Sign in to use this feature.

Years

Between: -

Subjects

remove_circle_outline
remove_circle_outline
remove_circle_outline
remove_circle_outline
remove_circle_outline
remove_circle_outline
remove_circle_outline
remove_circle_outline
remove_circle_outline

Journals

remove_circle_outline
remove_circle_outline
remove_circle_outline
remove_circle_outline
remove_circle_outline
remove_circle_outline
remove_circle_outline

Article Types

Countries / Regions

remove_circle_outline
remove_circle_outline
remove_circle_outline
remove_circle_outline
remove_circle_outline

Search Results (292)

Search Parameters:
Keywords = SlAN2-like

Order results
Result details
Results per page
Select all
Export citation of selected articles as:
25 pages, 5525 KB  
Article
Identification of Novel JAK2 Inhibitors from Amino Derivatives of Epoxyalantolactone: In Silico and In Vitro Studies
by Duangjai Todsaporn, Kamonpan Sanachai, Chanat Aonbangkhen, Rungtiva P. Poo-arporn, Victor Kartsev, Sergey Pukhov, Svetlana Afanasyeva, Athina Geronikaki and Thanyada Rungrotmongkol
Int. J. Mol. Sci. 2026, 27(1), 329; https://doi.org/10.3390/ijms27010329 (registering DOI) - 28 Dec 2025
Abstract
Janus kinase 2 (JAK2) is a key mediator of oncogenic signaling and a promising therapeutic target in cervical cancer. This study employed a combination of in silico and in vitro approach to discover sesquiterpene lactone (SL) derivatives with JAK2 inhibitory activity. [...] Read more.
Janus kinase 2 (JAK2) is a key mediator of oncogenic signaling and a promising therapeutic target in cervical cancer. This study employed a combination of in silico and in vitro approach to discover sesquiterpene lactone (SL) derivatives with JAK2 inhibitory activity. Molecular docking of forty SL derivatives, followed by drug-likeness and toxicity prediction, led to the selection of six candidates for synthesis and biological evaluation. Among these, SL10 (12.7 nM) and SL35 (21.7 nM) demonstrated potent JAK2 inhibition and exhibited selective cytotoxicity toward HeLa cervical cancer cells, outperforming ruxolitinib. Flow cytometry confirmed apoptosis induction and ROS elevation, suggesting ROS-mediated cytotoxic mechanisms. The 1 µs MD simulations demonstrated that both hydrogen bonding and hydrophobic interactions are critical determinants in stabilizing potent SLs–JAK2 complexes. These findings support SL10 and SL35 as promising scaffolds for further development of JAK2-targeted therapies in cervical cancer. Full article
(This article belongs to the Section Molecular Informatics)
Show Figures

Figure 1

29 pages, 3252 KB  
Article
Metagenomic and Proxy Monitoring of Surfactant Degradation by Microbial Consortia from Oil-Contaminated Soil
by Morena India Mokoena, Rosina Nkuna and Tonderayi Sylvester Matambo
Appl. Microbiol. 2026, 6(1), 3; https://doi.org/10.3390/applmicrobiol6010003 - 24 Dec 2025
Viewed by 89
Abstract
Surfactants are harmful, persistent pollutants that are often found in contaminated soils, wastewater, and industrial effluents in complex mixes. Due to their chemical diversity and persistence, they present a bioremediation challenge. Using long-read shotgun metagenomics, 16S rRNA amplicon sequencing, PICRUSt2 functional prediction, and [...] Read more.
Surfactants are harmful, persistent pollutants that are often found in contaminated soils, wastewater, and industrial effluents in complex mixes. Due to their chemical diversity and persistence, they present a bioremediation challenge. Using long-read shotgun metagenomics, 16S rRNA amplicon sequencing, PICRUSt2 functional prediction, and physicochemical proxies (total organic carbon, dissolved oxygen, chemical oxygen demand, foaming activity, etc.), this study investigated the aerobic biodegradation of SDS, SLS, rhamnolipids, Triton X-100, and CTAB (individually/mixed, 4% w/v) by microbial consortia enriched from oil-contaminated soil for 14 days. Pseudomonadota was dominant (85–90%), with Pseudomonas (60%) driving SLS and SDS degradation, while Paraburkholderia and Bordetella were dominant in recalcitrant surfactant degradation. Among the surfactants, SLS, rhamnolipids, and the combination of all surfactants demonstrated higher degradation by virtue of total organic carbon reductions of 50%, 56%, and 50%, respectively, and a foaming activity decline of 45–64%. The combination of surfactants with CTAB showed a 21% reduction in TOC, most likely due to CTAB’s known bactericidal effects. PICRUSt2 showed differential enrichment in alkyl oxidation, sulfate ester hydrolysis, aromatic ring cleavage, and fatty acid/sulfur genes and pathways. This study establishes inexpensive, scalable proxy indicators for monitoring surfactant bioremediation when direct metabolite analysis is impractical. Full article
Show Figures

