Sign in to use this feature.

Years

Between: -

Subjects

remove_circle_outline
remove_circle_outline
remove_circle_outline
remove_circle_outline
remove_circle_outline
remove_circle_outline

Journals

Article Types

Countries / Regions

Search Results (29)

Search Parameters:
Keywords = clinico-radiological diagnosis

Order results
Result details
Results per page
Select all
Export citation of selected articles as:
21 pages, 12249 KB  
Review
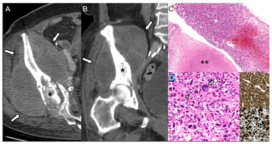
Malignant Transformation of Musculoskeletal Lesions with Imaging–Pathology Correlation—Part 1: Bone Lesions
by Hyang Sook Jeong, Seul Ki Lee, Jee-Young Kim, Changyoung Yoo and Min Wook Joo
Diagnostics 2025, 15(24), 3120; https://doi.org/10.3390/diagnostics15243120 - 8 Dec 2025
Viewed by 1514
Abstract
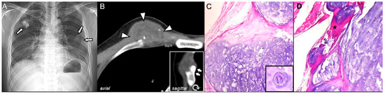
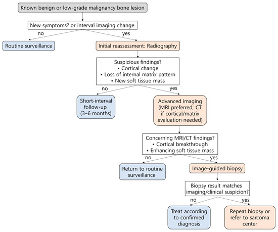
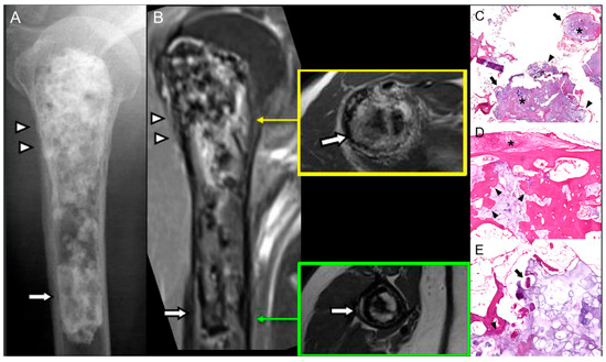
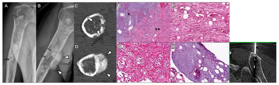
Background/Objectives: Malignant transformation of bone lesions, although rare, poses a major diagnostic and clinical challenge. Common benign lesions (e.g., osteochondroma, enchondroma, fibrous dysplasia, giant cell tumor), non-tumorous conditions (e.g., chronic osteomyelitis, irradiated bone, infarction), and low-grade malignancies (e.g., low-grade osteosarcoma, chondrosarcoma) can evolve [...] Read more.
Background/Objectives: Malignant transformation of bone lesions, although rare, poses a major diagnostic and clinical challenge. Common benign lesions (e.g., osteochondroma, enchondroma, fibrous dysplasia, giant cell tumor), non-tumorous conditions (e.g., chronic osteomyelitis, irradiated bone, infarction), and low-grade malignancies (e.g., low-grade osteosarcoma, chondrosarcoma) can evolve into aggressive malignancies through distinct genetic, molecular, and microenvironmental pathways. Recognizing early malignant transformation on imaging is crucial for timely diagnosis and management. Methods: This review synthesizes current imaging characteristics, pathologic mechanisms, and clinical risk factors associated with malignant transformation of benign and low-grade malignancy bone lesions. Results: Atypical imaging findings and inaccurate biopsies can delay diagnosis. Aggressive features—such as cortical destruction, heterogeneous enhancement, and loss of internal matrix—should prompt further pathologic evaluation. Advanced imaging and a multidisciplinary approach with integrated clinicoradiologic–pathologic review are essential to minimize missed diagnoses. Patients with risk factors such as genetic syndromes, prior denosumab therapy, inadequate surgery, or prior radiation therapy require close monitoring or timely intervention. Conclusions: Radiologic–pathologic correlation remains central to distinguishing benign from malignant lesions. This review article emphasizes a comprehensive imaging-pathology overview of benign and low-grade malignancy bone lesions with malignant potential, aiming to improve diagnostic accuracy and outcomes in orthopedic oncology. Full article
(This article belongs to the Special Issue Advances in the Diagnosis and Management of Bone Diseases in 2025)
Show Figures

