Sign in to use this feature.

Years

Between: -

Subjects

remove_circle_outline
remove_circle_outline
remove_circle_outline
remove_circle_outline
remove_circle_outline
remove_circle_outline
remove_circle_outline
remove_circle_outline
remove_circle_outline

Journals

remove_circle_outline
remove_circle_outline
remove_circle_outline
remove_circle_outline
remove_circle_outline
remove_circle_outline
remove_circle_outline
remove_circle_outline

Article Types

Countries / Regions

remove_circle_outline
remove_circle_outline
remove_circle_outline
remove_circle_outline

Search Results (397)

Search Parameters:
Keywords = cumulative damage effect

Order results
Result details
Results per page
Select all
Export citation of selected articles as:
27 pages, 15115 KB  
Article
Macro-Meso Characteristics and Damage Mechanism of Cement-Stabilized Macadam Under Freeze–Thaw Cycles and Scouring
by Hongfu Liu, Sirui Zhou, Ao Kuang, Dongzhao Jin, Xinghai Peng and Songtao Lv
Materials 2025, 18(21), 4874; https://doi.org/10.3390/ma18214874 (registering DOI) - 24 Oct 2025
Abstract
This study quantifies the effects of freeze–thaw (FT) cycling and dynamic water scouring, and establishes links between mesoscale pore evolution and macroscale strength degradation in cement-stabilized macadam (CSM) bases. The objective is to provide quantitative indicators for durability design and non-destructive evaluation of [...] Read more.
This study quantifies the effects of freeze–thaw (FT) cycling and dynamic water scouring, and establishes links between mesoscale pore evolution and macroscale strength degradation in cement-stabilized macadam (CSM) bases. The objective is to provide quantitative indicators for durability design and non-destructive evaluation of CSM bases. First, laboratory tests were conducted to simulate alpine service conditions: CSM cylindrical specimens (Ø150 × 150 mm) with 4.5% cement content, cured for 28 days, were exposed to 0, 5, or 20 FT cycles (−18 °C for 16 h ↔ +25 °C for 8 h), followed by dynamic water scouring (0.5 MPa, 10 Hz) for 15, 30, or 60 min. Second, the resulting damage was tracked at two scales. Acoustic emission (AE) sensors monitored internal damage during subsequent splitting tests, while industrial computed tomography (CT) was used to scan selected specimens and quantify porosity, pore number, and average pore diameter. Third, gray relational analysis correlated pore structure parameters with strength loss. The results indicate that under 30 min of scouring, increasing FT cycles from 0 to 20 increased mass loss from 0.33% to 1.27% and reduced splitting strength by 28.8%. AE cumulative ringing count and energy decreased by 97.9% and 98.4%, respectively, indicating severe internal degradation. CT scans revealed porosity and pore count increased monotonically with FT cycles, while average pore diameter decreased (dominated by microcrack formation). Frost-heave pressure and cyclic suction enlarged edge pores and interconnected internal voids, accelerating erosion of cement paste. FT cycles compromise the cement–aggregate interfacial bond, thereby predisposing the matrix to accelerated deterioration under dynamic scouring; the ensuing evolution of pore structure emerges as the pivotal mechanism governing strength degradation. Average pore diameter exhibited the strongest correlation with splitting strength (r = 0.763), and its change was the primary driver of strength loss (r = 0.774). These findings facilitate optimizing cement dosage, validating non-destructive evaluation models for in-service base courses, and erosion durability of road base materials in permafrost regions. Full article
Show Figures

