Sign in to use this feature.

Years

Between: -

Subjects

remove_circle_outline
remove_circle_outline
remove_circle_outline
remove_circle_outline

Journals

Article Types

Countries / Regions

Search Results (14)

Search Parameters:
Keywords = calicheamicins

Order results
Result details
Results per page
Select all
Export citation of selected articles as:
54 pages, 3566 KB  
Review
Implementation of Natural Products and Derivatives in Acute Myeloid Leukemia Management: Current Treatments, Clinical Trials and Future Directions
by Faten Merhi, Daniel Dauzonne and Brigitte Bauvois
Cancers 2026, 18(2), 185; https://doi.org/10.3390/cancers18020185 - 6 Jan 2026
Viewed by 1327
Abstract
Bioactive natural products (NPs) may play a critical role in cancer progression by targeting nucleic acids and a wide array of proteins, including enzymes. Furthermore, a large number of derivatives (NPDs), including semi-synthetic products and pharmacophores from NPs, have been developed to enhance [...] Read more.
Bioactive natural products (NPs) may play a critical role in cancer progression by targeting nucleic acids and a wide array of proteins, including enzymes. Furthermore, a large number of derivatives (NPDs), including semi-synthetic products and pharmacophores from NPs, have been developed to enhance the solubility and stability of NPs. Acute myeloid leukemia (AML) is a poor-prognosis hematologic malignancy characterized by the clonal accumulation in the blood and bone marrow of myeloid progenitors with high proliferative capacity, survival and propagation abilities. A number of potential pathways and targets have been identified for development in AML, and include, but are not limited to, Fms-like tyrosine kinase 3 (FLT3) and isocitrate dehydrogenases resulting from genetic mutations, BCL2 family members, various signaling kinases and histone deacetylases, as well as tumor-associated antigens (such as CD13, CD33, P-gp). By targeting nucleic acids, FLT3 or CD33, several FDA-approved NPs and NPDs (i.e., cytarabine, anthracyclines, midostaurin, melphalan and calicheamicin linked to anti-CD33) are the major agents of upfront treatment of AML. However, the effective treatment of the disease remains challenging, in part due to the heterogeneity of the disease but also to the involvement of the bone marrow microenvironment and the immune system in favoring leukemic stem cell persistence. This review summarizes the current state of the art, and provides a summary of selected NPs/NPDs which are either entering or have been investigated in preclinical and clinical trials, alone or in combination with current chemotherapy. With multifaceted actions, these biomolecules may target all hallmarks of AML, including multidrug resistance and deregulated metabolism. Full article
(This article belongs to the Special Issue Study on Acute Myeloid Leukemia)
Show Figures

