Sign in to use this feature.

Years

Between: -

Subjects

remove_circle_outline
remove_circle_outline
remove_circle_outline
remove_circle_outline
remove_circle_outline
remove_circle_outline
remove_circle_outline

Journals

Article Types

Countries / Regions

Search Results (63)

Search Parameters:
Keywords = ameloblastoma

Order results
Result details
Results per page
Select all
Export citation of selected articles as:
20 pages, 13330 KB  
Case Report
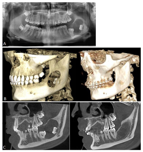
Long-Term Clinical Outcome of a Surgically Treated Ameloblastoma: Over a Decade of Follow-Up and Oral Rehabilitation
by Ruxandra Elena Luca, Ciprian Ioan Roi, Alexandra Roi and Eduard Gîdea-Paraschivescu
Dent. J. 2026, 14(1), 39; https://doi.org/10.3390/dj14010039 - 7 Jan 2026
Viewed by 207
Abstract
Background: Ameloblastomas account for roughly 1% of all jaw tumours and cysts, typically manifesting as slow-growing, painless swellings that expand both buccal and lingual cortical plates and may infiltrate adjacent soft tissue, often leading to a delayed diagnosis. These benign tumours, characterized [...] Read more.
Background: Ameloblastomas account for roughly 1% of all jaw tumours and cysts, typically manifesting as slow-growing, painless swellings that expand both buccal and lingual cortical plates and may infiltrate adjacent soft tissue, often leading to a delayed diagnosis. These benign tumours, characterized by local invasiveness, originate from epithelial tissues and may develop from dental lamina cell rests, the enamel apparatus, the epithelial lining of odontogenic cysts, or basal epithelial cells of the oral mucosa. Methods: This paper aims to describe the comprehensive and interdisciplinary management of an extensive ameloblastoma in a 16-year-old patient, emphasizing the diagnostic challenges, surgical resection, reconstructive procedures, and subsequent oral rehabilitation. Results: At the eleven-year follow-up, clinical and radiographic examinations showed no signs of tumour recurrence. The patient presented no symptoms, indicating neither pain nor functional impairment. The prosthetic rehabilitation utilizing implant-supported fixed restorations was successfully completed, resulting in satisfactory masticatory function and aesthetics. This case adds to the existing evidence on the management of extensive ameloblastomas by demonstrating successful long-term outcomes following interdisciplinary surgical reconstruction and rehabilitation. Conclusions: The presented case highlights the complexity of restoring the lost tissues and functions, as well as the long-term clinical, functional, and aesthetic outcomes over an eleven-years follow-up period. Full article
(This article belongs to the Special Issue Bone Regeneration and Tissue Reconstruction in Dentistry)
Show Figures

