Sign in to use this feature.

Years

Between: -

Subjects

remove_circle_outline
remove_circle_outline
remove_circle_outline
remove_circle_outline
remove_circle_outline
remove_circle_outline
remove_circle_outline
remove_circle_outline
remove_circle_outline

Journals

remove_circle_outline
remove_circle_outline
remove_circle_outline
remove_circle_outline
remove_circle_outline
remove_circle_outline
remove_circle_outline
remove_circle_outline
remove_circle_outline
remove_circle_outline
remove_circle_outline
remove_circle_outline
remove_circle_outline
remove_circle_outline
remove_circle_outline

Article Types

Countries / Regions

remove_circle_outline
remove_circle_outline
remove_circle_outline
remove_circle_outline
remove_circle_outline

Search Results (846)

Search Parameters:
Keywords = brain imaging indices

Order results
Result details
Results per page
Select all
Export citation of selected articles as:
18 pages, 786 KB  
Review
Brain Age as a Biomarker in Alzheimer’s Disease: Narrative Perspectives on Imaging, Biomarkers, Machine Learning, and Intervention Potential
by Lan Lin, Yanxue Li, Shen Sun, Jeffery Lin, Ziyi Wang, Yutong Wu, Zhenrong Fu and Hongjian Gao
Brain Sci. 2026, 16(1), 33; https://doi.org/10.3390/brainsci16010033 - 25 Dec 2025
Abstract
Background/Objectives: Alzheimer’s disease (AD) has a prolonged preclinical phase and marked heterogeneity. Brain age and the Brain Age Gap (BAG), derived from neuroimaging and machine learning (ML), offer a non-invasive, system-level indicator of brain integrity, with potential relevance for early detection, risk [...] Read more.
Background/Objectives: Alzheimer’s disease (AD) has a prolonged preclinical phase and marked heterogeneity. Brain age and the Brain Age Gap (BAG), derived from neuroimaging and machine learning (ML), offer a non-invasive, system-level indicator of brain integrity, with potential relevance for early detection, risk stratification, and intervention monitoring. This review summarizes the conceptual basis, imaging characteristics, biological relevance, and explores its potential clinical utility of BAG across the AD continuum. Methods: We conducted a narrative synthesis of evidence from morphometric structural magnetic resonance imaging (sMRI), connectivity-based functional magnetic resonance imaging (fMRI), positron emission tomography (PET), and diffusion tensor imaging (DTI), alongside recent advances in deep learning architectures and multimodal fusion techniques. We further examined associations between BAG and the Amyloid/Tau/Neurodegeneration (A/T/N) framework, neuroinflammation, cognitive reserve, and lifestyle interventions. Results: BAG may reflect neurodegeneration associated with AD, showing greater deviations in individuals with mild cognitive impairment (MCI) and early AD, and is correlated with tau pathology, neuroinflammation, and metabolic or functional network dysregulation. Multimodal and deep learning approaches enhance the sensitivity of BAG to disease-related deviations. Longitudinal BAG changes outperform static BAG in forecasting cognitive decline, and lifestyle or exercise interventions can attenuate BAG acceleration. Conclusions: BAG emerges as a promising, dynamic, integrative, and modifiable complementary biomarker with the potential for assessing neurobiological resilience, disease staging, and personalized intervention monitoring in AD. While further standardization and large-scale validation are essential to support clinical translation, BAG provides a novel systems-level perspective on brain health across the AD continuum. Full article
24 pages, 7806 KB  
Article
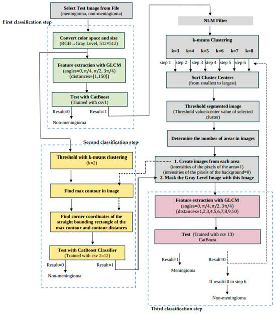
Binary Classification of Brain MR Images for Meningioma Detection
by Özlem Altıok and Murat Alparslan Güngör
Appl. Sci. 2026, 16(1), 219; https://doi.org/10.3390/app16010219 - 24 Dec 2025
Viewed by 98
Abstract
Meningiomas are the most common primary brain tumors in the central nervous system. Although numerous studies in the literature have addressed multiclass brain tumor classification that includes the meningioma class, the method proposed in this study aims to improve meningioma detection performance by [...] Read more.
Meningiomas are the most common primary brain tumors in the central nervous system. Although numerous studies in the literature have addressed multiclass brain tumor classification that includes the meningioma class, the method proposed in this study aims to improve meningioma detection performance by employing binary classification instead of multiclass classification. The proposed method enhances classification performance by implementing a three-step classification process. This study utilizes the Nickparvar dataset, which contains brain Magnetic Resonance (MR) images of meningioma, other tumor types, and tumor-free cases. We employ k-means clustering for tumor segmentation, GLCM and contour features for feature extraction, and CatBoost for classification (meningioma vs. non-meningioma). The performance of the proposed method is evaluated using accuracy, precision, recall, negative predictive value, F1-score, and specificity, achieving values of 0.96, 0.93, 0.89, 0.97, 0.91, and 0.98, respectively. Although deep learning methods demonstrate high performance, machine learning approaches require less training data and computational resources. Therefore, machine learning methods represent a more suitable choice for clinical environments with limited hardware capabilities. The results are comparable to those of recent deep learning studies, indicating that the proposed method achieves performance close to deep learning approaches while retaining the advantages of machine learning for meningioma detection. Full article
(This article belongs to the Section Biomedical Engineering)
Show Figures

