Assessment of Protein Immunoexpression Associated with Tumor Proliferation and Invasion in Histological Subtypes of Unicystic and Conventional Ameloblastoma
Abstract
1. Introduction
2. Results
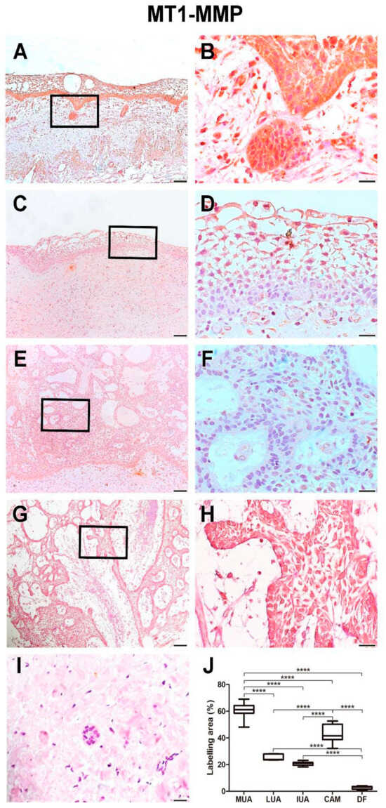
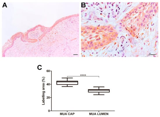
2.1. Immunoexpression of MT1-MMP
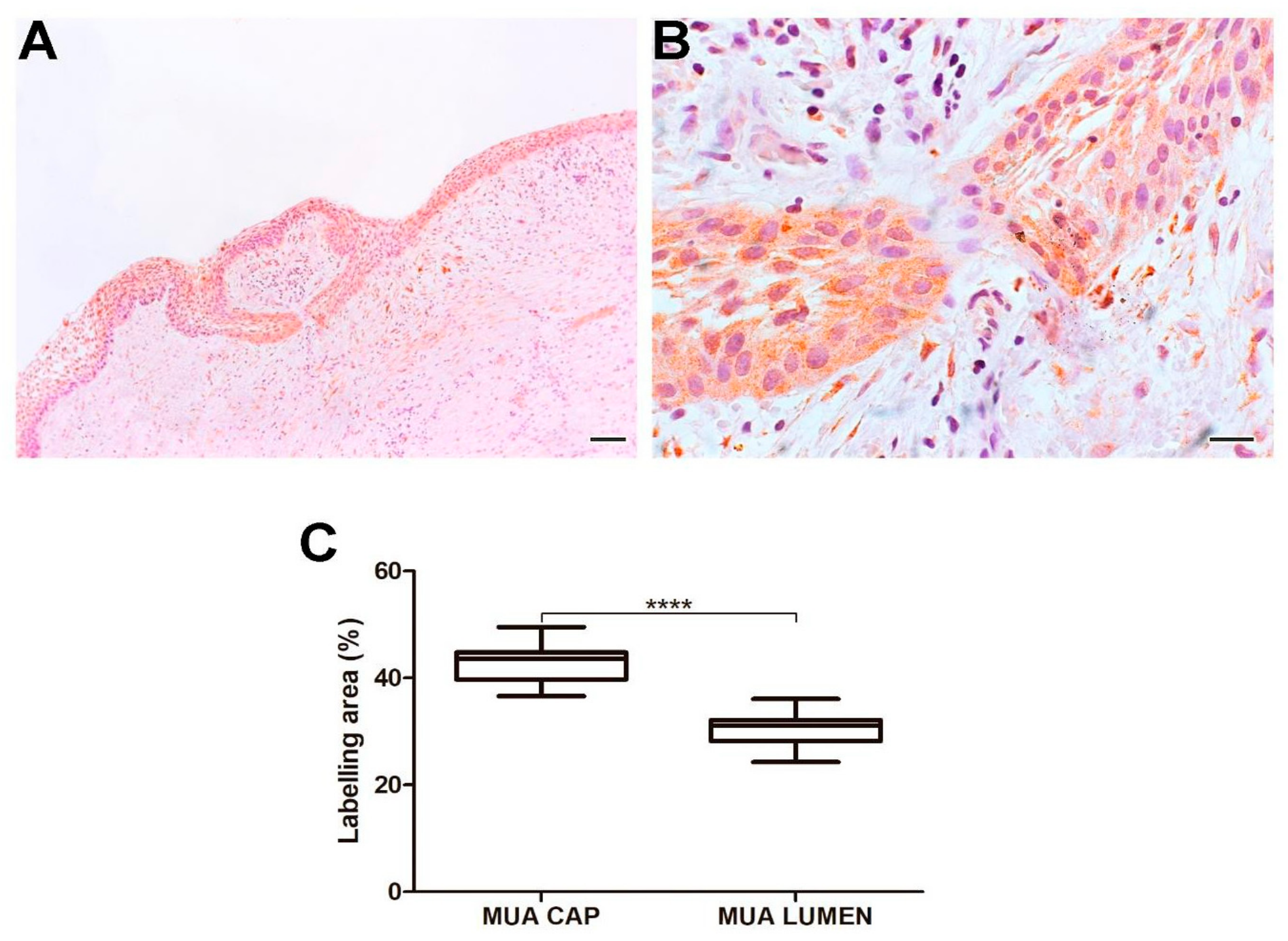
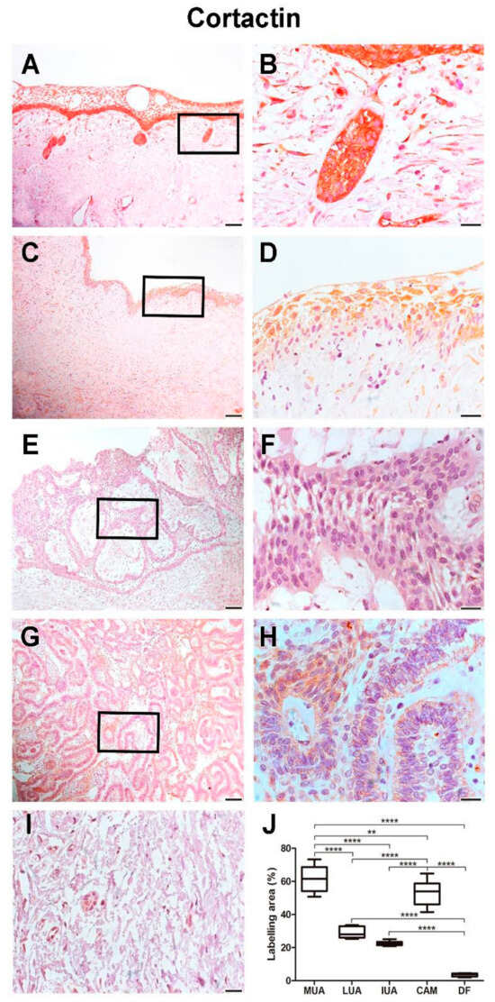
2.2. Immunoexpression of Cortactin
2.3. Immunoexpression of Tks-4
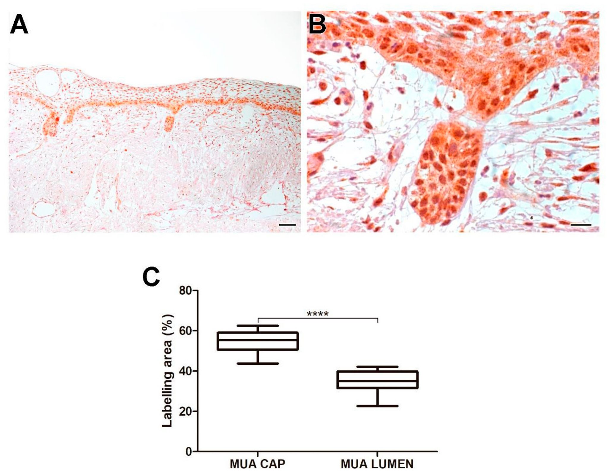
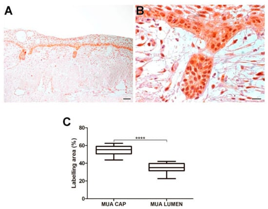
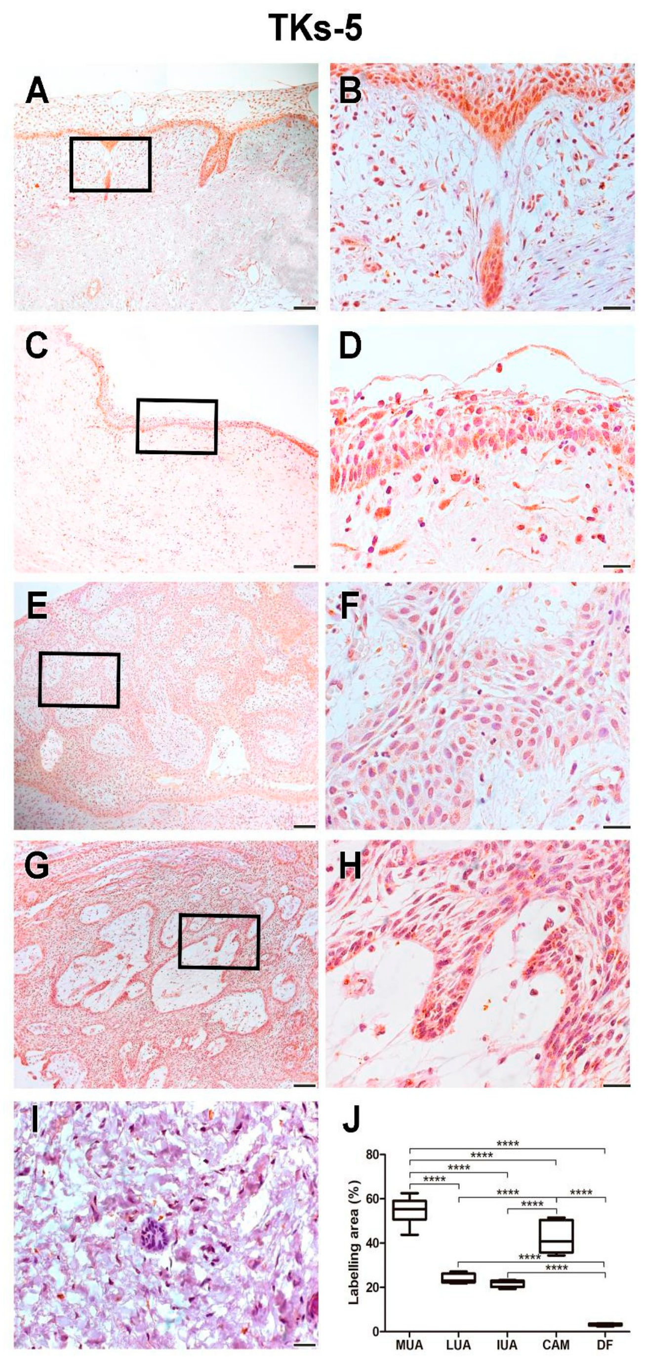
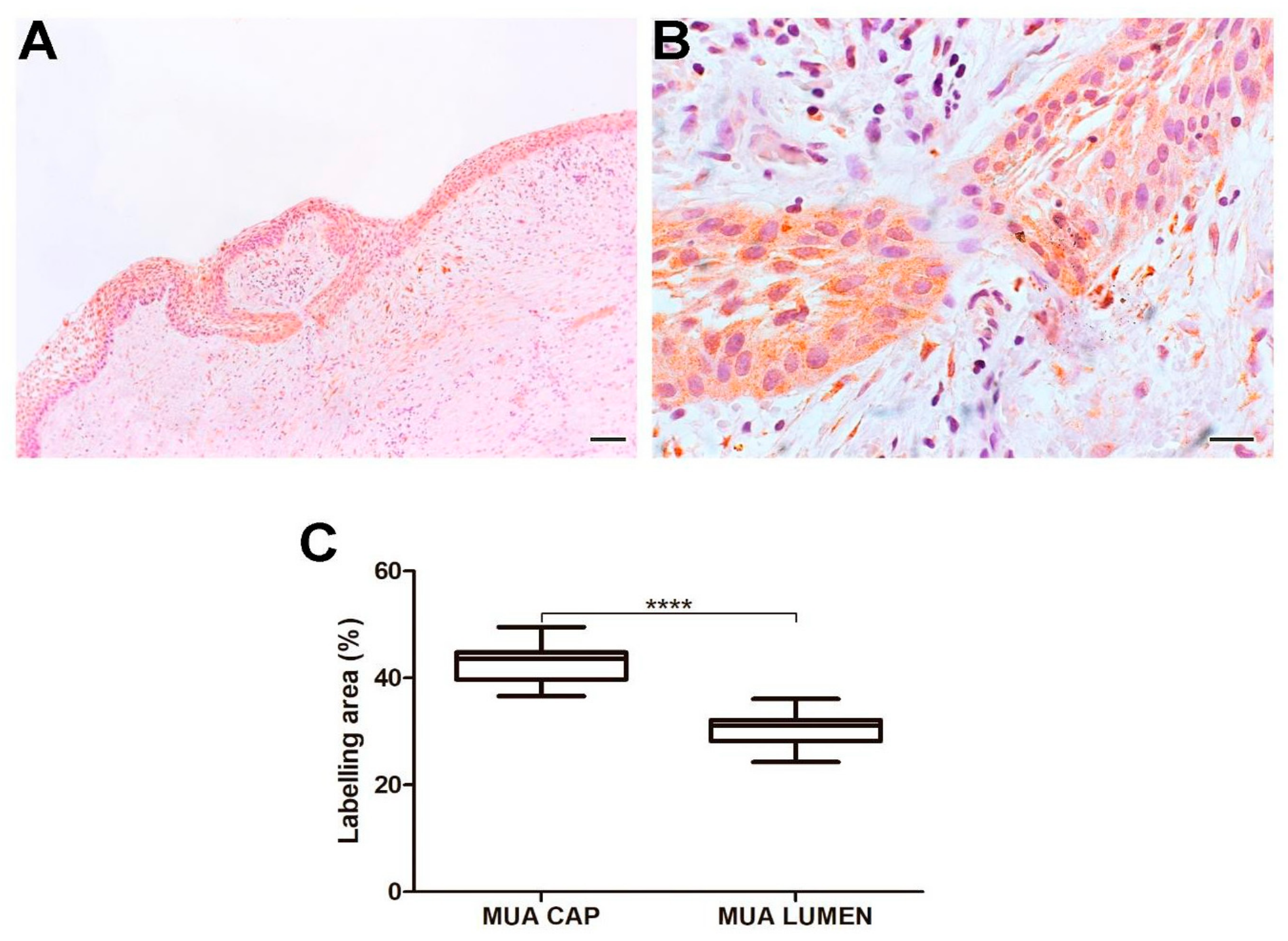
2.4. Immunoexpression of Tks-5
3. Discussion
4. Materials and Methods
4.1. Ethical Aspects
4.2. Study Sample
4.3. Immunohistochemistry
4.4. Evaluation of Immunostaining
4.5. Statistical Analysis
5. Conclusions
Author Contributions
Funding
Institutional Review Board Statement
Informed Consent Statement
Data Availability Statement
Conflicts of Interest
Abbreviations
| CAM | Conventional Ameloblastoma |
| WHO | World Health Organization |
| UA | Unicystic Ameloblastoma |
| MUA | Mural Unicystic Ameloblastoma |
| LUA | Luminal Unicystic Ameloblastoma |
| IUA | Intraluminal Unicystic Ameloblastoma |
| DF | Dental Follicle |
| MMPs | Matrix Metalloproteinases |
| EGFR | Epidermal Growth Factor Receptor |
| ECM | Extracellular Matrix |
References
- El-Naggar, A.K.; Chan, J.K.C.; Grandis, J.R.; Takata, T.; Slootweg, P.J. WHO Classification of Head and Neck Tumours, 4th ed.; IARC: Lyon, France, 2017. [Google Scholar]
- WHO Classification of Tumors Editorial Board. Head and Neck Tumours, 5th ed.; IARC Publications: Lyon, France, 2024. [Google Scholar]
