Sign in to use this feature.

Years

Between: -

Subjects

remove_circle_outline
remove_circle_outline
remove_circle_outline
remove_circle_outline
remove_circle_outline
remove_circle_outline
remove_circle_outline
remove_circle_outline
remove_circle_outline

Journals

remove_circle_outline
remove_circle_outline
remove_circle_outline
remove_circle_outline
remove_circle_outline
remove_circle_outline
remove_circle_outline
remove_circle_outline
remove_circle_outline
remove_circle_outline

Article Types

Countries / Regions

remove_circle_outline
remove_circle_outline
remove_circle_outline

Search Results (421)

Search Parameters:
Keywords = end capping

Order results
Result details
Results per page
Select all
Export citation of selected articles as:
22 pages, 4759 KB  
Article
Phosphorus’s Ameliorative Effect on High Level Bacterial Protein-Induced Metabolic Disorders: Alleviating Oxidative Stress and Lipid Dysregulation in Procambarus clarkii
by Jiarong Guo, Linlin Yang, Dongwu Wang, Minglang Cai, Jinlong Li, Xin Tian, Xiudan Yuan, Yi Hu and Zhigang He
Antioxidants 2026, 15(1), 28; https://doi.org/10.3390/antiox15010028 - 24 Dec 2025
Abstract
A 10-week growth experiment was conducted to evaluate the physiological effects of dietary phosphorus supplementation on red swamp crayfish (Procambarus clarkii) feeding diets with high Clostridium autoethanogenum protein (CAP) levels. Six isonitrogenous and isolipid diets were formulated: The FM diet contained [...] Read more.
A 10-week growth experiment was conducted to evaluate the physiological effects of dietary phosphorus supplementation on red swamp crayfish (Procambarus clarkii) feeding diets with high Clostridium autoethanogenum protein (CAP) levels. Six isonitrogenous and isolipid diets were formulated: The FM diet contained 10% fishmeal, which is equivalent to a dietary phosphorus level of 1.41%, and the CAP, CAPSP1, CAPSP2, and CAPSP3 diets substituted all fishmeal with CAP and supplemented with 0, 2.5%, 3%, and 3.5% Ca(H2PO4)2, respectively (corresponding to dietary phosphorus levels of 0.66%, 1.27%, 1.40%, and 1.52%). A total of 600 crayfish with an initial mean weight of (5.01 ± 0.02) g were selected and randomly assigned to 15 cages for feeding and sampled at the end of the experiment. Results indicate that high-dose CAP replacing fishmeal caused abnormal hepatopancreatic tissue structure in crayfish, exacerbating lipid deposition and oxidative stress. Compared with the CAP group, the specific growth rate (SGR) of crayfish in the CAPSP2 and CAPSP3 groups significantly increased (p < 0.05). The activities of antioxidant enzymes and lipid-degrading enzymes in the hepatopancreas, along with the relative expression of related genes, were significantly enhanced (p < 0.05). Metabolomic analysis demonstrated significant differences in major differential metabolites and metabolic pathways between the CAP group crayfish and the CAPSP2 group (p < 0.05). CAPSP2 group crayfish exhibited a higher content of phosphatidylcholine (PC) and lysophosphatidylcholine (LPC), with significant enrichment in glycerophospholipid metabolism and fatty acid metabolism pathways (p < 0.05). Overall, supplementing dietary phosphorus levels to 1.40–1.52% effectively mitigated growth retardation, oxidative damage, and lipid metabolism disorders induced by high-proportion CAP replacement of fishmeal. Full article
(This article belongs to the Special Issue Natural Antioxidants and Aquatic Animal Health—2nd Edition)
Show Figures