Figure 1

12 pages, 2378 KB  
Article
DNA Damage Sensing and TP53 Function as Modulators of Sensitivity to Calicheamicin-Based Antibody–Drug Conjugates for Acute Leukemia
by Camryn M. Pettenger-Willey, George S. Laszlo, Margery Gang, Frances M. Cole, Colin D. Godwin, Sarah Erraiss, Pritha Chanana, Allie R. Kehret, Junyang Li, Jacob W. Barton, Meghann M. Yochim, Eduardo Rodríguez-Arbolí and Roland B. Walter
Cancers 2026, 18(1), 67; https://doi.org/10.3390/cancers18010067 - 25 Dec 2025
Viewed by 844
Abstract
Background/Objectives: Approved for treatment of acute leukemia, gemtuzumab ozogamicin (GO) and inotuzumab ozogamicin (InO) are antibody–drug conjugates (ADCs) that deliver a toxic calicheamicin (CLM) derivative. The resistance mechanisms to GO/InO remain incompletely understood. Methods: We performed a genome-wide clustered regularly interspaced short palindromic [...] Read more.
Background/Objectives: Approved for treatment of acute leukemia, gemtuzumab ozogamicin (GO) and inotuzumab ozogamicin (InO) are antibody–drug conjugates (ADCs) that deliver a toxic calicheamicin (CLM) derivative. The resistance mechanisms to GO/InO remain incompletely understood. Methods: We performed a genome-wide clustered regularly interspaced short palindromic repeat (CRISPR)/Cas9 screen for CLM sensitivity genes, and then performed confirmatory cytotoxicity assays. Results: Several DNA damage pathway regulation genes were identified, most notably TP53. Across 13 acute leukemia cell lines, the six TP53-mutant cell lines (TP53MUT) were indeed 10- to 1000-fold less sensitive to CLM than the seven TP53WT cell lines. In five TP53WT/KO syngeneic cell line pairs we generated, TP53KO cells were significantly less sensitive to CLM than their TP53WT counterparts. In TP53WT but not TP53MUT cells, the MDM2 inhibitor and p53 activator, idasanutlin, enhanced CLM cytotoxicity, demonstrating that decoupling of cells from MDM2-p53 regulation sensitizes leukemia cells to CLM. The ATM inhibitors AZD1390 and lartesertib also significantly enhanced CLM efficacy but did so independent of the TP53 status. In contrast, neither an ATR inhibitor, Chk1/Chk2 inhibitor, Chk2 inhibitor, or a PARP inhibitor significantly impacted CLM-induced cytotoxicity across the thirteen cell lines. Together, our studies identify ATM, MDM2, and TP53—which are in the same cellular response to DNA damage pathway—as key modulators of CLM-induced cytotoxicity in acute leukemia cells. Conclusions: These results support further evaluation of combination therapies with corresponding small-molecule inhibitors (currently pursued for therapy of other cancers) toward clinical testing as novel strategies to increase the efficacy of CLM-based ADCs such as GO and InO. Full article
(This article belongs to the Special Issue Molecular Targets and Therapeutic Pathways in Cancer)
Show Figures

Figure 1

32 pages, 3717 KB  
Review
Immunoconjugates as an Efficient Platform for Drug Delivery: A Resurgence of Natural Products in Targeted Antitumor Therapy
by Rositsa Mihaylova, Denitsa Momekova, Viktoria Elincheva and Georgi Momekov
Pharmaceuticals 2024, 17(12), 1701; https://doi.org/10.3390/ph17121701 - 17 Dec 2024
Cited by 3 | Viewed by 4182
Abstract
The present review provides a detailed and comprehensive discussion on antibody–drug conjugates (ADCs) as an evolving new modality in the current therapeutic landscape of malignant diseases. The principle concepts of targeted delivery of highly toxic agents forsaken as stand-alone drugs are examined in [...] Read more.
The present review provides a detailed and comprehensive discussion on antibody–drug conjugates (ADCs) as an evolving new modality in the current therapeutic landscape of malignant diseases. The principle concepts of targeted delivery of highly toxic agents forsaken as stand-alone drugs are examined in detail, along with the biochemical and technological tools for their successful implementation. An extensive analysis of ADCs’ major components is conducted in parallel with their function and impact on the stability, efficacy, safety, and resistance profiles of the immunoconjugates. The scope of the article covers the major classes of currently validated natural compounds used as payloads, with an emphasis on their structural and mechanistic features, natural origin, and distribution. Future perspectives in ADCs’ design are thoroughly explored, addressing their inherent or emerging challenges and limitations. The survey also provides a comprehensive overview of the molecular rationale for active tumor targeting of ADC-based platforms, exploring the cellular biology and clinical relevance of validated tumor markers used as a “homing” mechanism in both hematological and solid tumor malignancies. Full article
(This article belongs to the Special Issue Tumor Therapy and Drug Delivery)
Show Figures