- Eddy, R.J.; Weidmann, M.D.; Sharma, V.P.; Condeelis, J.S. Tumor cell invadopodia: Invasive protrusions that orchestrate metastasis. Trends Cell Biol. 2017, 27, 595–607. [Google Scholar] [CrossRef] [PubMed]
- Clark, E.S.; Weaver, A.M. A new role for cortactin in invadopodia: Regulation of protease secretion. Eur. J. Cell Biol. 2008, 87, 581–590. [Google Scholar] [CrossRef]
- Paterson, E.K.; Courtneidge, S.A. Invadosomes are coming: New insights into function and disease relevance. FEBS J. 2018, 285, 8–27. [Google Scholar] [CrossRef] [PubMed]
- Murphy, D.A.; Courtneidge, S.A. The ‘ins’ and ‘outs’ of podosomes and invadopodia: Characteristics, formation and function. Nat. Rev. Mol. Cell Biol. 2011, 12, 413–426. [Google Scholar] [CrossRef] [PubMed]
- Buccione, R.; Caldieri, G.; Ayala, I. Invadopodia: Specialized tumor cell structures for the focal degradation of the extracellular matrix. Cancer Metastasis Rev. 2009, 28, 137–149. [Google Scholar] [CrossRef] [PubMed]
- Hwang, Y.S.; Park, K.K.; Chung, W.Y. Invadopodia formation in oral squamous cell carcinoma: The role of epidermal growth factor receptor signaling. Arch. Oral Biol. 2012, 57, 335–343. [Google Scholar] [CrossRef]
- Millard, T.H.; Sharp, S.J.; Machesky, L.M. Signalling to actin assembly via the WASP (Wiskott-Aldrich syndrome protein)-family proteins and the Arp2/3 complex. Biochem. J. 2004, 15, 1–17. [Google Scholar] [CrossRef]
- Ribeiro, A.L.; da Costa, N.M.; de Siqueira, A.S.; Brasil da Silva, W.; da Silva Kataoka, M.S.; Jaeger, R.G.; de Melo Alves-Junior, S.; Smith, A.M.; de Jesus Viana Pinheiro, J. Keratocystic odontogenic tumor overexpresses invadopodia-related proteins, suggesting invadopodia formation. Oral Surg. Oral Med. Oral Pathol. Oral Radiol. 2016, 122, 500–508. [Google Scholar] [CrossRef]
