Sign in to use this feature.

Years

Between: -

Subjects

remove_circle_outline
remove_circle_outline
remove_circle_outline
remove_circle_outline
remove_circle_outline
remove_circle_outline
remove_circle_outline
remove_circle_outline
remove_circle_outline

Journals

remove_circle_outline
remove_circle_outline
remove_circle_outline
remove_circle_outline
remove_circle_outline
remove_circle_outline
remove_circle_outline
remove_circle_outline
remove_circle_outline
remove_circle_outline

Article Types

Countries / Regions

remove_circle_outline
remove_circle_outline
remove_circle_outline

Search Results (305)

Search Parameters:
Keywords = balloon modeling

Order results
Result details
Results per page
Select all
Export citation of selected articles as:
17 pages, 1276 KB  
Article
Intra-Aortic Balloon Pump Use in Post-Infarction Ventricular Septal Rupture: The Impact of Timing Relative to Cardiogenic Shock
by Si Wang, Qianfeng Xiao, Fangyang Huang, Yuan Feng, Jun Shi, Siyu He, Ying Xu and Xin Wei
J. Clin. Med. 2026, 15(8), 2892; https://doi.org/10.3390/jcm15082892 - 10 Apr 2026
Abstract
Background: Ventricular septal rupture (VSR) following acute myocardial infarction (AMI) creates an abrupt left-to-right shunt that can progress to cardiogenic shock (CS). Once CS develops, mortality increases dramatically and delayed repair becomes less feasible. Intra-aortic balloon pumps (IABPs) are widely used to [...] Read more.
Background: Ventricular septal rupture (VSR) following acute myocardial infarction (AMI) creates an abrupt left-to-right shunt that can progress to cardiogenic shock (CS). Once CS develops, mortality increases dramatically and delayed repair becomes less feasible. Intra-aortic balloon pumps (IABPs) are widely used to facilitate delayed repair; however, whether initiating IABP before CS onset improves survival remains unclear. Methods: We retrospectively analyzed 124 patients with AMI-related VSR (2009–2024), categorized by IABP timing relative to CS onset (defined as first catecholamine administration) into pre-CS, post-CS, and no-IABP groups. The primary outcome was all-cause mortality within 90 days after AMI onset. Kaplan–Meier curves and Cox proportional hazards models were applied, with subgroup analyses by CS status. Results: The 90-day survival rate was 68.2% in the pre-CS IABP group, 14.3% in the post-CS group, and 35.1% in the no-IABP group. Pre-CS IABP was associated with significantly lower mortality compared with no-IABP (adjusted HR = 0.401, 95% CI 0.174–0.925, p = 0.032) and post-CS IABP (adjusted HR = 0.369, 95% CI 0.149–0.910, p = 0.030). In the CS subgroup, IABP use did not improve survival (19.4% vs. 17.6%, p = 0.365). Among non-CS patients, IABP use was independently associated with lower mortality (85.7% vs. 50.0%, p = 0.027; adjusted HR = 0.178, 95% CI 0.040–0.801, p = 0.025). Conclusions: Given the retrospective design and limited sample size, these findings are hypothesis-generating. Early IABP use was associated with improved short-term survival, an effect not observed once CS had developed. These findings support early risk stratification to identify high-risk patients who may benefit from timely hemodynamic support. Full article
(This article belongs to the Section Cardiology)
7 pages, 2375 KB  
Brief Report
Establishment of the Rat Model of Intracranial Aneurysm Contributing to the Development of Endovascular Devices
by Masahiko Itani and Tomohiro Aoki
Biomedicines 2026, 14(4), 810; https://doi.org/10.3390/biomedicines14040810 - 2 Apr 2026
Viewed by 248
Abstract
Background: Endovascular treatment has become the major choice for treating intracranial aneurysm (IA). The development of novel endovascular devices for IA treatment is, therefore, socially important. For this purpose, a preclinical animal model to test a prototype of devices plays a crucial [...] Read more.
Background: Endovascular treatment has become the major choice for treating intracranial aneurysm (IA). The development of novel endovascular devices for IA treatment is, therefore, socially important. For this purpose, a preclinical animal model to test a prototype of devices plays a crucial role. The major problems regarding currently used preclinical animal models, mainly in medium-to-large animals, are the expense and the lack of IA pathology, as they only mimic the morphological aspect. Methods: Sprague–Dawley rats were used, and the new bifurcation was formed via end-to-side anastomosis of carotid arteries. An aneurysm lesion induced at the newly formed bifurcation site was macroscopically assessed. Endovascular coiling of the induced aneurysm was then done. Results: An aneurysm lesion with a balloon-like shape, as in human cases, was induced at the newly formed bifurcation site. Some of the induced lesions spontaneously ruptured. Endovascular coiling was successfully done by using the micro-catheter and coil used at the clinical site. Conclusions: The rat model of IAs established here provides a novel platform contributing to the development of endovascular devices to treat IAs and, therefore, significantly facilitates the development of devices to achieve more effective treatment. Full article
Show Figures

