A Feasibility Study of Co-Established Patient-Derived Subcutaneous Xenograft and Organotypic Slice Cultures in Hormone-Naive Primary Prostate Cancer Preclinical Modeling: A Single-Institution Experience
Abstract
1. Introduction
2. Methods
3. Results
3.1. Development of Patient-Derived Xenografts (PDXs)
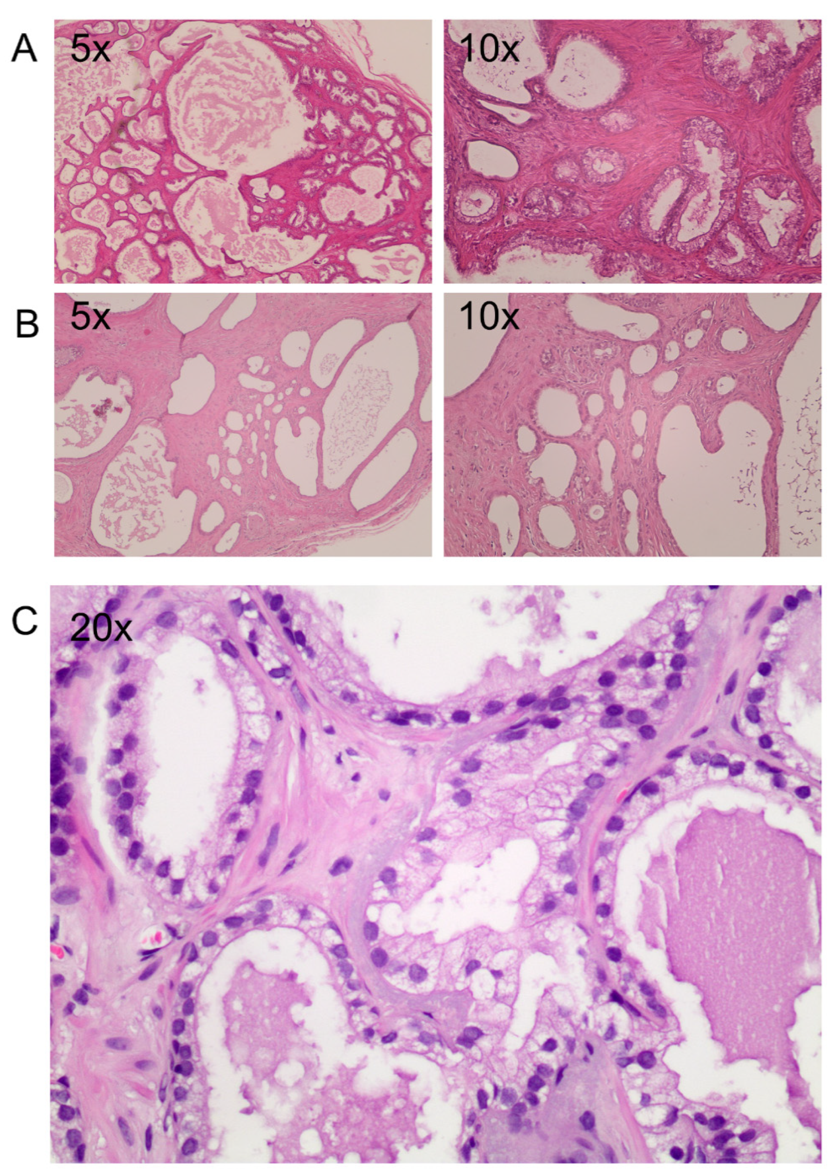
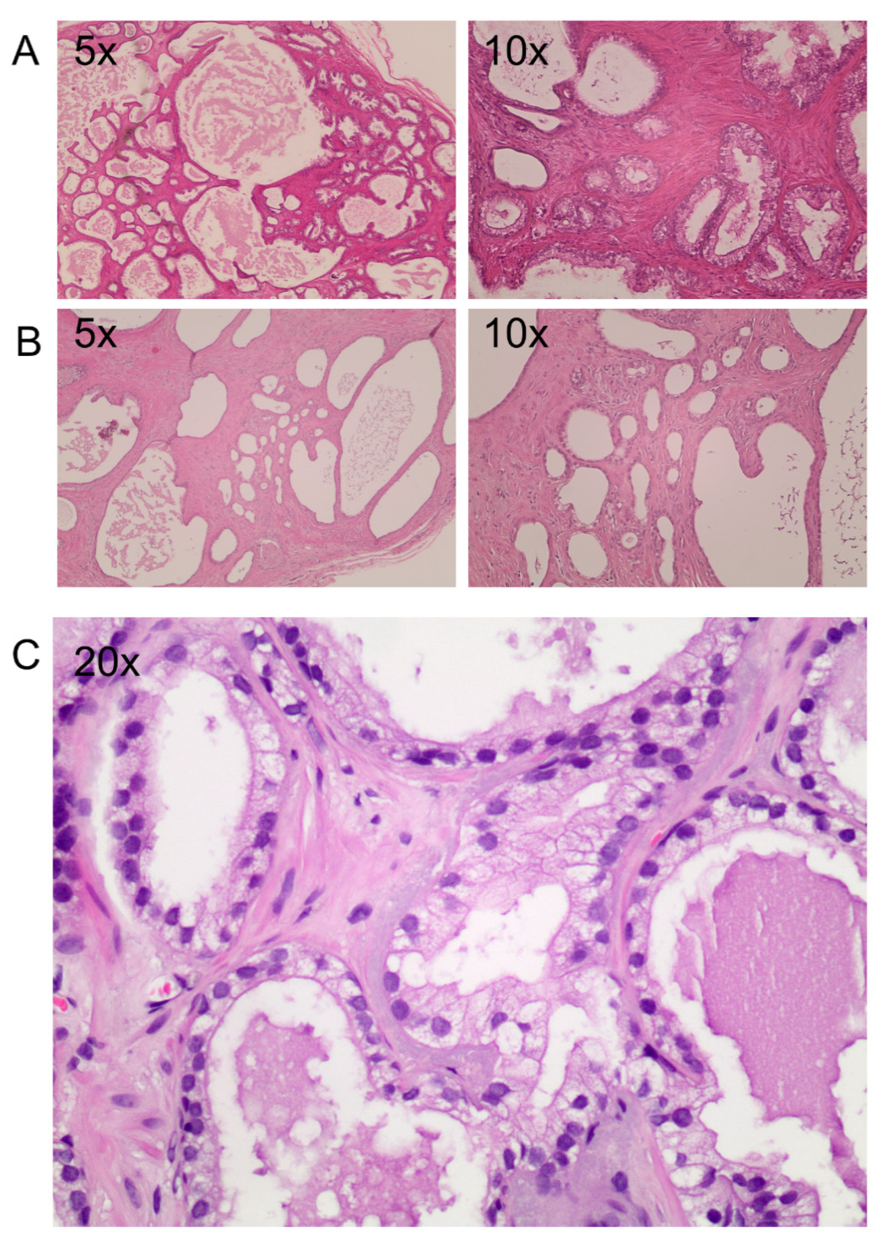
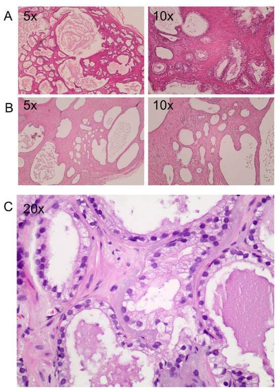
3.2. Establishment of Patient-Derived Organotypic Slice Cultures (PD-OSCs)
4. Discussion
Supplementary Materials
Author Contributions
Funding
Institutional Review Board Statement
Informed Consent Statement
Data Availability Statement
Acknowledgments
Conflicts of Interest
References
- Bray, F.; Laversanne, M.; Sung, H.; Ferlay, J.; Siegel, R.L.; Soerjomataram, I.; Jemal, A. Global cancer statistics 2022: GLOBOCAN estimates of incidence and mortality worldwide for 36 cancers in 185 countries. CA A Cancer J. Clin. 2024, 74, 229–263. [Google Scholar] [CrossRef] [PubMed]
- Desai, M.M.; Cacciamani, G.E.; Gill, K.; Zhang, J.; Liu, L.; Abreu, A.; Gill, I.S. Trends in Incidence of Metastatic Prostate Cancer in the US. JAMA Netw. Open 2022, 5, e222246. [Google Scholar] [CrossRef]
- Manna, F.L.; Karkampouna, S.; Zoni, E.; De Menna, M.; Hensel, J.; Thalmann, G.N.; Kruithof-de Julio, M. Metastases in Prostate Cancer. Cold Spring Harb. Perspect. Med. 2019, 9, a033688. [Google Scholar] [CrossRef]
- Naiki-Ito, A.; Naiki, T.; Takahashi, S. Exploring experimental models of prostate cancer in chemoprevention: Oxidative stress as a key pathway to translational research. Pathol. Int. 2025, 75, 131–144. [Google Scholar] [CrossRef]
- Liu, S.; Shen, K.; Li, Z.; Rivero, S.; Zhang, Q. Temporally and Spatially Controlled Age-Related Prostate Cancer Model in Mice. Bio. Protoc. 2025, 15, e5144. [Google Scholar] [CrossRef] [PubMed]
- Thomsen, M.K.; Busk, M. Pre-Clinical Models to Study Human Prostate Cancer. Cancers 2023, 15, 4212. [Google Scholar] [CrossRef] [PubMed]
- Woo, X.Y.; Giordano, J.; Srivastava, A.; Zhao, Z.-M.; Lloyd, M.W.; de Bruijn, R.; Suh, Y.-S.; Patidar, R.; Chen, L.; Scherer, S.; et al. Conservation of copy number profiles during engraftment and passaging of patient-derived cancer xenografts. Nat. Genet. 2021, 53, 86–99. [Google Scholar] [CrossRef]
- Sun, H.; Cao, S.; Mashl, R.J.; Mo, C.-K.; Zaccaria, S.; Wendl, M.C.; Davies, S.R.; Bailey, M.H.; Primeau, T.M.; Hoog, J.; et al. Comprehensive characterization of 536 patient-derived xenograft models prioritizes candidates for targeted treatment. Nat. Commun. 2021, 12, 5086. [Google Scholar] [CrossRef]