- Buschman, M.D.; Bromann, P.A.; Cejudo-Martin, P.; Wen, F.; Pass, I.; Courtneidge, S.A. The novel adaptor protein Tks4 (SH3PXD2B) is required for functional podosome formation. Mol. Biol. Cell 2009, 20, 1302–1311. [Google Scholar] [CrossRef] [PubMed]
- Iizuka, S.; Abdullah, C.; Buschman, M.D.; Diaz, B.; Courtneidge, S.A. The role of Tks adaptor proteins in invadopodia formation, growth and metastasis of melanoma. Oncotarget 2016, 7, 78473–78486. [Google Scholar] [CrossRef]
- Courtneidge, S.A. Cell migration and invasion in human disease: The Tks adaptor proteins. Biochem. Soc. Trans. 2012, 40, 129–132. [Google Scholar] [CrossRef]
- Chen, Y.C.; Baik, M.; Byers, J.T.; Chen, K.T.; French, S.W.; Díaz, B. TKS5-positive invadopodia-like structures in human tumor surgical specimens. Exp. Mol. Pathol. 2018, 106, 17–26. [Google Scholar] [CrossRef] [PubMed]
- Jacob, A.; Linklater, E.; Bayless, B.A.; Lyons, T.; Prekeris, R. The role and regulation of Rab40b-Tks5 complex during invadopodia formation and cancer cell invasion. J. Cell Sci. 2016, 129, 4341–4353. [Google Scholar] [CrossRef] [PubMed]
- Siar, C.H.; Rahman, Z.A.; Tsujigiwa, H.; Mohamed Om Alblazi, K.; Nagatsuka, H.; Ng, K.H. Invadopodia proteins, cortactin, N-WASP and WIP differentially promote local invasiveness in ameloblastoma. J. Oral Pathol. Med. 2016, 45, 591–598. [Google Scholar] [CrossRef] [PubMed]
- Jeannot, P.; Besson, A. Cortactin function in invadopodia. Small GTPases 2020, 11, 256–270. [Google Scholar] [CrossRef]
- Yin, M.; Ma, W.; An, L. Cortactin in cancer cell migration and invasion. Oncotarget 2017, 19, 88232–88243. [Google Scholar] [CrossRef]