Figure 1

13 pages, 490 KB  
Article
Evaluation of Early Initiation of Disease-Modifying Treatment for Patients with Multiple Sclerosis Within a Real-World Population for Long-Term Outcomes
by Menai McDonald, Angus D. Macleod and Paul Gallagher
Sclerosis 2025, 3(4), 35; https://doi.org/10.3390/sclerosis3040035 - 28 Oct 2025
Viewed by 775
Abstract
Background: There is varied practice with Disease-Modifying Treatment (DMT) for Multiple Sclerosis worldwide. We evaluated early DMT initiation within a real-world population for long-term outcomes. Method: The Scottish Multiple Sclerosis Register (SMSR) identified participants diagnosed with Relapsing Remitting Multiple Sclerosis (RRMS) in 2010/2011. [...] Read more.
Background: There is varied practice with Disease-Modifying Treatment (DMT) for Multiple Sclerosis worldwide. We evaluated early DMT initiation within a real-world population for long-term outcomes. Method: The Scottish Multiple Sclerosis Register (SMSR) identified participants diagnosed with Relapsing Remitting Multiple Sclerosis (RRMS) in 2010/2011. We compared two groups of propensity-matched participants at diagnosis, who went on to receive either early treatment (<12 months from diagnosis) or late/never treated. Participants underwent detailed clinicoradiological evaluation and patient-reported outcome measures 11–13 years post-diagnosis. The primary outcome was mean Expanded Disability Status Scale (EDSS). Results: The SMSR identified 298 participants. A total of 141 had complete retrospective clinical data and 81 agreed to participate, with 32 successfully matched (16 pairs). Median time on DMT was 10.8 years (range 0.4–12.5) for those treated early and 4.0 (0–11.5) years for the late/never-treated group. A total of 7/16 (44%) never received a DMT of those not treated early. All early-treated participants commenced first-line DMT (5/16 subsequently escalated to second-line DMTs). Of those treated later (9/16), 7/9 participants (78%) commenced first-line and 2/9 s-line DMT. There were no serious adverse events identified with any DMT. There was no significant difference in the primary outcome, with mean EDSS 3.93 in the late/never-treated group vs. 4.53 in the early-treated group at 11–13 years post-diagnosis (p = 0.57). There was no significant difference in median change in EDSS from the time of diagnosis to prospective assessment between early and late/never-treated groups. Patient Reported Outcome Measurement Information System (PROMIS) scores for cognition favoured no early treatment (p = 0.02), whilst satisfaction with treatment choice favoured early treatment (p = 0.03). Conclusions: Our cohort did not show clear benefit with early DMT in RRMS, contrasting with other larger studies, with no significant differences between early and late/never-treated patients on clinicoradiological outcomes. Possible explanations include confounding by variables not included in matching and group allocation based on diagnosis date rather than first clinical symptom. Most participants were treated with injectable DMTs, not in keeping with current practice. A prospective, long-term follow-up deep phenotyping study would help characterise benefits of early DMT use, but this is clearly challenging in practice. Full article
Show Figures

Figure 1

10 pages, 1910 KB  
Case Report
Mucinous Tubular and Spindle Cell Carcinoma of the Kidney: A Rare Renal Neoplasm—Case Report and Literature Review
by Ionuţ Burlacu, Mariana Aşchie, Mădălina Boşoteanu, Gabriela Izabela Bălţătescu and Alexandra Dinu
Reports 2025, 8(4), 189; https://doi.org/10.3390/reports8040189 - 23 Sep 2025
Viewed by 997
Abstract
Background and Clinical Significance: Mucinous tubular and spindle cell carcinoma (MTSCC) is an uncommon subtype of renal cell carcinoma, representing 1–4% of epithelial renal tumors. It usually shows a low-grade morphology and indolent behavior, although sarcomatoid variants with an aggressive course have been [...] Read more.
Background and Clinical Significance: Mucinous tubular and spindle cell carcinoma (MTSCC) is an uncommon subtype of renal cell carcinoma, representing 1–4% of epithelial renal tumors. It usually shows a low-grade morphology and indolent behavior, although sarcomatoid variants with an aggressive course have been described. Because of its overlap with papillary renal cell carcinoma (papRCC), sarcomatoid RCC, mesenchymal tumors, and oncocytic neoplasms, diagnosis requires the integration of imaging, histopathology, and immunohistochemistry. Case Presentation: We report a 71-year-old female who presented with a three-month history of right-sided lumbar pain and intermittent hematuria. Her laboratory tests were unremarkable. Contrast-enhanced CT revealed a well-circumscribed nodular lesion in the mid-portion of the right kidney, measuring 50 × 47 × 52 mm. The patient underwent right nephrectomy. Macroscopic findings revealed an encapsulated, yellowish-gray nodule (5.2 × 5 × 4 cm) without renal pelvis invasion. Microscopically, the tumor consisted of cuboidal- to spindle-shaped cells arranged in cords and tubular structures within a mucinous stroma, with focal necrosis and foamy macrophages. Immunohistochemistry showed positivity for CK19, CK7, EMA, PAX8, and AMACR, with a Ki-67 index <10%, while CD117, RCC, CD10, and chromogranin were negative. Together, the low Ki-67 proliferation index, absence of invasion, and low-grade histological architecture confirmed MTSCC of low malignant potential. At a five-year follow-up, the patient remained disease-free. Conclusions: MTSCC is a rare renal neoplasm that can be diagnosed by integrating clinico-radiological, histopathological, and immunophenotypic features. Molecular profiling may further distinguish MTSCC from papRCC and identify aggressive variants. Surgical excision remains the cornerstone of management, supported by vigilant long-term follow-up. Full article
(This article belongs to the Section Oncology)
Show Figures