Figure 1

16 pages, 2623 KB  
Article
Transcriptomics Analysis Reveals an Early Response Gene SlNSP-like Involved in Solanum lycopersicum Response to DC3000 Infection
by Junqing Li, Mengjie Gu, Mengsen Yang, Huimin Tan, Wei Yang and Guanghui Qi
Curr. Issues Mol. Biol. 2026, 48(1), 11; https://doi.org/10.3390/cimb48010011 - 22 Dec 2025
Viewed by 175
Abstract
The hemibiotrophic bacterial pathogen Pseudomonas syringae (Pst) infects a range of plant species and causes enormous economic losses. Despite its agronomic significance, the molecular mechanisms underlying tomato–Pst interactions remain largely uncharacterized. To elucidate these mechanisms, we conducted a comprehensive transcriptomic [...] Read more.
The hemibiotrophic bacterial pathogen Pseudomonas syringae (Pst) infects a range of plant species and causes enormous economic losses. Despite its agronomic significance, the molecular mechanisms underlying tomato–Pst interactions remain largely uncharacterized. To elucidate these mechanisms, we conducted a comprehensive transcriptomic analysis using infected tomato leaves inoculated with virulent strains Pst DC3000 at relatively early time points. RNA-sequencing of nine libraries identified stage-specific expression patterns, with DEG counts ranging from 484 to 1267 upregulated and from 560 to 844 downregulated genes. Enrichment analysis highlighted significant alterations in metabolic pathways, plant–pathogen interaction networks, and hormone signaling cascades, with marked transcriptional reprogramming observed between the pre- and post-infection stages. A longitudinal analysis of gene expression dynamics identified 15 consistently upregulated and 9 downregulated genes across all post-inoculation time points. Notably, in several candidate genes, a homologous gene of AtNSP2, SlNSP-Like was confirmed to be involved in disease resistance in tomato leaves. SlNSP-Like is localized in the cytoplasm and nucleus, and the transient overexpression of SlNSP-Like tomato plant exhibits significant resistance to Pst DC3000. This study provides valuable insights into the molecular dialogue between tomato and Pst, and the identified regulatory genes and pathways serve as promising targets for breeding disease-resistant tomato cultivars and developing management strategies against bacterial spot disease. Full article
(This article belongs to the Special Issue Plant Hormones, Development, and Stress Tolerance)
Show Figures

Figure 1

11 pages, 696 KB  
Article
First Detection of Jingmen Tick Virus in Hard Ticks Collected Across Multiple Regions of Italy
by Silvia Fabi, Mariachiara Vardeu, Alex Martini, Elisa Franchin, Renata Fagundes-Moreira, Giulia Chiarello, Graziana Da Rold, Federica Gobbo, Federica Obber, Valentina Tagliapietra, Chiara Agostini, Arianna Breda, Elisabetta Valente, Valentina Chisu, Cipriano Foxi, Federica Cavaliere, Rokia Moretti, Annapaola Rizzoli, Ilaria Pascucci, Carlo Vittorio Citterio, Giovanna Masala, Fabrizio Montarsi, Claudia Del Vecchio, Ignazio Castagliuolo, Enrico Lavezzo and Cristiano Salataadd Show full author list remove Hide full author list
Viruses 2026, 18(1), 6; https://doi.org/10.3390/v18010006 - 19 Dec 2025
Viewed by 242
Abstract
Jingmen tick virus (JMTV) is a novel flavi-like virus first identified in 2010 in Rhipicephalus microplus in the Jingmen region of Hubei Province, China and has been reported in different Asian countries, Central and South America, Africa, and Europe. Beyond ticks, JMTV has [...] Read more.
Jingmen tick virus (JMTV) is a novel flavi-like virus first identified in 2010 in Rhipicephalus microplus in the Jingmen region of Hubei Province, China and has been reported in different Asian countries, Central and South America, Africa, and Europe. Beyond ticks, JMTV has been detected in a range of other arthropods and in vertebrate hosts. In humans, JMTV has been found in patients with Crimean-Congo hemorrhagic fever in Kosovo and Turkey, and in febrile patients with a history of tick bites in China, suggesting it may be a novel human pathogen. To investigate the presence of JMTV in Italy, we developed a One-step real-time RT-PCR assay and applied it to individually screen 1150 ticks collected from northeastern, central, and southern Italy. JMTV RNA was detected in multiple tick species, including Ixodes ricinus, Rhipicephalus bursa, Rhipicephalus sanguineus s.l., Dermacentor marginatus, and Hyalomma marginatum with a prevalence ranging from 0.52% to 18.42% in questing ticks. The detection of JMTV in ticks from all surveyed areas, indicates that the virus is geographically widespread in Italy. These findings highlight the need for comprehensive surveillance strategies to identify new areas of active virus circulation and to investigate the potential impact of JMTV on public health. Full article
(This article belongs to the Section Animal Viruses)
Show Figures

