Sign in to use this feature.

Years

Between: -

Subjects

remove_circle_outline
remove_circle_outline
remove_circle_outline
remove_circle_outline
remove_circle_outline
remove_circle_outline
remove_circle_outline
remove_circle_outline
remove_circle_outline

Journals

remove_circle_outline
remove_circle_outline
remove_circle_outline
remove_circle_outline
remove_circle_outline
remove_circle_outline
remove_circle_outline
remove_circle_outline
remove_circle_outline
remove_circle_outline
remove_circle_outline
remove_circle_outline
remove_circle_outline
remove_circle_outline
remove_circle_outline
remove_circle_outline
remove_circle_outline
remove_circle_outline
remove_circle_outline
remove_circle_outline
remove_circle_outline
remove_circle_outline

Article Types

Countries / Regions

remove_circle_outline
remove_circle_outline
remove_circle_outline
remove_circle_outline
remove_circle_outline
remove_circle_outline

Search Results (1,483)

Search Parameters:
Keywords = cream

Order results
Result details
Results per page
Select all
Export citation of selected articles as:
18 pages, 14583 KB  
Article
Combined Tribenoside/Lidocaine Rectal Cream (Procto-Glyvenol®) Promotes Tissue Repair in a Preclinical Model of Acute Complicated Anal Fissure
by Ganna Zaychenko, Nazarii Kobyliak, Larysa Natrus, Maksym Tymofieiev, Patrizia Angelico, Stefano Biondi and Matteo Malinverno
Pharmaceuticals 2026, 19(4), 612; https://doi.org/10.3390/ph19040612 - 13 Apr 2026
Viewed by 200
Abstract
Background/Objectives: The objective of this study was to evaluate the efficacy of a rectal cream containing tribenoside and lidocaine (TL) in a rat model of anal fissure (AF) and to investigate the potential mechanisms of its therapeutic action compared with those of [...] Read more.
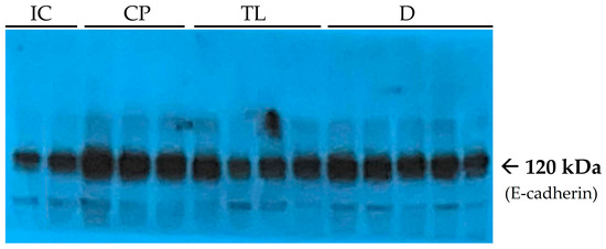
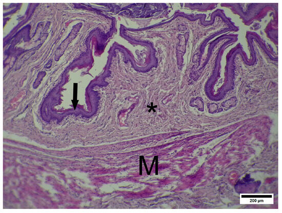
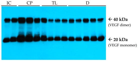
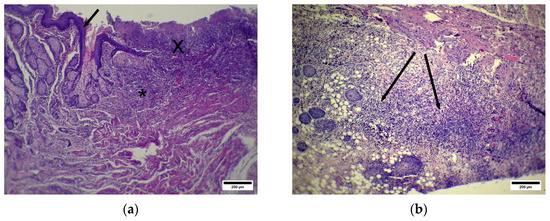
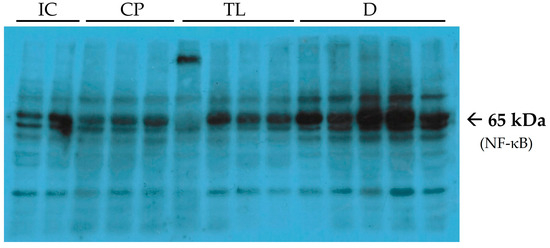
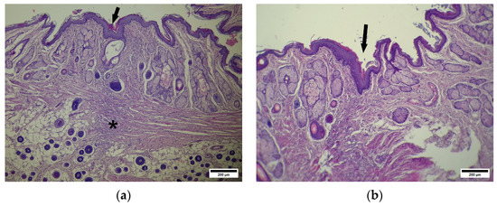
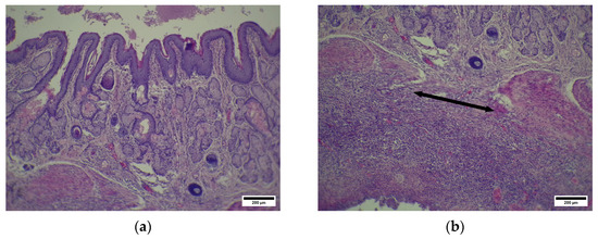
Background/Objectives: The objective of this study was to evaluate the efficacy of a rectal cream containing tribenoside and lidocaine (TL) in a rat model of anal fissure (AF) and to investigate the potential mechanisms of its therapeutic action compared with those of a standard care rectal cream containing 2% diltiazem (D). Methods: Treatment efficacy was assessed via macroscopic methods. The levels of the inflammatory factors IL-6 and IL-10 in the tissues were measured via ELISA. Histology assessment was performed with standard hematoxylin/eosin stain, Masson’s trichrome method and picrosirius stain. The levels of NF-κB, VEGF, TGF-beta 1, HIF-1α and E-cadherin were measured via densitometric immunoblot analysis. Results: The results of this study show that the medical product TL has therapeutic efficacy in a preclinical model of acute complicated AF, which is likely related to its complex composition. The severity of pathology in the TL group was significantly lower than that in the control pathology (CP) group on the eighth day of treatment and remained significantly lower on the 11th and 12th days. There was no statistically significant difference between the TL group and the CP group (p = 0.186 for IL-6 and p = 0.078 for IL-10). The efficacy of TL and D groups showed no statistically significant difference. At the end of the experiment, after 12 days of treatment, the level of the proinflammatory marker NF-κB in the CP group was greater than that in the intact control (IC) group. In turn, the NF-κB level in the TL group was lower than that in the CP group and significantly lower than that in the D group. Other important markers evaluated in this study demonstrated a similar tendency. The histopathological analysis showed that TL ointment promoted superior tissue repair, resulting in healthier anodermal architecture with minimal scarring and reduced fibrosis. Conclusions: This study confirms the potential for conducting further pharmacological studies of the mechanism of action and further clinical trials of the rectal cream TL, which has certain advantages in terms of effectiveness in a model of acute complicated AF. Full article
Show Figures