Figure 1

25 pages, 392 KB  
Review
Genes and Genetic Pathways Regarding the Etiology and Pathogenesis of Ameloblastoma
by Vasileios Zisis, Petros Papadopoulos, Stylianos Papadopoulos, Konstantinos Poulopoulos, Christina Charisi, Dimitrios Parlitsis and Athanasios Poulopoulos
Genes 2026, 17(1), 65; https://doi.org/10.3390/genes17010065 - 6 Jan 2026
Viewed by 255
Abstract
Background/Objectives: Ameloblastoma is a benign odontogenic neoplasm characterized by locally aggressive behavior and frequent recurrences despite surgical treatment. It originates from odontogenic epithelium, including the cell rests of the dental lamina, remnants of the enamel organ, epithelial cell rests of Malassez, or the [...] Read more.
Background/Objectives: Ameloblastoma is a benign odontogenic neoplasm characterized by locally aggressive behavior and frequent recurrences despite surgical treatment. It originates from odontogenic epithelium, including the cell rests of the dental lamina, remnants of the enamel organ, epithelial cell rests of Malassez, or the basal cell layer of the oral mucosa. Investigation of the etiopathogenesis of ameloblastoma has gained critical relevance due to the need for extensive surgical procedures, high recurrence rates, and its malignant potential. Accordingly, the aim of the present narrative review is to summarize current evidence regarding key aspects of ameloblastoma etiopathogenesis, with emphasis on signaling pathways, mutations, epigenetics, and epithelial–stromal interactions. Methods: An extensive literature search was conducted using the PubMed, Scopus, and Google Scholar databases, employing the keywords: “etiology”, “pathogenesis”, “molecular”, “biomarkers”, “cellular”, “epigenetic”, “mutation”, “pathway”, and “ameloblastoma”. In vitro studies, clinical studies, case reports, and narrative and systematic reviews published in English were included, without restriction on publication year. Results: Current evidence indicates that ameloblastoma pathogenesis is driven by dysregulation of multiple signaling pathways, particularly the MAPK and Sonic Hedgehog pathways, through recurrent activating BRAF and SMO mutations. In addition, alterations affecting the WNT/β-Catenin and PI3K/AKT signaling cascades, epigenetic modifications, and epithelial–stromal interactions, contribute to tumor behavior. Conclusions: Despite significant advances, genotype–phenotype correlations, mutation frequencies and coexistence, clonality, and other associations remain incompletely understood. Larger tumor cohorts and robust meta-analyses are required to clarify these associations and to leverage the development of personalized therapeutic strategies. Full article
(This article belongs to the Section Human Genomics and Genetic Diseases)
12 pages, 3047 KB  
Case Report
Oral Rehabilitation Following Surgical Treatment of Mandibular Ameloblastoma: Case Report and Comprehensive Literature Review
by Sepideh Goudarzi, Chiara Cinquini, Rossana Izzetti, Marco Nisi, Mattia Priami, Bruno Carlo Brevi, Luca Bruschini, Fulvio Lorenzetti, Simonetta Santarelli and Antonio Barone
Oral 2025, 5(3), 57; https://doi.org/10.3390/oral5030057 - 8 Aug 2025
Cited by 1 | Viewed by 2185
Abstract
Objectives: Ameloblastoma is a locally aggressive odontogenic tumor of the jaws characterized by a high recurrence rate. This work aims to present our clinical experience in managing patient oral rehabilitation following an extensive mandibular ameloblastoma, with a specific focus on mandibular reconstruction [...] Read more.
Objectives: Ameloblastoma is a locally aggressive odontogenic tumor of the jaws characterized by a high recurrence rate. This work aims to present our clinical experience in managing patient oral rehabilitation following an extensive mandibular ameloblastoma, with a specific focus on mandibular reconstruction using a fibula free flap, followed by dental implant placement and prosthetic rehabilitation in a female patient. Additionally, we provide a comprehensive review of the current evidence on surgical management, reconstruction techniques, and long-term outcomes in ameloblastoma treatment. Methods: A 44-year-old female patient presented with a painless swelling in the left mandible. Orthopantomography (OPG) and computed tomography (CT) demonstrated a well-defined radiolucent lesion extending from the canine to the second premolar. An incisional biopsy was performed, and histopathological examination confirmed the diagnosis of mandibular ameloblastoma. The patient underwent segmental resection of the left mandibular body, followed by immediate reconstruction using a vascularized fibular free flap. Eighteen months postoperatively, four dental implants were placed. One implant failed during the osseointegration phase and was removed. Due to residual hard and soft tissue deficiency, prosthetic rehabilitation was achieved with a metal-reinforced resin overdenture, restoring both function and aesthetics. Results: At the three-year follow-up, clinical and radiographic examinations revealed no evidence of tumor recurrence. The patient remained asymptomatic, reporting neither pain nor functional discomfort. Prosthetic rehabilitation with the metal-reinforced resin overdenture was successfully completed, achieving satisfactory masticatory function and aesthetics. Conclusions: The use of the fibula free flap for mandibular reconstruction after ameloblastoma resection provides excellent flexibility, enabling effective bone integration of dental implants. Full article
Show Figures

