Sign in to use this feature.

Years

Between: -

Subjects

remove_circle_outline
remove_circle_outline
remove_circle_outline
remove_circle_outline
remove_circle_outline
remove_circle_outline
remove_circle_outline
remove_circle_outline
remove_circle_outline

Journals

remove_circle_outline
remove_circle_outline
remove_circle_outline
remove_circle_outline
remove_circle_outline
remove_circle_outline
remove_circle_outline
remove_circle_outline
remove_circle_outline
remove_circle_outline

Article Types

Countries / Regions

remove_circle_outline
remove_circle_outline
remove_circle_outline
remove_circle_outline
remove_circle_outline

Search Results (253)

Search Parameters:
Keywords = animal robots

Order results
Result details
Results per page
Select all
Export citation of selected articles as:
20 pages, 6468 KB  
Article
Morphological Analysis of Intratesticular Structures Affecting Hamster Testicular Stiffness
by Shiki Hagino, Yoko Sato, Miki Yoshiike, Shiari Nozawa, Kenji Ogawa, Daisuke Tomizuka, Akane Kinebuchi, Yuna Tamakuma, Kohei Ohnishi, Takeshige Otoi, Masayasu Taniguchi and Teruaki Iwamoto
Animals 2025, 15(20), 2999; https://doi.org/10.3390/ani15202999 - 16 Oct 2025
Abstract
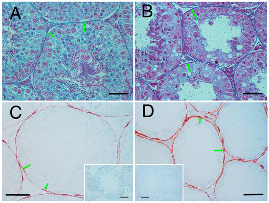
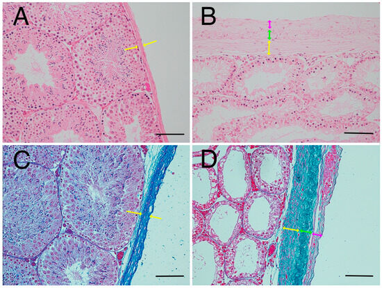
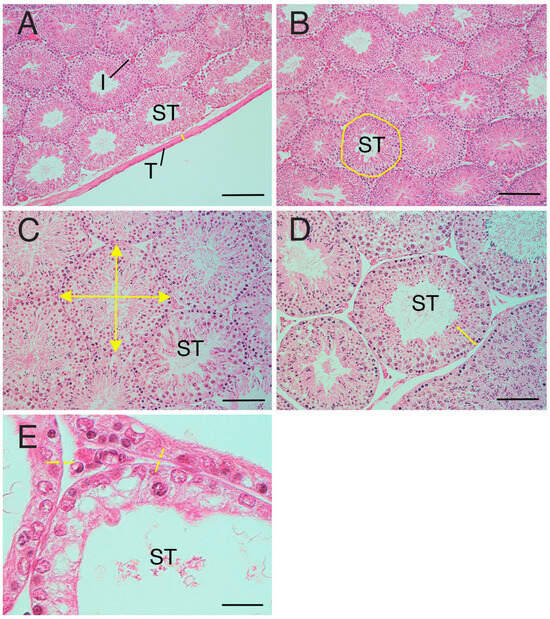
Testicular stiffness is a potential indicator of spermatogenic activity. Herein, we investigated the relationship between testicular stiffness and intratesticular morphology in Syrian hamsters by using a robotic system with a micro-force sensor. Animals were divided into control, sham-operated, and surgically induced cryptorchidism groups. [...] Read more.
Testicular stiffness is a potential indicator of spermatogenic activity. Herein, we investigated the relationship between testicular stiffness and intratesticular morphology in Syrian hamsters by using a robotic system with a micro-force sensor. Animals were divided into control, sham-operated, and surgically induced cryptorchidism groups. Testicular stiffness, testis weight and size, and Johnsen score data for sham and crypt groups were partially derived from our previous study and reanalysed. Testicular stiffness and histological parameters were analysed, including tunica albuginea thickness, seminiferous tubule occupancy, tubule diameter, intratubular cell-layer thickness, peritubular lamina propria thickness, and Leydig cell numbers. Compared with those of sham and normal controls, cryptorchid testes showed significantly lower stiffness and marked morphological changes, such as reduced tubule occupancy and diameter, thinner intratubular cell layers, thickened tunica albuginea and peritubular lamina propria, and increased numbers of Leydig cells. Decreased testicular stiffness and the Johnsen score, a standard index of spermatogenic function, were strongly related to these structural changes. These findings indicate that structural changes in the testes caused by impaired spermatogenesis are related to measurable differences in tissue stiffness. This study supports using mechanical properties as non-invasive quantitative indices to evaluate testicular function in animal models, offering a novel approach for future research in experimental andrology. Full article
(This article belongs to the Section Animal Reproduction)
Show Figures