Figure 1

24 pages, 1588 KB  
Article
RMLP-Cap: An End-to-End Parasitic Capacitance Extraction Flow Based on ResMLP
by Xinya Zhou, Jiacheng Zhang, Bin Li, Wenchao Liu, Zhaohui Wu and Bing Lu
Electronics 2026, 15(1), 36; https://doi.org/10.3390/electronics15010036 - 22 Dec 2025
Abstract
With continued transistor scaling and increasing interconnect density in very large-scale integration (VLSI) circuits, the parasitic capacitance of interconnect has become a major contributor to circuit delay and signal integrity degradation. Fast and accurate parasitic capacitance extraction is therefore essential in the back-end-of-line [...] Read more.
With continued transistor scaling and increasing interconnect density in very large-scale integration (VLSI) circuits, the parasitic capacitance of interconnect has become a major contributor to circuit delay and signal integrity degradation. Fast and accurate parasitic capacitance extraction is therefore essential in the back-end-of-line (BEOL) stage. Currently, 2.5D parasitic capacitance extraction flow based on the pattern matching method is widely used by commercial tools, which still suffer from lengthy pattern library construction, cross-section preprocessing, pattern mismatch, and poor accuracy for small capacitance extraction. To overcome these limitations, this work proposes an end-to-end parasitic capacitance extraction workflow, named residual multilayer perceptron interconnect parasitic capacitance extraction (RMLP-Cap), which leverages a residual multilayer perceptron (ResMLP) to enhance traditional workflow. RMLP-Cap integrates parasitic extraction (PEX) window acquisition, pattern definition, feature extraction, dataset generation, ResMLP model training, and capacitance aggregation into a unified flow. Experimental results show that RMLP-Cap can automatically define and model complex 2D patterns with 100% matching accuracy. Compared with a field solver based on the boundary element method (BEM), the ResMLP model achieves an average relative error below 0.9%, a standard deviation under 0.2%, and less than 0.5% error for small capacitances, while providing a 900% speed improvement for extraction speed. Full article
(This article belongs to the Section Microelectronics)
24 pages, 13469 KB  
Article
Accessible American Sign Language Learning in Virtual Reality via Inverse Kinematics
by Jeremy Immanuel and Santiago Berrezueta-Guzman
Virtual Worlds 2025, 4(4), 57; https://doi.org/10.3390/virtualworlds4040057 - 4 Dec 2025
Viewed by 511
Abstract
Along with the rapid advancement of Virtual Reality (VR) and the metaverse, interest in this technology has surged among game developers and in fields such as education and healthcare. VR has enabled the rise in immersive, gamified activities, whether for rehabilitation, therapy, or [...] Read more.
Along with the rapid advancement of Virtual Reality (VR) and the metaverse, interest in this technology has surged among game developers and in fields such as education and healthcare. VR has enabled the rise in immersive, gamified activities, whether for rehabilitation, therapy, or learning. Additionally, VR and Motion Capture (MoCap) have allowed developers to create further accessibility features for end-users with special needs. However, the excitement of using new technology often does not align with the end user’s use cases. The over-reliance on cutting-edge hardware can negatively impact most end users who lack access to such expensive tools. To this end, we conducted an inclusivity-focused study that enables learners to practice ASL in an immersive and engaging way using only head- and controller-based tracking. Our approach replaces full-body MoCap with Inverse Kinematics (IK) and simple controller mappings for upper-body pose and hand-gesture recognition, providing a low-cost, reproducible alternative to costly setups. Full article
Show Figures

