Sign in to use this feature.

Years

Between: -

Subjects

remove_circle_outline
remove_circle_outline
remove_circle_outline
remove_circle_outline
remove_circle_outline
remove_circle_outline
remove_circle_outline

Journals

Article Types

Countries / Regions

Search Results (121)

Search Parameters:
Keywords = head CT examination

Order results
Result details
Results per page
Select all
Export citation of selected articles as:
16 pages, 7357 KB  
Article
Study of the Nasal Cavity of the Cadaveric Yellow-Legged Gull (Larus michahellis atlantis) Through Anatomical Cross-Sections and Computed Tomography
by Jose Raduan Jaber, Manuel Morales, Alvaro Ros, Pablo Paz-Oliva, Natalia Roldán-Medina, Alejandro Morales-Espino, Alberto Arencibia and Soraya Déniz
Animals 2025, 15(21), 3114; https://doi.org/10.3390/ani15213114 - 27 Oct 2025
Viewed by 275
Abstract
Understanding the anatomy of the avian nasal cavity and paranasal sinuses is essential for diagnosing respiratory diseases and interpreting imaging findings. However, detailed tomographic descriptions of these structures are scarce in seabirds. This study aimed to provide an anatomical and radiological characterization of [...] Read more.
Understanding the anatomy of the avian nasal cavity and paranasal sinuses is essential for diagnosing respiratory diseases and interpreting imaging findings. However, detailed tomographic descriptions of these structures are scarce in seabirds. This study aimed to provide an anatomical and radiological characterization of the nasal cavity and associated sinuses of the yellow-legged gull (Larus michahellis atlantis). Computed tomography (CT) was performed on eight cadaveric specimens using a 16-slice helical scanner with bone and pulmonary window settings. Anatomical cross-sections of the same heads were subsequently obtained to correlate and validate CT findings. CT imaging clearly delineated major nasal structures, including the rostral, middle, and caudal nasal conchae, the nasal septum, and the infraorbital sinus, as well as their connections to adjacent cranial bones. The integration of CT and anatomical cross-sections provided detailed spatial relationships and accurate visualization of the internal nasal architecture. This study demonstrates the value of CT for examining avian cranial anatomy and provides a morphological reference framework that may aid in diagnosing nasal and sinus pathologies in seabirds. Full article
(This article belongs to the Section Veterinary Clinical Studies)
Show Figures

Figure 1

15 pages, 1523 KB  
Article
Dynamic Whole-Body FDG PET/CT for Predicting Malignancy in Head and Neck Tumors and Cervical Lymphadenopathy
by Gregor Horňák, André H. Dias, Ole L. Munk, Lars C. Gormsen, Jaroslav Ptáček and Pavel Karhan
Diagnostics 2025, 15(20), 2651; https://doi.org/10.3390/diagnostics15202651 - 21 Oct 2025
Viewed by 440
Abstract
Background: Dynamic whole-body (D-WB) FDG PET/CT is a novel technique that enables the direct reconstruction of multiparametric images representing the FDG metabolic uptake rate (MRFDG) and “free” FDG (DVFDG). Applying complementary parameters with distinct characteristics compared to static SUV [...] Read more.
Background: Dynamic whole-body (D-WB) FDG PET/CT is a novel technique that enables the direct reconstruction of multiparametric images representing the FDG metabolic uptake rate (MRFDG) and “free” FDG (DVFDG). Applying complementary parameters with distinct characteristics compared to static SUV images, the aims of this study are as follows: (1) to determine the threshold values of SUV, MRFDG, and DVFDG for malignant and benign lesions; (2) to compare the specificity of MRFDG and DVFDG images with static SUVbw images; and (3) to assess whether any of the dynamic imaging parameters correlate more significantly with malignancy or non-malignancy in the examined lesions based on the measured values obtained from D-WB FDG PET/CT. Methods: The study was a retrospective analysis of D-WB PET/CT data from 43 patients (23 males and 20 females) included both in the context of primary staging as well as imaging performed due to suspicion of post-therapeutic relapse or recurrence. Standard scanning was performed using a multiparametric PET acquisition protocol on a Siemens Biograph Vision 600 PET/CT scanner. Pathological findings were manually delineated, and values for SUVbw, MRFDG, and DVFDG were extracted. The findings were classified and statistically evaluated based on their was histological verification of a malignant or benign lesion. Multinomial and binomial logistic regression analyses were used to find parameters for data classification in different models, employing various combinations of the input data (SUVbw, MRFDG, DVFDG). ROC curves were generated by changing the threshold p-value in the regression models to compare the models and determine the optimal thresholds. Results: Patlak PET parameters (MRFDG and DVFDG) combined with mean SUVbw achieved the highest diagnostic accuracy of 0.82 (95% CI 0.75–0.89) for malignancy detection (F1-score = 0.90). Sensitivity reached 0.85 (95% CI 0.77–0.91) and specificity 0.93 (95% CI 0.87–0.98). Classification accuracy in tumors was 0.86 (95% CI 0.78–0.92) and in lymph nodes 0.81 (95% CI 0.73–0.88). Relative contribution analysis showed that DVFDG accounted for up to 65% of the classification weight. ROC analysis demonstrated AUC values above 0.8 for all models, with optimal thresholds achieving sensitivities of around 0.85 and specificities up to 0.93. Thresholds for malignancy detection were, for mean values, SUVbw > 5.8 g/mL, MRFDG > 0.05 µmol/mL/min, DVFDG > 68%, and, for maximal values, SUVbw > 8.7 g/mL, MRFDG > 0.11 µmol/mL/min, DVFDG > 202%. Conclusions: The D-WB [18F]FDG PET/CT images in this study highlight the potential for improved differentiation between malignant and benign lesions compared to conventional SUVbw imaging in patients with locally advanced head and neck cancers presenting with cervical lymphadenopathy and carcinoma of unknown primary origin (CUP). This observation may be particularly relevant in common diagnostic dilemmas, especially in distinguishing residual or recurrent tumors from post-radiotherapy changes. Further validation in larger cohorts with histopathological confirmation is warranted, as the small sample size in this study may limit the generalizability of the findings. Full article
Show Figures

