Sign in to use this feature.

Years

Between: -

Subjects

remove_circle_outline
remove_circle_outline
remove_circle_outline
remove_circle_outline
remove_circle_outline
remove_circle_outline
remove_circle_outline
remove_circle_outline
remove_circle_outline

Journals

remove_circle_outline
remove_circle_outline
remove_circle_outline
remove_circle_outline
remove_circle_outline
remove_circle_outline
remove_circle_outline
remove_circle_outline
remove_circle_outline
remove_circle_outline
remove_circle_outline
remove_circle_outline
remove_circle_outline
remove_circle_outline
remove_circle_outline
remove_circle_outline
remove_circle_outline
remove_circle_outline
remove_circle_outline
remove_circle_outline
remove_circle_outline
remove_circle_outline
remove_circle_outline
remove_circle_outline
remove_circle_outline
remove_circle_outline
remove_circle_outline
remove_circle_outline
remove_circle_outline
remove_circle_outline
remove_circle_outline
remove_circle_outline

Article Types

Countries / Regions

remove_circle_outline
remove_circle_outline
remove_circle_outline
remove_circle_outline
remove_circle_outline

Search Results (2,221)

Search Parameters:
Keywords = curing condition

Order results
Result details
Results per page
Select all
Export citation of selected articles as:
12 pages, 4684 KB  
Case Report
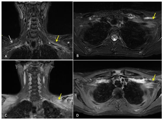
A Perplexing Plexopathy After Pembrolizumab Therapy in Early-Stage Triple-Negative Breast Cancer
by Toluwalogo Baiyewun, Brian McNamara, Emily Aherne, Alex James Bryan, Julie Twomey, Sorcha NiLoingsigh, Bolanle Ofi, Derek Power and Seamus O’Reilly
Curr. Oncol. 2026, 33(2), 125; https://doi.org/10.3390/curroncol33020125 - 20 Feb 2026
Abstract
Background: In triple-negative breast cancer (TNBC), the addition of immunotherapy has significantly improved outcomes. Immune-related adverse events (irAEs) can be accelerated in patients with pre-existing autoimmune (AI) conditions. The treatment-response standardized protocol used in clinical care raises concerns about the need for right-sizing [...] Read more.
Background: In triple-negative breast cancer (TNBC), the addition of immunotherapy has significantly improved outcomes. Immune-related adverse events (irAEs) can be accelerated in patients with pre-existing autoimmune (AI) conditions. The treatment-response standardized protocol used in clinical care raises concerns about the need for right-sizing strategies. As the use of immunotherapy expands, recognizing toxicity from recurrence and optimizing response-adapted approaches are essential to balance cure with quality of survival. Case Presentation: A 38-year-old pregnant woman with a distant history of uveitis and psoriasis was discovered to have pregnancy-associated TNBC. Postnatally, she was treated with neoadjuvant chemotherapy and pembrolizumab, followed by wire-guided left breast wide local excision and sentinel lymph node biopsy of the left axilla. After surgery, residual cancer was noted. She continued adjuvant pembrolizumab and adjuvant radiotherapy 40.05 Gy/15 fr to the breast and nodes, followed by a 13.35 Gy/5 fr boost to the tumour bed (breast). Despite a persistent residual tumour, pembrolizumab was continued as per protocol in a response-agnostic manner. At the end of one year of adjuvant pembrolizumab, she developed progressive numbness and weakness in the ipsilateral arm, initially raising suspicion for local recurrence. Comprehensive MRI and PET-CT imaging did not identify recurrent tumour or new metastatic disease. Electromyography confirmed a lower-trunk brachial plexopathy without a structural cause. An immune-mediated process was diagnosed by a process of elimination. Despite treatment with 1st-line high-dose corticosteroids and 2nd-line intravenous immunoglobulin (IVIG), improvement was limited. Therapeutic plasmapheresis led to marked functional recovery and symptom resolution 20 months later. Discussion: Four main challenges are identified: (1) the diagnostic difficulty in identifying local recurrence or radiation injury from immune-related neuropathy; (2) the emerging therapeutic role of plasmapheresis in steroid-refractory irAEs; (3) the possible inconsistencies between rare toxicities observed in clinical trials vs. clinical practice; and (4) the limitations in response in adjuvant therapy, particularly in patients with coexisting AI conditions. Conclusions: Early recognition and accurate distinction from tumour recurrence, as well as support for plasmapheresis as a potential option in steroid-refractory presentations, have been shown to improve patient survival and symptom reduction. With increasing use of immunotherapy, real-world toxicity data, predictive biomarkers, and personalized treatment strategies are urgently needed to balance cure with long-term functional outcomes. Full article
(This article belongs to the Section Breast Cancer)
Show Figures

