1,3,6-Trigalloylglucose: A Novel Potent Anti-Helicobacter pylori Adhesion Agent Derived from Aqueous Extracts of Terminalia chebula Retz
Abstract
1. Introduction
2. Results
2.1. Identification of Compound 3
2.2. 1,3,6-Trigalloylglucose Possessed Anti-HP Activity Rather than Bactericidal Activity
2.3. 1,3,6-Trigalloylglucose Significantly Damaged the Bacterial Structure
2.4. 1,3,6-Trigalloylglucose Inhibited the Growth of HP Strain ATCC 700392
2.5. 1,3,6-Trigalloylglucose Repressed the Cag A Protein
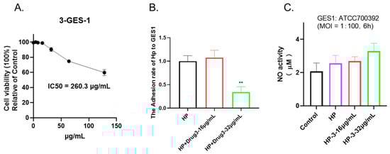
2.6. 1,3,6-Trigalloylglucose Has No Significant Impact on Normal Epithelial Cells GES-1
2.7. 1,3,6-Trigalloylglucose Acts as an Anti-Adhesive Agent In Vitro but Does Not Affect No Activity
3. Discussion
4. Materials and Methods
4.1. Reagents
4.2. Terminalia chebula Retz Aqueous Extract Preparation
4.3. The Preparation Process of the Compound by Semi-Preparative LC System
4.4. Ultra-High-Performance Liquid Chromatography-MS/MS (UPLC-MS/MS)
4.5. Nuclear Magnetic Resonance (NMR) Identification
4.6. HP Culture, Cell Culture, and Co-Culture
4.7. MIC Assay and Minimum Bactericidal Concentration (MBC) Assay
4.8. Scanning Electron Microscope (SEM)
4.9. Inhibiting Kinetics Curves
4.10. Nitric Oxide (NO) Activity
4.11. Urea Fast Test
4.12. Cell Viability
4.13. Cell Adhesion Activity
4.14. Western Blot
4.15. Statistical Analysis
5. Conclusions
Supplementary Materials
Author Contributions
Funding
Institutional Review Board Statement
Informed Consent Statement
Data Availability Statement
Acknowledgments
Conflicts of Interest
References
- Bravo, D.; Hoare, A.; Soto, C.; Valenzuela, M.A.; Quest, A.F. Helicobacter pylori in human health and disease: Mechanisms for local gastric and systemic effects. World J. Gastroenterol. 2018, 24, 3071–3089. [Google Scholar] [CrossRef] [PubMed]
- Salih, B.A. Helicobacter pylori infection in developing countries: The burden for how long? Saudi J. Gastroenterol. 2009, 15, 201–207. [Google Scholar] [CrossRef] [PubMed]
- Kayali, S.; Manfredi, M.; Gaiani, F.; Bianchi, L.; Bizzarri, B.; Leandro, G.; Di Mario, F.; De’Angelis, G.L. Helicobacter pylori, transmission routes and recurrence of infection: State of the art. Acta Biomed. 2018, 89, 72–76. [Google Scholar] [CrossRef] [PubMed]
- Lindkvist, P.; Wadstrom, T.; Giesecke, J. Helicobacter pylori infection and foreign travel. J. Infect. Dis. 1995, 172, 1135–1136. [Google Scholar] [CrossRef] [PubMed]
- Aziz, R.K.; Khalifa, M.M.; Sharaf, R.R. Contaminated water as a source of Helicobacter pylori infection: A review. J. Adv. Res. 2015, 6, 539–547. [Google Scholar] [CrossRef] [PubMed]
- Soares, G.A.S.; Moraes, F.A.S.; Ramos, A.; Santiago, S.B.; Germano, J.N.; Fernandes, G.A.; Curado, M.P.; Barbosa, M.S. Dietary habits and Helicobacter pylori infection: Is there an association? Ther. Adv. Gastroenterol. 2023, 16, 17562848231160620. [Google Scholar] [CrossRef]
- Baker, K.H.; Hegarty, J.P. Presence of Helicobacter pylori in drinking water is associated with clinical infection. Scand. J. Infect. Dis. 2001, 33, 744–746. [Google Scholar] [CrossRef]
- Kheyre, H.; Morais, S.; Ferro, A.; Costa, A.R.; Norton, P.; Lunet, N.; Peleteiro, B. The occupational risk of Helicobacter pylori infection: A systematic review. Int. Arch. Occup. Environ Health 2018, 91, 657–674. [Google Scholar] [CrossRef]