Figure 1

8 pages, 1140 KB  
Case Report
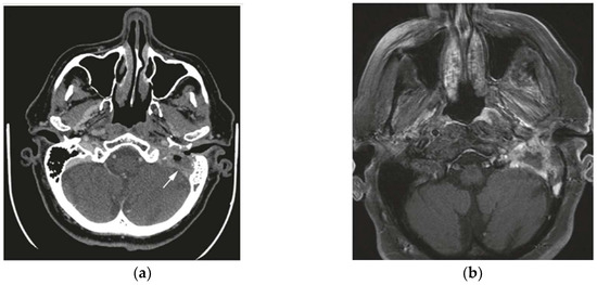
A Rare Case of First-Time Seizure Induced by Cerebral Venous Sinus Thrombosis Following the Use of Tranexamic Acid for Menorrhagia
by Jennifer Bandt, Emmanuel O. Oisakede and Natalie Walker
Reports 2025, 8(4), 210; https://doi.org/10.3390/reports8040210 - 20 Oct 2025
Cited by 1 | Viewed by 855
Abstract
Background and clinical significance: Tranexamic acid (TXA) is commonly used for menorrhagia. Common side effects include diarrhoea, nausea, and vomiting. However, more serious and rare side effects, including embolism, thrombosis, and seizures, are less commonly considered. Case presentation: We report the case of [...] Read more.
Background and clinical significance: Tranexamic acid (TXA) is commonly used for menorrhagia. Common side effects include diarrhoea, nausea, and vomiting. However, more serious and rare side effects, including embolism, thrombosis, and seizures, are less commonly considered. Case presentation: We report the case of a 39-year-old woman of Asian origin who presented after a first-time seizure while driving, following starting tranexamic acid for menorrhagia seven days prior. She complained of a headache, nausea, neck stiffness, floaters, and blurred vision. Her lactate was elevated on presentation. On examination there were no neurologic abnormalities. A computed tomography (CT) head scan showed acute haemorrhagic foci along the left temporal lobe. This prompted a CT venography, which showed filling defects in the left transverse and sigmoid sinuses, in keeping with cerebral venous sinus thrombosis. MRI of the head further showed a blooming artefact, indicating secondary thrombosis of the lateral tentorial sinus on the left side extending into the vein of Labbe. Following the diagnosis of cerebral venous sinus thrombosis, the patient was started on regular levetiracetam as well as a therapeutic dose of low molecular weight heparin. Since the initial episode, she has been seizure-free for over three months now. Conclusions: This case highlights the importance of considering less common side effects of tranexamic acid in patients who are taking TXA and are presenting with first-time seizures and headaches. These patients should be monitored for embolic-related intracranial events. A careful diagnostic approach, including cerebrovascular imaging, is essential for an accurate diagnosis and effective treatment. Full article
(This article belongs to the Section Neurology)
Show Figures