Graphical abstract

16 pages, 2737 KB  
Article
Microencapsulation of Epidermal Growth Factor (EGF) in Arabic Gum/Gelatine A Coacervates and Its Incorporation into Cosmetics: Evaluation of Skin Barrier Function and Ageing Indicators
by Júlia Cristiê Kessler, Isabel M. Martins, Yaidelin A. Manrique, Sigrún Dögg Gudjónsdóttir, Alírio E. Rodrigues, Maria Filomena Barreiro and Madalena Maria Dias
Cosmetics 2026, 13(2), 89; https://doi.org/10.3390/cosmetics13020089 - 10 Apr 2026
Viewed by 202
Abstract
Epidermal Growth Factor (EGF) plays an important role in skin regeneration and repair by promoting cell proliferation and collagen synthesis. However, its topical application is limited by low stability, susceptibility to degradation, and poor penetration through the stratum corneum due to its hydrophilic [...] Read more.
Epidermal Growth Factor (EGF) plays an important role in skin regeneration and repair by promoting cell proliferation and collagen synthesis. However, its topical application is limited by low stability, susceptibility to degradation, and poor penetration through the stratum corneum due to its hydrophilic nature and relatively large molecular size. Microencapsulation offers a strategy to protect sensitive bioactives and improve their delivery in cosmetic formulations. In this study, EGF was encapsulated in Arabic gum/gelatine A (AG/GE) coacervate microcapsules and incorporated into a hydrating cream. The work extends previous studies using the same microcapsule composition for lipophilic compounds, demonstrating its applicability for a hydrophilic bioactive and highlighting the versatility of the encapsulation platform. The resulting microcapsules exhibited spherical, multinucleated morphology with an encapsulation efficiency of 78.8 + 1.0%. Although diffusion of microencapsulated EGF in the cream could not be directly determined, the formulation showed trends towards improvement in several skin parameters during the volunteer evaluation, including reduction in surface spots (31%), brown spots (21%) and pore visibility (10%), and improved texture (22%). A 25% decrease in transepidermal water loss and a 33% increase in elasticity suggested improved skin barrier function. Volunteers reported high acceptance regarding non-irritancy, texture, and sensory experience. Full article
(This article belongs to the Special Issue Functional Molecules as Novel Cosmetic Ingredients)
25 pages, 6957 KB  
Article
Integrative In Vivo and Proteomic Analysis of a Bovistella utriformis Polysaccharide Formulation Reveals Mechanisms of Enhanced Skin Wound Healing
by Aya Maaloul, Juan Decara, Piedad Valverde-Guillén, Casimiro Cárdenas-García, Cristian Riquelme, Claudia Pérez Manríquez, Antonio Jesús López-Gambero, María Albendea Santana, Manuel Marí-Beffa, Marisel Araya-Rojas, Victor Fajardo and Roberto Teófilo Abdala-Díaz
Molecules 2026, 31(8), 1233; https://doi.org/10.3390/molecules31081233 - 8 Apr 2026
Viewed by 347
Abstract
Natural fungal polysaccharides are increasingly explored as bioactive compounds capable of orchestrating complex regenerative responses during tissue repair. This study aimed to evaluate the in vivo wound-healing efficacy and molecular mechanisms of a topical polysaccharide formulation derived from Bovistella utriformis (Calvatin 2%) using [...] Read more.
Natural fungal polysaccharides are increasingly explored as bioactive compounds capable of orchestrating complex regenerative responses during tissue repair. This study aimed to evaluate the in vivo wound-healing efficacy and molecular mechanisms of a topical polysaccharide formulation derived from Bovistella utriformis (Calvatin 2%) using complementary murine, zebrafish, and proteomic approaches. Phylogenetic analysis based on ITS sequences confirmed the taxonomic identity of the Chilean specimen. In a murine full-thickness excisional wound model, Calvatin 2% significantly accelerated wound contraction and re-epithelialization compared to both saline and base-cream controls, achieving near-complete closure by day 10. Label-free quantitative proteomic analysis of wound tissue by UHPLC-HRMS identified 2432 high-confidence proteins, with 171 upregulated and 153 downregulated proteins in the Calvatin versus control comparison (p < 0.01). Functional enrichment revealed strong activation of innate immune response, complement activation, coagulation cascades, and acute-phase response pathways, while lipid metabolism, mitochondrial energy production, and muscle-related processes were significantly downregulated. KEGG pathway analysis further highlighted complement and coagulation cascades and neutrophil extracellular trap formation as the most prominently affected pathways. In a zebrafish laser-induced wound model, Calvatin induced early and sustained regenerative responses, reaching over 93% wound closure by 18 days post-lesion, significantly outperforming both PBS and vehicle-treated groups. Chronic oral administration of polysaccharides did not induce major hepatic inflammatory responses, supporting systemic safety. Overall, these findings indicate that B. utriformis polysaccharides are associated with modulation of immune- and repair-related pathways together with tissue reprogramming processes that may contribute to accelerated cutaneous regeneration, positioning Calvatin as a promising bioactive formulation for wound-healing applications. Full article
Show Figures

