Sign in to use this feature.

Years

Between: -

Subjects

remove_circle_outline
remove_circle_outline
remove_circle_outline
remove_circle_outline
remove_circle_outline
remove_circle_outline
remove_circle_outline
remove_circle_outline
remove_circle_outline

Journals

remove_circle_outline
remove_circle_outline
remove_circle_outline
remove_circle_outline
remove_circle_outline
remove_circle_outline
remove_circle_outline

Article Types

Countries / Regions

remove_circle_outline
remove_circle_outline
remove_circle_outline
remove_circle_outline

Search Results (259)

Search Parameters:
Keywords = branch mortality

Order results
Result details
Results per page
Select all
Export citation of selected articles as:
21 pages, 5761 KB  
Review
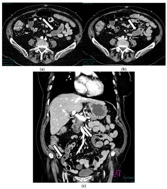
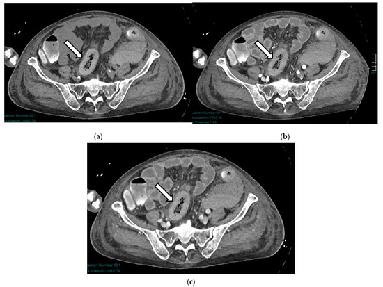
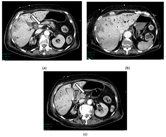
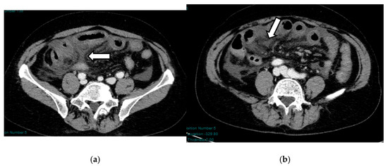
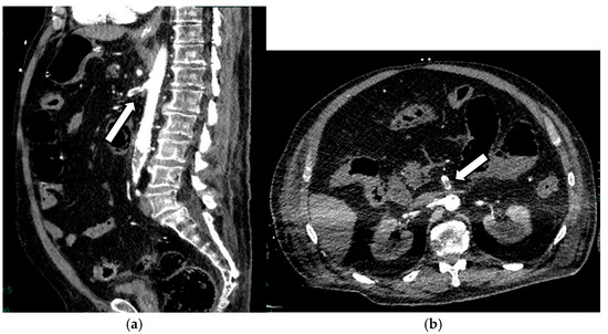
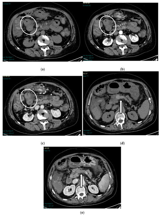
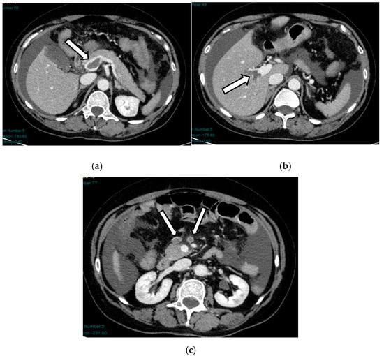
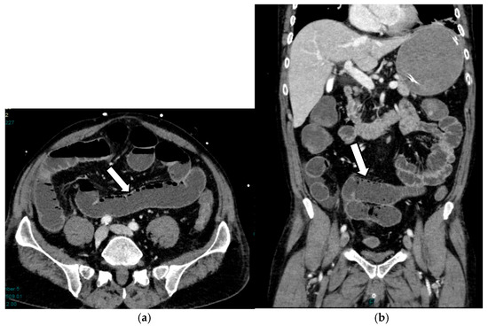
The Importance of Predicting Bowel Necrosis in Acute Mesenteric Ischemia: Narrative Review
by Caterina Giannessi, Diletta Cozzi, Ludovica Scalzone, Francesca Treballi, Matilde Anichini, Barbara Sessa, Anna Ferrarelli, Ginevra Danti and Vittorio Miele
Diagnostics 2026, 16(2), 332; https://doi.org/10.3390/diagnostics16020332 - 20 Jan 2026
Viewed by 229
Abstract
Acute mesenteric ischemia (AMI) is a clinical condition caused by vascular insufficiency, resulting in intestinal damage. Is often underestimated, if not driven by clinical suspicion, due to the non-specific clinical symptoms (usually represented by acute abdominal pain) and the absence of reliable markers, [...] Read more.
Acute mesenteric ischemia (AMI) is a clinical condition caused by vascular insufficiency, resulting in intestinal damage. Is often underestimated, if not driven by clinical suspicion, due to the non-specific clinical symptoms (usually represented by acute abdominal pain) and the absence of reliable markers, which results in a poor prognosis and high mortality. We can identify three main forms of AMI: arterial, venous, and non-occlusive. Arterial AMI is the most frequent form, caused by occlusion of the superior mesenteric artery or one of its branches. Venous AMI is the least frequent, caused by thrombosis of the superior mesenteric vein or its branches. Non-occlusive AMI is due to a state of hypovolemia, which is frequent in patients who have undergone surgery. Given the difficulty of diagnosis based on the clinic alone, the radiologist plays a central role in identifying radiological signs of intestinal ischemia and in avoiding misdiagnosis. The radiologist’s role is mainly to identify factors predictive of necrosis, which allow us to stratify patients and direct them towards the proper management. The aim of this review is to provide indications for an adequate CT protocol, including an unenhanced phase, an arterial phase, and a venous phase, as well as to underline the features to investigate in the different forms of AMI, in order to increase the diagnostic capacity in this challenging disease. Full article
(This article belongs to the Section Medical Imaging and Theranostics)
Show Figures

