Sign in to use this feature.

Years

Between: -

Subjects

remove_circle_outline
remove_circle_outline
remove_circle_outline
remove_circle_outline
remove_circle_outline
remove_circle_outline
remove_circle_outline

Journals

Article Types

Countries / Regions

Search Results (204)

Search Parameters:
Keywords = deceased donor

Order results
Result details
Results per page
Select all
Export citation of selected articles as:
20 pages, 1081 KB  
Article
A 23-Year Comprehensive Analysis of over 4000 Liver Transplants in Türkiye: Integrating Clinical Outcomes with Public Health Insights
by Deniz Yavuz Baskiran and Sezai Yilmaz
Healthcare 2026, 14(2), 163; https://doi.org/10.3390/healthcare14020163 - 8 Jan 2026
Viewed by 161
Abstract
Background: This study seeks to evaluate the 23 year experience of the İnonu University Liver Transplantation Institute from a public health perspective by examining demographic patterns, etiological factors, and transplantation trends between 2002 and 2025. Aims: This analysis aims to provide insights into [...] Read more.
Background: This study seeks to evaluate the 23 year experience of the İnonu University Liver Transplantation Institute from a public health perspective by examining demographic patterns, etiological factors, and transplantation trends between 2002 and 2025. Aims: This analysis aims to provide insights into the epidemiological landscape of liver transplantation in Türkiye from a public health perspective. Methods: In this retrospective cross sectional study, we analyzed 4011 liver transplant procedures performed between March 2002 and March 2025. Recipient demographics, disease etiologies, donor characteristics, and patients geographic distribution were assessed to delineate regional health needs and service utilization patterns. Results: A total of 4011 patients were included. The cohort comprised 2618 males (65.3%) and 1393 females (34.7%). Recipients were classified as adult (n = 3232, 80.9%) or pediatric (n = 779, 19.1%). Among adults, infectious etiologies were the most prevalent (35.5%), followed by cryptogenic liver cirrhosis (24.7%). In contrast, pediatric patients most commonly presented with toxic etiologies (29.4%), metabolic disorders (22.6%) and bile duct diseases (15.9%). Most liver transplantations were performed using living donors (n = 3481, 86.8%), while deceased donors accounted for 530 procedures (13.2%). Additionally, 244 living donor liver transplantations were performed via liver paired exchange (LPE). Conclusions: These findings may inform resource allocation, health policy development, and the optimization of transplantation services. This center-based model offers a useful framework for characterizing regional health needs and strengthening community health, particularly through prevention, screening, and early intervention strategies for liver diseases. Full article
Show Figures

Figure 1

10 pages, 703 KB  
Case Report
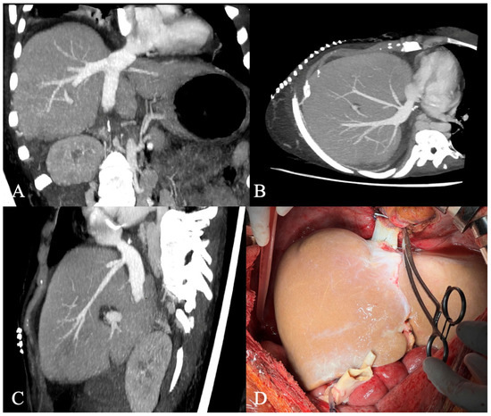
Inferior Vena Cava-Atrial Anastomosis in Liver Transplant Recipient with Inferior Vena Cava Occlusion: A Case Report and Literature Review
by Jakub Rochoń, Piotr Kalinowski, Joanna Marczak, Krzysztof Gibiński and Michał Grąt
J. Clin. Med. 2026, 15(1), 384; https://doi.org/10.3390/jcm15010384 - 5 Jan 2026
Viewed by 209
Abstract
A 25-year-old woman with decompensated liver cirrhosis and complete inferior vena cava (IVC) occlusion was referred to our department for liver transplantation. The etiology of cirrhosis was Budd-Chiari syndrome (BCS) related to systemic lupus erythematosus, autoimmune hepatitis, and primary biliary cholangitis (AIH-PBC) overlap [...] Read more.
A 25-year-old woman with decompensated liver cirrhosis and complete inferior vena cava (IVC) occlusion was referred to our department for liver transplantation. The etiology of cirrhosis was Budd-Chiari syndrome (BCS) related to systemic lupus erythematosus, autoimmune hepatitis, and primary biliary cholangitis (AIH-PBC) overlap syndrome. Transplantation was feasible due to an extensive collateral circulation of pre-vertebral veins that drained blood from the lower extremities and both kidneys to the azygos-hemiazygos veins. This venous anomaly enabled the excision of the obstructed retrohepatic IVC, followed by an alternative anastomosis of the suprahepatic IVC to the right atrium without reconstruction of the infrahepatic IVC. Despite good venous patency and normalization of liver graft function, the patient developed cecum perforation, cardiovascular and respiratory insufficiency, which led to the patient’s death two months after transplantation. This case report supports an individual approach and highlights the feasibility of liver transplantation despite an extensive IVC thrombosis. To our knowledge, it is the first description of the application of a deceased donor liver transplantation in patients with AIH-PBC overlap syndrome and lupus-related BCS. A concise review of published literature on IVC-atrial anastomosis in adult liver transplant recipients is provided, and the technique is discussed based on our recent experience. Full article
(This article belongs to the Section General Surgery)
Show Figures

