Sign in to use this feature.

Years

Between: -

Subjects

remove_circle_outline
remove_circle_outline
remove_circle_outline
remove_circle_outline
remove_circle_outline
remove_circle_outline
remove_circle_outline
remove_circle_outline
remove_circle_outline

Journals

remove_circle_outline
remove_circle_outline
remove_circle_outline
remove_circle_outline
remove_circle_outline
remove_circle_outline
remove_circle_outline
remove_circle_outline
remove_circle_outline
remove_circle_outline

Article Types

Countries / Regions

remove_circle_outline
remove_circle_outline
remove_circle_outline
remove_circle_outline
remove_circle_outline
remove_circle_outline

Search Results (1,000)

Search Parameters:
Keywords = heterologous proteins

Order results
Result details
Results per page
Select all
Export citation of selected articles as:
18 pages, 4535 KB  
Article
Sequence-Encoded Aggregation of AA10 LPMO Domains as a Basis for Inclusion Body Design
by Ahmad Muaaz Hassan Butt and Anwar Sunna
Int. J. Mol. Sci. 2026, 27(3), 1188; https://doi.org/10.3390/ijms27031188 (registering DOI) - 24 Jan 2026
Abstract
Inclusion bodies (IBs) in Escherichia coli are increasingly recognised as nanostructured materials with tunable morphology and functional potential. The N-terminal auxiliary activity family 10 (AA10) lytic polysaccharide monooxygenase (LPMO) domain from Caldibacillus cellulovorans (Ccelp40) consistently forms IBs and, when fused to [...] Read more.
Inclusion bodies (IBs) in Escherichia coli are increasingly recognised as nanostructured materials with tunable morphology and functional potential. The N-terminal auxiliary activity family 10 (AA10) lytic polysaccharide monooxygenase (LPMO) domain from Caldibacillus cellulovorans (Ccelp40) consistently forms IBs and, when fused to diverse proteins, generates functional IBs. Here, we examined whether this strong aggregation propensity is unique to Ccelp40 or a broader feature of AA10 LPMOs. Four homologous domains from phylogenetically distinct microorganisms, Kallotenue papyrolyticum (Kpapp40), Kibdelosporangium aridum (Karip40), Archangium lipolyticum (Alipp40), and Phytohabitans suffuscus (Psufp40), were heterologously expressed in E. coli under identical cytosolic conditions. All homologues accumulated predominantly in the insoluble fraction, forming morphologically uniform IBs with sub-micron diameters (550–860 nm) and moderate polydispersity indices (0.45–0.54). SDS-PAGE densitometry indicated that most of each expressed protein partitioned into the insoluble fraction. Field-emission scanning electron microscopy revealed compact spherical aggregates, and Fourier-transform infrared spectroscopy showed β-sheet-enriched secondary structures characteristic of ordered IBs. These results indicate that the pronounced aggregation tendency previously observed for Ccelp40 is conserved across the AA10 homologues examined. The findings support the view that the AA10 domain represents a promising scaffold for generating stable, recyclable protein nanoparticles and provides a comparative basis for future IB-based biotechnological designs. Full article
(This article belongs to the Section Molecular Microbiology)
19 pages, 2433 KB  
Article
Stable Resistance to Potato Virus Y and Potato Leafroll Virus in Transgenic Potato Plants cv. Kennebec Expressing Viral Genes Under Greenhouse and Field Conditions
by María Pilar Barrios Barón, Natalia Inés Almasia, Vanesa Nahirñak, Diego Zavallo, Deimer Daniel Rodriguez Diaz, Sebastián Asurmendi, Federico Fuligna, Horacio Esteban Hopp, Ana Julia Distéfano and Cecilia Vazquez Rovere
Plants 2026, 15(3), 355; https://doi.org/10.3390/plants15030355 - 23 Jan 2026
Abstract
Potato virus Y (PVY) and potato leafroll virus (PLRV) are the most damaging viruses for potato production worldwide. Mixed infections not only result in additive detrimental effects on plant growth and tuber yield but also complicate the development of durable and broad-spectrum viral [...] Read more.
Potato virus Y (PVY) and potato leafroll virus (PLRV) are the most damaging viruses for potato production worldwide. Mixed infections not only result in additive detrimental effects on plant growth and tuber yield but also complicate the development of durable and broad-spectrum viral resistance. Heterologous protection against PVY can be achieved through the expression of the coat protein (CP) of lettuce mosaic virus (LMV) (CPLMV), conferring resistance via a capsid protein-mediated mechanism. On the other hand, we have previously demonstrated that transgenic lines expressing the PLRV ORF2 (RepPLRV) exhibit resistance to different PLRV isolates. In this study, potato transgenic lines of cv. Kennebec expressing CPLMV and RepPLRV were developed to confer dual virus resistance. Transgenic and non-transgenic control plants were molecularly and phenotypically characterized in greenhouse and field conditions. Across multiple growing seasons, two selected transgenic lines consistently displayed robust resistance to both major viruses, without exhibiting yield penalties or noticeable phenotypic alterations. These results constitute a significant advancement, demonstrating that dual resistance to PVY and PLRV can be achieved while preserving the original agronomic performance of the cultivar. This breakthrough not only contributes to long-term crop productivity but also provides a more sustainable strategy for managing viral diseases in potato production. Full article
(This article belongs to the Special Issue Genetic Approaches to Enhancing Disease Resistance in Crops)
Show Figures

