Peripheral Ameloblastoma: A Case Report and Review of Literature
Abstract
1. Introduction
| Author | Year | Patient, Age | Treatment | Follow-Up (Months) | Recurrence |
|---|---|---|---|---|---|
| Braunstein et al. [14] | 1949 | 1 patient | Excision of soft-tissue lesion (blunt dissection) | 4 | No |
| Klinar et al. [15] | 1969 | 1 patient | Surgical excision by extraoral approach, wide margins | 2–3–5 | No |
| Gardner et al. [16] | 1977 | 21 patients | Excision (13 cases), electrocautery, extraction of teeth, removal of small amounts of bone, wide resection of the mandible with retention of the inferior border (1 case) | 11–60 | 3 |
| Patrikiou et al. [17] | 1983 | 1 patient | Excision under general anesthesia with curettage of underlying bone | 8 | No |
| Atkinson et al. [18] | 1984 | 10 patients | Megavoltage radiotherapy (4500 rads in 4 weeks) and 3 cases received adjuvant surgery | - | 1 |
| Schaberg et al. [19] | 1985 | 1 patient | Excision with small margin of normal tissue, subsequent re-excision with larger margin of normal tissue | 42 | No |
| Buchner et al. [20] | 1987 | 13 patients | Excision (initially incomplete in 4 cases but repeat excision performed) | - | 1, peripheral ameloblastic carcinoma from recurrent lesion |
| Ficarra et al. [21] | 1987 | 1 patient | Excision | 60 | No |
| Woo et al. [22] | 1987 | 1 patient | Excision by intraoral approach | 9 | No |
| El-Mofty et al. [23] | 1991 | 11 patients | Excision of the lesion down to the periosteum with small amount of normal tissue | - | 1 |
| Nauta et al. [24] | 1992 | Male, 32 | Excision with an en bloc resection of the adjacent bone of the alveolar process | 12 | No |
| Hernandez et al. [25] | 1992 | 1 patient | Excision down to level of bone (2 lesions) | 24 | 1 |
| Baden et al. [26] | 1993 | 1 patient | Excision | 60 | 2, ameloblastic carcinomas |
| Gurol et al. [27] | 1995 | 8 patients | Complete excision through the periosteum without removing bone or teeth | 3 cases with no follow-up reported, 2 cases 6 months, 1 case 24 m, 1 case 108 m, 1 case 120 m | No |
| Zhu et al. [28] | 1995 | 1 patient | Excision including overlying gingiva and thin lingual alveolar bone | 36 | No |
| Califano et al. [29] | 1996 | 1 patient | Surgical resection of the left maxilla with excision of bone surrounding the tumor | 12 | No |
| Wettan et al. [30] | 2001 | 1 patient | Excision | 36 | 2, with dysplastic change |
| Philipsen et al. [31] | 2001 | 160 patients, 65% males and 35% female (male/female ratio 1.9:1), average age 52.1 years | Conservative supraperiosteal surgical excision with adequate disease-free margins | - | Recurrence rate 16–19% |
| Marucci et al. [32] | 2004 | 1 patient | Radical surgical excision | - | - |