Figure 1

21 pages, 2281 KB  
Article
Path Optimization for Cluster Order Picking in Warehouse Robotics Using Hybrid Symbolic Control and Bio-Inspired Metaheuristic Approaches
by Mete Özbaltan, Serkan Çaşka, Merve Yıldırım, Cihat Şeker, Faruk Emre Aysal, Hazal Su Bıçakcı Yeşilkaya, Murat Demir and Emrah Kuzu
Biomimetics 2025, 10(10), 657; https://doi.org/10.3390/biomimetics10100657 - 1 Oct 2025
Viewed by 361
Abstract
In this study, we propose an architectural model for path optimization in cluster order picking within warehouse robotics, utilizing a hybrid approach that combines symbolic control and metaheuristic techniques. Among the optimization strategies, we incorporate bio-inspired metaheuristic algorithms such as the Walrus Optimization [...] Read more.
In this study, we propose an architectural model for path optimization in cluster order picking within warehouse robotics, utilizing a hybrid approach that combines symbolic control and metaheuristic techniques. Among the optimization strategies, we incorporate bio-inspired metaheuristic algorithms such as the Walrus Optimization Algorithm (WOA), Puma Optimization Algorithm (POA), and Flying Foxes Algorithm (FFA), which are grounded in behavioral models observed in nature. We consider large-scale warehouse robotic systems, partitioned into clusters. To manage shared resources between clusters, the set of clusters is first formulated as a symbolic control design task within a discrete synthesis framework. Subsequently, the desired control goals are integrated into the model, encoded using parallel synchronous dataflow languages; the resulting controller, derived using our safety-focused and optimization-based synthesis approach, serves as the manager for the cluster. Safety objectives address the rigid system behaviors, while optimization objectives focus on minimizing the traveled path of the warehouse robots through the constructed cost function. The metaheuristic algorithms contribute at this stage, drawing inspiration from real-world animal behaviors, such as walruses’ cooperative movement and foraging, pumas’ territorial hunting strategies, and flying foxes’ echolocation-based navigation. These nature-inspired processes allow for effective solution space exploration and contribute to improving the quality of cluster-level path optimization. Our hybrid approach, integrating symbolic control and metaheuristic techniques, demonstrates significantly higher performance advantage over existing solutions, with experimental data verifying the practical effectiveness of our approach. Our proposed algorithm achieves up to 3.01% shorter intra-cluster paths compared to the metaheuristic algorithms, with an average improvement of 1.2%. For the entire warehouse, it provides up to 2.05% shorter paths on average, and even in the worst case, outperforms competing metaheuristic methods by 0.28%, demonstrating its consistent effectiveness in path optimization. Full article
(This article belongs to the Special Issue Bio-Inspired Robotics and Applications 2025)
Show Figures

