Reevaluating Patient Eligibility for Inotuzumab Ozogamicin Based on CD22 Expression: Is Dim Expression Sufficient?
Abstract
1. Introduction
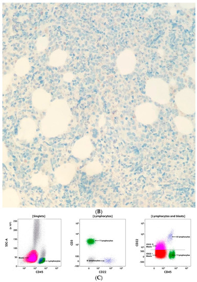
2. The Case
3. Discussion
4. Conclusions
Author Contributions
Funding
Conflicts of Interest
References
- Haso, W.; Lee, D.W.; Shah, N.N.; Stetler-Stevenson, M.; Yuan, C.M.; Pastan, I.H.; Dimitrov, D.S.; Morgan, R.A.; Fitzgerald, D.J.; Barrett, D.M.; et al. Anti-CD22–chimeric antigen receptors targeting B-cell precursor acute lymphoblastic leukemia. Blood 2013, 121, 1165–1174. [Google Scholar] [CrossRef] [PubMed]
- Kantarjian, H.M.; De Angelo, D.J.; Stelljes, M.; Martinelli, G.; Liedtke, M.; Stock, W.; Gökbuget, N.; O’Brien, S.; Wang, K.; Wang, T.; et al. Inotuzumab Ozogamicin versus Standard Therapy for Acute Lymphoblastic Leukemia. N. Engl. J. Med. 2016, 375, 740–753. [Google Scholar] [CrossRef] [PubMed]
- Kantarjian, H.M.; DeAngelo, D.J.; Stelljes, M.; Liedtke, M.; Stock, W.; Gökbuget, N.; O’Brien, S.M.; Jabbour, E.; Wang, T.; White, J.L.; et al. Inotuzumab ozogamicin versus standard of care in relapsed or refractory acute lymphoblastic leukemia: Final report and long-term survival follow-up from the randomized, phase 3 INO-VATE study. Cancer 2019, 125, 2474–2487. [Google Scholar] [CrossRef] [PubMed]
- Engel, P.; Wagner, N.; Miller, A.S.; Tedder, T.F. Identification of the ligand-binding domains of CD22, a member of the immunoglobulin superfamily that uniquely binds a sialic acid-dependent ligand. J. Exp. Med. 1995, 181, 1581–1586. [Google Scholar] [CrossRef] [PubMed]
- Di Joseph, J.F.; Popplewell, A.; Tickle, S.; Ladyman, H.; Lawson, A.; Kunz, A.; Khandke, K.; Armellino, D.C.; Boghaert, E.R.; Hamann, P.R.; et al. Antibody-targeted chemotherapy of B-cell lymphoma using calicheamicin conjugated to murine or humanized antibody against CD22. Cancer Immunol. Immunother. 2004, 54, 11–24. [Google Scholar] [CrossRef] [PubMed]
- O’Donnell, R.T.; Pearson, D.; McKnight, H.C.; Ma, Y.P.; Tuscano, J.M. Treatment of non-Hodgkin’s lymphoma xenografts with the HB22.7 anti-CD22 monoclonal antibody and phosphatase inhibitors improves efficacy. Cancer Immunol. Immunother. 2009, 58, 1715–1722. [Google Scholar] [CrossRef] [PubMed]
- Rev, E. Rabbit Anti-Human CD22 Monoclonal Antibody (Clone SP104). Spring Bioscience 1–2. Available online: https://www.diagomics.com/media/file/4a/19/02e0b5be59d7281c3c9c9623b5bf.pdf (accessed on 10 October 2020).