Figure 1

31 pages, 2616 KB  
Review
Agri-Food By-Products in Dairy Sector a Review Focused on Phytochemicals, Extraction Methods Health Benefits and Applications
by Roxana Nicoleta Ratu, Florina Stoica, Bianca Andreea Balint, Ionuț Dumitru Veleșcu, Ioana Cristina Crivei, Sebastian-Paul Lucaci, Florin Daniel Lipșa and Gabriela Râpeanu
Foods 2026, 15(7), 1266; https://doi.org/10.3390/foods15071266 - 7 Apr 2026
Viewed by 364
Abstract
The expansion of the global agri-food industry has led to the generation of large volumes of processing by-products that, although traditionally treated as waste, represent valuable sources of bioactive phytochemicals with potential for sustainable valorisation. This review critically examines the integration of fruit, [...] Read more.
The expansion of the global agri-food industry has led to the generation of large volumes of processing by-products that, although traditionally treated as waste, represent valuable sources of bioactive phytochemicals with potential for sustainable valorisation. This review critically examines the integration of fruit, vegetable, cereal, and dairy processing side streams into functional dairy products. Particular attention is given to recent advances in green and emerging extraction technologies, including ultrasound-assisted extraction, microwave-assisted extraction, and supercritical fluid extraction, with emphasis on their efficiency, environmental performance, and effects on the stability and recovery of phytochemicals. The review also discusses the health-related properties of these bioactive compounds, including antioxidant, anti-inflammatory, and metabolic regulatory effects, in relation to their incorporation into milk, yogurt, cheese, and ice cream matrices. In addition, key barriers to industrial implementation are assessed, including compound stability, sensory constraints, bioavailability, and current regulatory limitations. Beyond direct fortification, the review also considers broader valorisation pathways, such as the biotechnological production of microbial enzymes from agro-industrial biomass, as relevant strategies for supporting circularity. Overall, this review highlights how sustainable extraction approaches and functional dairy innovation can contribute to improving the nutritional value, resource efficiency, and circularity of the dairy sector. Full article
(This article belongs to the Special Issue Biotechnological Production from Agro-Foods and Food By-Products)
Show Figures

Figure 1

16 pages, 2614 KB  
Article
Comprehensive Evaluation of a Mucoadhesive Self-Emulsifying Anhydrous Base for Vaginal Drug Delivery
by Guiyun Song, Yi Liu, Kendice Ip, Ashley Shan, Christine Vu, Kateryna Khokhlova, Oleksandr Zdoryk, Maria Carvalho and Daniel Banov
Pharmaceuticals 2026, 19(4), 585; https://doi.org/10.3390/ph19040585 - 7 Apr 2026
Viewed by 329
Abstract
Background/Objectives: Compounded vaginal creams are widely used for conditions such as hormone replacement therapy, vaginal dryness, low libido, vaginal infections, etc. Recent research highlights the potential of using anhydrous bases to extend shelf life, particularly when combined with self-emulsifying and mucoadhesive properties [...] Read more.
Background/Objectives: Compounded vaginal creams are widely used for conditions such as hormone replacement therapy, vaginal dryness, low libido, vaginal infections, etc. Recent research highlights the potential of using anhydrous bases to extend shelf life, particularly when combined with self-emulsifying and mucoadhesive properties that improve mucosal retention and enhance drug bioavailability. This study provides in vitro and ex vivo evaluation of an anhydrous vaginal base. Methods: Key quality indicators such as irritation potential, leakage potential, pH compatibility, mucoadhesion, and self-emulsification were assessed using the chorioallantoic membrane Hen’s Egg Test, MTT assay, texture analysis, and fluorescence microscopy. Results: The anhydrous vaginal base demonstrated high cell viability (>78%) and non-irritant potential (IS = 2.5) in in vitro assays. It maintained physiological vaginal pH (4.56 ± 0.05), showed strong mucoadhesive properties comparable to commercial products, and exhibited minimal leakage. Ex vivo studies confirmed its prolonged retention on vaginal tissues. The anhydrous vaginal base formed stable emulsions upon contact with vaginal fluid simulant, effectively distributing both lipophilic and hydrophilic compounds. Conclusions: Compared to water-containing bases, an anhydrous vaginal base shows advantages: longer retention time and lower leakage; adaptability to varying vaginal fluid levels; and efficient dispersion of both hydrophilic and lipophilic active pharmaceutical ingredients. These features support its potential use in compounded vaginal products, minimizing stability risks and enhancing patient compliance and therapeutic outcomes. Full article
(This article belongs to the Special Issue Advances in Topical and Mucosal Drug Delivery Systems)
Show Figures

