Fatal West Nile Encephalomyelitis in a Young Woman with Hypoparathyroidism and Sjögren’s Syndrome. Molecular Insights into Viral Neuro-Invasivity
Abstract
1. Introduction
2. Results
2.1. Case History
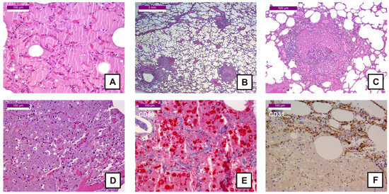
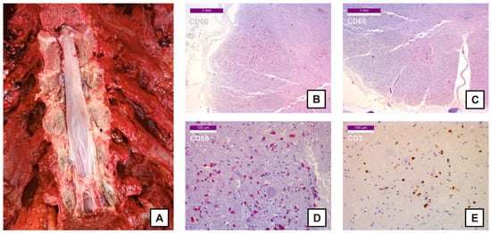
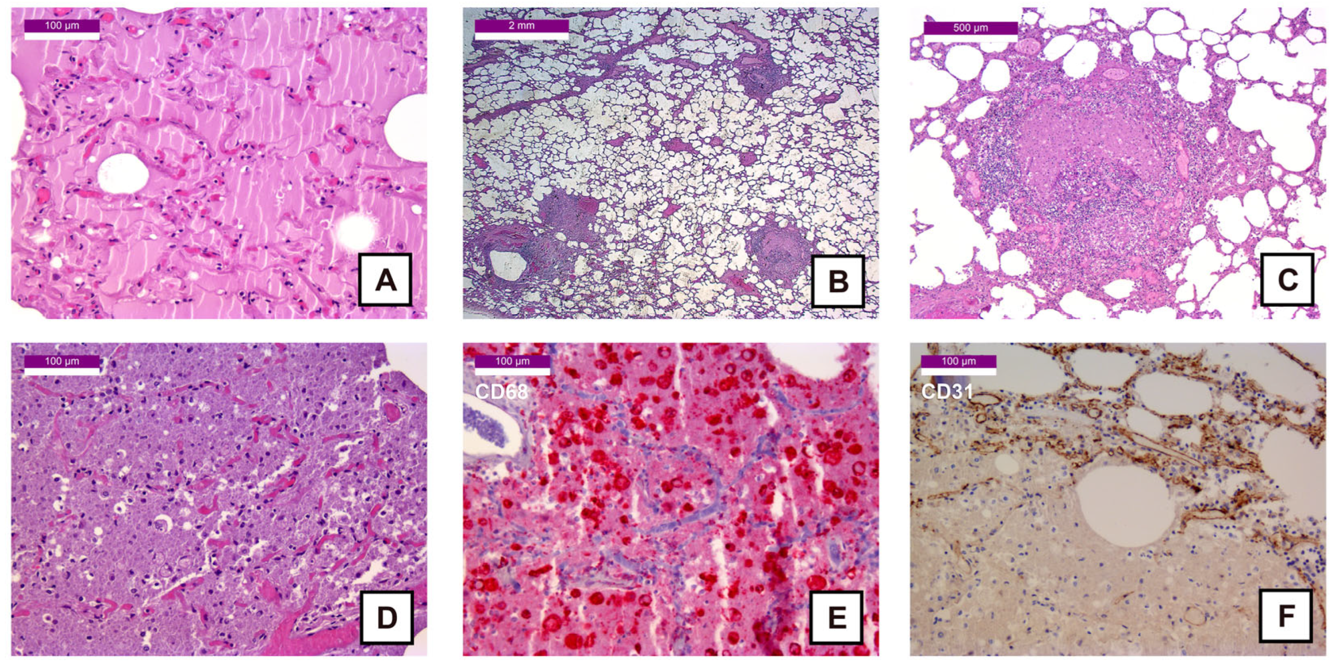
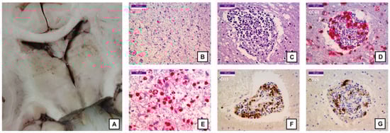
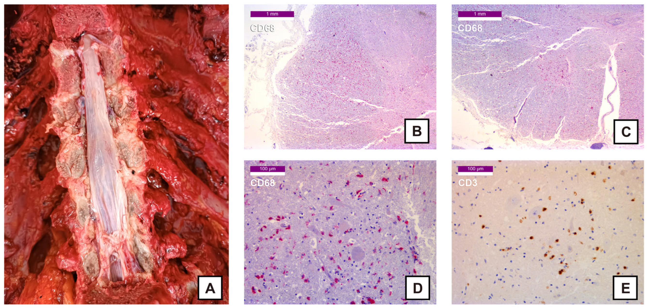
2.2. Autopsy Findings
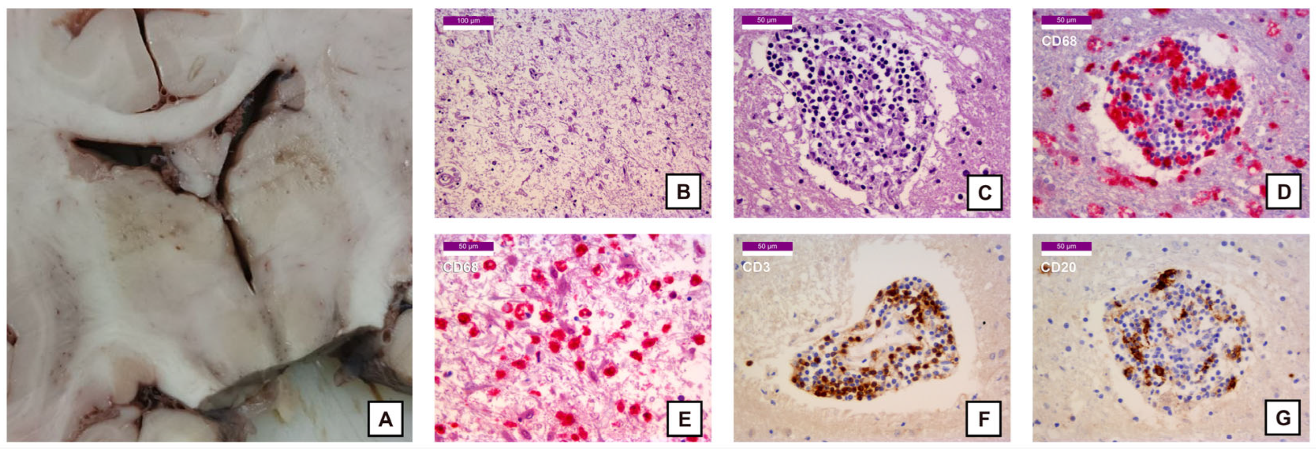
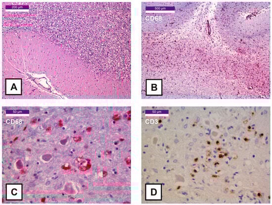
2.3. Examination After Formalin Fixation
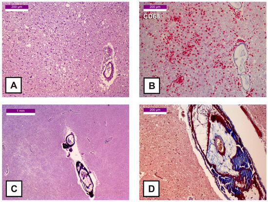
2.4. Histological Findings
3. Discussion
4. Materials and Methods
5. Conclusions
Author Contributions
Funding
Institutional Review Board Statement
Informed Consent Statement
Data Availability Statement
Conflicts of Interest
Abbreviations
| ABG | Arterial Blood Gas |
| AJ | Adherens Junction |
| BBB | Blood–Brain Barrier |
| C | Capsid protein |
| CD3 | Cluster of Differentiation 3 |
| CD20 | Cluster of Differentiation 20 |
| CD31 | Cluster of Differentiation 31 |
| CD68 | Cluster of Differentiation 68 |
| CKAE1 | Cytokeratin AE1 |
| CNS | Central Nervous System |
| CT | Computed Tomography |
| E | Envelope protein |
| EAAT-2 | Excitatory Amino Acid Transporter 2 |
| ECG | Electrocardiogram |
| EEG | Electroencephalogram |
| GLT-1 | Glutamate Transporter 1 |
| HE | Haematoxylin and Eosin |
| HypoPTH | Hypoparathyroidism |
| HIV | Human Immunodeficiency Virus |
| IFN | Interferon |
| ITAM | Immunoreceptor Tyrosine-based Activation Motifs |
| L1 | Lineage 1 |
| L2 | Lineage 2 |
| L8 | Lineage 8 |
| MRI | Magnetic Resonance Imaging |
| NS1 | Non Structural protein 1 |
| NS2A | Non Structural protein 2A |
| NS2B | Non Structural protein 2B |
| NS3 | Non Structural protein 3 |
| NS4A | Non Structural protein 4A |
| NS4B | Non Structural protein 4B |
| NS5 | Non Structural protein 5 |
| ORF | Open Reading Frame |
| PEG | Percutaneous Endoscopic Gastrostomy |
| PKC | Protein Kinase C |
| PTH | Parathormone |
| S100B | S100 calcium-binding protein B |
| SS | Sjögren Syndrome |
| TCR | T-cell Receptor |
| TJ | Tight Junction |
| WNND | West Nile Neuroinvasive Disease |
| WNV | West Nile Virus |
| ZAP70 | ζ-Associated Protein of 70 kDa |
References