Figure 1

9 pages, 403 KB  
Case Report
A Rare Case of Anterior Semicircular Canal BPPV Resistant to Treatment: A Case Report and Literature Review
by Juras Jocys, Aistė Paškonienė and Eugenijus Lesinskas
Audiol. Res. 2025, 15(5), 126; https://doi.org/10.3390/audiolres15050126 - 28 Sep 2025
Viewed by 564
Abstract
Background and Clinical Significance: Benign paroxysmal positional vertigo (BPPV) most commonly involves the posterior semicircular canal (PSC), whereas anterior semicircular canal BPPV (ASC-BPPV) is rare, accounting for only 1–3% of cases. Most ASC-BPPV cases respond well to particle repositioning maneuvers (PRMs), with refractory [...] Read more.
Background and Clinical Significance: Benign paroxysmal positional vertigo (BPPV) most commonly involves the posterior semicircular canal (PSC), whereas anterior semicircular canal BPPV (ASC-BPPV) is rare, accounting for only 1–3% of cases. Most ASC-BPPV cases respond well to particle repositioning maneuvers (PRMs), with refractory presentations being exceptional and diagnostically challenging, particularly when differential diagnoses such as apogeotropic posterior semicircular canal BPPV (PSC-BPPV) or central causes must be excluded. Case Presentation: A 43-year-old woman presented with vertigo triggered by head extension and rolling in bed. Initial neurological and otoneurological examinations were unremarkable. During the left Dix–Hallpike maneuver, a vertical down-beating nystagmus with subtle leftward torsion appeared after a 5 s latency and lasted 15 s. The supine head-hanging maneuver provoked a stronger and longer 30 s response, while the right Dix–Hallpike was negative. Despite repeated PRMs, including Yacovino (Deep Head-hanging), reverse Epley, Epley, and modified Semont maneuvers, the patient remained symptomatic over three years. Intermittently, conversion to PSC-BPPV was suspected, and temporary resolution was achieved after left-sided Epley and Semont maneuvers, but recurrence followed. Treatment with a mechanical rotational chair (TRV) initially resolved symptoms, but vertigo recurred several months later following two syncopal episodes with minor trauma. Extensive neurological evaluation, including MRI, CT, EEG, and vascular ultrasound, excluded central causes. Conclusions: This case illustrates the diagnostic and therapeutic difficulties posed by refractory ASC-BPPV, particularly in differentiating it from apogeotropic PSC-BPPV and central etiologies. It underscores the importance of latency, torsional characteristics, and supine head-hanging testing in diagnosis and demonstrates the potential role of mechanical rotational chairs in management. Personalized approaches incorporating anatomical imaging and maneuver adaptation are essential in such complex cases. Full article
(This article belongs to the Section Balance)
Show Figures

Figure 1

16 pages, 3989 KB  
Case Report
Bone Mass, Microarchitecture, and Morphometric Insights on a Right Unilateral Bifid Mandibular Condyle: A Micro-CT Analysis Report and Literature Review
by Carlos Torres-Villar, Juan Pacheco Muñoz, Eva Maranillo and Nicolás E. Ottone
Diagnostics 2025, 15(19), 2440; https://doi.org/10.3390/diagnostics15192440 - 25 Sep 2025
Viewed by 647
Abstract
Background/Objectives: The bifid mandibular condyle (BMC) is a rare anatomical variation characterized by a division of the mandibular condyle into two distinct heads. Although frequently identified through radiographic studies or in dry skulls, its etiology remains unclear, and few studies have examined its [...] Read more.
Background/Objectives: The bifid mandibular condyle (BMC) is a rare anatomical variation characterized by a division of the mandibular condyle into two distinct heads. Although frequently identified through radiographic studies or in dry skulls, its etiology remains unclear, and few studies have examined its internal bone structure. This study aimed to perform a detailed morphologic and microarchitectural analysis of a right unilateral bifid mandibular condyle using micro-CT and to contrast the findings with the relevant morphological and clinical literature. Case Presentation: A human mandible from an anatomical collection was analyzed. The mandible was scanned using a Bruker 1273 micro-CT system, and a 3D reconstruction was performed. Morphometric analysis was carried out on both the bifid right and normal left condyles, evaluating cortical and trabecular components separately. Parameters included bone volume, absolute bone volume, bone surface, trabecular thickness, separation, and number. The right condyle was divided into medial and lateral heads with independent necks, displaying asymmetry in size and shape. Micro-CT revealed reduced cortical volume and greater trabecular separation in the BMC, suggesting lower bone density compared to the left condyle. Conclusions: This case reveals significant differences in bone architecture between the BMC and the contralateral condyle, indicating a potentially reduced biomechanical capacity on the affected side. These findings emphasize the importance of incorporating microstructural evaluation in anatomical and clinical assessments of BMCs and provide novel insights that may inform diagnosis, treatment planning, and understanding of temporomandibular joint disorders. Full article
(This article belongs to the Special Issue Clinical Anatomy and Diagnosis in 2025)
Show Figures