Figure 1

14 pages, 3262 KB  
Article
Advancing Duodenoscope Reprocessing with Alginate-Coated Calcium Peroxide Nanoparticles
by Adrian Fifere, Cristian-Dragos Varganici, Elena-Laura Ursu, Tudor Pinteala, Vasile Sandru, Ioana-Andreea Turin-Moleavin, Irina Rosca and Gheorghe G. Balan
Life 2025, 15(11), 1643; https://doi.org/10.3390/life15111643 - 22 Oct 2025
Viewed by 78
Abstract
Background/Objectives: Although significant advances in duodenoscope reprocessing have been introduced since mid-2010s—including enhanced cleaning protocols, disposable distal endcaps, and the introduction of fully single-use duodenoscopes—residual contamination and infection risks remain unresolved. Moreover, repeated reprocessing may cause cumulative damage to the polymer surfaces, elevator [...] Read more.
Background/Objectives: Although significant advances in duodenoscope reprocessing have been introduced since mid-2010s—including enhanced cleaning protocols, disposable distal endcaps, and the introduction of fully single-use duodenoscopes—residual contamination and infection risks remain unresolved. Moreover, repeated reprocessing may cause cumulative damage to the polymer surfaces, elevator mechanisms, and internal channels of the duodenoscopes, making them more susceptible to residual contamination. To minimize the duodenoscope polymer degradation caused by intensive use and reprocessing, new alternatives are urgently needed. In this context, calcium peroxide nanoparticles coated with sodium alginate (CaO2–Alg NPs), synthesized by our group, were tested for the first time as a disinfectant capable of combating nosocomial pathogens while reducing device deterioration associated with repeated investigations and reprocessing. Methods: The disinfectant properties of the CaO2–Alg NPs were evaluated under biomimetic conditions using reference bacterial strains commonly associated with nosocomial infections. In addition, the compatibility of the nanoparticles with the polymeric duodenoscope coatings was assessed after simulated intensive use. The external polymer coating was structurally and morphologically characterized by Fourier Transform Infrared Spectroscopy (FTIR), Differential Scanning Calorimetry (DSC), Atomic Force Microscopy (AFM), and Scanning Electron Microscopy (SEM). Results: The nanoparticles exhibited important antimicrobial activity against the reference bacterial strains Staphylococcus aureus, Escherichia coli, Enterococcus faecalis, and Klebsiella pneumoniae after only 20 min of incubation. Intensive exposure to the CaO2–Alg NPs did not cause additional structural or morphological damage to the duodenoscope’s external polymers and did not alter their anti-adhesive properties. Conclusions: The CaO2–Alg NPs appear to be a safe and effective disinfectant for the duodenoscope reprocessing, offering both antimicrobial efficacy and material compatibility. Full article
(This article belongs to the Special Issue Emerging Applications of Nanobiotechnology in Medicine and Health)
Show Figures

Figure 1

21 pages, 4254 KB  
Article
Effects of Straw Return on Soil Physicochemical Properties and Microbial Communities in a Cold-Region Alkaline Farmland
by Wei Zhang, Jinghong Wang, Aman Khan, Guinan Shen, Dan Wei and Weidong Wang
Agronomy 2025, 15(10), 2433; https://doi.org/10.3390/agronomy15102433 - 21 Oct 2025
Viewed by 101
Abstract
Straw return is crucial for sustainable agriculture, but its efficiency is limited by low temperatures in cold regions, especially in saline-alkali soils. This study investigates the degradation process of maize straw and the response of soil properties and microbial communities during the winter [...] Read more.
Straw return is crucial for sustainable agriculture, but its efficiency is limited by low temperatures in cold regions, especially in saline-alkali soils. This study investigates the degradation process of maize straw and the response of soil properties and microbial communities during the winter low-temperature period in the alkaline farmland of Anda, China. A two-year field experiment with straw return (SR) and no return (NR) treatments was conducted. Straw degradation rates and structural changes (as observed via scanning electron microscope, SEM) were monitored. Soil physicochemical properties and enzyme activities were analyzed. Microbial community composition was characterized using 16S rRNA and ITS sequencing. The cumulative straw degradation rate over two years reached 94.81%, with 18.33% occurring in the first winter freeze–thaw period. Freeze–thaw cycles significantly damaged the straw structure, facilitating microbial colonization. Straw return significantly improved soil properties after winter, increasing field water capacity (3.45%), content of large aggregates (6.57%), available nutrients (P 38.17 mg/kg, K 191.93 mg/kg), and organic carbon fractions compared to NR. Microbial analysis revealed that low temperatures filtered the community, enriching cold-tolerant taxa like Pseudogymnoascus, Penicillium, and Pedobacter, which are crucial for lignocellulose decomposition under cold conditions. The winter period plays a significant role in initiating straw degradation in cold regions. Straw return mitigates the adverse effects of winter freezing on soil quality and promotes the development of a cold-adapted microbial consortium, thereby enhancing the sustainability of alkaline farmland ecosystems in Northeast China. Full article
(This article belongs to the Section Soil and Plant Nutrition)
Show Figures

Figure 1

16 pages, 1483 KB  
Article
On the Rheological Memory and Cumulative Damage of Thermoplastic Starch Biodegradable Films Reinforced with Nanoclay
by Eleni Kazantzi, Melpomeni Christou, Theofilos Frangopoulos, Anna Marinopoulou, Athanasios Goulas, Dimitrios Petridis and Vassilis Karageorgiou
Appl. Sci. 2025, 15(20), 11166; https://doi.org/10.3390/app152011166 - 17 Oct 2025
Viewed by 180
Abstract
Although the strain hardening phenomenon has been studied in different types of materials, there are only a few such reports regarding flexible food packaging. To address this issue, nanoclay-reinforced and control starch-based films were subjected to sequential and weekly tension and the rheological [...] Read more.
Although the strain hardening phenomenon has been studied in different types of materials, there are only a few such reports regarding flexible food packaging. To address this issue, nanoclay-reinforced and control starch-based films were subjected to sequential and weekly tension and the rheological index, defined as the ratio of the tensile strength observed under weekly to that under consecutive elongation, was measured. The results showed that the values of the rheological index were >1, implying a strain hardening effect that was more notable when nanoclay was added and when the stress duration was increased. Additionally, a cumulative damage test was conducted, involving the gradual increase of two factors in each step: the percentage of the elongation level and the duration of each step. The data were fitted to a linear model, describing the correlation between the ln failure time (μ) and the tensile strength (X), μ = 6.021 − 0.478 X. This model enabled the prediction of the failure probability and the hazard rate of the films that were studied. In addition, from the survival of the units in the initial steps of the cumulative damage experiment, it can be hypothesized that the elongation of the units under low stress levels, for prolonged periods of time, exhibits rheological memory properties, which leads to an increase in their mechanical strength. Full article
(This article belongs to the Special Issue Design, Characterization, and Applications of Biodegradable Polymers)
Show Figures