Figure 1

18 pages, 3816 KB  
Article
A Planning Framework Based on Semantic Segmentation and Flipper Motions for Articulated Tracked Robot in Obstacle-Crossing Terrain
by Pu Zhang, Junhang Liu, Yongling Fu and Jian Sun
Biomimetics 2025, 10(9), 627; https://doi.org/10.3390/biomimetics10090627 - 17 Sep 2025
Viewed by 349
Abstract
Articulated tracked robots (ATRs) equipped with dual active flippers are widely used due to their ability to climb over complex obstacles like animals with legs. This paper presents a novel planning framework designed to empower ATRs with the capability of autonomously generating global [...] Read more.
Articulated tracked robots (ATRs) equipped with dual active flippers are widely used due to their ability to climb over complex obstacles like animals with legs. This paper presents a novel planning framework designed to empower ATRs with the capability of autonomously generating global paths that integrate obstacle-crossing maneuvers in complex terrains. This advancement effectively mitigates the issue of excessive dependence on remote human control, thereby enhancing the operational efficiency and adaptability of ATRs in challenging environments. The framework consists of three core components. First, a lightweight DeepLab V3+ architecture augmented with an edge-aware module is used for real-time semantic segmentation of elevation maps. Second, a simplified model of the robot-terrain contact is constructed to rapidly calculate the robot’s pose at map sampling points through contact point traversal. Finally, based on rapidly-exploring random trees, the cost of flipper motion smoothness is incorporated into the search process, achieving collaborative planning of passable paths and flipper maneuvers in obstacle-crossing scenarios. The framework was tested on our Crawler robot, which can quickly and accurately identify flat areas, obstacle-crossing areas, and impassable areas, avoiding redundant planning in non-obstacle areas. Compared to manually operated remote control, the planned path demonstrated shorter travel time, better stability, and lower flipper energy expenditure. This framework offers substantial practical value for autonomous navigation in demanding environments. Full article
(This article belongs to the Special Issue Artificial Intelligence for Autonomous Robots: 3rd Edition)
Show Figures

Graphical abstract

20 pages, 5345 KB  
Article
Design and Development of an Intelligent Robotic Feeding Control System for Sheep
by Haina Jiang, Haijun Li and Guoxing Cai
Agriculture 2025, 15(18), 1912; https://doi.org/10.3390/agriculture15181912 - 9 Sep 2025
Viewed by 530
Abstract
With the widespread adoption of intelligent technologies in animal husbandry, traditional manual feeding methods can no longer meet the demands for precision and efficiency in modern sheep farming. To address this gap, we present an intelligent robotic feeding system designed to enhance feeding [...] Read more.
With the widespread adoption of intelligent technologies in animal husbandry, traditional manual feeding methods can no longer meet the demands for precision and efficiency in modern sheep farming. To address this gap, we present an intelligent robotic feeding system designed to enhance feeding efficiency, reduce labor intensity, and enable precise delivery of feed. This system, developed on the ROS platform, integrates LiDAR-based SLAM with point cloud rendering and an Octomap 3D grid map. It combines an improved bidirectional RRT* algorithm with Dynamic Window Approach (DWA) for efficient path planning and uses 3D LiDAR data along with the RANSAC algorithm for slope detection and navigation information extraction. The YOLOv8s model is utilized for precise sheep pen marker identification, while integration with weighing sensors and a farm management system ensures accurate feed distribution control. The main research contribution lies in the development of a comprehensive, multi-sensor fusion system capable of achieving autonomous feeding in dynamic and complex environments. Experimental results show that the system achieves centimeter-level accuracy in localization and attitude control, with FAST-LIO2 maintaining precision within 1° of attitude angle errors. Compared to baseline performance, the system reduces node count by 17.67%, shortens path length by 0.58 cm, and cuts computation time by 42.97%. At a speed of 0.8 m/s, the robot achieves a maximum longitudinal deviation of 7.5 cm and a maximum heading error of 5.6°, while straight-line deviation remains within ±2.2 cm. In a 30 kg feeding task, the system demonstrates zero feed wastage, highlighting its potential for intelligent feeding in modern sheep farming. Full article
(This article belongs to the Section Artificial Intelligence and Digital Agriculture)
Show Figures

