Sign in to use this feature.

Years

Between: -

Subjects

remove_circle_outline
remove_circle_outline
remove_circle_outline
remove_circle_outline
remove_circle_outline
remove_circle_outline
remove_circle_outline
remove_circle_outline
remove_circle_outline

Journals

remove_circle_outline
remove_circle_outline
remove_circle_outline
remove_circle_outline
remove_circle_outline
remove_circle_outline
remove_circle_outline
remove_circle_outline
remove_circle_outline
remove_circle_outline
remove_circle_outline
remove_circle_outline
remove_circle_outline
remove_circle_outline
remove_circle_outline
remove_circle_outline
remove_circle_outline
remove_circle_outline
remove_circle_outline
remove_circle_outline

Article Types

Countries / Regions

remove_circle_outline
remove_circle_outline
remove_circle_outline
remove_circle_outline
remove_circle_outline
remove_circle_outline

Search Results (2,635)

Search Parameters:
Keywords = colorectal cancer development

Order results
Result details
Results per page
Select all
Export citation of selected articles as:
18 pages, 3562 KB  
Article
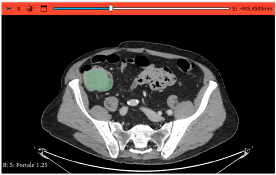
Prediction of Microsatellite Instability in Colorectal Cancer Using Two Internally Validated Radiomic Models
by Antonio Galluzzo, Ginevra Danti, Linda Calistri, Diletta Cozzi, Daniele Lavacchi, Daniele Rossini, Lorenzo Antonuzzo, Sebastiano Paolucci, Francesca Castiglione, Luca Messerini, Fabio Cianchi and Vittorio Miele
Tomography 2025, 11(11), 126; https://doi.org/10.3390/tomography11110126 - 13 Nov 2025
Abstract
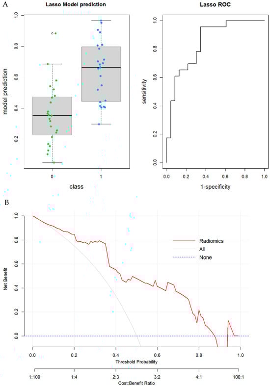
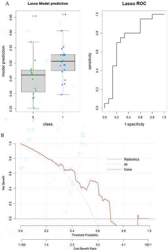
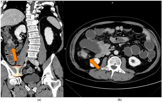
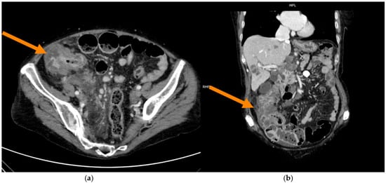
Objectives: To develop two different radiomic models based on preoperative contrast-enhanced computed tomography (PP CT) to predict microsatellite instability (MSI) in patients with colorectal cancer (CRC) before surgery. Methods: PP CT scans of 115 CC patients were segmented using 3DSlicer (v5.6.1). Model I [...] Read more.
Objectives: To develop two different radiomic models based on preoperative contrast-enhanced computed tomography (PP CT) to predict microsatellite instability (MSI) in patients with colorectal cancer (CRC) before surgery. Methods: PP CT scans of 115 CC patients were segmented using 3DSlicer (v5.6.1). Model I included images from three different scanners (GE, Siemens, Philips), while Model II used only one scanner (GE). For Model I, 80 patients were used for training and 35 for internal validation; for Model II, 46 and 24 patients were used, respectively. Data on sex, age, tumour location, and MSI genomic status were collected. A total of 107 radiomic features (RFs) were extracted, and 30 and 35 RFs were identified as relevant for Models I and II, respectively, using the t-test or Mann–Whitney test (p < 0.05). The most robust RFs were selected using the LASSO regression method. Both models were internally validated. Results: Model I, based on 2 RFs and 1 clinical feature (LOCATION) achieved an AUC of 0.76 (95% CI: 0.65–0.87) in the training cohort and 0.74 (95% CI: 0.56–0.92) in the validation cohort. Model II, based on 3 RFs, achieved an AUC of 0.85 (95% CI: 0.73–0.96) in the training cohort and 0.72 (95% CI: 0.50–0.94) in the validation cohort. Conclusions: Both radiomic models showed good performance in distinguishing between MSI and non-MSI tumours, potentially reducing the need for invasive histological testing and improving treatment timing. Despite achieving a higher AUC, Model II showed signs of overfitting when compared to Model I, which incorporated two RFs and one clinical feature (LOCATION). Radiomics may function as a non-invasive preoperative screening tool to inform decisions regarding MSI testing and treatment. Building radiomic models on larger, more diverse datasets is preferable to enhance generalizability and reduce overfitting. Full article
(This article belongs to the Section Abdominal Imaging)
Show Figures

