Sign in to use this feature.

Years

Between: -

Subjects

remove_circle_outline
remove_circle_outline
remove_circle_outline
remove_circle_outline
remove_circle_outline

Journals

Article Types

Countries / Regions

Search Results (25)

Search Parameters:
Keywords = human sapovirus

Order results
Result details
Results per page
Select all
Export citation of selected articles as:
12 pages, 1313 KB  
Article
CrAssphage as a Human Enteric Viral Contamination Bioindicator in Marketed Bivalve Mollusks
by Isabella Rodrigues Negreiros, Natália Lourenço dos Santos, Bruna Barbosa de Paula, Bruna Lopes Figueiredo, Marcelo Luiz Lima Brandão, José Paulo Gagliardi Leite, Marize Pereira Miagostovich and Carina Pacheco Cantelli
Viruses 2025, 17(7), 1012; https://doi.org/10.3390/v17071012 - 18 Jul 2025
Viewed by 1170
Abstract
CrAssphage, a bacteriophage that infects human gut-associated Bacteroides spp., has emerged as a potential anthropogenic fecal pollution indicator in environmental matrices. This study investigated the presence and concentration of crAssphages in bivalve mollusks (oysters and mussels) marketed in three cities in the state [...] Read more.
CrAssphage, a bacteriophage that infects human gut-associated Bacteroides spp., has emerged as a potential anthropogenic fecal pollution indicator in environmental matrices. This study investigated the presence and concentration of crAssphages in bivalve mollusks (oysters and mussels) marketed in three cities in the state of Rio de Janeiro, Brazil, sampled from January to December 2022. CrAssphages were detected during the study period in 66.7% (48/72) of sampled oysters and 54.8% (34/62) of sampled mussels, at median concentrations of 1.9 × 104 and 4.2 × 104 genome copies (GC)/g, respectively. These levels were 1–2 log10 higher than those observed for major human enteric viruses, including norovirus genogroups GI and GII, sapovirus, human mastadenovirus (HAdV), rotavirus A, human astrovirus (HAstV), and hepatitis A virus. CrAssphage specificity and sensitivity were calculated for all viruses. Moderate correlations between crAssphage (log10 GC/g) and norovirus GI and GII, HAdV, SaV, and HAstV (Spearman’s rho = 0.581–0.464, p < 0.001) were observed in mussels. Altogether, the data support the use of crAssphage as a molecular indicator of human viral contamination in shellfish, with potential application in routine environmental and food safety monitoring in production areas. Full article
(This article belongs to the Special Issue Role of Bacteriophage in Intestine Microbial Communities)
Show Figures

Figure 1

19 pages, 12303 KB  
Article
Molecular Evolutionary Analyses of the RNA-Dependent RNA Polymerase (RdRp) Region and VP1 Gene in Sapovirus GI.1 and GI.2
by Fuminori Mizukoshi, Ryusuke Kimura, Tatsuya Shirai, Asumi Hirata-Saito, Eri Hiraishi, Kosuke Murakami, Yen Hai Doan, Hiroyuki Tsukagoshi, Nobuhiro Saruki, Takeshi Tsugawa, Kana Kidera, Yoshiyuki Suzuki, Naomi Sakon, Kazuhiko Katayama, Tsutomu Kageyama, Akihide Ryo and Hirokazu Kimura
Microorganisms 2025, 13(2), 322; https://doi.org/10.3390/microorganisms13020322 - 1 Feb 2025
Viewed by 1455
Abstract
Human sapovirus (HuSaV) is a significant cause of gastroenteritis. This study aims to analyze the evolutionary dynamics of the RNA-dependent RNA polymerase (RdRp) and capsid (VP1) genes of the HuSaV GI.1 and GI.2 genotypes between 1976 and 2020. Using [...] Read more.
Human sapovirus (HuSaV) is a significant cause of gastroenteritis. This study aims to analyze the evolutionary dynamics of the RNA-dependent RNA polymerase (RdRp) and capsid (VP1) genes of the HuSaV GI.1 and GI.2 genotypes between 1976 and 2020. Using bioinformatics tools such as the Bayesian phylogenetics software BEAST 2 package (v.2.7.6), we constructed time-scale evolutionary trees based on the gene sequences. Most of the recent common ancestors (MRCAs) of the RdRp region and VP1 gene in the present HuSaV GI.1 diverged around 1930 and 1933, respectively. The trees of the HuSaV GI.1 RdRp region and VP1 gene were divided into two clusters. Further, the MRCAs of the RdRp region and VP1 gene in HuSaV GI.2 diverged in 1960 and 1943, respectively. The evolutionary rates were higher for VP1 gene in HuSaV GI.1 than that in HuSaV GI.2, furthermore, were higher in GI.1 Cluster B than GI.1 Cluster A. In addition, a steep increase was observed in the time-scaled genome population size of the HuSaV GI.1 Cluster B. These results indicate that the HuSaV GI.1 Cluster B may be evolving more actively than other genotypes. The conformational B-cell epitopes were predicted with a higher probability in RdRp for GI.1 and in VP1 for GI.2, respectively. These results suggest that the RdRp region and VP1 gene in HuSaV GI.1 and GI.2 evolved uniquely. These findings suggest unique evolutionary patterns in the RdRp region and VP1 gene of HuSaV GI.1 and GI.2, emphasizing the need for a ‘One Health’ approach to better understand and combat this pathogen. Full article
(This article belongs to the Special Issue Microbial Evolutionary Genomics and Bioinformatics)
Show Figures

