS5), to re-create a microenvironment representative of neoplastic cell/mesenchymal cell interactions within the lymph node, we observed a significant, although faint, protective effect. Conclusions: This simple and reproducible method of generating D430B-ALCL spheroids to evaluate their response to Brentuximab Vedotin treatment, as here described, may provide a valuable preliminary tool for the future pre-clinical screening of patients’ primary lymphoma cells or the development of novel therapies for this type of pathology and related diseases. Full article
Show Figures

Graphical abstract

11 pages, 1393 KB  
Article
Isolation and Characterization of Pseudomonas sp. YU44 as Microbial Pesticide for Crown Gall Disease in Grapevine and Rose
by Chizuru Narushima, Yoshinao Aoki and Shunji Suzuki
Microbiol. Res. 2025, 16(11), 235; https://doi.org/10.3390/microbiolres16110235 - 9 Nov 2025
Viewed by 131
Abstract
Crown gall disease, caused by soil-borne bacterial pathogens, such as Allorhizobium vitis, poses a significant threat to grapevine cultivation in Japan, particularly under environmental conditions exacerbated by climate change. Effective chemical control options are limited, highlighting the need for sustainable biocontrol strategies. [...] Read more.
Crown gall disease, caused by soil-borne bacterial pathogens, such as Allorhizobium vitis, poses a significant threat to grapevine cultivation in Japan, particularly under environmental conditions exacerbated by climate change. Effective chemical control options are limited, highlighting the need for sustainable biocontrol strategies. In this study, we screened a library of soil bacteria with known antagonistic activity against major grapevine fungal pathogens and identified Pseudomonas sp. strain YU44 as a broad-spectrum antagonist of crown gall pathogens A. vitis and Rhizobium radiobacter. In vitro assays demonstrated that YU44 inhibits the growth of both pathogens by secreting bioactive compounds. In vivo bioassays confirmed that pretreatment with YU44 significantly suppresses crown gall formation in grapevine and rose seedlings. Additionally, YU44 application to soil near the stem base reduces disease severity in grapevine seedlings, supporting its potential as a practical biocontrol agent. Although complete disease suppression is not achieved, YU44 represents a promising environmentally friendly alternative for integrated disease management because it can complement resistant rootstocks, sanitation practices, and cultivation methods. These findings highlight YU44’s potential as an adaptive management tool for crown gall disease in the face of climate change. Full article
Show Figures

Figure 1

19 pages, 3300 KB  
Article
CEA-4-1BBL: CEACAM5-Targeted 4-1BB Ligand Fusion Proteins for Cis Co-Stimulation with CEA-TCB
by Christina Claus, Claudia Ferrara-Koller, Johannes Sam, Sabine Lang, Rosmarie Albrecht, Regula B. Buser, Esther Bommer, Grégory La Sala, Valeria G. Nicolini, Sara Colombetti, Marina Bacac, Pablo Umaña and Christian Klein
Antibodies 2025, 14(4), 96; https://doi.org/10.3390/antib14040096 - 7 Nov 2025
Viewed by 408
Abstract
Background/Objectives: T cell bispecific antibodies (TCBs) result in the activation of T cell receptor signaling upon binding to tumor antigens providing signal 1 to T cells. To enhance and sustain their activity, a co-stimulatory signal 2 is required. Here CEACAM5-targeted 4-1BBL antibody fusion [...] Read more.
Background/Objectives: T cell bispecific antibodies (TCBs) result in the activation of T cell receptor signaling upon binding to tumor antigens providing signal 1 to T cells. To enhance and sustain their activity, a co-stimulatory signal 2 is required. Here CEACAM5-targeted 4-1BBL antibody fusion proteins for combination with CEA-TCB (cibisatamab, RG7802) are described in an investigation of the relationship between the CEACAM5 epitope and T cell activity. Methods: CEACAM5-targeted bispecific 4-1BBL antibody fusion proteins (CEA-4-1BBLs) were generated based on different CEACAM5 antibodies and characterized in vitro in Jurkat-4-1BB reporter and PBMC cell assays. The impact of shed CEA on in vitro activity and cynomolgus cross-reactivity was studied. In vivo efficacy was assessed in human stem cell humanized NSG mice xenograft models bearing MKN-45 and HPAFII tumors. Results: MFE23-4-1BBL and Sm9b-4-1BBL showed superior functional activity in Jurkat-4-1BB reporter and primary T cell assays when combined with the CD3 antibody V9, whereas T84.66-LCHA-4-1BBL and A5B7-4-1BBL performed better when combined with CEA-TCB. In humanized NSG mice MKN-45 and HPAFII xenograft models, T84.66-LCHA-4-1BBL mediated the best anti-tumor efficacy. Conclusions: For the assessment of the combination of CEA-TCB with CEA-4-1BBL, co-stimulatory antibody fusion protein in vitro assays are not sufficient to fully capture the complex relationships affecting efficacy. Thus, screening with different cell assays and in vivo efficacy studies in combination with CEA-TCB are essential to select the best candidate. Based on the totality of data on the T84.66-LCHA-4-1BBL antibody fusion protein comprising the CEACAM5 antibody, T84.66-LCHA was selected as the optimal combination partner for CEA-TCB. Full article
Show Figures