Graphical abstract

22 pages, 1556 KB  
Review
Present Scenario and Future Landscape of Payloads for ADCs: Focus on DNA-Interacting Agents
by Barbara Valsasina, Paolo Orsini, Chiara Terenghi and Alberto Ocana
Pharmaceuticals 2024, 17(10), 1338; https://doi.org/10.3390/ph17101338 - 7 Oct 2024
Cited by 8 | Viewed by 10441
Abstract
ADCs have emerged as a promising class of therapeutics, combining the targeting specificity of monoclonal antibodies with the cytotoxic potency of small-molecule drugs. Although the majority of approved ADCs are still based on microtubule binder payloads, the recent success of topoisomerase I inhibitors [...] Read more.
ADCs have emerged as a promising class of therapeutics, combining the targeting specificity of monoclonal antibodies with the cytotoxic potency of small-molecule drugs. Although the majority of approved ADCs are still based on microtubule binder payloads, the recent success of topoisomerase I inhibitors has revitalized interest in the identification of novel agents overcoming present limitations in the field including narrow therapeutic window and chemoresistance. The success of DNA binders as payload for ADCs has been very limited, up to now, due, among other factors, to high hydrophobicity and planar chemical structures resulting in most cases in ADCs with a strong tendency to aggregate, poor plasma stability, and limited therapeutic index. Some of these molecules, however, continue to be of interest due to their favorable properties in terms of cytotoxic potency even in chemoresistant settings, bystander and immunogenic cell death effects, and known combinability with approved drugs. We critically evaluated several clinically tested ADCs containing DNA binders, focusing on payload physicochemical properties, cytotoxic potency, and obtained clinical results. Our analysis suggests that further exploration of certain chemical classes, specifically anthracyclines and duocarmycins, based on the optimization of physicochemical parameters, reduction of cytotoxic potency, and careful design of targeting molecules is warranted. This approach will possibly result in a novel generation of payloads overcoming the limitations of clinically validated ADCs. Full article
Show Figures

Figure 1

6 pages, 549 KB  
Case Report
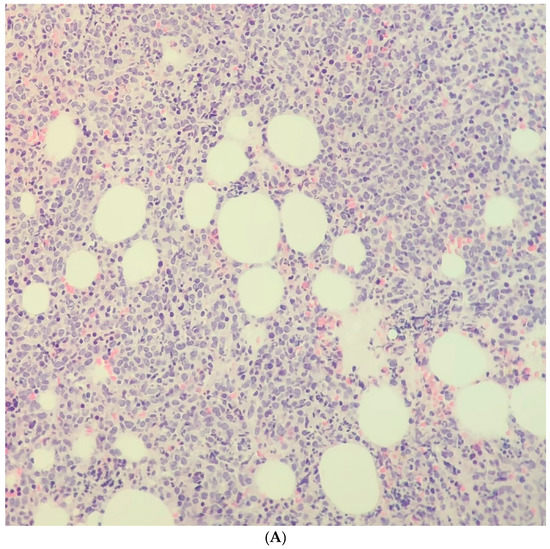
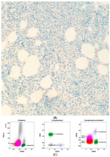
Complete Remission with Inotuzumab Ozogamicin as Fourth-Line Salvage Therapy in a Child with Relapsed/Refractory Acute Lymphoblastic Leukemia
by Athanasios Tragiannidis, Vassiliki Antari, Eleni Tsotridou, Theodoros Sidiropoulos, Aikaterini Kaisari, Maria Palabougiouki, Timoleon-Achilleas Vyzantiadis, Emmanuel Hatzipantelis, Assimina Galli-Tsinopoulou and Evgenios Goussetis
Hematol. Rep. 2024, 16(4), 579-584; https://doi.org/10.3390/hematolrep16040056 - 27 Sep 2024
Viewed by 3152
Abstract
Background: Despite the progress achieved regarding survival rates in childhood acute lymphoblastic leukemia (ALL), relapsed or refractory disease still poses a therapeutic challenge. Inotuzumab ozogamicin is a CD22-directed monoclonal antibody conjugated to calicheamicin, which has been approved by the Food and Drug Administration [...] Read more.
Background: Despite the progress achieved regarding survival rates in childhood acute lymphoblastic leukemia (ALL), relapsed or refractory disease still poses a therapeutic challenge. Inotuzumab ozogamicin is a CD22-directed monoclonal antibody conjugated to calicheamicin, which has been approved by the Food and Drug Administration for adults and pediatric patients 1 year and older with relapsed or refractory CD22-positive B-cell precursor acute lymphoblastic leukemia. Case presentation: Herein, we present the case of a 23-month-old girl with high-risk B-ALL who experienced very early isolated medullary relapse; following the failure of conventional chemotherapy according to the ALL-IC REL 2016 protocol, she went on to receive the bispecific T-cell engager (BiTE) blinatumomab and subsequently, due to refractory disease, the combination of fludarabine, cytarabine, and the proteasome inhibitor bortezomib without achieving remission. Given the high CD22 expression by the lymphoblasts, off-label use of inotuzumab ozogamicin (InO) was chosen and administrated in a 28-day cycle as a salvage treatment. The minimal residual disease (MRD) was 0.08% on day 28, and InO was continued, thus achieving MRD negativity; the patient successfully underwent an allogeneic stem cell transplantation from a matched family donor. Conclusions: Our case highlights the efficacy and safety of InO as a salvage treatment in the setting of relapsed B-ALL refractory not only to conventional chemotherapy but also to novel treatments, such as blinatumomab and bortezomib. Full article
Show Figures