- Sung, B.H.; Zhu, X.; Kaverina, I.; Weaver, A.M. Cortactin controls cell motility and lamellipodial dynamics by regulating ECM secretion. Curr. Biol. 2011, 21, 1460–1469. [Google Scholar] [CrossRef]
- Crimaldi, L.; Courtneidge, S.A.; Gimona, M. Tks5 recruits AFAP-110, p190RhoGAP, and cortactin for podosome formation. Exp. Cell Res. 2009, 315, 2581–2592. [Google Scholar] [CrossRef] [PubMed]
- Pinheiro, J.J.; Nascimento, C.F.; Freitas, V.M.; de Siqueira, A.S.; Junior, S.M.; Jaeger, R.G. Invadopodia proteins, cortactin and membrane type I matrix metalloproteinase (MT1-MMP) are expressed in ameloblastoma. Histopathology 2011, 59, 1266–1269. [Google Scholar] [CrossRef]
- Li, Y.Y.; Zhou, C.X.; Gao, Y. Podoplanin promotes the invasion of oral squamous cell carcinoma in coordination with MT1-MMP and Rho GTPases. Am. J. Cancer Res. 2015, 5, 514–529. [Google Scholar]
- Kumar, S.; Das, A.; Barai, A.; Sen, S. MMP secretion rate and inter-invadopodia spacing collectively govern cancer invasiveness. Biophys. J. 2018, 114, 650–662. [Google Scholar] [CrossRef]
- Sandra, F.; Nakamura, N.; Mitsuyasu, T.; Shiratsuchi, Y.; Ohishi, M. Two relatively distinct patterns of ameloblastoma: An anti-apoptotic proliferating site in the outer layer (periphery) and a pro-apoptotic differentiating site in the inner layer (center). Histopathology 2001, 39, 93–98. [Google Scholar] [CrossRef]
- Ahlem, B.; Wided, A.; Amani, L.; Nadia, Z.; Amira, A.; Faten, F. Study of Ki67 and CD10 expression as predictive factors of recurrence of ameloblastoma. Eur. Ann. Otorhinolaryngol. Head Neck Dis. 2015, 132, 275–279. [Google Scholar] [CrossRef] [PubMed]