Figure 1

15 pages, 935 KB  
Article
Effects of Provisional Cement Cleaning Methods on Resin–Dentin Bond Strength Following Immediate Dentin Sealing with Different Adhesive Systems
by Zeynep Aydin, Cemile Kedici Alp and Osman F. Aydin
J. Funct. Biomater. 2026, 17(2), 98; https://doi.org/10.3390/jfb17020098 - 16 Feb 2026
Viewed by 129
Abstract
This study evaluated the effects of different provisional luting cement removal methods on the shear bond strength (SBS) of resin cement to dentin following immediate dentin sealing (IDS) performed with two adhesive systems. A total of 168 extracted, caries-free human third molars were [...] Read more.
This study evaluated the effects of different provisional luting cement removal methods on the shear bond strength (SBS) of resin cement to dentin following immediate dentin sealing (IDS) performed with two adhesive systems. A total of 168 extracted, caries-free human third molars were used, of which 144 were allocated for SBS testing and 24 for scanning electron microscopy (SEM) analysis. Specimens were assigned according to the IDS protocol (no IDS, IDS with OptiBond FL, or IDS with G2-Bond), followed by provisional cementation using an eugenol-free temporary cement. Contaminated surfaces were subsequently cleaned with a hand scaler, aluminum oxide (Al2O3) air abrasion, or Katana Cleaner prior to final bonding with a dual-cure resin cement. SBS was measured after 24 h of water storage, and surface morphology was evaluated by SEM at 2500× magnification. IDS significantly increased SBS under uncontaminated conditions, with G2-Bond-based IDS exhibiting higher bond strength values than specimens without IDS. However, provisional cement contamination significantly reduced SBS regardless of the cleaning method applied, and none of the tested protocols fully restored the bond strength observed in uncontaminated IDS-treated dentin. SEM analysis revealed residual cement remnants and surface alterations after cleaning, even in specimens that appeared macroscopically clean. Within the limitations of this in vitro study, IDS enhances resin–dentin bonding when contamination is avoided; however, current mechanical and chemical cleaning methods are insufficient to completely recover bond strength compromised by provisional cement contamination, highlighting the importance of preventing contamination and preserving IDS layer integrity during indirect restorative procedures. Full article
(This article belongs to the Section Dental Biomaterials)
17 pages, 2170 KB  
Article
Comparative Evaluation of Commercial Bulk-Fill Resin-Based Composites: Flexural Properties, Roughness, Water Sorption and Solubility, and Color Stability
by Khalid S. Almulhim, Sarah M. Alghamdi, Raghad S. Alqahtani, Jood K. Alsahiem, Afnan O. Al-Zain, Mohammed M. Gad and Abdulrahman A. Balhaddad
Dent. J. 2026, 14(2), 117; https://doi.org/10.3390/dj14020117 - 14 Feb 2026
Viewed by 153
Abstract
Background/Objectives: Bulk-fill (BF) resin-based composites (RBCs) have become increasingly popular due to their efficient placement. However, there is a lack of comprehensive performance comparisons among commercially available BF RBCs. In standardized curing conditions, this study aimed to compare the mechanical performance, water [...] Read more.
Background/Objectives: Bulk-fill (BF) resin-based composites (RBCs) have become increasingly popular due to their efficient placement. However, there is a lack of comprehensive performance comparisons among commercially available BF RBCs. In standardized curing conditions, this study aimed to compare the mechanical performance, water sorption and solubility, surface roughness, and color stability of commercially available BF RBCs with different consistencies (flowable and packable). Methods: Ten BF RBCs, along with a conventional RBC (control), were evaluated. Flexural strength and elastic modulus were measured using a three-point bending test. Water sorption and solubility were assessed after 28-day water storage. Color (ΔE00) and surface roughness (ΔRa) changes were measured after 28-day immersion in water, Pepsi, or coffee. One-way ANOVA and Tukey’s tests analyzed the data. Results: 3M Flow, Shofu Bulk, and Ivoclar Flow revealed lower strength (p < 0.001) compared to 3M Bulk (132.17 ± 12.54 MPa) and the control (124.56 ± 15.60 MPa). Shofu Bulk (24.68 ± 12.55 µg/mm3) and Ivoclar Flow (27.11 ± 6.27 µg/mm3) were the least affected by water sorption. While Shofu Bulk (13.98 ± 11.39 µg/mm3), Ivoclar Flow (20.28 ± 6.64 µg/mm3), and SDR (20.84 ± 9.74 µg/mm3) exhibited the lowest solubility (p < 0.01). After water and Pepsi immersion, FGM Bulk showed a significant color change compared to 3M Bulk and Ivoclar Bulk (p < 0.05). Following coffee immersion, Shofu Bulk (17.38 ± 1.82) revealed significant color changes (p < 0.001). Increased surface roughness was observed in 3M Bulk and Ivoclar Bulk after water immersion, Shofu Bulk after Pepsi immersion, and FGM Bulk after coffee immersion. Conclusions: BF RBCs exhibit notable variability in their intrinsic properties. 3M Bulk and Control showed the highest strength, while Shofu Bulk had significant color changes. Full article
(This article belongs to the Section Dental Materials)
Show Figures