Figure 1

13 pages, 4874 KB  
Case Report
Neocondylar Formation with Vascularized Fibular Free Flap: A Report of Three Rare Cases and Review of Literature
by Mark Lim, Ignacio A. Velasco Martinez, Tina Woods, Ben McIntyre, Ibrahim Sevki Bayrakdar, Sevda Kurt-Bayrakdar and Rohan Jagtap
Surgeries 2025, 6(2), 34; https://doi.org/10.3390/surgeries6020034 - 14 Apr 2025
Viewed by 1459
Abstract
Background: Neocondylar formation is an uncommon finding that can result after the reconstruction of a vascularized free flap. Three case reports were presented in the current article. (1) A 64-year-old male presented with clear cell Odontogenic Carcinoma to the left mandible. (2) A [...] Read more.
Background: Neocondylar formation is an uncommon finding that can result after the reconstruction of a vascularized free flap. Three case reports were presented in the current article. (1) A 64-year-old male presented with clear cell Odontogenic Carcinoma to the left mandible. (2) A 14-year-old male presented with an ameloblastoma to the right mandibular associated with tooth 48. (3) A 13-year-old female presented with an ameloblastoma to the right mandible. Methods and Results: All three cases required a surgical resection of the mandible involving the temporomandibular joint. Reconstruction was performed using a vascularized free flap, and Neocondylar formation was observed during the healing process in all three cases. Neocondylar formation after a vascularized free flap reconstruction can improve anatomical functions such as mastication and decrease post-operative complications. Knowledge of this finding can improve future surgical treatment planning and outcome. Conclusion: This report contributes to the existing literature by offering new insights into neo-condylar formation following mandibular reconstruction with vascularized free fibular flap, particularly in complex resective surgeries, and highlights its potential clinical implications. Full article
(This article belongs to the Special Issue Dental Surgery and Care)
Show Figures

Figure 1

14 pages, 5625 KB  
Article
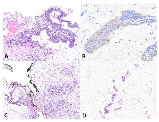
The Expression of Neuroendocrine Markers in a Small Subset of Ameloblastoma with Implications of Clusterin
by Hiromasa Hasegawa, Takanaga Ochiai, Rita R. Roy and Katsumitsu Shimada
Cells 2025, 14(3), 224; https://doi.org/10.3390/cells14030224 - 5 Feb 2025
Viewed by 1337
Abstract
Immunohistochemically, ameloblastomas often express CD56; however, novel neuroendocrine markers such as synaptophysin (SYP), insulinoma-associated protein 1 (INSM1), and chromogranin A (CgA) remain unexplored. We analyzed 36 ameloblastoma specimens for CD56, SYP, CgA, and clusterin (CLU) and examined limited samples for INSM1 expression by [...] Read more.
Immunohistochemically, ameloblastomas often express CD56; however, novel neuroendocrine markers such as synaptophysin (SYP), insulinoma-associated protein 1 (INSM1), and chromogranin A (CgA) remain unexplored. We analyzed 36 ameloblastoma specimens for CD56, SYP, CgA, and clusterin (CLU) and examined limited samples for INSM1 expression by performing immunohistochemistry, transmission electron microscopy, and reverse transcriptase-polymerase chain reaction. Our findings indicate that the limited cells were positive for CD56, SYP, CgA, INSM1, and CLU expression in 72% (26/36), 14% (5/36), 0% (0/40), 80% (4/5), and 22% (8/36) of the cases, respectively. CD56 expression correlated with older age, but not with subtype, SYP, and CLU expression. However, SYP-positive cases were exclusively found in CD56- and CLU-positive cases, and SYP and CLU expression were significantly correlated. Selected cases had dense-core granules and NCAM1 and SYP mRNA expression. This study is the first to suggest neuroendocrine differentiation in ameloblastomas, as indicated by SYP and INSM1 immunoexpression and the presence of dense-core granules, which are consistent with the recent World Health Organization classification of Head and Neck Tumors guidelines. SYP-positive and CgA-negative phenotypes may characterize neuroendocrine differentiation in ameloblastoma. Although the underlying molecular mechanism remains unclear, CLU expression may be associated with neuroendocrine differentiation. Full article
(This article belongs to the Special Issue Oral Diseases: Biological and Molecular Pathogenesis)
Show Figures