- Ledesma-Montes, C.; Mosqueda-Taylor, A.; Carlos-Bregni, R.; De León, E.R.; Palma-Guzmán, J.M.; Páez-Valencia, C.; Meneses-García, A. Ameloblastomas: A regional Latin-American multicentric study. Oral Dis. 2007, 13, 303–307. [Google Scholar] [CrossRef]
- Nascimento, C.F.; Gama-De-Souza, L.N.; Freitas, V.M.; Jaeger, R.G. Role of MMP9 on invadopodia formation in cells from adenoid cystic carcinoma. Study by laser scanning confocal microscopy. Microsc. Res. Tech. 2010, 73, 99–108. [Google Scholar] [CrossRef] [PubMed]
- Mitre, G.P.; Balbinot, K.M.; Ribeiro, A.L.R.; da Silva Kataoka, M.S.; de Melo Alves Júnior, S.; de Jesus Viana Pinheiro, J. Key proteins of invadopodia are overexpressed in oral squamous cell carcinoma suggesting an important role of MT1-MMP in the tumoral progression. Diagn. Pathol. 2021, 16, 33. [Google Scholar] [CrossRef]
- Wenzel, E.M.; Pedersen, N.M.; Elfmark, L.A.; Wang, L.; Kjos, I.; Stang, E.; Malerød, L.; Brech, A.; Stenmark, H.; Raiborg, C. Intercellular transfer of cancer cell invasiveness via endosome-mediated protease shedding. Nat. Commun. 2024, 15, 1277. [Google Scholar] [CrossRef]
- Tanaka, N.; Sakamoto, T. MT1-MMP as a key regulator of metastasis. Cells 2023, 12, 2187. [Google Scholar] [CrossRef] [PubMed]
- Kudlik, G.; Takács, T.; Radnai, L.; Kurilla, A.; Szeder, B.; Koprivanacz, K.; Merő, B.L.; Buday, L.; Vas, V. Advances in understanding TKS4 and TKS5: Molecular scaffolds regulating cellular processes from podosome and invadopodium formation to differentiation and tissue homeostasis. Int. J. Mol. Sci. 2020, 21, 8117. [Google Scholar] [CrossRef] [PubMed]
- Bergman, A.; Condeelis, J.S.; Gligorijevic, B. Invadopodia in context. Cell Adhes. Migr. 2014, 8, 273–279. [Google Scholar] [CrossRef] [PubMed]