Figure 1

19 pages, 2947 KB  
Article
Mouthparts and Alimentary Tract of Flower-Visiting Monkey Beetles (Coleoptera: Scarabaeoidea: Hopliini): Insights into Feeding Preferences
by Michael Neulinger, Florian Karolyi, Jonathan F. Colville, Myriam E. Widmann, Jonas Kristl and Harald W. Krenn
Insects 2025, 16(9), 985; https://doi.org/10.3390/insects16090985 - 21 Sep 2025
Viewed by 699
Abstract
Monkey beetles (Hopliini, Scarabaeoidea) are a species-rich group of flower-visiting insects that are specialized to feed on floral tissue, pollen and/or nectar. We studied ten South African species, examining morphological features associated with their specific feeding preferences. This is the first attempt in [...] Read more.
Monkey beetles (Hopliini, Scarabaeoidea) are a species-rich group of flower-visiting insects that are specialized to feed on floral tissue, pollen and/or nectar. We studied ten South African species, examining morphological features associated with their specific feeding preferences. This is the first attempt in a limited number of beetle species to comparatively investigate both the mouthparts and the alimentary tract in relation to ingested food. Using light microscopy, we found cutting edges on the mandibles and galea teeth in flower tissue-feeding species. Pollen feeders have numerous bristles on the maxillae and a prominent mola on the mandibles that are likely used for gathering and grinding pollen. The elongate heads and mouthparts of the nectar feeders are considered an adaptation that enable these species to mop up nectar while probing flowers. Using µCT imaging and reconstructions of the entire alimentary tract, our morphometric results suggest that food preferences are not related to total relative gut length, although the ratio of foregut to body length was greater in pollen- and nectar-feeding monkey beetles than in floral tissue-feeders. The midgut of females tends to be longer relative to body size compared to males. Our work serves as a basis for generating hypotheses for future research that includes gut morphology in flower-visiting insects. Full article
(This article belongs to the Special Issue Beetles: Biology, Ecology, and Integrated Management)
Show Figures

Figure 1

28 pages, 3125 KB  
Review
Molecular Insights into HPV-Driven Head and Neck Cancers: From Viral Oncoproteins to Precision Therapeutics
by Mustafa Ozdogan, Gizem Tutkun, Muharrem Okan Cakir and Gholam Hossein Ashrafi
Viruses 2025, 17(9), 1276; https://doi.org/10.3390/v17091276 - 20 Sep 2025
Viewed by 1812
Abstract
Human papillomavirus (HPV) plays a major role in the development of head and neck cancers (HNCs), particularly oropharyngeal squamous cell carcinoma. This review highlights the key molecular mechanisms of HPV-driven carcinogenesis, focusing on the oncogenic E6 and E7 proteins and their disruption of [...] Read more.
Human papillomavirus (HPV) plays a major role in the development of head and neck cancers (HNCs), particularly oropharyngeal squamous cell carcinoma. This review highlights the key molecular mechanisms of HPV-driven carcinogenesis, focusing on the oncogenic E6 and E7 proteins and their disruption of tumor suppressor pathways and epigenetic regulation. We discuss the rising prevalence of HPV-related HNCs, their distinct clinical features, and diagnostic approaches such as p16 immunohistochemistry and HPV DNA/RNA detection. HPV-positive tumors show better prognosis and response to treatment, prompting interest in therapy de-escalation. Emerging strategies including immune checkpoint inhibitors, therapeutic vaccines, CRISPR-based gene editing, and ctDNA monitoring are advancing precision oncology in this field. We also examine the preventive potential of HPV vaccination and ongoing research into its role across various HNC subtypes. A deeper understanding of HPV’s molecular impact may guide more effective, targeted, and less toxic interventions. Full article
Show Figures