Graphical abstract

16 pages, 4485 KB  
Article
A Modeling Approach to Aggregated Noise Effects of Offshore Wind Farms in the Canary and North Seas
by Ion Urtiaga-Chasco and Alonso Hernández-Guerra
J. Mar. Sci. Eng. 2026, 14(1), 2; https://doi.org/10.3390/jmse14010002 - 19 Dec 2025
Viewed by 242
Abstract
Offshore wind farms (OWFs) represent an increasingly important renewable energy source, yet their environmental impacts, particularly underwater noise, require systematic study. Estimating the operational source level (SL) of a single turbine and predicting sound pressure levels (SPLs) at sensitive locations can be challenging. [...] Read more.
Offshore wind farms (OWFs) represent an increasingly important renewable energy source, yet their environmental impacts, particularly underwater noise, require systematic study. Estimating the operational source level (SL) of a single turbine and predicting sound pressure levels (SPLs) at sensitive locations can be challenging. Here, we integrate a turbine SL prediction algorithm with open-source propagation models in a Jupyter Notebook (version 7.4.7) to streamline aggregated SPL estimation for OWFs. Species-specific audiograms and weighting functions are included to assess potential biological impacts. The tool is applied to four planned OWFs, two in the Canary region and two in the Belgian and German North Seas, under conservative assumptions. Results indicate that at 10 m/s wind speed, a single turbine’s SL reaches 143 dB re 1 µPa in the one-third octave band centered at 160 Hz. Sensitivity analyses indicate that variations in wind speed can cause the operational source level at 160 Hz to increase by up to approximately 2 dB re 1 µPa2/Hz from the nominal value used in this study, while differences in sediment type can lead to transmission loss variations ranging from 0 to on the order of 100 dB, depending on bathymetry and range. Maximum SPLs of 112 dB re 1 µPa are predicted within OWFs, decreasing to ~50 dB re 1 µPa at ~100 km. Within OWFs, Low-Frequency (LF) cetaceans and Phocid Carnivores in Water (PCW) would likely perceive the noise; National Marine Fisheries Service (NMFS) marine mammals’ auditory-injury thresholds are not exceeded, but behavioral-harassment thresholds may be crossed. Outside the farms, only LF audiograms are crossed. In high-traffic North Sea regions, OWF noise is largely masked, whereas in lower-noise areas, such as the Canary Islands, it can exceed ambient levels, highlighting the importance of site-specific assessments, accurate ambient noise monitoring and propagation modeling for ecological impact evaluation. Full article
Show Figures