Figure 1

20 pages, 2583 KB  
Article
Organoleptic Evaluation, User Acceptability, and Cosmetic Safety of Physiorelax Forte Plus Formulations in a Pediatric Population
by Jordi Bertrán Novella, David Asensio-Torres, Sonia Palenzuela-Larrarte and Mónica Giménez
Cosmetics 2026, 13(2), 85; https://doi.org/10.3390/cosmetics13020085 - 1 Apr 2026
Viewed by 451
Abstract
Massage relieves stress and anxiety, but also helps to reduce musculoskeletal problems, decreasing tension, in all stages of life. For pediatric use, organoleptic properties, cosmetic safety and user acceptability of topical products are important given the higher frequency of irritative or allergic episodes [...] Read more.
Massage relieves stress and anxiety, but also helps to reduce musculoskeletal problems, decreasing tension, in all stages of life. For pediatric use, organoleptic properties, cosmetic safety and user acceptability of topical products are important given the higher frequency of irritative or allergic episodes in young skin. We evaluate for the first time the comprehensive cosmetic performance of Physiorelax Forte Plus natural formulation in cream, spray and roll-on applied regularly in healthy and active children/adolescents. 210 healthy volunteers were included (150 adults with sensitive skin and 60 children and adolescents [6–16 years]). This three-part, sequential, observational, non-comparative pilot design monitored user experience under real-world conditions: (I) Open-label testing to assess skin compatibility in adults (N = 60); (II) In-use testing in adults for cosmetic acceptability and safety over 14 days (N = 90); (III) In-use testing in children/adolescents for 14 days (N = 60). Outcomes were dermatological assessments for tolerability and user (and/or parents/caregiver(s)-reported) satisfaction/acceptability and perceived benefits. No control group or objective efficacy measures were included. Among pediatric participants, no cutaneous reactions were observed at application sites after 14 days of use. Proxy reporting about consumer satisfaction and acceptability for the range were generally high. Principal component analysis revealed a clear three-cluster structure (sensory, functional, practicality), with roll-on driving the strongest differentiation across items and spray aligning most closely with sensory attributes, while cream showed an intermediate functional profile. The Physiorelax Forte Plus range demonstrated a favorable cosmetic safety profile and consumer acceptability in pediatric use under real-world conditions. Findings are limited by the observational, unblinded design, absence of a control group, and reliance on subjectively reported outcomes; no clinical or pharmaceutical claims are implied. Future controlled studies incorporating objective dermatologic endpoints, benchmark products, and direct child/adolescent reporting are warranted. Full article
(This article belongs to the Section Cosmetic Formulations)
Show Figures

Figure 1

25 pages, 2878 KB  
Article
Human Reliability Analysis in Interaction Design Based on CREAM, FCE, and DEMATEL
by Liping Zhu, Qiaoyi Lin and Yongfeng Li
Appl. Sci. 2026, 16(7), 3326; https://doi.org/10.3390/app16073326 - 30 Mar 2026
Viewed by 201
Abstract
Human reliability analysis of the human–computer interaction process between users and systems is critical because human error can introduce significant system risks. Interaction systems designed with human reliability analysis can reduce human error. This study proposed a research methodology for analyzing human error [...] Read more.
Human reliability analysis of the human–computer interaction process between users and systems is critical because human error can introduce significant system risks. Interaction systems designed with human reliability analysis can reduce human error. This study proposed a research methodology for analyzing human error to design interactive systems that align with users’ cognitive demands. First, the cognitive reliability and error analysis method (CREAM) is used to investigate cognitive function failures and determine the nominal cognitive failure probability. Next, fuzzy comprehensive evaluation (FCE) is used to assess the level of common performance conditions (CPCs). Subsequently, the decision-making trial and evaluation laboratory (DEMATEL) method is employed to compute the factor centrality weights of CPCs and human intrinsic factors (HIFs). The interactions among CPCs are analyzed, leading to the determination of cognitive impact weights. Then, the cognitive failure probability is calculated by combining factor centrality weights and cognitive impact weights. Finally, error causes are analyzed to propose optimization strategies and implement design improvements. An in-vehicle information system was used to validate the proposed approach. The findings revealed that this method effectively minimizes cognitive failure probability during system interaction. It also identifies the causes of human error in human–computer interactions and offers a systematic strategy to enhance human reliability in interaction design. Full article
Show Figures