Figure 1

15 pages, 458 KB  
Review
GLP-1 Receptor Agonists in Solid Tumour Therapy: Exploring Their Anticancer Potential and Underlying Molecular Pathways
by Daniela Lucente, Stefania Bellino and Anna La Salvia
Genes 2025, 16(11), 1352; https://doi.org/10.3390/genes16111352 - 10 Nov 2025
Viewed by 271
Abstract
Glucagon-like peptide-1 receptor agonists (GLP-1 RAs), initially developed to treat type 2 diabetes mellitus, are now being investigated as agents in oncology. Recent preclinical studies have demonstrated their antitumor activity in several solid malignancies, including pancreatic, colorectal, breast, and prostate. Importantly, GLP-1 RAs [...] Read more.
Glucagon-like peptide-1 receptor agonists (GLP-1 RAs), initially developed to treat type 2 diabetes mellitus, are now being investigated as agents in oncology. Recent preclinical studies have demonstrated their antitumor activity in several solid malignancies, including pancreatic, colorectal, breast, and prostate. Importantly, GLP-1 RAs modulate key signalling pathways such as PI3K/Akt, PKA, and AMPK, and exert anti-inflammatory effects by reducing cytokine production and macrophage infiltration. Preclinical data support their antineoplastic activity in vitro and in vivo, particularly by inhibiting tumour growth and metastasis. Nevertheless, there are ongoing concerns about tumorigenic effects in certain cancer types. This review critically examines the molecular mechanisms by which GLP-1 RAs influence cancer cell proliferation, apoptosis, angiogenesis, and inflammation, and emphasizes the need for further clinical studies to determine their therapeutic relevance. It also proposes assessing GLP-1 RAs as adjuncts in the management of solid tumours. Full article
(This article belongs to the Section Pharmacogenetics)
Show Figures

Figure 1

23 pages, 707 KB  
Review
Beyond Rodents: Alternative Animal Models in Colorectal Cancer Research
by Wei Xiong, Solène Favier, Ting Wu, Frédérique Ponce, Charles Dumontet, Marie Alexandra Albaret, Frédéric Hollande, Jean-Jacques Diaz and Hichem C. Mertani
Int. J. Mol. Sci. 2025, 26(22), 10874; https://doi.org/10.3390/ijms262210874 - 9 Nov 2025
Viewed by 177
Abstract
Colorectal cancer (CRC) is the third most common cancer worldwide, imposing a significant burden on public health. Despite the use of various therapeutic strategies, the prognosis for patients with metastatic and drug-resistant CRC remains poor, which underscores the need for further investigations into [...] Read more.
Colorectal cancer (CRC) is the third most common cancer worldwide, imposing a significant burden on public health. Despite the use of various therapeutic strategies, the prognosis for patients with metastatic and drug-resistant CRC remains poor, which underscores the need for further investigations into cancer mechanisms to develop more effective treatments. Rodents, particularly mice, are the most frequently used animal models for CRC research. However, as the demand for more precise simulations and higher ethical standards in animal experimentation grows, the applicability of rodent models may face increasing limitations. This review highlights a variety of non-rodent animals, including model organisms such as zebrafish (Danio rerio), fruit flies (Drosophila melanogaster), and Caenorhabditis elegans (C. elegans), as well as the chorioallantoic membrane (CAM) model and mammals such as rabbits (Oryctolagus cuniculus), dogs (Canis lupus familiaris), and pigs (Sus scrofa domesticus), which have been utilized in CRC research. Each of these alternatives offers specific advantages in certain areas of cancer research. Their use has enabled new insights into the mechanisms of carcinogenesis, metastasis, and drug resistance in CRC, as well as the development of novel therapies. Full article
(This article belongs to the Special Issue Cancer Models: Development and Applications)
Show Figures