Figure 1

26 pages, 5895 KB  
Article
Multiple Co-Infecting Caliciviruses in Oral Fluid and Enteric Samples of Swine Detected by a Novel RT-qPCR Assay and a 3′RACE-PCR-NGS Method
by Zoltán László, Péter Pankovics, Péter Urbán, Róbert Herczeg, Gyula Balka, Barbara Igriczi, Attila Cságola, Mihály Albert, Fruzsina Tóth, Gábor Reuter and Ákos Boros
Viruses 2025, 17(2), 193; https://doi.org/10.3390/v17020193 - 30 Jan 2025
Cited by 1 | Viewed by 1815
Abstract
Caliciviruses including noro- and sapoviruses of family Caliciviridae are important enteric human and swine pathogens, while others, like valoviruses, are less known. In this study, we developed a detection and typing pipeline for the most prevalent swine enteric caliciviruses—sapovirus GIII (Sw-SaV), norovirus GII [...] Read more.
Caliciviruses including noro- and sapoviruses of family Caliciviridae are important enteric human and swine pathogens, while others, like valoviruses, are less known. In this study, we developed a detection and typing pipeline for the most prevalent swine enteric caliciviruses—sapovirus GIII (Sw-SaV), norovirus GII (Sw-NoV), and valovirus GI (Sw-VaV). The pipeline integrates triplex RT-qPCR, 3′RACE semi-nested PCR, and next-generation sequencing (NovaSeq, Illumina) techniques. A small-scale epidemiological investigation was conducted on archived enteric and, for the first time, on oral fluid/saliva samples of diarrheic and asymptomatic swine of varying ages from Hungary and Slovakia. In enteric samples, Sw-SaV was the most prevalent, detected in 26.26% of samples, primarily in diarrheic pigs with low Cq values, followed by Sw-NoV (2.53%) in nursery pigs. In oral fluid samples, Sw-NoV predominated (7.46%), followed by Sw-SaV (4.39%). Sw-VaVs were sporadically found in both sample types. A natural, asymptomatic Sw-SaV outbreak was retrospectively detected where the transient shedding of the virus was <2 weeks. Complete capsid sequences (n = 59; 43 Sw-SaV, 13 Sw-NoV, and 3 Sw-VaV) including multiple (up to five) co-infecting variants were identified. Sw-SaV sequences belong to seven genotypes, while Sw-NoV and Sw-VaV strains clustered into distinct sub-clades, highlighting the complex diversity of these enteric caliciviruses in swine. Full article
(This article belongs to the Special Issue Porcine Viruses 2024)
Show Figures