Graphical abstract

16 pages, 1844 KB  
Article
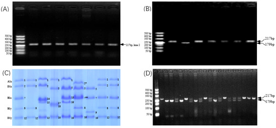
Effect of 1Bx7null on Soft Wheat Cookie Quality Under Different Nitrogen Inputs and Its CAPS Marker Development
by Pingping Zhang, Guicheng Song, Yuntao Zhang and Jinbao Yao
Foods 2025, 14(23), 4137; https://doi.org/10.3390/foods14234137 - 2 Dec 2025
Viewed by 237
Abstract
The role of HMW-GSs in soft wheat quality remains inadequately understood. In Chinese soft wheat variety Ningmai 9, a nonsense mutation (Glu-B1x, 1Bx7null) reduced dough tenacity while enhancing dough extensibility under both low (LN) and high nitrogen (HN) inputs. The [...] Read more.
The role of HMW-GSs in soft wheat quality remains inadequately understood. In Chinese soft wheat variety Ningmai 9, a nonsense mutation (Glu-B1x, 1Bx7null) reduced dough tenacity while enhancing dough extensibility under both low (LN) and high nitrogen (HN) inputs. The improved extensibility in the NIL carrying 1Bx7null was primarily due to a reduced glutenin/gliadin ratio, with HN further increasing extensibility compared to LN. Notably, the NIL under HN exhibited better cookie quality than WT under LN without yield loss (p < 0.05). A CAPS marker was developed based on a C-to-T SNP at 514 bp in the CDS of 1Bx7null, reliably distinguishing 1Bx7 and 1Bx7null alleles. This allele-marker combination shows promising potential for soft wheat breeding. Future studies should explore the effects of allele 1Bx7null across diverse genetic backgrounds and soft wheat products. Full article
Show Figures

Figure 1

14 pages, 7491 KB  
Article
Impact of Overdeposition on Magnetic Behavior in Ferromagnetic Nanowire Arrays
by Oleksandr Pastukh
Condens. Matter 2025, 10(4), 57; https://doi.org/10.3390/condmat10040057 - 12 Nov 2025
Viewed by 488
Abstract
Owing to their dimensions and high aspect ratio, magnetic nanowires possess distinctive physical and chemical properties and are of great importance in building nanoelectronics devices. Nanowires are traditionally produced by electrochemical deposition methods using alumina or polycarbonate membranes, and their parameters (porosity, size, [...] Read more.
Owing to their dimensions and high aspect ratio, magnetic nanowires possess distinctive physical and chemical properties and are of great importance in building nanoelectronics devices. Nanowires are traditionally produced by electrochemical deposition methods using alumina or polycarbonate membranes, and their parameters (porosity, size, and arrangement of pores) strongly influence the magnetic properties of nanowires. However, very often, the effect that cannot be neglected during synthesis is overdeposition. The influence of overdeposition on the magnetic properties of nanowires is often overlooked, but it can strongly alter the magnetic behavior of the system. In this study, we use micromagnetic simulations to investigate how different levels of overdeposition affect the hysteretic behavior of nanowires and their magnetization switching mechanism. It was shown that the formation of hemispherical caps on the ends of the nanowires may alter the out-of-plane magnetic anisotropy of the nanowires and strongly influence the squareness of the hysteresis loop. The demagnetizing field distribution for nanowires with overdeposition was also investigated, showing a strong influence of its spatial distribution change on the reversal mechanism and interaction between nanowires. The obtained results were compared to existing experimental observations, showing good agreement with the magnetic behavior of the system. Performed research can be of great interest to experimental groups, as it highlights the importance of controlling overdeposition during nanowire synthesis and its potential influence on magnetic performance. Full article
Show Figures

Figure 1

17 pages, 26656 KB  
Article
Age of Blown Sand in the East Slovak Lowland—Case Study from Svätuše Sand Pit, Slovakia
by Diana Dirnerová, Roman Farkašovský and Róbert Hinca
Geosciences 2025, 15(11), 429; https://doi.org/10.3390/geosciences15110429 - 12 Nov 2025
Viewed by 356
Abstract
A sedimentary profile consisting of blown sand capped by a sand-loam bedded interval was analysed in the Svätuše sand pit in the East Slovak Lowland. Stratigraphically, blown sands from this lowland have so far only been indirectly classified into the Weichselian glacial, mainly [...] Read more.
A sedimentary profile consisting of blown sand capped by a sand-loam bedded interval was analysed in the Svätuše sand pit in the East Slovak Lowland. Stratigraphically, blown sands from this lowland have so far only been indirectly classified into the Weichselian glacial, mainly into its middle and upper stages. The age classification presented in this study results from the optically stimulated luminescence dating method. It identifies the blown sand from the Svätuše as originating during the Early Glacial and Early Pleniglacial phases of the Weichselian glacial (MIS 4–5d). At the end of the Early Glacial phase of the Weichselian glacial, palaeoenvironmental conditions changed. The deposition of blown sand became episodic rather than continuous. As a result, the analysed sedimentary record is composed of a sand-loam interbedded interval in the uppermost part. Full article
Show Figures