Figure 1

23 pages, 4080 KB  
Article
Contrasting Impacts of Targeted Disruption of the Cancer Stem Cell Marker CD133 and Its Epigenetic Regulator TRIM28 in Colorectal Cancer Cells
by Irina V. Kholodenko, Aleena A. Saidova, Daria M. Potashnikova, Viktoriia A. Arzumanian, Daniil D. Romashin, Anna V. Tvorogova, Ekaterina V. Poverennaya, Konstantin N. Yarygin and Yan S. Kim
Int. J. Mol. Sci. 2025, 26(22), 10862; https://doi.org/10.3390/ijms262210862 - 9 Nov 2025
Viewed by 215
Abstract
Cancer stem cells (CSCs) play a crucial role in colorectal cancer by sustaining intratumoral heterogeneity, therapeutic resistance, and metastatic potential. CD133 (PROM1) is among the most frequently used surface markers for CSC identification, whereas TRIM28, a versatile epigenetic regulator, has been implicated in [...] Read more.
Cancer stem cells (CSCs) play a crucial role in colorectal cancer by sustaining intratumoral heterogeneity, therapeutic resistance, and metastatic potential. CD133 (PROM1) is among the most frequently used surface markers for CSC identification, whereas TRIM28, a versatile epigenetic regulator, has been implicated in controlling CD133 expression and stem-like features. In this study, we performed a detailed molecular and functional analysis of Caco2 colorectal cancer cell clones with individual knockouts of CD133 or TRIM28. Elimination of CD133 neither altered global gene expression, as confirmed by transcriptome profiling, nor affected key cellular properties. In contrast, loss of TRIM28 led to a marked reduction in CD133 protein abundance and induced extensive molecular and phenotypic remodeling. TRIM28 knockout was associated with broad transcriptomic changes involving more than 500 differentially expressed genes, decreased proliferative activity monitored by time-lapse imaging, and reduced sensitivity to paclitaxel, cisplatin, and curcumin. Furthermore, immune evasion molecules CD24 and CD47 (“don’t eat me” signals) were strongly upregulated in TRIM28-deficient cells, consistently confirmed by both RNA-Seq and flow cytometry analyses. At the same time, imaging flow cytometry and mitochondrial activity assays indicated that these effects were not due to major shifts in mitotic index or bioenergetic status. Altogether, our results demonstrate that TRIM28, rather than CD133, functions as a central regulator of CSC-associated phenotypes in colorectal cancer. These findings highlight the importance of epigenetic context in CSC biology and may inform the development of more effective therapeutic strategies. Full article
Show Figures

Figure 1

14 pages, 2132 KB  
Article
Peripheral Blood TCR Clonotype Diversity as a Biomarker for Colorectal Cancer
by Gaochen Zhu, Tao Chen, Chen Ma, Kai Liu, Bihui Huang and Guan Yang
Bioengineering 2025, 12(11), 1215; https://doi.org/10.3390/bioengineering12111215 - 7 Nov 2025
Viewed by 291
Abstract
There exists an urgent need to improve colorectal cancer (CRC) diagnosis due to limitations in current diagnostic approaches. Systematic characterization of the human T cell receptor (TCR) repertoire, coupled with advanced computational methods, provides a promising opportunity to develop more accurate and less [...] Read more.
There exists an urgent need to improve colorectal cancer (CRC) diagnosis due to limitations in current diagnostic approaches. Systematic characterization of the human T cell receptor (TCR) repertoire, coupled with advanced computational methods, provides a promising opportunity to develop more accurate and less invasive diagnostic strategies for this major malignancy. The main objective of this work is to establish a TCR repertoire-based diagnostic model for CRC using machine learning algorithms and to identify the most significant features contributing to accurate diagnosis. Through comprehensive comparative analysis of several machine learning algorithms, our results demonstrated that the Transformer model exhibited superior performance capabilities. The trained model achieved an area under the receiver operating characteristic curve (AUC) of 0.973 in predicting disease status in the internal test set. Furthermore, TCR repertoire analysis from the independent test set demonstrated robust predictions with an AUC of 0.814. Notably, we identified a panel of 50 TCR repertoire features that showed a diagnostic AUC of 0.869 using these 50 TCR CDR3 sequences. Together, this TCR repertoire-based disease model demonstrates significant potential for clinical applications in CRC diagnosis and treatment response monitoring. Furthermore, similar diagnostic models could be established for other immune-related diseases based on disease-specific TCR repertoire data. Full article
Show Figures