- Iizuka, S.; Leon, R.P.; Gribbin, K.P.; Zhang, Y.; Navarro, J.; Smith, R.; Devlin, K.; Wang, L.G.; Gibbs, S.L.; Korkola, J.; et al. Crosstalk between invadopodia and the extracellular matrix. Eur. J. Cell Biol. 2020, 99, 151122. [Google Scholar] [CrossRef] [PubMed]
- Pinheiro, J.J.V.; Freitas, V.M.; Moretti, A.I.S.; Jorge, A.G.; Jaeger, R.G. Local invasiveness of ameloblastoma: Role played by matrix metalloproteinases and proliferative activity. Histopathology 2004, 45, 65–72. [Google Scholar] [CrossRef] [PubMed]
- Vieira Costa, R.; Balbinot, K.M.; da Silveira, G.C.A.R.; Kataoka, M.S.D.S.; de Menezes, S.A.F.; Freitas, V.M.; Vasconcelos, A.C.U.; Etges, A.; Martins Montalli, V.A.; Santos, F.P.; et al. Prognostic value of the expression and localization of cell proliferation and apoptosis markers in unicystic ameloblastomas. Sci. Rep. 2024, 14, 3856. [Google Scholar] [CrossRef] [PubMed]
- Desmarais, V.; Yamaguchi, H.; Oser, M.; Soon, L.; Mouneimne, G.; Sarmiento, C.; Eddy, R.; Condeelis, J. N-WASP and cortactin are involved in invadopodium-dependent chemotaxis to EGF in breast tumor cells. Cell Motil. Cytoskelet. 2009, 66, 303–316. [Google Scholar] [CrossRef]
- Fenton, J.I.; Wolff, M.S.; Orth, M.W.; Hord, N.G. Membrane-type matrix metalloproteinases mediate curcumin-induced cell migration in non-tumorigenic colon epithelial cells differing in Apc genotype. Carcinogenesis 2002, 23, 1065–1070. [Google Scholar] [CrossRef][Green Version]
- Fekete, A.; Bőgel, G.; Pesti, S.; Péterfi, Z.; Geiszt, M.; Buday, L. EGF regulates tyrosine phosphorylation and membrane-translocation of the scaffold protein Tks5. J. Mol. Signal. 2013, 8, 8. [Google Scholar] [CrossRef] [PubMed]