Figure 1

16 pages, 1323 KB  
Systematic Review
Impact of Resuscitative Endovascular Balloon Occlusion of the Aorta on In-Hospital and Short-Term Mortality: A Systematic Review and Meta-Analysis
by Hiroyuki Kamide, Shingo Kato, Naofumi Yasuda, Shungo Sawamura, Yoshinobu Ishiwata, Nobuyuki Horita, Ryusuke Sekii, Tomohiro Oshima, Zenjiro Sekikawa and Daisuke Utsunomiya
Diseases 2026, 14(4), 122; https://doi.org/10.3390/diseases14040122 - 27 Mar 2026
Viewed by 285
Abstract
Background: Resuscitative endovascular balloon occlusion of the aorta (REBOA) is increasingly employed in patients with hemorrhagic shock and cardiovascular collapse; however, its impact on mortality remains controversial. Differences in geographic regions and patient populations may influence clinical outcomes. Methods: We conducted a systematic [...] Read more.
Background: Resuscitative endovascular balloon occlusion of the aorta (REBOA) is increasingly employed in patients with hemorrhagic shock and cardiovascular collapse; however, its impact on mortality remains controversial. Differences in geographic regions and patient populations may influence clinical outcomes. Methods: We conducted a systematic review and meta-analysis of observational studies comparing mortality between patients receiving REBOA and those managed without REBOA. Pooled odds ratios (ORs) and 95% confidence intervals (CIs) were calculated using random-effects models. Subgroup analyses were performed according to propensity score (PS) matching, trauma versus non-trauma populations, and geographic regions. Results: A total of 10 studies involving 18,611 patients were included. Overall, REBOA was not associated with a significant reduction in mortality compared with non-REBOA (pooled OR = 0.52, 95% CI: 0.19–1.39, p = 0.19). In PS-matched studies, the pooled OR was 0.82 (95% CI: 0.34–1.98, p = 0.66), whereas in non-PS-matched studies it was 0.40 (95% CI: 0.12–1.26, p = 0.12). Geographic analyses revealed no significant mortality benefit in either Western studies (OR = 0.47, 95% CI: 0.12–1.89; p = 0.29) or non-Western studies (OR = 0.60, 95% CI: 0.11–3.38; p = 0.56). No survival benefit was observed among trauma patients (OR = 0.57, 95% CI: 0.20–1.61; p = 0.29), whereas a significant reduction in mortality was observed in non-trauma patients (OR = 0.21, 95% CI: 0.05–0.88; p = 0.03). Conclusions: In this systematic review and meta-analysis, REBOA was not associated with a significant reduction in mortality in the overall population or in trauma patients. However, in a single small non-trauma study (n = 53), REBOA was associated with significantly reduced mortality; this finding is exploratory and requires confirmation in larger prospective studies. These findings suggest that the clinical benefit of REBOA may depend on patient population and underlying etiology of hemorrhage. Full article
Show Figures

Figure 1

18 pages, 6274 KB  
Article
Resveratrol Attenuates Liver Inflammation in Non-Alcoholic Fatty Liver Disease by Activating PINK1-Mediated Mitophagy
by Shujing Tan, Ran Yu, Longwei Sun, Manman Shen, Juan Framirez Pedroso, Osmani Chacón Chacón, Chengmin Li and Weiguo Zhao
Animals 2026, 16(7), 1022; https://doi.org/10.3390/ani16071022 - 27 Mar 2026
Viewed by 310
Abstract
Resveratrol (RES) has been shown to exhibit therapeutic efficacy against fatty liver disease. Yet, the molecular mechanisms by which RES ameliorates liver injury remain unclear. The aim of this study was to investigate the therapeutic effect and mechanism of resveratrol in fatty liver [...] Read more.
Resveratrol (RES) has been shown to exhibit therapeutic efficacy against fatty liver disease. Yet, the molecular mechanisms by which RES ameliorates liver injury remain unclear. The aim of this study was to investigate the therapeutic effect and mechanism of resveratrol in fatty liver disease. It was found that dairy cows with fatty liver exhibit characteristic hepatic pathologies, including ballooning degeneration, lipid accumulation and elevated serum AST and ALT levels. Parallel to these changes, we observed significant upregulation of the NLRP3 inflammasome alongside suppression of mitophagy in the liver. Additionally, it was demonstrated in vitro that resveratrol pretreatment effectively alleviated PA-triggered NLRP3 inflammasome activation and mitochondrial dysfunction. Furthermore, RES’s mitigating effects against NLRP3 inflammation and mitochondrial injury were reversed by suppressing PINK1-medicated mitophagy. In vivo experiments further demonstrated that resveratrol administration attenuated HFD-induced liver injury and lipid accumulation in a mouse model, concurrent with suppressed NLRP3 activation and an increase in mitophagy, further confirming the mechanism identified in vitro. Our findings reveal that RES ameliorates fatty liver injury primarily by inhibiting the NLRP3 inflammasome through PINK1-mediated mitophagy, which provides a potential novel therapeutic strategy for mitigating fatty liver disease. Full article
(This article belongs to the Section Animal Physiology)
Show Figures