Graphical abstract

16 pages, 2111 KB  
Article
A Feasibility Study of Co-Established Patient-Derived Subcutaneous Xenograft and Organotypic Slice Cultures in Hormone-Naive Primary Prostate Cancer Preclinical Modeling: A Single-Institution Experience
by Valeria Pecci, Melissa Borsa, Aurora Aiello, Sara De Martino, Luca Cis, Francesco Pierconti, Domenico Varacalli, Martina Bracco, Cristian Ripoli, Francesco Pinto, Dante Rotili, Claudio Grassi, Carlo Gaetano, Alfredo Pontecorvi, Antonella Farsetti and Simona Nanni
Life 2025, 15(11), 1719; https://doi.org/10.3390/life15111719 - 6 Nov 2025
Viewed by 285
Abstract
Background: Preclinical models that preserve the tumor microenvironment are critically needed in prostate cancer (PCa) research. Patient-derived xenografts (PDXs) and patient-derived Organotypic Slice Cultures (PD-OSCs) have emerged as promising in vivo and ex vivo platforms to address this gap and better mimic human [...] Read more.
Background: Preclinical models that preserve the tumor microenvironment are critically needed in prostate cancer (PCa) research. Patient-derived xenografts (PDXs) and patient-derived Organotypic Slice Cultures (PD-OSCs) have emerged as promising in vivo and ex vivo platforms to address this gap and better mimic human tumor biology. Methods: Subcutaneous PDX models and PD-OSCs were established in parallel from fresh, primary hormone-naïve PCa patient tissues. PDX models were generated by engrafting tumor fragments into immunodeficient mice, while PD-OSCs were maintained as short-term ex vivo cultures for functional analysis. Results: A cohort of 64 PDXs and 45 PD-OSCs was generated. While first-generation PDX engraftment was successful, subsequent passaging and model expansion were extremely poor. In contrast, PD-OSCs were reliably established, maintained tissue viability, and proved to be a robust platform for functional testing, including gene expression analysis and drug sensitivity screening. Conclusions: Our findings establish both first-generation PDXs and PD-OSCs as valuable “avatar” models for translational research. However, PD-OSCs represent a more efficient and rapid platform for studying primary hormone-naïve PCa biology and evaluating treatment responses, holding significant promise as a predictive tool to guide personalized medicine. Full article
(This article belongs to the Special Issue Prostate Cancer: 4th Edition)
Show Figures