Figure 1

13 pages, 2332 KB  
Article
Assessment of Protein Immunoexpression Associated with Tumor Proliferation and Invasion in Histological Subtypes of Unicystic and Conventional Ameloblastoma
by Gabriela Cristina Avertano Rocha da Silveira, Rebeca Vieira Costa, Flavia Letícia Magalhães Lemos, Antonia Taiane Lopes de Moraes, Maria Sueli da Silva Kataoka, Vanessa Morais Freitas, Silvio Augusto Fernandes de Menezes, Ana Carolina Uchoa Vasconcelos, Adriana Etges, Fabricio Passador Santos, Vera Cavalcanti de Araújo, Sérgio de Melo Alves Júnior, Ruy Gastaldoni Jaeger and João de Jesus Viana Pinheiro
Int. J. Mol. Sci. 2025, 26(3), 1267; https://doi.org/10.3390/ijms26031267 - 31 Jan 2025
Viewed by 1315
Abstract
The aim of this study was to verify whether the expression of proteins related to the formation of invadopodia, MT1-MMP, cortactin, Tks-4 and Tks-5 is associated with the degree of tumor invasiveness of different types of unicystic ameloblastomas. An immunohistochemical study was performed [...] Read more.
The aim of this study was to verify whether the expression of proteins related to the formation of invadopodia, MT1-MMP, cortactin, Tks-4 and Tks-5 is associated with the degree of tumor invasiveness of different types of unicystic ameloblastomas. An immunohistochemical study was performed on 29 unicystic ameloblastoma (UA) samples, 9 conventional ameloblastoma (CAM) samples and 9 dental follicle (DF) samples. The potential for tumor invasiveness was assessed based on the immunoexpression of the following invadopodia-forming proteins: MT1-MMP, cortactin, Tks-4 and Tks5. Mural unicystic ameloblastoma (MUA) showed higher MT1-MMP, cortactin, Tks-4, and Tks-5 immunoexpression than luminal and intra-luminal types. Conventional ameloblastoma exhibited lower MT1-MMP, cortactin, and Tks-5 expression compared to MUA. MUA’s cystic capsule neoplastic cells had significantly higher MT1-MMP, cortactin, Tks-4, and Tks-5 expression than lumen cells. Dental follicles showed minimal expression. Neoplastic cells in the cystic capsule of mural unicystic ameloblastomas showed higher invadopodia-related protein expression than lumen and luminal/intraluminal cells, suggesting that proximity to the bone region influences the aggressive behavior of mural unicystic ameloblastomas more compared to other subtypes. Full article
(This article belongs to the Special Issue The Biology and Therapeutic Potential of Metalloproteases)
Show Figures

Figure 1

16 pages, 9347 KB  
Article
Enhancing Mandibular Reconstruction with Surgeon–Bioengineer Collaboration: A Protocol for Virtual Surgical Planning
by Dong-Ho Shin, Hyo-Joon Kim, Ji-Su Oh and Seong-Yong Moon
Appl. Sci. 2025, 15(2), 687; https://doi.org/10.3390/app15020687 - 12 Jan 2025
Cited by 1 | Viewed by 1569
Abstract
Background/Objectives: Computer-assisted mandibular reconstruction requires sophisticated technical expertise alongside surgical knowledge. This study aims to establish and validate an efficient collaborative protocol between oral and maxillofacial surgeons and bioengineers for virtual surgical planning in mandibular reconstruction. Methods: We developed a structured protocol with [...] Read more.
Background/Objectives: Computer-assisted mandibular reconstruction requires sophisticated technical expertise alongside surgical knowledge. This study aims to establish and validate an efficient collaborative protocol between oral and maxillofacial surgeons and bioengineers for virtual surgical planning in mandibular reconstruction. Methods: We developed a structured protocol with four sequential phases: (1) generation of 3D models from CT data, (2) virtual resection planning, (3) reconstruction design, and (4) surgical guide fabrication. Protocol efficiency was assessed through seven simulation trials measuring planning duration and required revisions. Clinical validation was performed in four mandibular reconstruction cases. Accuracy was evaluated by comparing virtual surgical plans to postoperative outcomes using 3-matic 13.0 software analysis. Results: Protocol implementation showed consistent efficiency across simulations with a mean planning duration of 2.86 working days (SD = 1.35). Only two of seven simulations required design revisions. Clinical application in four cases (three ameloblastomas, one odontogenic myxoma) demonstrated high precision with a mean virtual-to-actual discrepancy of 0.90 mm (SD = 0.34). Successful reconstructions were achieved across varying defect spans (29–53 mm) using both bicortical deep circumflex iliac artery (DCIA) flaps and monocortical iliac block bone grafts. The collaborative workflow resulted in optimized surgical guide design, reduced planning iterations, and improved surgical precision. Conclusions: The established surgeon–bioengineer collaborative protocol enhances the efficiency and accuracy of computer-assisted mandibular reconstruction while making advanced surgical planning techniques more accessible. While initial results are promising, future studies with larger patient cohorts and extended follow-up periods are needed to fully validate the protocol’s long-term benefits and broader applicability. Full article
(This article belongs to the Special Issue Advanced Technologies in Oral Surgery)
Show Figures