- Kotilea, K.; Bontems, P.; Touati, E. Epidemiology, Diagnosis and Risk Factors of Helicobacter pylori Infection. Adv. Exp. Med. Biol. 2019, 1149, 17–33. [Google Scholar] [CrossRef]
- Kuo, Y.C.; Yu, L.Y.; Wang, H.Y.; Chen, M.J.; Wu, M.S.; Liu, C.J.; Lin, Y.C.; Shih, S.C.; Hu, K.C. Effects of Helicobacter pylori infection in gastrointestinal tract malignant diseases: From the oral cavity to rectum. World J. Gastrointest. Oncol. 2022, 14, 55–74. [Google Scholar] [CrossRef]
- Joob, B.; Wiwanitkit, V. Helicobacter pylori infection, chronic kidney disease, and peptic ulcer disease. J. Chin. Med. Assoc. 2014, 77, 656. [Google Scholar] [CrossRef][Green Version]
- Park, J.B.; Koo, J.S. Helicobacter pylori infection in gastric mucosa-associated lymphoid tissue lymphoma. World J. Gastroenterol. 2014, 20, 2751–2759. [Google Scholar] [CrossRef]
- Hu, Q.; Zhang, Y.; Zhang, X.; Fu, K. Gastric mucosa-associated lymphoid tissue lymphoma and Helicobacter pylori infection: A review of current diagnosis and management. Biomark. Res. 2016, 4, 15. [Google Scholar] [CrossRef]
- Mekonnen, H.D.; Fisseha, H.; Getinet, T.; Tekle, F.; Galle, P.R. Helicobacter pylori Infection as a Risk Factor for Hepatocellular Carcinoma: A Case-Control Study in Ethiopia. Int. J. Hepatol. 2018, 2018, 1941728. [Google Scholar] [CrossRef]
- Gravina, A.G.; Priadko, K.; Ciamarra, P.; Granata, L.; Facchiano, A.; Miranda, A.; Dallio, M.; Federico, A.; Romano, M. Extra-Gastric Manifestations of Helicobacter pylori Infection. J. Clin. Med. 2020, 9, 3887. [Google Scholar] [CrossRef]
- Park, A.M.; Tsunoda, I. Helicobacter pylori infection in the stomach induces neuroinflammation: The potential roles of bacterial outer membrane vesicles in an animal model of Alzheimer’s disease. Inflamm. Regen. 2022, 42, 39. [Google Scholar] [CrossRef] [PubMed]
- Aramouni, K.; Assaf, R.K.; Azar, M.; Jabbour, K.; Shaito, A.; Sahebkar, A.; Eid, A.A.; Rizzo, M.; Eid, A.H. Infection with Helicobacter pylori may predispose to atherosclerosis: Role of inflammation and thickening of intima-media of carotid arteries. Front. Pharmacol. 2023, 14, 1285754. [Google Scholar] [CrossRef]
- Noori, M.; Mahboobi, R.; Nabavi-Rad, A.; Jamshidizadeh, S.; Fakharian, F.; Yadegar, A.; Zali, M.R. Helicobacter pylori infection contributes to the expression of Alzheimer’s disease-associated risk factors and neuroinflammation. Heliyon 2023, 9, e19607. [Google Scholar] [CrossRef]
- Kotilea, K.; Iliadis, E.; Nguyen, J.; Salame, A.; Mahler, T.; Miendje Deyi, V.Y.; Bontems, P. Antibiotic resistance, heteroresistance, and eradication success of Helicobacter pylori infection in children. Helicobacter 2023, 28, e13006. [Google Scholar] [CrossRef] [PubMed]
- Smith, S.I.; Yamaoka, Y. Antibiotic Resistance and Therapy for Helicobacter pylori Infection. Antibiotics 2023, 12, 1669. [Google Scholar] [CrossRef] [PubMed]
- Setshedi, M.; Smith, S.I. Helicobacter pylori Infection: Antibiotic Resistance and Solutions for Effective Management in Africa. Antibiotics 2023, 12, 969. [Google Scholar] [CrossRef]
- Schubert, J.P.; Ingram, P.R.; Warner, M.S.; Rayner, C.K.; Roberts-Thomson, I.C.; Costello, S.P.; Bryant, R.V. Refractory Helicobacter pylori infection in Australia: Updated multicentre antimicrobial resistance. Intern. Med. J. 2023, 53, 1972–1978. [Google Scholar] [CrossRef] [PubMed]