Figure 1

30 pages, 11384 KB  
Article
An AI-Driven Multimodal Monitoring System for Early Mastitis Indicators in Italian Mediterranean Buffalo
by Maria Teresa Verde, Mattia Fonisto, Flora Amato, Annalisa Liccardo, Roberta Matera, Gianluca Neglia and Francesco Bonavolontà
Sensors 2025, 25(15), 4865; https://doi.org/10.3390/s25154865 - 7 Aug 2025
Viewed by 2373
Abstract
Mastitis is a significant challenge in the buffalo industry, affecting both milk production and animal health and resulting in economic losses. This study presents the first fully automated AI-driven thermal imaging system integrated with robotic milking, specifically developed for the real-time, non-invasive monitoring [...] Read more.
Mastitis is a significant challenge in the buffalo industry, affecting both milk production and animal health and resulting in economic losses. This study presents the first fully automated AI-driven thermal imaging system integrated with robotic milking, specifically developed for the real-time, non-invasive monitoring of udder health in Italian Mediterranean buffalo. Unlike traditional approaches, the system leverages the synchronized acquisition of thermal images during milking and compensates for environmental variables through a calibrated weather station. A transformer-based neural network (SegFormer) segments the udder area, enabling the extraction of maximum udder skin surface temperature (USST), which is significantly correlated with somatic cell count (SCC). Initial trials demonstrate the feasibility of this approach in operational farm environments, paving the way for scalable, precision diagnostics of subclinical mastitis. This work represents a critical step toward intelligent, automated systems for early detection and intervention, improving animal welfare and reducing antibiotic use. Full article
(This article belongs to the Collection Instrument and Measurement)
Show Figures

Figure 1

24 pages, 30837 KB  
Article
A Transfer Learning Approach for Diverse Motion Augmentation Under Data Scarcity
by Junwon Yoon, Jeon-Seong Kang, Ha-Yoon Song, Beom-Joon Park, Kwang-Woo Jeon, Hyun-Joon Chung and Jang-Sik Park
Mathematics 2025, 13(15), 2506; https://doi.org/10.3390/math13152506 - 4 Aug 2025
Viewed by 681
Abstract
Motion-capture data provide high accuracy but are difficult to obtain, necessitating dataset augmentation. To our knowledge, no prior study has investigated few-shot generative models for motion-capture data that address both quality and diversity. We tackle the diversity loss that arises with extremely small [...] Read more.
Motion-capture data provide high accuracy but are difficult to obtain, necessitating dataset augmentation. To our knowledge, no prior study has investigated few-shot generative models for motion-capture data that address both quality and diversity. We tackle the diversity loss that arises with extremely small datasets (n ≤ 10) by applying transfer learning and continual learning to retain the rich variability of a larger pretraining corpus. To assess quality, we introduce MFMMD (Motion Feature-Based Maximum Mean Discrepancy)—a metric well-suited for small samples—and evaluate diversity with the multimodality metric. Our method embeds an Elastic Weight Consolidation (EWC)-based regularization term in the generator’s loss and then fine-tunes the limited motion-capture set. We analyze how the strength of this term influences diversity and uncovers motion-specific characteristics, revealing behavior that differs from that observed in image-generation tasks. The experiments indicate that the transfer learning pipeline improves generative performance in low-data scenarios. Increasing the weight of the regularization term yields higher diversity in the synthesized motions, demonstrating a marked uplift in motion diversity. These findings suggest that the proposed approach can effectively augment small motion-capture datasets with greater variety, a capability expected to benefit applications that rely on diverse human-motion data across modern robotics, animation, and virtual reality. Full article
(This article belongs to the Special Issue Deep Neural Networks: Theory, Algorithms and Applications)
Show Figures

Figure 1

14 pages, 16698 KB  
Article
Distributed Sensing Enabled Embodied Intelligence for Soft Finger Manipulation
by Chukwuemeka Ochieze, Zhen Liu and Ye Sun
Actuators 2025, 14(7), 348; https://doi.org/10.3390/act14070348 - 15 Jul 2025
Viewed by 710
Abstract
Soft continuum robots are constructed from soft and compliant materials and can provide high flexibility and adaptability to various applications. They have theoretically infinite degrees of freedom (DOFs) and can generate highly nonlinear behaviors, which leads to challenges in accurately modeling and controlling [...] Read more.
Soft continuum robots are constructed from soft and compliant materials and can provide high flexibility and adaptability to various applications. They have theoretically infinite degrees of freedom (DOFs) and can generate highly nonlinear behaviors, which leads to challenges in accurately modeling and controlling their deformation, compliance, and behaviors. Inspired by animals, embodied intelligence utilizes physical bodies as an intelligent resource for information processing and task completion and offloads the computational cost of central control, which provides a unique approach to understanding and modeling soft robotics. In this study, we propose a theoretical framework to explain and guide distributed sensing enabled embodied intelligence for soft finger manipulation from a physics-based perspective. Specifically, we aim to provide a theoretical foundation to guide future sensor design and placement by addressing two key questions: (1) whether and why the state of a specific material point such as the tip trajectory of a soft finger can be predicted using distributed sensing, and, (2) how many sensors are sufficient for accurate prediction. These questions are critical for the design of soft and compliant robotic systems with embedded sensing for embodied intelligence. In addition to theoretical analysis, the study presents a feasible approach for real-time trajectory prediction through optimized sensor placement, with results validated through both simulation and experiment. The results showed that the tip trajectory of a soft finger can be predicted with a finite number of sensors with proper placement. While the proposed method is demonstrated in the context of soft finger manipulation, the framework is theoretically generalizable to other compliant soft robotic systems. Full article
(This article belongs to the Special Issue Soft Robotics: Actuation, Control, and Application)
Show Figures