Figure 1

17 pages, 1751 KB  
Article
Hydrated Lime Treatment of Pozzolanic Mortars: Mechanical Performance and Accelerated Carbonation
by Rui Reis, Aires Camões and Manuel Ribeiro
Sci 2026, 8(2), 45; https://doi.org/10.3390/sci8020045 - 14 Feb 2026
Viewed by 208
Abstract
The growing demand for eco-efficient cementitious materials has increased the use of high levels of pozzolanic additions, which, despite their environmental benefits, may adversely affect durability, particularly resistance to carbonation. This study investigates the influence of hydrated lime (HL) on the performance of [...] Read more.
The growing demand for eco-efficient cementitious materials has increased the use of high levels of pozzolanic additions, which, despite their environmental benefits, may adversely affect durability, particularly resistance to carbonation. This study investigates the influence of hydrated lime (HL) on the performance of pozzolanic cementitious mortars, with emphasis on carbonation resistance. HL was incorporated into the mortar composition and into the curing solution. A total of 45 mixtures combining cement, fly ash (FA), metakaolin (MK) and HL were produced with different water-to-binder (W/B) ratios. Workability, compressive strength and resistance to accelerated carbonation were experimentally assessed. The results show that workability is primarily governed by the W/B ratio and decreases at high HL contents. Although FA and MK improve mechanical performance, they increase carbonation susceptibility due to reduced alkaline reserve. For the mixtures investigated, moderate HL incorporation into the mortar composition mitigates carbonation, reducing carbonation depth by up to 30–50% relative to the reference mixture. Curing in lime-saturated water does not provide additional benefits under the conditions investigated when compared with conventional water curing. Full article
Show Figures

Figure 1

13 pages, 377 KB  
Article
Hierarchical Risk Profiles in Tuberculosis Treatment Outcomes: The Role of Drug Resistance, Age, and Socio-Economic Factors
by Nande Ndamase, Lindiwe Modest Faye, Ntandazo Dlatu, Teke Apalata and Mojisola Clara Hosu
Microbiol. Res. 2026, 17(2), 42; https://doi.org/10.3390/microbiolres17020042 - 14 Feb 2026
Viewed by 111
Abstract
Background: Tuberculosis (TB) outcomes remain suboptimal in high-burden, resource-constrained settings. Clinical and socio-economic factors contribute to loss to follow-up, failure, and mortality, yet their relative importance remains underexplored. Methods: We analyzed a retrospective cohort of patients treated for pulmonary TB in the Eastern [...] Read more.
Background: Tuberculosis (TB) outcomes remain suboptimal in high-burden, resource-constrained settings. Clinical and socio-economic factors contribute to loss to follow-up, failure, and mortality, yet their relative importance remains underexplored. Methods: We analyzed a retrospective cohort of patients treated for pulmonary TB in the Eastern Cape, South Africa. Treatment outcomes were dichotomized as success (cured or treatment completed) versus unsuccessful (loss to follow-up, failure, or death), excluding transfers and patients still on treatment. Predictors included age, gender, income, occupation, comorbidities, HIV status, previous treatment history, patient category, and drug resistance status. Regularized logistic regression was used to estimate odds ratios, while the best decision tree model was applied to identify hierarchical risk profiles. Results: Logistic regression demonstrated high accuracy (86%) and identified drug susceptibility, age, income stability, and comorbidity burden as the strongest predictors of treatment success. The decision tree achieved lower accuracy (65%) but improved detection of unsuccessful outcomes, highlighting a clear hierarchy of risk: (1) drug resistance status, (2) age, (3) income source, and (4) comorbidities. Patients with drug-resistant TB, older age, no income or reliance on grants, and coexisting conditions were at the highest risk of poor outcomes. Conclusions: Drug resistance, age, income, and comorbidity burden shape a hierarchical risk profile for TB treatment outcomes in rural South Africa. Logistic regression offered robust overall classification, while the decision tree provided transparent stratification of at-risk groups. These findings underscore the need for integrated clinical and socio-economic support strategies to improve outcomes in high-burden settings. Full article
17 pages, 18973 KB  
Article
3D-Printed Versus Conventional Dental Provisional Resins: A Comparative Study
by Olívia Breda Moss, Anselmo Agostinho Simionato, Adriana Cláudia Lapria Faria, Renata Cristina Silveira Rodrigues and Ricardo Faria Ribeiro
Medicina 2026, 62(2), 382; https://doi.org/10.3390/medicina62020382 - 14 Feb 2026
Viewed by 88
Abstract
Background and Objectives: This study aimed to evaluate and compare the effects of immersion and brushing on resins used for temporary crowns, including two 3D-printed resins (Nanolab and PrintaX) and one self-curing resin (Duralay), with different surface finishing protocols. Materials and Methods: Printed [...] Read more.
Background and Objectives: This study aimed to evaluate and compare the effects of immersion and brushing on resins used for temporary crowns, including two 3D-printed resins (Nanolab and PrintaX) and one self-curing resin (Duralay), with different surface finishing protocols. Materials and Methods: Printed specimens were designed using specialized software, followed by slicing and printing. Self-curing resin samples were fabricated using silicone matrices, with the printed specimens serving as references. Square samples (7.0 × 7.0 × 2.0 mm, n = 90) were divided into three groups based on surface finishing: extrinsic pigment with glaze, glaze only, and polish only. The samples were immersed in 15 mL of cola soft drink, energy drink, or distilled water for six days at 37 °C in a dark environment before undergoing a brushing test (180 cycles/minute, 65,700 cycles, 2 N, 37 °C). Color alterations, surface roughness, and Knoop microhardness were then analyzed. Results: Statistical analyses revealed that all factors significantly influenced the tested properties (p < 0.05). Nanolab exhibited the most pronounced color alterations, with ∆E00 values reaching up to 22.21 ± 3.13 in specific conditions (e.g., Glaze, Cola soft drink). It also presented increased surface roughness, particularly when compared to PrintaX. Conversely, Duralay consistently displayed the highest Knoop microhardness changes (e.g., ranging from −1.84 ± 0.36 to 0.47 ± 0.45 in different conditions) across most experimental groups. Polishing consistently provided better outcomes in terms of color stability, surface roughness, and microhardness compared to extrinsic pigment + glaze or glaze-only treatments. The first immersion generally led to the greatest color change. Conclusions: The acidic challenge promoted significant changes in the optical and surface properties of the evaluated resins, increasing ∆E00 and roughness and reducing microhardness to different extents depending on the material. Clinically, these findings highlight the relevance of material selection and limiting exposure to acidic beverages during provisional use. Full article
(This article belongs to the Topic Advances in Dental Materials)
Show Figures