Figure 1

11 pages, 1530 KB  
Article
Photophysical, Electrochemical, Density Functional Theory, and Spectroscopic Study of Some Oligothiophenes
by Mamoun M. Bader, Phuong-Truc T. Pham, Juri A. Busaili, Samar M. Alrifai, Sarah H. Younas and El Hadj Elandaloussi
Optics 2025, 6(4), 56; https://doi.org/10.3390/opt6040056 - 10 Nov 2025
Viewed by 372
Abstract
Dicyanovinyl (DCV) oligothiophenes are interesting materials due to their unique optical and electronic properties. They are relatively easy to prepare using Knoevenagel condensation reactions from the corresponding aldehydes. Understanding their optical and electrochemical characteristics is important for both building structure/property relationships and for [...] Read more.
Dicyanovinyl (DCV) oligothiophenes are interesting materials due to their unique optical and electronic properties. They are relatively easy to prepare using Knoevenagel condensation reactions from the corresponding aldehydes. Understanding their optical and electrochemical characteristics is important for both building structure/property relationships and for optimizing their performance in various applications. We report on the electrochemical and photophysical properties of three oligothiophenes end-capped with dicyanovinyl -CH=C(CN)2 or DCV groups. The compounds included in this study are DCV-T-DCV (1), DCV-2T-DCV (2), and DCV-3T-DCV (3), where T represents one thiophene unit. Introduction of the DCV groups into oligothiophenes results in unique evolution of their electrochemical and optical behavior. First, new reversible two-electron reduction processes in the series DCV-nT-DCV start to appear with a gradual increase in the reduction potential with an increasing number of thiophene units. This was consistent with the electronic spectroscopic results. These results demonstrate that the DCV groups can be used in molecular design and fine-tuning of the optical and redox properties of oligothiophene and presumably this strategy can be extended to other conjugated organic molecules. We also report on the photophysical and vibrational spectroscopic properties of these compounds. The C=C stretching bands in Raman and IR spectra reveal more quinoidal nature in shorter molecules and more dominant benzoidal character in longer molecules. The DCV-induced modulation of electrochemical, optical, and vibrational properties highlights their potential in diverse optoelectronic applications. Full article
Show Figures

Figure 1

20 pages, 16544 KB  
Article
Investigation on Static Performance of Piers Assembled with Steel Cap Beams and Single Concrete Columns
by Chong Shen, Qingtian Su, Sizhe Wang and Fawas. O. Matanmi
Buildings 2025, 15(19), 3476; https://doi.org/10.3390/buildings15193476 - 26 Sep 2025
Viewed by 490
Abstract
To reduce the weight of prefabricated cap beams, a new type of hybrid pier with a steel cap beam and single concrete column with an innovative flange–rebar–ultra-high-performance concrete (UHPC) connection structure is proposed in this paper. Focusing on the static performance of hybrid [...] Read more.
To reduce the weight of prefabricated cap beams, a new type of hybrid pier with a steel cap beam and single concrete column with an innovative flange–rebar–ultra-high-performance concrete (UHPC) connection structure is proposed in this paper. Focusing on the static performance of hybrid piers, a specimen with a geometric similarity ratio of 1:4 was fabricated for testing. The results showed that the ultimate load-bearing capacity reached 960 kN, and the failure mode was characterized by an obvious overall vertical displacement of 70.2 mm at the cantilever end, accompanied by local buckling in the webs between transversal diaphragms and ribs. Due to the varying-thickness design, longitudinal strains were comparable between the middle section (thin plates) and the root section (thick plates) of the cantilever beam, showing a trend of an initial increase followed by a decrease from the end of the cantilever beam to the road centerline. Meanwhile, the cross-sections of the connection joint and concrete column transformed from overall compression to eccentric compression during the test. At the ultimate state, their steel structures remained elastic, with no obvious damage in the concrete or UHPC, verifying good load-bearing capacity. Furthermore, the finite element analysis showed the new connection joint and construction method of hinged-to-rigid could reduce the column top concrete compressive stress by 18–54%, tensile stress by 11–68%, and steel cap beam Mises stress by 10%. Finally, based on the experimental and numerical studies, the safety reserve coefficient of the new hybrid pier was over 2.7. Full article
Show Figures