Figure 1

10 pages, 403 KB  
Article
Precision in Practice: Clinical Indication-Specific DRLs for Head CT for Advanced Personalised Dose Benchmarking
by Nora Almuqbil, Zuhal Y. Hamd, Wiam Elshami and Mohamed Abuzaid
Diagnostics 2025, 15(15), 1849; https://doi.org/10.3390/diagnostics15151849 - 23 Jul 2025
Viewed by 713
Abstract
Background/Objectives: Computed tomography (CT) of the head is vital in diagnosing neurological conditions but poses concerns regarding radiation exposure. Traditional diagnostic reference levels (DRLs) are based on anatomical regions, potentially overlooking variations in radiation requirements driven by clinical indication. This study aimed to [...] Read more.
Background/Objectives: Computed tomography (CT) of the head is vital in diagnosing neurological conditions but poses concerns regarding radiation exposure. Traditional diagnostic reference levels (DRLs) are based on anatomical regions, potentially overlooking variations in radiation requirements driven by clinical indication. This study aimed to establish clinical indication-specific DRLs (DRLCIs) for adult head CT to support precision benchmarking and optimise patient safety. Methods: A retrospective observational study was conducted using data from 378 adult patients undergoing non-contrast CT head scans between September 2022 and February 2024. Data on patient demographics, protocols, and radiation dose metrics (Computed Tomography Dose Index Volume and Dose–Length Product) were extracted using DoseWatch™ software. Protocol parameters were standardised across clinical indications such as trauma, stroke, headache, seizure, and infection. Descriptive statistics and correlation analyses were performed. Descriptive statistics, including means, standard deviations, and percentile distributions, were calculated. Correlation analyses were conducted using Pearson’s correlation coefficient to examine relationships between dose metrics and patient variables such as age and body mass index. Results: Mean CTDIvol values ranged from 50.58 mGy (trauma) to 52.90 mGy (infection), while DLP values ranged from 1052.52 to 1219.98 mGy·cm. Percentile distributions were narrow, indicating effective protocol standardisation. The strongest correlation was observed between CTDIvol and DLP (r = 0.89), while age and body mass index showed negligible influence on dose metrics. Comparative analysis showed alignment with international benchmarks from the UK, Qatar, Bahrain, and Nigeria. Conclusions: This study establishes DRLCIs for adult head CT, demonstrating consistent radiation dose delivery across indications with minimal variability. Clinical indication-based benchmarking enhances dose optimisation and aligns with global radiological protection frameworks. Full article
(This article belongs to the Special Issue Diagnostic Radiology in Head and Neck Diseases)
Show Figures

Figure 1

16 pages, 1114 KB  
Article
Establishing Diagnostic Reference Levels for Paediatric CT Imaging: A Multi-Centre Study
by Yassine Bouchareb, Manar Al Kharusi, Amani Al Maqbali, Amal Al Maimani, Hasina Al Maskari, Srinivasa Rao Sirasanagandla, Amna Al Jabri, Faiza Al Kindi, Saud Al Shabibi and Saleh Baawain
Healthcare 2025, 13(14), 1728; https://doi.org/10.3390/healthcare13141728 - 17 Jul 2025
Cited by 1 | Viewed by 1297
Abstract
Background: Computed Tomography (CT) imaging is widely recognised for its high capability in assessing multiple organs. However, concerns about patient radiation exposure, particularly in children, pose significant challenges. Objective: This study aimed to establish diagnostic reference levels (DRLs) for paediatric patients in the [...] Read more.
Background: Computed Tomography (CT) imaging is widely recognised for its high capability in assessing multiple organs. However, concerns about patient radiation exposure, particularly in children, pose significant challenges. Objective: This study aimed to establish diagnostic reference levels (DRLs) for paediatric patients in the most common CT examinations to monitor and better control radiation doses. Methods: Dosimetry records from 5956 patients’ scans for the four most common CT imaging examinations—Head, Chest, Abdomen Pelvis (AP), and Chest Abdomen Pelvis (CAP)—were considered. The CT dosimetric quantities (CT dose-index volume (CTDIvol) and dose-length product (DLP)), along with patient demographics (age and weight), were collected from radiology data storage systems. DRLs for CTDIvol and DLP were determined for each imaging examination, stratified by patient age and weight groups, in accordance with ICRP recommendations. Results: The derived DRLs are presented as [median CTDIvol (mGy): median DLP (mGy·cm)]. For (<1 yr): Head: 13:187, Chest: 0.4:7, AP: 0.9:19, CAP: 0.4:10. For (1–5 yrs): Head: 16:276, Chest: 1:22, AP: 1.5:58, CAP: 1.6:63. For (6–10 yrs): Head: 19:332, Chest: 1.4:35, AP: 1.9:74, CAP: 2:121. For (11–15 yrs): Head: 21:391, Chest: 3:86, AP: 4.1:191, CAP: 3:165. We observed that both the CTDIvol and DLP DRL values increase with patient age. Weight-based DRLs follow similar trends for CTDIvol, while DLP values show noticeable variations in Chest and AP examinations. Conclusions: The study findings highlight the need for review and optimisation of certain scanning protocols, particularly for chest and AP examinations. The derived DRLs are consistent with findings from other studies. The study recommends establishing national paediatric DRLs to enhance radiology practice across the country and ensure adherence to international safety standards. Full article
(This article belongs to the Collection Radiology-Driven Projects: Science, Networks, and Healthcare)
Show Figures