Figure 1

23 pages, 2211 KB  
Article
BEMF-Net: A Boundary-Enhanced Multi-Scale Feature Fusion Network
by Jiayi Zhang, Chao Xu and Zhengping Li
Electronics 2026, 15(2), 430; https://doi.org/10.3390/electronics15020430 - 19 Jan 2026
Viewed by 189
Abstract
The elevated morbidity and mortality of kidney cancer make the precise, automated segmentation of kidneys and tumors essential for supporting clinical diagnosis and guiding surgical interventions. Recently, the segmentation of kidney tumors has been significantly advanced by deep learning. However, persistent challenges include [...] Read more.
The elevated morbidity and mortality of kidney cancer make the precise, automated segmentation of kidneys and tumors essential for supporting clinical diagnosis and guiding surgical interventions. Recently, the segmentation of kidney tumors has been significantly advanced by deep learning. However, persistent challenges include the fuzzy boundaries of kidney tumors, multi-scale problems with kidney and renal tumors regarding location and size, and the strikingly similar textural characteristics of malignant lesions and the surrounding renal parenchyma. To overcome the aforementioned constraints, this study introduces a boundary-enhanced multi-scale feature fusion network (BEMF-Net) for endoscopic image segmentation of kidney tumors. This network incorporates a boundary-selective attention module (BSA) to cope with the renal tumor boundary ambiguity problem and obtain more accurate tumor boundaries. Furthermore, we introduce a multi-scale feature fusion attention module (MFA) designed to handle 4 distinct feature hierarchies captured by the encoder, enabling it to effectively accommodate the diverse size variations observed in kidney tumors. Finally, a hybrid cross-modal attention module (HCA) is introduced to conclude our design. It is designed with a dual-branch structure combining Transformer and CNN, thereby integrating both global contextual relationships and fine-grained local patterns. On the Re-TMRS dataset, our approach achieved mDice and mIoU scores of 91.2% and 85.7%. These results confirm its superior segmentation quality and generalization performance compared to leading existing methods. Full article
Show Figures

Figure 1

13 pages, 861 KB  
Article
Mid-Term Results of the Multicenter CAMPARI Registry Using the E-Liac Iliac Branch Device for Aorto-Iliac Aneurysms
by Francesca Noce, Giulio Accarino, Domenico Angiletta, Luca del Guercio, Sergio Zacà, Mafalda Massara, Pietro Volpe, Antonio Peluso, Loris Flora, Raffaele Serra and Umberto Marcello Bracale
J. Cardiovasc. Dev. Dis. 2026, 13(1), 48; https://doi.org/10.3390/jcdd13010048 - 15 Jan 2026
Viewed by 159
Abstract
Background: Intentional occlusion of the internal iliac artery (IIA) during endovascular repair of aorto-iliac aneurysms may predispose patients to pelvic ischemic complications such as gluteal claudication, erectile dysfunction, and bowel ischemia. Iliac branch devices (IBDs) have been developed to preserve hypogastric perfusion. [...] Read more.
Background: Intentional occlusion of the internal iliac artery (IIA) during endovascular repair of aorto-iliac aneurysms may predispose patients to pelvic ischemic complications such as gluteal claudication, erectile dysfunction, and bowel ischemia. Iliac branch devices (IBDs) have been developed to preserve hypogastric perfusion. E-Liac (Artivion/Jotec) is one of the latest modular IBDs yet reports on mid-term performance are limited to small single-center cohorts with short follow-up. The CAMpania PugliA bRanch IliaC (CAMPARI) study is a multicenter investigation of E-Liac outcomes. Methods: A retrospective observational cohort study was conducted across five Italian vascular centers. All consecutive patients undergoing E-Liac implantation for aorto-iliac or isolated iliac aneurysms between January 2015 and December 2024 were identified from prospectively maintained registries. Inclusion criteria comprised elective or urgent endovascular repair of aorto-iliac aneurysms in which an adequate distal sealing zone was not available without covering the IIA and suitability for the E-Liac device according to its instructions for use (IFU). Patients with a life expectancy < 1 year or hostile anatomy incompatible with the IFU were excluded. The primary end point was freedom from branch instability (occlusion/stenosis, kinking, or detachment of the bridging stent). Secondary end points included freedom from any endoleak, freedom from device-related reintervention, freedom from gluteal claudication, aneurysm-related and all-cause mortality, acute renal failure, and sac regression > 5 mm. Results: A total of 69 consecutive patients (68 male, 1 female, median age 72.0 years) received 74 E-Liac devices, including 5 bilateral implantations. The mean infrarenal aortic diameter was 45 mm and the mean CIA diameter 34 mm; 14 patients (20.0%) had a concomitant IIA aneurysm (>20 mm). Concomitant fenestrated or branched aortic repair was performed in 23% of procedures. Two patients received a standalone IBD without implantation of a proximal aortic endograft. Technical success was achieved in 71/74 cases (96.0%); three failures occurred due to inability to catheterize the IIA. Distal landing was in the main IIA trunk in 58 cases and in the posterior branch in 13 cases. Over a median follow-up of 18 (6; 36) months, there were four branch instability events (5.4%): three occlusions and one bridging stent detachment. Seven patients (9.5%) developed endoleaks (one type Ib, two type II, two type IIIa, and two type IIIc). Five patients (6.8%) required reintervention, and five (6.8%) reported gluteal claudication. There were seven all-cause deaths (10%), none within 30 days or related to aneurysm rupture; causes included COVID-19 pneumonia, acute coronary syndrome, melanoma, gastric cancer, and stroke. No acute renal or respiratory failure occurred. Kaplan–Meier analysis showed 92% (95% CI 77–100) freedom from branch instability in the main-trunk group and 89% (60–100) in the posterior-branch group (log-rank p = 0.69). Freedom from any endoleak at 48 months was 87% (95% CI 75–95), and freedom from reintervention was 93% (95% CI 83–98). Conclusions: In this multicenter cohort, the E-Liac branched endograft demonstrated high technical success and favorable early–mid-term outcomes. Preservation of hypogastric perfusion using E-Liac was associated with low rates of branch instability, endoleak, and reintervention, with no 30-day mortality or aneurysm-related deaths. These findings support the safety and efficacy of E-Liac for aorto-iliac aneurysm management, although larger prospective studies with longer follow-up are needed. Full article
Show Figures