- Risbridger, G.P.; Lawrence, M.G.; Taylor, R.A. PDX: Moving Beyond Drug Screening to Versatile Models for Research Discovery. J. Endocr. Soc. 2020, 4, bvaa132. [Google Scholar] [CrossRef]
- Nguyen, H.M.; Vessella, R.L.; Morrissey, C.; Brown, L.G.; Coleman, I.M.; Higano, C.S.; Mostaghel, E.A.; Zhang, X.; True, L.D.; Lam, H.-M.; et al. LuCaP Prostate Cancer Patient-Derived Xenografts Reflect the Molecular Heterogeneity of Advanced Disease an--d Serve as Models for Evaluating Cancer Therapeutics. Prostate 2017, 77, 654–671. [Google Scholar] [CrossRef]
- Navone, N.M.; van Weerden, W.M.; Vessella, R.L.; Williams, E.D.; Wang, Y.; Isaacs, J.T.; Nguyen, H.M.; Culig, Z.; van der Pluijm, G.; Rentsch, C.A.; et al. Movember GAP1 PDX project: An international collection of serially transplantable prostate cancer patient-derived xenograft (PDX) models. Prostate 2018, 78, 1262–1282. [Google Scholar] [CrossRef]
- van Weerden, W.M.; de Ridder, C.M.; Verdaasdonk, C.L.; Romijn, J.C.; van der Kwast, T.H.; Schröder, F.H.; van Steenbrugge, G.J. Development of seven new human prostate tumor xenograft models and their histopathological characterization. Am. J. Pathol. 1996, 149, 1055–1062. [Google Scholar]
- Priolo, C.; Agostini, M.; Vena, N.; Ligon, A.H.; Fiorentino, M.; Shin, E.; Farsetti, A.; Pontecorvi, A.; Sicinska, E.; Loda, M. Establishment and genomic characterization of mouse xenografts of human primary prostate tumors. Am. J. Pathol. 2010, 176, 1901–1913. [Google Scholar] [CrossRef] [PubMed]
- Taurozzi, A.J.; Beekharry, R.; Wantoch, M.; Labarthe, M.-C.; Walker, H.F.; Seed, R.I.; Simms, M.; Rodrigues, G.; Bradford, J.; van der Horst, G.; et al. Spontaneous development of Epstein-Barr Virus associated human lymphomas in a prostate cancer xenograft program. PLoS ONE 2017, 12, e0188228. [Google Scholar] [CrossRef]
- Valta, M.; Ylä-Pelto, J.; Lan, Y.; Kähkönen, T.; Taimen, P.; Boström, P.J.; Ettala, O.; Khan, S.; Paulin, N.; Elo, L.L.; et al. Critical evaluation of the subcutaneous engraftments of hormone naïve primary prostate cancer. Transl. Androl. Urol. 2020, 9, 1120–1134. [Google Scholar] [CrossRef] [PubMed]