Figure 1

42 pages, 2637 KB  
Article
Morphodynamic Modeling of Glioblastoma Using 3D Autoencoders and Neural Ordinary Differential Equations: Identification of Morphological Attractors and Dynamic Phase Maps
by Monica Molcăluț, Călin Gheorghe Buzea, Diana Mirilă, Florin Nedeff, Valentin Nedeff, Lăcrămioara Ochiuz, Maricel Agop and Dragoș Teodor Iancu
Fractal Fract. 2026, 10(1), 8; https://doi.org/10.3390/fractalfract10010008 - 23 Dec 2025
Viewed by 111
Abstract
Background: Glioblastoma (GBM) is among the most aggressive and morphologically heterogeneous brain tumors. Beyond static imaging biomarkers, its structural organization can be viewed as a nonlinear dynamical system. Characterizing morphodynamic attractors within such a system may reveal latent stability patterns of morphological change [...] Read more.
Background: Glioblastoma (GBM) is among the most aggressive and morphologically heterogeneous brain tumors. Beyond static imaging biomarkers, its structural organization can be viewed as a nonlinear dynamical system. Characterizing morphodynamic attractors within such a system may reveal latent stability patterns of morphological change and potential indicators of morphodynamic organization. Methods: We analyzed 494 subjects from the multi-institutional BraTS 2020 dataset using a fully automated computational pipeline. Each multimodal MRI volume was encoded into a 16-dimensional latent space using a 3D convolutional autoencoder. Synthetic morphological trajectories, generated through bidirectional growth–shrinkage transformations of tumor masks, enabled training of a contraction-regularized Neural Ordinary Differential Equation (Neural ODE) to model continuous-time latent morphodynamics. Morphological complexity was quantified using fractal dimension (DF), and local dynamical stability was measured via a Lyapunov-like exponent (λ). Robustness analyses assessed the stability of DF–λ regimes under multi-scale perturbations, synthetic-order reversal (directionality; sign-aware comparison) and stochastic noise, including cross-generator generalization against a time-shuffled negative control. Results: The DF–λ morphodynamic phase map revealed three characteristic regimes: (1) stable morphodynamics (λ < 0), associated with compact, smoother boundaries; (2) metastable dynamics (λ ≈ 0), reflecting weakly stable or transitional behavior; and (3) unstable or chaotic dynamics (λ > 0), associated with divergent latent trajectories. Latent-space flow fields exhibited contraction-induced attractor-like basins and smoothly diverging directions. Kernel-density estimation of DF–λ distributions revealed a prominent population cluster within the metastable regime, characterized by moderate-to-high geometric irregularity (DF ≈ 1.85–2.00) and near-neutral dynamical stability (λ ≈ −0.02 to +0.01). Exploratory clinical overlays showed that fractal dimension exhibited a modest negative association with survival, whereas λ did not correlate with clinical outcome, suggesting that the two descriptors capture complementary and clinically distinct aspects of tumor morphology. Conclusions: Glioblastoma morphology can be represented as a continuous dynamical process within a learned latent manifold. Combining Neural ODE–based dynamics, fractal morphometry, and Lyapunov stability provides a principled framework for dynamic radiomics, offering interpretable morphodynamic descriptors that bridge fractal geometry, nonlinear dynamics, and deep learning. Because BraTS is cross-sectional and the synthetic step index does not represent biological time, any clinical interpretation is hypothesis-generating; validation in longitudinal and covariate-rich cohorts is required before prognostic or treatment-monitoring use. The resulting DF–λ morphodynamic map provides a hypothesis-generating morphodynamic representation that should be evaluated in covariate-rich and longitudinal cohorts before any prognostic or treatment-monitoring use. Full article
Show Figures

Figure 1

23 pages, 7310 KB  
Article
Emotion-Driven Architectural Image Generation and EEG-Based Evaluation: Divergent Subjective and Physiological Responses to AI-Modified Design Elements
by Yuchen Liu, Shihu Ji and Mincheol Whang
Buildings 2026, 16(1), 36; https://doi.org/10.3390/buildings16010036 - 22 Dec 2025
Viewed by 169
Abstract
This study aims to establish a method-integrative framework for emotion-oriented architectural image generation. The framework combines Stable Diffusion with targeted LoRA (Low-Rank Adaptation), a lightweight and parameter-efficient fine-tuning approach, together with ControlNet-based structural constraints, to examine how controllable design-element manipulations influence emotional responses. [...] Read more.
This study aims to establish a method-integrative framework for emotion-oriented architectural image generation. The framework combines Stable Diffusion with targeted LoRA (Low-Rank Adaptation), a lightweight and parameter-efficient fine-tuning approach, together with ControlNet-based structural constraints, to examine how controllable design-element manipulations influence emotional responses. The methodology follows a closed-loop “generation–evaluation” workflow, with each LoRA module independently targeting a single design element. Guided by the relaxation–arousal emotional dimension, the framework is evaluated using subjective ratings and electroencephalogram (EEG) measures. Twenty-seven participants viewed six architectural space categories, each comprising four conditions (baseline, color, material, and form modification). EEG α/β power ratio (RAB) served as the primary neurophysiological marker of arousal. Statistical analysis indicated that LoRA-based modifications of design elements produced distinct emotional responses: color and material changes induced lower arousal, whereas changes in form elicited a bidirectional pattern involving relaxation and arousal. The right parietal P4 electrode site showed the most sensitive emotional response to design element changes, with consistent statistical significance. P4 is a human scalp EEG location associated with cortical activity related to visuospatial processing. Descriptive results suggested opposite directional effects with similar intensity trends; however, linear mixed-effects model (LMM) inference did not support significant group-level linear coupling, indicating individual variation. This study demonstrates the feasibility of emotion-guided architectural image generation, showing that controlled manipulation of color, material, and form can elicit measurable emotional responses in human brain activity. The findings provide a methodological basis for future multimodal, adaptive generative systems and offer a quantitative pathway for investigating the relationship between emotional states and architectural design elements. Full article
(This article belongs to the Section Architectural Design, Urban Science, and Real Estate)
Show Figures