Graphical abstract

31 pages, 17740 KB  
Article
HR-UMamba++: A High-Resolution Multi-Directional Mamba Framework for Coronary Artery Segmentation in X-Ray Coronary Angiography
by Xiuhan Zhang, Peng Lu, Zongsheng Zheng and Wenhui Li
Fractal Fract. 2026, 10(1), 43; https://doi.org/10.3390/fractalfract10010043 - 9 Jan 2026
Viewed by 312
Abstract
Coronary artery disease (CAD) remains a leading cause of mortality worldwide, and accurate coronary artery segmentation in X-ray coronary angiography (XCA) is challenged by low contrast, structural ambiguity, and anisotropic vessel trajectories, which hinder quantitative coronary angiography. We propose HR-UMamba++, a U-Mamba-based framework [...] Read more.
Coronary artery disease (CAD) remains a leading cause of mortality worldwide, and accurate coronary artery segmentation in X-ray coronary angiography (XCA) is challenged by low contrast, structural ambiguity, and anisotropic vessel trajectories, which hinder quantitative coronary angiography. We propose HR-UMamba++, a U-Mamba-based framework centered on a rotation-aligned multi-directional state-space scan for modeling long-range vessel continuity across multiple orientations. To preserve thin distal branches, the framework is equipped with (i) a persistent high-resolution bypass that injects undownsampled structural details and (ii) a UNet++-style dense decoder topology for cross-scale topological fusion. On an in-house dataset of 739 XCA images from 374 patients, HR-UMamba++ is evaluated using eight segmentation metrics, fractal-geometry descriptors, and multi-view expert scoring. Compared with U-Net, Attention U-Net, HRNet, U-Mamba, DeepLabv3+, and YOLO11-seg, HR-UMamba++ achieves the best performance (Dice 0.8706, IoU 0.7794, HD95 16.99), yielding a relative Dice improvement of 6.0% over U-Mamba and reducing the deviation in fractal dimension by up to 57% relative to U-Net. Expert evaluation across eight angiographic views yields a mean score of 4.24 ± 0.49/5 with high inter-rater agreement. These results indicate that HR-UMamba++ produces anatomically faithful coronary trees and clinically useful segmentations that can serve as robust structural priors for downstream quantitative coronary analysis. Full article
Show Figures

Figure 1

10 pages, 1305 KB  
Communication
Modeling Pine Caterpillar, Dendrolimus spectabilis (Lepidoptera: Lasiocampidae), Population Dynamics with a Stage-Structured Matrix Model Based on Field Observations
by Young-Kyu Park, Youngwoo Nam and Won Il Choi
Insects 2026, 17(1), 56; https://doi.org/10.3390/insects17010056 - 1 Jan 2026
Viewed by 362
Abstract
Population models offer insights into both theoretical and practical aspects of insect population dynamics. Among the models, stage-structured matrix models are used to describe the population dynamics of insects because the development of insects is by nature stage-structured. Field populations of the pine [...] Read more.
Population models offer insights into both theoretical and practical aspects of insect population dynamics. Among the models, stage-structured matrix models are used to describe the population dynamics of insects because the development of insects is by nature stage-structured. Field populations of the pine caterpillar, Dendrolimus spectabilis (Lepidoptera: Lasiocampidae) were monitored in a pine stand located in Dorak-ri, Cheongsan-myeon, Wando-gun, Jeollanam-do, from May 1998 to March 1999, and the pest density was measured as the number of larvae, pupae, or eggs at one-month intervals, excluding the winter season. Life tables and matrix models were constructed based on field observations, and the most vulnerable life stage was identified through sensitivity analysis. The density of the pine caterpillar (number per 1000 cm2 branch) was 7.9 on 8 May 1998, and subsequently decreased to 0.5 on 14 March 1999, showing a decreasing trend of caterpillar density. The population growth rate was 0.74, a decreasing trend. The most vulnerable stages were (1) the larvae immediately after hatching and (2) again during overwintering, probably due to indirect mortality caused by humid conditions and activities of natural enemies during winter. Given the significant damage caused by mature larvae in the spring and that the density of the caterpillar after overwintering typically remains stable, forest management requires that the pest density be monitored soon after overwintering to allow decisions about control measures to be taken. Our results showed that a matrix model is useful to describe the population dynamics of the pine caterpillar and to construct suitable management strategies. Full article
Show Figures