- Palanisamy, N.; Yang, J.; Shepherd, P.D.A.; Li-Ning-Tapia, E.M.; Labanca, E.; Manyam, G.C.; Ravoori, M.K.; Kundra, V.; Araujo, J.C.; Efstathiou, E.; et al. The MD Anderson Prostate Cancer Patient-derived Xenograft Series (MDA PCa PDX) Captures the Molecular Landscape of Prostate Cancer and Facilitates Marker-driven Therapy Development. Clin. Cancer Res. 2020, 26, 4933–4946. [Google Scholar] [CrossRef]
- Vaira, V.; Fedele, G.; Pyne, S.; Fasoli, E.; Zadra, G.; Bailey, D.; Snyder, E.; Faversani, A.; Coggi, G.; Flavin, R.; et al. Preclinical model of organotypic culture for pharmacodynamic profiling of human tumors. Proc. Natl. Acad. Sci. USA 2010, 107, 8352–8356. [Google Scholar] [CrossRef] [PubMed]
- Roelofsen, L.M.; Voabil, P.; de Bruijn, M.; Herzig, P.; Zippelius, A.; Schumacher, T.N.; Thommen, D.S. Protocol for ex vivo culture of patient-derived tumor fragments. STAR Protoc. 2023, 4, 102282. [Google Scholar] [CrossRef]
- Aiello, A.; Bacci, L.; Re, A.; Ripoli, C.; Pierconti, F.; Pinto, F.; Masetti, R.; Grassi, C.; Gaetano, C.; Bassi, P.F.; et al. MALAT1 and HOTAIR Long Non-Coding RNAs Play Opposite Role in Estrogen-Mediated Transcriptional Regulation in Prostate Cancer Cells. Sci. Rep. 2016, 6, 38414. [Google Scholar] [CrossRef]
- Nanni, S.; Aiello, A.; Salis, C.; Re, A.; Cencioni, C.; Bacci, L.; Pierconti, F.; Pinto, F.; Ripoli, C.; Ostano, P.; et al. Metabolic Reprogramming by Malat1 Depletion in Prostate Cancer. Cancers 2020, 13, 15. [Google Scholar] [CrossRef]
- Bacci, L.; Aiello, A.; Ripoli, C.; Loria, R.; Pugliese, D.; Pierconti, F.; Rotili, D.; Strigari, L.; Pinto, F.; Bassi, P.F.; et al. H19-Dependent Transcriptional Regulation of β3 and β4 Integrins Upon Estrogen and Hypoxia Favors Metastatic Potential in Prostate Cancer. Int. J. Mol. Sci. 2019, 20, 4012. [Google Scholar] [CrossRef]
- Pecci, V.; Troisi, F.; Aiello, A.; De Martino, S.; Carlino, A.; Fiorentino, V.; Ripoli, C.; Rotili, D.; Pierconti, F.; Martini, M.; et al. Targeting of H19/cell adhesion molecules circuitry by GSK-J4 epidrug inhibits metastatic progression in prostate cancer. Cancer Cell Int. 2024, 24, 56. [Google Scholar] [CrossRef]
- Pecci, V.; Borsa, M.; Aiello, A.; De Martino, S.; Cis, L.; Ripoli, C.; Rotili, D.; Pierconti, F.; Pinto, F.; Grassi, C.; et al. Bromodomain and Extra-Terminal Family Proteins BRD2, BRD3, and BRD4 Contribute to H19-Dependent Transcriptional Regulation of Cell Adhesion Molecules, Modulating Metastatic Dissemination Program in Prostate Cancer. Noncoding RNA 2025, 11, 33. [Google Scholar] [CrossRef]