Figure 1

23 pages, 1611 KB  
Review
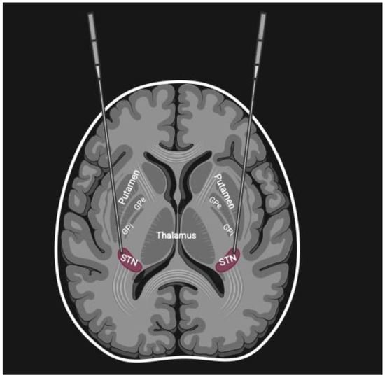
Cellular and Molecular Mechanisms of Neuroprotection in Deep Brain Stimulation for Parkinson’s Disease
by Aiswarya Nag, Siddharth Shah and Brandon Lucke-Wold
Biomedicines 2026, 14(1), 19; https://doi.org/10.3390/biomedicines14010019 - 21 Dec 2025
Viewed by 145
Abstract
Deep brain stimulation (DBS) is an established therapy for motor symptom management in Parkinson’s disease (PD), yet emerging evidence suggests that its effects may extend beyond functional circuit modulation to include cellular and molecular mechanisms with potential neuroprotective significance. This review synthesizes current [...] Read more.
Deep brain stimulation (DBS) is an established therapy for motor symptom management in Parkinson’s disease (PD), yet emerging evidence suggests that its effects may extend beyond functional circuit modulation to include cellular and molecular mechanisms with potential neuroprotective significance. This review synthesizes current evidence on the neuroprotective mechanisms of DBS, with an emphasis on preclinical and clinical studies that highlight its effects on neuronal survival, trophic support, oxidative stress, inflammation, synaptic plasticity, and network homeostasis. Preclinical data indicate that DBS reduces dopaminergic neuron degeneration, enhances brain-derived neurotrophic factor (BDNF) signaling, preserves mitochondrial function, attenuates neuroinflammation, and fosters synaptic remodeling. Clinical studies provide convergent, though less definitive, evidence from imaging, fluid biomarkers, and long-term outcomes supporting potential disease-modifying effects. These findings underscore a shift in the conceptualization of DBS from purely symptomatic relief toward modulation of underlying pathogenic processes. DBS holds promise as a neuroprotective therapy for PD, but critical gaps remain in validating these mechanisms in patients. Future directions include the development of biomarker-driven longitudinal studies, refinement of adaptive stimulation strategies, integration with adjunctive disease-modifying strategies, and exploration of personalized approaches based on molecular and network signatures. By bridging mechanistic understanding with translational innovation, DBS may evolve into a precision therapy capable of altering the progression trajectory of PD. Full article
(This article belongs to the Special Issue Cellular and Molecular Biology of Neurodegenerative Disorders)
Show Figures

Figure 1

20 pages, 2126 KB  
Protocol
Identifying Neurobehavioral Biomarkers of Anxiety and Treatment Response Using Virtual Reality, Electroencephalography, Magnetic Resonance Imaging, and Related Multimodal Assessments: A Longitudinal Study Protocol
by Hyemin Oh, Jiook Cha, Byung-Hoon Kim, Kang-Seob Oh, Young Chul Shin, Sang-Won Jeon, Sung Joon Cho and Junhyung Kim
J. Clin. Med. 2026, 15(1), 7; https://doi.org/10.3390/jcm15010007 - 19 Dec 2025
Viewed by 318
Abstract
Background/Objectives: Anxiety disorders are highly prevalent and impairing psychiatric conditions. Conventional diagnostic approaches based on symptom checklists lack biological specificity and often fail to guide treatment decisions effectively. This study protocol outlines a multidimensional, prospective investigation designed to identify behavioral and neurobiological [...] Read more.
Background/Objectives: Anxiety disorders are highly prevalent and impairing psychiatric conditions. Conventional diagnostic approaches based on symptom checklists lack biological specificity and often fail to guide treatment decisions effectively. This study protocol outlines a multidimensional, prospective investigation designed to identify behavioral and neurobiological biomarkers predictive of treatment response in individuals with anxiety-related symptoms, grounded in the Research Domain Criteria framework. Methods: This observational, longitudinal study (NCT06773585) will include a transdiagnostic sample of clinical anxiety group alongside a healthy control group (185 participants, including 145 patients with anxiety disorders and 40 healthy controls). Participants will undergo comprehensive baseline assessments, including clinical interviews, self-report questionnaires, a virtual reality (VR)-based behavioral task, electroencephalography (EEG), electrocardiography (ECG), and structural and functional brain magnetic resonance imaging. Follow-up assessments will be conducted at 2, 6, and 12 months, with recruitment and data collection planned from 2024 to 2029. These complementary modalities are integrated to capture behavioral, physiological, and neural indicators of anxiety and its treatment response. Multimodal baseline features will be used to construct machine-learning models predicting treatment response, defined as ≥40% reduction in anxiety severity scores. Longitudinal analyses will examine symptom trajectories and neural mechanisms associated with response. Neurobiological comparisons will be made across timepoints and between responders, non-responders, and healthy controls. Conclusions: By identifying objective, biologically grounded markers of anxiety and treatment response, our findings will contribute to the development of personalized assessment tools and scalable digital interventions for psychiatric care. Full article
(This article belongs to the Special Issue Innovations in the Treatment for Depression and Anxiety)
Show Figures