Figure 1

23 pages, 3679 KB  
Article
Response Surface Optimization of Matched-Die Consolidation for BMI-Based CFRP Prepreg Laminates Toward Stiffened-Shell Manufacturing
by Bo Yu, Yinghao Dan, Haiyang Sun, Yu Kang, Bowen Zhang, Yuning Chen, Ziqiao Wang and Jiuqing Liu
Polymers 2026, 18(4), 483; https://doi.org/10.3390/polym18040483 - 14 Feb 2026
Viewed by 187
Abstract
Hypersonic vehicles impose stringent requirements on lightweight structures to maintain mechanical integrity under extreme thermal environments. Bismaleimide (BMI)-based carbon fiber-reinforced polymer (CFRP) composites, featuring a high glass transition temperature and excellent thermal stability, are regarded as promising candidates for such applications. However, the [...] Read more.
Hypersonic vehicles impose stringent requirements on lightweight structures to maintain mechanical integrity under extreme thermal environments. Bismaleimide (BMI)-based carbon fiber-reinforced polymer (CFRP) composites, featuring a high glass transition temperature and excellent thermal stability, are regarded as promising candidates for such applications. However, the high curing temperature and narrow processing window of BMI resins make it challenging to manufacture stiffened-shell structures with low defect levels and high fiber volume fractions. In this study, an integrated manufacturing route—hot-melt prepregging–filament winding–matched-metal mold forming—is proposed, and the key processing parameters are optimized via single-factor experiments and the Box–Behnken response surface methodology. The tensile strength of the laminate is selected as the response variable to evaluate the effects of the compression displacement (A), thermal consolidation/bonding temperature (B), heating rate (C), and cooling rate (D). The results reveal a unimodal dependence of the tensile strength on each parameter, with the significance ranking B > D > A > C; moreover, the A–B and A–D interactions are significant (p < 0.01). The established quadratic regression model exhibits good agreement with experimental data (R2 = 0.974; R2_adj = 0.949). The predicted optimum conditions are A = 0.07 mm, B = 114.93 °C, C = 1.35 °C·min−1, and D = 4.58 °C·min−1, corresponding to a predicted tensile strength of approximately 2287 MPa. Validation experiments yielded 2291 MPa, in excellent agreement with the prediction. Microstructural observations indicate tight interlaminar bonding and a pronounced reduction in voids under the optimized conditions. Applying the optimized process to fabricate stiffened-shell demonstrators achieves a fiber volume fraction of >60% and a void content of <1%. This work provides a quantitatively defined processing window and parameter optimization basis for the high-quality manufacturing of BMI-CFRP stiffened-shell structures, with significant engineering relevance. Full article
(This article belongs to the Section Polymer Processing and Engineering)
Show Figures