Figure 1

29 pages, 3451 KB  
Review
Antibody–Drug Conjugates—Evolution and Perspectives
by Adriana Aurelia Chis, Carmen Maximiliana Dobrea, Anca Maria Arseniu, Adina Frum, Luca-Liviu Rus, Gabriela Cormos, Cecilia Georgescu, Claudiu Morgovan, Anca Butuca, Felicia Gabriela Gligor and Andreea Loredana Vonica-Tincu
Int. J. Mol. Sci. 2024, 25(13), 6969; https://doi.org/10.3390/ijms25136969 - 26 Jun 2024
Cited by 25 | Viewed by 8137
Abstract
Antineoplastic therapy is one of the main research themes of this century. Modern approaches have been implemented to target and heighten the effect of cytostatic drugs on tumors and diminish their general/unspecific toxicity. In this context, antibody–drug conjugates (ADCs) represent a promising and [...] Read more.
Antineoplastic therapy is one of the main research themes of this century. Modern approaches have been implemented to target and heighten the effect of cytostatic drugs on tumors and diminish their general/unspecific toxicity. In this context, antibody–drug conjugates (ADCs) represent a promising and successful strategy. The aim of this review was to assess different aspects regarding ADCs. They were presented from a chemical and a pharmacological perspective and aspects like structure, conjugation and development particularities alongside effects, clinical trials, safety issues and perspectives and challenges for future use of these drugs were discussed. Representative examples include but are not limited to the following main structural components of ADCs: monoclonal antibodies (trastuzumab, brentuximab), linkers (pH-sensitive, reduction-sensitive, peptide-based, phosphate-based, and others), and payloads (doxorubicin, emtansine, ravtansine, calicheamicin). Regarding pharmacotherapy success, the high effectiveness expectation associated with ADC treatment is supported by the large number of ongoing clinical trials. Major aspects such as development strategies are first discussed, advantages and disadvantages, safety and efficacy, offering a retrospective insight on the subject. The second part of the review is prospective, focusing on various plans to overcome the previously identified difficulties. Full article
(This article belongs to the Special Issue New Wave of Cancer Therapeutics: Challenges and Opportunities)
Show Figures