| Lopez-Jornet et al. [33] | 2005 | 1 patient | Excisional biopsy with curettage of the affected mandibular bone | 24 | No |
| Martelli-Jùnior et al. [34] | 2005 | 1 patient | Excision with narrow margin including underlying periosteum | 12 | No |
| Yanamoto et al. [35] | 2005 | 1 patient | En bloc excision together with the maxillary canine and underlying alveolar bone, under local anesthesia; layer of exposed bony surface shaved with a round burr | 180 | No |
| Curtis et al. [36] | 2006 | 1 patient | Resection of the lesion, buccal pad of fat and a mucosal flap for reconstruction | 36 | No |
| LeCorn et al. [37] | 2006 | 1 patient | Excision | 4 | No |
| Gomes et al. [38] | 2007 | 1 patient | Excisional biopsy | 9 | No |
| Yamanishi et al. [39] | 2007 | 1 patient | Complete surgical excision by intraoral approach (blunt dissection) | 7 | No |
| Vanoven et al. [1] | 2008 | Man, 73 | Resection of the tumor en bloc with partial maxillectomy with obturator reconstruction | - | No |
| Ide et al. [40] | 2009 | 1 patient | Excision | 12 | No |
| Beena et al. [41] | 2012 | 1 patient | Excisional biopsy of soft-tissue lesion | - | - |
| Bertossi et al. [42] | 2014 | 1 patient | Resection of lesion with surrounding bone, extraction of the second molar, flap for closure | 24 | No |
| Bhat et al. [43] | 2014 | 1 patient | Excised with a 5 mm margin using diathermy under general anesthesia | 12 | No |
| Lascane et al. [44] | 2014 | 1 patient | Excisional biopsy under local anesthesia | 12 | No |
| Goda et al. [7] | 2015 | 1 patient, female, 69 | Complete surgical excision by intraoral approach (blunt dissection) | 30 | No |
| Borrello et al. [10] | 2016 | Female, 78 | Excisional biopsy | 12 | No |
| Kandagal et al. [45] | 2016 | 1 patient | Complete surgical excision of soft tissue lesion | 24 | No |
| Zhang et al. [8] | 2018 | 25 patients, 22 males and 3 females (M:F = 7.3:1), average age 48.3 years (range 11–81 years, 1 case in pediatric patient) | Excision with or without partial bone resection | Periodic, every 6 months in the first 2 years and at least every 12 months, 3–180 (mean 61) | 1, maybe due to incomplete removal of primary lesion |
| Janardhanan et al. [13] | 2018 | Male, 33 | Excision | 24 | No |
| Nurik et al. [46] | 2018 | 1 patient | Complete surgical excision | - | - |
| Upadhyaya et al. [47] | 2018 | 18 patients, 6 females and 12 males | 12 excisional biopsies, 5 incisional biopsies, 1 unknown | - | - |
| Cadavid et al. [48] | 2019 | 2 patients | Treated conservatively with enucleation plus curettage or cryotherapy | 120 | No |