Figure 1

27 pages, 15345 KB  
Article
Advanced Drone Routing and Scheduling for Emergency Medical Supply Chains in Essex
by Shabnam Sadeghi Esfahlani, Sarinova Simanjuntak, Alireza Sanaei and Alex Fraess-Ehrfeld
Drones 2025, 9(9), 664; https://doi.org/10.3390/drones9090664 - 22 Sep 2025
Viewed by 1362
Abstract
Rapid access to defibrillators, blood products, and time-critical medicines can improve survival, yet urban congestion and fragmented infrastructure delay deliveries. We present and evaluate an end-to-end framework for beyond-visual-line-of-sight (BVLOS) UAV logistics in Essex (UK), integrating (I) strategic depot placement, (II) a hybrid [...] Read more.
Rapid access to defibrillators, blood products, and time-critical medicines can improve survival, yet urban congestion and fragmented infrastructure delay deliveries. We present and evaluate an end-to-end framework for beyond-visual-line-of-sight (BVLOS) UAV logistics in Essex (UK), integrating (I) strategic depot placement, (II) a hybrid obstacle-aware route planner, and (III) a time-window-aware (TWA) Mixed-Integer Linear Programming (MILP) scheduler coupled to a battery/temperature feasibility model. Four global planners—Ant Colony Optimisation (ACO), Genetic Algorithm (GA), Particle Swarm Optimisation (PSO), and Rapidly Exploring Random Tree* (RRT*)—are paired with lightweight local refiners, Simulated Annealing (SA) and Adaptive Large-Neighbourhood Search (ALNS). Benchmarks over 12 destinations used real Civil Aviation Authority no-fly zones and energy constraints. RRT*-based hybrids delivered the shortest mean paths: RRT* + SA and RRT* + ALNS tied for the best average length, while RRT* + SA also achieved the co-lowest runtime at v=60kmh1. The TWA-MILP reached proven optimality in 0.11 s, showing that a minimum of seven UAVs are required to satisfy all 20–30 min delivery windows in a single wave; a rolling demand of one request every 15 min can be sustained with three UAVs if each sortie (including service/recharge) completes within 45 min. To validate against a state-of-the-art operations-research baseline, we also implemented a Vehicle Routing Problem with Time Windows (VRPTW) in Google OR-Tools, confirming that our hybrid planners generate competitive or shorter NFZ-aware routes in complex corridors. Digital-twin validation in AirborneSIM confirmed CAP 722-compliant, flyable trajectories under wind and sensor noise. By hybridising a fast, probabilistically complete sampler (RRT*) with a sub-second refiner (SA/ALNS) and embedding energy-aware scheduling, the framework offers an actionable blueprint for emergency medical UAV networks. Full article
Show Figures