- DeBiasi, R.L.; Tyler, K.L. West Nile Virus Meningoencephalitis. Nat. Clin. Pract. Neurol. 2006, 2, 264. [Google Scholar] [CrossRef]
- Chambers, T.J.; Hahn, C.S.; Galler, R.; Rice, C.M. Flavivirus Genome Organization, Expression, and Replication. Annu. Rev. Microbiol. 1990, 44, 649–688. [Google Scholar] [CrossRef] [PubMed]
- Fall, G.; Di Paola, N.; Faye, M.; Dia, M.; Freire, C.C.D.M.; Loucoubar, C.; Zanotto, P.M.D.A.; Faye, O.; Sall, A.A. Biological and Phylogenetic Characteristics of West African Lineages of West Nile Virus. PLoS Negl. Trop. Dis. 2017, 11, e0006078. [Google Scholar] [CrossRef]
- Mukhopadhyay, S.; Kim, B.S.; Chipman, P.R.; Rossmann, M.G.; Kuhn, R.J. Structure of West Nile Virus. Science 2003, 302, 248. [Google Scholar] [CrossRef]
- Karim, S.U.; Bai, F. Introduction to West Nile Virus. Methods Mol. Biol. 2023, 2585, 1–7. [Google Scholar] [CrossRef] [PubMed]
- Markoff, L. 5′- and 3′-Noncoding Regions in Flavivirus RNA. Adv. Virus Res. 2003, 59, 177–228. [Google Scholar] [CrossRef]
- Acharya, D.; Bai, F. An Overview of Current Approaches toward the Treatment and Prevention of West Nile Virus Infection. Methods Mol. Biol. 2016, 1435, 249–291. [Google Scholar] [CrossRef] [PubMed]
- Colpitts, T.M.; Conway, M.J.; Montgomery, R.R.; Fikrig, E. West Nile Virus: Biology, Transmission, and Human Infection. Clin. Microbiol. Rev. 2012, 25, 635. [Google Scholar] [CrossRef]
- Giesen, C.; Herrador, Z.; Fernandez-Martinez, B.; Figuerola, J.; Gangoso, L.; Vazquez, A.; Gómez-Barroso, D. A Systematic Review of Environmental Factors Related to WNV Circulation in European and Mediterranean Countries. One Health 2023, 16, 100478. [Google Scholar] [CrossRef]
- Vogels, C.B.F.; Göertz, G.P.; Pijlman, G.P.; Koenraadt, C.J.M. Vector Competence of European Mosquitoes for West Nile Virus. Emerg. Microbes Infect. 2017, 6, e96. [Google Scholar] [CrossRef]
- Gamino, V.; Höfle, U. Pathology and Tissue Tropism of Natural West Nile Virus Infection in Birds: A Review. Vet. Res. 2013, 44, 39. [Google Scholar] [CrossRef]
- Girard, Y.A.; Schneider, B.S.; McGee, C.E.; Wen, J.; Han, V.C.; Popov, V.; Mason, P.W.; Higgs, S. Salivary Gland Morphology and Virus Transmission during Long-Term Cytopathologic West Nile Virus Infection in Culex Mosquitoes. Am. J. Trop. Med. Hyg. 2007, 76, 118–128. [Google Scholar] [CrossRef]