Figure 1

22 pages, 1554 KB  
Systematic Review
Gemtuzumab Ozogamicin in Acute Myeloid Leukemia: Efficacy, Toxicity, and Resistance Mechanisms—A Systematic Review
by Aurelia Collados-Ros, Manuel Muro and Isabel Legaz
Biomedicines 2024, 12(1), 208; https://doi.org/10.3390/biomedicines12010208 - 17 Jan 2024
Cited by 20 | Viewed by 6913
Abstract
Acute myeloid leukemia (AML) is a diverse group of leukemias characterized by the uncontrolled proliferation of clonal neoplastic hematopoietic precursor cells with chromosomal rearrangements and multiple gene mutations and the impairment of normal hematopoiesis. Current efforts to improve AML outcomes have focused on [...] Read more.
Acute myeloid leukemia (AML) is a diverse group of leukemias characterized by the uncontrolled proliferation of clonal neoplastic hematopoietic precursor cells with chromosomal rearrangements and multiple gene mutations and the impairment of normal hematopoiesis. Current efforts to improve AML outcomes have focused on developing targeted therapies that may allow for improved antileukemic effects while reducing toxicity significantly. Gemtuzumab ozogamicin (GO) is one of the most thoroughly studied molecularly targeted therapies in adults. GO is a monoclonal antibody against CD33 IgG4 linked to the cytotoxic drug calicheamicin DMH. The use of GO as a chemotherapeutic agent is not generalized for all patients who suffer from AML, particularly for those whose health prevents them from using intensive conventional chemotherapy, in which case it can be used on its own, and those who have suffered a first relapse, where its combination with other chemotherapeutic agents is possible. This systematic review aimed to comprehensively evaluate GO, focusing on its molecular structure, mode of action, pharmacokinetics, recommended dosage, resistance mechanisms, and associated toxicities to provide valuable information on the potential benefits and risks associated with its clinical use. A systematic review of eight scientific articles from 2018 to 2023 was conducted using PRISMA analysis. The results showed that GO treatment activates proapoptotic pathways and induces double-strand breaks, initiating DNA repair mechanisms. Cells defective in DNA repair pathways are susceptible to GO cytotoxicity. GO has recommended doses for newly diagnosed CD33+ AML in combination or as a single agent. Depending on the treatment regimen and patient status, GO doses vary for induction, consolidation, and continuation cycles. Multidrug resistance (MDR) involving P-glycoprotein (P-gp) is associated with GO resistance. The overexpression of P-gp reduces GO cytotoxicity; inhibitors of P-gp can restore sensitivity. Mitochondrial pathway activation and survival signaling pathways are linked to GO resistance. Other resistance mechanisms include altered pharmacokinetics, reduced binding ability, and anti-apoptotic mechanisms. GO has limited extramedullary toxicity compared to other AML treatments and may cause hepatic veno-occlusive disease (HVOD). The incidence of hepatic HVOD after GO therapy is higher in patients with high tumor burden. Hematological side effects and hepatotoxicity are prominent, with thrombocytopenia and neutropenia observed. In conclusion, GO’s reintroduction in 2017 followed a thorough FDA review considering its altered dose, dosing schedule, and target population. The drug’s mechanism involves CD33 targeting and calicheamicin-induced DNA damage, leading to apoptosis and resistance mechanisms, including MDR and survival signaling, which impact treatment outcomes. Despite limited extramedullary toxicity, GO is associated with hematological side effects and hepatotoxicity. Full article
(This article belongs to the Special Issue Advances in the Pathogenesis and Treatment of Acute Myeloid Leukemia)
Show Figures

Figure 1

17 pages, 723 KB  
Review
Molecular Advances in Sinusoidal Obstruction Syndrome/Veno-Occlusive Disease
by Ioulia Mavrikou, Dimitrios Chatzidimitriou, Lemonia Skoura, Emmanouil Nikolousis, Ioanna Sakellari and Eleni Gavriilaki
Int. J. Mol. Sci. 2023, 24(6), 5620; https://doi.org/10.3390/ijms24065620 - 15 Mar 2023
Cited by 14 | Viewed by 5857
Abstract
Sinusoidal obstruction syndrome/veno-occlusive disease (SOS/VOD) detected in the liver has been considered a severe complication of hematopoietic stem cell transplantation (HSCT). SOS/VOD is characterized by hepatomegaly, right upper quadrant pain, jaundice, and ascites. The severe forms of the disease may result in multi-organ [...] Read more.
Sinusoidal obstruction syndrome/veno-occlusive disease (SOS/VOD) detected in the liver has been considered a severe complication of hematopoietic stem cell transplantation (HSCT). SOS/VOD is characterized by hepatomegaly, right upper quadrant pain, jaundice, and ascites. The severe forms of the disease may result in multi-organ dysfunction (MOD) with a high mortality rate (>80%). The development of SOS/VOD can be rapid and unpredictable. Therefore, early identification and severity assessment is crucial in facilitating prompt diagnosis and timely treatment. Effective treatment and potential prophylaxis with defibrotide highlight the need for characterizing a sub-group of patients at high risk for SOS/VOD. Moreover, antibodies that are conjugated with calicheamicin, gemtuzumab, and inotuzumab ozogamicin, have led to renewed interest in this syndrome. Evaluation and management of serious adverse events associated with gemtuzumab and inotuzumab ozogamicin are recommended. We review hepatic-, transplant- and patient-related risk factors, criteria for diagnosis and grading classification, and SOS/VOD potential biomarkers. Furthermore, we examine pathogenesis, clinical presentation, diagnostic criteria, risk factors, prophylaxis, and treatment of SOS/VOD occurring post HSCT. Moreover, we aim to provide an up-to-date summary of molecular advances in the diagnosis and management of SOS/VOD. We performed a comprehensive review of the literature and examined the recently available data, mostly using the PubMed and Medline search engines for original articles published over the last decade. In the era of precision medicine, our review provides up-to-date knowledge of genetic or sera markers for SOS/VOD with the goal of identifying a subset of high-risk patients. Full article
Show Figures