Figure 1

15 pages, 2355 KB  
Systematic Review
Intracranial Metastases from Uterine Leiomyosarcoma: A Systematic Review and Case Illustration
by Ahmad Pour-Rashidi, Sara Zandpazandi, Laetitia Perronne, Virginia B. Hill, Chase Krumpelman, Kamal Subedi, Linda Kelahan, Amir A. Borhani, Hatice Savas, Ryan Avery, Tugce Agirlar Trabzonlu, Ulas Bagci, Sean Sachdev, Karan Dixit, Rimas V. Lukas, Priya Kumthekar and Yuri S. Velichko
J. Clin. Med. 2025, 14(18), 6631; https://doi.org/10.3390/jcm14186631 - 20 Sep 2025
Viewed by 925
Abstract
Background/Objectives: Brain metastasis from uterine leiomyosarcoma (ULMS) is an exceptionally rare complication of an aggressive malignancy. With fewer than 40 cases previously documented, a significant knowledge gap exists regarding its clinical course, management, and outcomes. This study provides the largest analysis of [...] Read more.
Background/Objectives: Brain metastasis from uterine leiomyosarcoma (ULMS) is an exceptionally rare complication of an aggressive malignancy. With fewer than 40 cases previously documented, a significant knowledge gap exists regarding its clinical course, management, and outcomes. This study provides the largest analysis of ULMS brain metastases to date, integrating a systematic literature review with a novel case report illustrating the disease’s uniquely rapid progression. Methods: Following PRISMA guidelines, we systematically reviewed four major databases to identify all reported cases of intracranial metastasis from ULMS. Data on patient demographics, clinico-radiological features, treatments, and survival were extracted and analyzed. Methodological quality was assessed using a modified Joanna Briggs Institute (JBI) tool. Results: We analyzed 34 studies with 39 individual cases. Additionally, this review was supplemented by one new illustrative case from our institution. The median patient age was 51.5 years, and most presented with focal neurological symptoms. Common imaging findings included hyperdense lesions on CT and homogeneously enhancing, dural-based masses on MRI, which mimic other intracranial pathologies. Though surgery was the most frequent intervention (76.9%), median survival after a brain metastasis diagnosis was a grim 5 months, with no significant difference observed between treatment modalities. Our illustrative case was remarkable for an extremely rapid volumetric doubling time averaging just 7.3 days. Conclusions: Brain metastasis from ULMS is a lethal event with an extremely poor prognosis. Nonspecific imaging features create diagnostic challenges, necessitating histopathological confirmation. Current therapies, including surgery and radiotherapy, offer palliative benefit but do not significantly alter survival. The aggressive biological behavior demonstrated here underscores the urgent need for increased clinical awareness and collaborative research to develop more effective management strategies and improve outcomes for this devastating diagnosis. Full article
(This article belongs to the Section Oncology)
Show Figures

Figure 1

15 pages, 1515 KB  
Review
Histiocytic Sarcoma: A Review and Update
by Yuki Shinohara, Shizuhide Nakayama, Mikiko Aoki and Jun Nishio
Int. J. Mol. Sci. 2025, 26(17), 8554; https://doi.org/10.3390/ijms26178554 - 3 Sep 2025
Cited by 1 | Viewed by 2832
Abstract
Histiocytic sarcoma (HS) is an ultra-rare hematopoietic neoplasm that frequently occurs in extranodal sites of adults. Clinically, HS demonstrates aggressive behavior and can arise de novo or in association with other hematological neoplasms. The median overall survival from the time of diagnosis is [...] Read more.
Histiocytic sarcoma (HS) is an ultra-rare hematopoietic neoplasm that frequently occurs in extranodal sites of adults. Clinically, HS demonstrates aggressive behavior and can arise de novo or in association with other hematological neoplasms. The median overall survival from the time of diagnosis is approximately six months. Histologically, HS is composed of sheets of large, round to oval cells with abundant eosinophilic cytoplasm and can be confused with a variety of benign and malignant conditions. Immunohistochemistry plays a crucial role in the diagnosis of HS, showing expression of CD163, CD68, lysozyme, and PU.1 and negative staining with follicular dendritic cell markers and myeloid cell markers. Recent studies have demonstrated a high rate of PD-L1 expression, suggesting a potential therapeutic target. Several genomic alterations have been identified in HS, including mutations involving the RAS/MAPK and PI3K/AKT/mTOR signaling pathways, CDKN2A mutations/deletions, and TP53 mutations. There is no standard protocol for the management of HS. Surgical resection with or without radiotherapy is the most common first-line treatment for unifocal/localized disease. The systemic treatment options for multifocal/disseminated disease are very limited. This review provides an overview of the current knowledge on the clinicoradiological features, histopathology, pathogenesis, and management of HS. Full article
(This article belongs to the Special Issue Advancements in Hematology: Molecular Biology and Targeted Therapies)
Show Figures