- Girard, Y.A.; Mayhew, G.F.; Fuchs, J.F.; Li, H.; Schneider, B.S.; McGee, C.E.; Rocheleau, T.A.; Helmy, H.; Christensen, B.M.; Higgs, S.; et al. Transcriptome Changes in Culex quinquefasciatus (Diptera: Culicidae) Salivary Glands during West Nile Virus Infection. J. Med. Entomol. 2010, 47, 421–435. [Google Scholar] [CrossRef] [PubMed]
- Byrne, S.N.; Halliday, G.M.; Johnston, L.J.; King, N.J.C. Interleukin-1β But Not Tumor Necrosis Factor Is Involved in West Nile Virus-Induced Langerhans Cell Migration from the Skin in C57BL/6 Mice. J. Investig. Dermatol. 2001, 117, 702–709. [Google Scholar] [CrossRef] [PubMed]
- Rios, M.; Zhang, M.J.; Grinev, A.; Srinivasan, K.; Daniel, S.; Wood, O.; Hewlett, I.K.; Dayton, A.I. Monocytes-Macrophages Are a Potential Target in Human Infection with West Nile Virus through Blood Transfusion. Transfusion 2006, 46, 659–667. [Google Scholar] [CrossRef]
- Sewgobind, S.; McCracken, F.; Schilling, M. JMM Profile: West Nile Virus. J. Med. Microbiol. 2023, 72, 001730. [Google Scholar] [CrossRef]
- Habarugira, G.; Suen, W.W.; Hobson-Peters, J.; Hall, R.A.; Bielefeldt-Ohmann, H. West Nile Virus: An Update on Pathobiology, Epidemiology, Diagnostics, Control and “One Health” Implications. Pathogens 2020, 9, 589. [Google Scholar] [CrossRef] [PubMed]
- Mundhra, S.; Mundhra, S. West Nile Virus: A Comprehensive Overview of Epidemiology and Pathology. Emerg. Hum. Viral Dis. 2024, 2, 193–219. [Google Scholar] [CrossRef]
- Sutinen, J.; Fell, D.B.; Sander, B.; Kulkarni, M.A. Comorbid Conditions as Risk Factors for West Nile Neuroinvasive Disease in Ontario, Canada: A Population-Based Cohort Study. Epidemiol. Infect. 2022, 150, e103. [Google Scholar] [CrossRef]
- Qian, F.; Wan, X.; Zhang, L.; Lin, A.; Zhao, H.; Fikrig, E.; Montgomery, R.R. Impaired Interferon Signaling in Dendritic Cells from Older Donors Infected In Vitro with West Nile Virus. J. Infect. Dis. 2011, 203, 1415–1424. [Google Scholar] [CrossRef]
- Smith-Garvin, J.E.; Koretzky, G.A.; Jordan, M.S. T Cell Activation. Annu. Rev. Immunol. 2009, 27, 591–619. [Google Scholar] [CrossRef]
- Mitrofanova, L.; Korneva, L.; Makarov, I.; Bortsova, M.; Sitnikova, M.; Ryzhkova, D.; Kudlay, D.; Starshinova, A. CD68-Negative Histiocytoses with Cardiac Involvement, Associated with COVID-19. Int. J. Mol. Sci. 2024, 25, 10086. [Google Scholar] [CrossRef]