Figure 1

23 pages, 6340 KB  
Article
Design and Prototyping of a Robotic Structure for Poultry Farming
by Glauber da Rocha Balthazar, Robson Mateus Freitas Silveira and Iran José Oliveira da Silva
AgriEngineering 2025, 7(7), 233; https://doi.org/10.3390/agriengineering7070233 - 11 Jul 2025
Cited by 1 | Viewed by 1790
Abstract
The identification and prediction of losses, along with environmental and behavioral analyses and animal welfare monitoring, are key drivers for the use of technologies in poultry farming which help characterize the productive environment. Among these technologies, robotics emerges as a facilitator as it [...] Read more.
The identification and prediction of losses, along with environmental and behavioral analyses and animal welfare monitoring, are key drivers for the use of technologies in poultry farming which help characterize the productive environment. Among these technologies, robotics emerges as a facilitator as it provides space for the use of several computing tools for capture, analysis and prediction. This study presents the full methodology for building a robot (so called RobôFrango) to its application in poultry farming. The construction method was based on evolutionary prototyping that allowed knowing and testing each physical component (electronic and mechanical) for assembling the robotic structure. This approach made it possible to identify the most suitable components for the broiler production system. The results presented motors, wheels, chassis, batteries and sensors that proved to be the most adaptable to the adversities existing in poultry farms. Validation of the final constructed structure was carried out through practical execution of the robot, seeking to understand how each component behaved in a commercial broiler aviary. It was concluded that it was possible to identify the best electronic and physical equipment for building a robotic prototype to work in poultry farms, and that a final product was generated. Full article
(This article belongs to the Special Issue Precision Farming Technologies for Monitoring Livestock and Poultry)
Show Figures

Figure 1

13 pages, 3647 KB  
Article
Near-Infrared Synaptic Responses of WSe2 Artificial Synapse Based on Upconversion Luminescence from Lanthanide Doped Nanoparticles
by Yaxian Lu, Chuanwen Chen, Qi Sun, Ni Zhang, Kun Lv, Zhiling Chen, Yuelan He, Haowen Tang and Ping Chen
Inorganics 2025, 13(7), 236; https://doi.org/10.3390/inorganics13070236 - 10 Jul 2025
Viewed by 839
Abstract
Near-infrared (NIR) photoelectric synaptic devices show great potential in studying NIR artificial visual systems integrating excellent optical characteristics and bionic synaptic plasticity. However, NIR synapses based on transition metal dichalcogenides (TMDCs) suffer from low stability and poor environmental performance. Thus, an environmentally friendly [...] Read more.
Near-infrared (NIR) photoelectric synaptic devices show great potential in studying NIR artificial visual systems integrating excellent optical characteristics and bionic synaptic plasticity. However, NIR synapses based on transition metal dichalcogenides (TMDCs) suffer from low stability and poor environmental performance. Thus, an environmentally friendly NIR synapse was fabricated based on lanthanide-doped upconversion nanoparticles (UCNPs) and two-dimensional (2D) WSe2 via solution spin coating technology. Biological synaptic functions were simulated successfully through 975 nm laser regulation, including paired-pulse facilitation (PPF), spike rate-dependent plasticity, and spike timing-dependent plasticity. Handwritten digital images were also recognized by an artificial neural network based on device characteristics with a high accuracy of 97.24%. In addition, human and animal identification in foggy and low-visibility surroundings was proposed by the synaptic response of the device combined with an NIR laser and visible simulation. These findings might provide promising strategies for developing a 24/7 visual response of humanoid robots. Full article
(This article belongs to the Section Inorganic Materials)
Show Figures