Figure 1

10 pages, 619 KB  
Article
The Prevalence and Diagnostic Patterns of Oral and Maxillofacial Lesions: A Seven-Year, Retrospective, Single-Center Cone Beam Computed Tomography and Histopathology Study in Saudi Arabia
by Shadi Alzahrani, Tagreed Wazzan, Abdulaziz Almaghrabi, Abdulaziz Alkhudran, Hamzah Aljereb, Shadia Elsayed and Albraa B. Alolayan
J. Clin. Med. 2024, 13(24), 7774; https://doi.org/10.3390/jcm13247774 - 19 Dec 2024
Cited by 5 | Viewed by 2046
Abstract
Objective: To determine the prevalence of oral and maxillofacial lesions among patients at King Abdulaziz University from January 2016 to December 2022. Methods: This cross-sectional observational study included patients diagnosed with oral and maxillofacial intra-bony lesions based on radiological findings and confirmed [...] Read more.
Objective: To determine the prevalence of oral and maxillofacial lesions among patients at King Abdulaziz University from January 2016 to December 2022. Methods: This cross-sectional observational study included patients diagnosed with oral and maxillofacial intra-bony lesions based on radiological findings and confirmed by histopathological examination. The lesions were classified according to the fourth edition of the World Health Organization Classification of Head and Neck Tumors. Results: This study included 237 patients with a mean age of 31.53 ± 14.97 years, of which 45.1% were female. Most patients (46.7%) had mandibular lesions, followed by maxillary lesions (35.9%). Only 2.95% of the tumors were malignant. Odontogenic cysts were the most prevalent (65.40%), with radicular cysts and keratocytes being the most common types. The most prevalent tumor types were odontoma and ameloblastoma. The most malignant lesion was multiple myeloma. Conclusions: Our findings reveal that mandibular cystic lesions predominated, and emphasize the low incidence of malignancy in the study population. They provide valuable insights into the oral and maxillofacial lesion landscape at a high-volume tertiary care center. Full article
(This article belongs to the Special Issue Oral and Maxillofacial Surgery: Current Updates and Perspectives)
Show Figures

Figure 1

13 pages, 7598 KB  
Review
Peripheral Ameloblastoma: A Case Report and Review of Literature
by Sem Decani, Martina Quatrale, Veronica Caria, Laura Moneghini and Elena Maria Varoni
J. Clin. Med. 2024, 13(22), 6714; https://doi.org/10.3390/jcm13226714 - 8 Nov 2024
Cited by 7 | Viewed by 4726
Abstract
Peripheral ameloblastoma (PA) is a rare benign tumor that can occur mostly in the mandibular gingiva of the premolar area, originating from the residual odontogenic epithelium. The patient is usually asymptomatic and the lesion can be an occasional finding during routine intraoral examination. [...] Read more.
Peripheral ameloblastoma (PA) is a rare benign tumor that can occur mostly in the mandibular gingiva of the premolar area, originating from the residual odontogenic epithelium. The patient is usually asymptomatic and the lesion can be an occasional finding during routine intraoral examination. Due to the lack of clinical and radiographic pathognomonic features, the diagnosis is based on histopathological analysis, associated with 3D computed tomography (CT) imaging. Here, we report the case of a middle-aged man showing an asymptomatic, sessile, normochromic papillomatous mass of the lingual alveolar mucosa, in correspondence of tooth 4.4, which was histologically diagnosed as peripheral ameloblastoma. After the complete excision of the lesion, there were no recurrence and no symptoms during the 3-year follow-up. The treatment of choice for PA is a conservative surgical excision, which usually results in a good prognosis, together with a long-term follow-up, necessary to intercept possible recurrence or, more rarely, malignant transformation. Full article
Show Figures