Figure 1

35 pages, 7885 KB  
Article
Research on Warship System Resilience Based on Intelligent Recovery with Improved Ant Colony Optimization
by Zhen Li, Luhong Wang, Lingzhong Meng and Guang Yang
Algorithms 2025, 18(10), 626; https://doi.org/10.3390/a18100626 - 3 Oct 2025
Viewed by 203
Abstract
Faced with complex, ever-changing battlefield environments and diverse attacks, enabling warship combat systems to recover rapidly and effectively after damage is key to enhancing resilience and sustained combat capability. We construct a representative naval battle scenario and propose an integrated Attack-Defense-Recovery Strategy (ADRS) [...] Read more.
Faced with complex, ever-changing battlefield environments and diverse attacks, enabling warship combat systems to recover rapidly and effectively after damage is key to enhancing resilience and sustained combat capability. We construct a representative naval battle scenario and propose an integrated Attack-Defense-Recovery Strategy (ADRS) grounded in warship system models for different attack types. To address high parameter sensitivity, weak initial pheromone feedback, suboptimal solution quality, and premature convergence in traditional ant colony optimization (ACO), we introduce three improvements: (i) grid-search calibration of key ACO parameters to enhance global exploration, (ii) a non-uniform initial pheromone mechanism based on the wartime importance of equipment to guide early solutions, and (iii) an ADRS-consistent state-transition rule with group-based starting points to prioritize high-value equipment during the search. Simulation results show that the improved ACO (IACO) outperforms classical ACO in convergence speed and solution optimality. Across torpedo, aircraft/missile, and UAV scenarios, ADRS-ACO improves over GRS-ACO by 7.2%, 0.3%, and 5.5%, while ADRS-IACO achieves gains of 34.9%, 17.1%, and 16.7% over GRS-ACO and 25.9%, 16.7%, and 10.6% over ADRS-ACO. Overall, ADRS-IACO consistently delivers the best solutions. In high-intensity, high-damage torpedo conditions, ADRS-IACO demonstrates superior path planning and repair scheduling, more effectively identifying critical equipment and allocating resources. Moreover, under multi-wave combat, coupling with ADRS effectively reduces cumulative damage and substantially improves overall warship-system resilience. Full article
(This article belongs to the Special Issue Evolutionary and Swarm Computing for Emerging Applications)
Show Figures

Figure 1

18 pages, 5858 KB  
Article
Research on Deformation Behavior and Mechanisms of Concrete Under Hygrothermal Coupling Effects
by Mingyu Li, Chunxiao Zhang, Aiguo Dang, Xiang He, Jingbiao Liu and Xiaonan Liu
Buildings 2025, 15(19), 3514; https://doi.org/10.3390/buildings15193514 - 29 Sep 2025
Viewed by 282
Abstract
This study elucidated the evolution and catastrophic failure mechanisms of concrete’s mechanical properties under high-temperature and moisture-coupled environments. Specimens underwent hygrothermal shock simulation via constant-temperature drying (100 °C/200 °C, 4 h) followed by water quenching (20 °C, 30 min). Uniaxial compression tests were [...] Read more.
This study elucidated the evolution and catastrophic failure mechanisms of concrete’s mechanical properties under high-temperature and moisture-coupled environments. Specimens underwent hygrothermal shock simulation via constant-temperature drying (100 °C/200 °C, 4 h) followed by water quenching (20 °C, 30 min). Uniaxial compression tests were performed using a uniaxial compression test machine with synchronized multi-scale damage monitoring that integrated digital image correlation (DIC), acoustic emission (AE), and infrared thermography. The results demonstrated that hygrothermal coupling reduced concrete ductility significantly, in which the peak strain decreased from 0.36% (ambient) to 0.25% for both the 100 °C and 200 °C groups, while compressive strength declined to 42.8 MPa (−2.9%) and 40.3 MPa (−8.6%), respectively, with elevated elastic modulus. DIC analysis revealed the temperature-dependent failure mode reconstruction: progressive end cracking (max strain 0.48%) at ambient temperature transitioned to coordinated dual-end cracking with jump-type damage (abrupt principal strain to 0.1%) at 100 °C and degenerated to brittle fracture oriented along a singular path (principal strain band 0.015%) at 200 °C. AE monitoring indicated drastically reduced micro-damage energy barriers at 200 °C, where cumulative energy (4000 mV·ms) plummeted to merely 2% of the ambient group (200,000 mV·ms). Infrared thermography showed that energy aggregation shifted from “centralized” (ambient) to “edge-to-center migration” (200 °C), with intensified thermal shock effects in fracture zones (ΔT ≈ −7.2 °C). The study established that hygrothermal coupling weakens the aggregate-paste interfacial transition zone (ITZ) by concentrating the strain energy along singular weak paths and inducing brittle failure mode degeneration, which thereby provides theoretical foundations for fire-resistant design and catastrophic failure warning systems in concrete structures exposed to coupled environmental stressors. Full article
Show Figures

