Sign in to use this feature.

Years

Between: -

Subjects

remove_circle_outline
remove_circle_outline
remove_circle_outline
remove_circle_outline
remove_circle_outline

Journals

Article Types

Countries / Regions

Search Results (17)

Search Parameters:
Keywords = Terminalia chebula Retz.

Order results
Result details
Results per page
Select all
Export citation of selected articles as:
17 pages, 2917 KB  
Article
Terminalia chebula Retz. Fruit Extract Promotes Murine Hair Growth by Suppressing 5α-Reductase and Accelerating the Degradation of Dihydrotestosterone
by Ting Cui, Xiaoqing Wang, Qi Wu, Ye Zhong, Fenglou Wang, Yue Zou, Yushu Wang, Shanshan Jiang and Gang Ma
Biomedicines 2025, 13(11), 2584; https://doi.org/10.3390/biomedicines13112584 - 22 Oct 2025
Cited by 2 | Viewed by 2055
Abstract
Background/Objectives: Androgenetic alopecia (AGA) is the most common hair loss disorder in dermatological practice. Its primary pathogenesis involves the conversion of testosterone to dihydrotestosterone (DHT) by type II 5α-reductase upon reaching dermal papilla cells (DPCs). DHT impairs DPCs’ activity and inhibits hair growth. [...] Read more.
Background/Objectives: Androgenetic alopecia (AGA) is the most common hair loss disorder in dermatological practice. Its primary pathogenesis involves the conversion of testosterone to dihydrotestosterone (DHT) by type II 5α-reductase upon reaching dermal papilla cells (DPCs). DHT impairs DPCs’ activity and inhibits hair growth. Although the FDA-approved drugs finasteride and minoxidil show certain efficacy, they are also associated with severe side effects. This study aims to explore the effects of Terminalia chebula fruit extract (TCFE) on hair growth and its underlying molecular mechanisms. Methods: We investigated the therapeutic potential of TCFE in hair follicle regeneration, employing a multi-level experimental approach combining in vitro analyses of DPCs, in vivo animal models of AGA, and ex vivo cultures of human hair follicles and scalp tissue. Results: First, RNA-seq analysis and RT-PCR validation revealed that TCFE treatment activated the Wnt and TGF-β3 signaling pathways in DPCs, particularly upregulating the AKR1C gene family, which is involved in DHT metabolism. TCFE also potently inhibited type II 5α-reductase activity and mitigated DHT-induced damage to DPCs. In an AGA mouse model, TCFE reversed the AGA phenotype with efficacy comparable to finasteride. However, unlike finasteride, TCFE specifically enhanced the expression of AKR1C1 and AKR1C3, indicating a distinct mechanism. Finally, in ex vivo organ cultures, TCFE suppressed hair follicle cell apoptosis, promoted proliferation, and thereby stimulated hair growth. Conclusions: These findings suggest that TCFE is a promising natural treatment for AGA, likely acting through multiple mechanisms, including Wnt pathway activation, 5α-reductase inhibition, and enhanced DHT degradation. Full article
Show Figures

Graphical abstract

19 pages, 1244 KB  
Article
Phytochemical Analysis and Antimicrobial Activity of Terminalia bellirica (Gaertn.) Roxb. and Terminalia chebula Retz. Fruit Extracts Against Gastrointestinal Pathogens: Enhancing Antibiotic Efficacy
by Gagan Tiwana, Ian Edwin Cock and Matthew James Cheesman
Microorganisms 2024, 12(12), 2664; https://doi.org/10.3390/microorganisms12122664 - 22 Dec 2024
Cited by 9 | Viewed by 5239
Abstract
Terminalia bellirica (Gaertn) Roxb. and Terminalia chebula Retz. are significant botanicals in ancient Ayurvedic medicine. They are renowned for their therapeutic properties, notably in addressing gastrointestinal (GI) diseases. These plants have undergone thorough examination related to their antibacterial, anti-inflammatory, and antioxidant properties, which [...] Read more.
Terminalia bellirica (Gaertn) Roxb. and Terminalia chebula Retz. are significant botanicals in ancient Ayurvedic medicine. They are renowned for their therapeutic properties, notably in addressing gastrointestinal (GI) diseases. These plants have undergone thorough examination related to their antibacterial, anti-inflammatory, and antioxidant properties, which make them highly efficient natural treatments for controlling gastrointestinal infections. The current research demonstrated the antibacterial efficacy of fruit extracts of Terminalia bellirica and Terminalia chebula against Bacillus cereus, Shigella sonnei, Shigella flexneri, and Salmonella typhimurium. We performed disc diffusion and liquid microdilution experiments to evaluate the antibacterial efficacy. All extracts of Terminalia bellirica and Terminalia chebula showed good antibacterial effects against B. cereus and S. flexneri. The minimum inhibitory concentration (MIC) values ranged from 94 µg/mL to 556 µg/mL. The methanolic extracts from both plants also showed noteworthy antibacterial activity against S. sonnei and S. typhimurium, with MIC values of 755 µg/mL for both. Fractional inhibitory concentration studies revealed additive interactions between some conventional antibiotics and the plant extracts when used concurrently. Liquid chromatography–mass spectrometry (LC-MS) analyses revealed that the T. bellirica and T. chebula extracts contained various tannins including methyl gallate, propyl gallate, gallic acid, and ellagic acid. Lethality assays conducted using Artemia franciscana Kellogg nauplii indicated that all the plant extracts are non-toxic. The antibacterial properties and absence of toxicity in T. bellirica and T. chebula fruit extracts indicate their potential for antibiotic development, warranting additional mechanistic and phytochemical studies. Full article
(This article belongs to the Special Issue Plant Extracts and Antimicrobials, Second Edition)
Show Figures