Figure 1

17 pages, 320 KB  
Review
Challenges and Considerations in Diagnosing and Managing p16+-Related Oropharyngeal Squamous Cell Carcinoma (OPSCC) with Neck Metastasis: Implications of p16 Positivity, Tobacco Exposure, and De-Escalation Strategies
by Giovanni Motta, Benedetta Brandolini, Tonia Di Meglio, Salvatore Allosso, Massimo Mesolella, Filippo Ricciardiello, Marco Bocchetti, Domenico Testa and Gaetano Motta
J. Clin. Med. 2024, 13(22), 6773; https://doi.org/10.3390/jcm13226773 - 11 Nov 2024
Cited by 2 | Viewed by 3510
Abstract
Background: The incidence of patients showing neck metastasis and no obvious primary tumor at the initial diagnostic evaluation or neck cancer of unknown primary (NCUP) is rising. It is estimated that a relevant part of these tumors arises in the tonsillar crypts or [...] Read more.
Background: The incidence of patients showing neck metastasis and no obvious primary tumor at the initial diagnostic evaluation or neck cancer of unknown primary (NCUP) is rising. It is estimated that a relevant part of these tumors arises in the tonsillar crypts or base of the tongue and are p16+-related. However, today, the detection rate of the primary tumor is suboptimal. Identifying the primary tumor and its biomolecular characterization is essential since it influences the treatment administered, possibly reducing radiation fields and providing de-escalation to primary surgical management. However, p16 IHC (immunohistochemistry) might not be sufficient to diagnose HPV-related OPSCC. The other subset of patients discussed are the HPV-positive patients who have a history of tobacco exposure and/or p53 mutations. Possible factors that could negatively influence the outcomes of these patients are investigated and discussed below. So, this paper aims to analyze the diagnostic, bio-molecular, clinico-radiological, morphological, prognostic and therapeutical aspects of p16-positive OPSCC, highlighting the possible bias that can occur during the diagnostic and prognostic process. Methods: A narrative review was conducted to investigate the biases in the diagnostic and therapeutic process of two groups of patients: those who are p16-positive but HPV-negative patients, and those who are p16-positive and HPV-positive with exposure to traditional risk factors and/or p53 mutations. The keywords used for the literature research included the following: NCUP, OPSCC, p16IHC, HPV testing, p16 positive HPV negative OPSCC, p16 positive HPV positive OPSCC, tonsillectomy, tobacco exposure, p53 mutations, cystic neck metastasis, extranodal extension (ENE), radiotherapy, de-escalation and neck neck dissection. Results: HPV-positive OPSCC has specific clinico-radiological features. Bilateral tonsillectomy should be considered for the identification of the primary tumor. P16 IHC alone is not sufficient for diagnosing HPV-related OPSCC; additional detection methods are required. The role of tobacco exposure and p53 mutations should be investigated especially in cases of HPV-positive tumors. Extranodal extension (ENE) must be taken into consideration in the prognostic staging of HPV-positive tumors. Surgical primary treatment involving neck dissection (ND) and bilateral tonsillectomy followed by adjuvant radiation may represent the most appropriate approach for N3 cases. Diagnosis, prognosis and therapeutical implications must be addressed considering clinical, biomolecular and morphological aspects. At least today, the numerous biases that are still present influencing the diagnostic and prognostic process do not permit considering de-escalation protocols. Conclusions: A precise and accurate diagnosis is required in order to adequately stage and manage p16+ OPSCC, particularly with neck metastasis. The role of tobacco exposure and/or p53 mutations must be considered not only in p16+ OPSCC but especially in HPV-positive OPSCC. Until a more accurate diagnosis is possible, ENE should be considered even in p16+HPV+ OPSCC. Primary surgery with unilateral ND and bilateral tonsillectomy might be the treatment of choice given the numerous diagnostic and prognostic pitfalls. Therefore, it is inappropriate and risky to propose de-escalation protocols in routine clinical practice due to the risk of undertreatment. Full article
(This article belongs to the Special Issue New Advances in Nasopharyngeal and Oropharyngeal Cancer Treatment)
12 pages, 274 KB  
Review
Atypical Spindle Cell/Pleomorphic Lipomatous Tumor: A Review and Update
by Jun Nishio, Shizuhide Nakayama, Yoshiro Chijiiwa, Mikiro Koga and Mikiko Aoki
Cancers 2024, 16(18), 3146; https://doi.org/10.3390/cancers16183146 - 13 Sep 2024
Cited by 11 | Viewed by 3599
Abstract
Atypical spindle cell/pleomorphic lipomatous tumor (ASCPLT) is a rare and recently described adipocytic neoplasm that primarily occurs in the subcutis of the limbs and limb girdles, particularly of middle-aged adults. It has locally recurrent potential if incompletely excised but no risk for distant [...] Read more.
Atypical spindle cell/pleomorphic lipomatous tumor (ASCPLT) is a rare and recently described adipocytic neoplasm that primarily occurs in the subcutis of the limbs and limb girdles, particularly of middle-aged adults. It has locally recurrent potential if incompletely excised but no risk for distant metastasis. ASCPLT is histologically similar to spindle cell/pleomorphic lipoma and atypical lipomatous tumor and shows a mixture of atypical spindle cells, adipocytes, lipoblasts, floret-like multinucleated giant cells, and/or pleomorphic cells. It has been recently recognized that ASCPLT can undergo sarcomatous transformation. However, the biological significance of morphological sarcomatous transformation in ASCPLT remains uncertain. Immunohistochemically, the tumor cells show variable expression of CD34, S-100 protein, and desmin. Loss of nuclear Rb expression is observed in the majority of cases. ASCPLT lacks MDM2 gene amplification but can show RB1 gene deletion in a significant subset of cases. Complete surgical excision is the treatment of choice. This review provides an overview of the current knowledge on the clinicoradiological features, pathogenesis, histopathology, and treatment of ASCPLT. In addition, we will discuss the differential diagnosis of this new entity. Full article