Figure 1

15 pages, 287 KB  
Study Protocol
Role of Bisphenol A in the Development and Progression of Colorectal Cancer: Possible Sex-Specific Effects of Endogenous and Exogenous Estrogens
by Elisabetta Iessi, Camilla Cittadini, Francesca Maranghi, Roberta Tassinari, Egidio Iorio, Rossella Puglisi, Gianfranco Mattia, Gianluca Frustagli, Lucia Coppola, Gabriele Lori, Cinzia La Rocca, Daniele Marcoccia, Marta Mollari, Flavia Silvia Galli, Maria Teresa Martino, Cosima Chiapperino, Laura Trilli, Pierpaolo Toto, Alessia Sgroi, Sara Di Matteo, Davide Brocco, Nicola Tinari, Elena Ortona and Paola Matarreseadd Show full author list remove Hide full author list
Biomedicines 2025, 13(11), 2717; https://doi.org/10.3390/biomedicines13112717 - 5 Nov 2025
Viewed by 304
Abstract
Background: Colorectal cancer (CRC) is more prevalent in men, and premenopausal women have a better prognosis than both men and postmenopausal women, suggesting a protective effect of estrogen. Humans are exposed to estrogen-like contaminants such as bisphenol A (BPA), a chemical used [...] Read more.
Background: Colorectal cancer (CRC) is more prevalent in men, and premenopausal women have a better prognosis than both men and postmenopausal women, suggesting a protective effect of estrogen. Humans are exposed to estrogen-like contaminants such as bisphenol A (BPA), a chemical used in the production of plastics that has been linked to hormone-related malignancies (e.g., breast, ovarian, and prostate cancers). The natural flavonolignan compound silibinin (SIL), acting as an estrogen agonist, may play a protective role in CRC in one or both sexes. Objectives: To explore the possible association between BPA and CRC, focusing on its potential pro-tumor role and possible gender differences. Analyzing the possible protective effects of SIL on the development of CRC is the secondary objective of the project. Methods: To shed light on the interaction between sex and estrogens, both endogenous and exogenous, in the onset of CRC. To this end, we combined ex vivo, in vitro, and in vivo approaches to deepen our understanding of the molecular mechanisms involved. Conclusions: The data provided by this study will contribute to understanding the role of estrogens and their receptors in the onset and progression of CRC and the potential protective role of SIL in both sexes. Full article
Show Figures

Graphical abstract

29 pages, 2146 KB  
Review
Intestinal Mucin Glycosylation: Structural Regulation, Homeostasis Maintenance and Disease Association
by Yunye Li, Jia Pan, Huimin Liu and Chuanguo Liu
Biomolecules 2025, 15(11), 1552; https://doi.org/10.3390/biom15111552 - 5 Nov 2025
Viewed by 583
Abstract
The intestinal barrier is a complex configuration that defends against external assaults and maintains intestinal health. Disruption of barrier function can lead to intestinal inflammation and various diseases. Mucins are the primary structural components of the intestinal barrier, and their extensive glycosylation is [...] Read more.
The intestinal barrier is a complex configuration that defends against external assaults and maintains intestinal health. Disruption of barrier function can lead to intestinal inflammation and various diseases. Mucins are the primary structural components of the intestinal barrier, and their extensive glycosylation is critical for their protective function. Mucin glycans enhance the physicochemical integrity of the mucus barrier, protect against enzymatic degradation, modulate host immune responses, and shape the gut microbiota by providing adhesion sites and selective nutrient sources. While proper glycosylation maintains barrier integrity, supports a balanced microbial ecosystem, and limits unnecessary immune activation, its disruption leads to compromised barrier function, microbial dysbiosis, increased intestinal permeability, and ultimately contributes to the development of chronic colitis and colorectal cancer. Therefore, mucin glycosylation plays a crucial role in preserving intestinal barrier integrity and preventing colonic diseases. This review summarizes the classifications and structural features of intestinal mucin glycosylation, elucidates their roles in maintaining barrier function and their pathological alterations in intestinal disorders, and highlights the implications of mucin glycosylation for precision diagnosis and targeted therapy of intestinal diseases. Full article
(This article belongs to the Section Molecular Biology)
Show Figures