Figure 1

14 pages, 1192 KB  
Article
Tissue Inhibitor of Metalloproteinases-2 (TIMP2) Affects Allograft Function in Incident Kidney Transplant Recipients
by Tobias M. Mattesen, Subagini Nagarajah and Martin Tepel
Kidney Dial. 2026, 6(1), 3; https://doi.org/10.3390/kidneydial6010003 - 29 Dec 2025
Viewed by 161
Abstract
Background: Matrix metalloproteinases (MMPs) and their inhibitors, tissue inhibitors of metalloproteinases (TIMPs), regulate the extracellular matrix. This study examined messenger RNA transcripts of TIMP2 before and after kidney transplantation. Methods: Transcripts were measured in peripheral blood mononuclear cells from 105 kidney transplant recipients, [...] Read more.
Background: Matrix metalloproteinases (MMPs) and their inhibitors, tissue inhibitors of metalloproteinases (TIMPs), regulate the extracellular matrix. This study examined messenger RNA transcripts of TIMP2 before and after kidney transplantation. Methods: Transcripts were measured in peripheral blood mononuclear cells from 105 kidney transplant recipients, including AB0-incompatible, AB0-compatible, and deceased donor transplantation patients. Quantitative real-time polymerase chain reaction was utilized. Results: Kidney transplant recipients (72 male; 33 female) were a median of 55 (44–63) years old. The median (interquartile range) of pretransplant TIMP2 transcripts was 0.68 (0.50–0.87) in kidney transplant recipients. In total, 9 out of 72 patients (13%) showed delayed graft function, i.e., need for dialysis within 1 week after transplantation. Preoperative TIMP2 transcripts were significantly lower in kidney transplant recipients who experienced delayed graft function compared to patients with immediate graft function (0.40 (0.32–0.62) vs. 0.68 (0.56–0.87); p = 0.01). There was no association between TIMP2 transcripts and age or gender. TIMP2 median transcripts were 0.73 (0.58–0.88) on the first postoperative day. TIMP2 transcripts were similar on the first postoperative day in patients with delayed graft function and immediate graft function. Conclusions: Preoperative TIMP2 transcripts were lower in patients with delayed allograft function. Future investigations are needed to establish the role of TIMP2 transcripts in transplant pathophysiology. Full article
Show Figures

Figure 1

21 pages, 2870 KB  
Systematic Review
Comparative Outcomes of Living and Deceased Donor Liver Transplantation in Adults: A Systematic Review and Meta-Analysis
by Bestun Rashid, Mohammed Naga, Konrad Kobryń and Michał Grąt
J. Clin. Med. 2026, 15(1), 241; https://doi.org/10.3390/jcm15010241 - 28 Dec 2025
Viewed by 477
Abstract
Background/Objectives: Living donor liver transplantation (LDLT) has emerged as an alternative to deceased donor liver transplantation (DDLT) in the circumstance of scarcity of deceased grafts. This systematic review and meta-analysis aims to compare outcomes between LDLT and DDLT in adult recipients. Methods: This [...] Read more.
Background/Objectives: Living donor liver transplantation (LDLT) has emerged as an alternative to deceased donor liver transplantation (DDLT) in the circumstance of scarcity of deceased grafts. This systematic review and meta-analysis aims to compare outcomes between LDLT and DDLT in adult recipients. Methods: This systematic review was conducted in accordance with the PRISMA 2020 guidelines. A systematic literature search was performed using PubMed, EMBASE, and manual reference screening of relevant articles. We included peer-reviewed cohort studies comparing LDLT and DDLT in adult patients (≥18 years), published in English since 2015. Results: A total of 17 cohort studies, published between 2015 and 2024, fulfilled the inclusion criteria and were included in this systematic review and meta-analysis. These studies included a total of 22,514 adult liver transplant recipients, of whom 3832 (17.02%) and 18,682 (82.98%) underwent LDLT and DDLT, respectively. In comparison with DDLT, LDLT was associated with better 1-year patient survival, 5-year patient survival, and 5-year graft survival; however, these findings are based on low-certainty evidence and may be influenced by selection bias and baseline differences between cohorts. There were no significant differences between LDLT and DDLT groups in 3-year patient survival, 1-year graft survival, re-transplantation rates, biliary leakage, biliary stricture, or infection rates. Conclusions: LDLT is a valuable alternative to DDLT, particularly in regions with limited access to deceased donor organs, as it provides an excellent alternative to DDLT without compromising recipient outcomes, though further high-quality studies are needed. Full article
(This article belongs to the Special Issue Liver Transplantation: Current Hurdles and Future Perspectives)
Show Figures