Figure 1

13 pages, 2181 KB  
Article
Association Between Stride Parameters and Racetrack Curvature for Thoroughbred Chuckwagon Horses
by Matthijs van den Broek, Zoe Y. S. Chan, Charlotte De Bruyne, Karelhia Garcia-Alamo, Sara Skotarek Loch and Thilo Pfau
Sensors 2025, 25(23), 7376; https://doi.org/10.3390/s25237376 - 4 Dec 2025
Viewed by 398
Abstract
Increased risk of musculoskeletal injury in galloping racehorses has been linked to decreased stride length and reduced speed over consecutive races prior to the injury. As racetrack curvature influences horses’ maximal speed, we hypothesized it also affects stride parameters. During training sessions, twenty-eight [...] Read more.
Increased risk of musculoskeletal injury in galloping racehorses has been linked to decreased stride length and reduced speed over consecutive races prior to the injury. As racetrack curvature influences horses’ maximal speed, we hypothesized it also affects stride parameters. During training sessions, twenty-eight wagon-pulling Thoroughbred Chuckwagon horses were equipped with Global Navigation Satellite System (GNSS) loggers, allowing for identification of speed, stride length (SL) and stride frequency (SF), and average speed, SL and SF were calculated for consecutive 100 m sections. Effects of curvature on speed were investigated with a linear mixed model with speed as output variable, curvature as fixed factor, and horse as random factor. Effects of curvature and speed on stride parameters were investigated with linear mixed models with output variables SL and SF, continuous covariates speed, curvature, and the two-way interaction between curvature and speed as fixed factors, and horse as random factor. Curvature was associated with a significant increase in speed (p = 0.004), decrease in SL (p < 0.001) and increase in SF (p < 0.001), and for SL and SF the magnitude of these effects was dependent on speed (p < 0.001). At a curvature of 60° per 100 m, an increase in speed of 0.264 m/s was found compared to the straight, although this effect is likely confounded by fatigue. At the median speed of 14.5 m/s and a curvature of 60° per 100 m, a SF increase of 0.053 Hz (+2.4%) and a SL reduction of 0.137 m (−2.1%) was found compared to the straight. This is in the same order of magnitude as the 0.10 m SL reduction over consecutive races previously associated with increased injury risk. We conclude that, in Chuckwagon horses, interactions between speed and curvature are affecting stride parameters that have previously been identified as predictors of musculoskeletal injuries. Full article
(This article belongs to the Section Navigation and Positioning)
Show Figures

Figure 1

16 pages, 3684 KB  
Article
Study on the Genomic Basis of Adaptation in Salsk Sheep
by Olga Lukonina, Siroj Bakoev, Yury Kolosov, Vagif Akhmedli, Ilona Bakoeva, Maria Kolosova, Alexandr Usatov, Anatoliy Kolosov and Lyubov Getmantseva
Biology 2025, 14(11), 1620; https://doi.org/10.3390/biology14111620 - 18 Nov 2025
Viewed by 374
Abstract
This study investigates the genetic architecture of Salsk sheep—a long-established Russian Merino-type breed from the southern steppes—highlighting their broad genetic diversity, resilience to cold and drought, and dual-purpose (wool and meat) productivity as a unique gene pool shaped by natural and artificial selection. [...] Read more.
This study investigates the genetic architecture of Salsk sheep—a long-established Russian Merino-type breed from the southern steppes—highlighting their broad genetic diversity, resilience to cold and drought, and dual-purpose (wool and meat) productivity as a unique gene pool shaped by natural and artificial selection. The study used data from 96 sheep. Genotyping was carried out on the Illumina Ovine Infinium® HD BeadChip platform, and after filtering, 511,145 SNPs were retained. We assessed population structure and genetic diversity using principal component analysis (PCA), Fst, and linkage disequilibrium (LD) in comparison with four reference European breeds. To detect selection signatures, we employed a combination of complementary methods, including intra-population statistics (iHS, nSL, iHH12) and inter-population comparisons (XP-EHH). This integrated approach identified genomic regions under positive selection, reflecting the breed’s evolutionary response to both natural and artificial selection pressures. Strong selection signals were detected in genes associated with production traits like fertility and growth (CCSER1, SOX6), as well as fundamental adaptive functions, including immune response (IL6R, NLRP1) and energy metabolism (ACSL5, FANCA). These results elucidate the genetic basis of the Salsk breed’s high resilience and highlight its potential as a valuable genetic resource for improving this trait in other sheep populations. Full article
Show Figures