(This article belongs to the Special Issue Recent Advances in Orthopaedic Oncology: 2nd Edition)
10 pages, 254 KB  
Article
Impact of the COVID-19 Pandemic on the Diagnosis of Malignant Neoplasia of the Bronchus and Lung in the Burgos Region
by Gustavo Gutiérrez Herrero, Sandra Núñez-Rodríguez, Sergio Álvarez-Pardo, Jessica Fernández-Solana, Carla Collazo-Riobó, Álvaro García-Bustillo, Mirian Santamaría-Peláez, Jerónimo J. González-Bernal and Josefa González-Santos
Healthcare 2024, 12(16), 1677; https://doi.org/10.3390/healthcare12161677 - 22 Aug 2024
Viewed by 1389
Abstract
Purpose: To retrospectively analyze the impact of the COVID-19 pandemic on the diagnosis, mortality rate, and survival period of malignant bronchial and lung neoplasms in the Burgos region, with the aim of promoting the development of strategies to improve cancer care management during [...] Read more.
Purpose: To retrospectively analyze the impact of the COVID-19 pandemic on the diagnosis, mortality rate, and survival period of malignant bronchial and lung neoplasms in the Burgos region, with the aim of promoting the development of strategies to improve cancer care management during health crises, highlighting the importance of non-pharmacological approaches to mitigate the negative impacts of future pandemics on lung cancer patients. Methods: This retrospective, longitudinal, single-center study was conducted in Burgos from 2019 to 2021. Participants included all patients diagnosed with malignant bronchial and lung neoplasms by the Pneumology unit of Complejo Asistencial Universitario de Burgos during the year immediately before and the year immediately after 31 March 2020, the official start date of the pandemic. Inclusion criteria encompassed patients diagnosed through histological or clinicoradiological methods, who provided informed consent. Data were systematically gathered using a specific template that included demographic information, disease stage, death, and survival time. Statistical analysis involved descriptive methods, ANOVA, and chi-square tests to assess differences in survival time and associations between categorical variables. Results: The results reveal a decrease in the number of patients diagnosed during the pandemic period (154 vs. 105), which could indicate delays in detection. However, there were no significant differences between the two periods, in which more than 60% of cases were detected in stage IV, being incompatible with survival. Although fewer patients died during the pandemic than expected (p = 0.015), patients diagnosed after the onset of the pandemic had a shorter survival time (182.43 ± 142.63 vs. 253.61 ± 224.30; p = 0.038). Specifically, those diagnosed in stage I during the pre-pandemic had a much longer survival time (741.50 days) than the rest of the patients (p < 0.05). In addition, among those diagnosed in stage IV, those diagnosed after the beginning of the pandemic had a shorter survival time (157.29 ± 202.36 vs. 241.18 ± 218.36; p = 0.026). Conclusions: Understanding these changes can support both medical strategies and non-pharmacological therapies to improve cancer care management during health crises, thus contributing to the optimization of public health. Full article
(This article belongs to the Collection The Impact of COVID-19 on Healthcare Services)
12 pages, 569 KB  
Review
Giant Cell Tumor of Soft Tissue: An Updated Review
by Jun Nishio, Shizuhide Nakayama, Kaori Koga and Mikiko Aoki
J. Clin. Med. 2024, 13(10), 2870; https://doi.org/10.3390/jcm13102870 - 13 May 2024
Cited by 8 | Viewed by 10757
Abstract
Giant cell tumor of soft tissue (GCTST) is a locally aggressive mesenchymal neoplasm of intermediate malignancy that predominantly occurs in the superficial soft tissue of the extremities. It is histologically similar to a giant cell tumor of bone (GCTB) and shows a mixture [...] Read more.
Giant cell tumor of soft tissue (GCTST) is a locally aggressive mesenchymal neoplasm of intermediate malignancy that predominantly occurs in the superficial soft tissue of the extremities. It is histologically similar to a giant cell tumor of bone (GCTB) and shows a mixture of round to oval mononuclear cells and osteoclast-like multinucleated giant cells. Currently, immunohistochemistry plays a very limited role in the diagnosis of GCTST. Primary or secondary malignant GCTST has recently been described and tumors exhibiting high-grade histological features demonstrate higher rates of distant metastasis. GCTST lacks the H3-3A gene mutations that are identified in the vast majority of GCTBs, suggesting a different pathogenesis. Surgery is the standard treatment for localized GCTST. Incomplete surgical resection is usually followed by local recurrence. Radiation therapy may be considered when the close proximity of critical structures prevents microscopically negative surgical margins. The systemic treatment options for advanced or metastatic disease are very limited. This review provides an updated overview of the clinicoradiological features, pathogenesis, histopathology, and treatment for GCTST. In addition, we will discuss the differential diagnosis of this peculiar neoplasm. Full article
(This article belongs to the Special Issue Sarcoma—Clinical Updates)
Show Figures