Figure 1

15 pages, 1506 KB  
Review
Computational Chemistry Advances in the Development of PARP1 Inhibitors for Breast Cancer Therapy
by Charmy Twala, Penny Govender and Krishna Govender
Pharmaceuticals 2025, 18(11), 1679; https://doi.org/10.3390/ph18111679 - 6 Nov 2025
Viewed by 437
Abstract
Poly (ADP-ribose) polymerase 1 (PARP1) is an important enzyme that plays a central role in the DNA damage response, facilitating repair of single-stranded DNA breaks via the base excision repair (BER) pathway and thus genomic integrity. Its therapeutic relevance is compounded in breast [...] Read more.
Poly (ADP-ribose) polymerase 1 (PARP1) is an important enzyme that plays a central role in the DNA damage response, facilitating repair of single-stranded DNA breaks via the base excision repair (BER) pathway and thus genomic integrity. Its therapeutic relevance is compounded in breast cancer, particularly in BRCA1 or BRCA2 mutant cancers, where compromised homologous recombination repair (HRR) leaves a synthetic lethal dependency on PARP1-mediated repair. This review comprehensively discusses the recent advances in computational chemistry for the discovery of PARP1 inhibitors, focusing on their application in breast cancer therapy. Techniques such as molecular docking, molecular dynamics (MD) simulations, quantitative structure–activity relationship (QSAR) modeling, density functional theory (DFT), time-dependent DFT (TD-DFT), and machine learning (ML)-aided virtual screening have revolutionized the discovery of inhibitors. Some of the most prominent examples are Olaparib (IC50 = 5 nM), Rucaparib (IC50 = 7 nM), and Talazoparib (IC50 = 1 nM), which were optimized with docking scores between −9.0 to −9.3 kcal/mol and validated by in vitro and in vivo assays, achieving 60–80% inhibition of tumor growth in BRCA-mutated models and achieving up to 21-month improvement in progression-free survival in clinical trials of BRCA-mutated breast and ovarian cancer patients. These strategies enable site-specific hopping into the PARP1 nicotinamide-binding pocket to enhance inhibitor affinity and specificity and reduce off-target activity. Employing computation and experimental verification in a hybrid strategy have brought next-generation inhibitors to the clinic with accelerated development, higher efficacy, and personalized treatment for breast cancer patients. Future approaches, including AI-aided generative models and multi-omics integration, have the promise to further refine inhibitor design, paving the way for precision oncology. Full article
Show Figures

Graphical abstract

35 pages, 22753 KB  
Review
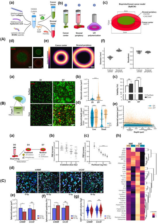
Integrating 3D Bioprinting with Organoid Technology-Based Breast Cancer Models for Drug Evaluation
by Arvind Kumar Shukla, Sandhya Shukla, Raj Kumar Mongre, Adarsha Mahendra Upadhyay, Govindhan Thiruppathi, Chandra Dhar Shukla, Shuktika Mishra and Sayan Deb Dutta
Organoids 2025, 4(4), 26; https://doi.org/10.3390/organoids4040026 - 5 Nov 2025
Viewed by 393
Abstract
Breast cancer remains one of the leading causes of cancer morbidity and mortality among women worldwide. Conventional two-dimensional (2D) cell culture models and animal studies often fail to accurately recapitulate the complex tumor microenvironment and heterogeneous nature of breast cancer. Recent advancements in [...] Read more.
Breast cancer remains one of the leading causes of cancer morbidity and mortality among women worldwide. Conventional two-dimensional (2D) cell culture models and animal studies often fail to accurately recapitulate the complex tumor microenvironment and heterogeneous nature of breast cancer. Recent advancements in tissue engineering have enabled the development of more physiologically relevant models using three-dimensional (3D) bioprinting and organoid technology. This study focuses on integrating 3D bioprinting with patient-derived organoid models to replicate breast cancer tissue architecture, cellular heterogeneity, and tumor-stroma interactions. Utilizing biomimetic bioinks and customized bioprinting protocols, we successfully fabricated breast cancer tissue constructs embedded with stromal and immune components. These engineered models demonstrated high fidelity in mimicking in vivo tumor pathophysiology, including angiogenesis, epithelial–mesenchymal transition, and extracellular matrix remodeling. Furthermore, the platform allowed for high-throughput drug screening and evaluation of therapeutic responses, revealing differential sensitivities to chemotherapeutics and targeted therapies. Our findings highlight the potential of bioprinted organoid models as powerful tools for personalized medicine, enabling more predictive and reliable cancer research and drug development. Full article
Show Figures