Figure 1

13 pages, 801 KB  
Article
Comparative Analysis of Graft Survival in Older and Younger Kidney Transplant Recipients: A Single-Center Cohort Study
by Adolfo González Serrano, Ricardo José Guldris García, Gonzalo Gómez Marqués, Mercedes Ruiz Hernández and Enrique Carmelo Pieras Ayala
J. Clin. Med. 2025, 14(24), 8953; https://doi.org/10.3390/jcm14248953 - 18 Dec 2025
Viewed by 287
Abstract
Background/Objectives: We hypothesized that older recipients have a higher rate of kidney graft failure compared to younger recipients. Thus, we assessed 60-month kidney graft failure (KGF) among deceased donor recipients aged 65 years or older and compared it with that of younger recipients. [...] Read more.
Background/Objectives: We hypothesized that older recipients have a higher rate of kidney graft failure compared to younger recipients. Thus, we assessed 60-month kidney graft failure (KGF) among deceased donor recipients aged 65 years or older and compared it with that of younger recipients. Methods: A single-center, retrospective cohort study was conducted at Son Espases University Hospital in Palma, Spain, including all consecutive deceased donor kidney transplant recipients from 2011 to 2021. The primary outcome was 60-month KGF, analyzed using the cumulative incidence function (CIF). A multivariable semi-parametric Fine and Gray model was used to estimate the subhazard of KGF in older versus younger recipients, adjusting for variables associated with recipients aged 65 years or older, including KGF and overall survival. Results: The study included 618 recipients, with a median age (interquartile range) of 58 years (47–66 years); of these, 187 (30%) were aged 65 years or older, and 498 (81%) received grafts from donors after brain death. The 60-month CIF (95% confidence interval) of KGF for the entire cohort was 12% (9.1–15). Candidate variables for multivariable analysis included recipient sex, body mass index, donor age, presence of hypertension or diabetes, donor sex, length of hospital stay, cold ischemia time, donor type, multiple renal veins, and Clavien-Dindo grade ≥ 3 complications. After adjustment, KGF risk did not significantly differ between age groups (sHR: 0.75; 95% CI: 0.41–1.38; p = 0.36). Conclusions: Despite having worse baseline characteristics, receiving lower-quality grafts, and experiencing a higher incidence of postoperative complications, we observed comparable 60-month kidney graft survival in older recipients relative to younger ones. These findings support the viability of kidney transplantation in well-selected older patients. Full article
(This article belongs to the Section Nephrology & Urology)
Show Figures

Figure 1

10 pages, 381 KB  
Article
Molecular Testing in Organ Biopsies and Perfusion Fluid Samples from Severe Acute Respiratory Syndrome Coronavirus 2 Positive Donors
by Evangelia Petrisli, Liliana Gabrielli, Carlo De Cillia, Andrea Liberatore, Giulia Piccirilli, Simona Venturoli, Alice Balboni, Eva Caterina Borgatti, Alessia Cantiani, Lamberto Manzoli, Nicola Alvaro and Tiziana Lazzarotto
Viruses 2025, 17(12), 1611; https://doi.org/10.3390/v17121611 - 13 Dec 2025
Viewed by 288
Abstract
At the beginning of the COVID-19 pandemic, SARS-CoV-2-positive donors were not considered eligible for organ donation. The Italian National Transplant Centre has gradually introduced measures to prevent donor-to-recipient transmission of SARS-CoV-2 infection through organ transplantation. The current national screening protocol for deceased SARS-CoV-2-positive [...] Read more.
At the beginning of the COVID-19 pandemic, SARS-CoV-2-positive donors were not considered eligible for organ donation. The Italian National Transplant Centre has gradually introduced measures to prevent donor-to-recipient transmission of SARS-CoV-2 infection through organ transplantation. The current national screening protocol for deceased SARS-CoV-2-positive donors recommends molecular testing of donor lower respiratory tract (LRT) samples, graft biopsies and organ perfusion fluids. The aim of the study is to describe the 3-year experience of protocol application in a northern region of Italy. From 1 January 2022 to 31 January 2025, a total of 132 samples were analyzed (29 liver biopsies, 35 kidney biopsies, 68 perfusion fluids) from 40 organ donors with an active or resolved SARS-CoV-2 infection. SARS-CoV-2 PCR on LRT samples was positive in 26/40 (65%) donors, negative in 11/40 (27.5%) cases and in the remaining 3 (7.5%) the PCR result was unknown. Overall, 65 organs were transplanted into 60 recipients. All processed graft biopsies and organ perfusion fluid samples tested negative for SARS-CoV-2 RNA. Our data suggest that the utilization of non-lung donors with resolved or active SARS-CoV-2 infections who died of other causes appears justified and safe. Full article
(This article belongs to the Section Coronaviruses)
Show Figures