Figure 1

13 pages, 2706 KB  
Article
Open Iliac Conduits Enabling the New Era of Endovascular Aortic Repair in Hostile Iliofemoral Anatomy: A Single-Center Retrospective Study
by Konstantinos Litinas, Michalis Pesmatzoglou, Nikolaos Kontopodis, Ioannis Kakisis and Christos V. Ioannou
Medicina 2026, 62(1), 17; https://doi.org/10.3390/medicina62010017 - 22 Dec 2025
Viewed by 248
Abstract
Background and Objectives: Hostile iliofemoral anatomy (HIA) challenges large-bore access in thoracic, branched, or fenestrated endovascular aortic repair (t/b/fEVAR). Retroperitoneal open iliac conduit (ROIC) enables safe delivery, but data in complex t/b/fEVAR are scarce. Materials and Methods: This retrospective single-center cohort [...] Read more.
Background and Objectives: Hostile iliofemoral anatomy (HIA) challenges large-bore access in thoracic, branched, or fenestrated endovascular aortic repair (t/b/fEVAR). Retroperitoneal open iliac conduit (ROIC) enables safe delivery, but data in complex t/b/fEVAR are scarce. Materials and Methods: This retrospective single-center cohort study (2017–2025) of 80 t/b/fEVAR patients followed STROBE guidelines. Eight (10%) required elective ROIC for HIA (small iliac diameter < 7 mm or occlusive disease). Outcomes were compared to 23 no-conduit complex endovascular aortic repair cases. Results: ROIC patients [50% female, 87.5% smokers] had higher PAD [62.5% vs. 17.4%, p-value = 0.015]. All ROICs were elective [vs. 69.5% no-conduit, p-value = 0.076]; indications: Type V TAAA [50%], synchronous aneurysms (25%), Type II TAAA [12.5%] and arch aneurysm [12.5%]. Median operative time [365 vs. 200 min, p-value = 0.002], blood loss [1190 vs. 600 cc, p-value < 0.001], and contrast [420 vs. 300 cc, p-value = 0.004] were higher. Technical success was 100% [8/8] vs. 86.9% [20/23] (p-value = 0.28), and clinical success was 87.5% vs. 78.2% (p-value = 0.569). Median ICU stay [3 d vs. 2 d, p-value = 0.817] and hospital stay [12 d vs. 9 d, p-value = 0.404] were prolonged, albeit without statistically significant differences. In-hospital mortality was similar (12.5% vs. 17.4%, p-value = 0.746) between groups. One ROIC patient had intraoperative cardiac arrest [sheath dislodgement]; another required a covered stent for anastomotic rupture. At 12-month follow-up, one Type III endoleak required relining. Conclusions: Planned retroperitoneal open iliac conduits achieved 100% technical success in patients with hostile iliofemoral anatomy, without ischemic complications, despite longer operative times and higher blood loss. ROIC remains a safe and indispensable technique that extends complex endovascular aortic repair to otherwise ineligible patients. Full article
(This article belongs to the Section Cardiology)
Show Figures

Figure 1

13 pages, 2737 KB  
Case Report
Fatal West Nile Encephalomyelitis in a Young Woman with Hypoparathyroidism and Sjögren’s Syndrome. Molecular Insights into Viral Neuro-Invasivity
by Pasquale Padalino, Laura Secco, Eva Grosso, Giorgia Franchetti, Stefano Palumbi, Renzo Giordano and Guido Viel
Int. J. Mol. Sci. 2026, 27(1), 104; https://doi.org/10.3390/ijms27010104 - 22 Dec 2025
Viewed by 330
Abstract
West Nile virus (WNV) is an arthropod-borne flavivirus first identified in 1937. Over time, WNV has spread globally and is now endemic in Italy. Although most human WNV infections are asymptomatic (80%), less than 1% progress to a neuroinvasive disease with high mortality [...] Read more.
West Nile virus (WNV) is an arthropod-borne flavivirus first identified in 1937. Over time, WNV has spread globally and is now endemic in Italy. Although most human WNV infections are asymptomatic (80%), less than 1% progress to a neuroinvasive disease with high mortality rates. This case involves a 45-year-old woman with post-surgical hypoparathyroidism and Sjögren’s syndrome who developed severe encephalomyelitis linked to WNV, leading to ventilator-associated pneumonia and death. Neuropathological findings revealed a bilaterally cribriform thalamus and reddish punctate lesions near the dentate nucleus of the cerebellum. The trachea and bronchial hilum branches contained whitish foamy liquid. The left lung showed multiple brownish-violet areas, with whitish regions at dissection. The heart appeared unremarkable. A detailed neuropathological examination focused on areas involved in motor control pathways. Tissue samples were stained with hematoxylin and eosin and trichrome techniques, and immunohistochemistry was performed using CD68, CD3, and CD20. A significant damage was observed in the lenticular nucleus and motor thalamus, with prominent concentric vascular calcifications. The cerebellar cortex showed near-total depletion of Purkinje cells. In the spinal cord, CD68 and CD3 positivity was noted in the lateral funiculi, anterior horns, and Clarke’s column. Lung findings showed pulmonary edema, chronic emphysema, and bronchopneumonia. The observed CD3 and CD68 positivity confirms that WNV spreads trans-synaptically along motor control pathways. We speculate on the potential molecular mechanisms by which hypoparathyroidism and Sjögren’s syndrome may have played a role in the neuroinvasive progression of the disease. Full article
(This article belongs to the Special Issue Molecular Forensics at Trial)
Show Figures