Figure 1

20 pages, 2120 KB  
Article
Grape Pomace Extract-Loaded Liposomes Enriched Cream Formulations for Skincare
by Cristiana Radulescu, Radu Lucian Olteanu, Ramona-Daniela Pavaloiu, Fawzia Sha’at, Gabriela Stanciu and Mihaela Nechifor (Tudorache)
Antioxidants 2026, 15(4), 421; https://doi.org/10.3390/antiox15040421 - 27 Mar 2026
Viewed by 478
Abstract
This study aims to develop and characterize novel dermatocosmetic formulations designed to hydrate the skin, improve its appearance, reduce wrinkles, and provide antioxidant, anti-ageing, antimicrobial, and anti-inflammatory benefits, along with potential protection against UVA and UVB radiation. The formulations contain the following ingredients: [...] Read more.
This study aims to develop and characterize novel dermatocosmetic formulations designed to hydrate the skin, improve its appearance, reduce wrinkles, and provide antioxidant, anti-ageing, antimicrobial, and anti-inflammatory benefits, along with potential protection against UVA and UVB radiation. The formulations contain the following ingredients: xanthan gum (0.5%), Calendula officinalis oil (5%), Argania spinosa oil (5%), Helianthus annuus oil (5%), liposomes containing a hydroalcoholic extract of pomace from local red or white grapes (2%), an olive oil-based emulsifier (6%), vitamin E (0.5%), cetearyl alcohol (3%), propylene glycol (8%), and purified water (up to 100%). The natural ingredients used in these formulations, i.e., the red or white grape pomace extract from the aforementioned Romanian varieties, the oils of Calendula officinalis, Argania spinosa, and Helianthus annuus, xanthan gum, and the olive oil-based emulsifier (Olliva), promote the concept of ‘green cosmetics’. The use of liposomes to deliver bioactive substances from hydroalcoholic extracts allows the gradual release of active ingredients into the skin. An alternative for incorporating grape pomace extract into a cream-type matrix involves the use of liposomes. Liposomes loaded with red or white grape pomace extract were prepared using the thin-film hydration technique, followed by ultrasonication and extrusion. The obtained formulations were characterized using bio-physico-chemical analysis procedures in terms of consistency, colour, homogeneity, aroma, pH, stretch, texture, stability, and antioxidant activity/free radical scavenging capacity, as well as in vitro polyphenol release behaviour. These newly developed dermatocosmetic formulations were the subject of a patent application in Romania. Full article
(This article belongs to the Special Issue Plant Materials and Their Antioxidant Potential, 3rd Edition)
Show Figures

Graphical abstract

12 pages, 644 KB  
Article
Heat-Treated Strains of Lactiplantibacillus Plantarum Skinbac™ SB01 and Bifidobacterium animalis spp. Lactis Skinbac™ SB05 Visibly Fight Aging Signs Both In Vitro and In Vivo
by Giovanni Deusebio, Annalisa Visciglia, Angela Amoruso and Marco Pane
Cosmetics 2026, 13(2), 76; https://doi.org/10.3390/cosmetics13020076 - 20 Mar 2026
Viewed by 784
Abstract
Background: The skin microbiome plays a crucial role in maintaining barrier function and preventing inflammaging. Heat-treated probiotics offer stability advantages for topical formulations while potentially maintaining bioactive properties. Objective: To evaluate the safety, molecular mechanisms, and clinical efficacy of heat-treated Lactiplantibacillus plantarum [...] Read more.
Background: The skin microbiome plays a crucial role in maintaining barrier function and preventing inflammaging. Heat-treated probiotics offer stability advantages for topical formulations while potentially maintaining bioactive properties. Objective: To evaluate the safety, molecular mechanisms, and clinical efficacy of heat-treated Lactiplantibacillus plantarum Skinbac™ SB01 and Bifidobacterium animalis spp. lactis Skinbac™ SB05 in reducing visible signs of skin aging. Methods: In vitro studies assessed cytotoxicity (MTT/LDH assays), Aquaporin-3 (AQP3) expression, and reactive oxygen species (ROS) production in Normal Human Epidermal Keratinocytes (NHEK). A 30-day open-label clinical study (n = 20 females, 18–70 years) evaluated three formulations (face cream, serum, and eye contour) using instrumental measurements of hydration, elasticity, density, and roughness parameters. Results: In vitro testing showed a significant increase in AQP3 expression (+22% ± 3%, p = 0.03) and a non-significant reduction in ROS levels (−33% ± 9%, p = 0.06) at 107 TFU/well, with no cytotoxicity observed. Clinical evaluation demonstrated statistically significant improvements: eye contour formulation achieved +10.5% deep skin hydration (p < 0.0001) and −11% average roughness (p < 0.0001); serum showed +28.7% immediate hydration (p < 0.0001); and face cream improved gross skin elasticity by +6.3% (p < 0.01). No adverse events were reported. An independent and methodologically distinct placebo-controlled study was included for contextual support and was not directly compared with the present trial; this study evaluated a related 1% postbiotic formulation and reported statistically significant improvements over placebo in roughness, wrinkle depth, hydration, and biomechanical parameters. Conclusions: This pilot study provides preliminary evidence that heat-treated L. plantarum SB01 and B. animalis spp. lactis SB05 formulations could safely improve skin hydration and reduce roughness parameters. While in vitro results show a significant increase in AQP3 expression and an exploratory (non-significant) reduction in ROS levels, larger controlled trials are warranted to confirm clinical efficacy. Full article
(This article belongs to the Special Issue Skin Aging and Dermatosis)
Show Figures