Figure 1

10 pages, 3936 KB  
Brief Report
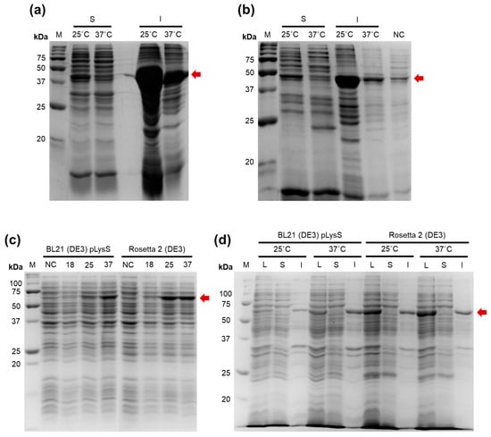
Insights into the Performance of CusF as a Solubility Tag for Recombinant Protein Expression
by Igor P. Oscorbin, Maria A. Smertina, Maria S. Kunova and Maxim L. Filipenko
Int. J. Mol. Sci. 2026, 27(2), 1057; https://doi.org/10.3390/ijms27021057 - 21 Jan 2026
Viewed by 59
Abstract
The metal-binding periplasmic protein CusF has been proposed as a bifunctional tag that enhances the solubility of recombinant proteins and enables purification using Cu affinity chromatography. However, evidence for its performance remains limited to a few model proteins. Here, we evaluated CusF as [...] Read more.
The metal-binding periplasmic protein CusF has been proposed as a bifunctional tag that enhances the solubility of recombinant proteins and enables purification using Cu affinity chromatography. However, evidence for its performance remains limited to a few model proteins. Here, we evaluated CusF as a solubility tag for two heterologous proteins: a putative poly(A)-polymerase from Enterococcus faecalis (Efa PAP) and the red fluorescent protein mCherry. The proteins were fused to CusF, expressed in E. coli BL21 (DE3) pLysS and Rosetta 2 (DE3) strains, and assessed for solubility and IMAC binding. Native Efa PAP was completely insoluble under all tested conditions, and fusion to CusF did not improve its solubility. Similarly, CusF–mCherry accumulated predominantly in the insoluble fraction, with only trace amounts detectable in soluble lysates. Soluble CusF–mCherry did not bind Cu2+-charged IMAC resin, while moderate binding to Ni2+-charged resin was attributable to the vector-encoded His tag rather than CusF. These results indicate that CusF does not universally enhance protein solubility and may not consistently bind Cu-based IMAC resin. Our findings expand empirical knowledge of solubility tag performance and emphasize the necessity of testing multiple tags to identify optimal strategies for recombinant protein production. Full article
(This article belongs to the Section Biochemistry)
Show Figures