Graphical abstract

20 pages, 3651 KB  
Article
A Meta-Learner Based on the Combination of Stacking Ensembles and a Mixture of Experts for Balancing Action Unit Recognition
by Andrew Sumsion and Dah-Jye Lee
Electronics 2025, 14(13), 2665; https://doi.org/10.3390/electronics14132665 - 30 Jun 2025
Viewed by 800
Abstract
Facial action units (AUs) are used throughout animation, clinical settings, and robotics. AU recognition usually works better for these downstream tasks when it achieves high performance across all AUs. Current facial AU recognition approaches tend to perform unevenly across all AUs. Among other [...] Read more.
Facial action units (AUs) are used throughout animation, clinical settings, and robotics. AU recognition usually works better for these downstream tasks when it achieves high performance across all AUs. Current facial AU recognition approaches tend to perform unevenly across all AUs. Among other potential reasons, one cause is their focus on improving the overall average F1 score, where good performance on a small number of AUs increases the overall average F1 score even with poor performance on other AUs. Building on our previous success, which achieved the highest average F1 score, this work focuses on improving its performance across all AUs to address this challenge. We propose a mixture of experts as the meta-learner to combine the outputs of an explicit stacking ensemble. For our ensemble, we use a heterogeneous, negative correlation, explicit stacking ensemble. We introduce an additional measurement called Borda ranking to better evaluate the overall performance across all AUs. As indicated by this additional metric, our method not only maintains the best overall average F1 score but also achieves the highest performance across all AUs on the BP4D and DISFA datasets. We also release a synthetic dataset as additional training data, the first with balanced AU labels. Full article
Show Figures

Figure 1

17 pages, 2479 KB  
Article
Human Trajectory Prediction Based on a Single Frame of Pose and Initial Velocity Information
by Yucheng Huang and Hong Yan
Electronics 2025, 14(13), 2636; https://doi.org/10.3390/electronics14132636 - 30 Jun 2025
Viewed by 1911
Abstract
Predicting human motion is a fundamental part of many applications such as animation and human–robot interaction. We propose a novel recurrent neural network (RNN) model, which can predict the trajectory of human movement using a single frame of the pose information and the [...] Read more.
Predicting human motion is a fundamental part of many applications such as animation and human–robot interaction. We propose a novel recurrent neural network (RNN) model, which can predict the trajectory of human movement using a single frame of the pose information and the initial velocity. This contrasts with previous works that required multiple frames of a person’s past motion history to predict future sequences. Our method leverages the trajectory and pose information to predict the most likely motion sequences, overcoming the challenge of ambiguity due to the high variation in poses. In this work, we demonstrate that our method is capable of learning the human’s movement and predicting the human’s trajectory. The human body is divided into five parts to study the relationships among the internal motions. This enables a better model to predict future trajectories according to the current human pose. Our approach surpasses several baseline methods on the Human 3.6M dataset and achieves state-of-the-art performance. Full article
Show Figures