- Perry, V.; Holmes, C. Microglial priming in neurodegenerative disease. Nat. Rev. Neurol. 2014, 10, 217–224. [Google Scholar] [CrossRef]
- Malvaso, A.; Gatti, A.; Negro, G.; Calatozzolo, C.; Medici, V.; Poloni, T.E. Microglial Senescence and Activation in Healthy Aging and Alzheimer’s Disease: Systematic Review and Neuropathological Scoring. Cells 2023, 12, 2824. [Google Scholar] [CrossRef]
- Cheeran, M.C.J.; Hu, S.; Sheng, W.S.; Rashid, A.; Peterson, P.K.; Lokensgard, J.R. Differential Responses of Human Brain Cells to West Nile Virus Infection. J. Neurovirol. 2005, 11, 512–524. [Google Scholar] [CrossRef] [PubMed]
- Chhatbar, C.; Prinz, M. The Roles of Microglia in Viral Encephalitis: From Sensome to Therapeutic Targeting. Cell Mol. Immunol. 2021, 18, 250–258. [Google Scholar] [CrossRef]
- Stonedahl, S.; Clarke, P.; Tyler, K.L. The Role of Microglia during West Nile Virus Infection of the Central Nervous System. Vaccines 2020, 8, 485. [Google Scholar] [CrossRef] [PubMed]
- Maximova, O.A.; Bernbaum, J.G.; Pletnev, A.G. West Nile Virus Spreads Transsynaptically within the Pathways of Motor Control: Anatomical and Ultrastructural Mapping of Neuronal Virus Infection in the Primate Central Nervous System. PLoS Negl. Trop. Dis. 2016, 10, e0004980. [Google Scholar] [CrossRef]
- Love, S.; Budka, H.; Ironside, J.W.; Perry, A. Greenfield’s Neuropathology, 9th ed.; CRC Press: Boca Raton, FL, USA, 2015; p. 1141. [Google Scholar]
- Guarner, J.; Shieh, W.J.; Hunter, S.; Paddock, C.D.; Morken, T.; Campbell, G.L.; Marfin, A.A.; Zaki, S.R. Clinicopathologic study and laboratory diagnosis of 23 cases with West Nile virus encephalomyelitis. Hum. Pathol. 2004, 35, 983–990. [Google Scholar] [CrossRef] [PubMed]
- Makino, Y.; Suzuki, T.; Hasebe, R.; Kimura, T.; Maeda, A.; Takahashi, H.; Sawa, H. Establishment of Tracking System for West Nile Virus Entry and Evidence of Microtubule Involvement in Particle Transport. J. Virol. Methods 2014, 195, 250–257. [Google Scholar] [CrossRef]
- Chu, J.J.H.; Ng, M.L. Trafficking Mechanism of West Nile (Sarafend) Virus Structural Proteins. J. Med. Virol. 2002, 67, 127–136. [Google Scholar] [CrossRef]