Figure 1

17 pages, 3130 KB  
Article
ColiFormer: A Transformer-Based Codon Optimization Model Balancing Multiple Objectives for Enhanced E. coli Gene Expression
by Saketh Baddam, Omar Emam, Abdelrahman Elfikky, Francesco Cavarretta, George Luka, Ibrahim Farag and Yasser Sanad
Bioengineering 2026, 13(1), 114; https://doi.org/10.3390/bioengineering13010114 - 19 Jan 2026
Viewed by 245
Abstract
Codon optimization is widely used to improve heterologous gene expression in Escherichia coli. However, many existing methods focus primarily on maximizing the codon adaptation index (CAI) and neglect broader aspects of biological context. In this study, we present ColiFormer, a transformer-based codon [...] Read more.
Codon optimization is widely used to improve heterologous gene expression in Escherichia coli. However, many existing methods focus primarily on maximizing the codon adaptation index (CAI) and neglect broader aspects of biological context. In this study, we present ColiFormer, a transformer-based codon optimization framework fine-tuned on 3676 high-expression E. coli genes curated from the NCBI database. Built on the CodonTransformer BigBird architecture, ColiFormer employs self-attention mechanisms and a mathematical optimization method (the augmented Lagrangian approach) to balance multiple biological objectives simultaneously, including CAI, GC content, tRNA adaptation index (tAI), RNA stability, and minimization of negative cis-regulatory elements. Based on in silico evaluations on 37,053 native E. coli genes and 80 recombinant protein targets commonly used in industrial studies, ColiFormer demonstrated significant improvements in CAI and tAI values, maintained GC content within biologically optimal ranges, and reduced inhibitory cis-regulatory motifs compared with established codon optimization approaches, while maintaining competitive runtime performance. These results represent computational predictions derived from standard in silico metrics; future experimental work is anticipated to validate these computational predictions in vivo. ColiFormer has been released as an open-source tool alongside the benchmark datasets used in this study. Full article
(This article belongs to the Section Biochemical Engineering)
Show Figures

Graphical abstract

16 pages, 1946 KB  
Article
Indirect ELISA Using Multi-Antigenic Dominants of VP1, VP2, and VP3 Recombinant Protein to Detect Antibodies Against Senecavirus A in Pigs
by Zenglin Wang, Dexin Li, Yufang Li, Yunjing Zhang, Junhua Deng, Liying Hao, Kegong Tian and Xiangdong Li
Vet. Sci. 2026, 13(1), 90; https://doi.org/10.3390/vetsci13010090 - 15 Jan 2026
Viewed by 149
Abstract
Senecavirus A (SVA) is an emerging pathogen that poses a significant threat to the global swine industry. With the advent of SVA vaccines, there is a growing need to develop serological diagnostic methods for evaluating vaccine-induced immunity. This study successfully established an indirect [...] Read more.
Senecavirus A (SVA) is an emerging pathogen that poses a significant threat to the global swine industry. With the advent of SVA vaccines, there is a growing need to develop serological diagnostic methods for evaluating vaccine-induced immunity. This study successfully established an indirect enzyme-linked immunosorbent assay (iELISA) through heterologous expression of a novel VP2-VP3-VP1 tandem recombinant protein in Escherichia coli (E. coli), which was constructed by integrating B-cell epitopes from VP1, VP2, and VP3. Comparative analysis using indirect ELISA revealed that the tandem recombinant VP2-VP3-VP1 protein and VP2 exhibited superior immunoreactivity. Consequently, the iELISAs for the tandem protein and VP2 were selected for further validation. Following optimization, the cut-off for the rVP2-VP3-VP1 iELISA was set at a sample-to-positive (S/P) ratio ≥ 0.60, while that for the rVP2 iELISA was set at ≥0.53. Analysis of kinetic sera from inactivated vaccine-immunized pigs showed that the rVP2-VP3-VP1 iELISA detected seroconversion synchronously with neutralizing antibodies, earlier than anti-VP2 antibodies. Finally, a serological survey for SVA was conducted in parts of mainland China from 2023 to 2024, with the rVP2-VP3-VP1 iELISA revealing an overall seroprevalence of 20.8%. These results indicate that the established detection method can be effectively used to evaluate SVA immunity and for epidemic surveillance. Full article
Show Figures