Figure 1

36 pages, 744 KB  
Review
Digital Transition as a Driver for Sustainable Tailor-Made Farm Management: An Up-to-Date Overview on Precision Livestock Farming
by Caterina Losacco, Gianluca Pugliese, Lucrezia Forte, Vincenzo Tufarelli, Aristide Maggiolino and Pasquale De Palo
Agriculture 2025, 15(13), 1383; https://doi.org/10.3390/agriculture15131383 - 27 Jun 2025
Cited by 1 | Viewed by 1971
Abstract
The increasing integration of sensing devices with smart technologies, deep learning algorithms, and robotics is profoundly transforming the agricultural sector in the context of Farming 4.0. These technological advancements constitute critical enablers for the development of customized, data-driven farming systems, offering potential solutions [...] Read more.
The increasing integration of sensing devices with smart technologies, deep learning algorithms, and robotics is profoundly transforming the agricultural sector in the context of Farming 4.0. These technological advancements constitute critical enablers for the development of customized, data-driven farming systems, offering potential solutions to the challenges of agricultural intensification while addressing societal concerns associated with the emerging paradigm of “farming by numbers”. The Precision Livestock Farming (PLF) systems enable the continuous, real-time, and individual sensing of livestock in order to detect subtle change in animals’ status and permit timely corrective actions. In addition, smart technology implementation within the housing environment leads the whole farming sector towards enhanced business rentability and food security as well as increased animal health and welfare conditions. Looking to the future, the collection, processing, and analysis of data with advanced statistic methods provide valuable information useful to design predictive models and foster the insight on animal welfare, environmental sustainability, farming productivity, and profitability. This review highlights the significant potential of implementing advanced sensing systems in livestock farming, examining the scientific foundations of PLF and analyzing the main technological applications driving the transition from traditional practices to more modern and efficient farming models. Full article
Show Figures

Figure 1

35 pages, 4434 KB  
Article
MDO of Robotic Landing Gear Systems: A Hybrid Belt-Driven Compliant Mechanism for VTOL Drones Application
by Masoud Kabganian and Seyed M. Hashemi
Drones 2025, 9(6), 434; https://doi.org/10.3390/drones9060434 - 14 Jun 2025
Viewed by 1033
Abstract
This paper addresses inherent limitations in unmanned aerial vehicle (UAV) undercarriages hindering vertical takeoff and landing (VTOL) capabilities on uneven slopes and obstacles. Robotic landing gear (RLG) designs have been proposed to address these limitations; however, existing designs are typically limited to ground [...] Read more.
This paper addresses inherent limitations in unmanned aerial vehicle (UAV) undercarriages hindering vertical takeoff and landing (VTOL) capabilities on uneven slopes and obstacles. Robotic landing gear (RLG) designs have been proposed to address these limitations; however, existing designs are typically limited to ground slopes of 6–15°, beyond which rollover would happen. Moreover, articulated RLG concepts come with added complexity and weight penalties due to multiple drivetrain components. Previous research has highlighted that even a minor 3-degree slope change can increase the dynamic rollover risks by 40%. Therefore, the design optimization of robotic landing gear for enhanced VTOL capabilities requires a multidisciplinary framework that integrates static analysis, dynamic simulation, and control strategies for operations on complex terrain. This paper presents a novel, hybrid, compliant, belt-driven, three-legged RLG system, supported by a multidisciplinary design optimization (MDO) methodology, aimed at achieving enhanced VTOL capabilities on uneven surfaces and moving platforms like ship decks. The proposed system design utilizes compliant mechanisms featuring a series of three-flexure hinges (3SFH), to reduce the number of articulated drivetrain components and actuators. This results in a lower system weight, improved energy efficiency, and enhanced durability, compared to earlier fully actuated, articulated, four-legged, two-jointed designs. Additionally, the compliant belt-driven actuation mitigates issues such as backlash, wear, and high maintenance, while enabling smoother torque transfer and improved vibration damping relative to earlier three-legged cable-driven four-bar link RLG systems. The use of lightweight yet strong materials—aluminum and titanium—enables the legs to bend 19 and 26.57°, respectively, without failure. An animated simulation of full-contact landing tests, performed using a proportional-derivative (PD) controller and ship deck motion input, validate the performance of the design. Simulations are performed for a VTOL UAV, with two flexible legs made of aluminum, incorporating circular flexure hinges, and a passive third one positioned at the tail. The simulation results confirm stable landings with a 2 s settling time and only 2.29° of overshoot, well within the FAA-recommended maximum roll angle of 2.9°. Compared to the single-revolute (1R) model, the implementation of the optimal 3R Pseudo-Rigid-Body Model (PRBM) further improves accuracy by achieving a maximum tip deflection error of only 1.2%. It is anticipated that the proposed hybrid design would also offer improved durability and ease of maintenance, thereby enhancing functionality and safety in comparison with existing robotic landing gear systems. Full article
Show Figures