Figure 1

10 pages, 604 KB  
Article
Retrospective Study of Lung Cancer: Evolution in 16 Years in the Burgos Region
by Gustavo Gutiérrez Herrero, Sandra Núñez-Rodríguez, Carla Collazo, Álvaro García-Bustillo, Jerónimo J. González-Bernal, Lucía Castellanos-Romero and Josefa González-Santos
J. Clin. Med. 2024, 13(6), 1601; https://doi.org/10.3390/jcm13061601 - 11 Mar 2024
Cited by 1 | Viewed by 1940
Abstract
Background: This study investigates the evolution of lung cancer in the population of Burgos over more than a decade, focusing on key variables such as age, gender, histology, and stage of diagnosis. The aim is to understand how incidence rates and patterns [...] Read more.
Background: This study investigates the evolution of lung cancer in the population of Burgos over more than a decade, focusing on key variables such as age, gender, histology, and stage of diagnosis. The aim is to understand how incidence rates and patterns have changed over time, especially in terms of early diagnosis. Methods: Retrospective data were collected from the Burgos University Hospital using histological or clinicoradiological methods. This data collection approach enabled a comprehensive examination of lung cancer trends in the province. Results: The results reveal an overall decrease in lung cancer incidence rates in men, offset by a steady increase in women. Histological analysis highlights a significant increase in adenocarcinoma, accounting for 43% of cases in the last year studied. Despite diagnostic advances, almost half of the diagnoses were made at stage IV, with no statistically significant change from previous years, highlighting persistent challenges in early diagnosis. Conclusions: The findings will not only inform resource management and prevention but could also have a significant impact on improved screening strategies and future lung cancer research. Full article
(This article belongs to the Special Issue Supportive Care for People with Cancer)
Show Figures

Figure 1

11 pages, 264 KB  
Review
Recent Advances in the Diagnosis, Pathogenesis, and Management of Myxoinflammatory Fibroblastic Sarcoma
by Jun Nishio, Shizuhide Nakayama and Mikiko Aoki
Int. J. Mol. Sci. 2024, 25(2), 1127; https://doi.org/10.3390/ijms25021127 - 17 Jan 2024
Cited by 4 | Viewed by 4266
Abstract
Myxoinflammatory fibroblastic sarcoma (MIFS) is an infiltrative, locally aggressive fibroblastic neoplasm of intermediate malignancy that typically arises in the distal extremities of middle-aged adults. It can histologically be confused with a number of benign and malignant conditions. Recently, high-grade examples of MIFS have [...] Read more.
Myxoinflammatory fibroblastic sarcoma (MIFS) is an infiltrative, locally aggressive fibroblastic neoplasm of intermediate malignancy that typically arises in the distal extremities of middle-aged adults. It can histologically be confused with a number of benign and malignant conditions. Recently, high-grade examples of MIFS have been described. Immunohistochemistry plays a very limited role in the diagnosis of MIFS. Several genetic alterations have been identified in MIFS, including a t(1;10)(p22;q24) translocation with TGFBR3 and/or OGA rearrangements, BRAF rearrangement, and VGLL3 amplification. Although it appears that VGLL3 amplification is the most consistent alteration, the molecular pathogenesis of MIFS remains poorly understood. A wide resection is considered the standard treatment for MIFS. Radiotherapy may be a viable option in cases with inadequate surgical margins or cases where surgery is likely to cause significant functional impairment. The systemic treatment options for advanced or metastatic disease are very limited. This review provides an updated overview of the clinicoradiological features, pathogenesis, histopathology, and treatment of MIFS. Full article
(This article belongs to the Special Issue Pathogenesis and Novel Therapeutic Approaches for Sarcomas)
27 pages, 12663 KB  
Review
Diagnostic Approach to Pulmonary B-Cell Lymphomas in Small Biopsies, with Practical Recommendations to Avoid Misinterpretation
by Sergio Pina-Oviedo, Victor L. Roggli, Thomas A. Sporn, Huihua Li, Carolyn Glass, Louis R. DiBernardo and Elizabeth N. Pavlisko
Diagnostics 2023, 13(21), 3321; https://doi.org/10.3390/diagnostics13213321 - 26 Oct 2023
Cited by 5 | Viewed by 3969
Abstract
Pulmonary lymphomas are rare. With the current less invasive approaches used to obtain material for diagnosis, the diagnosis of pulmonary lymphoma is now frequently established in a small biopsy rather than in a resection. Therefore, the diagnosis has become more challenging and requires [...] Read more.
Pulmonary lymphomas are rare. With the current less invasive approaches used to obtain material for diagnosis, the diagnosis of pulmonary lymphoma is now frequently established in a small biopsy rather than in a resection. Therefore, the diagnosis has become more challenging and requires correlation with the clinico-radiologic presentation and with ancillary studies (immunohistochemistry, flow cytometry, cytogenetics, and/or molecular analysis). Due to the rarity of pulmonary lymphomas, clinical suspicion of a lymphomatous process is low at initial presentation, and material may be only submitted for histopathology. For this reason, herein, we provide recommendations to arrive at the correct diagnosis of the most common lung B-cell lymphomas (marginal zone lymphoma of mucosa-associated lymphoid tissue, diffuse large B-cell lymphoma, intravascular large B-cell lymphoma, lymphomatoid granulomatosis) in the setting of small biopsies, utilizing only immunohistochemistry. The differential diagnosis varies according to the lymphoma subtype and includes reactive conditions, solid tumors, and other hematolymphoid malignancies. Although morphology and immunohistochemistry may be sufficient to establish a diagnosis, in some cases, the best recommendation is to obtain additional tissue via a VATS biopsy/wedge resection with material submitted for flow cytometry, cytogenetics, and/or molecular studies to be able to properly classify a pulmonary lymphoid process. Full article
(This article belongs to the Special Issue Selected Topics in Thoracic Pathology)
Show Figures