- Malfertheiner, P.; Camargo, M.C.; El-Omar, E.; Liou, J.M.; Peek, R.; Schulz, C.; Smith, S.I.; Suerbaum, S. Helicobacter pylori infection. Nat. Rev. Dis. Primers 2023, 9, 19. [Google Scholar] [CrossRef] [PubMed]
- Dascalu, R.I.; Bolocan, A.; Paduaru, D.N.; Constantinescu, A.; Mitache, M.M.; Stoica, A.D.; Andronic, O. Multidrug resistance in Helicobacter pylori infection. Front. Microbiol. 2023, 14, 1128497. [Google Scholar] [CrossRef]
- Fauzia, K.A.; Tuan, V.P. Rising resistance: Antibiotic choices for Helicobacter pylori infection. Lancet Gastroenterol. Hepatol. 2024, 9, 7–8. [Google Scholar] [CrossRef] [PubMed]
- Lin, J.; Huang, W.W. A systematic review of treating Helicobacter pylori infection with Traditional Chinese Medicine. World J. Gastroenterol. 2009, 15, 4715–4719. [Google Scholar] [CrossRef]
- Li, R.J.; Dai, Y.Y.; Qin, C.; Huang, G.R.; Qin, Y.C.; Huang, Y.Y.; Huang, Z.S.; Luo, X.K.; Huang, Y.Q. Application of traditional Chinese medicine in treatment of Helicobacter pylori infection. World J. Clin. Cases 2021, 9, 10781–10791. [Google Scholar] [CrossRef]
- Zhong, M.F.; Li, J.; Liu, X.L.; Gong, P.; Zhang, X.T. TCM-Based Therapy as a Rescue Therapy for Re-Eradication of Helicobacter pylori Infection: A Systematic Review and Meta-Analysis. Evid. Based Complement. Altern. Med. 2022, 2022, 5626235. [Google Scholar] [CrossRef]
- Ou, L.; Liu, H.R.; Shi, X.Y.; Peng, C.; Zou, Y.J.; Jia, J.W.; Li, H.; Zhu, Z.X.; Wang, Y.H.; Su, B.M.; et al. Terminalia chebula Retz. aqueous extract inhibits the Helicobacter pylori-induced inflammatory response by regulating the inflammasome signaling and ER-stress pathway. J. Ethnopharmacol. 2024, 320, 117428. [Google Scholar] [CrossRef]
- Zhang, Y.; DeWitt, D.L.; Murugesan, S.; Nair, M.G. Novel lipid-peroxidation- and cyclooxygenase-inhibitory tannins from Picrorhiza kurroa seeds. Chem. Biodivers 2004, 1, 426–441. [Google Scholar] [CrossRef]
- Lee, D.Y.; Kim, H.W.; Yang, H.; Sung, S.H. Hydrolyzable tannins from the fruits of Terminalia chebula Retz and their alpha-glucosidase inhibitory activities. Phytochemistry 2017, 137, 109–116. [Google Scholar] [CrossRef] [PubMed]
- Nigam, M.; Mishra, A.P.; Adhikari-Devkota, A.; Dirar, A.I.; Hassan, M.M.; Adhikari, A.; Belwal, T.; Devkota, H.P. Fruits of Terminalia chebula Retz.: A review on traditional uses, bioactive chemical constituents and pharmacological activities. Phytother. Res. 2020, 34, 2518–2533. [Google Scholar] [CrossRef] [PubMed]
- Vu, D.C.; Vo, P.H.; Coggeshall, M.V.; Lin, C.H. Identification and Characterization of Phenolic Compounds in Black Walnut Kernels. J. Agric. Food Chem. 2018, 66, 4503–4511. [Google Scholar] [CrossRef] [PubMed]
- Wang, Z.; Zhang, Y.; Yan, H. In situ net fishing of alpha-glucosidase inhibitors from evening primrose (Oenothera biennis) defatted seeds by combination of LC-MS/MS, molecular networking, affinity-based ultrafiltration, and molecular docking. Food Funct. 2022, 13, 2545–2558. [Google Scholar] [CrossRef]
- Binette, V.; Cote, S.; Haddad, M.; Nguyen, P.T.; Belanger, S.; Bourgault, S.; Ramassamy, C.; Gaudreault, R.; Mousseau, N. Corilagin and 1,3,6-Tri-O-galloy-beta-D-glucose: Potential inhibitors of SARS-CoV-2 variants. Phys. Chem. Chem. Phys. 2021, 23, 14873–14888. [Google Scholar] [CrossRef]