Figure 1

14 pages, 5405 KB  
Article
Tracking Poultry Drinking Behavior and Floor Eggs in Cage-Free Houses with Innovative Depth Anything Model
by Xiao Yang, Guoyu Lu, Jinchang Zhang, Bidur Paneru, Anjan Dhungana, Samin Dahal, Ramesh Bahadur Bist and Lilong Chai
Appl. Sci. 2025, 15(12), 6625; https://doi.org/10.3390/app15126625 - 12 Jun 2025
Cited by 2 | Viewed by 786
Abstract
In recent years, artificial intelligence (AI) has significantly impacted agricultural operations, particularly with the development of deep learning models for animal monitoring and farming automation. This study focuses on evaluating the Depth Anything Model (DAM), a cutting-edge monocular depth estimation model, for its [...] Read more.
In recent years, artificial intelligence (AI) has significantly impacted agricultural operations, particularly with the development of deep learning models for animal monitoring and farming automation. This study focuses on evaluating the Depth Anything Model (DAM), a cutting-edge monocular depth estimation model, for its potential in poultry farming. DAM leverages a vast dataset of over 62 million images to predict depth using only RGB images, eliminating the need for costly depth sensors. In this study, we assess DAM’s ability to monitor poultry behavior, specifically detecting drinking patterns. We also evaluate its effectiveness in managing operations, such as tracking floor eggs. Additionally, we evaluate DAM’s accuracy in detecting disparity within cage-free facilities. The accuracy of the model in estimating physical depth was assessed using root mean square error (RMSE) between predicted and actual perch frame depths, yielding an RMSE of 0.11 m, demonstrating high precision. DAM demonstrated 92.3% accuracy in detecting drinking behavior and achieved an 11% reduction in motion time during egg collection by optimizing the robot’s route using cluster-based planning. These findings highlight DAM’s potential as a valuable tool in poultry science, reducing costs while improving the precision of behavioral analysis and farm management tasks. Full article
(This article belongs to the Special Issue Application of Intelligent Systems in Poultry Farming)
Show Figures

Figure 1

17 pages, 10685 KB  
Article
Development of a Cuttlefish-Inspired Amphibious Robot with Wave-Motion Propulsion and Rigid–Flexible Coupling
by Yichao Gao, Felix Pancheri, Tim C. Lueth and Yilun Sun
Biomimetics 2025, 10(6), 396; https://doi.org/10.3390/biomimetics10060396 - 12 Jun 2025
Viewed by 1118
Abstract
Amphibious robots require efficient locomotion strategies to enable smooth transitions between terrestrial and aquatic environments. Drawing inspiration from the undulatory movements of aquatic organisms such as cuttlefish and knifefish, this study introduces a bio-inspired propulsion system that emulates natural wave-based locomotion to improve [...] Read more.
Amphibious robots require efficient locomotion strategies to enable smooth transitions between terrestrial and aquatic environments. Drawing inspiration from the undulatory movements of aquatic organisms such as cuttlefish and knifefish, this study introduces a bio-inspired propulsion system that emulates natural wave-based locomotion to improve adaptability and propulsion efficiency. A novel mechanism combining crank–rocker and sliding components is proposed to generate wave-like motions in robotic legs and fins, supporting both land crawling and aquatic paddling. By adopting a rigid–flexible coupling design, the system achieves a balance between structural integrity and motion flexibility. The effectiveness of the mechanism is systematically investigated through kinematic modeling, animation-based simulation, and experimental validation. The developed kinematic model captures the principles of wave propagation via the Crank–Slider–Rocker structure, offering insights into motion efficiency and thrust generation. Animation simulations are employed to visually validate the locomotion patterns and assess coordination across the mechanism. A functional prototype is fabricated and tested in both terrestrial and aquatic settings, demonstrating successful amphibious locomotion. The findings confirm the feasibility of the proposed design and underscore its potential in biomimetic robotics and amphibious exploration. Full article
(This article belongs to the Special Issue Bio-Inspired Soft Robotics: Design, Fabrication and Applications)
Show Figures

Figure 1

Back to TopTop