Figure 1

23 pages, 5264 KB  
Article
Preparation of Lipid Cubic Liquid Crystalline Nanoparticles of Sinomenine Based on Molecular Dynamics Simulations and Investigation of the Efficacy Against Rheumatoid Arthritis
by Jiaoyue Zhu, Jingying Li, Yunlu Zou, Xuehui Ding, Jixin Li, Jiahui Xu, Yinghao Xiao, Ye Qiu and Wei Xu
Int. J. Mol. Sci. 2025, 26(21), 10773; https://doi.org/10.3390/ijms262110773 - 5 Nov 2025
Viewed by 306
Abstract
Sinomenine (SIN) is a promising candidate for the treatment of rheumatoid arthritis (RA). Although it possesses the advantage of being non-addictive, its poor aqueous solubility and low oral bioavailability have limited its clinical application. To address these issues, SIN was encapsulated into lipid [...] Read more.
Sinomenine (SIN) is a promising candidate for the treatment of rheumatoid arthritis (RA). Although it possesses the advantage of being non-addictive, its poor aqueous solubility and low oral bioavailability have limited its clinical application. To address these issues, SIN was encapsulated into lipid cubic liquid crystal nanoparticles (LCNPs) and systematically characterized. Molecular dynamics (MD) simulations were first employed to screen suitable excipients for formulation development. Combined with single-factor optimization and Box–Behnken response surface design, the optimal composition and preparation process were determined. The resulting SIN-LCNPs exhibited a particle size of 149.7 ± 0.9 nm, a polydispersity index (PDI) of 0.223 ± 0.01, a zeta potential of −18.9 mV, and an encapsulation efficiency (EE%) of 92.2%. Spectroscopic analyses confirmed successful incorporation of SIN into the lipid matrix. Pharmacodynamic studies revealed that SIN-LCNPs enhanced targeted drug delivery to inflamed joints, significantly alleviating inflammation and suppressing disease progression in rats. In vivo single-pass intestinal perfusion (SPIP) experiments further demonstrated that SIN was primarily absorbed through the small intestine and that the LCNP carrier effectively improved its intestinal permeability. Collectively, this study provides a novel strategy and theoretical foundation for developing efficient formulations of poorly water-soluble drugs, highlighting the potential clinical application of SIN-LCNPs in RA therapy. Full article
(This article belongs to the Section Molecular Informatics)
Show Figures

Figure 1

21 pages, 1957 KB  
Article
Norditerpene Natural Products from Subterranean Fungi with Anti-Parasitic Activity
by Alexandra Kolas, Yudi Rusman, Ana C. R. G. Maia, Jessica M. Williams, Jiashu Xie, Roshan Katekar, Fernanda G. Fumuso, Alexis Cotto-Rosario, Chidiebere N. Onoh, Hanen Baggar, Mary L. Piaskowski, Christian Baigorria, Raphaella Paes, Debopam Chakrabarti, Lyssa J. Weible, Kayode K. Ojo, Roberta M. O’Connor and Christine E. Salomon
Microorganisms 2025, 13(11), 2527; https://doi.org/10.3390/microorganisms13112527 - 4 Nov 2025
Viewed by 311
Abstract
Cryptosporidium is a waterborne gastrointestinal parasite that causes diarrheal disease worldwide. Currently, there are no effective therapeutics to treat cryptosporidiosis. Since natural products are a known source of anti-parasitic compounds, we screened a library of extracts and pure compounds isolated from bacteria and [...] Read more.
Cryptosporidium is a waterborne gastrointestinal parasite that causes diarrheal disease worldwide. Currently, there are no effective therapeutics to treat cryptosporidiosis. Since natural products are a known source of anti-parasitic compounds, we screened a library of extracts and pure compounds isolated from bacteria and fungi collected from subterranean environments for anti-Cryptosporidium activity. Seven norditerpene lactones isolated from the fungus Oidiodendron truncatum collected from the Soudan Iron mine in Minnesota showed potent activity and were further tested to identify the most active compounds. The availability of a diverse suite of natural structural analogs with varying activities allowed us to determine some structure–activity relationships for both anti-parasitic activity and cytotoxicity. The two most potent compounds, oidiolactones A and B, had EC50s against C. parvum of 530 and 240 nM, respectively, without cytotoxicity to host cells. Both compounds also inhibited the related parasite Toxoplasma gondii. Oidiolactone A was active against asexual, but not sexual, stages of C. parvum, and killed parasites within 8 h of treatment. This compound reduced C. parvum infection by 70% in IFNγ−/− mice, with no signs of toxicity. The high potency, low cytotoxicity, and in vivo activity combined with high production and synthetic accessibility make these oidiolactones attractive scaffolds for the development of new anti-Cryptosporidium therapeutics. Full article
(This article belongs to the Section Antimicrobial Agents and Resistance)
Show Figures