Figure 1

25 pages, 1855 KB  
Article
Bioprocessed Black Rice Bran and Balloon Flower Root Cooperatively Regulate IgE, Epithelial Signaling, and Th1/Th2 Balance to Induce Therapeutic Response in a Mouse Model of Atopic Dermatitis
by Kyung Hee Lee, Ki Sun Kwon, Woon Sang Hwang, Alan D. Friedman, Wha Young Lee, Jeanman Kim, Sang Jong Lee, Sung Phil Kim and Mendel Friedman
Int. J. Mol. Sci. 2026, 27(6), 2691; https://doi.org/10.3390/ijms27062691 - 16 Mar 2026
Viewed by 411
Abstract
Atopic dermatitis (AD) is a chronic inflammatory skin disorder characterized by epidermal barrier dysfunction and dysregulated immune responses, particularly an imbalance between T helper type 1 (Th1) and type 2 (Th2) cytokines. Natural products with immunomodulatory activity have attracted increasing attention as potential [...] Read more.
Atopic dermatitis (AD) is a chronic inflammatory skin disorder characterized by epidermal barrier dysfunction and dysregulated immune responses, particularly an imbalance between T helper type 1 (Th1) and type 2 (Th2) cytokines. Natural products with immunomodulatory activity have attracted increasing attention as potential strategies for regulating allergic inflammation. In this study, we investigated the immunomodulatory effects of bioprocessed black rice bran (BRB-F) and bioprocessed balloon flower root (BFR-F). In vitro assays using human B cells, mast cells, and keratinocytes were conducted to evaluate IgE production, mast cell degranulation, and epithelial inflammatory mediator release. The efficacy of the BRB-F:BFR-F mixture was further evaluated in BALB/c mice with 2,4-dinitrochlorobenzene (DNCB)/Dermatophagoides farinae extract (DFE)-induced AD-like dermatitis. BRB-F and BFR-F suppressed IgE production, attenuated mast cell degranulation and thymic stromal lymphopoietin (TSLP) release, and reduced keratinocyte-derived inflammatory mediators (thymus and activation-regulated chemokine (TARC), macrophage-derived chemokine (MDC), and IL-6). In mice, dietary supplementation with the BRB-F:BFR-F mixture (10–80 mg/kg/day) dose-dependently improved clinical skin lesions and histopathological changes, with serum IgE reduced by up to 87.1% at the highest dose. The treatment significantly suppressed Th2 cytokine mRNA expression in ear tissue (IL-4, IL-5, and IL-13) by 37.2%, 32.7%, and 34.0%, respectively, compared with the positive control. In contrast, splenic Th1 cytokine mRNA expression (IL-2, IL-12, and IFN-γ) was partially restored by 37.1%, 22.5%, and 18.7%, respectively. These findings indicate that BRB-F and BFR-F modulate multiple immune pathways and help restore Th1/Th2 immune balance, suggesting their potential as functional materials for regulating immune dysregulation associated with AD. Full article
Show Figures

Figure 1

21 pages, 2592 KB  
Article
Measurement and Numerical Modelling of Swim Bladder Resonance Properties of Recently Euthanised Brown Trout (Salmo trutta)
by William Luocheng Wu, Philip Ericsson, Paul Kemp and Paul Robert White
Fishes 2026, 11(3), 169; https://doi.org/10.3390/fishes11030169 - 15 Mar 2026
Viewed by 265
Abstract
Swim bladders in some teleost fish can act as gas-filled cavities that oscillate under acoustic pressure and transfer the sound energy to the inner ears. Quantifying the resonance frequency and damping of these oscillations is useful for linking swim bladder mechanics to hearing-related [...] Read more.
Swim bladders in some teleost fish can act as gas-filled cavities that oscillate under acoustic pressure and transfer the sound energy to the inner ears. Quantifying the resonance frequency and damping of these oscillations is useful for linking swim bladder mechanics to hearing-related and behavioural questions, but many established direct-measure approaches have relied on open-water deployments and careful avoidance of boundary reflections, making experiments logistically demanding and difficult to reproduce (e.g., requiring deep-water sites, careful control of surface/boundary reflections, and complex deployment geometries). This study presents a compact laboratory methodology for estimating swim bladder resonance properties using a closed, fully water-filled, stainless-steel impedance tube. Broadband pseudorandom excitation is applied via an end-plate shaker, and the acoustic response of the system is recorded using wall-mounted hydrophones. Resonance peaks are identified using power spectral estimates of recorded signals, allowing resonance frequency and quality factor to be extracted from the peak location and −3 dB bandwidth. The approach is first established using inflated latex balloons as surrogate encapsulated gas cavities, providing a controlled benchmark for repeatability and interpretation. It is then applied to recently euthanised brown trout (Salmo trutta), where clear resonance features attributable to the swim bladder are observed and show systematic variation with body size. A coupled finite element model reproduces the principal resonance behaviour under the experimental loading and supports interpretation of the measured peaks as swim bladder resonance. The results provide a validated foundation for subsequent non-invasive measurements on live, free-swimming fish, as well as for future applications where swim bladder condition may be relevant to management or conservation. Full article
Show Figures