Figure 1

15 pages, 507 KB  
Review
Antibody–Drug Conjugates for the Treatment of Acute Pediatric Leukemia
by Jamie L. Stokke and Deepa Bhojwani
J. Clin. Med. 2021, 10(16), 3556; https://doi.org/10.3390/jcm10163556 - 13 Aug 2021
Cited by 25 | Viewed by 5912
Abstract
The clinical development of antibody–drug conjugates (ADCs) has gained momentum in recent years and these agents are gradually moving into frontline regimens for pediatric acute leukemias. ADCs consist of a monoclonal antibody attached to a cytotoxic payload by a cleavable linker. This structure [...] Read more.
The clinical development of antibody–drug conjugates (ADCs) has gained momentum in recent years and these agents are gradually moving into frontline regimens for pediatric acute leukemias. ADCs consist of a monoclonal antibody attached to a cytotoxic payload by a cleavable linker. This structure allows for highly cytotoxic agents to be directly delivered to leukemia cells leading to cell death and avoids excessive off-tumor toxicity. Near universal expression on B-cell acute lymphoblastic leukemia (ALL) blasts and the ability of rapid internalization has rendered CD22 an ideal target for ADC in B-ALL. Inotuzumab ozogamicin, the anti-CD22 antibody linked to calicheamicin led to complete remission rates of 60–80% in patients with relapsed/refractory B-ALL. In acute myeloid leukemia (AML), the CD33 targeting gemtuzumab ozogamicin has demonstrated modest improvements in survival and is the only ADC currently licensed in the United States for pediatric patients with de novo AML. Several other ADCs have been developed and tested clinically for leukemia but have achieved limited success to date. The search for additional leukemia-specific targets and optimization of ADC structure and specificity are ongoing efforts to improve their therapeutic window. This review provides a comprehensive overview of ADCs in acute leukemias, with a focus on pediatric ALL and AML. Full article
(This article belongs to the Special Issue Advance in the Treatment of Pediatric Leukemia)
Show Figures

Figure 1

23 pages, 4245 KB  
Review
Targeting Toxins toward Tumors
by Henrik Franzyk and Søren Brøgger Christensen
Molecules 2021, 26(5), 1292; https://doi.org/10.3390/molecules26051292 - 27 Feb 2021
Cited by 21 | Viewed by 6753
Abstract
Many cancer diseases, e.g., prostate cancer and lung cancer, develop very slowly. Common chemotherapeutics like vincristine, vinblastine and taxol target cancer cells in their proliferating states. In slowly developing cancer diseases only a minor part of the malignant cells will be in a [...] Read more.
Many cancer diseases, e.g., prostate cancer and lung cancer, develop very slowly. Common chemotherapeutics like vincristine, vinblastine and taxol target cancer cells in their proliferating states. In slowly developing cancer diseases only a minor part of the malignant cells will be in a proliferative state, and consequently these drugs will exert a concomitant damage on rapidly proliferating benign tissue as well. A number of toxins possess an ability to kill cells in all states independently of whether they are benign or malignant. Such toxins can only be used as chemotherapeutics if they can be targeted selectively against the tumors. Examples of such toxins are mertansine, calicheamicins and thapsigargins, which all kill cells at low micromolar or nanomolar concentrations. Advanced prodrug concepts enabling targeting of these toxins to cancer tissue comprise antibody-directed enzyme prodrug therapy (ADEPT), gene-directed enzyme prodrug therapy (GDEPT), lectin-directed enzyme-activated prodrug therapy (LEAPT), and antibody-drug conjugated therapy (ADC), which will be discussed in the present review. The review also includes recent examples of protease-targeting chimera (PROTAC) for knockdown of receptors essential for development of tumors. In addition, targeting of toxins relying on tumor-overexpressed enzymes with unique substrate specificity will be mentioned. Full article
(This article belongs to the Special Issue Anticancer Inhibitors)
Show Figures