| On et al. [49] | 2019 | 1 patient | Excisional biopsy of the lesion after the 5 cm incision and dissection of lateral wall of oropharynx by intraoral approach under general anesthesia | - | - |
| Ülker et al. [2] | 2020 | Female, 34 | Excision | 3 | No |
| Vezhavendhan et al. [6] | 2020 | Male, 72 | Excision | - | 1, 6 years after the first excision |
2. Materials and Methods
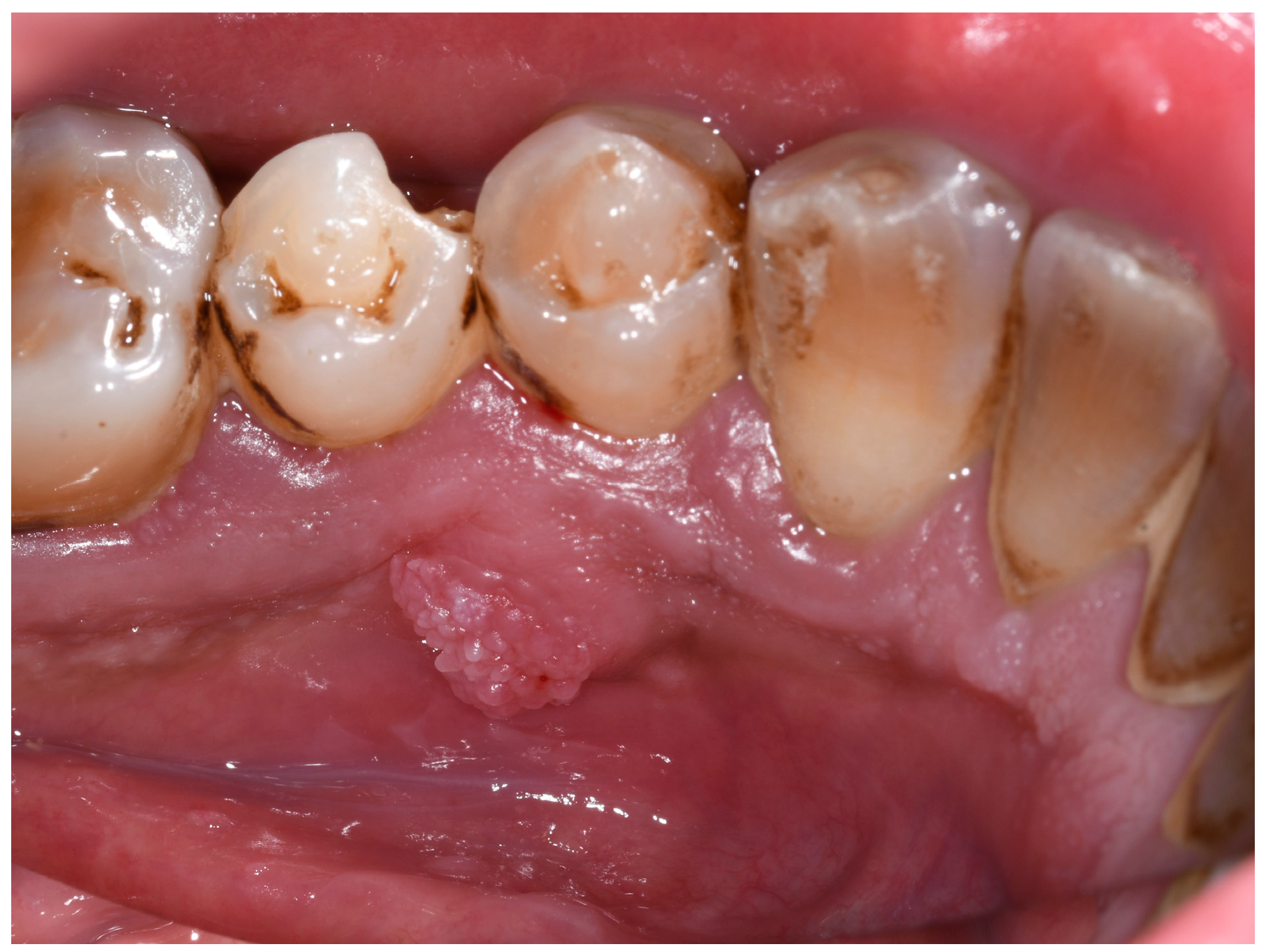
Case Presentation
3. Discussion
3.1. Differential Diagnosis of PA
3.2. Histopathological Features of PA
3.3. Management of PA
4. Conclusions
Author Contributions
Funding
Informed Consent Statement
Data Availability Statement
Conflicts of Interest
References
- Vanoven, B.J.; Parker, N.P.; Petruzzelli, G.J. Peripheral Ameloblastoma of the Maxilla: A Case Report and Literature Review. Am. J. Otolaryngol. 2008, 29, 357–360. [Google Scholar] [CrossRef] [PubMed]
- Ülker, E.; Kirtiloğlu, T.; Taban, B. Peripheral Ameloblastoma: A Case Report. J. Clin. Exp. Dent. 2020, 12, e607–e609. [Google Scholar] [CrossRef] [PubMed]
- Hendra, F.N.; Van Cann, E.M.; Helder, M.N.; Ruslin, M.; de Visscher, J.G.; Forouzanfar, T.; de Vet, H.C.W. Global Incidence and Profile of Ameloblastoma: A Systematic Review and Meta-Analysis. Oral Dis. 2020, 26, 12–21. [Google Scholar] [CrossRef] [PubMed]
- Nosé, V.; Lazar, A.J. Update from the 5th Edition of the World Health Organization Classification of Head and Neck Tumors: Familial Tumor Syndromes. Head Neck Pathol. 2022, 16, 143–157. [Google Scholar] [CrossRef]
- WHO Classification of Tumours Editorial Board. Head and Neck Tumours. WHO Classification of Tumours, 5th ed.; IARC WHO: Lyon, France, 2024; Volume 9, ISBN 978-92-832-4514-8. [Google Scholar]
- Vezhavendhan, N.; Vidyalakshmi, S.; Muthukumaran, R.; Santhadevy, A.; Sivaramakrishnan, M.; Gayathri, C. Peripheral Ameloblastoma of the Gingiva. Autops. Case Rep. 2020, 10, e2019127. [Google Scholar] [CrossRef]
- Goda, H.; Nakashiro, K.; Ogawa, I.; Takata, T.; Hamakawa, H. Peripheral Ameloblastoma with Histologically Low-Grade Malignant Features of the Buccal Mucosa: A Case Report with Immunohistochemical Study and Genetic Analysis. Int. J. Clin. Exp. Pathol. 2015, 8, 2085–2089. [Google Scholar]
- Zhang, X.; Tian, X.; Hu, Y.; Zhang, C.; Wei, C.; Yang, X. Oral Peripheral Ameloblastoma: A Retrospective Series Study of 25 Cases. Med. Oral Patol. Oral Cir. Bucal 2018, 23, e277–e281. [Google Scholar] [CrossRef]
- Wright, J.M.; Vered, M. Update from the 4th Edition of the World Health Organization Classification of Head and Neck Tumours: Odontogenic and Maxillofacial Bone Tumors. Head Neck Pathol. 2017, 11, 68–77. [Google Scholar] [CrossRef]
- Borrello, R.; Bettio, E.; Bacci, C.; Valente, M.; Sivolella, S.; Mazzoleni, S.; Berengo, M. A Conservative Approach to a Peripheral Ameloblastoma. Case Rep. Dent. 2016, 2016, 8254571. [Google Scholar] [CrossRef]