Figure 1

19 pages, 2231 KB  
Article
Electrochemical Tracking of Macrophage Migration Inhibitory Factor: A Leap Toward Precision Colorectal Cancer Diagnosis and Prognosis
by Eloy Povedano, Antonino-Biagio Carbonaro, Verónica Serafín, María Gamella, Alessandro Giuffrida, Ana Montero-Calle, José Manuel Pingarrón, Rodrigo Barderas and Susana Campuzano
Biosensors 2025, 15(11), 739; https://doi.org/10.3390/bios15110739 - 4 Nov 2025
Viewed by 374
Abstract
Colorectal cancer (CRC) remains a significant global health burden, mainly due to late diagnosis and chemotherapy resistance. Macrophage migration inhibitory factor (MIF), a proinflammatory cytokine associated with tumor progression, has emerged as a promising biomarker in CRC. However, its clinical utility is limited [...] Read more.
Colorectal cancer (CRC) remains a significant global health burden, mainly due to late diagnosis and chemotherapy resistance. Macrophage migration inhibitory factor (MIF), a proinflammatory cytokine associated with tumor progression, has emerged as a promising biomarker in CRC. However, its clinical utility is limited by the lack of rapid and accessible detection methods. In this study, we report an electrochemical immunotechnology for the sensitive and selective quantification of MIF protein in CRC tissue samples. By combining magnetic microparticles (MMPs), antibody-based recognition, horseradish peroxidase (HRP) labeling, and amperometric transduction at disposable screen-printed carbon electrodes (SPCEs), the developed methodology displayed a linear dynamic range from 0.24 to 20 ng mL−1, enabling quantification across clinically relevant MIF levels, and achieving a low limit of detection (0.07 ng mL−1). In addition, the developed method is the only one reported for MIF assembled on MMPs and addresses its determination in a relevant oncological scenario (paired non-tumoral (NT) and tumoral (T) tissues from individuals diagnosed with CRC at different stages of the disease). The analysis, requiring only 100 ng of tissue extract, allowed efficient discrimination between NT and T paired tissues, and successfully differentiated between healthy, early (I–II) and advanced (III–IV) CRC stages, achieving these results in just 105 min. Full article
(This article belongs to the Special Issue In Honor of Prof. Evgeny Katz: Biosensors: Science and Technology)
Show Figures

Graphical abstract

46 pages, 10549 KB  
Review
Detection of Protein and Metabolites in Cancer Analyses by MALDI 2000–2025
by Dorota Bartusik-Aebisher, Daniel Roshan Justin Raj and David Aebisher
Cancers 2025, 17(21), 3524; https://doi.org/10.3390/cancers17213524 - 31 Oct 2025
Viewed by 406
Abstract
Cancer metabolomics has become a powerful way of understanding tumor biology, identifying biomarkers and metabolites, and helping precision oncology. Matrix-assisted laser desorption/ionization mass spectrometry (MALDI-MS), among many other analytical platforms, has gained popularity over the past two and a half decades due to [...] Read more.
Cancer metabolomics has become a powerful way of understanding tumor biology, identifying biomarkers and metabolites, and helping precision oncology. Matrix-assisted laser desorption/ionization mass spectrometry (MALDI-MS), among many other analytical platforms, has gained popularity over the past two and a half decades due to its unique ability of directly analyzing metabolites in tissue with spatial resolution. This review will study 2000–2025 MALDI-based strategies for cancer metabolite detection, spanning from early proof-of-concept protein profiling to the development of high-resolution MALDI-MS imaging (MALDI-MSI), which is capable of mapping thousands of metabolites at near single-cell resolution. Its applications include the differentiation of tumor versus normal tissue, discovery of stage and subtype specific biomarkers, mapping of metabolic heterogeneity, and the visualization of drug metabolism in situ. Breakthrough technological milestones, such as the advanced matrices, on-tissue derivatization, MALDI-2 post-ionization, and the integration with Orbitrap or Fourier-transform ion cyclotron resonance (FT-ICR) platforms, have significantly improved the overall sensitivity, metabolite coverage, and spatial fidelity. Clinically, MALDI-MS has shown its purpose in breast, prostate, colorectal, lung, and liver cancers by providing metabolic fingerprints that are linked to tumor microenvironments, hypoxia, and therapeutic response. However, challenges such as the inclusion of matrix interface with low-mass metabolites, limited quantitation, ion suppression, and the lack of standardized procedures do not yet allow for the transition from translation to routine diagnostics. Even with these hurdles, the future of MALDI-MS in oncology remains in a good position with major advancements in multimodal imaging, machine learning-based data integration, portable sampling devices, and clinical validation studies that are pushing the field towards precision treatment. Full article
(This article belongs to the Special Issue New Biomarkers in Cancers 2nd Edition)
Show Figures