Graphical abstract

39 pages, 3168 KB  
Review
Applications of Alginate in Geotechnical Engineering and Construction: A Review
by Abdulaziz Alawadhi, Matteo Pedrotti and Enrico Tubaldi
Buildings 2026, 16(4), 775; https://doi.org/10.3390/buildings16040775 - 13 Feb 2026
Viewed by 92
Abstract
Alginate, primarily sodium alginate, is a biopolymer derived from brown algae or bacterial sources that forms hydrogels via ionic crosslinking with certain divalent cations. Its incorporation into soils, earthen materials, cementitious composites, and asphalt mixtures improves mechanical performance and durability. This review collates [...] Read more.
Alginate, primarily sodium alginate, is a biopolymer derived from brown algae or bacterial sources that forms hydrogels via ionic crosslinking with certain divalent cations. Its incorporation into soils, earthen materials, cementitious composites, and asphalt mixtures improves mechanical performance and durability. This review collates recent advances in alginate-based treatments for geotechnical and construction applications, highlighting how alginate dosage, substrate type, gelation method, mixing strategy, and curing regime influence mechanical strength, physical properties, and self-healing efficiency. In soil stabilization, alginate treatments increase unconfined compressive strength (UCS) by 0.2–1.5 MPa in sand, with some studies reporting increases of over 2 MPa. Reported UCS improvements in alginate-treated clayey soils generally fall within the range of 50–150% compared to untreated samples, although isolated studies document increases exceeding 200%, depending on material composition and curing conditions. In cementitious systems, alginate-based capsules and hydrogels facilitate self-healing, achieving high closure rates of 70–100% for microcracks <0.4 mm, with some studies achieving complete sealing of macrocracks up to 4 mm while also recovering significant mechanical strength. Depending on dosage and formulation, alginate can also serve as a viscosity-modifying admixture, increasing the plastic viscosity and yield stress of the fresh mix, with this thickening effect becoming pronounced at dosages above approximately 0.1 w/w% by cementitious binder mass. For asphalt pavements, alginate-encapsulated rejuvenators facilitate high healing efficiency under cyclic loading and thermal cycling; rheological tests confirm elevated complex modulus and improved viscoelastic response. This review also synthesizes an explanatory framework for the divergent results found in the literature, advocates for standardized experimental protocols and material characterization, and outlines future research directions to advance alginate as a suitable alternative to conventional stabilizers. Full article
Show Figures

Figure 1

22 pages, 43993 KB  
Article
Creep Damage Characteristics of Fiber-Reinforced Alkali-Activated Slag Concrete: Effect of Age and Stress
by Ziyang Zhang, Sikai Wu, Xianggang Bian, Jianfei Kang and Jianbo Guo
Materials 2026, 19(4), 722; https://doi.org/10.3390/ma19040722 - 13 Feb 2026
Viewed by 157
Abstract
This study investigates the effects of fiber reinforcement, stress levels, and curing age on the creep behavior of alkali-activated slag (AAS) concrete. Through comprehensive cyclic loading tests, we demonstrate that fiber reinforcement significantly reduces irreversible creep strain by 1.2–5.3% under high-stress conditions (0.7 [...] Read more.
This study investigates the effects of fiber reinforcement, stress levels, and curing age on the creep behavior of alkali-activated slag (AAS) concrete. Through comprehensive cyclic loading tests, we demonstrate that fiber reinforcement significantly reduces irreversible creep strain by 1.2–5.3% under high-stress conditions (0.7fc), with optimal performance at 1.0% fiber content. Quantitative analysis reveals that fiber-reinforced specimens exhibit 10.0% higher elastic modulus and maintain 83% of peak strength after creep damage, compared to 86% strength retention in non-fiber specimens. Ultrasonic testing confirmed that fibers effectively mitigate internal damage under high stress, limiting wave propagation time increases to 47–62% versus 66% in plain AAS concrete. This research quantifies the pronounced age sensitivity of creep behavior, with 7-day specimens exhibiting 28% higher creep strain than 28-day specimens under 0.8fc stress, corresponding to irreversible strain ratios of 21.3% and 18.4%, respectively. A 102% increase in Poisson’s ratio at high stress levels provides direct evidence of fiber-controlled volumetric expansion during microcracking. These findings establish that strategic fiber incorporation fundamentally alters the creep damage mechanisms in AAS concrete, providing critical quantitative thresholds for engineering applications subjected to sustained loading. The results offer practical guidance for optimizing fiber-reinforced AAS concrete in infrastructure requiring long-term dimensional stability. Full article
Show Figures