Graphical abstract

20 pages, 8265 KB  
Article
Growth Hormone-Releasing Peptide-6 (GHRP-6) Ameliorates Post-Infarct Ventricular Remodeling and Systolic Dysfunction in a Model of Permanent Coronary Ligation
by Linlin Wang, Arielis Rodriguez-Ulloa, Jorge Berlanga-Acosta, Ariana García-Ojalvo, Angel Abreu-Cruz, Luis Javier Gonzalez-López, Vladimir Besada-López, Yassel Ramos-Gómez, Gerardo Guillén-Nieto and Baohong Jiang
Pharmaceuticals 2026, 19(3), 468; https://doi.org/10.3390/ph19030468 - 12 Mar 2026
Viewed by 531
Abstract
Background/Objective: GHRP-6 is a GH secretagogue hexapeptide with expanding and promising cardioprotective effects. Having determined 0.4 mg/kg as the minimum effective dose for enhancing inotropy based on echocardiographic parameters in healthy rats, we implemented a non-reperfusion myocardial infarct model, with its consequent [...] Read more.
Background/Objective: GHRP-6 is a GH secretagogue hexapeptide with expanding and promising cardioprotective effects. Having determined 0.4 mg/kg as the minimum effective dose for enhancing inotropy based on echocardiographic parameters in healthy rats, we implemented a non-reperfusion myocardial infarct model, with its consequent left ventricle wall thinning and ballooning, via permanent left descending coronary artery ligation. Methods: Rats were assigned to three groups: sham-operated/normal rats, infarcted + saline-treated control rats, and infarcted + GHRP-6-administration rats. Treatments were initiated post-surgery and continued for 7 days. On day 7, the animals were echocardiographically and histologically evaluated. For mitochondrial proteomic analysis, an additional 12 healthy rats were used. Six animals received GHRP-6 or normal saline and were observed for 6 h after the inoculation. Results: Here, we show that GHRP-6 attenuated myocardial tissue demise, reduced myocardial interstitial fibrosis/scarring, and integrally improved left ventricle physiology. The proteomic analysis indicated that the GHRP-6 cardioprotective effects may be theoretically mediated by the concerted upregulation of proteins/pathways involved in fatty acid beta-oxidation, apoptosis prevention pathways, antioxidant defenses, and mitochondrial metabolic reprogramming. Conclusions: GHRP-6 is a potent cardioprotective candidate attenuating morphological and functional outcomes caused by late ischemia. Full article
(This article belongs to the Section Biopharmaceuticals)
Show Figures

Graphical abstract

19 pages, 1822 KB  
Article
Induction of Labor in Late-Term and Post-Term Pregnancies Using Double-Balloon Catheter for Cervical Ripening: Predictors of Prolonged Labor Across Four Combined Augmentation Protocols in a Retrospective Cohort Study
by Sadık Kükrer and Sefa Arlıer
J. Clin. Med. 2026, 15(5), 2011; https://doi.org/10.3390/jcm15052011 - 5 Mar 2026
Viewed by 453
Abstract
Background/Objectives: Induction of labor at ≥41 weeks with an unfavorable cervix is challenging. Comparative evidence for double-balloon catheter (DBC)-based augmentation protocols is limited. We aimed to estimate the frequency of prolonged labor, compare four DBC-based protocols, and identify predictors of timely vaginal [...] Read more.
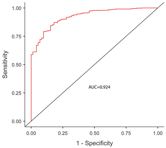
Background/Objectives: Induction of labor at ≥41 weeks with an unfavorable cervix is challenging. Comparative evidence for double-balloon catheter (DBC)-based augmentation protocols is limited. We aimed to estimate the frequency of prolonged labor, compare four DBC-based protocols, and identify predictors of timely vaginal delivery in the study population. Methods: This retrospective cohort study analyzed 709 women with singleton, cephalic pregnancies at ≥41 weeks and a Bishop score of ≤6 who achieved vaginal delivery following DBC-based induction at a tertiary referral center (2017–2026). The protocols comprised DBC alone or in combination with oxytocin, dinoprostone, or misoprostol. The primary outcome was vaginal delivery within 24 h of DBC insertion. Multivariable logistic regression and Kaplan–Meier analyses were performed, adjusting for maternal age, parity, body mass index, and post-ripening Bishop score changes. Results: Prolonged labor (≥24 h) occurred in 10.2% of vaginal deliveries and was associated with significantly elevated maternal infectious morbidity and adverse neonatal respiratory outcomes. The median induction-to-delivery interval was shortest with DBC plus misoprostol and longest with DBC plus dinoprostone (p < 0.001). Uterine hyperstimulation was most frequent with misoprostol (21.2% of cases). Post-ripening Bishop score change emerged as the strongest predictor of timely delivery (adjusted OR 4.72, 95% CI 2.99–7.43), whereas advancing maternal age reduced the odds of timely delivery (adjusted OR 0.65 per year, 95% CI 0.57–0.75). The prediction model demonstrated excellent discrimination (AUC = 0.924). Conclusions: In late-term and post-term DBC-based inductions, prolonged labor affected 10% of vaginal deliveries and substantially increased maternal and neonatal morbidity. DBC combined with misoprostol achieved the shortest delivery interval but carried the highest risk of hyperstimulation, whereas DBC combined with oxytocin offered the most favorable uterine activity profile. Post-ripening cervical reassessment, particularly changes in the Bishop score, enables evidence-based risk stratification and may guide the selection of individualized protocols. Full article
(This article belongs to the Section Obstetrics & Gynecology)
Show Figures