- Chu, J.J.H.; Ng, M.L. Infectious Entry of West Nile Virus Occurs through a Clathrin-Mediated Endocytic Pathway. J. Virol. 2004, 78, 10543–10555. [Google Scholar] [CrossRef]
- Armah, H.B.; Wang, G.; Omalu, B.I.; Tesh, R.B.; Gyure, K.A.; Chute, D.J.; Smith, R.D.; Dulai, P.; Vinters, H.V.; Kleinschmidt-DeMasters, B.K.; et al. Systemic Distribution of West Nile Virus Infection: Postmortem Immunohistochemical Study of Six Cases. Brain Pathol. 2007, 17, 354–362. [Google Scholar] [CrossRef]
- Chauhan, P.S.; Misra, U.K.; Kalita, J.; Chandravanshi, L.P.; Khanna, V.K. Memory and learning seems to be related to cholinergic dysfunction in the JE rat model. Physiol. Behav. 2016, 156, 148–155. [Google Scholar] [CrossRef] [PubMed]
- Malvaso, A.; Cerne, D.; Bernini, S.; Bottiroli, S.; Marchioni, E.; Businaro, P.; Masciocchi, S.; Morandi, C.; Scaranzin, S.; Mobilia, E.M.; et al. Retrograde Amnesia in LGI1 and CASPR2 Limbic Encephalitis: Two Case Reports and a Systematic Literature Review. Eur. J. Neurol. 2025, 32, e70113. [Google Scholar] [CrossRef] [PubMed]
- Blakely, P.K.; Kleinschmidt-Demasters, B.K.; Tyler, K.L.; Irani, D.N. Disrupted Glutamate Transporter Expression in the Spinal Cord with Acute Flaccid Paralysis Caused by West Nile Virus Infection. J. Neuropathol. Exp. Neurol. 2009, 68, 1061–1072. [Google Scholar] [CrossRef] [PubMed]
- Nash, D.; Mostashari, F.; Fine, A.; Miller, J.; O’Leary, D.; Murray, K.; Huang, A.; Rosenberg, A.; Greenberg, A.; Sherman, M.; et al. The Outbreak of West Nile Virus Infection in the New York City Area in 1999. N. Engl. J. Med. 2001, 344, 1807–1814. [Google Scholar] [CrossRef]
- Bode, A.V.; Sejvar, J.J.; Pape, W.J.; Campbell, G.L.; Marfin, A.A. West Nile Virus Disease: A Descriptive Study of 228 Patients Hospitalized in a 4-County Region of Colorado in 2003. Clin. Infect. Dis. 2006, 42, 1234–1240. [Google Scholar] [CrossRef]
- Roescher, N.; Tak, P.P.; Illei, G.G. Cytokines in Sjögren’s Syndrome. Oral Dis. 2009, 15, 519–526. [Google Scholar] [CrossRef]
- Tang, A.; Yoshida, K.; Lahey, H.; Wilcox, D.R.; Guan, H.; Costenbader, K.; Solomon, D.; Miyawaki, E.K.; Bhattacharyya, S. Herpes Simplex Virus Encephalitis in Patients with Autoimmune Conditions or Exposure to Immunomodulatory Medications. Neurology 2024, 102, e209297. [Google Scholar] [CrossRef]