Figure 1

12 pages, 2323 KB  
Article
Feasibility and Early and Midterm Outcomes of Midaortic Syndrome: A Retrospective Cohort Study
by Hamad Algedaiby, Maher Fattoum and Michael Keese
J. Clin. Med. 2026, 15(1), 36; https://doi.org/10.3390/jcm15010036 - 20 Dec 2025
Viewed by 249
Abstract
Background: Midaortic Syndrome (MAS) is a rare vascular condition characterized by segmental narrowing of the thoracic and abdominal aorta, often involving ostial narrowing of the renal or visceral arteries. While open surgical repair has been the standard treatment, it carries significant morbidity, [...] Read more.
Background: Midaortic Syndrome (MAS) is a rare vascular condition characterized by segmental narrowing of the thoracic and abdominal aorta, often involving ostial narrowing of the renal or visceral arteries. While open surgical repair has been the standard treatment, it carries significant morbidity, especially in high-risk patients. Endovascular techniques, including the Chimney approach, provide a minimally invasive alternative to preserve and reestablish both aortic and branch vessel perfusion. This study evaluates the feasibility, safety, and early and midterm outcomes of the Chimney technique used in a cohort of patients with MAS. Methods: Between 2019 and 2025, 9 patients with MAS and branch vessel involvement underwent endovascular repair using the Chimney technique at Brüderklinikum Julia Lanz Hospital in the Mannheim Teaching Hospital of Heidelberg University. Pre-procedural planning was based on computed tomography angiography. Technical success, peri-procedural complications, changes in blood pressure, renal function, and target-vessel stent patency were monitored. Patients were followed over a median of 3 years (range, 0.08–6 years). Results: Nine patients (mean age 77.2 ± 8.7 years; 66.6% female) underwent endovascular repair for midaortic syndrome. All patients were unfit for open surgery. Comorbidities included hypertension (100%), coronary artery disease (100%), and chronic kidney disease (77.7%). Technical success and target-vessel patency were 100%, with no intraoperative deaths, impairment of renal function, or 30-day mortality. One patient (11.1%) developed an access-site hematoma, which was managed conservatively. Median hospital stay was 6 days. During a median 3-year follow-up (range 1 month–6 years), all chimney stents remained patent, patients experienced durable symptom relief, blood pressure improvement, and freedom from reintervention. Conclusions: The Chimney technique offers a safe and effective endovascular option for high-risk patients with Midaortic Syndrome, achieving high technical success, preserved branch-vessel patency, and improvement of symptoms. Larger studies with longer follow-up are warranted to confirm durability and optimize patient selection for this technique. Full article
(This article belongs to the Section Cardiovascular Medicine)
Show Figures

Figure 1

24 pages, 2232 KB  
Article
Longitudinal Fecal Short-Chain Fatty Acid Trajectories in Preterm Infants with Early-Onset Neonatal Sepsis: A Pilot Study
by Evgenii Kukaev, Olga Krogh-Jensen, Natalia Starodubtseva, Alisa Tokareva, Irina Nikitina, Anna Lenyushkina, Vladimir Frankevich and Gennady Sukhikh
Life 2025, 15(12), 1943; https://doi.org/10.3390/life15121943 - 18 Dec 2025
Viewed by 513
Abstract
Background: Early-onset neonatal sepsis (EONS), defined as systemic infection occurring within the first 72 hours of life, remains a major cause of morbidity and mortality in preterm infants. Increasing evidence indicates that the gut may play an active role in systemic inflammation, yet [...] Read more.
Background: Early-onset neonatal sepsis (EONS), defined as systemic infection occurring within the first 72 hours of life, remains a major cause of morbidity and mortality in preterm infants. Increasing evidence indicates that the gut may play an active role in systemic inflammation, yet the temporal behavior of fecal short-chain fatty acids (SCFAs) during EONS has not been characterized. SCFAs and branched-chain fatty acids (BCFAs) are key microbial metabolites involved in epithelial maturation and immune regulation and may provide a non-invasive window into early inflammatory vulnerability. Methods: This pilot prospective longitudinal cohort study enrolled 49 preterm infants (≤32 weeks’ gestation) originally identified as at high risk for necrotizing enterocolitis (NEC) and subsequently stratified into EONS and non-sepsis groups. Serial stool samples were collected at predefined timepoints (TPs; TP1 ≈ 3 days of life [DoL], TP2 ≈ 7 DoL, TP3 ≈ 14 DoL, TP4 ≈ 21 DoL, and TP5 ≈ 28 DoL). Samples were analyzed using gas chromatography–mass spectrometry (GC–MS) to quantify a panel of 12 SCFAs, including BCFAs and medium-chain fatty acids (MCFAs). Both absolute concentrations and relative fractions were evaluated, with emphasis on ratio-based metrics (e.g., acetic/propionic acid ratio) and timepoint-specific group contrasts, complemented by partial least squares discriminant analysis (PLS–DA). Results: At the earliest sampling window (TP1), infants with EONS exhibited distinct early changes in SCFA composition, including a significantly lower median relative fraction of acetic acid (86.6% vs. 94.5% in non-sepsis), while several non-acetate components—including propionic, valeric, and branched-chain acids—were relatively enriched. Acetate-to-non-acetate ratios were markedly reduced in EONS (e.g., acetic/propionic and acetic/isobutyric ratios), indicating an early shift away from acetate dominance. PLS–DA at TP1 demonstrated partial separation between groups, with acetic-acid depletion and non-acetate enrichment among the strongest contributors to discrimination. By later TPs, these early differences narrowed to a small subset of BCFA-related ratios and largely attenuated by the end of the first month. Conclusions: In this pilot cohort of preterm infants, EONS was associated with early, structured alterations in fecal SCFA profiles, characterized by reduced acetic-acid dominance and relative enrichment of non-acetate acids. Dynamic, ratio-based assessment proved more informative than absolute concentrations alone, revealing transient intestinal metabolic signatures accompanying systemic infection. These findings provide the first longitudinal evidence of gut metabolic involvement in EONS and lay the groundwork for larger, multi-center studies integrating SCFA trajectories with microbiome and immune profiling to refine early risk stratification for systemic infection in high-risk neonatal populations. Full article
Show Figures