Figure 1

17 pages, 4446 KB  
Article
Study on Production System Optimization and Productivity Prediction of Deep Coalbed Methane Wells Considering Thermal–Hydraulic–Mechanical Coupling Effects
by Sukai Wang, Yonglong Li, Wei Liu, Siyu Zhang, Lipeng Zhang, Yan Liang, Xionghui Liu, Quan Gan, Shiqi Liu and Wenkai Wang
Processes 2025, 13(10), 3090; https://doi.org/10.3390/pr13103090 - 26 Sep 2025
Viewed by 340
Abstract
Deep coalbed methane (CBM) resources possess significant potential. However, their development is challenged by geological characteristics such as high in situ stress and low permeability. Furthermore, existing production strategies often prove inadequate. In order to achieve long-term stable production of deep coalbed methane [...] Read more.
Deep coalbed methane (CBM) resources possess significant potential. However, their development is challenged by geological characteristics such as high in situ stress and low permeability. Furthermore, existing production strategies often prove inadequate. In order to achieve long-term stable production of deep coalbed methane reservoirs and increase their final recoverable reserves, it is urgent to construct a scientific and reasonable drainage system. This study focuses on the deep CBM reservoir in the Daning-Jixian Block of the Ordos Basin. First, a thermal–hydraulic–mechanical (THM) multi-physics coupling mathematical model was constructed and validated against historical well production data. Then, the model was used to forecast production. Finally, key control measures for enhancing well productivity were identified through production strategy adjustment. The results indicate that controlling the bottom-hole flowing pressure drop rate at 1.5 times the current pressure drop rate accelerates the early-stage pressure drop, enabling gas wells to reach the peak gas production earlier. The optimized pressure drop rates for each stage are as follows: 0.15 MPa/d during the dewatering stage, 0.057 MPa/d during the gas production rise stage, 0.035 MPa/d during the stable production stage, and 0.01 MPa/d during the production decline stage. This strategy increases peak daily gas production by 15.90% and cumulative production by 3.68%. It also avoids excessive pressure drop, which can cause premature production decline during the stable phase. Consequently, the approach maximizes production over the entire life cycle of the well. Mechanistically, the 1.5× flowing pressure drop offers multiple advantages. Firstly, it significantly shortens the dewatering and production ramp-up periods. This acceleration promotes efficient gas desorption, increasing the desorbed gas volume by 1.9%, and enhances diffusion, yielding a 39.2% higher peak diffusion rate, all while preserving reservoir properties. Additionally, this strategy synergistically optimizes the water saturation and temperature fields, which mitigates the water-blocking effect. Furthermore, by enhancing coal matrix shrinkage, it rebounds permeability to 88.9%, thus avoiding stress-induced damage from aggressive extraction. Full article
Show Figures

Figure 1

27 pages, 19715 KB  
Article
Applying Computational Engineering Modeling to Analyze the Social Impact of Conflict and Violent Events
by Felix Schwebel, Sebastian Meynen and Manuel García-Herranz
Entropy 2025, 27(10), 1003; https://doi.org/10.3390/e27101003 - 26 Sep 2025
Viewed by 518
Abstract
Understanding the societal impacts of armed conflict remains challenging due to limitations in current models, which often apply fixed-radius buffers or composite indices that obscure critical dynamics. These approaches struggle to account for indirect effects, cumulative damage, and context-specific vulnerabilities, especially the question [...] Read more.
Understanding the societal impacts of armed conflict remains challenging due to limitations in current models, which often apply fixed-radius buffers or composite indices that obscure critical dynamics. These approaches struggle to account for indirect effects, cumulative damage, and context-specific vulnerabilities, especially the question of why similar events produce vastly different outcomes across regions. We introduce a novel computational framework that applies principles from engineering and material science to conflict analysis. Communities are modeled as elastic plates, “social fabrics”, whose physical properties (thickness, elasticity, coupling) are derived from spatial socioeconomic indicators. Conflict events are treated as external forces that deform this fabric, enabling the simulation of how repeated shocks propagate and accumulate. Using a custom Python-based finite element analysis implementation, we demonstrate how heterogeneous data sources can be integrated into a unified, interpretable model. Validation tests confirm theoretical behaviors, while a proof-of-concept application to Nigeria (2018) reveals emergent patterns of spillover, nonlinear accumulation, and context-sensitive impacts. This framework offers a rigorous method to distinguish structural vulnerability from external shocks and provides a tool for understanding how conflict interacts with local conditions, bridging physical modeling and social science to better capture the multifaceted nature of conflict impacts. Full article
Show Figures