Figure 1

18 pages, 1317 KB  
Article
Kidney Transplants Before and During the COVID-19 Pandemic at the University Hospital of Guadeloupe
by Jonathan Mutombo Muamba, Joëlle Claudéon, Arriel Bunkete Makembi, Batcho Jimy, Gerard Dalvius, Jean-Robert Makulo, Christian Lusunsi Kisoka, Yannick Mayamba Nlandu, Ernest Kiswaya Sumaili, Nazaire Mangani Nseka and Befa Notokadoukaza
Kidney Dial. 2025, 5(4), 57; https://doi.org/10.3390/kidneydial5040057 - 1 Dec 2025
Viewed by 349
Abstract
Background: Kidney transplantation activity at the University Hospital of Guadeloupe was briefly interrupted at the onset of the COVID-19 pandemic, reflecting the global impact of this health crisis on organ transplantation. This study assessed patient and graft recovery in 335 recipients transplanted between [...] Read more.
Background: Kidney transplantation activity at the University Hospital of Guadeloupe was briefly interrupted at the onset of the COVID-19 pandemic, reflecting the global impact of this health crisis on organ transplantation. This study assessed patient and graft recovery in 335 recipients transplanted between 2013 and 2023, comparing those transplanted before 2020 and after the resumption of activity. The objective was to evaluate changes in recipient profiles, surgical parameters, and post-transplant outcomes following this disruption. Methods: This retrospective cohort included all kidney transplants performed at the University Hospital of Guadeloupe over a ten-year period. Most patients (70%) received transplants before 2020, with 30% afterward. All grafts were ABO-compatible, and 98.2% were from deceased donors. Trends in transplant activity were analyzed to identify variations over time, with a peak observed in 2018, followed by a decline until 2021 and a progressive recovery from 2022. Comparative analyses were performed to examine disparities in donor and recipient characteristics, ischemia durations, and outcomes between the two periods. Results: After 2020, recipients were more likely to be elderly (≥70 years), immunized, obese, have heterozygous sickle cell disease, or have polycystic kidney disease (p < 0.05). Mean cold ischemia time decreased (p = 0.009), while warm ischemia time increased (p < 0.001), reflecting procedural and logistical adaptations. Graft survival remained stable, with 97.5% at 6 months and 89.8% at 4 years for transplants before 2020, versus 100% and 96.9%, respectively, after 2020 (p = 0.160). Patient survival did not differ significantly between periods (p = 0.199). Independent factors associated with mortality included recipient age ≥ 60 years, diabetes, graft failure, transplantation before 2020, cold ischemia time ≥ 1200 min, and graft pyelonephritis. Conclusions: Despite the temporary suspension of activity and an increased proportion of transplants with expanded criteria after 2020, graft recovery and patient survival were not adversely affected. These findings suggest that kidney transplantation in Guadeloupe demonstrated strong resilience and capacity for adaptation during and after the COVID-19 crisis, maintaining outcomes comparable to the pre-pandemic period. Full article
Show Figures

Figure 1

14 pages, 892 KB  
Article
Beyond the Score Study: Retrospective Analysis of Single-Graft Kidney Transplant with Karpinski Score 4 Versus Score 5 Grafts
by Matteo Zanchetta, Stefania Angela Piccioni, Giorgio Micheletti, Giuseppe Ietto, Vincenzo Li Marzi, Natale Calomino, Giulio Bagnacci, Andrea Collini, Guido Garosi and Gian Luigi Adani
Medicina 2025, 61(12), 2074; https://doi.org/10.3390/medicina61122074 - 21 Nov 2025
Viewed by 334
Abstract
Background and Objectives: Considering the growing shortage of grafts available for kidney transplantation (KT) due to the increase in the number of end-stage renal disease patients, it is essential to utilize all transplantation options. The Karpinski score is a histological scoring system [...] Read more.
Background and Objectives: Considering the growing shortage of grafts available for kidney transplantation (KT) due to the increase in the number of end-stage renal disease patients, it is essential to utilize all transplantation options. The Karpinski score is a histological scoring system utilized for the evaluation of pre-implantation kidney biopsies from deceased donors. In contrast with Remuzzi Criteria, there has recently been a tendency to perform single KT using grafts with a Karpinski score of 4 or 5. This strategy allows two score 4 or 5 grafts to be used for two different recipients instead of a double-graft KT on one patient. The aim of this study was to analyze the outcomes of single-graft KT with a score of 4 versus 5, and to investigate possible correlations with the clinical characteristics of donors and recipients. Materials and Methods: Retrospective single-centre analysis of 100 KTs performed with a single Karpinski score 4 or 5 graft between January 2014 and December 2022. Results: Grafts with a Karpinski score of 5 harvested from donors older than 70 years of age had a statistically significant (p = 0.014) worse 5-year survival rate (50.0 +/− 18.6%) compared to younger donors (100% for score 5 grafts from donors aged 31–60, and 100% for score 5 grafts from donors aged 61–70). Conversely, donor’s age did not significantly affect the survival of score 4 grafts. Conclusions: The results suggest that a single-graft KT with a Karpinski score 5 graft may be a viable procedure with favourable outcomes. However, for Karpinski score 5 grafts, the use of an older donor beyond the age of 70 seems to be a significant negative factor for the long-term outcome. In such cases, a double KT would potentially be the optimal approach. Full article
(This article belongs to the Section Surgery)
Show Figures