Figure 1

10 pages, 215 KB  
Article
Comparison of AccuPower Diarrhea V1&V2 RT-PCR to a Chromatographic Immunoassay for Detecting Viral Pathogens from Human Diarrheal Stool Specimens
by Luka Katic, Boris Mihaljevic, Marijo Pirija, Ivana Goic-Barisic, Marija Tonkic and Anita Novak
Trop. Med. Infect. Dis. 2025, 10(2), 33; https://doi.org/10.3390/tropicalmed10020033 - 24 Jan 2025
Viewed by 1656
Abstract
Viruses are a frequent cause of self-limited diarrhea, with more severe outcomes in immunocompromised patients. This study aimed to compare the performance of Real-Time RT-PCR to chromatographic immunoassays (CIAs) for detecting the major gastrointestinal viruses in human stool. This study was conducted at [...] Read more.
Viruses are a frequent cause of self-limited diarrhea, with more severe outcomes in immunocompromised patients. This study aimed to compare the performance of Real-Time RT-PCR to chromatographic immunoassays (CIAs) for detecting the major gastrointestinal viruses in human stool. This study was conducted at the University Hospital of Split, Croatia, from October 2023 to May 2024. Stool samples were simultaneously analyzed with CIA (Acro Biotech Rotavirus and Adenovirus Combo Rapid Test Cassette, USA and JusChek Norovirus Rapid Test Cassette, China) and Real-Time RT-PCR (AccuPower Diarrhea V1&V2 Real-Time RT-PCR, Bioneer, Republic of Korea), according to the manufacturers’ instructions. Positive percent agreement (PPA), negative percent agreement (NPA), and overall percent agreement (OPA) were calculated. For norovirus, CIA had a low PPA (25%), indicating that it missed 75% of norovirus-positive cases identified by RT-PCR. Adenovirus detection by CIA showed poor agreement with RT-PCR (PPA 0%; NPA 100%). Rotavirus detection presented a relatively better performance with CIA (PPA 90.9% and OPA 84.13%). However, the presence of false positives (15.8%) highlights the need for confirmatory RT-PCR testing. One specimen was sapovirus-RT-PCR-positive, marking the first documented case from human specimens in Croatia. Although CIA provided rapid results, limitations regarding reliability highlight the value of RT-PCR, particularly in the case of ambiguous clinical cases with negative antigenic test results and newly emerged viruses. A two-step diagnostic approach, with initial CIA screening followed by confirmatory RT-PCR, could balance cost-effectiveness with diagnostic accuracy. Full article
13 pages, 2180 KB  
Article
Towards Detecting Associations of Canine Astrovirus and Caliciviruses with Health and Living Characteristics of Dogs in Greece
by Efthymia Stamelou, Konstantinos Papageorgiou, Dimitrios Papadopoulos, Georgios Delis, Dimitrios Chatzopoulos, Zoi Athanasakopoulou, Efstratios Moschidis, Evanthia Petridou and Spyridon K. Kritas
Pathogens 2025, 14(1), 92; https://doi.org/10.3390/pathogens14010092 - 18 Jan 2025
Viewed by 1351
Abstract
Astroviruses and caliciviruses are important causative agents of gastroenteritis in humans worldwide. They have been detected in a variety of animal species, including dogs, but their role in the induction of disease in animals remains uncertain. In a molecular study that was conducted [...] Read more.
Astroviruses and caliciviruses are important causative agents of gastroenteritis in humans worldwide. They have been detected in a variety of animal species, including dogs, but their role in the induction of disease in animals remains uncertain. In a molecular study that was conducted in Greece, including healthy and gastroenteritis-affected dogs of different ages, astrovirus (AstV) and sapovirus (SaV) were detected in 15% and 26% of the examined animals, respectively. A specialized questionnaire was filled out for each of the dogs participating in the study, including information about different characteristics and risk factors that could possibly affect their health status. This information was analyzed with the use of two innovative statistical methods, i.e., a Multiple Correspondence Analysis (MCA) and the Ascending Hierarchical Classification (AHC). Based on their results, it was possible to define various groups of dogs based on their characteristics. AstV seems to occur more often in low-health-status dogs, usually mongrels, living in rural areas, showing vomit, diarrhea, and diet changes. Dogs of this group usually live with other pets in the same household and have frequent contact with stray animals. The presence of SaV does not seem to be associated with any of the examined factors. Full article
Show Figures

Figure 1

9 pages, 1717 KB  
Communication
Identification of Aichivirus in a Pet Rat (Rattus norvegicus) in Italy
by Flora Alfano, Maria Gabriella Lucibelli, Francesco Serra, Martina Levante, Simona Rea, Amalia Gallo, Federica Petrucci, Alessia Pucciarelli, Gerardo Picazio, Marina Monini, Ilaria Di Bartolo, Dario d’Ovidio, Mario Santoro, Esterina De Carlo, Giovanna Fusco and Maria Grazia Amoroso
Animals 2024, 14(12), 1765; https://doi.org/10.3390/ani14121765 - 11 Jun 2024
Cited by 2 | Viewed by 1928
Abstract
We investigated the occurrence of eight potential zoonotic viruses in 91 exotic companion mammals from pet shops in southern Italy via real-time PCR and end-point PCR. The animals were screened for aichivirus, sapovirus, astrovirus, hepatitis A, noroviruses (GI and GII), rotavirus, circovirus, and [...] Read more.
We investigated the occurrence of eight potential zoonotic viruses in 91 exotic companion mammals from pet shops in southern Italy via real-time PCR and end-point PCR. The animals were screened for aichivirus, sapovirus, astrovirus, hepatitis A, noroviruses (GI and GII), rotavirus, circovirus, and SARS-CoV-2. Among the nine species of exotic pets studied, only one rat tested positive for aichivirus. The high sequence similarity to a murine kobuvirus-1 strain previously identified in China suggests that the virus may have been introduced into Italy through the importation of animals from Asia. Since exotic companion mammals live in close contact with humans, continuous sanitary monitoring is crucial to prevent the spread of new pathogens among domestic animals and humans. Further investigations on detecting and typing zoonotic viruses are needed to identify emerging and re-emerging viruses to safeguard public health. Full article
(This article belongs to the Special Issue General Epidemiology of Animal Viruses)
Show Figures