Figure 1

19 pages, 7529 KB  
Article
LCB-Net: Long-Range Context and Box Distribution Network for Small Object Detection
by Yiguo Qiao, Yun Liang and Mingzhe Liu
Electronics 2025, 14(22), 4487; https://doi.org/10.3390/electronics14224487 - 17 Nov 2025
Viewed by 472
Abstract
Small object detection (SOD) remains a critical challenge in computer vision, with vital applications in areas like UAV inspection, autonomous driving, and medical image analysis. Existing methods are often limited by inadequate feature representation for small objects and insufficient utilization of contextual information. [...] Read more.
Small object detection (SOD) remains a critical challenge in computer vision, with vital applications in areas like UAV inspection, autonomous driving, and medical image analysis. Existing methods are often limited by inadequate feature representation for small objects and insufficient utilization of contextual information. To tackle these issues, this paper proposes a novel LCB-Net. First, we design a plug-and-play Saliency-guided Long-range Mamba (SL-Mamba) module, which leverages spatially attentive maps from shallow features to explicitly guide the model’s focus toward small target regions. This module captures long-range contextual dependencies through state space modeling and enhances local–global feature synergy via cross-scale fusion. Second, we introduce a Bounding Box Distribution Loss (BDL) that employs label distribution learning (LDL) to explicitly model localization ambiguity and improve accuracy. Extensive experiments on standard small object benchmarks such as VisDrone, WiderPerson, and NWPU-VHR-10 demonstrate that our approach achieves significant performance gains over strong baselines. Specifically, on the VisDrone dataset, it yields a 4.3% improvement in mAP@0.5:0.95. Furthermore, evaluations across small object benchmarks and the general-purpose MS-COCO dataset confirm that the proposed BDL consistently surpasses traditional IoU-based losses, including CIoU and ProbIoU, in localization tasks. Full article
(This article belongs to the Topic Recent Advances in Label Distribution Learning)
Show Figures

Figure 1

19 pages, 8462 KB  
Article
Characterization of a Novel Tomato R2R3-MYB Transcription Factor Gene, SlMYB306-like, Conferring Salt Tolerance in Arabidopsis
by Guohua Cai, Tianqi Chen, Wenjing Wang, Luming Wang, Zhaowei Yin, Jingrui He, Jiadong Gao and Guodong Wang
Biology 2025, 14(11), 1566; https://doi.org/10.3390/biology14111566 - 7 Nov 2025
Viewed by 534
Abstract
Soil salinization significantly limits plant growth and agricultural productivity, with MYB transcription factors playing crucial roles in mediating plant responses to salt stress. In this study, a novel R2R3-MYB transcription factor gene, SlMYB306-like, was isolated from tomato. Phylogenetic comparison indicated that SlMYB306-like [...] Read more.
Soil salinization significantly limits plant growth and agricultural productivity, with MYB transcription factors playing crucial roles in mediating plant responses to salt stress. In this study, a novel R2R3-MYB transcription factor gene, SlMYB306-like, was isolated from tomato. Phylogenetic comparison indicated that SlMYB306-like shared the highest sequence homology with potato StMYB306-like. Subcellular localization assays demonstrated nuclear localization of SlMYB306-like protein, while yeast transactivation assays confirmed its function as a transcriptional activator. Expression profiling showed that SlMYB306-like was inducible by NaCl and abscisic acid (ABA) treatments. In addition, functional characterization via the overexpression of SlMYB306-like in Arabidopsis thaliana revealed enhanced salt tolerance, evidenced by an increased maximum quantum efficiency of photosystem II (Fv/Fm) and proline levels alongside decreased accumulation of reactive oxygen species (ROS) and malondialdehyde (MDA) content under salt stress conditions. Furthermore, the overexpression of SlMYB306-like upregulated the expression of several stress-responsive genes, including AtSOD1, AtCAT1, AtEGY3, AtP5CS2, and AtRD29A. Collectively, these findings suggest that SlMYB306-like enhances salt tolerance by modulating ROS scavenging, osmotic adjustment, and ABA signaling pathways, thereby representing a promising candidate gene for the development of salt-tolerant crops. Full article
(This article belongs to the Section Biochemistry and Molecular Biology)
Show Figures