Figure 1

31 pages, 4941 KB  
Review
Comprehensive Review on Fruit of Terminalia chebula: Traditional Uses, Phytochemistry, Pharmacology, Toxicity, and Pharmacokinetics
by Changjian Wang, Hongfei Zhang, Xiangdong Wang, Xinyue Wang, Xinru Li, Cuiying Li, Yuefei Wang and Min Zhang
Molecules 2024, 29(23), 5547; https://doi.org/10.3390/molecules29235547 - 24 Nov 2024
Cited by 21 | Viewed by 11916
Abstract
Terminalia chebula Retz., known for its dried fruit, namely Chebulae Fructus, is a medicinal plant with a long-standing global reputation, which was initially recognized for its therapeutic properties during the Jin Dynasty. This review consolidates current knowledge on the traditional uses, phytochemistry, pharmacological [...] Read more.
Terminalia chebula Retz., known for its dried fruit, namely Chebulae Fructus, is a medicinal plant with a long-standing global reputation, which was initially recognized for its therapeutic properties during the Jin Dynasty. This review consolidates current knowledge on the traditional uses, phytochemistry, pharmacological properties, toxicity, and pharmacokinetics of Chebulae Fructus, highlighting its clinical significance and the promising therapeutic potential of its compounds. To date, studies have identified approximately 149 compounds within the plant, including tannins, phenolic acids, lignans, triterpenes, flavonoids, and volatiles. These compounds confer a broad spectrum of biological activities in vitro and in vivo, such as antioxidant, anti-inflammatory, antiviral, anticancer, antibacterial, hepatoprotective, nephroprotective, neuroprotective, and anti-diabetic, some of which are already integrated into clinical practice. However, despite substantial advancements, considerable gaps remain in understanding the complete mechanisms of action, pharmacokinetics, and safety profiles of its extracts and compounds. This paper advocates for enhanced focus on these areas to fully elucidate the therapeutic capacities and facilitate the clinical application of Chebulae Fructus. This comprehensive analysis not only reinforces the ethnopharmacological significance of Chebulae Fructus but also lays a foundation for future pharmacological explorations. Full article
Show Figures

Graphical abstract

25 pages, 1091 KB  
Article
Combinations of Terminalia bellirica (Gaertn.) Roxb. and Terminalia chebula Retz. Extracts with Selected Antibiotics Against Antibiotic-Resistant Bacteria: Bioactivity and Phytochemistry
by Gagan Tiwana, Ian Edwin Cock and Matthew James Cheesman
Antibiotics 2024, 13(10), 994; https://doi.org/10.3390/antibiotics13100994 - 19 Oct 2024
Cited by 7 | Viewed by 3840
Abstract
Antimicrobial resistance (AMR) has arisen due to antibiotic overuse and misuse. Antibiotic resistance renders standard treatments less effective, making it difficult to control some infections, thereby increasing morbidity and mortality. Medicinal plants are attracting increased interest as antibiotics lose efficacy. This study evaluates [...] Read more.
Antimicrobial resistance (AMR) has arisen due to antibiotic overuse and misuse. Antibiotic resistance renders standard treatments less effective, making it difficult to control some infections, thereby increasing morbidity and mortality. Medicinal plants are attracting increased interest as antibiotics lose efficacy. This study evaluates the antibacterial activity of solvent extracts prepared using Terminalia bellirica and Terminalia chebula fruit against six bacterial pathogens using disc diffusion and broth microdilution assays. The aqueous and methanol extracts of T. bellirica and T. chebula showed substantial zones of inhibition (ZOIs) against Staphylococcus aureus and methicillin-resistant S. aureus (MRSA). The activity against those bacteria was strong, with minimum inhibitory concentrations (MIC) ranging from 94 µg/mL to 392 µg/mL. Additionally, the T. bellirica methanolic extract showed noteworthy antibacterial activity against Escherichia coli and an extended spectrum β-lactamase (ESBL) E. coli strain (MIC values of 755 µg/mL for both). The aqueous T. bellirica and T. chebula extracts also inhibited Klebsiella pneumoniae growth (MIC values of 784 µg/mL and 556 µg/mL, respectively). The corresponding methanolic extracts also inhibited ESBL K. pneumoniae growth (MIC values of 755 µg/mL and 1509 µg/mL, respectively). Eighteen additive interactions were observed when extracts were combined with reference antibiotics. Strong antagonism occurred when any of the extracts were mixed with polymyxin B. Liquid chromatography-mass spectroscopy (LC-MS) analysis of the extracts revealed several interesting flavonoids and tannins, including 6-galloylglucose, 1,2,6-trigalloyl-β-D-glucopyranose, 6-O-[(2E)-3-phenyl-2-propenoyl]-1-O-(3,4,5-trihydroxybenzoyl)-β-D-glucopyranose, propyl gallate, methyl gallate, sanguiin H4, hamamelitannin, pyrogallol, gallic acid, ellagic acid, chebulic acid, and chebuloside II. All extracts were nontoxic in brine shrimp assays. This lack of toxicity, combined with their antibacterial activities, suggests that these plant species may be promising sources of antibacterial compound(s) that warrant further study. Full article
(This article belongs to the Special Issue Antimicrobial Activity of Natural Products and Plants Extracts)
Show Figures