- World Medical Association. World Medical Association Declaration of Helsinki: Ethical Principles for Medical Research Involving Human Subjects. JAMA 2013, 310, 2191–2194. [Google Scholar] [CrossRef]








| Unicystic Ameloblastoma | Conventional Ameloblastoma | Dental Follicle | |||
|---|---|---|---|---|---|
| Mural | Luminal | Intraluminal | |||
| Sex (n = 47) | |||||
| Female | 8 | 5 | 3 | 4 | 4 |
| Male | 3 | 2 | 4 | 5 | 5 |
| NR* | 3 | 0 | 1 | 0 | 0 |
| Age (n = 47) | |||||
| 00–09 | 1 | 0 | 2 | 0 | 0 |
| 10–19 | 1 | 3 | 4 | 0 | 5 |
| 20–29 | 7 | 3 | 1 | 1 | 2 |
| 30–39 | 0 | 0 | 0 | 4 | 1 |
| 40–49 | 0 | 0 | 0 | 2 | 0 |
| 50–59 | 0 | 1 | 0 | 2 | 0 |
| 60–69 | 0 | 0 | 0 | 0 | 0 |
| 70–79 | 0 | 0 | 0 | 0 | 0 |
| 80–89 | 0 | 0 | 0 | 0 | 0 |
| NR* | 4 | 0 | 1 | 0 | 1 |
| Anatomical Location (n = 47) | |||||
| Maxilla | 1 | 0 | 0 | 0 | 0 |
| Mandible | 9 | 5 | 5 | 10 | 8 |
| NR* | 5 | 1 | 1 | 0 | 2 |
Disclaimer/Publisher’s Note: The statements, opinions and data contained in all publications are solely those of the individual author(s) and contributor(s) and not of MDPI and/or the editor(s). MDPI and/or the editor(s) disclaim responsibility for any injury to people or property resulting from any ideas, methods, instructions or products referred to in the content. |
© 2025 by the authors. Licensee MDPI, Basel, Switzerland. This article is an open access article distributed under the terms and conditions of the Creative Commons Attribution (CC BY) license (https://creativecommons.org/licenses/by/4.0/).
Share and Cite
da Silveira, G.C.A.R.; Costa, R.V.; Lemos, F.L.M.; de Moraes, A.T.L.; Kataoka, M.S.d.S.; Freitas, V.M.; de Menezes, S.A.F.; Vasconcelos, A.C.U.; Etges, A.; Santos, F.P.; et al. Assessment of Protein Immunoexpression Associated with Tumor Proliferation and Invasion in Histological Subtypes of Unicystic and Conventional Ameloblastoma. Int. J. Mol. Sci. 2025, 26, 1267. https://doi.org/10.3390/ijms26031267