Figure 1

19 pages, 2851 KB  
Article
Adenovector 26 Encoded RSV Prefusion F Protein (Ad26.RSV.preF) Does Not Predispose to Enhanced Respiratory Disease in Preclinical Rodent Models
by Renske Bolder, Susan B. S. King, Roland C. Zahn and Leslie van der Fits
Vaccines 2026, 14(1), 87; https://doi.org/10.3390/vaccines14010087 - 15 Jan 2026
Viewed by 239
Abstract
Background/objectives: RSV is a major cause of mortality in infants, and despite recent progress to prevent RSV in the very young, an RSV vaccine for this population is still highly warranted. Clinical studies in infants in the 1960s using formalin-inactivated RSV (FI-RSV) led [...] Read more.
Background/objectives: RSV is a major cause of mortality in infants, and despite recent progress to prevent RSV in the very young, an RSV vaccine for this population is still highly warranted. Clinical studies in infants in the 1960s using formalin-inactivated RSV (FI-RSV) led to life-threatening enhanced respiratory disease (ERD). Therefore, a thorough safety assessment of RSV vaccine candidates intended for RSV seronegative infants is crucial. Methods: Prior to clinical pediatric development of Ad26.RSV.preF, an adenovirus type 26 vector-encoding RSV F protein stabilized in its prefusion conformation, predisposition to ERD was extensively assessed in cotton rat and mouse models. Results: Cotton rats intramuscularly immunized with a wide dose range of Ad26.RSV.preF, including low and sub-protective vaccine doses, and challenged with vaccine homologous RSV A2 or heterologous RSV B Wash 18537, did not show signs of predisposition to ERD. Histopathology scores for alveolitis, peribronchiolitis, interstitial pneumonia, and perivasculitis after challenge were significantly lower for Ad26.RSV.preF-immunized cotton rats compared to FI-RSV-immunized cotton rats and comparable to or lower than scores in cotton rats intranasally pre-exposed to RSV prior to challenge to mimic natural repeated infection. These results were observed in animals with or without viral replication in the lung after RSV challenge, in the presence or absence of vaccine-induced antibodies. Similar results were observed in mice, where more extensive assessment of mono- and polymorphonuclear cell alveolitis, mucus cell hyperplasia, and mucus accumulation was performed. Conclusions: Based on these extensive analyses, we conclude that there are no indications of ERD predisposition after Ad26.RSV.preF vaccination in rodent models, irrespective of the vaccine dose, challenge virus strain, or presence of viral replication in the lung. These results are crucial for the pediatric development of this vaccine. Full article
Show Figures

Figure 1

14 pages, 665 KB  
Article
Promoter Regulation of mtx1 in Lysinibacillus sphaericus and Heterologous Production of the Mosquitocidal Protein Mtx1 in Bacillus subtilis
by Sumarin Soonsanga and Boonhiang Promdonkoy
Appl. Biosci. 2026, 5(1), 4; https://doi.org/10.3390/applbiosci5010004 - 15 Jan 2026
Viewed by 117
Abstract
Mtx1 is a mosquitocidal protein that exhibits high toxicity toward Culex species. It is produced during the vegetative phase of Lysinibacillus sphaericus but at very low levels and is rapidly degraded. The low expression appears to result from a weak promoter and a [...] Read more.
Mtx1 is a mosquitocidal protein that exhibits high toxicity toward Culex species. It is produced during the vegetative phase of Lysinibacillus sphaericus but at very low levels and is rapidly degraded. The low expression appears to result from a weak promoter and a potential regulatory stem-loop structure in the 5′ untranslated region. To investigate this regulation, promoter variants of mtx1 were constructed to disrupt stem-loop formation, and promoter activity was assessed using green fluorescent protein (GFP) as a reporter. Disruption of the inverted repeat resulted in approximately twofold higher fluorescence compared with the wild-type promoter in L. sphaericus 2297, indicating partial derepression of translation. To improve protein stability, Bacillus subtilis WB800N, a protease-deficient host, was employed for heterologous expression. Truncated Mtx1 (tMtx1) was secreted into the culture medium, and no obvious degradation products were detected by Western blot analysis under the conditions tested. Although the overall yield was low and not quantitatively determined, the secreted protein retained biological activity. Larvicidal assays showed elevated mortality in tMtx1-containing culture supernatants, with an estimated LC50 at approximately a 1:83 dilution and detectable activity up to a 1:512 dilution relative to control cultures. These results demonstrate that the upstream inverted repeat contributes to partial repression of mtx1 expression in L. sphaericus and that protease-deficient B. subtilis can be used as a host for producing biologically active tMtx1, although further optimization will be required to improve yield. Full article
Show Figures