Figure 1

18 pages, 2927 KB  
Article
Bioinformatics Analysis of the Tomato SlPR5 Gene Family and the Thaumatin-like Protein SlPR5-3 Positively Regulates Tomato Resistance to Pst DC3000
by Xinyue Pang, Yue Wang, Binyu Jiang, Dalong Li, He Zhang, Dong Liu, Xiangyang Xu and Tingting Zhao
Plants 2025, 14(21), 3389; https://doi.org/10.3390/plants14213389 - 5 Nov 2025
Viewed by 525
Abstract
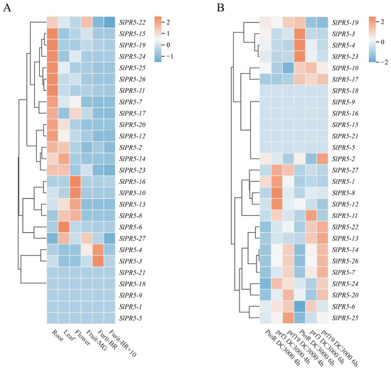
Studies on how SlPR5 genes are involved in Pst DC3000 disease resistance response are lacking. Here, 27 members of the tomato SlPR5 gene family were identified and analyzed. Analysis of conserved structural domains and promoter structure revealed that SlPR5 family members are structurally [...] Read more.
Studies on how SlPR5 genes are involved in Pst DC3000 disease resistance response are lacking. Here, 27 members of the tomato SlPR5 gene family were identified and analyzed. Analysis of conserved structural domains and promoter structure revealed that SlPR5 family members are structurally conserved and contain a variety of antidisease and antistress response elements. We screened out SlPR5-3, which was significantly upregulated, through an analysis of the expression pattern of Pst DC3000 in tomato after inoculation. We generated SlPR5-3 mutants via CRISPR/Cas9 gene editing and SlPR5-3-overexpressing tomato plants to elucidate the function of this gene. The results showed that the SlPR5-3 overexpression lines had reduced lesions, significantly lower pathogen counts, and significantly higher activity indexes of defense-related enzymes, while the mutant lines showed the opposite, indicating that the SlPR5-3 gene positively regulates the immune response against Pst DC3000 in tomato. In this study, we systematically mined and analyzed the tomato SlPR5 family genes, screened out the important genes in this family for the regulation of Pst DC3000 disease resistance, and verified the disease resistance regulatory function of SlPR5-3, laying the foundation for the theoretical study of tomato Pst DC3000 disease resistance and providing a new molecular target for the future breeding of tomato disease resistance. Full article
(This article belongs to the Section Plant Genetics, Genomics and Biotechnology)
Show Figures

Figure 1

16 pages, 1674 KB  
Article
Detection of West Nile Virus, Usutu Virus and Insect-Specific Bunyaviruses in Culex spp. Mosquitoes, Greece, 2024
by Katerina Tsioka, Konstantina Stoikou, Vasilis Antalis, Elissavet Charizani, Styliani Pappa, Sandra Gewehr, Stella Kalaitzopoulou, Spiros Mourelatos and Anna Papa
Viruses 2025, 17(11), 1414; https://doi.org/10.3390/v17111414 - 23 Oct 2025
Viewed by 766
Abstract
Greece is one of the countries in Europe most affected by West Nile virus (WNV), and since 2010, when the virus caused a large outbreak with 197 human neuroinvasive cases, outbreaks occur almost every year. Mosquito surveillance is an indirect sign of virus [...] Read more.
Greece is one of the countries in Europe most affected by West Nile virus (WNV), and since 2010, when the virus caused a large outbreak with 197 human neuroinvasive cases, outbreaks occur almost every year. Mosquito surveillance is an indirect sign of virus circulation; therefore, the purpose of the study was the molecular detection of WNV in 45,988 C. pipiens s.l. mosquitoes collected during 2024 in four Regions of Greece and the genetic characterization of the virus strains. WNV was detected in 41 of 1316 (3.12%) Culex spp. mosquito pools. Next-generation sequencing was applied to the WNV-positive samples that had a high viral load. All WNV sequences belong to Cluster B of the sub-lineage Europe WNV-2A presenting a temporal clustering. The WNV infection rates varied highly across the Regions, regional units and months, being higher in Thessaly and Central Macedonia Regions, especially in July and September. All mosquito pools were also tested for Usutu virus (USUV), and one pool was found positive, with sequence clustering into the EU-2 lineage. A subset of mosquitoes (737 pools) was tested for additional viruses, and bunya-like viruses were detected in 6 pools with sequences clustering into four distinct subclades. The prompt detection of pathogenic viruses is helpful for the design of control measures, while the detection of insect-specific viruses provides insights into viral diversity and evolution. Full article
(This article belongs to the Section Invertebrate Viruses)
Show Figures