Figure 1

8 pages, 2140 KB  
Case Report
Reevaluating Patient Eligibility for Inotuzumab Ozogamicin Based on CD22 Expression: Is Dim Expression Sufficient?
by Warren Fingrut, Wendy Davis, Eric McGinnis, Karen Dallas, Khaled Ramadan, Hayley Merkeley, Heather Leitch, Yasser Abou Mourad, Ryan D. Cassaday, Camilla Ross and Chantal Léger
Curr. Oncol. 2021, 28(1), 252-259; https://doi.org/10.3390/curroncol28010027 - 31 Dec 2020
Cited by 7 | Viewed by 3501
Abstract
Salvage options for patients with relapsed B-cell acute lymphoblastic leukemia (B-ALL) include inotuzumab ozogamicin (InO), a recombinant, humanized anti-CD22 monoclonal antibody conjugated to the cytotoxic antibiotic calicheamicin. However, the benefit of InO in patients with dim CD22 expression remains unclear. We present a [...] Read more.
Salvage options for patients with relapsed B-cell acute lymphoblastic leukemia (B-ALL) include inotuzumab ozogamicin (InO), a recombinant, humanized anti-CD22 monoclonal antibody conjugated to the cytotoxic antibiotic calicheamicin. However, the benefit of InO in patients with dim CD22 expression remains unclear. We present a case of a patient with B-ALL who responded to InO despite only dim surface expression of CD22 by flow cytometry, achieving a survival benefit concordant with that reported in the literature and maintaining a good quality of life as a transfusion-independent outpatient. Our observation has broad relevance to clinicians who manage patients with B-ALL who are candidates for InO. Full article
Show Figures

Figure 1

21 pages, 668 KB  
Review
Biomarkers of Gemtuzumab Ozogamicin Response for Acute Myeloid Leukemia Treatment
by Laurène Fenwarth, Elise Fournier, Meyling Cheok, Thomas Boyer, Fanny Gonzales, Sylvie Castaigne, Nicolas Boissel, Juliette Lambert, Hervé Dombret, Claude Preudhomme and Nicolas Duployez
Int. J. Mol. Sci. 2020, 21(16), 5626; https://doi.org/10.3390/ijms21165626 - 6 Aug 2020
Cited by 31 | Viewed by 6935
Abstract
Gemtuzumab ozogamicin (GO, Mylotarg®) consists of a humanized CD33-targeted antibody-drug conjugated to a calicheamicin derivative. Growing evidence of GO efficacy in acute myeloid leukemia (AML), demonstrated by improved outcomes in CD33-positive AML patients across phase I to III clinical trials, led [...] Read more.
Gemtuzumab ozogamicin (GO, Mylotarg®) consists of a humanized CD33-targeted antibody-drug conjugated to a calicheamicin derivative. Growing evidence of GO efficacy in acute myeloid leukemia (AML), demonstrated by improved outcomes in CD33-positive AML patients across phase I to III clinical trials, led to the Food and Drug Administration (FDA) approval on 1 September 2017 in CD33-positive AML patients aged 2 years and older. Discrepancies in GO recipients outcome have raised significant efforts to characterize biomarkers predictive of GO response and have refined the subset of patients that may strongly benefit from GO. Among them, CD33 expression levels, favorable cytogenetics (t(8;21), inv(16)/t(16;16), t(15;17)) and molecular alterations, such as NPM1, FLT3-internal tandem duplications and other signaling mutations, represent well-known candidates. Additionally, in depth analyses including minimal residual disease monitoring, stemness expression (LSC17 score), mutations or single nucleotide polymorphisms in GO pathway genes (CD33, ABCB1) and molecular-derived scores, such as the recently set up CD33_PGx6_Score, represent promising markers to enhance GO response prediction and improve patient management. Full article
(This article belongs to the Special Issue Pathogenesis and Treatment of Leukemia and Myelodysplastic Syndromes)
Show Figures