Figure 1

21 pages, 4399 KB  
Article
Sodium Carboxymethyl Cellulose-Stabilised Multiple Emulsions with pH-Sensitive Behaviour, Enhanced Stability and Mucoadhesion for Oral Delivery of Chemopreventive Agents
by Agnieszka Markowska-Radomska, Konrad Kosicki and Ewa Dluska
Pharmaceutics 2025, 17(11), 1401; https://doi.org/10.3390/pharmaceutics17111401 - 29 Oct 2025
Viewed by 485
Abstract
Background/Objectives: The oral administration of chemopreventive agents for colorectal cancer (CRC) remains limited by their low solubility, instability, and limited intestinal absorption. This study develops sodium carboxymethyl cellulose (CMC)-stabilised water-in-oil-in-water (W/O/W) multiple emulsions as pH-responsive carriers for co-delivery of resveratrol and selenium—two complementary [...] Read more.
Background/Objectives: The oral administration of chemopreventive agents for colorectal cancer (CRC) remains limited by their low solubility, instability, and limited intestinal absorption. This study develops sodium carboxymethyl cellulose (CMC)-stabilised water-in-oil-in-water (W/O/W) multiple emulsions as pH-responsive carriers for co-delivery of resveratrol and selenium—two complementary chemopreventive compounds. Methods: Multiple emulsions differing in droplet size (small-droplet emulsions, SDE; large-droplet emulsions, LDE) and CMC concentration (0.0–0.5% w/w) are prepared in a Couette–Taylor Flow contactor. The study involves physicochemical characterisation of emulsions (droplet size, stability, rheological behaviour, ζ-potential, encapsulation efficiency), evaluation of release profiles under simulated gastric pH (2.0) and intestinal pH (7.0) conditions, including pathological environments (pH = 5.5), and ex vivo assessment of mucoadhesion using porcine intestinal tissue. Results: SDE and LDE containing CMC (0.0–0.5% w/w) exhibit a complex “drop-in-drop” structure, with Sauter mean diameters of approximately 9–12 μm and 23–25 μm, respectively, and high encapsulation efficiencies (>91%). Increasing CMC concentration enhances viscosity and induces more negative ζ-potential, confirming polymer adsorption at the oil–water interface. Under simulated gastric pH = 2.0, compound release remains limited (≤15%), whereas gradual/sustained release is observed under simulated intestinal pH (5.5/7.0). Mucoadhesion increases with polymer concentration, reaching ~90% for SDE and ~70% for LDE at 0.5% w/w CMC, and remains above 50% under simulated pathological conditions. Conclusions: The study demonstrates that CMC incorporation improves the structural stability, modulates the release behaviour, and enhances the mucoadhesive properties of W/O/W multiple emulsions. These findings suggest that CMC-stabilised emulsions may be further explored as oral delivery vehicles for CRC chemoprevention. Full article
(This article belongs to the Section Drug Delivery and Controlled Release)
Show Figures

Graphical abstract

24 pages, 11915 KB  
Article
Anti-Metastatic Effects of Plukenetia volubilis (Sacha Inchi) Husk Extract via EGFR and EMT Pathways and Other Antitumor Effects in Colon Cancer
by Supawadee Osotprasit, Saowaros Suwansa-Ard, Scott F. Cummins, Tianfang Wang, Tepparit Samrit, Athit Chaiwichien, Stuart J. Smith, Narin Changklungmoa and Pornanan Kueakhai
Int. J. Mol. Sci. 2025, 26(21), 10514; https://doi.org/10.3390/ijms262110514 - 29 Oct 2025
Viewed by 244
Abstract
Colorectal cancer treatment primarily relies on chemotherapy, which often causes significant side effects. Sacha inchi, a plant known in traditional medicine, has shown promise in various therapeutic applications. However, despite its potential, the specific mechanisms remain poorly understood, particularly regarding its husk components. [...] Read more.
Colorectal cancer treatment primarily relies on chemotherapy, which often causes significant side effects. Sacha inchi, a plant known in traditional medicine, has shown promise in various therapeutic applications. However, despite its potential, the specific mechanisms remain poorly understood, particularly regarding its husk components. This study investigates sacha inchi husk extract’s chemical properties and its effects on human colorectal cancer cells. GC/MS and LC/MS analyses revealed a rich profile of phenolic and flavonoid compounds, with naringenin and lidocaine as predominant components. The extract demonstrated significant dose-dependent inhibition of colorectal cell migration, invasion, and colony formation while exhibiting no cytotoxicity toward normal colon epithelial cells. Transcriptomic and proteomic analyses showed downregulation of migration- and invasion-related genes in cancer cells, and Western blot analysis confirmed reduced expression of MMP2, MMP9, and N-cadherin. EGFR pathway analysis showed decreased expression of RAS (−0.2-fold), MAK (−0.26-fold), and ERK (−0.54-fold) genes, indicating suppression of epithelial–mesenchymal transition (EMT). These findings demonstrate that sacha inchi husk extract effectively inhibits metastasis in colorectal cancer cells through the upstream (EGFR) and downstream (EMT) pathways, suggesting its potential as a dietary supplement or therapeutic agent for colorectal cancer treatment. Our research provides evidence for the development of natural, less toxic alternatives. Full article
(This article belongs to the Special Issue Bioactive Compounds and Their Anticancer Effects)
Show Figures