Figure 1

25 pages, 88148 KB  
Article
Genome-Wide Identification and Expression Analysis of the PEBP Gene Family in Cymbidium sinense Reveals CsFTL3 as a Floral Inhibitor
by Wei Zhu, Chunfeng Chen, Yonglu Wei, Yanmei Sun, Jie Gao, Jie Li, Qi Xie, Jianpeng Jin, Chuqiao Lu, Genfa Zhu and Fengxi Yang
Plants 2026, 15(2), 252; https://doi.org/10.3390/plants15020252 - 13 Jan 2026
Viewed by 210
Abstract
This study comprehensively characterizes the PEBP gene family in Cymbidium sinense, an orchid with a prolonged vegetative phase that limits its industrial production. Genome-wide analysis identified six CsPEBPs, classified into FT-like, TFL1-like, and MFT-like subfamilies. Evolutionary, gene structure, and [...] Read more.
This study comprehensively characterizes the PEBP gene family in Cymbidium sinense, an orchid with a prolonged vegetative phase that limits its industrial production. Genome-wide analysis identified six CsPEBPs, classified into FT-like, TFL1-like, and MFT-like subfamilies. Evolutionary, gene structure, and collinearity analyses revealed both conservation and lineage-specific diversification of these genes. CsFTL3, a distinctive FT-like member, displayed notably high expression during the bud undifferentiated stage, followed by a sharp downregulation upon floral initiation. Functional studies identified CsFTL3 as a key floral repressor. Heterologous overexpression in Arabidopsis delayed flowering time from 32.0 days (wild-type) to 63.0–75.3 days (transgenic) and increased rosette leaf number from 12.6 to 33.0–34.5, while its knockdown via virus-induced gene silencing (VIGS) in C. sinense accelerated floral bud development and upregulated flowering-promoter genes. Phylogenetically, CsFTL3 falls within the flowering repressor FT-I clade, and multiple sequence alignment identified critical amino acid substitutions (Y134S, W138L, Q140E) that likely underpin its functional divergence from typical flowering promoters. Furthermore, promoter analysis revealed an enrichment of light-, hormone-, and stress-responsive cis-elements, and its expression was modulated by gibberellin (GA), abscisic acid (ABA), and low-temperature treatments. Predicted protein–protein interaction and transcriptional regulatory networks provide preliminary insights into its complex regulation. We conclude that CsFTL3 acts as a crucial floral inhibitor, integrating environmental and endogenous cues to repress flowering. These findings offer fundamental insights into the molecular mechanisms of flowering in orchids and provide a valuable genetic resource for molecular breeding programs aimed at achieving precise flowering time control. Full article
(This article belongs to the Section Horticultural Science and Ornamental Plants)
Show Figures

Figure 1

17 pages, 3639 KB  
Article
The AP-1 Sigma Subunit Gene PsAP1 Acts as a Key Pathogenicity Factor by Regulating Metabolic Reprogramming in Puccinia striiformis f. sp. tritici
by Beibei Liu, Jianing Wu, Guoshuai Zhang, Jianghua Chen, Guangkuo Li, Xintong Wang, W. G. Dilantha Fernando, Haifeng Gao and Yue Li
J. Fungi 2026, 12(1), 57; https://doi.org/10.3390/jof12010057 - 12 Jan 2026
Viewed by 250
Abstract
Wheat stripe rust, caused by Puccinia striiformis f. sp. tritici (Pst), poses a severe threat to global wheat production. The adaptor protein complex AP-1 plays a crucial role in vesicular trafficking, yet its function in rust fungi remains poorly understood. In this study, [...] Read more.
Wheat stripe rust, caused by Puccinia striiformis f. sp. tritici (Pst), poses a severe threat to global wheat production. The adaptor protein complex AP-1 plays a crucial role in vesicular trafficking, yet its function in rust fungi remains poorly understood. In this study, a gene encoding an AP-1 σ subunit, designated PsAP1, was identified in Pst. The expression of PsAP1 was highly induced during the early infection stage. Heterologous expression of PsAP1 in a Fusarium graminearum mutant partially restored its pathogenic defects. Subcellular localization analysis revealed that PsAP1 localizes to the plasma membrane, cytoplasm, and nucleus. Silencing PsAP1 in wheat using Barley stripe mosaic virus-mediated host-induced gene silencing (BSMV-HIGS) significantly attenuated Pst pathogenicity, reducing hyphal growth by 6.7% (colony diameter), sporulation by 61.6% (lesion length), and pathogen biomass by 66%, along with enhanced accumulation of host reactive oxygen species. Transcriptomic analysis further demonstrated that silencing PsAP1 disrupted multiple pathways, including MAPK signaling, glutathione metabolism, and carbohydrate metabolism. These findings indicate that PsAP1 facilitates Pst infection by modulating vesicular trafficking, suppressing host immunity, and reprogramming host metabolism. This study provides novel insights into the pathogenic mechanisms of rust fungi and suggests a potential target for disease control. Full article
(This article belongs to the Section Fungal Genomics, Genetics and Molecular Biology)
Show Figures