- Dughiero, S.; Torresan, F.; Censi, S.; Mian, C.; Carrillo Lizarazo, J.L.; Iacobone, M. Risk and Protective Factors of Postoperative and Persistent Hypoparathyroidism after Total Thyroidectomy in a Series of 1965 Patients. Cancers 2024, 16, 2867. [Google Scholar] [CrossRef] [PubMed]
- Pepe, J.; Colangelo, L.; Biamonte, F.; Sonato, C.; Danese, V.C.; Cecchetti, V.; Occhiuto, M.; Piazzolla, V.; De Martino, V.; Ferrone, F.; et al. Diagnosis and Management of Hypocalcemia. Endocrine 2020, 69, 485–495. [Google Scholar] [CrossRef]
- Manyam, B.V. What Is and What Is Not ‘Fahr’s Disease’. Park. Relat. Disord. 2005, 11, 73–80. [Google Scholar] [CrossRef] [PubMed]
- De Bock, M.; Wang, N.; Decrock, E.; Bol, M.; Gadicherla, A.K.; Culot, M.; Cecchelli, R.; Bultynck, G.; Leybaert, L. Endothelial calcium dynamics, connexin channels and blood–brain barrier function. Prog. Neurobiol. 2013, 108, 1–20. [Google Scholar] [CrossRef]
- De Bock, M.; Culot, M.; Wang, N.; da Costa, A.; Decrock, E.; Bol, M.; Bultynck, G.; Cecchelli, R.; Leybaert, L. Low extracellular Ca2+ conditions induce an increase in brain endothelial permeability that involves intercellular Ca2+ waves. Brain Res. 2012, 1487, 78–87. [Google Scholar] [CrossRef]
- Hawkins, B.T.; Davis, T.P. The Blood-Brain Barrier/Neurovascular Unit in Health and Disease. Pharmacol. Rev. 2005, 57, 173–185. [Google Scholar] [CrossRef]
- Brown, R.C.; Davis, T.P. Calcium Modulation of Adherens and Tight Junction Function: A Potential Mechanism for Blood-Brain Barrier Disruption after Stroke. Stroke 2002, 33, 1706–1711. [Google Scholar] [CrossRef] [PubMed]
- Huang, C.N.; Tian, X.B.; Jiang, S.M.; Chang, S.H.; Wang, N.; Liu, M.Q.; Zhang, Q.X.; Li, T.; Zhang, L.J.; Yang, L. Comparisons Between Infectious and Autoimmune Encephalitis: Clinical Signs, Biochemistry, Blood Counts, and Imaging Findings. Neuropsychiatr. Dis. Treat. 2020, 16, 2649–2660. [Google Scholar] [CrossRef]
- Brinkmann, B. Harmonization of Medico-Legal Autopsy Rules. Int. J. Legal Med. 1999, 113, 1–14. [Google Scholar] [CrossRef]
- Mangin, P.; Bonbled, F.; Väli, M.; Luna, A.; Bajanowski, T.; Hougen, H.P.; Ludes, B.; Ferrara, D.; Cusack, D.; Keller, E.; et al. European Council of Legal Medicine (ECLM) Accreditation of Forensic Pathology Services in Europe. Int. J. Legal Med. 2015, 129, 395–403. [Google Scholar] [CrossRef]