Graphical abstract

16 pages, 4414 KB  
Article
Network Pharmacology Revealing the Therapeutic Potential of Bioactive Components of Triphala and Their Molecular Mechanisms against Obesity
by Ratchanon Inpan, Chotiwit Sakuludomkan, Mingkwan Na Takuathung and Nut Koonrungsesomboon
Int. J. Mol. Sci. 2024, 25(19), 10755; https://doi.org/10.3390/ijms251910755 - 6 Oct 2024
Cited by 7 | Viewed by 5205
Abstract
Obesity, characterized by the excessive accumulation of fat, is a prevalent metabolic disorder that poses a significant global health concern. Triphala, an herbal combination consisting of Phyllanthus emblica Linn, Terminalia chebula Retz, and Terminalia bellerica (Gaertn) Roxb, has emerged as a potential solution [...] Read more.
Obesity, characterized by the excessive accumulation of fat, is a prevalent metabolic disorder that poses a significant global health concern. Triphala, an herbal combination consisting of Phyllanthus emblica Linn, Terminalia chebula Retz, and Terminalia bellerica (Gaertn) Roxb, has emerged as a potential solution for addressing concerns related to obesity. This study aimed to investigate the network pharmacology and molecular docking of Triphala to identify its bioactive ingredients and their interactions with pathways associated with obesity. The bioactive compounds present in Triphala and genes linked to obesity were identified, followed by an analysis of the protein-protein interaction networks. Enrichment analysis, including Gene Ontology analysis and Kyoto Encyclopedia of Genes and Genomes pathway analysis, was conducted. Prominent genes and compounds were selected for further investigation through molecular docking studies. The study revealed a close correlation between obesity and the AKT1 and PPARG genes. The observed binding energy between beta-sitosterol, 7-dehydrosigmasterol, peraksine, α-amyrin, luteolin, quercetin, kaempferol, ellagic acid, and phyllanthin with AKT1 and PPARG indicated a favorable binding affinity. In conclusion, nine compounds showed promise in regulating these genes for obesity prevention and management. Further research is required to validate their specific effects. Full article
(This article belongs to the Special Issue Network Pharmacology: An Emerging Field in Drug Discovery)
Show Figures

Figure 1

11 pages, 2161 KB  
Article
Modeling and Optimization of Ellagic Acid from Chebulae Fructus Using Response Surface Methodology Coupled with Artificial Neural Network
by Junkai Wu, Fan Yang, Liyang Guo and Zunlai Sheng
Molecules 2024, 29(16), 3953; https://doi.org/10.3390/molecules29163953 - 21 Aug 2024
Cited by 6 | Viewed by 1441
Abstract
The dried ripe fruit of Terminalia chebula Retz. is a common Chinese materia medica, and ellagic acid (EA), isolated from the plant, is an important bioactive component for medicinal purposes. This study aimed to delineate the optimal extraction parameters for extracting the EA [...] Read more.
The dried ripe fruit of Terminalia chebula Retz. is a common Chinese materia medica, and ellagic acid (EA), isolated from the plant, is an important bioactive component for medicinal purposes. This study aimed to delineate the optimal extraction parameters for extracting the EA content from Chebulae Fructus (CF), focusing on the variables of ethanol concentration, extraction temperature, liquid–solid ratio, and extraction time. Utilizing a combination of the response surface methodology (RSM) and an artificial neural network (ANN), we systematically investigated these parameters to maximize the EA extraction efficiency. The extraction yields for EA obtained under the predicted optimal conditions validated the efficacy of both the RSM and ANN models. Analysis using the ANN-predicted data showed a higher coefficient of determination (R2) value of 0.9970 and a relative error of 0.79, compared to the RSM’s 2.85. The optimal conditions using the ANN are an ethanol concentration of 61.00%, an extraction temperature of 77 °C, a liquid–solid ratio of 26 mL g−1 and an extraction time of 103 min. These findings significantly enhance our understanding of the industrial-scale optimization process for EA extraction from CF. Full article
(This article belongs to the Section Natural Products Chemistry)
Show Figures