Figure 1

15 pages, 1772 KB  
Review
CD22 Expression in B-Cell Acute Lymphoblastic Leukemia: Biological Significance and Implications for Inotuzumab Therapy in Adults
by Francesco Lanza, Enrico Maffini, Michela Rondoni, Evita Massari, Angelo Corso Faini and Fabio Malavasi
Cancers 2020, 12(2), 303; https://doi.org/10.3390/cancers12020303 - 28 Jan 2020
Cited by 68 | Viewed by 11131
Abstract
CD22 is a surface molecule expressed early during the ontogeny of B cells in the bone marrow and spleen, and can be found on B cells isolated from the different lymphoid compartments in humans. CD22 is expressed by most blasts from the majority [...] Read more.
CD22 is a surface molecule expressed early during the ontogeny of B cells in the bone marrow and spleen, and can be found on B cells isolated from the different lymphoid compartments in humans. CD22 is expressed by most blasts from the majority (60–90%) of B-cell acute lymphoblastic leukemia (B-ALL). Current therapies in adults with newly diagnosed B-ALL are associated with complete remission (CR) rates of 50–90%. However, 30–60% of these patients relapse, and only 25–40% achieve disease-free survival of three years or more. Chemotherapy regimens for patients with refractory/relapsed B-ALL are associated with CR rates ranging from 31% to 44%. Novel immune-targeted therapies, such as blinatumomab and inotuzumab (a humanized anti-CD22 monoclonal antibody conjugated to the cytotoxic antibiotic agent calicheamicin), provide potential means of circumventing chemo-refractory B-ALL cells through novel mechanisms of action. Eighty percent of inotuzumab-treated B-ALL patients may achieve a CR state. This review is focused on the biological and clinical activities of CD22 antibodies in B-ALL, and provides evidence about the potential role played by qualitative and quantitative analysis of the CD22 molecule on individual B-ALL blasts in predicting the depletion of leukemic cells, and, ultimately, leading to better clinical response rates. Full article
(This article belongs to the Special Issue Recent Advances in the Pathogenesis of B Cell Malignancies)
Show Figures

Figure 1

13 pages, 1643 KB  
Article
Preparation of Enzyme-Activated Thapsigargin Prodrugs by Solid-Phase Synthesis
by Tomas Zimmermann, Søren Brøgger Christensen and Henrik Franzyk
Molecules 2018, 23(6), 1463; https://doi.org/10.3390/molecules23061463 - 15 Jun 2018
Cited by 10 | Viewed by 5562
Abstract
Since cells in solid tumors divide less rapidly than cells in the bone marrow or cells of the immune system, mitotic inhibitors often cause severe side effects when used for treatment of diseases like prostate cancer and breast cancer. One approach to overcome [...] Read more.
Since cells in solid tumors divide less rapidly than cells in the bone marrow or cells of the immune system, mitotic inhibitors often cause severe side effects when used for treatment of diseases like prostate cancer and breast cancer. One approach to overcome this problem involves attempts at developing drugs based on general cytotoxins, like calicheamicin and thapsigargin, which kill cells at all phases of the cell cycle. However, such toxins can only be used when efficient targeting to the malignant tissue is possible. In the case of thapsigargin, selectivity for tumor-associated cells is achieved by conjugating the drug to a peptide that is only cleaved in the vicinity of tumors to release the cytotoxic drug or an analog with retained activity. Solid-phase synthesis protocols were developed for preparation of three already validated prodrugs of thapsigargin: one prodrug cleavable by human kallikrein 2, one prodrug cleavable by prostate-specific antigen, and one prodrug cleavable by prostate-specific membrane antigen. Full article
(This article belongs to the Special Issue Solid Phase Synthesis)
Show Figures

Figure 1

Back to TopTop