Figure 1

12 pages, 2506 KB  
Article
Numerical Simulation and Optimization of Drug-Coated Balloon Inflation for Vascular Stenosis
by Chenzhao Zhang, Yuanyuan Zhang and Shengzhang Wang
Bioengineering 2026, 13(3), 301; https://doi.org/10.3390/bioengineering13030301 - 5 Mar 2026
Viewed by 499
Abstract
This study establishes a numerical model for the implantation of drug-coated balloons (DCBs) in blood vessels, in order to quantify drug (paclitaxel) transfer and diffusion within stenotic vessels and provide a reference for clinical surgical plans. Objective: To study the change in paclitaxel [...] Read more.
This study establishes a numerical model for the implantation of drug-coated balloons (DCBs) in blood vessels, in order to quantify drug (paclitaxel) transfer and diffusion within stenotic vessels and provide a reference for clinical surgical plans. Objective: To study the change in paclitaxel concentration over time in the blood vessel after the implantation of a DCB in vessels with different degrees of stenosis, and thereby determine the optimal balloon dilation time. Method: Using finite element modeling and numerical simulation techniques, a model was established to study the rules of paclitaxel concentration change over time in vessels with different degrees of stenosis. Results: Based on the simulation prediction, the longer the balloon dilation time during implantation, the more paclitaxel enters the vessel wall. After the balloon is withdrawn, the paclitaxel gradually diffuses evenly throughout the vessel, and the paclitaxel concentration gradually decreases over time. Conclusion: Under the simulation conditions, the optimal balloon dilation times for vessels with stenosis rates of 10%, 30%, and 50% should be 20 s, 60 s, and 80 s, corresponding effective duration of 6 weeks, 6 weeks and 4 weeks, respectively. Full article
(This article belongs to the Section Biomechanics and Sports Medicine)
Show Figures

Figure 1

20 pages, 2566 KB  
Article
Machine Learning-Based Prediction of Long-Term Mortality in STEMI Patients Using Clinical, Laboratory, and Inflammatory–Metabolic Indices
by Gökhan Keskin, Abdulkadir Çakmak and Mehmet Uğur Çalışkan
J. Clin. Med. 2026, 15(5), 1800; https://doi.org/10.3390/jcm15051800 - 27 Feb 2026
Viewed by 340
Abstract
Background: This study aims to compare the performance of machine learning (ML) models developed to predict long-term mortality risk in patients with ST-segment elevation myocardial infarction (STEMI) undergoing primary percutaneous coronary intervention (pPCI) and to investigate the prognostic value of novel inflammatory–metabolic indices. [...] Read more.
Background: This study aims to compare the performance of machine learning (ML) models developed to predict long-term mortality risk in patients with ST-segment elevation myocardial infarction (STEMI) undergoing primary percutaneous coronary intervention (pPCI) and to investigate the prognostic value of novel inflammatory–metabolic indices. Methods: In this retrospective study, 329 consecutive STEMI patients who underwent pPCI (292 survivors, 37 deaths) were included. Five ML algorithms—Logistic Regression (LR), Random Forest (RF), Extreme Gradient Boosting (XGBoost), Support Vector Machines (SVM), and Artificial Neural Networks (ANN)—were developed for mortality prediction. Model performance was evaluated using accuracy, sensitivity, specificity, and the area under the receiver operating characteristic (ROC) curve (AUC). SHAP (Shapley Additive exPlanations) analysis was used to interpret model decision mechanisms. Results: The mortality group had significantly higher door-to-balloon time (DTBT), Systemic Inflammatory Response Index (SIRI), pan-immune-inflammation value (PIV), whereas body mass index (BMI), Prognostic Nutritional Index (PNI), and Advanced Lung Cancer Inflammation Index (ALI) values were significantly lower (p < 0.001). Among the ML models, the XGBoost algorithm achieved the best performance, with 98.99% accuracy, a ROC-AUC of 0.999, and 100% sensitivity, correctly identifying all mortality cases. SHAP analysis identified DTBT, albumin level, and ALI score as the strongest predictors of mortality, in that order. Conclusions: The XGBoost algorithm provides high accuracy and reliability for predicting long-term mortality in STEMI patients. Beyond DTBT, integrating novel indices—especially ALI and TyG—into ML models may serve as a powerful clinical tool for early identification of high-risk patients and improved risk stratification. Full article
(This article belongs to the Special Issue New Perspectives in Acute Coronary Syndrome)
Show Figures