Figure 1

17 pages, 2397 KB  
Article
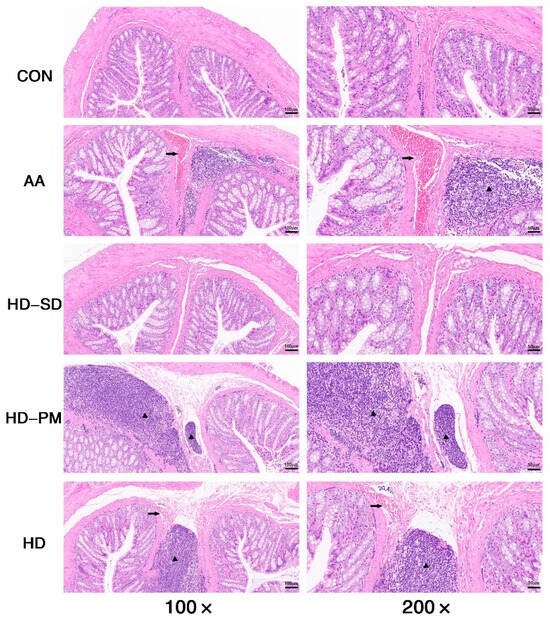
Solid Dispersion of Hesperidin Alleviates Acetic Acid-Induced Colitis Through Modulating the Gut Microbiota Dysbiosis in Rats
by Qiru Wang, Dan Liu, Qi Wu, Yanling Sun, Ning Ma, Xin He and Xinghua Zhao
Foods 2025, 14(18), 3252; https://doi.org/10.3390/foods14183252 - 19 Sep 2025
Viewed by 420
Abstract
Hesperidin (HD) is predominantly found in citrus fruits, and has been shown to possess various biological properties, such as anti-inflammatory, antioxidant, and anti-carcinogenic. However, its application is limited by poor solubility. In this study, a new solid dispersion (SD) of hesperidin was prepared [...] Read more.
Hesperidin (HD) is predominantly found in citrus fruits, and has been shown to possess various biological properties, such as anti-inflammatory, antioxidant, and anti-carcinogenic. However, its application is limited by poor solubility. In this study, a new solid dispersion (SD) of hesperidin was prepared by ball milling using PVPK30 as the carrier, and the in vitro and in vivo studies and the therapeutic effects about colitis in rats were evaluated. In vitro analysis revealed that the solid dispersion showed a better release effect. The cumulative release of HD-SD reached 48.24% at 120 min, which was 5.9 times that of pure HD. In vivo studies demonstrated that Cmax and AUC024 were significantly higher in HD-SD compared with pure HD (p < 0.01), which were 2.67 and 1.50 times that of HD, respectively. Furthermore, treatment with HD-SD significantly alleviates symptoms and histological features in acetic acid (AA)-induced colitis in rats. Furthermore, HD-SD treatment significantly ameliorated the disease severity of acetic acid (AA)-induced colitis in rats, as evidenced by improved clinical signs, attenuated histological damage, and decreased levels of inflammatory factors (TNF-α, IL-6, and IL-1β). Moreover, the structure and relative abundance of the gut microbiota were modulated. Specifically, the relative abundance of Erysipelotrichaceae was decreased and the relative abundance of Bacteroidota, Lachnospiraceae, and [Eubacterium]_coprostanoligenes_group were increased. These results suggest that HD-SD could serve as a gut-health-promoting functional ingredient, potentially contributing to the dietary management of colitis through microbiota modulation. Full article
(This article belongs to the Section Food Nutrition)
Show Figures