Graphical abstract

15 pages, 3483 KB  
Article
In Vivo Iterative Adjuvant Screening Identifies an Intranasal Vaccine Formulation for Elicitation of Protective Mucosal Immune Responses Against SARS-CoV-2
by Yang Jiao, Sara H. Mahmoud, Chengjin Ye, Yuan Luo, Wei-Chiao Huang, Qinzhe Li, Shiqi Zhou, Yiting Song, Moriya Tsuji, Luis Martinez-Sobrido and Jonathan F. Lovell
Pharmaceutics 2025, 17(11), 1422; https://doi.org/10.3390/pharmaceutics17111422 - 3 Nov 2025
Viewed by 383
Abstract
Background: Intranasal (I.N.) vaccination holds promise to elicit mucosal immunity that counters respiratory pathogens at the site of infection. For subunit protein vaccines, immunostimulatory adjuvants are typically required. Methods: We screened a panel of 22 lipid-phase adjuvants to identify which ones elicited antigen-specific [...] Read more.
Background: Intranasal (I.N.) vaccination holds promise to elicit mucosal immunity that counters respiratory pathogens at the site of infection. For subunit protein vaccines, immunostimulatory adjuvants are typically required. Methods: We screened a panel of 22 lipid-phase adjuvants to identify which ones elicited antigen-specific IgA with I.N. immunization of liposome-displayed SARS-CoV-2 receptor-binding domain (RBD). Results: Initial screening showed the TLR-4 agonist Kdo2-Lipid A (KLA) effectively elicited RBD-specific IgA. A second round of screening identified further inclusion of the invariant NKT cell ligands α-Galactosylceramide (α-GalCer) and its synthetic analog 7DW8-5 as complementary adjuvants for I.N. immunization, resulting in orders-of-magnitude-greater mucosal IgA response relative to intramuscular (I.M.) immunization. The inclusion of cationic lipids conferred capacity for mucosal adhesion and maintained immune responses. In K18 hACE2 transgenic mice, vaccination significantly reduced viral replication and prevented mortality from SARS-CoV-2 challenge. Conclusions: These results point towards the potential for the use of KLA and α-GalCer for I.N. subunit vaccines. Full article
(This article belongs to the Section Nanomedicine and Nanotechnology)
Show Figures