Graphical abstract

12 pages, 2859 KB  
Article
1,3,6-Trigalloylglucose: A Novel Potent Anti-Helicobacter pylori Adhesion Agent Derived from Aqueous Extracts of Terminalia chebula Retz
by Ling Ou, Zhixiang Zhu, Yajie Hao, Qingwei Li, Hengrui Liu, Qingchang Chen, Chang Peng, Chuqiu Zhang, Yuanjing Zou, Junwei Jia, Hui Li, Yanhua Wang, Bingmei Su, Yuqian Lai, Meiyun Chen, Haobo Chen, Zhong Feng, Guimin Zhang and Meicun Yao
Molecules 2024, 29(5), 1161; https://doi.org/10.3390/molecules29051161 - 5 Mar 2024
Cited by 45 | Viewed by 3320
Abstract
1,3,6-Trigalloylglucose is a natural compound that can be extracted from the aqueous extracts of ripe fruit of Terminalia chebula Retz, commonly known as “Haritaki”. The potential anti-Helicobacter pylori (HP) activity of this compound has not been extensively studied or confirmed [...] Read more.
1,3,6-Trigalloylglucose is a natural compound that can be extracted from the aqueous extracts of ripe fruit of Terminalia chebula Retz, commonly known as “Haritaki”. The potential anti-Helicobacter pylori (HP) activity of this compound has not been extensively studied or confirmed in scientific research. This compound was isolated using a semi-preparative liquid chromatography (LC) system and identified through Ultra-high-performance liquid chromatography–MS/MS (UPLC-MS/MS) and Nuclear Magnetic Resonance (NMR). Its role was evaluated using Minimum inhibitory concentration (MIC) assay and minimum bactericidal concentration (MBC) assay, scanning electron microscope (SEM), inhibiting kinetics curves, urea fast test, Cell Counting Kit-8 (CCK-8) assay, Western blot, and Griess Reagent System. Results showed that this compound effectively inhibits the growth of HP strain ATCC 700392, damages the HP structure, and suppresses the Cytotoxin-associated gene A (Cag A) protein, a crucial factor in HP infection. Importantly, it exhibits selective antimicrobial activity without impacting normal epithelial cells GES-1. In vitro studies have revealed that 1,3,6-Trigalloylglucose acts as an anti-adhesive agent, disrupting the adhesion of HP to host cells, a critical step in HP infection. These findings underscore the potential of 1,3,6-Trigalloylglucose as a targeted therapeutic agent against HP infections. Full article
Show Figures

Figure 1

19 pages, 6960 KB  
Article
Treatment with Terminalia chebula Extract Reduces Insulin Resistance, Hyperglycemia and Improves SIRT1 Expression in Type 2 Diabetic Rats
by Ojaskumar D. Agrawal and Yogesh A. Kulkarni
Life 2023, 13(5), 1168; https://doi.org/10.3390/life13051168 - 11 May 2023
Cited by 11 | Viewed by 4676
Abstract
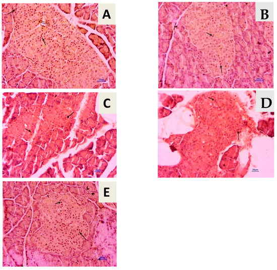
Background: Terminalia chebula Retz., Family Combretaceae (T. chebula) is one of the important plants mentioned in Ayurveda, a traditional system of medicine. The present work was designed to study the effect of the aqueous extract of T. chebula fruits in type [...] Read more.
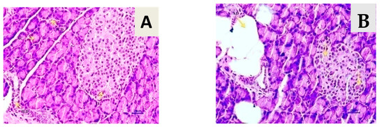
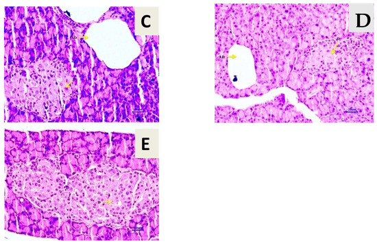
Background: Terminalia chebula Retz., Family Combretaceae (T. chebula) is one of the important plants mentioned in Ayurveda, a traditional system of medicine. The present work was designed to study the effect of the aqueous extract of T. chebula fruits in type 2 diabetic rats. Methods: The aqueous extract of the fruits was prepared by the double maceration technique. The extract was subjected to HPTLC analysis, which showed the presence of ellagic acid and gallic acid. Type 2 diabetes was induced in rats with a low dose of Streptozotocin (35 mg/kg) after administering a high-fat diet for fourteen days. Diabetic animals were treated with 500 and 1000 mg/kg of aqueous extract of T. chebula fruits for six weeks. Results: Diabetic rats showed a significantly (511.7 ± 17.6) (p < 0.001) high plasma glucose level compared to the normal group (106 ± 3.358). The T. chebula treatment group showed a significant (p < 0.001) reduction in plasma glucose at 500 mg/kg (394.3 ± 10.35) and 1000 mg/kg (368.6 ± 30.08) doses when compared with the diabetic control group. Treatment with aqueous extract significantly reduced lipid parameters in diabetic animals when compared to the animals in the diabetic control group. Treatment with extract at a dose of 500 mg/kg and 1000 mg/kg showed a significant reduction in AST (p < 0.01, p < 0.001) when compared with diabetic control rats. Treatment with extract significantly reduced ALT at 500 mg/kg (p < 0.05) and 1000 mg/kg (p < 0.001) doses when compared with diabetic control rats. The extract treatment improved insulin sensitivity and insulin sensitivity index (ISI) and significantly decreased HOMR-IR. Treatment with T. chebula aqueous extract at 1000 mg/kg significantly increased the level of GSH (p < 0.05) when compared to diabetic control rats. T. chebula treatment at 1000 mg/kg significantly increased levels of CAT (p < 0.01). Histopathology of pancreatic tissue revealed that the extract has a protective effect against the damage caused by hyperglycemia. Immunohistochemistry of pancreatic tissue showed increased expression of SIRT1 in diabetic animals treated with the extract. Conclusions: The results of the present study indicate that the extract of T. chebula has significant effects in the management of type 2 diabetes. Full article
(This article belongs to the Section Physiology and Pathology)
Show Figures