Figure 1

23 pages, 6607 KB  
Article
Crotoxin B from the South American Rattlesnake Crotalus vegrandis Blocks Voltage-Gated Calcium Channels Independent of Its Intrinsic Catalytic Activity
by Markus Eicheldinger, Erick Miranda-Laferte, Francisco Castilla, Nadine Jordan, Beatrix Santiago-Schübel and Patricia Hidalgo
Toxins 2026, 18(1), 36; https://doi.org/10.3390/toxins18010036 - 10 Jan 2026
Viewed by 217
Abstract
Neurotoxicity following South American Crotalus rattlesnake bite is primarily caused by crotoxin, the most abundant component in their venom. Despite the central role of voltage-gated calcium channels (CaV) in neurotransmission, direct targetability by crotoxin has been poorly explored. Crotoxin is a [...] Read more.
Neurotoxicity following South American Crotalus rattlesnake bite is primarily caused by crotoxin, the most abundant component in their venom. Despite the central role of voltage-gated calcium channels (CaV) in neurotransmission, direct targetability by crotoxin has been poorly explored. Crotoxin is a non-covalent heterodimer formed by an acidic subunit (CA) and a basic toxic phospholipase A2 subunit (CB). Here, we chromatographically isolated the CB subunit from Crotalus vegrandis and studied its effect on CaV heterologously expressed in tsA201 cells using the whole-cell patch-clamp technique. Mass spectrometry analysis identified a protein that matched with 97% sequence coverage the CBc isoform from Crotalus durissus terrificus. Isolated CB exhibited moderate phospholipase activity that was not correlated to its cytotoxic effect on cultured tsA201 cells. Using Ba2+ as a charge carrier to prevent the enzymatic activity, we found that CB inhibited currents mediated by the N-type CaV2.2 and CaV1.2 L-type calcium channels, in a dose–dependent manner, with higher potency for the latter, and negligible changes in the voltage dependence of channel activation. Our results reveal a novel phospholipase-independent biological activity and a molecular target of CB providing new insights into the pathophysiology of Crotalus snakebite envenoming with potential clinical therapeutic implications. Full article
Show Figures

Figure 1

16 pages, 2433 KB  
Article
Broadening SARS-CoV-2 Immunity by Combining ORFV and Protein-Based Vaccines
by Alena Reguzova, Melanie Müller, Madeleine Fandrich, Alex Dulovic and Ralf Amann
Vaccines 2026, 14(1), 64; https://doi.org/10.3390/vaccines14010064 - 4 Jan 2026
Viewed by 381
Abstract
Background: Emerging immune-evasive viral variants threaten the efficacy of current vaccines, underscoring the need for strategies that elicit broad and durable protection. Heterologous prime–boost regimens combining distinct vaccine platforms can enhance humoral and cellular immunity through complementary mechanisms. Methods: Using an intramuscular immunization [...] Read more.
Background: Emerging immune-evasive viral variants threaten the efficacy of current vaccines, underscoring the need for strategies that elicit broad and durable protection. Heterologous prime–boost regimens combining distinct vaccine platforms can enhance humoral and cellular immunity through complementary mechanisms. Methods: Using an intramuscular immunization scheme aligned with clinical vaccination practice, CD-1 mice received homologous or heterologous prime–boost regimens combining a replication-deficient Orf virus (Parapoxvirus orf, ORFV)-based spike vaccine (ORFV-S) with the licensed adjuvanted recombinant protein vaccine VidPrevtyn Beta. Spike-specific humoral and cellular immune responses were assessed. Results: ORFV-S alone induced potent and broad spike-specific IgG responses and achieved the strongest ACE2-binding inhibition across variants of concern. ORFV-S priming followed by VidPrevtyn Beta boosting markedly enhanced the magnitude and cross-variant breadth of antibody responses compared with homologous protein vaccination. Both homologous ORFV-S and heterologous regimens incorporating ORFV-S elicited strong CD4+ and CD8+ T-cell responses, whereas VidPrevtyn Beta alone induced only modest T-cell activity, demonstrating that ORFV-S effectively complements protein-based vaccines. Conclusions: The ORFV-S vector represents a potent vaccine platform capable of inducing broad humoral and cellular immunity. Its use in heterologous prime–boost combinations enhances both antibody magnitude and breadth beyond homologous protein vaccination, supporting its application in vaccination strategies against evolving viral pathogens. Full article
(This article belongs to the Section Vaccine Design, Development, and Delivery)
Show Figures