- Basso, C.; Aguilera, B.; Banner, J.; Cohle, S.; d’Amati, G.; de Gouveia, R.H.; di Gioia, C.; Fabre, A.; Gallagher, P.J.; Leone, O.; et al. Guidelines for Autopsy Investigation of Sudden Cardiac Death: 2017 Update from the Association for European Cardiovascular Pathology. Virchows Arch. 2017, 471, 691–705. [Google Scholar] [CrossRef] [PubMed]





Disclaimer/Publisher’s Note: The statements, opinions and data contained in all publications are solely those of the individual author(s) and contributor(s) and not of MDPI and/or the editor(s). MDPI and/or the editor(s) disclaim responsibility for any injury to people or property resulting from any ideas, methods, instructions or products referred to in the content. |
© 2025 by the authors. Licensee MDPI, Basel, Switzerland. This article is an open access article distributed under the terms and conditions of the Creative Commons Attribution (CC BY) license.
Share and Cite
Padalino, P.; Secco, L.; Grosso, E.; Franchetti, G.; Palumbi, S.; Giordano, R.; Viel, G. Fatal West Nile Encephalomyelitis in a Young Woman with Hypoparathyroidism and Sjögren’s Syndrome. Molecular Insights into Viral Neuro-Invasivity. Int. J. Mol. Sci. 2026, 27, 104. https://doi.org/10.3390/ijms27010104
Padalino P, Secco L, Grosso E, Franchetti G, Palumbi S, Giordano R, Viel G. Fatal West Nile Encephalomyelitis in a Young Woman with Hypoparathyroidism and Sjögren’s Syndrome. Molecular Insights into Viral Neuro-Invasivity. International Journal of Molecular Sciences. 2026; 27(1):104. https://doi.org/10.3390/ijms27010104
Chicago/Turabian StylePadalino, Pasquale, Laura Secco, Eva Grosso, Giorgia Franchetti, Stefano Palumbi, Renzo Giordano, and Guido Viel. 2026. "Fatal West Nile Encephalomyelitis in a Young Woman with Hypoparathyroidism and Sjögren’s Syndrome. Molecular Insights into Viral Neuro-Invasivity" International Journal of Molecular Sciences 27, no. 1: 104. https://doi.org/10.3390/ijms27010104
APA StylePadalino, P., Secco, L., Grosso, E., Franchetti, G., Palumbi, S., Giordano, R., & Viel, G. (2026). Fatal West Nile Encephalomyelitis in a Young Woman with Hypoparathyroidism and Sjögren’s Syndrome. Molecular Insights into Viral Neuro-Invasivity. International Journal of Molecular Sciences, 27(1), 104. https://doi.org/10.3390/ijms27010104