- Anpalagan, A.; Tzortzis, A.; Twigg, J.; Wotherspoon, R.; Chengot, P.; Kanatas, A. Current Practice in the Management of Peripheral Ameloblastoma: A Structured Review. Br. J. Oral Maxillofac. Surg. 2021, 59, e1–e8. [Google Scholar] [CrossRef]
- Gardner, D.G. Some Current Concepts on the Pathology of Ameloblastomas. Oral Surg. Oral Med. Oral Pathol. Oral Radiol. Endodontol. 1996, 82, 660–669. [Google Scholar] [CrossRef] [PubMed]
- Janardhanan, M.; Rakesh, S.; Savithri, V.; Aravind, T. Peripheral Ameloblastoma with Neoplastic Osseous Invasion versus Peripheral Intraosseous Ameloblastoma: A Challenging Diagnosis. J. Oral Maxillofac. Pathol. JOMFP 2018, 22, 396–400. [Google Scholar] [CrossRef] [PubMed]
- Braunstein, E. Case report of an extraosseous adamantinoblastoma. Oral Surg. Oral Med. Oral Pathol. 1949, 2, 726–728. [Google Scholar] [CrossRef] [PubMed]
- Klinar, K.; McManis, J. Soft-tissue ameloblastoma. Oral Surg. Oral Med. Oral Pathol. 1969, 28, 266–272. [Google Scholar] [CrossRef]
- Gardner, D. Peripheral ameloblastoma: A study of 21 cases, including 5 reported as basal cell carcinoma of the gingiva. Cancer 1977, 39, 1625–1633. [Google Scholar] [CrossRef]
- Patrikiou, A.; Papanicolaou, S.; Stylogianni, E.; Sotiriadou, S. Peripheral ameloblastoma. Case report and review of the literature. Int. J. Oral Surg. 1983, 12, 51–55. [Google Scholar] [CrossRef]
- Atkinson, C.; Harwood, A.; Cummings, B. Ameloblastoma of the jaw. A reappraisal of the role of megavoltage irradiation. Cancer 1984, 53, 869–873. [Google Scholar] [CrossRef]
- Schaberg, S.J.; Antimarino, R.F.; Pierce, G.L.; Crawford, B.E. Peripheral ameloblastoma. Report of a case. Int. J. Oral Surg. 1983, 12, 344–347. [Google Scholar] [CrossRef]
- Buchner, A.; Sciubba, J.J. Peripheral epithelial odontogenic tumors: A review. Oral Surg. Oral Med. Oral Pathol. 1987, 63, 688–697. [Google Scholar] [CrossRef]
- Ficarra, G.; Hansen, L. Peripheral ameloblastoma. A case report. J. Craniomaxillofac. Surg. 1987, 15, 110–112. [Google Scholar] [CrossRef]
- Woo, S.; Smith-Williams, J.; Sciubba, J.; Lipper, S. Peripheral ameloblastoma of the buccal mucosa: Case report and review of the English literature. Oral Surg. Oral Med. Oral Pathol. 1987, 63, 78–84. [Google Scholar] [CrossRef] [PubMed]
- El-Mofty, S.; Gerard, N.; Farish, S.; Rodu, B. Peripheral ameloblastoma: A clinical and histologic study of 11 cases. J. Oral Maxillofac. Surg. 1991, 49, 970–975. [Google Scholar] [CrossRef] [PubMed]
- Nauta, J.M.; Panders, A.K.; Schoots, C.J.F.; Vermey, A.; Roodenburg, J.L.N. Peripheral Ameloblastoma: A Case Report and Review of the Literature. Int. J. Oral Maxillofac. Surg. 1992, 21, 40–44. [Google Scholar] [CrossRef] [PubMed]