Figure 1

9 pages, 3272 KB  
Case Report
Mural Unicystic Ameloblastoma of the Mandible: A Case Report
by Mina Al Azawi, Nikolaos Shinas, Vasileios Zisis, Dhurata Shosho, Athanasios Poulopoulos and Deeba Kashtwari
Reports 2024, 7(4), 93; https://doi.org/10.3390/reports7040093 - 7 Nov 2024
Viewed by 6311
Abstract
Background and Clinical Significance: Among the odontogenic tumors, ameloblastoma is one of the most notorious, although it remains relatively rare, accounting for approximately one percent of all oral tumors. This neoplasm, derived from odontogenic epithelium, may arise from the developing enamel organ, [...] Read more.
Background and Clinical Significance: Among the odontogenic tumors, ameloblastoma is one of the most notorious, although it remains relatively rare, accounting for approximately one percent of all oral tumors. This neoplasm, derived from odontogenic epithelium, may arise from the developing enamel organ, epithelial cell rests of dental lamina, epithelial lining of odontogenic cysts, and basal cells of oral epithelium. This is a case presentation of a mural unicystic ameloblastoma, the most aggressive subtype and the one with the highest chance of recurrence. Case Presentation: A patient was referred by his dentist for root canal treatment at the Emergency Dental Clinic of Boston University. The patient complained of mandibular numbness. A panoramic radiograph was acquired, revealing a radiolucent lesion in the right mandible. Clinical examination detected a soft swelling perforating the buccal cortex in the area of #27–#30. A Cone-Beam CT (CBCT) was acquired in the Oral and Maxillofacial Radiology Clinic revealing a well-defined, partially corticated entity in the periapical area of teeth #27 through #30, with evidence of scalloping borders. The internal structure was unilocular and uniformly low-density. The entity caused interruption of the lamina dura of the associated teeth and inferior displacement of the inferior alveolar canal. Differential diagnoses included unicystic ameloblastoma (UA) and central giant cell granuloma as a second less likely diagnosis. An incisional biopsy was performed for further evaluation. Biopsy confirmed UA with mural involvement. Conclusions: UAs typically exhibit less aggressive behavior. However, cases like this one, where mural involvement is noted and no associated impaction is detected, underline the possibility of variable radiographic presentation and the significance of a multidisciplinary approach in correct diagnosis and treatment. Histological subtyping is crucial for guiding treatment. Full article
(This article belongs to the Special Issue Clinical Research on Oral Diseases)
Show Figures

Figure 1

9 pages, 1987 KB  
Article
Comparative Immunohistochemical Analysis of Craniopharyngioma and Ameloblastoma: Insights into Odontogenic Differentiation
by Ban A. Salih and Bashar H. Abdullah
Diagnostics 2024, 14(20), 2315; https://doi.org/10.3390/diagnostics14202315 - 17 Oct 2024
Viewed by 1513
Abstract
Background and objectives: Histopathological similarities between craniopharyngioma (CP) and ameloblastoma (AB) have long been recognized, particularly the shared features of palisading columnar epithelium and stellate reticulum-like areas. This study aimed to investigate potential odontogenic differentiation in CP akin to AB using immunohistochemical odontogenic [...] Read more.
Background and objectives: Histopathological similarities between craniopharyngioma (CP) and ameloblastoma (AB) have long been recognized, particularly the shared features of palisading columnar epithelium and stellate reticulum-like areas. This study aimed to investigate potential odontogenic differentiation in CP akin to AB using immunohistochemical odontogenic markers. Methods: We analyzed AMELX, ODAM, and CK19 expression in 44 cases (20 CP and 24 AB). Results: While AMELX and ODAM showed diffuse strong positive expression in both tumors with no significant statistical differences, CK19 expression was notably higher in CP. Conclusion: The markers AMELX and ODAM associated with odontogenic differentiation exhibited similar profiles in both tumors due to shared similar embryological origins. Notably, CK19, a biomarker of odontogenic epithelium, showed even higher expression, suggesting distinct pathways. These findings offer insights into tumor biology and may aid in diagnostic and therapeutic approaches. Full article
(This article belongs to the Special Issue Advances in the Diagnosis of Oral and Maxillofacial Disease)
Show Figures