Figure 1

14 pages, 1833 KB  
Article
Hydrogen Molecule Delivery System to Ischemic Intestine Using Resuscitative Endovascular Balloon Occlusion of Aorta in Hemorrhagic Shock—A Proof-of-Concept Study
by Takahiro Yamanaka, Tadashi Matsuoka, Koichiro Homma, Tomoyoshi Tamura, Sayuri Suzuki, Shohei Suzuki, Daiki Kaito, Jo Yoshizawa, Keitaro Yajima, Soichiro Ono, Katsuya Maeshima, Eiji Kobayashi, Motoaki Sano and Junichi Sasaki
Biomedicines 2026, 14(2), 455; https://doi.org/10.3390/biomedicines14020455 - 18 Feb 2026
Viewed by 497
Abstract
Background: The use of resuscitative endovascular balloon occlusion of the aorta (REBOA) for hemorrhagic shock in the torso has become increasingly common as a bridge to definitive hemostasis. Hydrogen molecules, distributed throughout the bloodstream, alleviate ischemic injury but cannot reach ischemic organs [...] Read more.
Background: The use of resuscitative endovascular balloon occlusion of the aorta (REBOA) for hemorrhagic shock in the torso has become increasingly common as a bridge to definitive hemostasis. Hydrogen molecules, distributed throughout the bloodstream, alleviate ischemic injury but cannot reach ischemic organs during REBOA use. This study investigates whether intra-aortic irrigation with hydrogen-dissolved saline under REBOA use delivers hydrogen to the intestine in a swine hemorrhagic shock model. Methods: We induced volume-regulated hemorrhagic shock in a 40 kg female swine. Following this, hydrogen-dissolved saline irrigation was initiated through an intra-aortic catheter positioned distal to the REBOA balloon. Hydrogen concentration in the portal vein was determined in four models: controlled hemorrhagic shock with full REBOA inflation during the standard occlusion time, uncontrolled hemorrhagic shock with liver injury and full REBOA inflation during the extended occlusion time, uncontrolled hemorrhagic shock with liver injury and partial REBOA inflation during the extended occlusion time, and as the control model, controlled hemorrhagic shock with full REBOA inflation during the standard occlusion time with normal saline irrigation without hydrogen. Results: Hydrogen concentration in the portal vein was found to be 0.224 mg/L (13.998%) in the controlled hemorrhagic shock model with full REBOA inflation, 0.049 mg/L (3.063%) in the uncontrolled hemorrhagic shock model with liver injury and full REBOA inflation, 0.018 mg/L (1.125%) in the uncontrolled hemorrhagic shock model with liver injury and partial REBOA inflation, and 0.002 mg/L (0.015%) in the control model. These results demonstrate the presence of hydrogen in the portal vein under different REBOA applications. Conclusions: Increased hydrogen concentration in the portal vein indicated that hydrogen was delivered to the intestine. These findings suggest an approach for drug administration during REBOA use. However, further investigations are required to establish its application in clinical settings. Full article
(This article belongs to the Section Molecular and Translational Medicine)
Show Figures