- Hernandez, G.; Sanchez, G.; Caballero, T.; Moskow, B.S. A rare case of a multi-centric peripheral ameloblastoma of the gingiva. A light and electron microscopic study. J. Clin. Periodontol. 1992, 19, 281–287. [Google Scholar] [CrossRef]
- Baden, E.; Doyle, J.; Petriella, V. Malignant transformation of peripheral ameloblastoma. Oral Surg. Oral Med. Oral Pathol. 1993, 75, 214–219. [Google Scholar] [CrossRef]
- Gurol, M.; Burkes, E.J., Jr. Peripheral ameloblastoma. J. Periodontol. 1995, 66, 1065–1068. [Google Scholar] [CrossRef]
- Zhu, E.; Okada, N.; Takagi, M. Peripheral ameloblastoma: Case report and review of the literature. J. Oral Maxillofac. Surg. 1995, 53, 590–594. [Google Scholar] [CrossRef]
- Califano., L.; Maremonti, P.; Boscaino, A.; De Rosa, G.; Giardino, C. Peripheral ameloblastoma: Report of a case with malignant aspect. Br. J. Oral Maxillofac. Surg. 1996, 34, 240–242. [Google Scholar] [CrossRef]
- Wettan, H.; Patella, P.; Freedman, P. Peripheral ameloblastoma: Review of the literature and report of recurrence as severe dysplasia. J. Oral Maxillofac. Surg. 2001, 59, 811–815. [Google Scholar] [CrossRef]
- Philipsen, H.P.; Reichart, P.A.; Nikai, H.; Takata, T.; Kudo, Y. Peripheral Ameloblastoma: Biological Profile Based on 160 Cases from the Literature. Oral Oncol. 2001, 37, 17–27. [Google Scholar] [CrossRef]
- Marucci, G.; Betts, C.; Michal, M.; Foschini, M.P. Peripheral ameloblastoma with Merkel cells. Virchows Arch. 2004, 446, 204–205. [Google Scholar] [CrossRef] [PubMed]
- Lopez-Jornet, P.; Bermejo-Fenoll, A. Peripheral ameloblastoma of the gingiva: The importance of diagnosis. J. Clin. Periodontol. 2005, 32, 12–15. [Google Scholar] [CrossRef] [PubMed]
- Martelli-Júnior, H.; Souza, L.; Santos, L.; Melo-Filho, M.R.; De Paula, A.M. Peripheral ameloblastoma: A case report. Oral Surg. Oral Med. Oral Pathol. Oral Radiol. Endodontol. 2005, 99, e31–e33. [Google Scholar] [CrossRef] [PubMed]
- Yanamoto, S.; Yamabe, S.; Kawasaki, G.; Mizuno, A. Peripheral ameloblastoma in the maxillary canine region. Asian J. Oral Maxillofac. Surg. 2005, 17, 195–198. [Google Scholar] [CrossRef]
- Curtis, N.; Zoellner, H. Surgical management of an ameloblastoma in soft tissues of the cheek. Br. J. Oral Maxillofac. Surg. 2006, 44, 495–496. [Google Scholar] [CrossRef]
- LeCorn, D.W.; Bhattacharyya, I.; Vertucci, F.J. Peripheral ameloblastoma: A case report and review of the literature. J. Endod. 2006, 32, 152–154. [Google Scholar] [CrossRef]
- Gomes, C.; Garcia, B.; Gomez, R.; de Freitas, J.B.; Mesquita, R.A. A clinical case of peripheral ameloblastoma. Braz. J. Oral Sci. 2007, 6, 1364–1366. [Google Scholar]