Figure 1

25 pages, 4355 KB  
Article
Preparation and Applicability Evaluation of High-Temperature-Resistant, Breakable Resin–Gel Plugging Agent
by Tao Wang, Jinzhi Zhu, Yingrui Bai, Yanming Yin, Qisheng Jiang, Zhangkun Ren and Jingbin Yang
Gels 2026, 12(2), 164; https://doi.org/10.3390/gels12020164 - 13 Feb 2026
Viewed by 119
Abstract
This study addresses the challenge of high-temperature gas channeling in injection–production wells of karst-fractured reservoirs by developing a high-temperature-resistant resin–gel plugging system capable of withstanding up to 150 °C. The system employs an AMPS/NVP copolymer (molar ratio 3:1) as the polymer matrix, reinforced [...] Read more.
This study addresses the challenge of high-temperature gas channeling in injection–production wells of karst-fractured reservoirs by developing a high-temperature-resistant resin–gel plugging system capable of withstanding up to 150 °C. The system employs an AMPS/NVP copolymer (molar ratio 3:1) as the polymer matrix, reinforced with phenolic resin to enhance the crosslinked network. Additionally, a polyamide microcapsule was utilized to encapsulate the gel breaker, enabling controlled release. The optimized formulation consists of 0.5% NEP, 0.5% DEP, 0.6% HMTA, 0.3% catechol, and 25% resin curing agent. Experimental results demonstrate that the system exhibits excellent stability at 150 °C, with a G′ ≥ 125 Pa and compressive strength > 18 MPa. It also displays strong contamination resistance, showing a viscosity reduction of <9.7% and a storage modulus retention rate > 87% after mixing with drilling fluid. Furthermore, the gel-breaking performance is controllable, achieving a gel-breaking rate ≥ 99.7% within 21 days. Under high-temperature and high-pressure conditions (150 °C), the system demonstrates a plugging efficiency > 92% for simulated fractures with widths ranging from 0.1 to 2 mm. This technology effectively suppresses gas channeling in complex high-temperature formations, making it suitable for gas injection wells in karst-fractured reservoirs. It also holds promise for extension to shale gas wells and geothermal reservoir sealing applications. Full article
(This article belongs to the Topic Polymer Gels for Oil Drilling and Enhanced Recovery)
Show Figures

Graphical abstract

13 pages, 595 KB  
Article
Effect of Pre-Conditioning Temperature and Method of Curing on the Shear Bond Strength of Dual-Cure Composite Cements to Dentin
by Joanna Giełzak, Agata Szczesio-Włodarczyk and Kinga Bociong
Materials 2026, 19(4), 718; https://doi.org/10.3390/ma19040718 - 13 Feb 2026
Viewed by 133
Abstract
Dual-cure composite cements are an important element of modern dental prosthetics, enabling a stable and long-lasting bond between prosthetic restorations and tooth tissues. Thanks to the combined mechanism of chemical- and light-curing polymerization, they are characterized by high clinical versatility. Despite their wide [...] Read more.
Dual-cure composite cements are an important element of modern dental prosthetics, enabling a stable and long-lasting bond between prosthetic restorations and tooth tissues. Thanks to the combined mechanism of chemical- and light-curing polymerization, they are characterized by high clinical versatility. Despite their wide application, the impact of storage/pre-conditioning temperature on the mechanical properties of dual-cure composite cements remains unclear. The study evaluated the shear bond strength (SBS) of the bond between four dual cements—Bifix Hybrid Abutment (VOCO GmbH, Cuxhaven, Germany), MaxCem Elite (Kerr Corporation, Orange, CA, USA), EnaCem HF (Micerium, Avegno, Italy), and Multilink Automix (Ivoclar Vivadent, Schaan, Lichtenstein)—and dentin depending on their storage temperature (25 °C or 50 °C) and curing method. The tests were carried out on extracted human permanent teeth. The cements were divided into two temperature groups—stored for 7 days at 25 °C or stored for 7 days at 50 °C—and then each of these two temperature groups was divided into two groups—light- and chemically cured (dual-cured, LC) and chemically cured only (CC). Dual-cured cements showed higher shear bond strength at 25 °C. Storage at 50 °C lowered the SBS values, especially for the purely chemically bound cements. LC Bifix Hybrid Abutment achieved the highest SBS at 25 °C, but at 50 °C its properties deteriorated. EnaCem HF showed higher strength at a lower temperature; MaxCem Elite was stable at both temperatures, whereas Multilink Automix showed lower SBS at 50 °C. The study showed that the chemical composition of cements, especially the presence of a benzoyl peroxide (BPO) initiating system, can play a key role in their SBS when bonded to teeth tissue and stability at different storage temperatures. MaxCem Elite showed the best resistance to temperature changes—it achieved the highest temperature stability in both temperature groups. Full article
(This article belongs to the Special Issue Advanced Materials for Oral Application (3rd Edition))
Show Figures