- Hagop, K.M.; Stock, W.; Cassaday, R.D.; De Angelo, D.J.; Jabbour, E.J.; O’Brien, S.; Stelljes, M.; Wang, T.; Paccagnella, L.; Nguyen, K.; et al. Inotuzumab Ozogamicin for Relapsed/Refractory Acute Lymphoblastic Leukemia in the Global Phase 3 INO-VATE Trial: Efficacy and Safety By Baseline CD22 Expression Level. Blood 2017, 130 (Suppl. 1), 1272. [Google Scholar]
- Dang, N.H.; Ogura, M.; Castaigne, S.; Fayad, L.E.; Jerkeman, M.; Radford, J.; Pezzutto, A.; Bondarenko, I.; Stewart, D.A.; Shnaidman, M.; et al. Randomized, Phase 3 Trial of Inotuzumab Ozogamicin plus Rituximab versus Chemotherapy plus Rituximab for Relapsed/Refractory Aggressive B-Cell Non-Hodgkin Lymphoma. Br. J. Haematol. 2018, 82, 583–586. [Google Scholar] [CrossRef] [PubMed]
- Di Joseph, J.F.; Dougher, M.M.; Armellino, D.C.; Evans, D.Y.; Damle, N.K. Therapeutic potential of CD22-specific antibody-targeted chemotherapy using inotuzumab ozogamicin (CMC-544) for the treatment of acute lymphoblastic leukemia. Leukemia 2007, 21, 2240–2245. [Google Scholar] [CrossRef] [PubMed]
- Mansurov, A.; Byrne, M.; Krishnan, K. Successful Salvage with Inotuzumab Ozogamicin in Relapsed/Refractory Lymphoid Blast Crisis of Chronic Myeloid Leukemia after Failure of Multiple Lines of Therapy Including Blinatumomab. Blood 2018, 132, 5452. [Google Scholar] [CrossRef]
- Marks, D.I.; Kebriaei, P.; Stelljes, M.; Gökbuget, N.; Kantarjian, H.; Advani, A.S.; Merchant, A.; Stock, W.; Cassaday, R.D.; Wang, T.; et al. Outcomes of Allogeneic Stem Cell Transplantation after Inotuzumab Ozogamicin Treatment for Relapsed or Refractory Acute Lymphoblastic Leukemia. Biol. Blood Marrow Transpl. 2019, 25, 1720–1729. [Google Scholar] [CrossRef] [PubMed]



Publisher’s Note: MDPI stays neutral with regard to jurisdictional claims in published maps and institutional affiliations. |
© 2020 by the authors. Licensee MDPI, Basel, Switzerland. This article is an open access article distributed under the terms and conditions of the Creative Commons Attribution (CC BY) license (http://creativecommons.org/licenses/by/4.0/).
Share and Cite
Fingrut, W.; Davis, W.; McGinnis, E.; Dallas, K.; Ramadan, K.; Merkeley, H.; Leitch, H.; Abou Mourad, Y.; Cassaday, R.D.; Ross, C.; et al. Reevaluating Patient Eligibility for Inotuzumab Ozogamicin Based on CD22 Expression: Is Dim Expression Sufficient? Curr. Oncol. 2021, 28, 252-259. https://doi.org/10.3390/curroncol28010027
Fingrut W, Davis W, McGinnis E, Dallas K, Ramadan K, Merkeley H, Leitch H, Abou Mourad Y, Cassaday RD, Ross C, et al. Reevaluating Patient Eligibility for Inotuzumab Ozogamicin Based on CD22 Expression: Is Dim Expression Sufficient? Current Oncology. 2021; 28(1):252-259. https://doi.org/10.3390/curroncol28010027
Chicago/Turabian StyleFingrut, Warren, Wendy Davis, Eric McGinnis, Karen Dallas, Khaled Ramadan, Hayley Merkeley, Heather Leitch, Yasser Abou Mourad, Ryan D. Cassaday, Camilla Ross, and et al. 2021. "Reevaluating Patient Eligibility for Inotuzumab Ozogamicin Based on CD22 Expression: Is Dim Expression Sufficient?" Current Oncology 28, no. 1: 252-259. https://doi.org/10.3390/curroncol28010027
APA StyleFingrut, W., Davis, W., McGinnis, E., Dallas, K., Ramadan, K., Merkeley, H., Leitch, H., Abou Mourad, Y., Cassaday, R. D., Ross, C., & Léger, C. (2021). Reevaluating Patient Eligibility for Inotuzumab Ozogamicin Based on CD22 Expression: Is Dim Expression Sufficient? Current Oncology, 28(1), 252-259. https://doi.org/10.3390/curroncol28010027