Figure 1

21 pages, 12041 KB  
Article
Novel Intranasal Replication-Deficient NS1ΔC Flu Vaccine Confers Protection from Divergent Influenza A and B Viruses in Mice
by Daria Shamakova, Marina A. Shuklina, Nikita Yolshin, Ekaterina Romanovskaya-Romanko, Anna-Polina Shurygina, Kira Kudrya, Arman Muzhikyan, Mariia V. Sergeeva and Marina Stukova
Vaccines 2026, 14(1), 43; https://doi.org/10.3390/vaccines14010043 - 30 Dec 2025
Viewed by 407
Abstract
Background/Objectives: The current strategy for seasonal influenza prophylaxis relies on updating the vaccine components annually to account for the rapid antigenic drift of viruses and the low cross-protective efficacy of available vaccines. Mutant influenza viruses with truncated or deleted NS1 protein are [...] Read more.
Background/Objectives: The current strategy for seasonal influenza prophylaxis relies on updating the vaccine components annually to account for the rapid antigenic drift of viruses and the low cross-protective efficacy of available vaccines. Mutant influenza viruses with truncated or deleted NS1 protein are known to stimulate cross-specific T-cell immune response and provide protection against heterosubtypic influenza A and B viruses. Methods: We generated NS1ΔC influenza A and B viruses with C-terminal NS1 deletions by reverse genetics. In a mouse model, we assessed the safety and immunogenicity of the B/Lee/NS1ΔC strain upon intranasal administration, as well as the mechanism of its cross-protective efficacy against sublethal B/Victoria and B/Yamagata challenges. We then investigated the potential of the intranasal Flu/NS1ΔC vaccine–a trivalent formulation of NS1ΔC A/H1N1, A/H3N2, and B influenza viruses–to protect mice from lethal influenza infection with homologous, heterologous, and antigenically drifted influenza A and B viruses. Results: Intranasal immunization with the B/Lee/NS1ΔC strain was safe in mice. It activated cross-specific T-cell responses in the lungs and protected animals against heterologous challenge by reducing viral load, inflammation, and lung pathology. Immunization with the trivalent Flu/NS1ΔC vaccine formulation improved survival and reduced weight loss and viral load upon challenge with A/H1N1pdm, A/H2N2, A/H5N1, and B/Victoria viruses. Conclusions: The trivalent intranasal Flu/NS1ΔC influenza vaccine is a promising tool to improve seasonal influenza protection and preparedness for an influenza pandemic. Full article
(This article belongs to the Special Issue Mucosal Vaccines: Advances in Technology and Delivery)
Show Figures

Figure 1

21 pages, 3777 KB  
Article
Enzymatic Characterization and Biological Function Analysis of Tannases JrTA1 and JrTA2 in Walnut (Juglans regia L.)
by Hui Liu, Xiong Zheng, Chang Liu, Guihua Chen, Yanyu Shi, Jinghua Xu, Yuhao Zhang, Yan Gao, Xiaojun Zhang and Qunlong Liu
Horticulturae 2026, 12(1), 37; https://doi.org/10.3390/horticulturae12010037 - 27 Dec 2025
Viewed by 261
Abstract
Tannins are key compounds determining the astringency of walnuts. Elucidating the structural characteristics of tannin cells in walnut inner seed coats and the accumulation patterns of esterified catechins (e.g., EGCG and ECG) is of significant importance for both quality regulation of walnuts and [...] Read more.
Tannins are key compounds determining the astringency of walnuts. Elucidating the structural characteristics of tannin cells in walnut inner seed coats and the accumulation patterns of esterified catechins (e.g., EGCG and ECG) is of significant importance for both quality regulation of walnuts and the high-value utilization of tannin resources. However, the enzymatic properties and biological functions of walnut tannases (JrTAs) have not been systematically investigated. Thus, the enzymatic characteristics of walnut tannase and its hydrolytic function on tannin-like substances were analyzed. It showed that tannin accumulation in the inner seed coat of ‘Nonghe 1’ walnut was closely associated with the development of tannin cells. During seed coats development, the total tannin content initially decreased and then increased, while the levels of monomeric phenolics related to tannin synthesis (GC, EGC and EC) continuously increased. Two walnut tannase genes, JrTA1 and JrTA2, were cloned and the recombinant proteins were purified. In vitro enzymatic activity tests confirmed that both enzymes effectively hydrolyzed ester-type catechins ECG and EGCG after 20 min of reaction at 40 °C and pH 7.0. Moreover, the transgenic Arabidopsis systems and green tea infusion study demonstrated that JrTA1 and JrTA2 retained their ability to specifically cleave the ester bonds of ester-type catechins in heterologous systems, achieving efficient tannin degradation. This study systematically elucidates the enzymatic functions of JrTAs, which provides a theoretical foundation for the further development and application of walnut tannases. Full article
Show Figures