Figure 1

18 pages, 5613 KB  
Article
Visual and Non-Destructive Testing of ASR Affected Piers from Montreal’s Champlain Bridge
by Leah Kristufek, Leandro F. M. Sanchez, Beatriz Martín-Pérez and Martin Noël
Buildings 2025, 15(18), 3262; https://doi.org/10.3390/buildings15183262 - 10 Sep 2025
Viewed by 921
Abstract
Condition assessment of reinforced concrete structures presents a significant challenge worldwide as structures built in the post-war construction period (1950s–1970s) reach end of service life. The alkali-silica reaction (ASR) is one of several damage mechanisms which commonly affect infrastructure in Canada. Frequent freeze-thaw [...] Read more.
Condition assessment of reinforced concrete structures presents a significant challenge worldwide as structures built in the post-war construction period (1950s–1970s) reach end of service life. The alkali-silica reaction (ASR) is one of several damage mechanisms which commonly affect infrastructure in Canada. Frequent freeze-thaw cycles and heavy use of de-icing salts in winter as well as high heat and humidity in summer are expected to have intensified ASR-induced damage. This work investigates five segments of a pier cap—PC, which had undergone encapsulation repair, and four segments of a pier shaft—PS, which represented dry and semi-submerged conditions, removed from a highway bridge constructed starting in 1957. Preliminary evaluation through visual inspection (conventional, qualitative and quantitative using the cracking index—CI) and non-destructive techniques (rebound hammer—RBH, ultrasonic pulse velocity—UPV and surface resistivity) was conducted on both internal (i.e., cut during decommissioning) and external (i.e., exposed while in service) surfaces of five PC segments and four PS segments. Differences in geometry, exposure conditions and repair history from the two members were found to have limited impact on the results of quantitative tests (i.e., CI, RBH and UPV results with average values of 1.6 mm/m, 37 MPa and 2.4 Km/s, respectively) while still exhibiting qualitative differences in visual determination (i.e., crack patterns, surface appearance and crack widths). Full article
(This article belongs to the Section Building Materials, and Repair & Renovation)
Show Figures

Figure 1

21 pages, 3429 KB  
Article
Novel Isoindigo-Based Organic Semiconductors End Capped with 1,1-Dicyanomethylene-3-Indanone: Effect of the Bromination and Position of Bromine Substituents on the Chemical–Physical and Electrical Properties
by Fabio Mocerino, Mario Barra, Fabio Borbone, Antonio Carella, Roberto Centore, Fabio Chiarella, Alessandro Landi and Andrea Peluso
Molecules 2025, 30(18), 3672; https://doi.org/10.3390/molecules30183672 - 9 Sep 2025
Viewed by 949
Abstract
We report here on the synthesis and characterization of three novel isoindigo (II)-based organic semiconductors. The three dyes are based on an electron acceptor II core, symmetrically linked to two 3-octylthiophene donor rings; this common fragment, easily synthesizable, is end-capped with three different [...] Read more.
We report here on the synthesis and characterization of three novel isoindigo (II)-based organic semiconductors. The three dyes are based on an electron acceptor II core, symmetrically linked to two 3-octylthiophene donor rings; this common fragment, easily synthesizable, is end-capped with three different auxiliary electron acceptor groups, 1,1-Dicyanomethylene-3-Indanone (IDM) and two derivatives of it, bearing a bromine atom in position 5 or 6 of the IDM ring. The effect of the bromination and of the position of the bromine atom on the chemical–physical and electrical properties of the compounds were examined by means of thermal, optical, and electrochemical analysis; the electronic properties were investigated in more details at the DFT level. The novel compounds were used as active layers in organic field effect transistors: all the II derivatives were n-type unipolar semiconductors with electron mobilities ranging between 10−3 and 10−4 cm2/V∙s. Full article
(This article belongs to the Section Materials Chemistry)
Show Figures