Figure 1

32 pages, 4909 KB  
Article
A Lightweight Hybrid Deep Learning Model for Tuberculosis Detection from Chest X-Rays
by Majdi Owda, Ahmad Abumihsan, Amani Yousef Owda and Mobarak Abumohsen
Diagnostics 2025, 15(24), 3216; https://doi.org/10.3390/diagnostics15243216 - 16 Dec 2025
Viewed by 802
Abstract
Background/Objectives: Tuberculosis remains a significant global health problem, particularly in resource-limited environments. Its mortality and spread can be considerably decreased by early and precise detection via chest X-ray imaging. This study introduces a novel approach based on hybrid deep learning for Tuberculosis [...] Read more.
Background/Objectives: Tuberculosis remains a significant global health problem, particularly in resource-limited environments. Its mortality and spread can be considerably decreased by early and precise detection via chest X-ray imaging. This study introduces a novel approach based on hybrid deep learning for Tuberculosis detection from chest X-ray images. Methods: The introduced approach combines GhostNet, a lightweight convolutional neural network tuned for computational efficiency, and MobileViT, a transformer-based model that can capture both local spatial patterns and global contextual dependencies. Through such integration, the model attains a balanced trade-off between classification accuracy and computational efficiency. The architecture employs feature fusion, where spatial features from GhostNet and contextual representations from MobileViT are globally pooled and concatenated, which allows the model to learn discriminative and robust feature representations. Results: The suggested model was assessed on two publicly available chest X-ray datasets and contrasted against several cutting-edge convolutional neural network architectures. Findings showed that the introduced hybrid model surpasses individual baselines, attaining 99.52% accuracy on dataset 1 and 99.17% on dataset 2, while keeping low computational cost (7.73M parameters, 282.11M Floating Point Operations). Conclusions: These outcomes verify the efficacy of feature-level fusion between a convolutional neural network and transformer branches, allowing robust tuberculosis detection with low inference overhead. The model is ideal for clinical deployment and resource-constrained contexts due to its high accuracy and lightweight design. Full article
(This article belongs to the Section Machine Learning and Artificial Intelligence in Diagnostics)
Show Figures

Figure 1

16 pages, 5703 KB  
Article
Genome-Wide Identification of PGRP Gene Family and Its Role in Dendrolimus kikuchii Immune Response Against Bacillus thuringiensis Infection
by Yanjiao Tang, Zizhu Wang, Qiang Guo, Xue Fu, Ning Zhao, Bin Yang and Jielong Zhou
Biology 2025, 14(12), 1783; https://doi.org/10.3390/biology14121783 - 13 Dec 2025
Viewed by 388
Abstract
Peptidoglycan recognition proteins (PGRPs) are conserved pattern recognition receptors (PRRs) that play key roles in insect innate immunity by binding bacterial peptidoglycan (PGN) and activating downstream signaling pathways. The Dendrolimus kikuchii, a major defoliator of coniferous forests in southern China, has incompletely [...] Read more.
Peptidoglycan recognition proteins (PGRPs) are conserved pattern recognition receptors (PRRs) that play key roles in insect innate immunity by binding bacterial peptidoglycan (PGN) and activating downstream signaling pathways. The Dendrolimus kikuchii, a major defoliator of coniferous forests in southern China, has incompletely characterized immune defenses. This study systematically identified the PGRP gene family in D. kikuchii based on genome-wide data, identifying 10 PGRP genes with typical PGRP/Amidase_2 conserved domains, including 6 PGRP-S proteins and 4 PGRP-L proteins. Additionally, to further investigate the evolutionary relationships of these PGRP genes, a maximum likelihood (ML) phylogenetic tree was constructed using PGRP amino acid sequences from 6 different insect species, along with the 10 PGRP amino acid sequences from D. kikuchii. Phylogenetic analysis revealed that the DkikPGRP genes of D. kikuchii are distributed across distinct evolutionary branches and share high homology with PGRP genes from other insects, suggesting a close evolutionary relationship between the PGRP genes of D. kikuchii and those of other insect species. Transcriptome profiling revealed that DkikPGRP-S1, -S2, -S3, -S4, and -S5 were upregulated in the midgut, fat body, and hemolymph after Bt infection, showing tissue- and time-specific immune responses. Functional assays using siRNA knockdown demonstrated distinct roles of DkikPGRP-S4 and DkikPGRP-S5: DkikPGRP-S5 mainly promoted antimicrobial peptide (AMP) expression, including attacin, lebocin, lysozyme, and cecropin, whereas DkikPGRP-S4 showed a complex regulatory pattern, enhancing lebocin and lysozyme but suppressing attacin without affecting gloverin or cecropin. Silencing either gene significantly increased larval mortality upon Bt challenge. These results highlight the specialized immune regulatory functions of PGRPs in D. kikuchii, provide new insights into host–pathogen interactions, and suggest potential molecular targets for sustainable pest management strategies. Full article
Show Figures