- Shen, X.; Zhang, W.; Peng, C.; Yan, J.; Chen, P.; Jiang, C.; Yuan, Y.; Chen, D.; Zhu, W.; Yao, M. In vitro anti-bacterial activity and network pharmacology analysis of Sanguisorba officinalis L. against Helicobacter pylori infection. Chin. Med. 2021, 16, 33. [Google Scholar] [CrossRef]






| Method | Results |
|---|---|
| UPLC-MS/MS | m/z: 635.0880 [M-H]− |
| 1H | Chemical shift(δ): 3.77 (dd, 1H, Glc H-C(2)); 3.79 (dd, 1H, Glc H-C(4)); 3.88 (ddd, 1H, Glc H-C(5)); 4.46 (dd, 1H, Glc Ha-C(6)); 4.59 (dd, 1H, Glc Hb-C(6)); 5.28 (t, 1H, Glc H-C(3)); 5.82 (d, 1H, Glc H-C(1)); 7.09 (s, 2 H, Gal3 H-C(2,6)); 7.14 (s, 2 H, Gal2 H-C(2,6)); 7.16 (s, 2 H, Gal1 H-C(2,6)). |
| 13C | Chemical shift(δ): 64.27 (Glc C(6)); 69.75 (Glc C(5)); 72.67 (Glc C(4)); 76.45 (Glc C(3)); 78.97 (Glc C(2)); 95.92 (Glc C(1)); 110.65, 110.45, 110.25 (3 C(2,6) of Gal); 121.66, 121.31, 120.53 (3C(1)of Gal); 140.51, 139.94, 139.83 (3C(4)of Gal); 146.56, 146.52, 146.46 (3C(3,5) of Gal); 168.27, 168.17, 166.88 (3 C=O). |
| HP Strains | MIC (µg/mL) | MBC (µg/mL) |
|---|---|---|
| ATCC 700392 | 32 | >256 |
| ATCC 43504 | 32 | - |
| CS01 | 128 | - |
| QYZ003 | 16 | - |
| QYZ004 | 32 | >256 |
Disclaimer/Publisher’s Note: The statements, opinions and data contained in all publications are solely those of the individual author(s) and contributor(s) and not of MDPI and/or the editor(s). MDPI and/or the editor(s) disclaim responsibility for any injury to people or property resulting from any ideas, methods, instructions or products referred to in the content. |
© 2024 by the authors. Licensee MDPI, Basel, Switzerland. This article is an open access article distributed under the terms and conditions of the Creative Commons Attribution (CC BY) license (https://creativecommons.org/licenses/by/4.0/).
Share and Cite
Ou, L.; Zhu, Z.; Hao, Y.; Li, Q.; Liu, H.; Chen, Q.; Peng, C.; Zhang, C.; Zou, Y.; Jia, J.; et al. 1,3,6-Trigalloylglucose: A Novel Potent Anti-Helicobacter pylori Adhesion Agent Derived from Aqueous Extracts of Terminalia chebula Retz. Molecules 2024, 29, 1161. https://doi.org/10.3390/molecules29051161
Ou L, Zhu Z, Hao Y, Li Q, Liu H, Chen Q, Peng C, Zhang C, Zou Y, Jia J, et al. 1,3,6-Trigalloylglucose: A Novel Potent Anti-Helicobacter pylori Adhesion Agent Derived from Aqueous Extracts of Terminalia chebula Retz. Molecules. 2024; 29(5):1161. https://doi.org/10.3390/molecules29051161
Chicago/Turabian StyleOu, Ling, Zhixiang Zhu, Yajie Hao, Qingwei Li, Hengrui Liu, Qingchang Chen, Chang Peng, Chuqiu Zhang, Yuanjing Zou, Junwei Jia, and et al. 2024. "1,3,6-Trigalloylglucose: A Novel Potent Anti-Helicobacter pylori Adhesion Agent Derived from Aqueous Extracts of Terminalia chebula Retz" Molecules 29, no. 5: 1161. https://doi.org/10.3390/molecules29051161
APA StyleOu, L., Zhu, Z., Hao, Y., Li, Q., Liu, H., Chen, Q., Peng, C., Zhang, C., Zou, Y., Jia, J., Li, H., Wang, Y., Su, B., Lai, Y., Chen, M., Chen, H., Feng, Z., Zhang, G., & Yao, M. (2024). 1,3,6-Trigalloylglucose: A Novel Potent Anti-Helicobacter pylori Adhesion Agent Derived from Aqueous Extracts of Terminalia chebula Retz. Molecules, 29(5), 1161. https://doi.org/10.3390/molecules29051161