Figure 1

24 pages, 3458 KB  
Article
Retrospective Analysis of Suspensory Ligament Branch Injuries in 70 Dressage Horses
by Ana Boado, Danica Pollard and Sue Dyson
Animals 2025, 15(21), 3079; https://doi.org/10.3390/ani15213079 - 23 Oct 2025
Viewed by 1011
Abstract
There are no studies that have investigated factors influencing the outcome of dressage horses with suspensory ligament (SL) branch injuries. The aim was to determine if age, breed, work level, injury severity, anatomical localisation of injury, number of injured branches, periligamentous fibrosis, persistence [...] Read more.
There are no studies that have investigated factors influencing the outcome of dressage horses with suspensory ligament (SL) branch injuries. The aim was to determine if age, breed, work level, injury severity, anatomical localisation of injury, number of injured branches, periligamentous fibrosis, persistence of power Doppler signal or coexistent osteoarthritis of a metacarpophalangeal (MCP) or metatarsophalangeal (MTP) joint influenced the prognosis of 70 dressage horses. Outcome was defined as good (return to pre-injury level of work or higher), poor (return to a lower level of work) or retirement. Chi-squared or Fisher’s exact test and the Kruskal–Wallis test were used to identify relationships between variables of interest and follow-up outcome. Follow-up outcome was good in 44/70 horses (62.9%), poor in 13/70 (18.6.%) and 13/70 horses (19.1%) were retired due to no response to treatment. Ultrasonographic lesion grade (p = 0.07), cross-sectional area (CSA) of the SL (p = 0.96), CSA of the lesion (p = 0.28) and the lesion CSA as a percentage of the SL CSA (p = 0.40) were not associated with outcome. Power Doppler signal was present in 75.8% of injured branches at the initial examination. The severity of power Doppler signal was not associated with outcome (p = 0.20); however, persistence of power Doppler signal was negatively associated with outcome (p < 0.001). Other variables did not influence the follow-up outcome. Early recognition of SL branch injury is likely to result in a more favourable outcome with appropriate treatment and management. Full article
(This article belongs to the Section Equids)
Show Figures

Figure 1

16 pages, 879 KB  
Article
International Tourism and Economic Growth: Exploring the Unexplored for the ASEAN Region
by Talal H. Alsabhan, Muhammad Tahir, Umar Burki, Talal F. Abuhulaibah, Zeyad K. Alnahedh and Mohammad Jaboob
Economies 2025, 13(10), 291; https://doi.org/10.3390/economies13100291 - 6 Oct 2025
Viewed by 1263
Abstract
International tourism has helped numerous economies and regions over the years in achieving the objective of long-term sustainable economic growth. The “Association of Southeast Asian Nations (ASEAN)” is the rising hub for international tourism due to its rich history, rich vibrant culture, pleasant [...] Read more.
International tourism has helped numerous economies and regions over the years in achieving the objective of long-term sustainable economic growth. The “Association of Southeast Asian Nations (ASEAN)” is the rising hub for international tourism due to its rich history, rich vibrant culture, pleasant weather conditions, and beautiful landscape. However, research evidence about the tourism-growth relationship in the context of ASEAN economies is indeed very scarce. Accordingly, this research paper focuses on the members of the ASEAN region to examine the true influence that international tourism has on economic growth. Relevant econometric technique such as the “Fixed Effects (FEF)” is chosen for analysis based on the Hausman test, “Feasible Generalized Least Squares (FGLS)” is used for robustness, and “Two Stages Least Squares (2SLS)” is employed for tackling the likely endogeneity issue. The results show that international tourism has contributed positively to the economic growth of the ASEAN economies. Similarly, openness to global trade and education have also helped the ASEAN economies in securing long run sustainable economic growth. Lastly, the inflation rate has decelerated the pace of economic growth, while government expenditures have accelerated the pace of economic growth among ASEAN members. Our empirical findings are robust to alternative model specifications and alternative econometric estimations. Therefore, we expect our empirical findings to help the policymakers of the ASEAN economies in developing suitable policy responses regarding the growth performance of their economies through the channel of international tourism. Full article
Show Figures