Figure 1

21 pages, 506 KB  
Review
The Effect of Conservative vs. Radical Treatment of Ameloblastoma on Recurrence Rate and Quality of Life: An Umbrella Review
by Roberta Gasparro, Francesco Giordano, Maria Domenica Campana, Angelo Aliberti, Elena Landolfo, Pasquale Dolce, Gilberto Sammartino and Alessandro E. di Lauro
J. Clin. Med. 2024, 13(17), 5339; https://doi.org/10.3390/jcm13175339 - 9 Sep 2024
Cited by 8 | Viewed by 6864
Abstract
Ameloblastoma is a rare, benign, but locally aggressive odontogenic tumor that originates from the epithelial cells involved in tooth development. The surgical approach to treating an ameloblastoma depends on the type, size, location, and extent of the tumor, as well as the patient’s [...] Read more.
Ameloblastoma is a rare, benign, but locally aggressive odontogenic tumor that originates from the epithelial cells involved in tooth development. The surgical approach to treating an ameloblastoma depends on the type, size, location, and extent of the tumor, as well as the patient’s age and overall health. This umbrella review’s aim is to summarize the findings from systematic reviews (SRs) and meta-analyses on the effect of radical or conservative treatment of ameloblastoma on the recurrence rate and quality of life, to evaluate the methodological quality of the included SRs and discuss the clinical management. Three electronic databases (PubMed, Scopus, The Cochrane Library) were checked. The primary outcome was the recurrence rate after surgical treatment, while the secondary outcomes were the post-operative complications, quality of life, esthetic, and functional impairment. The methodological quality of the included SRs was assessed using the updated version of “A Measurement Tool to Assess Systematic Review” (AMSTAR-2). Eighteen SRs were included. The quality of the included reviews ranged from critically low (three studies) to high (eight studies). Four studies were included in meta-analysis, and they revealed that the recurrence rate is about three-times more likely in the conservative treatment group compared to the radical treatment group, and this result is statistically significant. Despite the high recurrence rate, the latter was more appropriate in the case of smaller lesions and younger patients, due to better post-operative quality of life and reduced functional and esthetic impairments. Based on the results of this overview, conservative treatment may be recommended as the first-line approach for intraosseous ameloblastoma not involving soft tissue. However, given the expectation of a higher recurrence rate, it is advisable to reduce the interval between follow-up visits. However, further prospective studies are needed to establish the best treatment choice and follow-up period. Full article
(This article belongs to the Special Issue Oral and Maxillofacial Surgery: Current Updates and Perspectives)
Show Figures

Figure 1

18 pages, 1956 KB  
Systematic Review
Anti-MAPK Targeted Therapy for Ameloblastoma: Case Report with a Systematic Review
by Anton Raemy, Laurence May, Nathalie Sala, Manuel Diezi, Maja Beck-Popovic and Martin Broome
Cancers 2024, 16(12), 2174; https://doi.org/10.3390/cancers16122174 - 7 Jun 2024
Cited by 4 | Viewed by 6111
Abstract
Ameloblastoma, a benign yet aggressive odontogenic tumor known for its recurrence and the severe morbidity from radical surgeries, may benefit from advancements in targeted therapy. We present a case of a 15-year-old girl with ameloblastoma successfully treated with targeted therapy and review the [...] Read more.
Ameloblastoma, a benign yet aggressive odontogenic tumor known for its recurrence and the severe morbidity from radical surgeries, may benefit from advancements in targeted therapy. We present a case of a 15-year-old girl with ameloblastoma successfully treated with targeted therapy and review the literature with this question: Is anti-MAPK targeted therapy safe and effective for treating ameloblastoma? This systematic review was registered in PROSPERO, adhered to PRISMA guidelines, and searched multiple databases up to December 2023, identifying 13 relevant studies out of 647 records, covering 23 patients treated with MAPK inhibitor therapies. The results were promising as nearly all patients showed a positive treatment response, with four achieving complete radiological remission and others showing substantial reductions in primary, recurrent, and metastatic ameloblastoma sizes. Side effects were mostly mild to moderate. This study presents anti-MAPK therapy as a significant shift from invasive surgical treatments, potentially enhancing life quality and clinical outcomes by offering a less invasive yet effective treatment alternative. This approach could signify a breakthrough in managing this challenging tumor, emphasizing the need for further research into molecular-targeted therapies. Full article
(This article belongs to the Section Cancer Therapy)
Show Figures