Figure 1

23 pages, 945 KB  
Article
Real-World Diagnostic Accuracy of the On-Site Cytopathology Advance Report (OSCAR) Procedure Performed in a Multidisciplinary One-Stop Breast Clinic
by Voichita Suciu, Carolla El Chamieh, Ranya Soufan, Marie-Christine Mathieu, Corinne Balleyguier, Suzette Delaloge, Zsofia Balogh, Jean-Yves Scoazec, Sylvie Chevret and Philippe Vielh
Cancers 2023, 15(20), 4967; https://doi.org/10.3390/cancers15204967 - 13 Oct 2023
Cited by 7 | Viewed by 2934
Abstract
Fine-needle aspiration (FNA) cytology has been widely used for the diagnosis of breast cancer lesions with the objective of differentiating benign from malignant masses. However, the occurrence of unsatisfactory samples and false-negative rates remains a matter of concern. Major improvements have been made [...] Read more.
Fine-needle aspiration (FNA) cytology has been widely used for the diagnosis of breast cancer lesions with the objective of differentiating benign from malignant masses. However, the occurrence of unsatisfactory samples and false-negative rates remains a matter of concern. Major improvements have been made thanks to the implementation of rapid on-site evaluation (ROSE) in multidisciplinary and integrated medical settings such as one-stop clinics (OSCs). In these settings, clinical and radiological examinations are combined with a morphological study performed by interventional pathologists. The aim of our study was to assess the diagnostic accuracy of the on-site cytopathology advance report (OSCAR) procedure on breast FNA cytologic samples in our breast OSC during the first three years (April 2004 till March 2007) of its implementation. To this goal, we retrospectively analyzed a series of 1820 breast masses (1740 patients) radiologically classified according to the American College of Radiology (ACR) BI-RADS lexicon (67.6% being either BI-RADS 4 or 5), sampled by FNA and immediately diagnosed by cytomorphology. The clinicoradiological, cytomorphological, and histological characteristics of all consecutive patients were retrieved from the hospital computerized medical records prospectively registered in the central information system. Histopathological analysis and ultrasound (US) follow-up (FU) were the reference diagnostic tests of the study design. In brief, we carried out either a histopathological verification or an 18-month US evaluation when a benign cytology was concordant with the components of the triple test. Overall, histology was available for 1138 masses, whereas 491 masses were analyzed at the 18-month US-FU. FNA specimens were morphologically nondiagnostic in 3.1%, false negatives were observed in 1.5%, and there was only one false positive (0.06%). The breast cancer prevalence was 62%. Diagnostic accuracy measures of the OSCAR procedure with their 95% confidence intervals (95% CI) were the following: sensitivity (Se) = 97.4% (96.19–98.31); specificity (Sp) = 94.98% (92.94–96.56); positive predictive value (PPV) = 96.80% (95.48–97.81); negative predictive value (NPV) = 95.91% (94.02–97.33); positive likelihood ratio (LR+) = 19.39 (13.75–27.32); negative predictive ratio (LR−) = 0.03 (0.02–0.04), and; accuracy = 96.45% (95.42–97.31). The respective positive likelihood ratio (LR+) for each of the four categories of cytopathological diagnoses (with their 95% CI) which are malignant, suspicious, benign, and nondiagnostic were 540 (76–3827); 2.69 (1.8–3.96); 0.03 (0.02–0.04); and 0.37 (0.2–0.66), respectively. In conclusion, our study demonstrates that the OSCAR procedure is a highly reliable diagnostic approach and a perfect test to select patients requiring core-needle biopsy (CNB) when performed by interventional cytopathologists in a multidisciplinary and integrated OSC setting. Besides drastically limiting the rate of nondiagnostic specimens and diagnostic turn-around time, OSCAR is an efficient and powerful first-line diagnostic approach for patient-centered care. Full article
(This article belongs to the Section Cancer Causes, Screening and Diagnosis)
Show Figures