Figure 1

17 pages, 1233 KB  
Article
The Application of Multimodal Data Fusion Algorithm MULTINet in Postoperative Risk Assessment of TAVR
by Wei He, Jiawei Luo and Xiaoyan Yang
J. Clin. Med. 2025, 14(24), 8620; https://doi.org/10.3390/jcm14248620 - 5 Dec 2025
Viewed by 479
Abstract
Background: Transcatheter aortic valve replacement (TAVR) has emerged as a pivotal minimally invasive interventional therapy for aortic valve disease and has seen increasingly widespread clinical adoption in recent years. Despite its overall safety, the adverse events and even deaths in the postoperative period [...] Read more.
Background: Transcatheter aortic valve replacement (TAVR) has emerged as a pivotal minimally invasive interventional therapy for aortic valve disease and has seen increasingly widespread clinical adoption in recent years. Despite its overall safety, the adverse events and even deaths in the postoperative period still account for a certain percentage. Accurate identification of high-risk patients is therefore critical for optimizing preoperative decision making, guiding individualized treatment strategies and improving long-term outcomes. However, existing scoring systems and predictive models fail to fully leverage multimodal clinical data from patients, resulting in suboptimal predictive accuracy that falls short of the demands of precision medicine, indicating substantial room for improvement. Methods: In this study, a multimodal deep learning model named MULTINet (multimodal learning for TAVR risk network) was constructed using data from the MIMIC-IV (Medical Information Mart for Intensive Care) cohort. This model achieved unimodal and multimodal modeling through a dual-branch structure, and, by using an attention pooling fusion module, flexibly handled the input that contained missing modalities, to predict the 30-day all-cause mortality in TAVR patients. The area under the receiver operating characteristic curve (AUC), the area under the precision–recall curve (AUPR) and the recall rate were used for prediction evaluation. The calibration degree was evaluated by calibration diagrams and Brier scores, and its clinical practicability was assessed through decision curve analysis (DCA). And the integrated gradient method was used to identify key predictive features to enhance interpretability of the model. Results: In the postoperative 30-day all-cause mortality prediction task, the MULTINet method achieved an AUC value of 0.9153, AUPR value of 0.5708 and Recall value of 0.8051, which was significantly superior to the XGBoost method (AUC 0.8958, AUPR 0.4053 and Recall 0.7793) and the MedFuse method (AUC 0.5571, AUPR 0.2487 and Recall 0.3089). The MULTINet method demonstrated more robust and reliable probability estimation performance, with a Brier score of 0.0269, outperforming XGBoost (0.0343) and MedFuse (0.2496). It achieved a higher net benefit in decision analysis, reflecting its effectiveness in strategy optimization and actual decision-making benefits. The renal function, cardiac function and inflammation-related indicators contributed greatly in the prediction process. Conclusions: The multimodal deep learning model proposed in this study named MULTINet enables adaptive integration of multimodal clinical information for predicting all-cause mortality within 30 days post-TAVR, substantially improving both predictive accuracy and clinical applicability, providing robust support for clinical decision making and boosting TAVR management toward greater precision and intelligence. Full article
(This article belongs to the Special Issue Application of Artificial Intelligence in Cardiology)
Show Figures

Figure 1

23 pages, 1769 KB  
Review
Purse Seine Capture of Small Pelagic Species: A Critical Review of Welfare Hazards and Mitigation Strategies Through the fair-fish Database
by Caroline Marques Maia, Vighnesh Samel and Jenny Volstorf
Fishes 2025, 10(12), 614; https://doi.org/10.3390/fishes10120614 - 29 Nov 2025
Viewed by 779
Abstract
This review examines the animal welfare implications associated with the purse seine fishing method as applied to the following small pelagic species: Atlantic herring (Clupea harengus), Peruvian anchoveta (Engraulis ringens), Atlantic chub mackerel (Scomber colias), and Atlantic [...] Read more.
This review examines the animal welfare implications associated with the purse seine fishing method as applied to the following small pelagic species: Atlantic herring (Clupea harengus), Peruvian anchoveta (Engraulis ringens), Atlantic chub mackerel (Scomber colias), and Atlantic mackerel (Scomber scombrus). The analysis is based on synthesized data from the purse seine Method Profile, recently introduced in the catch branch of the fair-fish database—an open-access platform dedicated to compiling, evaluating, and systematically categorizing technical and/or scientific literature on aquatic animal behaviour and welfare. The Method Profile is a novel tool that outlines the commercial relevance of the respective fishing method, its target species, and general operational setup. It provides a structured overview of welfare hazards encountered across the main phases of the fishing process, including prospection, setting, capture, hauling, emersion, gear release, sorting, storage, and stunning and slaughter. In addition, this profile also addresses bycatch and discarding issues as well as environmental hazards associated with the fishing method. Identified welfare concerns in purse seining for the four small pelagic species include high stress levels resulting from intense crowding—primarily leading to hypoxia, mechanical injuries, and mortality—as well as issues related to scooping or pumping fish on board, (live) storage, and the lack of effective stunning and slaughter protocols. Furthermore, the bycatch rate of (undersized) target and diverse non-target species, as well as ghost fishing from abandoned, lost, or discarded gear, pose significant risks requiring effective mitigation. In this review, we critically evaluate factors influencing the welfare outcomes of the four pelagic species caught by purse seine and discuss potential mitigation strategies, such as operational improvements, gear modifications, and management measures. Full article
(This article belongs to the Special Issue Fisheries Monitoring and Management)
Show Figures