- Yamanishi, T.; Ando, S.; Aikawa, T.; Kishino, M.; Nakano, Y.; Sasai, K.; Isomura, E.; Tsuji, T.; Koizumi, H.; Iida, S.; et al. A case of extragingival peripheral ameloblasotoma in the buccal mucosa. J. Oral Pathol. Med. 2007, 36, 184–186. [Google Scholar] [CrossRef]
- Ide, F.; Mishima, K.; Miyazaki, Y.; Saito, I.; Kusama, K. Peripheral ameloblastoma in-situ: An evidential fact of surface epithelium origin. Oral Surg. Oral Med. Oral Pathol. Oral Radiol. Endodontol. 2009, 108, 763–767. [Google Scholar] [CrossRef]
- Beena, V.; Choudhary, K.; Heera, R.; Rajeev, R.; Sivakumar, R.; Vidhyadharan, K. Peripheral ameloblastoma: A case report and review of literature. Case Rep. Dent. 2012, 2012, 571509. [Google Scholar] [CrossRef]
- Bertossi, D.; Favero, V.; Albanese, M.; De-Santis, D.; Martano, M.; Padovano-di-Leva, A.; De-Florio, I.; Nocini, P.F.; Lo-Muzio, L. Peripheral ameloblastoma of the upper gingiva: Report of a case and literature review. J. Clin. Exp. Dent. 2014, 6, e180–e184. [Google Scholar] [CrossRef] [PubMed]
- Bhat, V.; Bhandary, S.; Bhat, S. Extraosseous ameloblastoma of maxillary gingiva- a case report. Indian J. Surg. Oncol. 2014, 5, 211–213. [Google Scholar] [CrossRef] [PubMed]
- Lascane, N.; Sedassari, B.; Alves, F.; Gallottini, M.H.C.; Sousa, S.C.O.M.D. Peripheral ameloblastoma with dystrophic calcification: An unusual feature in non-calcifying odontogenic tumors. Braz. Dent. J. 2014, 25, 253–256. [Google Scholar] [CrossRef] [PubMed][Green Version]
- Kandagal, V.S.; Chandrappa, P.R.; Desai, D.; Pandit, S.; Yadav, S.; Ingaleshwar, P. Extraosseous ameloblastoma of maxillary gingiva: A rare case. Clin. Cancer Investig. J. 2016, 5, 49–51. [Google Scholar]
- Nurkic, T.; Castillo-Jorge, S.; Schmalfuss, I. Extra-gingival peripheral ameloblastoma. Appl. Radiol. 2018, 47, 38–40. [Google Scholar] [CrossRef]
- Upadhyaya, J.D.; Bhattacharyya, I.; Fitzpatrick, S.G.; Cohen, D.M.; Islam, M.N. Peripheral Ameloblastoma: A Study of 18 Cases and Usage of Ber-EP4 Immunohistochemistry to Rule out a Diagnosis of Intraoral Basal Cell Carcinoma. J. Oral Maxillofac. Surg. 2018, 76, 996–1004. [Google Scholar] [CrossRef] [PubMed]
- Cadavid, A.; Araujo, J.; Coutinho-Camillo, C.; Bologna, S.; Junior, C.A.L.; Lourenço, S.V. Ameloblastomas: Current aspects of the new WHO classification in an analysis of 136 cases. Surg. Exp. Pathol. 2019, 2, 17. [Google Scholar] [CrossRef]
- On, D.; Kang, M.; Ryu, J.; Kang, M. Peripheral ameloblastoma of the pterygomandibular space: A case report. J. Oral Maxillofac. Surg. Med. Pathol. 2019, 31, 192–195. [Google Scholar] [CrossRef]