Graphical abstract

23 pages, 6187 KB  
Article
Degradation Mechanisms and Service Life Prediction of High-Performance Rubber Seals for Near-Space Unmanned Platforms
by Chunlian Duan, Hui Feng, Tianjin Cheng, Yanchu Yang, Yuanyu Liu, Jinghui Gao, Chen Li, Qing Hao, Xiang Ma, Yongxiang Li and Xiaohui He
Aerospace 2026, 13(2), 178; https://doi.org/10.3390/aerospace13020178 - 13 Feb 2026
Viewed by 375
Abstract
Low-Speed near-space aerostats (e.g., stratospheric airships and high-altitude balloons) are low-speed unmanned aerial vehicles (UAVs) extensively utilized in communication coverage, remote sensing applications, environmental monitoring, aviation support, and other fields. A paramount challenge constraining their precise and stable operation is the leakage of [...] Read more.
Low-Speed near-space aerostats (e.g., stratospheric airships and high-altitude balloons) are low-speed unmanned aerial vehicles (UAVs) extensively utilized in communication coverage, remote sensing applications, environmental monitoring, aviation support, and other fields. A paramount challenge constraining their precise and stable operation is the leakage of buoyant gas, such as helium (He), in the harsh and unpredictable near-space environment. One of the primary causes of gas leakage is the degradation of their dedicated sealing rings. This study aims to clarify the aging mechanisms of high-performance rubber seals in near-space environments and establish a reliable service life prediction model to address the gas leakage risk of unmanned platforms. Two widely used high-performance rubber materials—ethylene propylene diene monomer (EPDM) and chloroprene rubber (CR)—were subjected to accelerated aging experiments under simulated near-space environment conditions. Their degradation was then quantified through performance degradation characterization, covering mass loss, hardness, elastic deformation, and tensile strength. A predictive model was established to estimate the mass loss rates and service life of the seals. The model revealed that EPDM exhibits superior performance to CR under near-space conditions: the aging behavior is strongly dependent on material composition, thickness, and preload, while being independent of outer diameter. Results show EPDM seals have a near-space service life of 300 days (50% longer than CR’s 200 days), with aging dependent on material composition, thickness (2 mm seals degrade 110% slower than 0.5 mm ones), and preload, but independent of outer diameter. These results provide actionable design guidelines for optimizing seal materials and geometries in aerostat pressure systems, thereby advancing the development of innovative low-speed UAV technologies and the successful application of these technologies in the emerging near-space field. These findings and the proposed methodology are directly applicable to sealing system optimization for various near-space unmanned platforms (e.g., stratospheric UAVs, high-altitude autonomous balloons), enhancing their long-duration operational reliability and mission success rate in extreme environments. Full article
(This article belongs to the Section Astronautics & Space Science)
Show Figures

Figure 1

8 pages, 243 KB  
Article
Transthoracic Cross-Clamping Versus Endo-Aortic Balloon Occlusion in Minimally Invasive Mitral Valve Surgery: A Single-Center Retrospective Cohort Study
by Ahmed Shazly, Vincenzo Caruso, Arvind Singh, Alessia Rossi, Inderpaul Birdi and Antonio Bivona
Medicina 2026, 62(2), 370; https://doi.org/10.3390/medicina62020370 - 13 Feb 2026
Viewed by 370
Abstract
Background and Objectives: Minimally invasive surgery (MIS) has become a cornerstone approach in cardiac surgery. A debate persists regarding the optimal aortic clamp occlusion strategy, with limited comparative data. The two principal strategies, which are transthoracic cross-clamping (TTCC) and endo-aortic balloon occlusion (EABO), [...] Read more.
Background and Objectives: Minimally invasive surgery (MIS) has become a cornerstone approach in cardiac surgery. A debate persists regarding the optimal aortic clamp occlusion strategy, with limited comparative data. The two principal strategies, which are transthoracic cross-clamping (TTCC) and endo-aortic balloon occlusion (EABO), offer distinct advantages, but comparative clinical data remain limited. This study compares the two techniques in terms of procedural safety and early outcome. Materials and Methods: This single-center retrospective study included consecutive adult patients undergoing elective MIS via video-assisted right mini-thoracotomy between 2012 and 2018 for mitral valve surgery. Tricuspid repair, atrial fibrillation and redo surgery were included in the final cohort. Aortic occlusion was performed with transthoracic cross-clamping (TTCC) or endo-aortic balloon occlusion (EABO). Primary endpoints were intra-operative complications and the rate of conversion to full sternotomy; secondary outcomes were overall mortality and Society of Thoracic Surgeons (STS)-defined comorbidities. Results: A total of 163 patients were analyzed (TTCC: n = 99, 60%; EABO: n = 64, 40%). While both techniques demonstrated equivalent safety profiles (overall mortality: 0%), EABO was associated with higher conversion to full sternotomy [(n = 7, 10.9%) vs. TTCC (n = 1, 1.3%), p = 0.016]. In a generalized estimation equations (GEE) model, no patient-level covariate predicted conversion, suggesting technical or procedural factors as the primary contributors. In addition, EABO was associated with longer cross-clamp time [median: 87 min (IQR: 73, 100) vs. TTCC median: 77 min (IQR: 65.5, 87.5), p = 0.03]. Stroke, acute kidney injury, respiratory failure, reoperation and wound infection did not differ significantly; also, hospital stay was similar between groups. Conclusions: In this single-center series, EABO showed longer operative times and a higher conversion rate to sternotomy, but without excess mortality or major complications. This may be correlated with the initial learning phase and redo cases; further comparison is needed to assess the benefits of EABO. Full article
(This article belongs to the Special Issue Valve Diseases: Diagnosis and Treatment Innovations)
18 pages, 11151 KB  
Article
Novel Experimental Setup for Ascending Thoracic Aortic Aneurysm Inflation Testing
by Hugo Mesquita Vasconcelos, Daniela Azevedo, Rodrigo Valente, Pedro J. Sousa, Tiago Domingues, Susana Dias, Rogério F. F. Lopes, Gonçalo P. Cipriano, António Tomás, Paulo J. Tavares, José Xavier and Pedro M. G. P. Moreira
Bioengineering 2026, 13(2), 199; https://doi.org/10.3390/bioengineering13020199 - 10 Feb 2026
Viewed by 480
Abstract
Degraded mechanical properties in the aortic wall can lead to the formation of aortic aneurysms, potentially resulting in life-threatening ruptures. Current diagnostic criteria using maximum aortic diameter often fail to predict this critical moment, underscoring the need for more accurate patient-based prediction methods. [...] Read more.
Degraded mechanical properties in the aortic wall can lead to the formation of aortic aneurysms, potentially resulting in life-threatening ruptures. Current diagnostic criteria using maximum aortic diameter often fail to predict this critical moment, underscoring the need for more accurate patient-based prediction methods. A hospital-compatible experimental apparatus was designed for quasi-static ex vivo inflation testing of intact Ascending Thoracic Aortic Aneurysm (ATAA) specimens with 360° full-field three-dimensional digital image correlation (3D-DIC). Given hospital handling constraints, liquid pressurization was not feasible; instead, pressure was applied via a balloon-driven pneumatic system, and synchronized stereo imaging was used to measure surface displacement fields between 80 and 120 mmHg. The system was validated using a CT-derived ATAA silicone phantom. Full-field displacement measurements showed close agreement with finite element simulations, supporting the mechanical reliability of the apparatus and the repeatability of the measurement workflow. In addition, a frozen–thawed healthy porcine thoracic aorta was tested to demonstrate biological feasibility, particularly regarding the speckle application and DIC tracking, without aiming to extract tissue constitutive parameters. Overall, the setup provides a practical framework for acquiring full-field inflation-induced deformation data from intact aortic specimens in a hospital setting, enabling future studies on resected human ATAA tissue and model calibration that may contribute to more accurate methods for rupture prediction. Full article
(This article belongs to the Section Biomedical Engineering and Biomaterials)
Show Figures