Figure 1

21 pages, 2632 KB  
Article
Assessment of Gastroenteric Viruses in Marketed Bivalve Mollusks in the Tourist Cities of Rio de Janeiro, Brazil, 2022
by Carina Pacheco Cantelli, Guilherme Caetano Lanzieri Tavares, Sylvia Kahwage Sarmento, Fernanda Marcicano Burlandy, Tulio Machado Fumian, Adriana Gonçalves Maranhão, Emanuelle de Souza Ramalho Ferreira da Silva, Marco Aurélio Pereira Horta, Marize Pereira Miagostovich, Zhihui Yang and José Paulo Gagliardi Leite
Viruses 2024, 16(3), 317; https://doi.org/10.3390/v16030317 - 20 Feb 2024
Cited by 10 | Viewed by 3472
Abstract
This study investigated the prevalence and genetic diversity of gastroenteric viruses in mussels and oysters in Rio de Janeiro, Brazil. One hundred and thirty-four marketed bivalve samples were obtained between January and December 2022. The viral analysis was performed according to ISO/TS 15216, [...] Read more.
This study investigated the prevalence and genetic diversity of gastroenteric viruses in mussels and oysters in Rio de Janeiro, Brazil. One hundred and thirty-four marketed bivalve samples were obtained between January and December 2022. The viral analysis was performed according to ISO/TS 15216, and the screening revealed the detection of norovirus GII/GI (40.3%), sapovirus (SaV; 12.7%), human mastadenovirus (7.5%), and rotavirus A (RVA; 5.9%). In total, 44.8% (60) of shellfish samples tested positive for one or more viruses, 46.7% (28/60) of the positive samples tested positive for a single viral agent, 26.7% (16) tested positive for two viral agents, 8.3% (5) for three viral agents, and 13.3% (8) for four viral agents. Additionally, three mussel samples were contaminated with the five investigated viruses (5%, 3/60). Norovirus GII showed the highest mean viral load (3.4 × 105 GC/g), followed by SaV (1.4 × 104 GC/g), RVA (1.1 × 104 GC/g), human mastadenovirus (3.9 × 103 GC/g), and norovirus GI (6.7 × 102 GC/g). Molecular characterization revealed that the recovered norovirus strains belonged to genotypes GII.2, GII.6, GII.9, GII.17, and GII.27; SaV belonged to genotypes GI.1 and GIV.1; RVA to genotypes G6, G8, P[8]-III, and human mastadenovirus to types F40 and F41. The GII.27 norovirus characterized in this study is the only strain of this genotype reported in Brazil. This study highlights the dissemination and diversity of gastroenteric viruses present in commercialized bivalves in a touristic area, indicating the potential risk to human health and the contribution of bivalves in the propagation of emerging pathogens. Full article
(This article belongs to the Special Issue Epidemiology of Foodborne Viral Diseases)
Show Figures