Figure 1

14 pages, 2044 KB  
Article
Molecular Characterization of Wilson’s Disease in Liver Transplant Patients: A Five-Year Single-Center Experience in Iran
by Zahra Beyzaei, Melika Majed, Seyed Mohsen Dehghani, Mohammad Hadi Imanieh, Ali Khazaee, Bita Geramizadeh and Ralf Weiskirchen
Diagnostics 2025, 15(19), 2504; https://doi.org/10.3390/diagnostics15192504 - 1 Oct 2025
Viewed by 849
Abstract
Background/Objectives: Wilson’s disease (WD) is an autosomal recessive disorder characterized by pathological copper accumulation, primarily in the liver and brain. Severe hepatic involvement can be effectively treated with liver transplantation (LT). Geographic variation in ATP7B mutations suggests the presence of regional patterns [...] Read more.
Background/Objectives: Wilson’s disease (WD) is an autosomal recessive disorder characterized by pathological copper accumulation, primarily in the liver and brain. Severe hepatic involvement can be effectively treated with liver transplantation (LT). Geographic variation in ATP7B mutations suggests the presence of regional patterns that may impact disease presentation and management. This study aims to investigate the genetic basis of WD in patients from a major LT center in Iran. Methods: A retrospective analysis was conducted on clinical, biochemical, and pathological data from patients suspected of WD who underwent evaluation for LT between May 2020 and June 2025 at Shiraz University of Medical Sciences. Genetic testing was carried out on 20 patients at the Shiraz Transplant Research Center (STRC). Direct mutation analysis of ATP7B was performed for all patients, and the results correlated with clinical and demographic information. Results: In total, 20 WD patients who underwent liver transplantation (15 males, 5 females) carried 25 pathogenic or likely pathogenic ATP7B variants, 21 of which were previously unreported. Fifteen patients were homozygous, and five were compound-heterozygous; all heterozygous combinations occurred in the offspring of second-degree consanguineous unions. Recurrent changes included p.L549V, p.V872E, and p.P992S/L, while two nonsense variants (p.E1293X, p.R1319X) predicted truncated proteins. Variants were distributed across copper-binding, transmembrane, phosphorylation, and ATP-binding domains, and in silico AlphaMissense scores indicate damaging effects for most novel substitutions. Post-LT follow-up showed biochemical normalization in the majority of recipients, with five deaths recorded during the study period. Conclusions: This single-center Iranian study reveals a highly heterogeneous ATP7B mutational landscape with a large proportion of novel population-specific variants and underscores the benefit of comprehensive gene sequencing for timely WD diagnosis and family counseling, particularly in regions with prevalent consanguinity. Full article
Show Figures

Figure 1

15 pages, 2808 KB  
Article
Extracellular Polymeric Substances Protect Chlorella sp. Against the Cadmium Stress
by Fangyuan Liu, Xingye Han, Zhengyang Wang, Xuefeng Zhao, Yibo Zhang and Hongmei Ge
Ecologies 2025, 6(4), 65; https://doi.org/10.3390/ecologies6040065 - 29 Sep 2025
Cited by 1 | Viewed by 936
Abstract
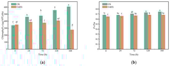
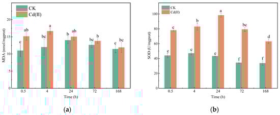
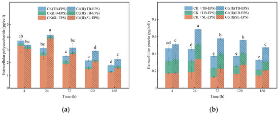
Extracellular polymeric substances (EPS) are secreted by microalgae and contribute to protecting cells from damage induced by cadmium (Cd) exposure. However, the response mechanism of Chlorella sp. to Cd(II) stress as well as associated changes in the chemical properties (including functional groups and [...] Read more.
Extracellular polymeric substances (EPS) are secreted by microalgae and contribute to protecting cells from damage induced by cadmium (Cd) exposure. However, the response mechanism of Chlorella sp. to Cd(II) stress as well as associated changes in the chemical properties (including functional groups and composition) of soluble EPS (SL-EPS), loosely bound EPS (LB-EPS), and tightly bound EPS (TB- EPS) in this microalga, remain unclear. This study aimed to investigate the role of EPS in enabling Chlorella sp. to resist Cd(II) stress. The results demonstrated that Cd(II) stress resulted in a significant inhibition of algal, chlorophyll a (Chl a) contents, and maximum photochemical quantum yield (Fv/Fm) of Chlorella sp., with 7 d EC30 of 6 mg/L. Nevertheless, Cd(II) exposure significantly increased both superoxide dismutase (SOD) activity and EPS content. Fourier transform infrared (FTIR) spectroscopic analysis revealed that differences existed in the functional groups involved in Cd(II) binding across algal cell density, SL-EPS, LB-EPS, and TB-EPS. The carboxyl group was identified as the most prominent functional group and were found to play a crucial role in the adsorption of Cd(II). Additionally, Tryptophan-like protein substance in EPS may be the main component binding with Cd(II) in Chlorella sp. This study indicated that Chlorella sp. resisted Cd(II) stress by increasing SOD activity and EPS content, with protein-like substance containing tryptophan proteins in EPS which could also contribute to protection against Cd stress. Full article
Show Figures

Figure 1

Back to TopTop