Graphical abstract

42 pages, 5096 KB  
Review
A Review: Strengthening Techniques for Recycled Aggregates
by Junbo Wang, Hewen Shen, Xianggang Zhang, Mengbo Li and Xunda Yang
Coatings 2026, 16(2), 233; https://doi.org/10.3390/coatings16020233 - 12 Feb 2026
Viewed by 199
Abstract
Due to its relatively low apparent density, as well as high water absorption and crushing value, recycled aggregate (RA) is difficult to directly apply in practical concrete production. Existing studies have proposed a variety of pretreatment methods for RA. To further deepen the [...] Read more.
Due to its relatively low apparent density, as well as high water absorption and crushing value, recycled aggregate (RA) is difficult to directly apply in practical concrete production. Existing studies have proposed a variety of pretreatment methods for RA. To further deepen the understanding of their effectiveness in improving the properties of RA and to provide guidance for its practical application, a comprehensive investigation is necessary. The pretreatment methods of RA can be classified into three main categories: physical strengthening, chemical enhancement, and bio-deposition. In this study, physical strengthening includes mechanical grinding and microwave heating, chemical strengthening includes acid treatment, polymer treatment, and carbonation curing, and biological strengthening refers to biological strengthening techniques. Different strengthening methods improve the properties of RA and the corresponding recycled aggregate concrete (RAC) to varying degrees. However, it is essential to control the external treatment conditions appropriately during the strengthening process. In addition, the source of RA and its inherent physical characteristics also have a significant influence on the treatment outcomes. Therefore, the optimal strengthening conditions should be determined based on the specific properties of each type of RA. This study systematically summarizes and discusses the influencing factors associated with each strengthening method, and the discussion section compares the pros and cons from different perspectives. Furthermore, within the context of engineering decision-making for sustainable and durable construction materials, the study also addresses the limitations of current strengthening technologies and proposes potential directions for future research. Full article
(This article belongs to the Section Environmental Aspects in Colloid and Interface Science)
Show Figures

Graphical abstract

42 pages, 10041 KB  
Article
Probabilistic Prediction of Concrete Compressive Strength Using Copula Functions: A Novel Framework for Uncertainty Quantification
by Cheng Zhang, Senhao Cheng, Shanshan Tao, Shuai Du and Zhengjun Wang
Buildings 2026, 16(4), 754; https://doi.org/10.3390/buildings16040754 - 12 Feb 2026
Viewed by 139
Abstract
Traditional machine learning models for concrete compressive strength prediction provide only single-value estimates without quantifying the probability of meeting design requirements, leaving engineers unable to make risk-informed decisions. This study addresses this critical limitation by developing a novel probabilistic prediction framework that integrates [...] Read more.
Traditional machine learning models for concrete compressive strength prediction provide only single-value estimates without quantifying the probability of meeting design requirements, leaving engineers unable to make risk-informed decisions. This study addresses this critical limitation by developing a novel probabilistic prediction framework that integrates explainable machine learning with Copula-based joint distribution modeling. Using a dataset of 1030 concrete samples with curing ages ranging from 1 to 365 days, we first established an XGBoost 2.1.4 prediction model achieving R2 = 0.9211 (RMSE = 4.51 MPa) on the test set. SHAP 0.49.1 (SHapley Additive exPlanations) analysis identified curing age (33.3%) and water–cement ratio (28.8%) as the dominant features, together accounting for 62.1% of predictive importance. These two controllable engineering parameters were then selected as core variables for probabilistic modeling. The key innovation lies in integrating Copula-based dependence modeling with explainable machine learning (XGBoost–SHAP) to quantify the compliance probability of concrete strength under specific mix designs and curing conditions, thereby supporting risk-informed quality control decisions. Through systematic comparison of five Copula families (Gaussian, Student t, Clayton, Gumbel, and Frank), we identified optimal dependence structures: Gaussian Copula (ρ = −0.54) for the water–cement ratio–strength relationship and Clayton Copula for the age–strength relationship, revealing asymmetric tail dependence patterns invisible to conventional correlation analysis. The three-dimensional Copula model enables engineers to estimate compliance probability—the likelihood of concrete achieving target strength under specific mix designs and curing conditions. We propose an illustrative three-tier decision rule for construction quality management based on the compliance probability P: P ≥ 0.95 (high-confidence approval), 0.80 ≤ P < 0.95 (warning zone requiring enhanced monitoring), and P < 0.80 (high risk suggesting corrective actions such as mix adjustment or extended curing), noting that these thresholds can be recalibrated to project-specific risk tolerance and local specifications. This framework supports a paradigm shift from reactive “mix-then-test” quality control to proactive “predict-then-decide” construction management, providing quantitative risk assessment tools previously unavailable in deterministic prediction approaches. Full article
Show Figures