Figure 1

22 pages, 3476 KB  
Article
Longitudinal Changes in Brain Network Metrics and Their Correlations with Spinal Cord Diffusion Tensor Imaging Parameters Following Spinal Cord Injury and Regenerative Therapy
by Ting Feng, Can Zhao, Wen-Nan Su, Yi-Meng Gao, Yuan-Yuan Wu, Wen Zhao, Jia-Sheng Rao, Zhao-Yang Yang and Xiao-Guang Li
Biomedicines 2025, 13(12), 3124; https://doi.org/10.3390/biomedicines13123124 - 18 Dec 2025
Viewed by 332
Abstract
Objectives: Spinal cord injury (SCI) disrupts the microstructure of the spinal cord, triggers reorganization of the brain network, and causes motor deficits. However, the temporal dynamics and interrelationships of these alterations remain unclear. Methods: Eight monkeys underwent spinal cord hemisection and were randomly [...] Read more.
Objectives: Spinal cord injury (SCI) disrupts the microstructure of the spinal cord, triggers reorganization of the brain network, and causes motor deficits. However, the temporal dynamics and interrelationships of these alterations remain unclear. Methods: Eight monkeys underwent spinal cord hemisection and were randomly assigned to either the SCI-only group or the treatment group that received neurotrophin-3-chitosan implants. Longitudinal brain structural/resting-state magnetic resonance imaging and spinal cord diffusion tensor imaging (DTI) were conducted. Concurrently, hindlimb motor function was assessed. The brain network topology was characterized through graph theory. The generalized additive mixed model (GAMM) was employed to analyze the longitudinal trajectories of network metrics, while the linear mixed-effects model (LMM) was used to evaluate the moderating effect of treatment on correlations between network metrics and motor/DTI parameters. Results: The SCI-only group exhibited sustained functional network segregation, aberrant structural topology, and lower fractional anisotropy (FA). These findings collectively reflect chronic maladaptive plasticity. In the treatment group, the therapy not only enhanced white matter integrity, reflected by increased FA values, but also reduced the clustering coefficient (Cp) in brain structural network, indicating a shift away from maladaptive segregation. Critically, the LMMs further revealed that treatment moderated the pathological correlations between global efficiency (Eg), local efficiency, Cp, and locomotor parameters. Moreover, spinal FA exerted a significant main effect on Eg of brain functional networks. Conclusions: These findings suggest that treatment-induced brain reorganization underlies motor function following SCI, and progressive brain reorganization correlates with changes in spinal cord microstructure, revealing a systems-level mechanism of neural repair. Full article
(This article belongs to the Special Issue Modern Applications of Advanced Imaging to Neurological Disease)
Show Figures

Graphical abstract

24 pages, 7363 KB  
Article
Preclinical Evaluation of Atorvastatin-Loaded PEGylated Liposomes in a Mouse Model of Traumatic Brain Injury
by Eun-Sol Hwang, Ja-Hae Kim, Ji-Hye Kim, Raveena Nagareddy, Yong-Yeon Jeong and Kang-Ho Choi
Int. J. Mol. Sci. 2025, 26(24), 12176; https://doi.org/10.3390/ijms262412176 - 18 Dec 2025
Viewed by 185
Abstract
Evidence on the therapeutic use of nanoparticles for traumatic brain injury (TBI) remains limited. This study aimed to evaluate the neuroprotective potential of atorvastatin-loaded polyethylene glycol (PEG)-conjugated liposomes (LipoStatin) in a mouse model of repetitive TBI. TBI was induced using five controlled head [...] Read more.
Evidence on the therapeutic use of nanoparticles for traumatic brain injury (TBI) remains limited. This study aimed to evaluate the neuroprotective potential of atorvastatin-loaded polyethylene glycol (PEG)-conjugated liposomes (LipoStatin) in a mouse model of repetitive TBI. TBI was induced using five controlled head impacts with a 120 g weight at 12-h intervals. Mice were randomly assigned to Sham, Control (saline-treated), Statin (free atorvastatin), Liposome (empty PEGylated liposomes without atorvastatin), and LipoStatin (atorvastatin-loaded PEGylated liposome) groups. LipoStatin (10 mg/kg/day) was intravenously administered for 5 days post-injury. Neurological function was evaluated using the neurological severity score (NSS), while blood–brain barrier (BBB) integrity and neuroinflammation were assessed on day 5, and cellular apoptosis on day 12. LipoStatin-treated mice exhibited the lowest NSSs. IVIS® imaging indicated significantly attenuated BBB disruption (p < 0.001), and Western blot analysis revealed restored caveolin-1 protein levels (p < 0.01), which are associated with BBB integrity. TNF-α levels were reduced considerably in the LipoStatin group compared to both the Control (p < 0.001) and Statin (p < 0.05) groups. Immunofluorescence showed reduced co-localization of caspase-3 with PDGFR-β and GFAP, indicating decreased pericyte and astrocyte apoptosis. These findings suggest that LipoStatin may confer neuroprotection in TBI by stabilizing BBB integrity, reducing inflammation, and mitigating cell death, supporting its potential as an improved nanocarrier-based therapeutic approach. Full article
(This article belongs to the Special Issue Stroke: Novel Molecular Mechanisms and Therapeutic Approaches)
Show Figures