- Netto, R.; Peralta-Mamani, M.; de Freitas-Filho, S.A.; Moura, L.L.; Rubira, C.M.; Rubira-Bullen, I.R. Segmental resection vs. partial resection on treating solid multicystic ameloblastomas of the jaws—Recurrence rates: A systematic review and meta-analysis. J. Clin. Exp. Dent. 2023, 15, e518–e525. [Google Scholar] [CrossRef] [PubMed] [PubMed Central]
- Hendra, F.N.; Helder, M.N.; Ruslin, M.; Van Cann, E.M.; Forouzanfar, T. A network meta-analysis assessing the effectiveness of various radical and conservative surgical approaches regarding recurrence in treating solid/multicystic ameloblastomas. Sci. Rep. 2023, 13, 8445. [Google Scholar] [CrossRef] [PubMed] [PubMed Central]
- Figueiredo, N.R.; Dinkar, A.D.; Meena, M.; Satoskar, S.; Khorate, M. Ameloblastoma: A clinicoradiographic and histopathologic correlation of 11 cases seen in Goa during 2008-2012. Contemp. Clin. Dent. 2014, 5, 160–165. [Google Scholar] [CrossRef] [PubMed] [PubMed Central]
- Augustine, D.; Rao, R.S.; Surendra, L.; Patil, S.; Yoithapprabhunath, T.R.; Albogami, S.; Shamsuddin, S.; Basheer, S.A.; Sainudeen, S. Histopathologic Feature of Hyalinization Predicts Recurrence of Conventional/Solid Multicystic Ameloblastomas. Diagnostics 2022, 12, 1114. [Google Scholar] [CrossRef] [PubMed] [PubMed Central]
- Ali, M.; Qassem, A.; Tawashi, S.; Ahmad, K.; Khalil, A.K. Unicystic ameloblastoma appeared as a massive multilocular entity: A case report with long-term follow-up. Int. J. Surg. Case Rep. 2024, 120, 109830. [Google Scholar] [CrossRef] [PubMed] [PubMed Central]
- Sarode, G.; Gondivkar, S.M.; Gore, A.; Anand, R.; Sengupta, N.; Mehta, V.; Sarode, S.C. Clinico-pathological and prognostic overview of metastasizing ameloblastoma: An overview of the systematic reviews. J. Oral Biol. Craniofac. Res. 2023, 13, 751–757. [Google Scholar] [CrossRef] [PubMed] [PubMed Central]
- Keshwar, S.; Raut, T.; Jain, N.; Shrestha, A.; Jaisani, M.R. Histopathological Insight of a Case of Adenoid Ameloblastoma: A Rare Odontogenic Tumor. Case Rep. Dent. 2024, 2024, 8366045. [Google Scholar] [CrossRef] [PubMed] [PubMed Central]
- Odell, E.W.; Gomes, C.C.; Thavaraj, S. The evolving molecular characterisation, histological criteria and nomenclature of adenoid ameloblastoma as a World Health Organisation tumour type. Histopathology Early View. 2024. [Google Scholar] [CrossRef] [PubMed]
- Ghai, S. Ameloblastoma: An Updated Narrative Review of an Enigmatic Tumor. Cureus 2022, 14, e27734. [Google Scholar] [CrossRef]
- Ide, F.; Ito, Y.; Miyazaki, Y.; Nishimura, M.; Kusama, K.; Kikuchi, K. A New Look at the History of Peripheral Ameloblastoma. Head Neck Pathol. 2020, 14, 1052–1057. [Google Scholar] [CrossRef]