Figure 1

27 pages, 4135 KB  
Article
Sustainable Ceramic–Adhesive Composites: Interfacial Degradation and Durability Under Environmental Stress
by Rina (Irina) Wasserman
Buildings 2026, 16(4), 751; https://doi.org/10.3390/buildings16040751 - 12 Feb 2026
Viewed by 171
Abstract
Current international standards (EN 12004; SI 4004) are testing ceramic tile adhesives under post-cure thermal aging. However, the standards omit UV radiation exposure during the fresh-adhesive phase. This research investigated three commercial polymer-modified cement adhesives (C2TE, C2TE-S2, C2T) bonding porcelain stoneware tiles under [...] Read more.
Current international standards (EN 12004; SI 4004) are testing ceramic tile adhesives under post-cure thermal aging. However, the standards omit UV radiation exposure during the fresh-adhesive phase. This research investigated three commercial polymer-modified cement adhesives (C2TE, C2TE-S2, C2T) bonding porcelain stoneware tiles under simulated Eastern Mediterranean and desert conditions. Three commercial adhesives were exposed during the initial (uncured) period to elevated temperature (30 °C), humidity variation (40–65% RH), and UV radiation (295–365 nm, 1.5–2.0 mW/cm2) for 20 min, followed by 28 days of curing. Pull-off testing and scanning electron microscopy, combined with quantitative directionality analysis, were used to characterize the mechanical performance and microstructural degradation. UV exposure of adhesives during tiling working time caused a drop of mean bond strength from 1.77 to 0.26 MPa (85% reduction) compared with 1.77 to 0.64 MPa (36% reduction) under hot-arid conditions. Microstructural analysis of the hardened pull-off adhesives revealed that exposure of the fresh adhesive to UV radiation causes thinning and degradation of the interfacial layer (15–40 µm), leading to a drop in macroscopic strength. In contrast, hot-arid exposure induces adhesive bulk cracking while preserving interface integrity. Fracture surface directionality (goodness parameter), crack density, and delamination percentage together distinguish interface failure from adhesive bulk degradation and provide a forecast of long-term durability. This combined SEM-mechanical approach identified critical gaps in testing protocols and enables evidence-based adhesive selection, as current EN 12004 classifications based solely on mechanical properties prove insufficient. Full article
Show Figures

Figure 1

10 pages, 1074 KB  
Article
Probing the Curing Reaction of HTPB Propellant with Low-Field NMR
by Mengrui Yu, Heng Chang, Jinxiang Liu, Fei Wang, Wenhua Hu, Hua Zhang, Tianshuai Wang and Jiangbo Chen
Aerospace 2026, 13(2), 172; https://doi.org/10.3390/aerospace13020172 - 11 Feb 2026
Viewed by 156
Abstract
Hydroxyl-terminated polybutadiene (HTPB) propellants are widely used in aerospace applications owing to their excellent mechanical performance and storage stability, which are primarily governed by the crosslinked network formed during curing. Understanding the evolution of this network is therefore essential for optimizing propellant formulations [...] Read more.
Hydroxyl-terminated polybutadiene (HTPB) propellants are widely used in aerospace applications owing to their excellent mechanical performance and storage stability, which are primarily governed by the crosslinked network formed during curing. Understanding the evolution of this network is therefore essential for optimizing propellant formulations and curing parameters. In this work, the curing behaviors of HTPB-based propellant slurries employing two representative curing agents, toluene diisocyanate (TDI) and isophorone diisocyanate (IPDI), were systematically investigated under isothermal conditions at 60 °C using low-field nuclear magnetic resonance (LF-NMR), combined with infrared spectroscopy, dynamic mechanical analysis, and macroscopic mechanical testing. The curing time and crosslink density of both propellant systems were quantitatively determined by LF-NMR crosslink densitometry, while transverse relaxation time measurements were used to monitor the mobility evolution of different molecular segments during curing. The results show that with increasing curing time, the crosslink density and crosslinked chain content progressively increased, whereas the free chain content decreased, accompanied by a transient increase and subsequent decrease in dangling chains. The curing endpoints of the HTPB/TDI and HTPB/IPDI propellants were determined to be approximately 1.25 days and 5.5 days, with corresponding final crosslink densities of 2.438 × 10−4 and 2.007 × 10−4 mol mL−1, respectively. Excellent agreement between LF-NMR results and complementary characterization techniques confirms LF-NMR as an effective tool for studying curing reaction and network evolution in complex solid propellant systems. Full article
(This article belongs to the Section Astronautics & Space Science)
Show Figures

Figure 1

Back to TopTop