Figure 1

21 pages, 5494 KB  
Article
Chemical Profiling and Therapeutic Evaluation of Standardized Hydroalcoholic Extracts of Terminalia chebula Fruits Collected from Different Locations in Manipur against Colorectal Cancer
by Soibam Thoithoisana Devi, Khaidem Devika Chanu, Nameirakpam Bunindro Singh, Sushil Kumar Chaudhary, Ojit Singh Keithellakpam, Kshetrimayum Birla Singh, Pulok K. Mukherjee and Nanaocha Sharma
Molecules 2023, 28(7), 2901; https://doi.org/10.3390/molecules28072901 - 23 Mar 2023
Cited by 12 | Viewed by 4897
Abstract
Terminalia chebula Retz. (Fam. Combretaceae), locally called Manahei, is a well-known medicinal plant that grows wildly in Manipur, a Northeastern state of India. It is used as a mild laxative, an anti-inflammatory agent, and a remedy for piles, colds, and ulcers by ethnic [...] Read more.
Terminalia chebula Retz. (Fam. Combretaceae), locally called Manahei, is a well-known medicinal plant that grows wildly in Manipur, a Northeastern state of India. It is used as a mild laxative, an anti-inflammatory agent, and a remedy for piles, colds, and ulcers by ethnic communities of the state. The hydroalcoholic extract obtained from four fruit samples of T. chebula collected from different locations in Manipur were analyzed using gas chromatography–mass spectrometry (GC-MS) and high-performance thin-layer chromatography (HPTLC) for their chemical constituents and evaluated for their anticancer activity against the colon cancer cell HCT 116. GC-MS analysis results indicated significant variation in the composition and percentage of major compounds present in the extracts. 1,2,3-Benzenetriol was the most abundant chemical constituent present in all four extracts of T. chebula, ranging from 20.95 to 43.56%. 2-Cyclopenten-1-one, 5-hydroxymethylfurfural, and catechol were commonly present in all extracts. Two marker compounds, gallic acid and ellagic acid, were also quantified usingHPTLC in all four extracts of T. chebula. The highest content of gallic acid (22.44 ± 0.056 µg/mg of dried extract) was observed in TCH, and that of ellagic acidwas found in TYH (11.265 ± 0.089 µg/mg of dried extract). The IC50 value of TYH for the DPPH and ABTS assays (12.16 ± 0.42 and 7.80 ± 0.23 µg/mL) was found to be even lower than that of Trolox (18 ± 0.44 and 10.15 ± 0.24 µg/mL), indicating its strong antioxidant properties among the four extracts of T. chebula. The MTT assay determined the effect of T. chebula extracts on the viability of HCT 116 cells. TYH showed the highest activity with anIC50 value of 52.42 ± 0.87 µg/mL, while the lowest activity was observed in TCH (172.05 ± 2.0 µg/mL). The LDH assay confirmed the cytotoxic effect of TYH in HCT 116 cells. TYH was also found to induce caspase-dependent apoptosis in HCT 116 cells after 48 h of treatment. Our study provides insight into the diversity of T. chebula in Manipur and its potential activity against colon cancer. Full article
(This article belongs to the Special Issue Natural Products in Asia)
Show Figures