Figure 1

15 pages, 2534 KB  
Article
Emergence and Pathogenicity of a Novel Goose Adenovirus Type 4 Strain JA2485: Insights for Poultry Disease Control
by Bingjie Li, Jingjing Chang, Xiaoyang Cao, Wenwen Zhou, Lin Liu, Wenming Gao, Zongmei Huang, Jingrui Liu, Xiaojie Zhou, Yuman Liu, Yapeng Song and Xinsheng Li
Viruses 2025, 17(12), 1560; https://doi.org/10.3390/v17121560 - 28 Nov 2025
Viewed by 547
Abstract
In recent years, the prevalence and variation of goose adenoviruses, especially Goose Adenovirus Type 4 (GoAdV-4), have threatened waterfowl farming, while their genetic evolution and pathogenic mechanisms remain unelucidated. In May 2024, a novel GoAdV-4 strain (JA2485) was isolated from diseased Sanhua geese [...] Read more.
In recent years, the prevalence and variation of goose adenoviruses, especially Goose Adenovirus Type 4 (GoAdV-4), have threatened waterfowl farming, while their genetic evolution and pathogenic mechanisms remain unelucidated. In May 2024, a novel GoAdV-4 strain (JA2485) was isolated from diseased Sanhua geese in Jian City, Jiangxi Province, China. It propagated in 11–13-day-old goose embryos, with a 50% embryo infectious dose (EID50) of 102.2/0.1 mL. Whole-genome sequencing (GenBank Accession No. PQ152938) showed its genome is 43,030 base pairs long, containing 33 protein-coding regions and 2 fiber genes. Phylogenetic analysis revealed JA2485 is closely related to the Hungarian P29 strain and Chinese CH-FJZZ-202201 strain (nucleotide similarity: 94–96.8%), but clusters in a different branch from other avian adenoviruses. In pathogenicity tests on 1-day-old Sanhua geese, both subcutaneous injection and oral inoculation groups had 50% mortality. Infected geese showed weight loss, depression, reduced appetite, increased recumbency, and even paralysis in severe cases. Post mortem examination revealed hepatic rounded margins, yellowing, focal hemorrhages, and renal hemorrhagic lesions. Notably, viral loads were highest in the liver, duodenum, and cloacal swabs, suggesting fecal transmission. This study provides a key basis for clarifying GoAdV-4’s evolutionary characteristics and pathogenic mechanisms, and formulating targeted prevention strategies. Full article
(This article belongs to the Section Animal Viruses)
Show Figures

Figure 1

13 pages, 2993 KB  
Article
Coral Recruitment and Survival in a Remote Maldivian Atoll 11 Years Apart
by Alice Oprandi, Ilaria Mancini, Annalisa Azzola, Carlo Nike Bianchi, Carla Morri, Valentina Asnaghi and Monica Montefalcone
J. Mar. Sci. Eng. 2025, 13(12), 2274; https://doi.org/10.3390/jmse13122274 - 28 Nov 2025
Viewed by 358
Abstract
Recruitment is a crucial process for the recovery of coral populations after large-scale disturbances causing mass mortality events such as coral bleaching. This study examined the juvenile coral community of the remote Huvadhoo Atoll (southern Maldives, Indian Ocean) 11 years apart (2009 and [...] Read more.
Recruitment is a crucial process for the recovery of coral populations after large-scale disturbances causing mass mortality events such as coral bleaching. This study examined the juvenile coral community of the remote Huvadhoo Atoll (southern Maldives, Indian Ocean) 11 years apart (2009 and 2020). Coral recruits (≤5 cm) and juveniles (5–15 cm) were surveyed at eight reef sites located in both lagoon- and ocean-facing environments, under the hypothesis that density and survival of recruits differ with respect to exposure. The total mean number of recruits differed slightly between years, with densities of 25 individuals·m−2 in 2009 and 30 individuals·m−2 in 2020. However, Acropora populations, which represented 60% of juvenile corals in 2009, halved in 2020, particularly in ocean reefs. The decrease in Acropora recruits seems to have favoured other corals: Pocillopora doubled compared to 2009, and species with massive growth morphologies became dominant. In all, the juvenile coral community structure underwent substantial changes between the two surveys. The comparison between the number of recruits and that of juvenile corals suggested higher survival of the species with massive growth morphologies. Whether branching corals will also have the ability to adapt to increasingly frequent climatic disturbances deserves attention in the future. Full article
Show Figures

Figure 1

Back to TopTop