Figure 1

13 pages, 939 KB  
Article
Temporal Changes in Brain Light Scattering and Its Independent Variables Within 2 Days of Life
by Kennosuke Tsuda, Sachiko Iwata, Shinji Saitoh and Osuke Iwata
Biosensors 2025, 15(12), 818; https://doi.org/10.3390/bios15120818 - 17 Dec 2025
Viewed by 267
Abstract
The reduced scattering coefficient (μs′), measured using time-resolved near-infrared spectroscopy (TR-NIRS) has been linked to brain water diffusion assessed by diffusion tensor imaging, suggesting its potential as a bedside marker of cerebral microstructure. However, the physiological determinants of μs [...] Read more.
The reduced scattering coefficient (μs′), measured using time-resolved near-infrared spectroscopy (TR-NIRS) has been linked to brain water diffusion assessed by diffusion tensor imaging, suggesting its potential as a bedside marker of cerebral microstructure. However, the physiological determinants of μs′ and its early postnatal changes remain unclear. This study examined clinical associations with cerebral μs′ in healthy term newborn infants during the first 2 postnatal days. Eighteen newborn infants underwent TR-NIRS at 6 and 36 h postnatally. Associations between μs′ and 14 clinical variables were analysed using generalised estimating equations. Median μs′ was 7.395 cm−1 (IQR: 6.140–8.159) at 6 h and 7.112 cm−1 (IQR: 6.473–7.410) at 36 h, with no significant difference (p = 0.327). Male sex was associated with higher μs′ (regression coefficient = 0.895, p = 0.007), whereas caesarean delivery (regression coefficient = −0.969, p = 0.012) was associated with lower μs′. A significant interaction between caesarean delivery and postnatal age indicated that the negative effect diminished between 6 and 36 h after birth (difference = 0.057, p = 0.016). These findings suggest delivery mode transiently influences brain scattering, whereas the effect of sex remains stable, supporting further investigation of TR-NIRS as an acute-phase cerebral marker. Full article
(This article belongs to the Section Optical and Photonic Biosensors)
Show Figures

Figure 1

18 pages, 1311 KB  
Article
Amyloid Protein-Induced Remodeling of Morphometry and Nanomechanics in Human Platelets
by Tonya D. Andreeva, Svetla Todinova, Ariana Langari, Velichka Strijkova, Vesela Katrova and Stefka G. Taneva
Biomedicines 2025, 13(12), 3104; https://doi.org/10.3390/biomedicines13123104 - 16 Dec 2025
Viewed by 199
Abstract
Background/Objectives: The accumulation of specific amyloid proteins and peptides in the human brain is a hallmark of neurodegenerative disorders such as Alzheimer’s disease (AD) and Parkinson’s disease (PD). Beyond the central nervous system, circulating peripheral blood cells are also exposed to these [...] Read more.
Background/Objectives: The accumulation of specific amyloid proteins and peptides in the human brain is a hallmark of neurodegenerative disorders such as Alzheimer’s disease (AD) and Parkinson’s disease (PD). Beyond the central nervous system, circulating peripheral blood cells are also exposed to these pathological proteins, which may contribute to the systemic disease manifestation. Human platelets (PLTs) were used as an in vitro model to investigate the impacts of amyloid Aβ1-42 peptide oligomers (Aβ42) and on-pathway α-synuclein (α-syn), two key amyloids implicated in AD and PD, on platelet biophysical properties. Methods: Using atomic force microscopy, imaging and force–distance modes, we analyzed changes in surface nanostructure, morphometric and nanomechanical signatures of PLTs, derived from healthy donors, following exposure to increasing concentrations of Aβ42 and α-syn. Results: Our findings show that platelet activation progresses with increasing amyloid concentration, characterized by cytoskeletal remodeling (filopodia-to-pseudopodia and lamellipodia transformation). While Aβ42 causes progressive decrease in the platelet membrane roughness, α-syn exhibits a biphasic effect—initial smoothing followed by a pronounced increase in the roughness at high concentrations. Both amyloids induce substantial increase in membrane stiffness (Young’s modulus). Conclusions: The changes in PLTs’ biophysical properties closely resemble the previously observed modification in PLTs derived from AD and PD patients, suggesting that amyloid proteins’ interactions with PLTs may contribute to their dysfunction. Our results underscore the potential of platelets as peripheral indicators of neurodegeneration and point to their role in the systemic pathology of amyloid-associated diseases. Full article
(This article belongs to the Special Issue Biomarkers for Neurodegenerative Disorders: From Bench to Bedside)
Show Figures