- Centenera, M.M.; Hickey, T.E.; Jindal, S.; Ryan, N.K.; Ravindranathan, P.; Mohammed, H.; Robinson, J.L.; Schiewer, M.J.; Ma, S.; Kapur, P.; et al. A patient-derived explant (PDE) model of hormone-dependent cancer. Mol. Oncol. 2018, 12, 1608–1622. [Google Scholar] [CrossRef]
- Galimi, F.; Torti, D.; Sassi, F.; Isella, C.; Corà, D.; Gastaldi, S.; Ribero, D.; Muratore, A.; Massucco, P.; Siatis, D.; et al. Genetic and expression analysis of MET, MACC1, and HGF in metastatic colorectal cancer: Response to met inhibition in patient xenografts and pathologic correlations. Clin. Cancer Res. 2011, 17, 3146–3156. [Google Scholar] [CrossRef]
- Garman, B.; Anastopoulos, I.N.; Krepler, C.; Brafford, P.; Sproesser, K.; Jiang, Y.; Wubbenhorst, B.; Amaravadi, R.; Bennett, J.; Beqiri, M.; et al. Genetic and Genomic Characterization of 462 Melanoma Patient-Derived Xenografts, Tumor Biopsies, and Cell Lines. Cell Rep. 2017, 21, 1936–1952. [Google Scholar] [CrossRef]
- Martínez-Sabadell, A.; Ovejero Romero, P.; Arribas, J.; Arenas, E.J. Protocol to generate a patient derived xenograft model of acquired resistance to immunotherapy in humanized mice. STAR Protoc. 2022, 3, 101712. [Google Scholar] [CrossRef]
- Lin, D.; Wyatt, A.W.; Xue, H.; Wang, Y.; Dong, X.; Haegert, A.; Wu, R.; Brahmbhatt, S.; Mo, F.; Jong, L.; et al. High fidelity patient-derived xenografts for accelerating prostate cancer discovery and drug development. Cancer Res. 2014, 74, 1272–1283. [Google Scholar] [CrossRef] [PubMed]
- Philp, L.K. Patient-Derived Xenograft Models for Translational Prostate Cancer Research and Drug Development. Methods Mol. Biol. 2024, 2806, 153–185. [Google Scholar] [CrossRef] [PubMed]
- Figiel, S.; Pasqualin, C.; Bery, F.; Maupoil, V.; Vandier, C.; Potier-Cartereau, M.; Domingo, I.; Guibon, R.; Bruyere, F.; Maheo, K.; et al. Functional Organotypic Cultures of Prostate Tissues: A Relevant Preclinical Model that Preserves Hypoxia Sensitivity and Calcium Signaling. Am. J. Pathol. 2019, 189, 1268–1275. [Google Scholar] [CrossRef] [PubMed]
- Alkheilewi, M.A.; Leach, D.A.; Mohr, A.; Zwacka, R.M.; Laissue, P.; Metodiev, M.; Bevan, C.L.; Van Rensburg, M.; Pilkington, L.I.; Barker, D.; et al. Thieno[2,3-b]pyridine compounds potently inhibit prostate cancer growth and motility. Endocr. Oncol. 2025, 5, e240082. [Google Scholar] [CrossRef] [PubMed]
- Lin, H.-M.; Yang, X.; Centenera, M.M.; Huynh, K.; Giles, C.; Dehairs, J.; Swinnen, J.V.; Hoy, A.J.; Meikle, P.J.; Butler, L.M.; et al. Circulating Lipid Profiles Associated With Resistance to Androgen Deprivation Therapy in Localized Prostate Cancer. JCO Precis. Oncol. 2024, 8, e2400260. [Google Scholar] [CrossRef] [PubMed]