Figure 1

19 pages, 1681 KB  
Review
Critical Review of Hearing Rehabilitation in Pediatric Oncology: Specific Considerations and Barriers
by Guillaume Courbon, Laurie Lugnier, Johnnie K. Bass, Thomas E. Merchant, Thierry Morlet and Celine Richard
Curr. Oncol. 2025, 32(9), 509; https://doi.org/10.3390/curroncol32090509 - 13 Sep 2025
Viewed by 677
Abstract
Childhood cancer treatments, including chemotherapy, radiation therapy, and combined modalities, pose significant risks to auditory function due to their ototoxic effects. Cisplatin, a chemotherapeutic agent commonly used in pediatric oncology, causes dose-dependent irreversible sensorineural hearing loss by damaging the inner ear structures, primarily [...] Read more.
Childhood cancer treatments, including chemotherapy, radiation therapy, and combined modalities, pose significant risks to auditory function due to their ototoxic effects. Cisplatin, a chemotherapeutic agent commonly used in pediatric oncology, causes dose-dependent irreversible sensorineural hearing loss by damaging the inner ear structures, primarily through the generation of reactive oxygen species and the activation of apoptotic pathways. Radiation therapy exacerbates these effects, contributing to both sensorineural and conductive hearing loss via mechanisms such as vascular injury, inflammation, and fibrosis. The severity of hearing loss is influenced by the treatment timing, the cumulative dose, patient age, genetics, and concurrent therapies. The damaging effects of chemotherapy and radiation extend beyond the cochlea, involving the surrounding temporal bone as well as multiple levels of the auditory pathway. While pediatric patients may be candidates for bone-anchored hearing devices or cochlear implants, the need for serial imaging and the potential for implant-related MRI artifacts can complicate the timing of hearing rehabilitation. Moreover, the impact on the subcortical and cortical auditory structures may further influence the rehabilitation outcomes. This scoping review lays the foundation for future clinical and research efforts focused on the development of comprehensive pediatric guidelines for hearing preservation, monitoring, and rehabilitation, while also fostering multidisciplinary collaboration. Full article
(This article belongs to the Section Childhood, Adolescent and Young Adult Oncology)
Show Figures

Figure 1

20 pages, 5799 KB  
Article
Preparation of Curcumin Nanocomposite Drug Delivery System and Its Therapeutic Efficacy on Skin Injury
by Ye Jin, Yuzhou Liu, Ying Wang, Xintong Liu, Qixuan Yu, Da Liu and Ning Cui
Gels 2025, 11(9), 727; https://doi.org/10.3390/gels11090727 - 11 Sep 2025
Viewed by 525
Abstract
Background: Skin injuries, such as chronic wounds and inflammatory skin diseases, often face limitations in treatment efficacy due to the low efficiency of transdermal drug delivery and insufficient local concentrations. Curcumin (CUR), a natural compound with anti-inflammatory and antioxidant properties, has demonstrated potential [...] Read more.
Background: Skin injuries, such as chronic wounds and inflammatory skin diseases, often face limitations in treatment efficacy due to the low efficiency of transdermal drug delivery and insufficient local concentrations. Curcumin (CUR), a natural compound with anti-inflammatory and antioxidant properties, has demonstrated potential in the repair of skin damage; however, its clinical application is hindered by its physicochemical characteristics. This study constructs a novel nanocomposite drug delivery system: CUR-loaded micellar nanocomposite gel (CUR-M-DMNs-Gel). A composite system is used to achieve the efficient solubilization and enhanced transdermal permeation of CUR, thereby providing a novel formulation approach for the treatment of skin diseases. Methods: CUR-loaded micellar (CUR-M) utilizes CUR as the core active ingredient, which possesses multiple pharmacological effects including anti-inflammatory and antioxidant properties. TPGS serves as a micellar carrier that not only enhances the solubility and stability of CUR through its amphiphilic structure but also facilitates drug absorption and transport within the body. In dissolvable microneedles (DMNs), PVP K30 forms a stable three-dimensional network structure through entanglement of polymer chains, ensuring sufficient mechanical strength for effective penetration of the skin barrier. Meanwhile, PVP K90, with its higher molecular weight, enhances the backing’s support and toughness to prevent needle breakage during application. The incorporation of hyaluronic acid (HA) improves both the moisture retention and adhesion properties at the needle tips, ensuring gradual dissolution and release of loaded CUR-M within the skin. In CUR-loaded micellar gel (CUR-M-Gel), PVP K30 increases both adhesive and cohesive forces in the gel through chain entanglement and hydrogen-bonding interactions. Tartaric acid precisely regulates pH levels to adjust crosslinking density; glycerol provides a long-lasting moisturizing environment for the gel; aluminum chloride enhances mechanical stability and controlled drug-release capabilities; NP-700 optimizes dispersion characteristics and compatibility within the system. Results: In vitro experiments demonstrated that the CUR-M-DMNs-Gel composite system exhibited enhanced transdermal penetration, with a cumulative transdermal efficiency significantly surpassing that of single-component formulations. In the mouse skin defect model, CUR-M-DMNs-Gel facilitated collagen deposition and effectively inhibited the expression of inflammatory cytokines (TNF-α, IL-6, and IL-1β). In the mouse skin photoaging model, CUR-M-DMNs-Gel markedly reduced dermal thickness, alleviated damage to elastic fibers, and suppressed inflammatory responses. Conclusions: The CUR-M-DMNs-Gel system can enhance wound healing through subcutaneous localization, achieving long-term sustained efficacy. This innovative approach offers new insights into the treatment of skin injuries. Full article
(This article belongs to the Special Issue Hydrogels, Oleogels and Bigels Used for Drug Delivery)
Show Figures