Figure 1

15 pages, 2791 KB  
Article
Tagging Fluorescent Reporter to Epinecidin-1 Antimicrobial Peptide
by Sivakumar Jeyarajan, Harini Priya Ramesh, Atchyasri Anbarasu, Jayasudha Jayachandran and Anbarasu Kumarasamy
J 2025, 8(4), 42; https://doi.org/10.3390/j8040042 - 2 Nov 2025
Viewed by 271
Abstract
In this study, we successfully cloned the fluorescent proteins eGFP and DsRed in-frame with the antimicrobial peptide epinecidin-1 (FIFHIIKGLFHAGKMIHGLV) at the N-terminal. The cloning strategy involved inserting the fluorescent reporters into the expression vector, followed by screening for positive clones through visual fluorescence [...] Read more.
In this study, we successfully cloned the fluorescent proteins eGFP and DsRed in-frame with the antimicrobial peptide epinecidin-1 (FIFHIIKGLFHAGKMIHGLV) at the N-terminal. The cloning strategy involved inserting the fluorescent reporters into the expression vector, followed by screening for positive clones through visual fluorescence detection and molecular validation. The visually identified fluorescent colonies were confirmed as positive by PCR and plasmid migration assays, indicating successful cloning. This fusion of fluorescent reporters with a short antimicrobial peptide enables real-time visualization and monitoring of the peptide’s mechanism of action on membranes and within cells, both in vivo and in vitro. The fusion of eGFP and DsRed to epinecidin-1 did not impair the expression or fluorescence of the reporter protein. Full article
(This article belongs to the Special Issue Feature Papers of J—Multidisciplinary Scientific Journal in 2025)
Show Figures

Figure 1

23 pages, 3113 KB  
Article
Deep Learning-Enabled Diagnosis of Abdominal Aortic Aneurysm Using Pulse Volume Recording Waveforms: An In Silico Study
by Sina Masoumi Shahrbabak, Byeng Dong Youn, Hao-Min Cheng, Chen-Huan Chen, Shih-Hsien Sung, Ramakrishna Mukkamala and Jin-Oh Hahn
Sensors 2025, 25(21), 6678; https://doi.org/10.3390/s25216678 - 1 Nov 2025
Viewed by 409
Abstract
This paper investigates the feasibility of diagnosing abdominal aortic aneurysm (AAA) via deep learning (DL)-enabled analysis of non-invasive arterial pulse waveform signals. We generated arterial blood pressure (BP) and pulse volume recording (PVR) waveform signals across a diverse synthetic patient cohort using a [...] Read more.
This paper investigates the feasibility of diagnosing abdominal aortic aneurysm (AAA) via deep learning (DL)-enabled analysis of non-invasive arterial pulse waveform signals. We generated arterial blood pressure (BP) and pulse volume recording (PVR) waveform signals across a diverse synthetic patient cohort using a systemic arterial circulation model coupled with a viscoelastic model relating arterial BP to PVR while simulating a range of AAA severity levels. We confirmed the plausibility of the synthetic data by comparing the alterations in the simulated waveform signals due to AAA against previously reported in vivo findings. Then, we developed a convolutional neural network (CNN) with continuous property-adversarial regularization that can estimate AAA severity from brachial and tibial PVR signals. We evaluated the algorithm’s performance in comparison with an identical CNN trained on invasive arterial BP waveform signals. The DL-enabled PVR-based algorithm achieved robust AAA detection across different severity thresholds with area under the ROC curve values >0.89, and showed reasonable accuracy in severity estimation, though slightly lower than its invasive BP counterpart (MAE: 12.6% vs. 10.3%). These findings suggest that DL-enabled analysis of PVR waveform signals offers a non-invasive and cost-effective approach for AAA diagnosis, potentially enabling accessible screening through operator-agnostic and point-of-care technologies. Full article
Show Figures