Graphical abstract

15 pages, 967 KB  
Article
Assessment of Bacterial Presence Among New and “In Use” Resealable Biomaterials Within the Pediatric Dental Clinic
by Gavin Banning, Cindy Kim, Carter Wilkerson, Shelley J. Williams, Karl Kingsley and Victoria Sullivan
Hygiene 2025, 5(3), 42; https://doi.org/10.3390/hygiene5030042 - 9 Sep 2025
Viewed by 1218
Abstract
Background: Dental offices and clinics utilize a variety of dental materials that are delivered in reusable containers and dispensers. However, many of these materials, including NeoPutty, BC Putty, Flowable, and Diapex, may be subject to bacterial contamination and microbial exposures from the surrounding [...] Read more.
Background: Dental offices and clinics utilize a variety of dental materials that are delivered in reusable containers and dispensers. However, many of these materials, including NeoPutty, BC Putty, Flowable, and Diapex, may be subject to bacterial contamination and microbial exposures from the surrounding dental office environment. Objectives: The aim of this study was to quantify and identify microbial contamination, specifically in regard to these reusable dental materials. Methods: Surfaces of new and used reusable and resealable tubes where the material dispenses and the interior surfaces of the cap were swabbed and cultured. DNA was isolated from each sample and quantitative polymerase chain reaction (qPCR) was performed to determine the presence or absence of microbial contamination, as well as the relative abundance. Results: Microbial contamination was observed among all of the “in use” samples from both the dispensing end and the interior surfaces of the cap and was strongly associated with the amount of usage. Conclusions: These data suggest that environmental contamination may be present in measurable and quantifiable amounts on reusable and resealable dental materials, which suggest the need to create protocols for sanitizing the surfaces of reusable materials to reduce the presence of microbial contamination identified in similar clinical settings. Full article
Show Figures

Figure 1

24 pages, 6358 KB  
Article
Characterisation of End-of-Life Wind Turbine Blade Components for Structural Repurposing: Experimental and Analytic Prediction Approach
by Philipp Johst, Moritz Bühl, Alann André, Robert Kupfer, Richard Protz, Niels Modler and Robert Böhm
Sustainability 2025, 17(17), 7783; https://doi.org/10.3390/su17177783 - 29 Aug 2025
Cited by 1 | Viewed by 904
Abstract
The problem of end-of-life (EoL) fibre-reinforced polymer (FRP) wind turbine blades (WTBs) poses a growing challenge due to the absence of an integrated circular value chain currently available on the market. A key barrier is the information gap between the EoL condition of [...] Read more.
The problem of end-of-life (EoL) fibre-reinforced polymer (FRP) wind turbine blades (WTBs) poses a growing challenge due to the absence of an integrated circular value chain currently available on the market. A key barrier is the information gap between the EoL condition of WTB components and their second-life application requirements. This study addresses this question by focusing on the spar cap, which is an internal structural component with high repurposing potential. A framework has been developed to determine the as-received mechanical properties of spar caps from different EoL WTB models, targeting repurpose in the construction sector. The experimental programme encompasses fibre architecture assessment, calcination processes and mechanical tests in both longitudinal and transverse directions of three different WTB models. Results suggest that the spar caps appear to retain their strength and stiffness, with no evidence of degradation from previous service life. However, notable variation in properties is observed. To account for this, a prediction tool is proposed to estimate the as-received mechanical properties based on practically accessible parameters, thereby supporting decision-making. The results of this study contribute to enabling the repurposing of EoL spar cap beams from the wind energy sector for applications in the construction sector. Full article
Show Figures