Figure 1

29 pages, 893 KB  
Review
Advances in Hereditary Colorectal Cancer: How Precision Medicine Is Changing the Game
by Shenghao Lin, Chenxi Zhou, Hanlin Chen, Xinlei Zhou, Hujia Yang, Leitao Sun, Leyin Zhang and Yuxin Zhang
Cancers 2025, 17(21), 3461; https://doi.org/10.3390/cancers17213461 - 28 Oct 2025
Viewed by 539
Abstract
Only about 5% of colorectal cancers are hereditary, which is due to the low carrier rate of pathogenic gene mutations. The typical pattern of these cases is intergenerational aggregation within families and early onset. But public awareness of early diagnosis and intervention of [...] Read more.
Only about 5% of colorectal cancers are hereditary, which is due to the low carrier rate of pathogenic gene mutations. The typical pattern of these cases is intergenerational aggregation within families and early onset. But public awareness of early diagnosis and intervention of HCRC is insufficient, resulting in most patients being diagnosed only after developing cancer, thereby missing the optimal window for treatment. This article reviews the latest developments in precision screening, treatment, evaluation and prevention strategies for HCRC, including innovative uses of artificial intelligence (AI) in molecular diagnostics, imaging technology advances, and potential application prospects. Regarding precision screening, tests of genomics, transcriptomics, microbiome, etc., combined with personalised risk stratification, can, respectively, effectively detect pathogenic mutations and “cancer-promoting” intestinal environments in the preclinical stage. AI combined with endoscopic and imaging tools has improved the accuracy of polyp detection and tumor profiling. Liquid biopsy and molecular marker detection provide new non-invasive monitoring solutions. In precision treatment, beyond traditional approaches like surgery and chemotherapy, immunotherapy with checkpoint inhibitors may be considered for HCRC patients with mismatch repair deficiency (dMMR). For patients harboring somatic mutations such as KRAS or BRAF V600E, targeted therapy can be guided by these specific mutations. Regarding precision assessment, AI incorporates microsatellite instability (MSI) detection and imaging diagnostic techniques, crucial for integrating genetic, environmental, and lifestyle data in follow-up. This helps assess the risk of recurrence and adjust the long-term medication regimens, as well as provide effective nutritional support and psychological counselling. In summary, the rapid development of precision medicine is driving the clinical management of HCRC into the era of tailored care, aiming to optimise patient outcomes. Full article
(This article belongs to the Special Issue Hereditary and Familial Colorectal Cancer)
Show Figures

Figure 1

16 pages, 553 KB  
Review
The Role of COL6A3 in Tumorigenesis, Metastasis, Diagnosis, and Disease Management
by Joshua J. Lingo, Maggie M. Balas, Philipp E. Scherer and Jason C. Klein
Cancers 2025, 17(21), 3449; https://doi.org/10.3390/cancers17213449 - 28 Oct 2025
Viewed by 337
Abstract
Collagens comprise a large, diverse family of proteins that are abundantly expressed throughout most tissues. As a main component of the extracellular matrix (ECM), it is becoming increasingly appreciated how vital collagens are to tumor development, progression, and metastasis. COL6A3, which encodes [...] Read more.
Collagens comprise a large, diverse family of proteins that are abundantly expressed throughout most tissues. As a main component of the extracellular matrix (ECM), it is becoming increasingly appreciated how vital collagens are to tumor development, progression, and metastasis. COL6A3, which encodes the alpha 3 chain of type VI collagen, is a unique member of the collagen family that encodes a C-terminal peptide with powerful signaling capabilities, named endotrophin (ETP). Expression of COL6A3 is required for the survival, migration, and invasion of many cancer cell lines, including breast, bladder, liver, and colorectal cancers. ETP, which was originally discovered to be enriched in the adipocytes of mammary tumors, is a powerful oncopeptide that can alter signaling of tumor and stromal cells. ETP has greater signaling potential than the parental COL6A3 as it can induce EMT and promote chemoresistance, metastasis, and stemness in an TGF-β-like manner. ETP can also function independently of TGF-β to recruit endothelial cells and macrophages. In this review, we examine the molecular implications of COL6A3 and ETP expression and their effects on tumor growth, metastasis, and therapeutic response. Finally, we speculate on the potential of serum ETP as a prognostic biomarker in both carcinomas and sarcomas. In summary, COL6A3 and ETP are powerful drivers of tumor growth that have potential as noninvasive diagnostic and prognostic tools for the clinical management of cancer. Full article
(This article belongs to the Special Issue Advancements in “Cancer Biomarkers” for 2025–2026)
Show Figures