Figure 1

12 pages, 653 KB  
Article
Absolute Eosinophil Count and Albumin–Globulin Ratio as Predictors of Delayed Graft Function in Deceased Donor Kidney Transplant: A Retrospective Analysis
by Anupam Choudhary, A. V. B. Krishnakanth, K. R. Surag, Kasi Viswanath, Abhijit Shah, Sunil Pillai and Padmaraj Hegde
Kidney Dial. 2025, 5(4), 56; https://doi.org/10.3390/kidneydial5040056 - 17 Nov 2025
Viewed by 496
Abstract
Background: Delayed graft function (DGF) is a frequent early complication after deceased donor kidney transplantation (DDKT), leading to prolonged hospitalization, increased risk of acute rejection, and reduced graft survival. Reliable and easily measurable preoperative biomarkers for DGF prediction remain limited. This study aimed [...] Read more.
Background: Delayed graft function (DGF) is a frequent early complication after deceased donor kidney transplantation (DDKT), leading to prolonged hospitalization, increased risk of acute rejection, and reduced graft survival. Reliable and easily measurable preoperative biomarkers for DGF prediction remain limited. This study aimed to evaluate the predictive value of pre-operative Absolute Eosinophil Count (AEC) and Albumin-to-Globulin Ratio (AGR) for DGF in DDKT recipients. Methods: A retrospective analysis was conducted on all DDKT procedures performed at our institution between January 2018 and December 2023. Patients were divided into two groups: Group 1 (DGF) and Group 2 (non-DGF). DGF was defined as the requirement for hemodialysis within the first seven postoperative days. Demographic, clinical, and laboratory data—including pre-operative AEC and AGR—were collected and compared between groups. Statistical analysis was performed using appropriate parametric and nonparametric tests. Receiver operating characteristic (ROC) curves were generated to assess the individual and combined predictive performance of AEC and AGR for DGF. Results: A total of 38 patients underwent DDKT, comprising 27 males (71.05%) and 11 females (28.95%), with a mean age of 43.3 ± 9.41 years. Fifteen patients (39.47%) developed DGF. The mean AEC and AGR were significantly lower in the DGF group compared to the non-DGF group (AEC: 0.20 ± 0.16 vs. 0.40 ± 0.35, p = 0.04; AGR: 1.43 ± 0.22 vs. 1.66 ± 0.39, p = 0.02). ROC analysis demonstrated that both AEC (p = 0.04) and AGR (p = 0.04) were significant predictors of DGF. Combining both parameters resulted in a higher area under the curve (AUC), improved sensitivity, and enhanced negative predictive value (NPV) compared to either marker alone. Conclusions: DGF occurred in nearly two-fifths of DDKT recipients in this cohort. Patients with lower preoperative AEC and AGR were more likely to develop DGF, suggesting that these easily available hematological and biochemical indices can serve as potential preoperative predictors of early graft dysfunction. Future multicentric prospective studies are warranted to validate these findings and explore their integration into DGF risk prediction models. Full article
Show Figures