Figure 1

7 pages, 630 KB  
Case Report
Rapidly Progressive Buccal Hematoma Following Local Anesthetic Injection: A Case Report
by Solon Politis, Dimitris Tatsis, Asterios Antoniou, Alexandros Louizakis and Konstantinos Paraskevopoulos
Reports 2025, 8(2), 88; https://doi.org/10.3390/reports8020088 - 5 Jun 2025
Viewed by 3615
Abstract
Background and Clinical Significance: Local anesthetic injections, routine in dental practice, ensure pain control during procedures like root canal treatments. Though generally safe, they can occasionally cause hematomas, localized blood accumulations in tissue planes. Rapidly expanding hematomas in the head and neck are [...] Read more.
Background and Clinical Significance: Local anesthetic injections, routine in dental practice, ensure pain control during procedures like root canal treatments. Though generally safe, they can occasionally cause hematomas, localized blood accumulations in tissue planes. Rapidly expanding hematomas in the head and neck are exceptionally rare but dangerous due to anatomical complexity, potentially threatening the airway. This case report emphasizes the critical need for the prompt recognition and management of such complications to prevent life-threatening outcomes, highlighting vigilance in routine dental procedures. Case Presentation: A 63-year-old male presented with rapidly enlarging right buccal swelling four hours post-local anesthetic injection for a root canal on a right maxillary molar. Examination showed warm, erythematous edema and buccal ecchymosis; a CT scan confirmed a 3.8 cm × 8.4 cm × 5.5 cm buccal space hematoma. His medical history revealed controlled type 2 diabetes and hyperlipidemia, and his coagulation was normal. Conservative management failed as the hematoma progressed, limiting mouth and eye opening. Urgent surgical decompression under general anesthesia evacuated clots and ligated facial and angular arteries. ICU monitoring ensured airway stability, with discharge on day three with antibiotics and follow-up. Conclusions: This case highlights the rare potential for dental anesthetic injections to cause rapidly progressive hematomas, requiring urgent surgical intervention and multidisciplinary care to prevent airway compromise. Early recognition, imaging, and decisive management are vital in achieving favorable outcomes in such serious complications. Full article
Show Figures

Figure 1

12 pages, 1280 KB  
Article
Structured Early Follow-Up in Head and Neck Squamous Cell Carcinomas: A Retrospective Cohort Study
by Philipp Dittmann, Bernhard Lehnert, Friedrich Ihler, Chia-Jung Busch and Markus Blaurock
Biomedicines 2025, 13(5), 1246; https://doi.org/10.3390/biomedicines13051246 - 20 May 2025
Viewed by 1371
Abstract
Background/Objectives: The various head and neck squamous cell carcinoma (HNSCC) subtypes are among the most common cancers globally, with significant recurrence rates within the first two years post-treatment. Despite advancements in treatment, structured early follow-up remains crucial for timely diagnosis and effective salvage [...] Read more.
Background/Objectives: The various head and neck squamous cell carcinoma (HNSCC) subtypes are among the most common cancers globally, with significant recurrence rates within the first two years post-treatment. Despite advancements in treatment, structured early follow-up remains crucial for timely diagnosis and effective salvage treatment. Methods: This retrospective study examines the impact of implementing a structured initial restaging between three and six months after the conclusion of initial treatment. The study population included 532 patients treated with curative intent at the University Medicine of Greifswald, Germany, between 2010 and 2019. Patients were divided into two groups: standard follow-up (SF) and adapted follow-up (AF). The AF group received standardized post-treatment restaging, including imaging and panendoscopy or PET-CT exams. Results: We found a trend towards earlier diagnosis and a reduction in recurrences, although these differences were not statistically significant. Secondary cancers were observed more frequently in the AF group, significantly affecting overall survival. Conclusions: Our cohort supports structured initial cancer follow-up in HNSCC. Although not significant, an initial multimodal exam after treatment was well tolerated and showed a trend toward earlier diagnosis. Full article
(This article belongs to the Special Issue Head and Neck Tumors, 4th Edition)
Show Figures