Figure 1

17 pages, 6514 KB  
Article
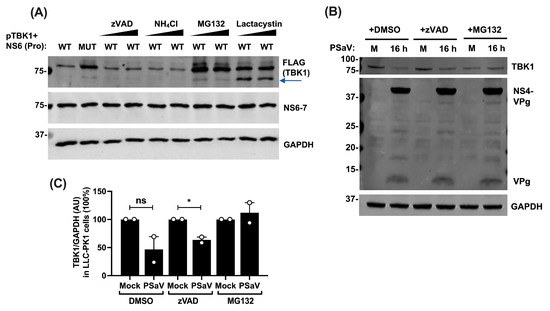
Porcine Sapovirus Protease Controls the Innate Immune Response and Targets TBK1
by Iliana Georgana, Myra Hosmillo, Aminu S. Jahun, Edward Emmott, Frederic Sorgeloos, Kyoung-Oh Cho and Ian G. Goodfellow
Viruses 2024, 16(2), 247; https://doi.org/10.3390/v16020247 - 3 Feb 2024
Cited by 2 | Viewed by 2562
Abstract
Human sapoviruses (HuSaVs) and noroviruses are considered the leading cause of acute gastroenteritis worldwide. While extensive research has focused on noroviruses, our understanding of sapoviruses (SaVs) and their interactions with the host’s immune response remains limited. HuSaVs have been challenging to propagate in [...] Read more.
Human sapoviruses (HuSaVs) and noroviruses are considered the leading cause of acute gastroenteritis worldwide. While extensive research has focused on noroviruses, our understanding of sapoviruses (SaVs) and their interactions with the host’s immune response remains limited. HuSaVs have been challenging to propagate in vitro, making the porcine sapovirus (PSaV) Cowden strain a valuable model for studying SaV pathogenesis. In this study we show, for the first time, that PSaV Cowden strain has mechanisms to evade the host’s innate immune response. The virus 3C-like protease (NS6) inhibits type I IFN production by targeting TBK1. Catalytically active NS6, both during ectopic expression and during PSaV infection, targets TBK1 which is then led for rapid degradation by the proteasome. Moreover, deletion of TBK1 from porcine cells led to an increase in PSaV titres, emphasizing its role in regulating PSaV infection. Additionally, we successfully established PSaV infection in IPEC-J2 cells, an enterocytic cell line originating from the jejunum of a neonatal piglet. Overall, this study provides novel insights into PSaV evasion strategies, opening the way for future investigations into SaV–host interactions, and enabling the use of a new cell line model for PSaV research. Full article
(This article belongs to the Section Animal Viruses)
Show Figures

Figure 1

36 pages, 1200 KB  
Review
Common and Potential Emerging Foodborne Viruses: A Comprehensive Review
by Amin N. Olaimat, Asma’ O. Taybeh, Anas Al-Nabulsi, Murad Al-Holy, Ma’mon M. Hatmal, Jihad Alzyoud, Iman Aolymat, Mahmoud H. Abughoush, Hafiz Shahbaz, Anas Alzyoud, Tareq Osaili, Mutamed Ayyash, Kevin M. Coombs and Richard Holley
Life 2024, 14(2), 190; https://doi.org/10.3390/life14020190 - 28 Jan 2024
Cited by 34 | Viewed by 18023
Abstract
Human viruses and viruses from animals can cause illnesses in humans after the consumption of contaminated food or water. Contamination may occur during preparation by infected food handlers, during food production because of unsuitably controlled working conditions, or following the consumption of animal-based [...] Read more.
Human viruses and viruses from animals can cause illnesses in humans after the consumption of contaminated food or water. Contamination may occur during preparation by infected food handlers, during food production because of unsuitably controlled working conditions, or following the consumption of animal-based foods contaminated by a zoonotic virus. This review discussed the recent information available on the general and clinical characteristics of viruses, viral foodborne outbreaks and control strategies to prevent the viral contamination of food products and water. Viruses are responsible for the greatest number of illnesses from outbreaks caused by food, and risk assessment experts regard them as a high food safety priority. This concern is well founded, since a significant increase in viral foodborne outbreaks has occurred over the past 20 years. Norovirus, hepatitis A and E viruses, rotavirus, astrovirus, adenovirus, and sapovirus are the major common viruses associated with water or foodborne illness outbreaks. It is also suspected that many human viruses including Aichi virus, Nipah virus, tick-borne encephalitis virus, H5N1 avian influenza viruses, and coronaviruses (SARS-CoV-1, SARS-CoV-2 and MERS-CoV) also have the potential to be transmitted via food products. It is evident that the adoption of strict hygienic food processing measures from farm to table is required to prevent viruses from contaminating our food. Full article
(This article belongs to the Special Issue Food Microbiological Contamination)
Show Figures