Figure 1

15 pages, 4057 KB  
Article
Neuroprotective Effect of Polyphenol Extracts from Terminalia chebula Retz. against Cerebral Ischemia-Reperfusion Injury
by Kuan Lin, Mei Zhou, Changlong Leng, Xiaoqing Tao, Rong Zhou, Youwei Li, Binlian Sun, Xiji Shu and Wei Liu
Molecules 2022, 27(19), 6449; https://doi.org/10.3390/molecules27196449 - 30 Sep 2022
Cited by 21 | Viewed by 3713
Abstract
Current therapies for ischemic stroke are insufficient due to the lack of specific drugs. This study aimed to investigate the protective activity of polyphenol extracts from Terminalia chebula against cerebral ischemia-reperfusion induced damage. Polyphenols of ethyl acetate and n-butanol fractions were extracted from [...] Read more.
Current therapies for ischemic stroke are insufficient due to the lack of specific drugs. This study aimed to investigate the protective activity of polyphenol extracts from Terminalia chebula against cerebral ischemia-reperfusion induced damage. Polyphenols of ethyl acetate and n-butanol fractions were extracted from T. chebula. BV2 microglial cells exposed to oxygen-glucose deprivation/reoxygenation and mice subjected to middle cerebral artery occlusion/reperfusion were treated by TPE and TPB. Cell viability, cell morphology, apoptosis, mitochondrial membrane potential, enzyme activity and signaling pathway related to oxidative stress were observed. We found that TPE and TPB showed strong antioxidant activity in vitro. The protective effects of TPE and TPB on cerebral ischemia-reperfusion injury were demonstrated by enhanced antioxidant enzyme activities, elevated level of the nucleus transportation of nuclear factor erythroid 2-related factor 2 and expressions of antioxidant proteins, with a simultaneous reduction in cell apoptosis and reactive oxygen species level. In conclusion, TPE and TPB exert neuroprotective effects by stimulating the Nrf2 signaling pathway, thereby inhibiting apoptosis. Full article
(This article belongs to the Special Issue Natural Polyphenols: Isolation, Characterization and Health Benefits)
Show Figures

Graphical abstract

12 pages, 3717 KB  
Article
Phenolic Acids from Fructus Chebulae Immaturus Alleviate Intestinal Ischemia-Reperfusion Injury in Mice through the PPARα/NF-κB Pathway
by Junjie Liu, Bin Li, Jing Liu, Feng Qiu, Yunpeng Diao, Yuxin Lei, Jianjun Liu and Wei Zhang
Molecules 2022, 27(16), 5227; https://doi.org/10.3390/molecules27165227 - 16 Aug 2022
Cited by 10 | Viewed by 2986
Abstract
Intestinal ischemia/reperfusion (II/R) injury is a common life-threatening complication with high morbidity and mortality. Chebulae Fructus Immaturus, the unripe fruit of Terminalia chebula Retz., also known as “Xiqingguo” or “Tibet Olive” in China, has been widely used in traditional Tibetan medicine [...] Read more.
Intestinal ischemia/reperfusion (II/R) injury is a common life-threatening complication with high morbidity and mortality. Chebulae Fructus Immaturus, the unripe fruit of Terminalia chebula Retz., also known as “Xiqingguo” or “Tibet Olive” in China, has been widely used in traditional Tibetan medicine throughout history. The phenolic acids’ extract of Chebulae Fructus Immaturus (XQG for short) has exhibited strong antioxidative, anti-inflammation, anti-apoptosis, and antibacterial activities. However, whether XQG can effectively ameliorate II/R injuries remains to be clarified. Our results showed that XQG could effectively alleviate II/R-induced intestinal morphological damage and intestinal barrier injury by decreasing the oxidative stress, inflammatory response, and cell death. Transcriptomic analysis further revealed that the main action mechanism of XQG protecting against II/R injury was involved in activating PPARα and inhibiting the NF-κB-signaling pathway. Our study suggests the potential usage of XQG as a new candidate to alleviate II/R injury. Full article
Show Figures