Figure 1

16 pages, 5621 KB  
Article
Optimized 3D-Printed Polylactic Acid/Graphene Oxide Scaffolds for Enhanced Bone Regeneration
by Jung-Tae Lee, Dajung Lee, Ye-Seul Jung, Sung-Ho Lee, Sungtae Kim, Bongju Kim and Dong-Wook Han
Bioengineering 2025, 12(11), 1192; https://doi.org/10.3390/bioengineering12111192 - 1 Nov 2025
Viewed by 661
Abstract
Background: Three-dimensional (3D) printed scaffolds have emerged as promising tools for bone regeneration, but the optimal structural design and pore size remain unclear. Polylactic acid (PLA) reinforced with graphene oxide (GO) offers enhanced mechanical and biological performance, yet systematic evaluation of architecture and [...] Read more.
Background: Three-dimensional (3D) printed scaffolds have emerged as promising tools for bone regeneration, but the optimal structural design and pore size remain unclear. Polylactic acid (PLA) reinforced with graphene oxide (GO) offers enhanced mechanical and biological performance, yet systematic evaluation of architecture and pore size is limited. Methods: Two scaffold architectures (lattice-type and dode-type) with multiple pore sizes were fabricated using UV-curable PLA/GO resin. Physical accuracy, porosity, and mechanical properties were assessed through compression and fatigue testing. Based on in vitro screening, four pore sizes (930 μm, 690 μm, 558 μm, 562 μm) within the dode-type structure were analyzed. The 558 μm and 562 μm scaffolds, showing distinct fracture thresholds, were further evaluated in rat and rabbit calvarial defect models for inflammation and bone regeneration. Results: In vitro testing revealed that while 930 μm and 690 μm scaffolds exhibited superior compressive strength, the 562 μm scaffold showed a unique critical fracture behavior, and the 558 μm scaffold offered comparable stability with higher resistance to premature failure. In vivo studies confirmed excellent biocompatibility in both groups, with early bone formation favored in the 558 μm scaffold and more continuous and mature bone observed in the 562 μm scaffold at later stages. Conclusions: This stepwise strategy—from structural design to pore size screening and preclinical validation—demonstrates that threshold-level mechanical properties can influence osteogenesis. PLA/GO scaffolds optimized at 558 μm and 562 μm provide a translationally relevant balance between mechanical stability and biological performance for bone tissue engineering. Full article
(This article belongs to the Special Issue Advanced 3D-Printed Biomaterials in Dentistry)
Show Figures

Figure 1

24 pages, 7414 KB  
Article
Supramolecular Lipid Nanoparticles Based on Amine β-CD Host–Guest Lipids: Design, Mechanisms, and Biosafety
by Pin Lv, Yamin Li, Gang Du, Jiawei Ding, Jiawei Zhou, Yuan Zhang, Huang Lin, Ming Yang, Chao Zhou and Bo Yang
Pharmaceutics 2025, 17(11), 1410; https://doi.org/10.3390/pharmaceutics17111410 - 30 Oct 2025
Viewed by 492
Abstract
Background/Objectives: Lipid nanoparticles (LNPs) have demonstrated notable clinical success as advanced drug delivery systems. However, the development of novel covalently bonded ionizable lipids faces substantial technical challenges, as their modification is difficult and they have a high molecular weight. To address this issue, [...] Read more.
Background/Objectives: Lipid nanoparticles (LNPs) have demonstrated notable clinical success as advanced drug delivery systems. However, the development of novel covalently bonded ionizable lipids faces substantial technical challenges, as their modification is difficult and they have a high molecular weight. To address this issue, we report the use of host–guest complexes in supramolecular chemistry as functional lipid motifs for constructing LNPs. Methods: Ionizable amine β-cyclodextrin (amine β-CD)-derived host–guest amphiphilic lipid molecules (HGLs) were designed for the construction of multi-stage assembly supramolecular LNPs (MSLNPs). The structure–function relationships and stability of MSLNPs were explored by screening eight types of amine β-CDs and varying the ratio of HGL to yolk phosphatidylcholine. Stability screening and molecular dynamics simulations were performed to clarify the self-assembly mechanisms and optimal formulations, followed by a systematic evaluation of delivery performance. Results: MSLNPs showed a high drug-loading efficiency (> 30%), a rapid-response release in acidic environments, and multi-pathway cellular uptake. In vivo delivery experiments using ethylenediamine β-CD-based MSLNPs in mice revealed no significant immunogenicity, no significant abnormalities in organs/tissues or their functions, a unique biodistribution pattern, and pronounced renal targeting. The successful development of MSLNPs with acidic pH-responsive control, a high delivery efficiency, and renal-targeting properties simplifies LNP preparation. Conclusions: This study offers novel insights into the design of simplified LNPs and the optimization of targeted delivery, with potential applications in renal disease therapy. Full article
(This article belongs to the Section Nanomedicine and Nanotechnology)
Show Figures

Figure 1

Back to TopTop