Figure 1

25 pages, 6923 KB  
Article
Integration of SBAS-InSAR and KTree-AIDW for Surface Subsidence Monitoring in Grouting Mining Areas
by Shuaiqi Yan, Junjie Chen, Weitao Yan, Chunsu Zhao, Haoyang Li and Hongtao Peng
Remote Sens. 2025, 17(17), 3111; https://doi.org/10.3390/rs17173111 - 6 Sep 2025
Viewed by 799
Abstract
Small Baseline Subset Interferometric Synthetic Aperture Radar (SBAS-InSAR) technology, with its advantages in large-scale and high-precision deformation monitoring, has become an essential tool for monitoring surface subsidence in coal mining areas. To address the issue of missing deformation values resulting from interferometric decoherence [...] Read more.
Small Baseline Subset Interferometric Synthetic Aperture Radar (SBAS-InSAR) technology, with its advantages in large-scale and high-precision deformation monitoring, has become an essential tool for monitoring surface subsidence in coal mining areas. To address the issue of missing deformation values resulting from interferometric decoherence when using InSAR technology for surface subsidence monitoring in mining areas, this study proposes a combined approach integrating SBAS-InSAR with KTree Adaptive Inverse Distance Weighting (KTree-AIDW). The method constructs a dynamic neighborhood search mechanism through the KTree algorithm, considering the spatial heterogeneity between the interpolation points and adjacent sample points, and optimizes the weight distribution of heterogeneous sample points. The study is based on Sentinel-1 data with a 12-day revisit cycle, focusing on the 2021 grouting working face of the Liangbei Mine in Yuzhou, Henan Province, China. The results show the following: (1) Along both the strike and dip lines, the correlation coefficient between the SBAS-InSAR + KTree-AIDW results and leveling result is 0.95, with an overall root mean square error (RMSE) of 22.08 mm and a relative root mean square error (RRMSE) of 9.48%. The Mean Absolute Error (MAE) of characteristic points in the decoherence region is 19.05 mm, indicating a significantly improved accuracy in the decoherence region compared to traditional methods. (2) The cumulative maximum subsidence in the study area reached 233 mm, with an average maximum subsidence rate of 171 mm/yr. The maximum positive/negative inclines were 2.4 mm/m and −2.9 mm/m; the maximum positive/negative curvatures were ±0.18 mm/m2. The surface structures are within the threshold values specified for Class I damage. The proposed method effectively addresses the decoherence issue that leads to missing deformation data in mining areas, providing a novel technical approach to accurate surface subsidence monitoring under grouting and backfilling conditions. Full article
(This article belongs to the Special Issue Advances in Surface Deformation Monitoring Using SAR Interferometry)
Show Figures

Figure 1

24 pages, 8255 KB  
Article
Practical Approach for Formation Damage Control in CO2 Gas Flooding in Asphaltenic Crude Systems
by David Sergio, Derrick Amoah Oladele, Francis Dela Nuetor, Himakshi Goswami, Racha Trabelsi, Haithem Trabelsi and Fathi Boukadi
Processes 2025, 13(9), 2740; https://doi.org/10.3390/pr13092740 - 27 Aug 2025
Viewed by 507
Abstract
CO2 flooding has become a strategic tool for enhanced oil recovery and reservoir management in mature fields. This technique, however, is rarely utilized in asphaltenic crude oil systems, due to the likely occurrence of high asphaltene precipitation. The effect of asphaltene concentrations [...] Read more.
CO2 flooding has become a strategic tool for enhanced oil recovery and reservoir management in mature fields. This technique, however, is rarely utilized in asphaltenic crude oil systems, due to the likely occurrence of high asphaltene precipitation. The effect of asphaltene concentrations and CO2 injection pressures has mostly been the focus of studies in determining asphaltene precipitation rates. However, asphaltene precipitation is not the only direct factor to be considered in predicting the extent of damage in an asphaltenic crude oil system. In this study, a compositional reservoir simulation was conducted using Eclipse 300 to investigate the injection pressure at which asphaltene-induced formation damage can be avoided during both miscible and immiscible CO2 flooding in an asphaltenic crude system. Simulation results indicate that asphaltene-induced permeability reduction exceeded 35% in most affected zones, with a corresponding drop in injectivity of 28%. Cumulative oil recovery improved by 19% compared to base cases without CO2 injection, achieving peak recovery after approximately 4200 days of simulation time. As CO2 was injected below the Minimum Miscibility Pressure (MMP) of 2079.2 psi, a significantly lower asphaltene precipitation was observed near the injector. This could be attributed to the stripping of lighter hydrocarbon components (C2–C7+) occurring in the transition zone at the gas–oil interface. Injecting CO2 at pressures above the MMP resulted in precipitation occurring throughout the entire reservoir at 3200 psia and 1000 bbl/day injection rates. An increase in the injection rate at pressures above the MMP increased the rate of precipitation. However, a further increase in the injection rate from 1000 bbl/day to 4200 bbl/day resulted in a decrease in asphaltene deposition. The pressure drop in the water phase caused by pore throat increase demonstrated that water injection was effective in removing asphaltene deposits and restoring permeability. This work provides critical insights into optimizing CO2 injection strategies to enhance oil recovery while minimizing asphaltene-induced formation damage in heavy oil reservoirs. Full article
Show Figures