Figure 1

15 pages, 1175 KB  
Article
The Impact of Local Ablative Therapies as Bridging Treatment on Overall Survival Following Liver Transplantation in Patients with HCC
by Laura Schwenk, Felix Dondorf, Oliver Rohland, Aladdin Ali-Deeb, Utz Settmacher and Falk Rauchfuß
Cancers 2025, 17(20), 3393; https://doi.org/10.3390/cancers17203393 - 21 Oct 2025
Viewed by 559
Abstract
Background: The use of neoadjuvant therapies in patients with hepatocellular carcinoma prior to liver transplantation has gained increasing popularity in recent years. To date, there are only limited data investigating the impact of neoadjuvant therapy on post-transplant survival. Methods: In this retrospective study, [...] Read more.
Background: The use of neoadjuvant therapies in patients with hepatocellular carcinoma prior to liver transplantation has gained increasing popularity in recent years. To date, there are only limited data investigating the impact of neoadjuvant therapy on post-transplant survival. Methods: In this retrospective study, we evaluated patients with hepatocellular carcinoma who underwent deceased donor or living donor liver transplantation at Jena University Hospital between 2019 and 2023. Comprehensive clinical and pathological variables were systematically analyzed, including correlations between neoadjuvant therapy use, tumor burden and overall survival. Survival outcomes were estimated using the Kaplan–Meier method. Results: A total of 107 patients were included in the analysis, of whom 90 received neoadjuvant therapy prior to transplantation. Treatment modalities comprised SIRT, TACE, liver resection and combined SIRT and TACE. The 1-, 3-, and 5-year OS rates following transplantation were 93.5%, 82.2%, and 79.4%, respectively. Recurrence-free survival at 1, 3, and 5 years was 91.6%, 85.0%, and 83.2%, respectively. Among the various neoadjuvant strategies, SIRT and TACE yielded the highest OS rates. Patients listed outside the transplantation criteria (Milan, UCSF, up-to-seven) at the time of initial diagnosis who underwent SIRT had significantly better OS than those outside the criteria who underwent TACE. In contrast, among patients within the Milan, UCSF and up-to-seven criteria, TACE was associated with superior OS compared with SIRT. Conclusion: The use of neoadjuvant therapies confers a significant survival benefit following liver transplantation in patients with HCC. TACE appears to be most suitable for patients listed within established transplantation criteria, who consequently have a lower tumor burden. In contrast, SIRT is more beneficial for patients with a higher tumor burden and those beyond standard transplantation criteria. A limitation of our study, however, is that the included SIRT cohort comprised only 24 patients, and TACE was preferentially performed in patients with a lower tumor burden, which means that a selection bias cannot be fully excluded. Overall, further studies are required to define the optimal bridging strategies. Full article
(This article belongs to the Special Issue Surgical Treatment of Hepatocellular Carcinoma)
Show Figures

Figure 1

16 pages, 1017 KB  
Article
L-FABP as a Potential Biomolecular Marker of Liver Graft Injury
by Ana Kalamutova, Danaja Plevel, Mihajlo Djokic, Ales Jerin, Blaž Trotovšek and Miha Petric
J. Clin. Med. 2025, 14(20), 7404; https://doi.org/10.3390/jcm14207404 - 20 Oct 2025
Viewed by 613
Abstract
Background: In recent years, indications for liver transplantation have expanded, while the age of transplant recipients has significantly increased due to improvements in perioperative management. As clinical manifestations of posttransplant complications vary and are often nonspecific, the identification of appropriate biomarkers is [...] Read more.
Background: In recent years, indications for liver transplantation have expanded, while the age of transplant recipients has significantly increased due to improvements in perioperative management. As clinical manifestations of posttransplant complications vary and are often nonspecific, the identification of appropriate biomarkers is important for the assessment of graft quality and early recognition of potential complications following liver transplantation. Liver-type FABP (L-FABP) is a small cytoplasmic protein found abundantly in hepatocytes and is involved in the intracellular transport of long-chain fatty acids. Elevated serum levels have been detected in acute and chronic liver failure, kidney failure, and some malignancies. Materials and Methods: We conducted a prospective, single-center study from July 2023 to January 2025, including 29 adult patients who underwent deceased-donor transplantation. Three patients were excluded due to inadequate sample withdrawals. Serum L-FABP was measured preoperatively and on postoperative days 1, 3, 5, 7, and 14. Clinical, surgical, and biochemical data were collected and analyzed using non-parametric statistical tests. Results: L-FABP levels were significantly higher on POD 7 in recipients of grafts from donors ≥ 65 years (p = 0.035), with no corresponding changes in standard liver function markers. While no significant differences in L-FABP levels were found between patients with and without infectious biliary or vascular complications (all p > 0.05), we proved a strong negative correlation between intraoperative blood transfusion volume and L-FABP levels on POD 5 (ρ = −0.677, p < 0.001) and POD 7 (ρ = −0.455, p = 0.025). Conclusions: Our findings suggest that L-FABP holds promise as a biomarker for the early detection of subclinical hepatic graft cellular injury, which is not detected by means of conventional biomarkers for liver function. Full article
Show Figures