da Silveira GCAR, Costa RV, Lemos FLM, de Moraes ATL, Kataoka MSdS, Freitas VM, de Menezes SAF, Vasconcelos ACU, Etges A, Santos FP, et al. Assessment of Protein Immunoexpression Associated with Tumor Proliferation and Invasion in Histological Subtypes of Unicystic and Conventional Ameloblastoma. International Journal of Molecular Sciences. 2025; 26(3):1267. https://doi.org/10.3390/ijms26031267
Chicago/Turabian Styleda Silveira, Gabriela Cristina Avertano Rocha, Rebeca Vieira Costa, Flavia Letícia Magalhães Lemos, Antonia Taiane Lopes de Moraes, Maria Sueli da Silva Kataoka, Vanessa Morais Freitas, Silvio Augusto Fernandes de Menezes, Ana Carolina Uchoa Vasconcelos, Adriana Etges, Fabricio Passador Santos, and et al. 2025. "Assessment of Protein Immunoexpression Associated with Tumor Proliferation and Invasion in Histological Subtypes of Unicystic and Conventional Ameloblastoma" International Journal of Molecular Sciences 26, no. 3: 1267. https://doi.org/10.3390/ijms26031267
APA Styleda Silveira, G. C. A. R., Costa, R. V., Lemos, F. L. M., de Moraes, A. T. L., Kataoka, M. S. d. S., Freitas, V. M., de Menezes, S. A. F., Vasconcelos, A. C. U., Etges, A., Santos, F. P., de Araújo, V. C., Alves Júnior, S. d. M., Jaeger, R. G., & Pinheiro, J. d. J. V. (2025). Assessment of Protein Immunoexpression Associated with Tumor Proliferation and Invasion in Histological Subtypes of Unicystic and Conventional Ameloblastoma. International Journal of Molecular Sciences, 26(3), 1267. https://doi.org/10.3390/ijms26031267