Graphical abstract

28 pages, 3387 KB  
Review
Silicon Carbide Neural Interfaces: A Review of Progress Toward Monolithic Devices
by Christopher L. Frewin, Matthew Melton, Evans Bernardin, Mohammad Beygi, Chenyin Feng and Stephen E. Saddow
Nanomaterials 2025, 15(24), 1880; https://doi.org/10.3390/nano15241880 - 15 Dec 2025
Viewed by 530
Abstract
The promise of intracortical neural interfaces—to restore lost sensory and motor function and probe the brain’s activity—has long been constrained by device instability over chronic implantation. Conventional silicon-based probes, composed of heterogeneous materials, often fail due to mechanical mismatch, inflammatory responses, and interface-driven [...] Read more.
The promise of intracortical neural interfaces—to restore lost sensory and motor function and probe the brain’s activity—has long been constrained by device instability over chronic implantation. Conventional silicon-based probes, composed of heterogeneous materials, often fail due to mechanical mismatch, inflammatory responses, and interface-driven degradation, where stress can induce cracking, swelling, and exposure of cytotoxic elements to neural tissue. Silicon carbide (SiC) offers a compelling solution, combining chemical inertness, structural strength, and biocompatibility in both amorphous and crystalline forms. In this review, we discuss advances in SiC neural interfaces, highlighting contributions from multiple laboratories and emphasizing our own work on monolithic devices, constructed entirely from a single, homogeneous SiC material system. These devices mitigate interface-driven failures and show preliminary indications of magnetic resonance imaging (MRI) compatibility, with minimal image artifacts observed compared to conventional silicon probes, though further in vivo studies are needed to confirm thermal safety at high-field conditions. Collectively, SiC establishes a versatile platform for next-generation, durable neural interfaces capable of reliable, long-term brain interaction for both scientific and clinical applications. Full article
(This article belongs to the Special Issue Nanotechnology and 2D Materials for Regenerative Medicine)
Show Figures

Figure 1

12 pages, 462 KB  
Article
A Specific Haplotype of the MMP2 Gene Promoter May Increase the Risk of Developing Cerebral Palsy
by Ana Djuranovic Uklein, Natasa Cerovac, Dijana Perovic, Nela Maksimovic, Biljana Jekic, Milka Grk, Marija Dusanovic Pjevic, Milica Rasic, Natasa Stojanovski, Milica Pesic, Ivana Novakovic and Tatjana Damnjanovic
Diagnostics 2025, 15(24), 3178; https://doi.org/10.3390/diagnostics15243178 - 12 Dec 2025
Viewed by 244
Abstract
Background/Objectives: Hypoxic–ischemic encephalopathy (HIE) is a common neurological outcome of perinatal asphyxia, with cerebral palsy (CP) being the most severe lasting effect. Perinatal brain injury activates the immune system and induces the release of inflammatory mediators. Matrix Metalloproteinases (MMPs) play a crucial role [...] Read more.
Background/Objectives: Hypoxic–ischemic encephalopathy (HIE) is a common neurological outcome of perinatal asphyxia, with cerebral palsy (CP) being the most severe lasting effect. Perinatal brain injury activates the immune system and induces the release of inflammatory mediators. Matrix Metalloproteinases (MMPs) play a crucial role in neuroinflammation and neurodegeneration. This study explored the potential link between MMP2 promoter polymorphisms and the development of CP in children with a history of perinatal asphyxia. Methods: We enrolled 212 patients (130 males and 82 females) with documented perinatal asphyxia, who underwent a comprehensive neurological assessment and neuroimaging, including ultrasound and magnetic resonance imaging (MRI). We genotyped the MMP2 promoter polymorphisms rs243866, rs243865, and rs243864 using real-time polymerase chain reaction. Haplotype frequencies were calculated using Haploview software. Results: As expected, patients with HIE are more likely to develop CP (p = 0.000). In a study of 104 patients who developed CP, the frequencies of the A (rs243866), T (rs243865), and G alleles (rs243864) were nearly twice as high compared to those without CP (p = 0.008, p = 0.019, and p = 0.008, respectively). Haplotype analysis supported these findings, showing that the ATG haplotype was significantly more common among patients who developed CP (p = 0.004). Additionally, in patients with MRI-confirmed brain damage, the ATG haplotype was more frequently observed (p = 0.019). Conclusions: The ATG haplotype of the MMP2 promoter may indicate a risk factor for developing cerebral palsy (CP) in patients who experience perinatal asphyxia and could serve as a potential diagnostic predictor of CP. Full article
(This article belongs to the Special Issue New Insights into the Diagnosis of Neurological Disorders)
Show Figures