Figure 1

22 pages, 2725 KB  
Article
Exploring Cork Boiling Wastewater for Cosmetic Application
by Sandra Mota, Sara Cravo, Joana Rocha e Silva, Agostinho Almeida, Clara Quintas, Helena N. Ferreira, Maria Elizabeth Tiritan, Honorina Cidade and Isabel Martins de Almeida
Cosmetics 2026, 13(2), 75; https://doi.org/10.3390/cosmetics13020075 - 19 Mar 2026
Viewed by 613
Abstract
Global water scarcity, intensified by population growth, economic development, and climate change, presents a significant challenge, with the cosmetics industry contributing heavily to water demand. Simultaneously, the cork industry generates substantial amounts of cork boiling wastewater (CBW), an acidic effluent with environmental hazards. [...] Read more.
Global water scarcity, intensified by population growth, economic development, and climate change, presents a significant challenge, with the cosmetics industry contributing heavily to water demand. Simultaneously, the cork industry generates substantial amounts of cork boiling wastewater (CBW), an acidic effluent with environmental hazards. This study explored CBW’s potential for cosmetic application, focusing on safety, physicochemical properties, and suitability for incorporation in cosmetic formulations. Three CBW samples (A, B and C) were analyzed for pH, conductivity, turbidity, density, 2,2-diphenyl-1-picrylhydrazyl (DPPH) scavenging activity, and total phenolic content. CBW A displayed suitable physicochemical properties and potential antioxidant activity and was selected for further investigation. Human keratinocyte viability was assessed using CBW A before and after adsorption treatment with silica (TCBW A) to reduce cytotoxicity. CBW A was more toxic to human keratinocytes compared to control water, but treatment improved cell viability. This treatment had minimal impact on physicochemical parameters, aside from reducing phenolic content. Metal concentrations in TCBW A remained within cosmetic safety limits. TCBW A was incorporated into an oil-in-water (O/W) cream, which was further evaluated for pH, droplet size, rheological behavior, textural properties, and stability. The resulting cream was homogeneous, woody-scented, with uniform droplet size and stable after centrifugation. TCBW A incorporation provided suitable rheological behavior and formulation stability after 90 days of storage at 25 °C. These findings indicate that TCBW A has low cytotoxicity, suitable physicochemical properties, and provides stable cosmetic formulations, highlighting its potential as a sustainable ingredient for the cosmetic industry. Full article
(This article belongs to the Section Cosmetic Formulations)
Show Figures

Figure 1

13 pages, 1867 KB  
Article
Screening and Culture Condition Optimization of a Catalpol-Producing Brevundimonas olei
by Jianmin Liu, Mingliang Geng, Yi Chen and Zhenhui Wang
Microbiol. Res. 2026, 17(3), 60; https://doi.org/10.3390/microbiolres17030060 - 19 Mar 2026
Viewed by 253
Abstract
Catalpol, one of the primary bioactive components in Rehmannia glutinosa, is an iridoid glycoside with significant pharmacological activities. To expand the microbial sources of catalpol, endophytic bacteria were isolated from R. glutinosa (cultivated in Jiaozuo, China) using the dilution plating method combined [...] Read more.
Catalpol, one of the primary bioactive components in Rehmannia glutinosa, is an iridoid glycoside with significant pharmacological activities. To expand the microbial sources of catalpol, endophytic bacteria were isolated from R. glutinosa (cultivated in Jiaozuo, China) using the dilution plating method combined with vanillin–sulfuric acid colorimetric assay. High-performance liquid chromatography (HPLC) and liquid chromatography–mass spectrometry (LC-MS) were employed for screening and identification. The isolated strain was identified through morphological characterization and 16S rDNA gene sequence analysis, while single-factor experiments coupled with response surface methodology were utilized to optimize its fermentation conditions. Results indicated that the strain DH14 formed circular, cream-white, opaque colonies and was Gram-negative. It was identified as Brevundimonas olei. The optimal fermentation conditions were determined to be 190 rpm, pH 7.6, 31 °C, and 0% NaCl. Meanwhile, the results revealed a positive correlation between the pH of the fermentation broth and catalpol production. Under the optimized conditions, the maximum catalpol yield reached 0.142 mg/mL after 3 days of cultivation. This study provides a promising microbial resource and optimized fermentation parameters for the microbial production of catalpol. Full article
Show Figures