Figure 1

26 pages, 2448 KB  
Review
Preclinical Models of Donation-After-Circulatory-Death and Brain-Death: Advances in Kidney Preservation and Transplantation
by Tamara S. Ortas, Omer Choudhary, George J. Dugbartey and Alp Sener
Biology 2025, 14(10), 1415; https://doi.org/10.3390/biology14101415 - 14 Oct 2025
Viewed by 1603
Abstract
Chronic kidney disease (CKD) affects over 10% of the global population, with end-stage renal disease (ESRD) necessitating renal replacement therapy. Kidney transplantation remains the optimal treatment for ESRD. However, the global donor kidney shortage crisis has led to increased reliance on deceased donor [...] Read more.
Chronic kidney disease (CKD) affects over 10% of the global population, with end-stage renal disease (ESRD) necessitating renal replacement therapy. Kidney transplantation remains the optimal treatment for ESRD. However, the global donor kidney shortage crisis has led to increased reliance on deceased donor kidneys. Donors are classified as either donation after brain death (DBD) or donation after circulatory death (DCD), each associated with distinct ischemic injuries that impact graft function. Ischemia–reperfusion injury (IRI) plays a pivotal role in transplant outcomes, triggering oxidative stress, inflammation, and endothelial dysfunction. While static cold storage (SCS) remains the gold standard for organ preservation, alternative strategies such as hypothermic or normothermic machine perfusion (HMP and NMP), use of oxygen carriers during storage, and supplemental compounds to storage solutions have emerged, offering potential benefits in preserving graft viability. This review explores the cellular and molecular mechanisms of ischemic injury in deceased donor kidneys, preservation strategies tested in preclinical models, and emerging therapeutic interventions aimed at improving adverse post-transplant outcomes. Full article
(This article belongs to the Special Issue The Role of Innate Immunity in Organ Transplantation)
Show Figures

Figure 1

11 pages, 640 KB  
Article
Elevated Matrix Metalloproteinase Type 9 (MMP-9) Transcripts After Thymoglobulin Induction in Incident Kidney Transplant Recipients
by Tor B. B. Petersen, Subagini Nagarajah and Martin Tepel
Int. J. Mol. Sci. 2025, 26(19), 9310; https://doi.org/10.3390/ijms26199310 - 24 Sep 2025
Viewed by 753
Abstract
Matrix metalloproteinase type 9 (MMP-9), which cleaves collagen type IV in basal membranes, has been associated with the progression of chronic kidney disease. The objective of the present study was to evaluate the characteristics of donors, recipients, induction therapies, and allograft function on [...] Read more.
Matrix metalloproteinase type 9 (MMP-9), which cleaves collagen type IV in basal membranes, has been associated with the progression of chronic kidney disease. The objective of the present study was to evaluate the characteristics of donors, recipients, induction therapies, and allograft function on MMP-9 transcripts from mononuclear cells in kidney transplant recipients. Transcripts were determined in peripheral blood mononuclear cells from 67 incident renal transplant recipients eight days post-transplant using quantitative real-time PCR and quantified using the ΔΔCq method. Median MMP-9 transcripts were 6.1 (IQR, 1.5 to 66.5, N = 4) in AB0-incompatible donor transplants; 3.2 (IQR, 2.0 to 16.9, N = 17) in living donor transplants; and 4.2 (IQR, 2.3 to 9.2, N = 46) in deceased donor transplants (p = 0.8). Importantly, renal transplant recipients who were treated with thymoglobulin had significantly higher median MMP-9 transcripts compared to all other induction therapies (14.5; IQR, 2.8 to 31.9, N = 10; vs. 3.5, IQR, 2.2 to 8.8, N = 57; p = 0.01). Median MMP-9 transcript levels were similar in recipients with delayed allograft function and immediate allograft function (8.86; IQR, 5.29 to 11.57, N = 7; vs. 3.4; IQR, 2.35 to 9.49, N = 60; p = 0.245). Induction therapy with thymoglobulin causes significantly higher MMP-9 transcripts in peripheral blood mononuclear cells, probably indicating an increased inflammatory response. Full article
(This article belongs to the Section Molecular Biology)
Show Figures

Figure 1

13 pages, 513 KB  
Article
Kidney Transplantation in Older Recipients: One-Year Outcomes and Complications from a Single-Center Experience
by Aleksandra Barbachowska-Kubik, Jolanta Gozdowska and Magdalena Durlik
J. Clin. Med. 2025, 14(18), 6545; https://doi.org/10.3390/jcm14186545 - 17 Sep 2025
Viewed by 1264
Abstract
Background/Objectives: Each year, the number of kidney transplants (KT) performed in older recipients continues to rise. The process of aging may impact early post-transplant outcomes. The aim of this study was to analyze one-year outcomes, clinical and surgical complications, as well as [...] Read more.
Background/Objectives: Each year, the number of kidney transplants (KT) performed in older recipients continues to rise. The process of aging may impact early post-transplant outcomes. The aim of this study was to analyze one-year outcomes, clinical and surgical complications, as well as patient and graft survival in senior recipients. Methods: This retrospective, observational study included a total of 270 participants who underwent KT during the period between January 2021 and April 2024. Recipients were divided into two groups: the older group (≥60 years; n = 75) and the younger group (<60 years; n = 195) and then analyzed during a one-year follow-up period. Results: Older recipients were characterized by a higher body mass index (MD = 1.77, CI95 [0.63; 2.91], p = 0.002), suffered more often from diabetes mellitus (RR = 2.94, CI95 [1.79; 4.82], p < 0.001), cardiovascular diseases (RR = 5.20, CI95 [2.90; 9.32], p < 0.001) and were more likely to receive a kidney from older (MD = 12.37, CI95 [8.94; 15.80], p < 0.001) deceased (p < 0.001) donors. Senior patients had more infections (p = 0.019) and surgical complications (RR = 1.81, CI95 [1.14; 2.87], p = 0.020), more cardiac events (RR = 2.28, CI95 [1.17; 4.43], p = 0.025), and a higher incidence of delayed graft function (p < 0.001) compared to younger patients. The estimated glomerular filtration rate (eGFR) was significantly lower in the older group both at initial hospital discharge (MD = −6.50, CI95 [−13.00; −3.00], p = 0.004) and at one-year follow-up (MD = −11.79, CI95 [−17.32; −6.25], p < 0.001). No differences were observed in the incidence of biopsy-proven acute rejection, cytomegalovirus replication, and polyomavirus replication. One-year patient and graft survival was 97.3% and 94.7% in the older group, and 98.5% and 96.9% in the younger group, respectively. Conclusions: Kidney transplantation in older recipients is safe in the short term. Although eGFR was lower in the older group, it remained within an acceptable range. Full article
Show Figures