Figure 1

14 pages, 13164 KB  
Case Report
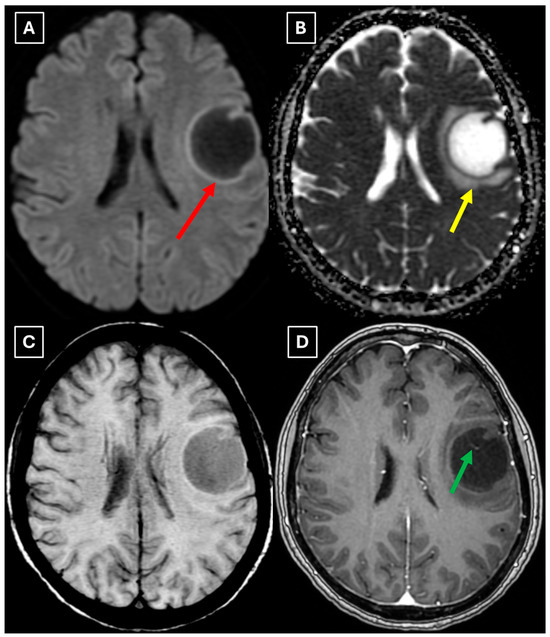
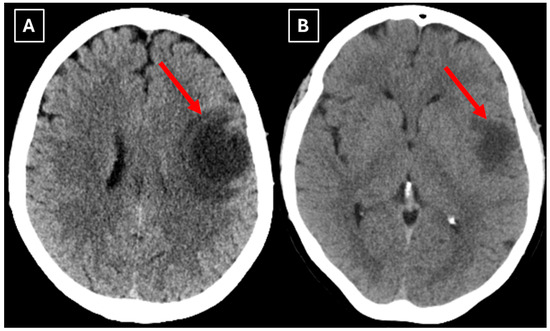
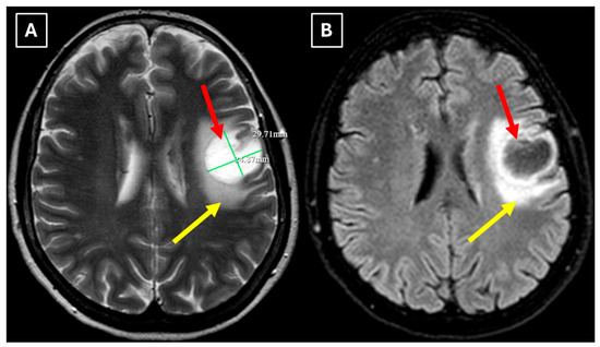
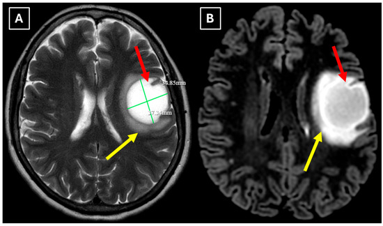
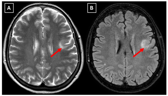
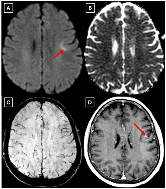
Tumefactive Demyelinating Lesion Mimicking Low-Grade Astrocytoma with a T2/FLAIR Mismatch Sign: A Case Report and Review of the Literature
by Maria Karhu, Roberts Tumeļkāns, Dace Dzirkale, Kaspars Auslands, Can Özütemiz, Alīna Flintere Flinte and Arturs Balodis
Diagnostics 2025, 15(24), 3174; https://doi.org/10.3390/diagnostics15243174 - 12 Dec 2025
Viewed by 378
Abstract
Background and Clinical Significance: Tumefactive demyelinating lesions (TDLs) are large demyelinating lesions that mimic intracranial tumors, posing a diagnostic challenge in both clinical presentation and conventional imaging. Distinguishing TDLs from central nervous system tumors can be challenging due to their similar imaging appearances. [...] Read more.
Background and Clinical Significance: Tumefactive demyelinating lesions (TDLs) are large demyelinating lesions that mimic intracranial tumors, posing a diagnostic challenge in both clinical presentation and conventional imaging. Distinguishing TDLs from central nervous system tumors can be challenging due to their similar imaging appearances. Specific magnetic resonance imaging (MRI) features such as open-ring contrast enhancement, mild mass effect, lack of cortical involvement, and rapid responsiveness to corticosteroids favor a demyelinating etiology of the lesion. This report presents a case of a tumefactive demyelination lesion showing a T2/fluid-attenuated inversion recovery (FLAIR) mismatch sign suggestive of a low-grade astrocytoma, focusing on imaging findings, therapeutic response, and diagnostic considerations. Case Description: A 63-year-old woman presented with headache, progressive speech impairment, and difficulty swallowing. MRI revealed a large lesion in the left frontal lobe with a T2/FLAIR mismatch sign, which initially suggested a low-grade astrocytoma. Additionally, the lesion was hypodense on noncontrast computed tomography (CT), did not show open-ring enhancement, and only had mild mass effect with perifocal edema. Given these conflicting imaging findings, a biopsy was considered; however, the patient declined the procedure and agreed to a follow-up. Corticosteroid therapy was initiated to reduce swelling, resulting in a significant reduction in the lesion within two weeks. A follow-up MRI confirmed near-complete regression of the lesion after two months. Conclusions: While a T2/FLAIR mismatch sign correlates with isocitrate dehydrogenase (IDH)-mutant 1p/19q non-codeleted astrocytoma, the dynamic radiological and clinical response to corticosteroids was more indicative of demyelination. This case highlights the importance of considering TDLs in the differential diagnosis of tumor-like brain lesions to avoid unnecessary invasive interventions like biopsy or surgical removal. Full article
(This article belongs to the Section Medical Imaging and Theranostics)
Show Figures