Figure 1

20 pages, 1013 KB  
Article
Upcycling Roman Chamomile Hydrolate and Apple Pomace Agri-Wastes into Sustainable Cosmetic Ingredients
by Kamil Szymczak, Agnieszka Krajewska, Małgorzata Grzyb, Iga Jodłowska, Katarzyna Mietlińska and Radosław Bonikowski
Antioxidants 2026, 15(3), 380; https://doi.org/10.3390/antiox15030380 - 18 Mar 2026
Viewed by 367
Abstract
The aim of this study was to evaluate the potential of selected agri-food by-products—apple pomace extract from Malus domestica cv. ‘Grochówka’ and Roman chamomile (Chamaemelum nobile L.) hydrolate—as functional, sustainable ingredients for cosmetic applications. The work focused on their chemical composition, biological [...] Read more.
The aim of this study was to evaluate the potential of selected agri-food by-products—apple pomace extract from Malus domestica cv. ‘Grochówka’ and Roman chamomile (Chamaemelum nobile L.) hydrolate—as functional, sustainable ingredients for cosmetic applications. The work focused on their chemical composition, biological activity, formulation performance, and in vivo effects on skin condition. Volatile compounds, phenolic acids, and triterpenoids were analyzed by GC–MS, while total phenolic content, antioxidant capacity, and enzyme inhibitory activity were evaluated in vitro. An oil-in-water emulsion containing the by-products was formulated and, in a 14-day split-face study, assessed for its effects on skin hydration, elasticity, inflammation, sensitivity, pore visibility, and melanin index. Biochemical analyses have shown that chamomile hydrolate is characterized by very low antioxidant activity (DPPH 5.0 ± 1.25%, FRAP 0%) and weak protease inhibition (9.70 ± 1.84%). In contrast, apple extract contained a significant amount of polyphenols (23.94 ± 0.3 mg GAE/g) and showed strong antioxidant properties (DPPH 79.4 ± 2.12%, FRAP 70.56 ± 2.23%; IC50 = 21.5 ± 0.196 mg/mL), which confirms the dominant role of phenolic compounds in its biological activity. This extract also demonstrated significant protease inhibition (60.88 ± 2.35%; IC50 = 15.02 ± 0.47 mg/mL), while its lipase inhibition activity was moderate (10%), which may be beneficial from a cosmetic perspective. The obtained results indicate that apple extract is a valuable raw material with multifaceted biological potential. Overall, the results demonstrate that apple pomace extract and chamomile hydrolate can be effectively valorized as bioactive cosmetic ingredients, supporting both skin health benefits and circular economy principles in sustainable cosmetic formulation. Full article
Show Figures

Figure 1

14 pages, 1836 KB  
Article
Heat Shock Protein 70 Deficient Mice Exhibit Reduced Psoriasis-like Skin Inflammation
by Aikaterini Kalantidou, Maria Kostakou, Michail Deiktakis, Vrettos Chaniotis, Panagiota Goutakoli, George Liapakis, Eirini Dermitzaki, Maria Tzardi and Maria Venihaki
Biomedicines 2026, 14(3), 685; https://doi.org/10.3390/biomedicines14030685 - 17 Mar 2026
Viewed by 360
Abstract
Background/Objectives: Psoriasis is a chronic, systemic, and multifactorial disease affecting approximately 1–2% of the Caucasian population. It is characterized by distinct histopathological features, including epidermal hyperplasia and infiltration of immune cells into the skin. Despite its high prevalence, the underlying mechanisms driving [...] Read more.
Background/Objectives: Psoriasis is a chronic, systemic, and multifactorial disease affecting approximately 1–2% of the Caucasian population. It is characterized by distinct histopathological features, including epidermal hyperplasia and infiltration of immune cells into the skin. Despite its high prevalence, the underlying mechanisms driving psoriasis remain incompletely understood. Heat shock proteins (HSPs), particularly HSP70, are known to play key roles in modulating immune responses and inflammation. Although previous studies have examined the involvement of HSPs in dermatological conditions such as psoriasis, current evidence remains inconclusive. In this study, we aimed to elucidate the role of Hsp70 deficiency in the pathogenesis of psoriasis using an in vivo model. Methods: We used male mice that were either genetically normal (Hsp70+/+) or lacked the Hsp70 gene (Hsp70−/−) at 8–12 weeks of age. Psoriasis was induced by applying imiquimod cream daily for 7 days. At the end of this period mice were sacrificed and blood and tissue collected for further analysis. The severity of the psoriasis was evaluated daily using the PASI Score. Results: Hsp70 depletion was accompanied by significantly decreased psoriatic-like skin inflammation, fewer histological abnormalities, and lower PASI scores. Flow cytometry analysis revealed a decrease in LY6C+ monocytes and an increase in LY6G+ neutrophils infiltration in Hsp70-deficient mice. In addition, HSP60 expression was lower in the absence of HSP70, while HSP90 expression was markedly elevated. Conclusions: These results point to a significant regulatory function of HSP70 in psoriatic inflammation and raise the possibility that it could be a therapeutic target. Full article
(This article belongs to the Section Cell Biology and Pathology)
Show Figures