Graphical abstract

9 pages, 247 KB  
Article
The Effect of Phytonutrients in Terminalia chebula Retz. on Rumen Fermentation Efficiency, Nitrogen Utilization, and Protozoal Population in Goats
by Pongsatorn Gunun, Anusorn Cherdthong, Pichad Khejornsart, Metha Wanapat, Sineenart Polyorach, Sungchhang Kang, Walailuck Kaewwongsa and Nirawan Gunun
Animals 2022, 12(16), 2022; https://doi.org/10.3390/ani12162022 - 10 Aug 2022
Cited by 9 | Viewed by 3081
Abstract
The aim of this study was to investigate the effect of Terminalia chebula meal (TCM) supplementation on digestibility, rumen fermentation, nitrogen utilization, and protozoal population in goats. Eight goats with an initial body weight (BW) of 13 ± 3.0 kg were randomly assigned [...] Read more.
The aim of this study was to investigate the effect of Terminalia chebula meal (TCM) supplementation on digestibility, rumen fermentation, nitrogen utilization, and protozoal population in goats. Eight goats with an initial body weight (BW) of 13 ± 3.0 kg were randomly assigned according to a double 4 × 4 Latin square design to receive different levels of TCM supplementation at 0, 8, 16, and 24 g/kg of total dry matter (DM) intake, respectively. The goats were fed with concentrate diets at 13 g/kg BW, while rice straw was used as a roughage source, fed ad libitum. The results revealed that the feed intake and the apparent digestibility of DM, organic matter (OM), neutral detergent fiber (NDF), and acid detergent fiber (ADF) were similar among the treatments (p > 0.05). However, crude protein (CP) digestibility decreased significantly (p < 0.05) when supplemented with TCM at 24 g/kg of total DM intake (p < 0.05). The addition of TCM did not change the ruminal pH and blood urea nitrogen concentrations (p > 0.05), whereas the concentration of NH3-N at 4 h post feeding was reduced with the inclusion of TCM at 16 and 24 g/kg of total DM intake. The total numbers of bacteria were enhanced by the addition of TCM, while the protozoal population, in both entodiniomorph and holotrich, was reduced (p < 0.05). The supplementation of TCM did not change the concentration of total volatile fatty acids (TVFA), acetic acid, or butyric acid, while the propionic acid concentration at 4-h post feeding increased significantly, especially when supplemented at 16 g/kg of total DM intake (p < 0.05. In addition, urinary nitrogen (N) excretion decreased, while fecal N excretion, N absorption, N retention, and the proportion of N retention to N intake increased with the inclusion of TCM at all levels. In summary, the inclusion of TCM could improve rumen fermentation efficiency and N balance without having an adverse effect on feed intake, nutrient digestibility, and rumen ecology; however, the protozoal population decreased. Therefore, this study suggests that TCM (16 g/kg of total DM intake) could be used as a plant source for rumen enhancement in goats fed a diet based on rice straw without having an adverse effect on feed intake or nutrient digestion. However, further studies on the production of types of meat and milk that have a long-term feeding trial should be carried out. Full article
22 pages, 7033 KB  
Article
Hepatitis C Virus NS3/4A Inhibition and Host Immunomodulation by Tannins from Terminalia chebula: A Structural Perspective
by Vishal S. Patil, Darasaguppe R. Harish, Umashankar Vetrivel, Subarna Roy, Sanjay H. Deshpande and Harsha V. Hegde
Molecules 2022, 27(3), 1076; https://doi.org/10.3390/molecules27031076 - 5 Feb 2022
Cited by 23 | Viewed by 5225
Abstract
Terminalia chebula Retz. forms a key component of traditional folk medicine and is also reported to possess antihepatitis C virus (HCV) and immunomodulatory activities. However, information on the intermolecular interactions of phytochemicals from this plant with HCV and human proteins are yet to [...] Read more.
Terminalia chebula Retz. forms a key component of traditional folk medicine and is also reported to possess antihepatitis C virus (HCV) and immunomodulatory activities. However, information on the intermolecular interactions of phytochemicals from this plant with HCV and human proteins are yet to be established. Thus, by this current study, we investigated the HCV NS3/4A inhibitory and host immune-modulatory activity of phytocompounds from T. chebula through in silico strategies involving network pharmacology and structural bioinformatics techniques. To start with, the phytochemical dataset of T. chebula was curated from biological databases and the published literature. Further, the target ability of the phytocompounds was predicted using BindingDB for both HCV NS3/4A and other probable host targets involved in the immune system. Further, the identified targets were docked to the phytochemical dataset using AutoDock Vina executed through the POAP pipeline. The resultant docked complexes with significant binding energy were subjected to 50 ns molecular dynamics (MD) simulation in order to infer the stability of complex formation. During network pharmacology analysis, the gene set pathway enrichment of host targets was performed using the STRING and Reactome pathway databases. Further, the biological network among compounds, proteins, and pathways was constructed using Cytoscape 3.6.1. Furthermore, the druglikeness, side effects, and toxicity of the phytocompounds were also predicted using the MolSoft, ADVERpred, and PreADMET methods, respectively. Out of 41 selected compounds, 10 were predicted to target HCV NS3/4A and also to possess druglike and nontoxic properties. Among these 10 molecules, Chebulagic acid and 1,2,3,4,6-Pentagalloyl glucose exhibited potent HCV NS3/4A inhibitory activity, as these scored a lowest binding energy (BE) of −8.6 kcal/mol and −7.7 kcal/mol with 11 and 20 intermolecular interactions with active site residues, respectively. These findings are highly comparable with Asunaprevir (known inhibitor of HCV NS3/4A), which scored a BE of −7.4 kcal/mol with 20 key intermolecular interactions. MD studies also strongly suggest that chebulagic acid and 1,2,3,4,6-Pentagalloyl glucose as promising leads, as these molecules showed stable binding during 50 ns of production run. Further, the gene set enrichment and network analysis of 18 protein targets prioritized 10 compounds and were predicted to potentially modulate the host immune system, hemostasis, cytokine levels, interleukins signaling pathways, and platelet aggregation. On overall analysis, this present study predicts that tannins from T. chebula have a potential HCV NS3/4A inhibitory and host immune-modulatory activity. However, further experimental studies are required to confirm the efficacies. Full article
(This article belongs to the Special Issue Integrative Computational Strategies for Drug Screening)
Show Figures