Figure 1

17 pages, 2604 KB  
Article
Proteolytic Activities and Immunological Effects of Light Chains of Botulinum Neurotoxin A1, A2 and A3 Subtypes
by Yiying Liao, Xin Hu, Jingrong Wang, Jiansheng Lu, Shuo Yu, Yunzhou Yu and Wenhui Wu
Toxins 2026, 18(1), 16; https://doi.org/10.3390/toxins18010016 - 26 Dec 2025
Viewed by 339
Abstract
Botulinum neurotoxin serotype A (BoNT/A) is the most potent known neurotoxin. While its light chain (LC) catalytic domain is a prime target for next-generation vaccines and therapeutics, the functional differences among BoNT/A subtype LCs (A1, A2, A3) remain to be definitively characterized, despite [...] Read more.
Botulinum neurotoxin serotype A (BoNT/A) is the most potent known neurotoxin. While its light chain (LC) catalytic domain is a prime target for next-generation vaccines and therapeutics, the functional differences among BoNT/A subtype LCs (A1, A2, A3) remain to be definitively characterized, despite notable sequence variation. This work aimed to systematically compare the proteolytic activity and immunoprotective efficacy of recombinant BoNT/A1-LC, A2-LC, and A3-LC. Recombinant A1-LC-His, A2-LC-His, A3-LC-His, and A3-LC-Twin-Strep proteins were expressed in Escherichia coli (E. coli) and purified with affinity chromatography. Their proteolytic activity was assessed via in vitro SNAP-25 cleavage assays. The protective potency of these antigens was evaluated in a mouse model. In vitro cleavage assays revealed a substrate cleavage efficiency order of A2-LC > A1-LC > A3-LC. In vivo, both A1-LC and A2-LC immunization conferred robust, broad protection against high-dose challenges with all three toxin subtypes. In stark contrast, A3-LC provided only minimal protection against its homologous toxin and none against heterologous subtypes. Crucially, the functional deficit of A3-LC was confirmed to be an intrinsic property, as the A3-LC-TS variant, designed to exclude tag-specific interference, exhibited comparable low efficacy. According to structural research, A3-LC’s compromised function may be caused by a four-amino-acid loss. The inferior performance of A3-LC is inherent to its primary structure. This work identified A1-LC or A2-LC as the potential proteolytic activity molecule and vaccine antigen by demonstrating functional differences among BoNT/A subtype LCs. These findings provide crucial insights for developing subtype-specific countermeasures against botulism. Full article
(This article belongs to the Section Bacterial Toxins)
Show Figures

Figure 1

20 pages, 7011 KB  
Article
The Function of RcAG2 and RcFUL in the Flower Shape Change of Rosa chinensis ‘Viridiflora’
by Jinfeng Zhang, Hui Liao, Yipeng Yang, Xixi Zhang, Caijie Yi, Lina Song, Zijing Li, Hua Zhang and Peng Ji
Plants 2026, 15(1), 11; https://doi.org/10.3390/plants15010011 - 19 Dec 2025
Viewed by 371
Abstract
The floral morphology of Rosa chinensis significantly influences its ornamental value. However, the molecular mechanisms underlying specific floral types remain poorly understood. Viridiflora, a stable genetic variant of R. chinensis, exhibits homeotic transformation of floral organs into sepal-like structures, providing a valuable [...] Read more.
The floral morphology of Rosa chinensis significantly influences its ornamental value. However, the molecular mechanisms underlying specific floral types remain poorly understood. Viridiflora, a stable genetic variant of R. chinensis, exhibits homeotic transformation of floral organs into sepal-like structures, providing a valuable model for studying floral organ identity and development. In this study, Viridiflora was compared with Old Blush to elucidate floral development through morphological observation, transcriptomic profiling, and functional genetics. Four distinct developmental stages were defined, encompassing the formation of sepal, petal, stamen, and pistil primordia. Transcriptome analysis identified candidate genes associated with the Viridiflora phenotype, among which RcAGAMOUS2 (RcAG2) and RcFRUITFULL (RcFUL) were selected for in-depth functional characterization. The proteins encoded by these two genes are hydrophilic, lack signal peptides and transmembrane domains, and contain multiple phosphorylation sites. They feature typical MADS-box family domains and show close phylogenetic affinity to Rosa rugosa. Subcellular localization showed their nuclear presence. Heterologous overexpression of RcAG2 and RcFUL in Arabidopsis resulted in notable phenotypic alterations: RcAG2 caused petal reduction and stamen exposure, while RcFUL led to greenish, leaf-like petals with pigmentation gradients, increased sepal number, and failed seed set. Conclusion: These results suggest that RcAG2 and RcFUL play key roles in floral organ development through genetic regulation, providing a theoretical foundation for further research on floral development in R. chinensis. Full article
Show Figures

Graphical abstract

Back to TopTop