Figure 1

20 pages, 2289 KB  
Case Report
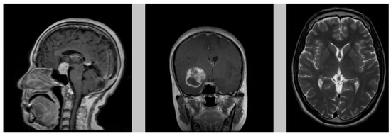
Anatomically Precise Microsurgical Resection of a Posterior Fossa Cerebellar Metastasis in an Elderly Patient with Preservation of Venous Outflow, Dentate Nucleus, and Cerebrospinal Fluid Pathways
by Nicolaie Dobrin, Felix-Mircea Brehar, Daniel Costea, Adrian Vasile Dumitru, Alexandru Vlad Ciurea, Octavian Munteanu and Luciana Valentina Munteanu
Diagnostics 2025, 15(24), 3131; https://doi.org/10.3390/diagnostics15243131 - 9 Dec 2025
Viewed by 352
Abstract
Background and Clinical Significance: Adults suffering from cerebellar metastases are often at high risk for rapid deterioration of their neurological status because the posterior fossa has limited compliance and the location of these metastases are close to the brain stem and important [...] Read more.
Background and Clinical Significance: Adults suffering from cerebellar metastases are often at high risk for rapid deterioration of their neurological status because the posterior fossa has limited compliance and the location of these metastases are close to the brain stem and important cerebrospinal fluid (CSF) pathways. In this paper, we present a longitudinal, patient-centered report on the history of an elderly individual who suffered from cognitive comorbidities and experienced a sudden loss of function in her cerebellum. Our goal in reporting this case is to provide a comparison between the patient’s pre-operative and post-operative neurological examinations; the imaging studies she had before and after surgery; the surgical techniques utilized during her operation; and the outcome of her post-operative course in a way that will be helpful to other patients who have experienced a similar situation. Case Presentation: We report the case of an 80-year-old woman who initially presented with progressive ipsilateral limb-trunk ataxia, impaired smooth pursuit eye movement, and rebound nystagmus, but preserved pyramidal and sensory functions. Her quantitative bedside assessments included some of the components of the Scale for the Assessment and Rating of Ataxia (SARA), and a National Institute of Health Stroke Scale (NIHSS) score of 3. These findings indicated dysfunction of the left neocerebellar hemisphere and possible dentate nucleus involvement. The patient’s magnetic resonance imaging (MRI) results demonstrated an expansive mass with surrounding vasogenic edema and marked compression and narrowing of the exits of the fourth ventricle which placed the patient’s CSF pathways at significant risk of occlusion, while the aqueduct and inlets were patent. She then underwent a left lateral suboccipital craniectomy with controlled arachnoidal CSF release, preservation of venous drainage routes, subpial corticotomy oriented along the lines of the folia, stepwise internal debulking, and careful protection of the cerebellar peduncles and dentate nucleus. Dural reconstruction utilized a watertight pericranial graft to restore the cisternal compartments. Her post-operative intensive care unit (ICU) management emphasized optimal venous outflow, normoventilation, and early mobilization. Histopathology confirmed the presence of metastatic carcinoma, and staging suggested that the most likely source of the primary tumor was the lungs. Immediately post-operation, computed tomography (CT) imaging revealed a smooth resection cavity with open foramina of Magendie and Luschka, intact contours of the brain stem, and no evidence of bleeding or hydrocephalus. The patient’s neurological deficits, including dysmetria, scanning dysarthria, and ataxic gait, improved gradually during the first 48 h post-operatively. Upon discharge, the patient demonstrated an improvement in her limb-kinetic subscore on the International Cooperative Ataxia Rating Scale (ICARS) and demonstrated independent ambulation. At two weeks post-operation, CT imaging revealed decreasing edema and stable cavity size, and the patient’s modified Rankin scale had improved from 3 upon admission to 1. There were no episodes of CSF leakage, wound complications, or new cranial nerve deficits. A transient post-operative psychotic episode that was likely secondary to her underlying Alzheimer’s disease was managed successfully with short-course pharmacotherapy. Conclusions: The current case study demonstrates the value of anatomy-based microsurgical planning, preservation of venous and CSF pathways, and targeted peri-operative management to facilitate rapid recovery of function in older adults who suffer from cerebellar metastasis and cognitive comorbidities. The case also demonstrates the importance of early multidisciplinary collaboration to allow for timely initiation of both adjuvant stereotactic radiosurgery and molecularly informed systemic therapy. Full article
(This article belongs to the Special Issue Brain/Neuroimaging 2025–2026)
Show Figures

Figure 1

17 pages, 2144 KB  
Systematic Review
Cardiac Aftermath of Gestational Diabetes—From Intrauterine Impact to Lifelong Complications: A Systematic Review
by Sophia Tsokkou, Ioannis Konstantinidis, Antonios Keramas, Vasileios Anastasiou, Alkis Matsas, Maria Florou, Alexandra Arvanitaki, Emmanouela Peteinidou, Theodoros Karamitsos, George Giannakoulas, Themistoklis Dagklis, Theodora Papamitsou, Antonios Ziakas and Vasileios Kamperidis
J. Dev. Biol. 2025, 13(4), 44; https://doi.org/10.3390/jdb13040044 - 8 Dec 2025
Viewed by 203
Abstract
Background. Gestational diabetes mellitus (GDM) induces maternal hyperglycemia, which may alter fetal cardiac structure and function, increasing short- and long-term cardiovascular risks. Purpose. To systematically review the evidence on the fetal cardiac structural and functional effects of GDM, to explore the [...] Read more.
Background. Gestational diabetes mellitus (GDM) induces maternal hyperglycemia, which may alter fetal cardiac structure and function, increasing short- and long-term cardiovascular risks. Purpose. To systematically review the evidence on the fetal cardiac structural and functional effects of GDM, to explore the diagnostic role of novel imaging and biochemical biomarkers, and to summarize the long-term cardiovascular complications associated with GDM. Materials and Methods. A systematic search of PubMed, Scopus, and Cochrane Library was conducted according to the PRISMA guidelines. All studies comparing cardiac outcomes in GDM and non-GDM pregnancies were included. Data on myocardial hypertrophy, diastolic and systolic function, imaging modalities, and biomarkers were extracted and qualitatively synthesized. Results. A total of twelve eligible studies were identified. Fetal cardiac hypertrophy and diastolic and early systolic dysfunction are common among GDM pregnancies and can be detected by dual-gate Doppler and speckle-tracking echocardiography. Abnormalities are observed in indices such as the myocardial performance index, E/A, E/e′ ratios, and global longitudinal and circumferential strain in fetuses and may persist in the neonatal period. Alterations may be more pronounced for the right ventricle compared to the left. Septal hypertrophy is associated with elevated umbilical cord pro-brain natriuretic peptide. The risk of early-onset cardiovascular disease in the progeny of diabetic mothers is 29% higher, as evidenced by population-based cohort data. Conclusions. GDM is linked to fetal cardiac remodeling and an increased long-term cardiovascular risk. Early detection and customized interventions to reduce adverse outcomes may be achieved by integrating advanced echocardiographic techniques and biomarkers into prenatal surveillance. Full article
Show Figures

Figure 1

Back to TopTop