Figure 1

9 pages, 2929 KB  
Case Report
Transoral Videolaryngoscopic Surgery for an Undifferentiated Pleomorphic Sarcoma of the Tongue Base: A Case Report
by Takayuki Taruya, Takao Hamamoto, Tsutomu Ueda, Nobuyuki Chikuie and Sachio Takeno
Reports 2025, 8(2), 58; https://doi.org/10.3390/reports8020058 - 28 Apr 2025
Viewed by 787
Abstract
Background and Clinical Significance: Undifferentiated pleomorphic sarcoma (UPS) is a highly malignant soft tissue tumor formerly known as malignant fibrous histiocytoma. In the fifth edition of the WHO classification (2020), UPS is classified as an undifferentiated/unclassifiable sarcoma diagnosed via exclusion. While UPS commonly [...] Read more.
Background and Clinical Significance: Undifferentiated pleomorphic sarcoma (UPS) is a highly malignant soft tissue tumor formerly known as malignant fibrous histiocytoma. In the fifth edition of the WHO classification (2020), UPS is classified as an undifferentiated/unclassifiable sarcoma diagnosed via exclusion. While UPS commonly occurs in the extremities, its incidence in the head and neck region is rare (3%), with only a few reported cases in the oropharynx. Surgical resection is the primary treatment; however, tumors at the tongue base pose significant challenges due to the complex anatomy and the presence of critical neurovascular structures. This case highlights a rare instance of tongue-base UPS successfully treated with transoral videolaryngoscopic surgery (TOVS), demonstrating its feasibility as a minimally invasive approach. Case Presentation: A 68-year-old male presented with pharyngeal discomfort, dysphagia, and nocturnal dyspnea. Clinical examination revealed a pedunculated tumor originating from the left tongue base, occupying the pharyngeal cavity. Imaging studies showed a 5 cm mass without lymph node metastasis. A biopsy confirmed UPS (cT3N0M0). Given the tumor’s characteristics, TOVS was performed using an FK-WO TORS laryngo-pharyngoscope retractor. The tumor was resected with a ≥10 mm margin, achieving complete histological resection. The patient’s dyspnea resolved immediately, and oral intake resumed the next day. No adjuvant radiotherapy was administered, and no recurrence was observed for 50 months. Conclusions: This is the first reported case of UPS of the tongue base successfully resected using TOVS. This minimally invasive approach provides a safe and effective alternative for managing oropharyngeal UPS. Full article
(This article belongs to the Section Surgery)
Show Figures

Figure 1

15 pages, 3280 KB  
Article
Osteoporosis Assessment Using Bone Density Measurement in Hounsfield Units in the Femoral Native CT Cross-Section: A Comparison with Computed Tomography X-Ray Absorptiometry of the Hip
by Julian Ramin Andresen, Guido Schröder, Thomas Haider, Hans-Christof Schober and Reimer Andresen
Diagnostics 2025, 15(8), 1014; https://doi.org/10.3390/diagnostics15081014 - 16 Apr 2025
Cited by 3 | Viewed by 1768
Abstract
Background/Objectives: Bone mineral density (BMD) loss leads to osteoporosis, significantly increasing fracture risk in both the axial and peripheral skeleton. The extent to which it is possible to estimate the degree of osteoporosis in the hip by determining the density in Hounsfield Unit [...] Read more.
Background/Objectives: Bone mineral density (BMD) loss leads to osteoporosis, significantly increasing fracture risk in both the axial and peripheral skeleton. The extent to which it is possible to estimate the degree of osteoporosis in the hip by determining the density in Hounsfield Unit (HU) measurements derived from computed tomography (CT) scans and to calculate quantitative BMD and T values from the HU values should be examined. Methods: A total of 240 patients (mean age: 64.9 ± 13.1 years, BMI: 26.8 ± 6.8 kg/m2) underwent CT-based BMD assessments using CTXA-Hip. Subregions of the proximal femur, including the femoral head, femoral neck, and intertrochanteric region, were analyzed for cancellous density in HUs using circular and irregular region-of-interest (ROI) measurements. Correlations between HU values and DEXA-equivalent BMD (mg/cm2) and T values were computed. Predictive power for osteoporosis was evaluated using ROC curve analysis. Results: Cancellous bone density in the proximal femur showed a significant decline with increasing age and decreasing BMI (p < 0.05). The median BMD for the entire hip was 0.684 mg/cm2, and the median HU value for the proximal femur was 123.15. Strong correlations were observed between HU values and BMD (R2 = 0.904, p < 0.001) and T values (R2 = 0.911, p < 0.001). A T value of −2.5 corresponded to an HU value of 95.79 in the entire femur. ROC analysis demonstrated high sensitivity (0.92) and specificity (0.93) for HU-based osteoporosis prediction. Conclusions: HU measurements provide a reliable method for estimating BMD and T values in the proximal femur, offering a valuable diagnostic tool for osteoporosis. The highest predictive accuracy was achieved when using an irregular ROI from the entire proximal femoral region. Full article
(This article belongs to the Special Issue Advances in the Diagnosis and Management of Bone Diseases in 2025)
Show Figures