Figure 1

17 pages, 3389 KB  
Article
Ergothioneine Attenuates Oxaliplatin-Induced Peripheral Neuropathy Without Compromising Antitumor Efficacy
by Takumu Yamada, Takumi Iwasawa, Ryohma Tsuchiya, Tomoaki Ito and Kazunori Kato
Int. J. Mol. Sci. 2025, 26(21), 10263; https://doi.org/10.3390/ijms262110263 - 22 Oct 2025
Viewed by 466
Abstract
Colorectal cancer remains one of the leading causes of cancer-related mortality both in Japan and worldwide. Oxaliplatin (L-OHP) is a key chemotherapeutic agent used in the treatment of colorectal and other malignancies; however, its clinical use is often limited by the development of [...] Read more.
Colorectal cancer remains one of the leading causes of cancer-related mortality both in Japan and worldwide. Oxaliplatin (L-OHP) is a key chemotherapeutic agent used in the treatment of colorectal and other malignancies; however, its clinical use is often limited by the development of oxaliplatin-induced peripheral neuropathy (OIPN). In this study, we investigated ergothioneine (EGT), a natural antioxidant abundant in mushrooms, for its potential to mitigate OIPN without compromising the antitumor efficacy of L-OHP. Using the SH-SY5Y neuroblastoma cell line and differentiated neurons, we assessed the effects of EGT on L-OHP-induced apoptosis, oxidative stress, and axonal degeneration. We further evaluated whether EGT interferes with the anticancer activity of L-OHP using cultured cancer cell lines and a tumor-bearing mouse model. EGT suppressed L-OHP-induced apoptosis in neuronal cells and preserved axonal structures in differentiated neurons. Importantly, EGT had no adverse effect on the antitumor efficacy of L-OHP, as evidenced by unchanged cancer cell proliferation, tumor volume, and body weight in treated mice. These findings suggest that EGT may be a promising adjuvant for preventing OIPN while maintaining the therapeutic benefits of L-OHP. Full article
Show Figures

Figure 1

15 pages, 354 KB  
Article
The Effectiveness of ¡Salud!, por la Vida, an Educational Intervention to Increase Colorectal Cancer Screening in Puerto Rico
by Josheili Llavona-Ortiz, Maria E. Fernández, Ileska M. Valencia-Torres, Francisco J. Muñoz-Torres, Marievelisse Soto-Salgado, Yara Sánchez-Cabrera and Vivian Colón-López
Cancers 2025, 17(20), 3391; https://doi.org/10.3390/cancers17203391 - 21 Oct 2025
Viewed by 646
Abstract
Background/Objectives: Colorectal cancer (CRC) is the leading cancer-related death in Puerto Rico (PR). Yet CRC screening (CRCS) rates remain low. We developed ¡Salud!, por la Vida, an educational intervention aiming to increase CRCS among age-eligible adults living in PR. Methods: [...] Read more.
Background/Objectives: Colorectal cancer (CRC) is the leading cancer-related death in Puerto Rico (PR). Yet CRC screening (CRCS) rates remain low. We developed ¡Salud!, por la Vida, an educational intervention aiming to increase CRCS among age-eligible adults living in PR. Methods: We conducted a cluster randomized controlled trial among adults 50–75 years old at Federally Qualified Health Clinics in PR. Participants could not have a history of CRC nor be currently adherent to CRCS guidelines for a fecal occult blood test (FOBT) or fecal immunochemical test (FIT) (within last year) or colonoscopy (within last 5–10 years). Out of 445 randomized participants, 355 completed the study procedures (Control: 277; Intervention: 78) and were included in the main analysis. Participants in the intervention arm completed baseline and follow-up questionnaires alongside the educational intervention (at baseline) and two reminder calls (before follow-up) within a four-month period. Control arm participants only completed baseline and follow-up questionnaires within the same period. All participants were followed up to assess CRCS completion. Results: Post-trial screening rates were significantly higher in the intervention group: FOBT/FIT (55% vs. 39%, p = 0.02), colonoscopy (10% vs. 3%, p = 0.02), and any CRCS (60% vs. 41%, p < 0.01). Compared to controls, those in the intervention group showed a 48% higher probability of undergoing any CRCS (RR = 1.48, 95%CI: 1.17, 1.86), were 1.4 times more likely to complete a FOBT/FIT (RR = 1.40, 95%CI: 1.09, 1.80), and were over 3 times more likely to undergo a colonoscopy (RR = 3.16, 95%CI: 1.26, 7.91). Conclusions: The findings underscore the efficacy of the intervention in increasing CRCS uptake, potentially preventing late-stage detection and reducing CRC mortality in PR. Full article
(This article belongs to the Special Issue Cancer Screening and Primary Care)
Show Figures

Figure 1

Back to TopTop