Figure 1

41 pages, 24095 KB  
Article
Three-Dimensional CFD Simulations for Characterization of a Rectangular Bubble Column with a Unique Gas Distributor Operating at Extremely Low Superficial Gas Velocities
by Arijit Ganguli, Vishal Rasaniya and Anamika Maurya
Micromachines 2026, 17(2), 191; https://doi.org/10.3390/mi17020191 - 30 Jan 2026
Viewed by 342
Abstract
In the present work, three-dimensional (3D) simulations have been performed for the characterization of a rectangular column for a uniform gas distributor with µm-sized holes at a ratio of 5. The model is first validated with experimental data from the literature. Simulations are [...] Read more.
In the present work, three-dimensional (3D) simulations have been performed for the characterization of a rectangular column for a uniform gas distributor with µm-sized holes at a ratio of 5. The model is first validated with experimental data from the literature. Simulations are then performed for a gas distributor with identical pitch but two different hole sizes, namely 600 µm and 200 µm. Three superficial gas velocities, namely 0.002 m/s, 0.004 m/s, and 0.006 m/s, were used for each distributor type. The gas movement in the fluid is found to be a strong function of hole size. For a 600 µm hole size, the operating condition has minimal impact on gas plume movement and moves centrally in a fully aerated regime. However, for a hole size of 200 µm, for all superficial velocities, the gas plume movement is dynamic and partially aerated. The plume moves along the right wall initially and then follows vertically. These characteristics are different from the meandering plume in centrally located spargers. The liquid mixing in the bulk is a function of time. During the plume development flow, different shapes are observed. Based on the analogy with the shapes found in nature, these shapes have been termed as balloon, cap, jet or candle flame, bull horn, mushroom, tree shape, and disintegrated mushroom shapes. Quantitative insights have been obtained in the form of time-averaged radial profiles of both volume fractions and liquid axial velocities. A symmetric parabolic shape for a hole size of 600 µm and skewed asymmetric shapes for a 200 µm hole size for three different axial positions, namely 0.1, 0.25, and 0.4 m, are observed. Correlations for gas holdup and liquid velocity have been proposed for low superficial velocities, which are in good agreement with the CFD simulation data, with a deviation of 15–20%. The deviations are partly due to the use of the k-ε turbulent model. The correlations perform better than the correlations available in the reported literature for similar superficial gas velocities. Full article
(This article belongs to the Special Issue Flows in Micro- and Nano-Systems)
Show Figures

Figure 1

Back to TopTop