Figure 1

14 pages, 4925 KB  
Article
Classification of Ameloblastoma, Periapical Cyst, and Chronic Suppurative Osteomyelitis with Semi-Supervised Learning: The WaveletFusion-ViT Model Approach
by Bohui Liang, Hongna Qin, Xiaolin Nong and Xuejun Zhang
Bioengineering 2024, 11(6), 571; https://doi.org/10.3390/bioengineering11060571 - 5 Jun 2024
Cited by 6 | Viewed by 2594
Abstract
Ameloblastoma (AM), periapical cyst (PC), and chronic suppurative osteomyelitis (CSO) are prevalent maxillofacial diseases with similar imaging characteristics but different treatments, thus making preoperative differential diagnosis crucial. Existing deep learning methods for diagnosis often require manual delineation in tagging the regions of interest [...] Read more.
Ameloblastoma (AM), periapical cyst (PC), and chronic suppurative osteomyelitis (CSO) are prevalent maxillofacial diseases with similar imaging characteristics but different treatments, thus making preoperative differential diagnosis crucial. Existing deep learning methods for diagnosis often require manual delineation in tagging the regions of interest (ROIs), which triggers some challenges in practical application. We propose a new model of Wavelet Extraction and Fusion Module with Vision Transformer (WaveletFusion-ViT) for automatic diagnosis using CBCT panoramic images. In this study, 539 samples containing healthy (n = 154), AM (n = 181), PC (n = 102), and CSO (n = 102) were acquired by CBCT for classification, with an additional 2000 healthy samples for pre-training the domain-adaptive network (DAN). The WaveletFusion-ViT model was initialized with pre-trained weights obtained from the DAN and further trained using semi-supervised learning (SSL) methods. After five-fold cross-validation, the model achieved average sensitivity, specificity, accuracy, and AUC scores of 79.60%, 94.48%, 91.47%, and 0.942, respectively. Remarkably, our method achieved 91.47% accuracy using less than 20% labeled samples, surpassing the fully supervised approach’s accuracy of 89.05%. Despite these promising results, this study’s limitations include a low number of CSO cases and a relatively lower accuracy for this condition, which should be addressed in future research. This research is regarded as an innovative approach as it deviates from the fully supervised learning paradigm typically employed in previous studies. The WaveletFusion-ViT model effectively combines SSL methods to effectively diagnose three types of CBCT panoramic images using only a small portion of labeled data. Full article
Show Figures

Figure 1

15 pages, 3085 KB  
Article
Frequency and Demographic Analysis of Odontogenic Tumors in Three Tertiary Institutions: An 11-Year Retrospective Study
by Asma Almazyad, Mohammed Alamro, Nasser Almadan, Marzouq Almutairi and Turki S. AlQuwayz
Diagnostics 2024, 14(9), 910; https://doi.org/10.3390/diagnostics14090910 - 26 Apr 2024
Cited by 9 | Viewed by 3535
Abstract
Odontogenic tumors (OTs) are distinct conditions that develop in the jawbones, exhibiting diverse histopathological features and variable clinical behaviors. Unfortunately, the literature on this subject in Saudi Arabia remains sparse, indicating a pressing need for more comprehensive data concerning the frequency, demographics, treatment [...] Read more.
Odontogenic tumors (OTs) are distinct conditions that develop in the jawbones, exhibiting diverse histopathological features and variable clinical behaviors. Unfortunately, the literature on this subject in Saudi Arabia remains sparse, indicating a pressing need for more comprehensive data concerning the frequency, demographics, treatment modalities, and outcomes of OTs. Objectives: The study aims to evaluate the frequency, demographic features, treatment, and outcomes of OTs across three tertiary medical centers. Methods and Material: OT cases were identified in King Abdulaziz Medical City (KAMC), King Fahad Medical City (KFMC), and Prince Sultan Military Medical City (PSMMC) from January 2010 to December 2021. Results: Ninety-two OT cases were identified from the anatomical pathology laboratories of three tertiary hospitals. KFMC contributed the highest number of cases (43.5%), followed by KAMC (30.4%) and PSMMC (26.1%). The median age of OT patients was 29 years (range: 5–83), with males representing more than half of the patients (56.5%). The mandible was the most frequent site of OT occurrence (72.5%), with ameloblastoma being the predominant OT (63.0%), followed by odontoma (19.5%). Among the treatment modalities, bone resection was employed the most (51.0%), followed by enucleation (25.6%). Notably, 11.5% of OT cases with available follow-up data exhibited recurrence, with ameloblastoma accounting for eight recurrent cases. Conclusions: Although OTs are relatively common in the jaws, they are rare in anatomical pathology laboratories and the general population. This study contributes valuable insights into the epidemiology characteristics, treatment trends, and recurrence rates of OTs in Saudi Arabia. Full article
(This article belongs to the Special Issue Advances in the Diagnosis of Oral and Maxillofacial Disease)
Show Figures

Figure 1

Back to TopTop