Figure 1

12 pages, 1258 KB  
Article
APOL1-Risk Genotype Induces Inflammatory and Hypoxic Gene Expression in Donor Kidneys
by Meghan Unes, Sree Kolli, Shaurya Mehta, Chandrashekhara Manithody, Jonathan Bruno, Krista L. Lentine, Ajay Jain, Mustafa Nazzal and Yasar Caliskan
Genes 2025, 16(9), 1078; https://doi.org/10.3390/genes16091078 - 15 Sep 2025
Viewed by 1077
Abstract
Background/Objectives: APOL1 renal-risk variants (RRVs) are of increasing relevance to kidney disease and transplant outcomes. It is currently understood that the presence of RRVs in donors negatively impacts kidney allograft survival in an autosomal recessive pattern of inheritance. Less well known is the [...] Read more.
Background/Objectives: APOL1 renal-risk variants (RRVs) are of increasing relevance to kidney disease and transplant outcomes. It is currently understood that the presence of RRVs in donors negatively impacts kidney allograft survival in an autosomal recessive pattern of inheritance. Less well known is the interplay between ischemia and alternative allograft preservation methods, such as normothermic machine perfusion (NMP), on APOL1 gene expression. To investigate this, we examined the effects of APOL1 RRVs on APOL1 gene expression in ischemic donor kidneys and compared the differences in cytokine and APOL1 expression patterns between the alternative preservation methods, static cold storage (CS) and NMP. Methods: Non-utilized deceased donor kidney pairs from donors of African ancestry were procured from Mid-America Transplant after being deemed unsuitable for kidney transplant. Samples were collected from each donor kidney pair and DNA was extracted for APOL1 genotyping. APOL1 RRVs G1 (rs73885319) (rs60910145) and G2 (rs71785313) were identified by Sanger sequencing. From each pair, one kidney underwent 6 h NMP (n = 3) and the contralateral kidney 6 h of CS (n = 3) following the initial CS. Renal perfusion and biochemical, and histologic parameters were recorded. NMP was directly compared with CS using paired donor kidneys using NMP with allogeneic red blood cells, followed by assessment of perfusion, biochemical, and histologic parameters, in addition to gene expression. Results: Donor genotyping identified kidney pairs as heterozygous for the G1 RRV (G1/G0), homozygous for the G0 allele (G0/G0), and homozygous for the G2 RRV (G2/G2), respectively. All kidneys were successfully reperfused, with mRNA transcript levels of APOL1-related genes subsequently measured. Significant differences in APOL1 gene expression were observed among all three groups of kidneys. In paired kidneys from baseline to hour 6 of NMP, mRNA expression varied significantly between G1/G0 and G2/G2 homozygous pairs (p = 0.002) as well as between the G0/G0 and G2/G2 pairs (p = 0.002). APOL1 expression shifted by a significantly higher-fold change of 2.4 under NMP conditions in the G2/G2 genotype (p < 0.001). The inflammatory cytokine marker IFN-γ was also significantly upregulated in the G2/G2 genotype kidney, in both CS and NMP groups (p = 0.001). Other related genes such as KIM-1 were upregulated by a change of 3.9-fold in the NMP group for the G2/G2 kidney. Conclusion: Donor kidney pairs with the high-risk APOL1 genotype, especially G2/G2, show increased APOL1 expression and inflammation, particularly under NMP conditions. NMP enables detection of genotype-specific molecular changes in an ischemic reperfusion injury model, supporting its potential to improve donor kidney assessment before transplantation. Full article
(This article belongs to the Special Issue From Genetic to Molecular Basis of Kidney Diseases)
Show Figures

Figure 1

Back to TopTop