- Jäämaa, S.; Af Hällström, T.M.; Sankila, A.; Rantanen, V.; Koistinen, H.; Stenman, U.-H.; Zhang, Z.; Yang, Z.; De Marzo, A.M.; Taari, K.; et al. DNA damage recognition via activated ATM and p53 pathway in nonproliferating human prostate tissue. Cancer Res. 2010, 70, 8630–8641. [Google Scholar] [CrossRef] [PubMed]
- Brennen, W.N.; Le Magnen, C.; Karkampouna, S.; Anselmino, N.; Bock, N.; Choo, N.; Clark, A.K.; Coleman, I.M.; Dolgos, R.; Ferguson, A.M.; et al. Defining the challenges and opportunities for using patient-derived models in prostate cancer research. Prostate 2024, 84, 623–635. [Google Scholar] [CrossRef]






| Patient Information Before Surgery | Clinical and Histopathological Features | Pre-Clinical Model | ||||||
|---|---|---|---|---|---|---|---|---|
| Total Patient no. | Age (years) mean ± SD | Serum PSA (ng/mL) Mean ± SD | Pathological ISUP * score (%) | Pathological TMN (%) | Post-surgical recurrence (%) | PDX no. | PD-OSC no. | |
| 64 | 69.2 ± 6.4 | 12.4 ± 7.3 | ISUP 1 (9.4%) ISUP 2 (60.9%) ISUP 3 (26.6%) ISUP 5 (3.1%) | pT2c (64%) pT3a (23.4%) pT3b (12.5%) | 23 (35.9%) | 64 | 45 | |
| Subcutaneous Implant | Tumor Expansion | |||||
|---|---|---|---|---|---|---|
| Number of Patients * | Mouse Strain | Fresh Tissue | Frozen Tissue | Number of Mice | Palpable Engraftment | Tumors Take Rate % (Palpable Engraftment/Number of Mice) |
| 7 (PDX#1–7) | NOD/SCID | yes | - | 7 | 0 | 0% (0/7) |
| 20 (PDX#1–20) | NSG | - | yes | 20 | 2 | 10% (2/20) |
| 44 (PDX#21–64) | NSG | yes | - | 44 | 16 | 36% (16/44) |
| Number of Inserts | ||||
|---|---|---|---|---|
| Number of Patients * | 2 inserts (%) | 3 inserts (%) | 4 inserts (%) | 5 inserts (%) |
| Total n = 45 | 12 (27%) | 13 (29%) | 15 (33%) | 5 (11%) |
| No recurrence = 29 | 9 (31%) | 8 (28%) | 9 (31%) | 3 (10%) |
| Recurrence n = 16 | 3 (19%) | 5 (31%) | 6 (38%) | 2 (12%) |
| Total OSCs | Methodology | Analysis | Reference (doi) |
|---|---|---|---|
| N = 9 | Transfection/interference |
| Aiello et al., 2016 [19] (doi: 10.1038/srep38414) |
| N = 8 | Tumor microenvironment stimuli (hypoxia and estrogen) |
| Bacci et al., 2019 [21] (doi: 10.3390/ijms20164012.) |
| N = 50 | Transfection/interference |
| Nanni et al., 2020 [20] (doi: 10.3390/cancers13010015) |
| N = 25 | Small molecules (epidrugs) |
| Pecci et al., 2024 [22] (doi: 10.1186/s12935-024-03231-6) |