Figure 1

16 pages, 750 KB  
Article
Immobilized Lacticaseibacillus paracasei on Sunflower Seeds as a Stable Functional Ingredient for Cream Cheese
by Chrysoula Pavlatou, Anastasios Nikolaou and Yiannis Kourkoutas
Microorganisms 2026, 14(3), 671; https://doi.org/10.3390/microorganisms14030671 - 16 Mar 2026
Viewed by 421
Abstract
During the last few decades, an urgent need for sustainable and health-promoting food products has been witnessed. In this vein, the development of functional foods enriched with probiotics has gained considerable interest from both the food industry and consumers. However, the maintenance of [...] Read more.
During the last few decades, an urgent need for sustainable and health-promoting food products has been witnessed. In this vein, the development of functional foods enriched with probiotics has gained considerable interest from both the food industry and consumers. However, the maintenance of high cell viability until the time of consumption remains a significant challenge. In this study, freeze-dried immobilized Lacticaseibaciilus paracasei FBM_1327 cells on sunflower seeds were evaluated as a functional food ingredient, and their ability to survive during simulated digestion and storage at ambient and refrigerated temperatures in comparison to free cells was assessed. Cell immobilization resulted in higher survival rates (>70%) after in vitro digestion compared to free cells (<40%), while the freeze-dried immobilized cells maintained in cell levels >7.5 log cfu/g during storage for 6 months at 4 °C. In the next step, freeze-dried free or immobilized cells were incorporated in cream cheese (CCF and CCI samples, respectively) at a concentration of >8 log cfu/g. Cell viability of the immobilized cells remained stable (>8.1 log cfu/g) during storage, while live cell counts of free cells dropped to 7.51 ± 0.11 log cfu/g after 28 days. The fortification of cream cheese with immobilized L. paracasei FBM_1327 cells on sunflower seeds improved the volatile compounds profile, while all samples were accepted by the panel during the sensory evaluation. Full article
(This article belongs to the Special Issue Microbiome Innovations in Food Systems for a Green Future)
Show Figures

Graphical abstract

25 pages, 3335 KB  
Article
Influence of Microfluidization Process and Oil Type on the Physicochemical Properties of Nanoemulsions and Their Films
by Hewa Pathiranage Dilani Thilanka Hewa Pathirana, Anna Zimoch-Korzycka, Dominika Kulig, Anna Maria Krawczyk, Shima Vahedi and Magdalena Zyzak
Polymers 2026, 18(6), 717; https://doi.org/10.3390/polym18060717 - 16 Mar 2026
Viewed by 451
Abstract
This study aimed to evaluate the influence of microfluidization cycles and oil type on the physicochemical characteristics of nanoemulsions and the properties of alginate-based edible films. Two types of oil (1%), coconut oil and coconut testa oil, were used for nanoemulsion preparation with [...] Read more.
This study aimed to evaluate the influence of microfluidization cycles and oil type on the physicochemical characteristics of nanoemulsions and the properties of alginate-based edible films. Two types of oil (1%), coconut oil and coconut testa oil, were used for nanoemulsion preparation with Tween 80 and Span 20 (3:2). The emulsions were processed using different numbers of microfluidization cycles (0, 1, 2, and 3) and subsequently mixed with 2% sodium alginate in a 1:1 ratio to obtain film-forming solutions. The film-forming solution containing testa oil showed a particle size of 135.60 ± 37.87 nm, zeta potential of −22.14 ± 3.09 mV, whiteness index of 79.92 ± 2.20, and a creaming index of 0%. These systems produced flexible edible films with significantly (p < 0.05) higher elongation at break (1.35 ± 0.17%) and puncture force (2.40 ± 0.32 N), as well as lower water vapor permeability (4.7 × 10−7 ± 0.56 × 10−7 g m−1 h−1 Pa−1). Fourier Transform Infrared (FTIR) spectroscopy and Scanning Electron Microscopy (SEM) analyses indicated that both the number of microfluidization cycles and the type of oil significantly (p < 0.05) influenced the structural and physicochemical characteristics of the resulting edible films. Full article
(This article belongs to the Section Polymer Applications)
Show Figures

Figure 1

Back to TopTop