Figure 1

12 pages, 2567 KB  
Case Report
Cerebral Amyloid Angiopathy-Related Inflammation (CAA-rI): Three Heterogeneous Case Reports and a Focused Literature Review
by Ivo Bozovic, Marta Jeremic, Aleksandra Pavlovic, Carna Jovanovic, Nikola Kresojevic, Nikola Vojvodic, Dejana Jovanovic, Dragoslav Sokic and Milija Mijajlovic
Brain Sci. 2023, 13(5), 747; https://doi.org/10.3390/brainsci13050747 - 29 Apr 2023
Cited by 6 | Viewed by 7737
Abstract
Cerebral amyloid angiopathy-related inflammation (CAA-rI) is a largely reversible, subacute encephalopathy, which is considered as a rare variant of cerebral amyloid angiopathy (CAA). Although the diagnosis of this inflammatory vasculopathy is generally clinico-pathologic, a probable or possible diagnosis can often be established based [...] Read more.
Cerebral amyloid angiopathy-related inflammation (CAA-rI) is a largely reversible, subacute encephalopathy, which is considered as a rare variant of cerebral amyloid angiopathy (CAA). Although the diagnosis of this inflammatory vasculopathy is generally clinico-pathologic, a probable or possible diagnosis can often be established based on current clinico-radiological diagnostic criteria. This is important since CAA-rI is considered as a treatable disorder, which most commonly occurs in the elderly population. Behavioral changes and cognitive deterioration are highlighted as the most common clinical signs of CAA-rI, followed by a heterogeneous spectrum of typical and atypical clinical presentations. However, despite the well-established clinical and radiological features incorporated in the current diagnostic criteria for this CAA variant, this rare disorder is still insufficiently recognized and treated. Here, we have shown three patients diagnosed with probable CAA-rI, with significant heterogeneity in the clinical and neuroradiological presentations, followed by different disease courses and outcomes after the introduction of immunosuppressive treatment. Moreover, we have also summarized up-to-date literature data about this rare, yet underdiagnosed, immune-mediated vasculopathy. Full article
(This article belongs to the Section Neuropathology)
Show Figures

Figure 1

20 pages, 2071 KB  
Review
Sarcoidosis-Related Uveitis: A Review
by Stéphane Giorgiutti, Robin Jacquot, Thomas El Jammal, Arthur Bert, Yvan Jamilloux, Laurent Kodjikian and Pascal Sève
J. Clin. Med. 2023, 12(9), 3194; https://doi.org/10.3390/jcm12093194 - 29 Apr 2023
Cited by 30 | Viewed by 7433
Abstract
Sarcoidosis is an inflammatory disease that involves the eyes in 10–55% of cases, sometimes without systemic involvement. All eye structures can be affected, but uveitis is the most common ocular manifestation and causes vision loss. The typical ophthalmological appearance of these uveitis is [...] Read more.
Sarcoidosis is an inflammatory disease that involves the eyes in 10–55% of cases, sometimes without systemic involvement. All eye structures can be affected, but uveitis is the most common ocular manifestation and causes vision loss. The typical ophthalmological appearance of these uveitis is granulomatous (in cases with anterior involvement), which are usually bilateral and with synechiae. Posterior involvement includes vitritis, vasculitis and choroidal lesions. Tuberculosis is a classic differential diagnosis to be wary of, especially in people who have spent time in endemic areas. The diagnosis is based on histology with the presence of non-caseating epithelioid granulomas. However, due to the technical difficulty and yield of biopsies, the diagnosis of ocular sarcoidosis is often based on clinico-radiological features. The international criteria for the diagnosis of ocular sarcoidosis have recently been revised. Corticosteroids remain the first-line treatment for sarcoidosis, but up to 30% of patients require high doses, justifying the use of corticosteroid-sparing treatments. In these cases, immunosuppressive treatments such as methotrexate may be introduced. More recent biotherapies such as anti-TNF are also very effective (as they are in other non-infectious uveitis etiologies). Full article
(This article belongs to the Section Immunology & Rheumatology)
Show Figures

Figure 1

Back to TopTop