Figure 1

14 pages, 2752 KB  
Article
Prevalence and Characterization of Gastroenteritis Viruses among Hospitalized Children during a Pilot Rotavirus Vaccine Introduction in Vietnam
by Chu Thi Ngoc Mai, Le Thi Khanh Ly, Yen Hai Doan, Tomoichiro Oka, Le Thi Phuong Mai, Nguyen Tu Quyet, Tran Ngoc Phuong Mai, Vu Dinh Thiem, Lai Tuan Anh, Le Van Sanh, Nguyen Dang Hien, Dang Duc Anh, Umesh D. Parashar, Jacqueline E. Tate and Nguyen Van Trang
Viruses 2023, 15(11), 2164; https://doi.org/10.3390/v15112164 - 27 Oct 2023
Cited by 9 | Viewed by 3620
Abstract
Rotavirus (RV), norovirus (NoV), sapovirus (SaV), and human astrovirus (HAstV) are the most common viral causes of gastroenteritis in children worldwide. From 2016 to 2021, we conducted a cross-sectional descriptive study to determine the prevalence of these viruses in hospitalized children under five [...] Read more.
Rotavirus (RV), norovirus (NoV), sapovirus (SaV), and human astrovirus (HAstV) are the most common viral causes of gastroenteritis in children worldwide. From 2016 to 2021, we conducted a cross-sectional descriptive study to determine the prevalence of these viruses in hospitalized children under five years old in Nam Dinh and Thua Thien Hue provinces in Vietnam during the pilot introduction of the RV vaccine, Rotavin-M1 (POLYVAC, Hanoi, Vietnam). We randomly selected 2317/6718 (34%) acute diarrheal samples from children <5 years of age enrolled at seven sentinel hospitals from December 2016 to May 2021; this period included one year surveillance pre-vaccination from December 2016 to November 2017. An ELISA kit (Premier Rotaclone®, Meridian Bioscience, Inc., Cincinnati, OH, USA) was used to detect RV, and two multiplex real-time RT-PCR assays were used for the detection of NoV, SaV and HAstV. The prevalence of RV (single infection) was reduced from 41.6% to 22.7% (p < 0.0001) between pre- and post-vaccination periods, while the single NoV infection prevalence more than doubled from 8.8% to 21.8% (p < 0.0001). The SaV and HAstV prevalences slightly increased from 1.9% to 3.4% (p = 0.03) and 2.1% to 3.3% (p = 0.09), respectively, during the same period. Viral co-infections decreased from 7.2% to 6.0% (p = 0.24), mainly due to a reduction in RV infection. Among the genotypeable samples, NoV GII.4, SaV GI.1, and HAstV-1 were the dominant types, representing 57.3%, 32.1%, and 55.0% among the individual viral groups, respectively. As the prevalence of RV decreases following the national RV vaccine introduction in Vietnam, other viral pathogens account for a larger proportion of the remaining diarrhea burden and require continuing close monitoring. Full article
(This article belongs to the Section Human Virology and Viral Diseases)
Show Figures

Figure 1

12 pages, 1416 KB  
Article
Replication of Human Sapovirus in Human-Induced Pluripotent Stem Cell-Derived Intestinal Epithelial Cells
by Naomi Matsumoto, Shiho Kurokawa, Shigeyuki Tamiya, Yutaka Nakamura, Naomi Sakon, Shoko Okitsu, Hiroshi Ushijima, Yoshikazu Yuki, Hiroshi Kiyono and Shintaro Sato
Viruses 2023, 15(9), 1929; https://doi.org/10.3390/v15091929 - 15 Sep 2023
Cited by 7 | Viewed by 2690
Abstract
Sapoviruses, like noroviruses, are single-stranded positive-sense RNA viruses classified in the family Caliciviridae and are recognized as a causative pathogen of diarrhea in infants and the elderly. Like human norovirus, human sapovirus (HuSaV) has long been difficult to replicate in vitro. Recently, it [...] Read more.
Sapoviruses, like noroviruses, are single-stranded positive-sense RNA viruses classified in the family Caliciviridae and are recognized as a causative pathogen of diarrhea in infants and the elderly. Like human norovirus, human sapovirus (HuSaV) has long been difficult to replicate in vitro. Recently, it has been reported that HuSaV can be replicated in vitro by using intestinal epithelial cells (IECs) derived from human tissues and cell lines derived from testicular and duodenal cancers. In this study, we report that multiple genotypes of HuSaV can sufficiently infect and replicate in human-induced pluripotent stem cell-derived IECs. We also show that this HuSaV replication system can be used to investigate the conditions for inactivation of HuSaV by heat and alcohol, and the effects of virus neutralization of antisera obtained by immunization with vaccine antigens, under conditions closer to the living environment. The results of this study confirm that HuSaV can also infect and replicate in human normal IECs regardless of their origin and are expected to contribute to future virological studies. Full article
(This article belongs to the Section Human Virology and Viral Diseases)
Show Figures