- Mendez, L.D.; Wolsefer, N.S.; Asa, S.L.; Wasman, J.; Yoest, J.M.; Stojanov, I.J. The diagnostic utility of BRAF VE1 mutation-specific im-munohistochemistry in ameloblastoma. Mod. Pathol. 2022, 35, 1570–1577. [Google Scholar] [CrossRef]
- Mamat Yusof, M.N.; Ch’ng, E.S.; Radhiah Abdul Rahman, N. BRAF V600E Mutation in Ameloblastoma: A Systematic Review and Meta-Analysis. Cancers 2022, 14, 5593. [Google Scholar] [CrossRef]
- Hong, S.D. Novel NRAS G12D mutation in extraosseous/peripheral ameloblastoma: Case report and review of mitogen-activated protein kinase pathway mutations in extraosseous/peripheral and intraosseous ameloblastomas. J. Dent. Sci. 2024, 19, 1892–1893. [Google Scholar] [CrossRef]
- Oh, K.Y. Treatment options for advanced ameloblastoma in the era of precision medicine: A brief review. Oral Oncol. 2023, 146, 106585. [Google Scholar] [CrossRef] [PubMed]
- Grynberg, S.; Vered, M.; Shapira-Frommer, R.; Asher, N.; Ben-Betzalel, G.; Stoff, R.; Steinberg, Y.; Amariglio, N.; Greenberg, G.; Barshack, I.; et al. Neoadjuvant BRAF-targeted therapy for ameloblastoma of the mandible: An organ preservation approach. J. Natl. Cancer Inst. 2024, 116, 539–546. [Google Scholar] [CrossRef] [PubMed]






Disclaimer/Publisher’s Note: The statements, opinions and data contained in all publications are solely those of the individual author(s) and contributor(s) and not of MDPI and/or the editor(s). MDPI and/or the editor(s) disclaim responsibility for any injury to people or property resulting from any ideas, methods, instructions or products referred to in the content. |
© 2024 by the authors. Licensee MDPI, Basel, Switzerland. This article is an open access article distributed under the terms and conditions of the Creative Commons Attribution (CC BY) license (https://creativecommons.org/licenses/by/4.0/).
Share and Cite
Decani, S.; Quatrale, M.; Caria, V.; Moneghini, L.; Varoni, E.M. Peripheral Ameloblastoma: A Case Report and Review of Literature. J. Clin. Med. 2024, 13, 6714. https://doi.org/10.3390/jcm13226714
Decani S, Quatrale M, Caria V, Moneghini L, Varoni EM. Peripheral Ameloblastoma: A Case Report and Review of Literature. Journal of Clinical Medicine. 2024; 13(22):6714. https://doi.org/10.3390/jcm13226714
Chicago/Turabian StyleDecani, Sem, Martina Quatrale, Veronica Caria, Laura Moneghini, and Elena Maria Varoni. 2024. "Peripheral Ameloblastoma: A Case Report and Review of Literature" Journal of Clinical Medicine 13, no. 22: 6714. https://doi.org/10.3390/jcm13226714
APA StyleDecani, S., Quatrale, M., Caria, V., Moneghini, L., & Varoni, E. M. (2024). Peripheral Ameloblastoma: A Case Report and Review of Literature. Journal of Clinical Medicine, 13(22), 6714. https://doi.org/10.3390/jcm13226714