Graphical abstract

21 pages, 5706 KB  
Article
The Impact of Drilling Parameters on Drilling Temperature in High-Strength Steel Thin-Walled Parts
by Yupu Zhang, Ruyu Li, Yihan Liu, Chengwei Liu, Shutao Huang, Lifu Xu and Haicheng Shi
Appl. Sci. 2025, 15(15), 8568; https://doi.org/10.3390/app15158568 - 1 Aug 2025
Viewed by 790
Abstract
High-strength steel has high strength and low thermal conductivity, and its thin-walled parts are very susceptible to residual stress and deformation caused by cutting heat during the drilling process, which affects the machining accuracy and quality. High-strength steel thin-walled components are widely used [...] Read more.
High-strength steel has high strength and low thermal conductivity, and its thin-walled parts are very susceptible to residual stress and deformation caused by cutting heat during the drilling process, which affects the machining accuracy and quality. High-strength steel thin-walled components are widely used in aerospace and other high-end sectors; however, systematic investigations into their temperature fields during drilling remain scarce, particularly regarding the evolution characteristics of the temperature field in thin-wall drilling and the quantitative relationship between drilling parameters and these temperature variations. This paper takes the thin-walled parts of AF1410 high-strength steel as the research object, designs a special fixture, and applies infrared thermography to measure the bottom surface temperature in the thin-walled drilling process in real time; this is carried out in order to study the characteristics of the temperature field during the thin-walled drilling process of high-strength steel, as well as the influence of the drilling dosage on the temperature field of the bottom surface. The experimental findings are as follows: in the process of thin-wall drilling of high-strength steel, the temperature field of the bottom surface of the workpiece shows an obvious temperature gradient distribution; before the formation of the drill cap, the highest temperature of the bottom surface of the workpiece is distributed in the central circular area corresponding to the extrusion of the transverse edge during the drilling process, and the highest temperature of the bottom surface can be approximated as the temperature of the extrusion friction zone between the top edge of the drill and the workpiece when the top edge of the drill bit drills to a position close to the bottom surface of the workpiece and increases with the increase in the drilling speed and the feed volume; during the process of drilling, the highest temperature of the bottom surface of the workpiece is approximated as the temperature of the top edge of the drill bit and the workpiece. The maximum temperature of the bottom surface of the workpiece in the drilling process increases nearly linearly with the drilling of the drill, and the slope of the maximum temperature increases nearly linearly with the increase in the drilling speed and feed, in which the influence of the feed on the slope of the maximum temperature increases is larger than that of the drilling speed. Full article
(This article belongs to the Special Issue Machine Automation: System Design, Analysis and Control)
Show Figures

Figure 1

20 pages, 1664 KB  
Article
Phenolic Evolution During Industrial Red Wine Fermentations with Different Sequential Air Injection Regimes
by Paula A. Peña-Martínez, Alvaro Peña-Neira and V. Felipe Laurie
Fermentation 2025, 11(8), 446; https://doi.org/10.3390/fermentation11080446 - 31 Jul 2025
Viewed by 1548
Abstract
During red wine production, managing the pomace cap is key for a successful fermentation, allowing the extraction of phenolics and other metabolites and providing the necessary oxygen for yeast activity. In recent years, automatic cap management systems based on the injection of gases [...] Read more.
During red wine production, managing the pomace cap is key for a successful fermentation, allowing the extraction of phenolics and other metabolites and providing the necessary oxygen for yeast activity. In recent years, automatic cap management systems based on the injection of gases have gained popularity, despite the limited scientific information regarding the outcomes of their use. This trial aimed to evaluate the composition of wine during industrial red wine fermentations using an automatic sequential air injection system (i.e., AirMixing MITM). Fourteen lots of Cabernet Sauvignon grapes were fermented using four air injection regimes, where the intensity and daily frequency of air injections were set to either low or high. As expected, the treatment combining high-intensity and high-frequency air injection produced the largest dissolved oxygen peaks reaching up to 1.9 mg L−1 per cycle, compared to 0.1 mg L−1 in the low-intensity and low-frequency treatment. Yet, in all cases, little to no accumulation of oxygen overtime was observed. Regarding phenolics, the highest intensity and frequency of air injections led to the fastest increase in total phenolics, anthocyanins, short polymeric pigments, and tannin concentration, although compositional differences among treatments equilibrate by the end of fermentation. The main differences in phenolic compounds observed during fermentation were mediated by temperature variation among wine tanks. Based on these findings, it is advisable to keep the characterizing kinetics of phenolic extraction and expand the study to the aroma evolution of wines fermented with this technology. Full article
(This article belongs to the Special Issue Biotechnology in Winemaking)
Show Figures

Graphical abstract

Back to TopTop