Figure 1

12 pages, 3704 KB  
Article
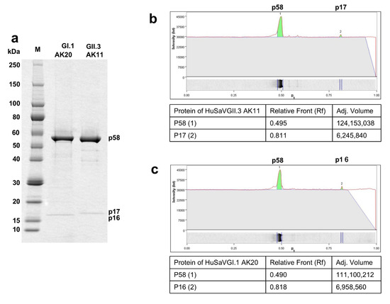
Characterization of a Human Sapovirus Genotype GII.3 Strain Generated by a Reverse Genetics System: VP2 Is a Minor Structural Protein of the Virion
by Tian-Cheng Li, Michiyo Kataoka, Yen Hai Doan, Hiroyuki Saito, Hirotaka Takagi, Masamichi Muramatsu and Tomoichiro Oka
Viruses 2022, 14(8), 1649; https://doi.org/10.3390/v14081649 - 27 Jul 2022
Cited by 13 | Viewed by 2558
Abstract
We devised a reverse genetics system to generate an infectious human sapovirus (HuSaV) GII.3 virus. Capped/uncapped full-length RNAs derived from HuSaV GII.3 AK11 strain generated by in vitro transcription were used to transfect HuTu80 human duodenum carcinoma cells; infectious viruses were recovered from [...] Read more.
We devised a reverse genetics system to generate an infectious human sapovirus (HuSaV) GII.3 virus. Capped/uncapped full-length RNAs derived from HuSaV GII.3 AK11 strain generated by in vitro transcription were used to transfect HuTu80 human duodenum carcinoma cells; infectious viruses were recovered from the capped RNA-transfected cells and passaged in the cells. Genome-wide analyses indicated no nucleotide sequence change in the virus genomes in the cell-culture supernatants recovered from the transfection or those from the subsequent infection. No virus growth was detected in the uncapped RNA-transfected cells, suggesting that the 5′-cap structure is essential for the virus’ generation and replication. Two types of virus particles were purified from the cell-culture supernatant. The complete particles were 39.2-nm-dia., at 1.350 g/cm3 density; the empty particles were 42.2-nm-dia. at 1.286 g/cm3. Two proteins (58-kDa p58 and 17-kDa p17) were detected from the purified particles; their molecular weight were similar to those of VP1 (~60-kDa) and VP2 (~16-kDa) of AK11 strain deduced from their amino acids (aa) sequences. Protein p58 interacted with HuSaV GII.3-VP1-specific antiserum, suggesting that p58 is HuSaV VP1. A total of 94 (57%) aa of p17 were identified by mass spectrometry; the sequences were identical to those of VP2, indicating that the p17 is the VP2 of AK11. Our new method produced infectious HuSaVs and demonstrated that VP2 is the minor protein of the virion, suggested to be involved in the HuSaV assembly. Full article
(This article belongs to the Section Human Virology and Viral Diseases)
Show Figures

Figure 1

13 pages, 696 KB  
Review
The Complexity of Swine Caliciviruses. A Mini Review on Genomic Diversity, Infection Diagnostics, World Prevalence and Pathogenicity
by Irit Davidson, Efthymia Stamelou, Ioannis A. Giantsis, Konstantinos V. Papageorgiou, Evanthia Petridou and Spyridon K. Kritas
Pathogens 2022, 11(4), 413; https://doi.org/10.3390/pathogens11040413 - 29 Mar 2022
Cited by 5 | Viewed by 3129
Abstract
Caliciviruses are single stranded RNA viruses, non-enveloped structurally, that are implicated in the non-bacterial gastroenteritis in various mammal species. Particularly in swine, viral gastroenteritis represents a major problem worldwide, responsible for significant economic losses for the pig industry. Among the wide range of [...] Read more.
Caliciviruses are single stranded RNA viruses, non-enveloped structurally, that are implicated in the non-bacterial gastroenteritis in various mammal species. Particularly in swine, viral gastroenteritis represents a major problem worldwide, responsible for significant economic losses for the pig industry. Among the wide range of viruses that are the proven or suspected etiological agents of gastroenteritis, the pathogenicity of the members of Caliciviridae family is among the less well understood. In this context, the present review presents and discusses the current knowledge of two genera belonging to this family, namely the Norovirus and the Sapovirus, in relation to swine. Aspects such as pathogenicity, clinical evidence, symptoms, epidemiology and worldwide prevalence, genomic diversity, identification tools as well as interchanging hosts are not only reviewed but also critically evaluated. Generally, although often asymptomatic in pigs, the prevalence of those microbes in pig farms exhibits a worldwide substantial increasing trend. It should be mentioned, however, that the factors influencing the symptomatology of these viruses are still far from well established. Interestingly, both these viruses are also characterized by high genetic diversity. These high levels of molecular diversity in Caliciviridae family are more likely a result of recombination rather than evolutionary or selective adaptation via mutational steps. Thus, molecular markers for their detection are mostly based on conserved regions such as the RdRp region. Finally, it should be emphasized that Norovirus and the Sapovirus may also infect other domestic, farm and wild animals, including humans, and therefore their surveillance and clarification role in diseases such as diarrhea is a matter of public health importance as well. Full article
(This article belongs to the Special Issue Swine Viral Diseases)
Show Figures