Figure 1

19 pages, 1618 KB  
Article
Large-Scale Screening of 239 Traditional Chinese Medicinal Plant Extracts for Their Antibacterial Activities against Multidrug-Resistant Staphylococcus aureus and Cytotoxic Activities
by Gowoon Kim, Ren-You Gan, Dan Zhang, Arakkaveettil Kabeer Farha, Olivier Habimana, Vuyo Mavumengwana, Hua-Bin Li, Xiao-Hong Wang and Harold Corke
Pathogens 2020, 9(3), 185; https://doi.org/10.3390/pathogens9030185 - 4 Mar 2020
Cited by 42 | Viewed by 8259
Abstract
Novel alternative antibacterial compounds have been persistently explored from plants as natural sources to overcome antibiotic resistance leading to serious foodborne bacterial illnesses. In this study, the ethanolic extracts from 239 traditional Chinese medicinal plants (TCMP)’ materials were screened to discover promising candidates [...] Read more.
Novel alternative antibacterial compounds have been persistently explored from plants as natural sources to overcome antibiotic resistance leading to serious foodborne bacterial illnesses. In this study, the ethanolic extracts from 239 traditional Chinese medicinal plants (TCMP)’ materials were screened to discover promising candidates that have strong antibacterial properties against multidrug-resistant Staphylococcus (S.) aureus and low cytotoxicity. The results revealed that 74 extracts exhibited good antibacterial activities (diameter of inhibition zone (DIZ) ≥ 15 mm). Furthermore, 18 extracts (DIZ ≥ 20 mm) were determined their minimum inhibitory concentrations (MIC) and minimum bactericide concentrations (MBC), ranging from 0.1 to 12.5 mg/mL and 0.78 to 25 mg/mL, respectively. In addition, most of the 18 extracts showed relatively low cytotoxicity (a median lethal concentration (LC50) >100 µg/mL). The 18 extracts were further determined to estimate possible correlation of their phenolic contents with antibacterial activity, and the results did not show any significant correlation. In conclusion, this study selected out some promising antibacterial TCMP extracts with low cytotoxicity, including Rhus chinensis Mill., Ilex rotunda Thunb., Leontice kiangnanensis P.L.Chiu, Oroxylum indicum Vent., Isatis tinctorial L., Terminalia chebula Retz., Acacia catechu (L.f.) Willd., Spatholobus suberectus Dunn, Rabdosia rubescens (Hemsl.) H.Hara, Salvia miltiorrhiza Bunge, Fraxinus fallax Lingelsh, Coptis chinensis Franch., Agrimonia Pilosa Ledeb., and Phellodendron chinense C.K.Schneid. Full article
(This article belongs to the Section Waterborne/Foodborne/Airborne Pathogens)
Show Figures

Figure 1

16 pages, 909 KB  
Article
Antibacterial Activities, Phytochemical Screening and Metal Analysis of Medicinal Plants: Traditional Recipes Used against Diarrhea
by Nasir Mahmood, Ruqia Nazir, Muslim Khan, Abdul Khaliq, Mohammad Adnan, Mohib Ullah and Hongyi Yang
Antibiotics 2019, 8(4), 194; https://doi.org/10.3390/antibiotics8040194 - 24 Oct 2019
Cited by 20 | Viewed by 7473
Abstract
The aim of this study was to explore the phytochemical composition, heavy metals analysis and the antibacterial activity of six medicinal plants i.e., Terminalia chebula Retz (fruits), Aegle marmelos L., (fruits), Curcuma longa L., (rhizomes), Syzygium aromaticum L., (flower buds), Piper nigrum L., [...] Read more.
The aim of this study was to explore the phytochemical composition, heavy metals analysis and the antibacterial activity of six medicinal plants i.e., Terminalia chebula Retz (fruits), Aegle marmelos L., (fruits), Curcuma longa L., (rhizomes), Syzygium aromaticum L., (flower buds), Piper nigrum L., (seeds), Cinnamomum cassia L., (barks) and its two remedial recipes (recipe 1 and 2) used against diarrhea obtained from the local herbal practitioners (Hakeems). A preliminary phytochemical screening of the above-mentioned plants extract in methanol, chloroform, n-hexane and distilled water revealed the presence of various constituents such as alkaloids, flavonoids, tannins and saponins by using standard procedures. The quantitative phytochemical studies shows that alkaloids, flavonoid and saponins were in maximum amount in Terminalia chebula. The concentration of Cd, Ni, Pb, Fe, Cr, Cu and Zn were investigated by using an atomic absorption spectrometer. The obtained analysis shows that Cr, Fe and Pb were present in the highest concentration in medicinal plants and their recipes. The antibacterial activities of the crude extract found in the recipes of methanol, chloroform, n-hexane and distilled water were analyzed by using agar well disc diffusion assay and minimum inhibitory concentration (MIC) by broth dilution method against four bacterial strains, namely, E. coli, Salmonella, Shigella and Methicillin-resistant Staphylococcus aureus (MRSA), respectively. The maximum zones of inhibition in methanol, water, chloroform and n-hexane extracts were seen in recipe 2 against Shigella (22.16 ± 0.47 mm), recipe 2 against Shigella (20.33 ± 0.24 mm), recipe 1 against Shigella (20.30 ± 0.29 mm) and recipe 2 against E. coli (30.23 ± 0.12 mm), respectively. Furthermore, the recipe extracts are more active against the tested bacterial strains than the extracts from individual plants. Therefore, it is concluded that the use of herbal plants and their recipes are the major source of drugs in a traditional medicinal system to cure different diseases. Full article
(This article belongs to the Special Issue Natural Compounds as Antimicrobial Agents)
Show Figures

Figure 1

Back to TopTop