Figure 1

11 pages, 2878 KB  
Case Report
Metastatic Renal Cell Carcinoma Presenting a Maxillary Mucosal Lesion as a First Visible Sign of Disease: A Case Report and Review of Literature
by Umma Habiba, Abu Faem Mohammad Almas Chowdhury, Rafiz Ahmed, Saiyka S. Chowdhury, Raihanul Ferdoush, Koki Ise, Harun ur Rashid, Zillur Rahman, Zen-ichi Tanei, Shinya Tanaka and Asad-Uz Zaman
Diagnostics 2025, 15(7), 938; https://doi.org/10.3390/diagnostics15070938 - 7 Apr 2025
Viewed by 2732
Abstract
Background and Clinical Significance: Renal cell carcinoma (RCC) is the third most common cancer that metastasizes to the oral and maxillofacial region following breast and lung cancers. Metastatic involvement in the oral cavity is rare and can present as a diagnostic challenge due [...] Read more.
Background and Clinical Significance: Renal cell carcinoma (RCC) is the third most common cancer that metastasizes to the oral and maxillofacial region following breast and lung cancers. Metastatic involvement in the oral cavity is rare and can present as a diagnostic challenge due to non-specific clinical features that mimic other benign or malignant conditions. The limited information available regarding oral metastasis of RCC highlights the importance of recognizing this uncommon presentation. Case Presentation: A 50-year-old female presented with a painful swelling in the buccal and palatal mucosa of the right maxilla that progressively enlarged over several months. Initially, this lesion was diagnosed clinically as a pyogenic granuloma. However, given the lesion’s continued growth and unusual presentation, a biopsy was performed. Histopathological examination confirmed the lesion as metastatic renal clear-cell carcinoma (ccRCC), with immunohistochemical analysis verifying the renal origin. Further diagnostic tests, including a computed tomography (CT) urogram, chest CT, and bone scintigraphy, revealed additional metastases in the left adrenal gland, lungs, and bone. Conclusions: This case is notable because the oral lesion was the first visible sign of RCC, making it a rare presentation of metastatic RCC. This underscores the importance of thorough history taking, detailed clinical evaluations, and considering rare metastatic conditions in the differential diagnosis of oral swellings. Additionally, this case reinforces the significance of routine cancer screenings for early detection of undiagnosed cancer. We also updated a previous literature review of metastatic RCC to the head and neck region, covering cases until 2023. Full article
(This article belongs to the Section Medical Imaging and Theranostics)
Show Figures

Figure 1

9 pages, 1100 KB  
Article
Decoding Temporal Bone Carcinoma: The Role of CT and MRI in Precision Staging
by Daniela Messineo, Filippo Valentini, Marcella Bugani, Matteo Nacci, Ida Corvino and Pasquale Frisina
Appl. Sci. 2025, 15(6), 3009; https://doi.org/10.3390/app15063009 - 11 Mar 2025
Viewed by 1464
Abstract
Primary squamous cell carcinoma (SCC) of the temporal bone is an extremely rare malignancy, comprising only 0.2% of head and neck cancers. There is currently no universally accepted staging system for these tumors. This study evaluates the utility of the Pittsburgh staging system [...] Read more.
Primary squamous cell carcinoma (SCC) of the temporal bone is an extremely rare malignancy, comprising only 0.2% of head and neck cancers. There is currently no universally accepted staging system for these tumors. This study evaluates the utility of the Pittsburgh staging system for temporal bone SCC, examines prognostic factors, and reports clinical outcomes. A retrospective review was conducted on a small cohort of 15 patients diagnosed with temporal bone SCC between 2020 and 2023. Imaging included high-resolution CT and MRI (T1W, T2W, and DWI). Staging accuracy was assessed, and Cohen’s Kappa coefficient was used to compare radiological and pathological staging. Results showed a 73% accuracy in preoperative radiological staging, with higher agreement for T3/T4 tumors (86%) compared to T1/T2 (63%). MRI provided additional information, revealing dural enhancement in two patients and parotid involvement in one. Survival analysis indicated 100% survival in T1/T2 patients, 25% in T3, and 0% in T4, supporting the prognostic value of the Pittsburgh system. While limited by the small sample size, the study confirms that the Pittsburgh staging system offers a reliable approach to stratifying patients with temporal bone SCC and underscores the importance of combined CT and MRI for accurate staging and treatment planning. Full article
(This article belongs to the Section Biomedical Engineering)
Show Figures

Figure 1

Back to TopTop