Figure 1

10 pages, 919 KB  
Article
Molecular Epidemiology of Sapovirus in Children Living in the Northwest Amazon Region
by Marcia Terezinha Baroni de Moraes, Gabriel Azevedo Alves Leitão, Alberto Ignácio Olivares Olivares, Maria da Penha Trindade Pinheiro Xavier, Romanul de Souza Bispo, Sumit Sharma, José Paulo Gagliardi Leite, Lennart Svensson and Johan Nordgren
Pathogens 2021, 10(8), 965; https://doi.org/10.3390/pathogens10080965 - 30 Jul 2021
Cited by 7 | Viewed by 3209
Abstract
Sapovirus is an important etiological agent of acute gastroenteritis (AGE), mainly in children under 5 years old living in lower-income communities. Eighteen identified sapovirus genotypes have been observed to infect humans. The aim of this study was to identify sapovirus genotypes circulating in [...] Read more.
Sapovirus is an important etiological agent of acute gastroenteritis (AGE), mainly in children under 5 years old living in lower-income communities. Eighteen identified sapovirus genotypes have been observed to infect humans. The aim of this study was to identify sapovirus genotypes circulating in the Amazon region. Twenty-eight samples were successfully genotyped using partial sequencing of the capsid gene. The genotypes identified were GI.1 (n = 3), GI.2 (n = 7), GII.1 (n = 1), GII.2 (n = 1), GII.3 (n = 5), GII.5 (n = 1), and GIV.1 (n = 10). The GIV genotype was the most detected genotype (35.7%, 10/28). The phylogenetic analysis identified sapovirus genotypes that had no similarity with other strains reported from Brazil, indicating that these genotypes may have entered the Amazon region via intense tourism in the Amazon rainforest. No association between histo-blood group antigen expression and sapovirus infection was observed. Full article
(This article belongs to the Special Issue Advances in Human Pathogens Infections)
Show Figures

Figure 1

8 pages, 890 KB  
Communication
New Variants of Squash Mosaic Viruses Detected in Human Fecal Samples
by Fabiola Villanova, Roberta Marcatti, Mayara Bertanhe, Vanessa dos Santos Morais, Flavio Augusto de Padua Milagres, Rafael Brustulin, Emerson Luiz Lima Araújo, Roozbeh Tahmasebi, Steven S. Witkin, Xutao Deng, Eric Delwart, Ester Cerdeira Sabino, Cassio Hamilton Abreu-Junior, Élcio Leal and Antonio Charlys da Costa
Microorganisms 2021, 9(7), 1349; https://doi.org/10.3390/microorganisms9071349 - 22 Jun 2021
Cited by 2 | Viewed by 2893
Abstract
Squash mosaic virus (SqMV) is a phytovirus that infects great diversity of plants worldwide. In Brazil, the SqMV has been identified in the states of Ceará, Maranhão, Piauí, Rio Grande do Norte, and Tocantins. The presence of non-pathogenic viruses in animals, such as [...] Read more.
Squash mosaic virus (SqMV) is a phytovirus that infects great diversity of plants worldwide. In Brazil, the SqMV has been identified in the states of Ceará, Maranhão, Piauí, Rio Grande do Norte, and Tocantins. The presence of non-pathogenic viruses in animals, such as phytoviruses, may not be completely risk-free. Similarities in gene repertories between these viruses and viruses that affect animal species have been reported. The present study describes the fully sequenced genomes of SqMV found in human feces, collected in Tocantins, and analyzes the viral profile by metagenomics in the context of diarrhea symptomatology. The complete SqMV genome was obtained in 39 of 253 analyzed samples (15.5%); 97.4% of them belonged to children under 5 years old. There was no evidence that the observed symptoms were related to the presence of SqMV. Of the different virus species detected in these fecal samples, at least 4 (rotavirus, sapovirus, norovirus, parechovirus) are widely known to cause gastrointestinal symptoms. The presence of SqMV nucleic acid in fecal samples is likely due to recent dietary consumption and it is not evidence of viral replication in the human intestinal cells. Identifying the presence of SqMV in human feces and characterization of its genome is a relevant precursor to determining whether and how plant viruses interact with host cells or microorganisms in the human gastrointestinal tract. Full article
Show Figures

Figure 1

Back to TopTop