| N = 28 | Small molecules (epidrugs) |
| Pecci et al., 2025 [23] (doi: 10.3390/ncrna11030033) |
Disclaimer/Publisher’s Note: The statements, opinions and data contained in all publications are solely those of the individual author(s) and contributor(s) and not of MDPI and/or the editor(s). MDPI and/or the editor(s) disclaim responsibility for any injury to people or property resulting from any ideas, methods, instructions or products referred to in the content. |
© 2025 by the authors. Licensee MDPI, Basel, Switzerland. This article is an open access article distributed under the terms and conditions of the Creative Commons Attribution (CC BY) license (https://creativecommons.org/licenses/by/4.0/).
Share and Cite
Pecci, V.; Borsa, M.; Aiello, A.; De Martino, S.; Cis, L.; Pierconti, F.; Varacalli, D.; Bracco, M.; Ripoli, C.; Pinto, F.; et al. A Feasibility Study of Co-Established Patient-Derived Subcutaneous Xenograft and Organotypic Slice Cultures in Hormone-Naive Primary Prostate Cancer Preclinical Modeling: A Single-Institution Experience. Life 2025, 15, 1719. https://doi.org/10.3390/life15111719
Pecci V, Borsa M, Aiello A, De Martino S, Cis L, Pierconti F, Varacalli D, Bracco M, Ripoli C, Pinto F, et al. A Feasibility Study of Co-Established Patient-Derived Subcutaneous Xenograft and Organotypic Slice Cultures in Hormone-Naive Primary Prostate Cancer Preclinical Modeling: A Single-Institution Experience. Life. 2025; 15(11):1719. https://doi.org/10.3390/life15111719
Chicago/Turabian StylePecci, Valeria, Melissa Borsa, Aurora Aiello, Sara De Martino, Luca Cis, Francesco Pierconti, Domenico Varacalli, Martina Bracco, Cristian Ripoli, Francesco Pinto, and et al. 2025. "A Feasibility Study of Co-Established Patient-Derived Subcutaneous Xenograft and Organotypic Slice Cultures in Hormone-Naive Primary Prostate Cancer Preclinical Modeling: A Single-Institution Experience" Life 15, no. 11: 1719. https://doi.org/10.3390/life15111719
APA StylePecci, V., Borsa, M., Aiello, A., De Martino, S., Cis, L., Pierconti, F., Varacalli, D., Bracco, M., Ripoli, C., Pinto, F., Rotili, D., Grassi, C., Gaetano, C., Pontecorvi, A., Farsetti, A., & Nanni, S. (2025). A Feasibility Study of Co-Established Patient-Derived Subcutaneous Xenograft and Organotypic Slice Cultures in Hormone-Naive Primary Prostate Cancer Preclinical Modeling: A Single-Institution Experience. Life, 15(11), 1719. https://doi.org/10.3390/life15111719