Figure 1

16 pages, 1947 KB  
Article
Inhibitory Effects of Aquadag, a Black Carbon Surrogate, on Microbial Growth via Surface-Mediated Stress: Evidence from Adenosine Triphosphate Assay
by Hwangyu Yoo, Saehee Lim, I Seul Cho, Haneul Im, Euna Lee, Siyoung Choi, Han-Suk Kim, Sohee Jeong and Younggyun Choi
Toxics 2025, 13(9), 719; https://doi.org/10.3390/toxics13090719 - 27 Aug 2025
Viewed by 609
Abstract
Black carbon (BC) from incomplete combustion sources including traffic emissions affects human health due to its physical characteristics and ubiquity in urban environments. We examined the effects of BC on microbial growth in the presence of particulate matter (PM), using Aquadag as a [...] Read more.
Black carbon (BC) from incomplete combustion sources including traffic emissions affects human health due to its physical characteristics and ubiquity in urban environments. We examined the effects of BC on microbial growth in the presence of particulate matter (PM), using Aquadag as a surrogate for BC. Brunauer–Emmett–Teller analysis showed BC had a specific surface area of 123.2 m2 g−1, with over 90% of particles smaller than 100 nm, indicating strong surface interaction potential. Pseudomonas aeruginosa PA14 was cultured for 7 days with various BC concentrations and fixed PM. Increasing BC (0–100 ng mL−1) significantly inhibited growth, evidenced by a decline in cellular adenosine triphosphate (cATP) with a slope of −1.296 ± 0.258 cATP ng mL−1/BC ng mL−1. The seven-day mean cATP slope ranged from 77 to 131, with control at 161. The biomass stress index (BSI) increased by 56%, rising from 28.6 ± 8.8% (control) to 44.6 ± 16.1% under high BC. The BSI change was minimal on day 1 (<+0.1% per BC ng mL−1) but greater on days 5 (+0.125 ± 0.052%) and 7 (+0.130 ± 0.075%). BC does not cause immediate microbial death, but prolonged exposure induces cumulative stress, damages synthetic enzymes, inhibits growth, and may lead to cell death, with potential public health implications. Full article
Show Figures

Graphical abstract

13 pages, 2075 KB  
Article
A Multi-Level Nonlinear Cumulative Fatigue Damage Life Prediction Model Considering Load Loading Effects
by Bowen Yang and Junzhou Huo
Materials 2025, 18(17), 3973; https://doi.org/10.3390/ma18173973 - 25 Aug 2025
Viewed by 672
Abstract
Fatigue damage failure is a process where the mechanical properties of different materials continuously degrade under the action of cyclic loads. The cumulative analysis of fatigue damage has a significant impact on the service structure of major equipment. This paper starts from the [...] Read more.
Fatigue damage failure is a process where the mechanical properties of different materials continuously degrade under the action of cyclic loads. The cumulative analysis of fatigue damage has a significant impact on the service structure of major equipment. This paper starts from the mechanism of fatigue damage evolution, comprehensively considers the influence of the order of high-low cycle load mixed cyclic loading on the fatigue life performance, and based on the Manson-Halford nonlinear fatigue damage accumulation theory and the mechanism of relative cumulative damage, a new nonlinear damage accumulation fatigue life model is established, and a fatigue damage accumulation influencing factor Dcr is introduced to improve the prediction accuracy of the model. The new model proposed in this paper is verified through multi-level fatigue load data. By comparing the prediction results with other models under the same experimental conditions, the fatigue life prediction error precision of the new model is the best in similar cases, generally with an error precision between 10% and 20%, which proves the effectiveness and accuracy of the nonlinear damage accumulation model proposed in this paper. At the same time, the improved method in this paper has better stability while ensuring prediction accuracy. Full article
(This article belongs to the Section Mechanics of Materials)
Show Figures

Figure 1

Back to TopTop