Sign in to use this feature.

Years

Between: -

Subjects

remove_circle_outline
remove_circle_outline
remove_circle_outline
remove_circle_outline
remove_circle_outline
remove_circle_outline
remove_circle_outline
remove_circle_outline
remove_circle_outline

Journals

Article Types

Countries / Regions

Search Results (233)

Search Parameters:
Keywords = STIM2

Order results
Result details
Results per page
Select all
Export citation of selected articles as:
20 pages, 1824 KB  
Review
Tubular Aggregate Myopathies: Genetic Heterogeneity and Diverse Clinical Features Converging on Calcium Dysregulation
by Matteo Serano, Federica Fiore, Vincenzo Sorrentino and Daniela Rossi
Cells 2026, 15(7), 635; https://doi.org/10.3390/cells15070635 - 1 Apr 2026
Viewed by 405
Abstract
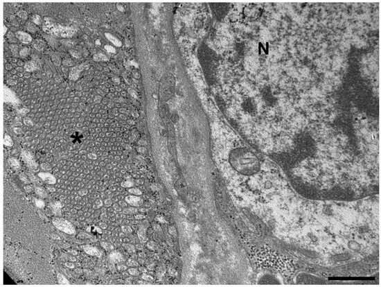
Tubular aggregate myopathy (TAM) is a rare inherited muscle disorder characterized by the abnormal accumulation of tubular aggregates (TAs) within skeletal muscle fibers. These aggregates, composed of compacted sarcoplasmic reticulum (SR) tubules, are strongly linked to disturbances in calcium (Ca2+) homeostasis. [...] Read more.
Tubular aggregate myopathy (TAM) is a rare inherited muscle disorder characterized by the abnormal accumulation of tubular aggregates (TAs) within skeletal muscle fibers. These aggregates, composed of compacted sarcoplasmic reticulum (SR) tubules, are strongly linked to disturbances in calcium (Ca2+) homeostasis. Clinically, TAM manifests with slowly progressive proximal muscle weakness, exercise intolerance, cramps, and myalgia, frequently beginning in childhood and often present with elevated serum creatine kinase levels. These symptoms can also be associated with some additional disorders, such as thrombocytopathy, miosis, hypocalcemia, hyposplenism, and ichthyosis, thereby resulting in a clinical picture that overlaps with symptoms of Stormorken (STRMK) syndrome. Considerable heterogeneity exists in age of onset, severity, and extra-muscular involvement, suggesting that TAM and STRMK represent a continuum rather than distinct entities. Histopathological hallmarks include TAs staining positive for SR proteins and displaying a honeycomb-like ultrastructure, consistent with aberrant SR remodeling. Mutations in genes encoding key regulators of store-operated calcium entry (SOCE), including STIM1 and ORAI1 have been identified as major contributors to TAM and its broader clinical spectrum, which encompasses STRMK syndrome, whereas mutations in CASQ1 and RYR1, have been described in only a minority of patients. Despite advances in delineating the genetic and molecular basis of TAM, key questions remain regarding the mechanisms that drive TAs formation and translate Ca2+ dysregulation into muscle dysfunction and multisystem disease. Understanding the molecular mechanisms underlying TAM and STRMK syndrome is crucial for developing targeted therapies. Moreover, further research is needed to elucidate additional pathways involved in disease progression and to refine genotype–phenotype correlations. This review summarizes current knowledge on the genetics, pathophysiology, clinical features, and diagnostic hallmarks of TAM, with particular emphasis on the role of Ca2+ homeostasis. Full article
(This article belongs to the Special Issue Skeletal Muscle: Structure, Physiology and Diseases)
Show Figures

Figure 1

29 pages, 2065 KB  
Article
Effects of Caffeine Ingestion on Morning Cognitive and Muscle Strength Measures in Males: A Standardized Approach
by João P. S. Agulhari, Neil Chester, Magali Giacomoni, Karl C. Gibbons, Dani Hajdukiewicz, Haydyn L. O’Brien, Thomas D. O’Brien, Jack Jensen, Briony Lucas, Samantha L. Moss, Samuel A. Pullinger and Ben J. Edwards
Nutrients 2026, 18(6), 954; https://doi.org/10.3390/nu18060954 - 18 Mar 2026
Viewed by 1030
Abstract
Background/Objectives: We investigated whether ingestion of caffeine (~1 h before) was beneficial to subsequent morning (07:30 h), mood, strength and cognitive measures. Methods: Fourteen recreationally active males were recruited and completed six sessions: (i) one repetition maximum (1RM) for bench press [...] Read more.
Background/Objectives: We investigated whether ingestion of caffeine (~1 h before) was beneficial to subsequent morning (07:30 h), mood, strength and cognitive measures. Methods: Fourteen recreationally active males were recruited and completed six sessions: (i) one repetition maximum (1RM) for bench press and back squat; (ii) two familiarization sessions of strength measures; (iv) three experimental conditions administered in a double-blinded, randomized counterbalanced design order, either caffeine (Caffeine [CAFF], 300 mg or 2.8–4.3 mg/kg body weight), placebo (Placebo [PLAC]) ingested at 06:30 h, or no-pill control (No Pill [NoPill]). For each experimental session, on arrival at the laboratory, rectal and skin temperature were measured as well as a battery of cognitive performance through a battery of tests (trail-making test, Rey’s auditory verbal learning test, and Stroop word–colour interference test). Thereafter, maximum voluntary contraction on an isometric chair (MVC) without and with stimulation was conducted, and three repetitions were performed at 40, 60 and 80% of 1RM for bench press and back squat. Average power (AP), average velocity (AV), peak velocity (PV), mean propulsive velocity (MPV), average acceleration (RDV), displacement (D) and time-to-peak velocity (tPV) were recorded using MuscleLab linear encoders. Rating of perceived exertion and effort was asked after each set (RPE). The data was analysed using a general linear model with repeated measures. Results: MVC peak-force values with and without stimulation showed a significant increase in the CAFF condition compared to values for NoPill and with stimulation PLAC conditions (stim: Δ9.0 and 8.7%; no stim: 8.3%; p < 0.05; η2p = 0.33 and 0.42). Greater muscle % activation was achieved for the CAFF than the other conditions (~6%, p ≤ 0.042; η2p = 0.33). In the non-stimulated MVC, RPE was perceived as easier (4.8%, p = 0.04). AV and MPV values were higher in both bench press (Δ3.3 and 4.6%) and back squat (Δ7.7 and 9.2%) in CAFF than the PLAC condition (p = 0.031; η2p = 0.24 and 0.23 and 0.24 and 0.32). CAFF improved auditory total recall compared to NoPill (9.5%, p = 0.040; η2p = 0.22). Conclusions: Early morning ingestion of caffeine improved MVC to levels observed by others in the evening, as well as some aspects of bench press, back squat and recall performance. Caffeine ingestion had no effect on core temperature, mood, tiredness, alertness or other measures of cognitive performance. Full article
(This article belongs to the Section Sports Nutrition)
Show Figures

Figure 1

13 pages, 2175 KB  
Article
sMICA/sMICB and Immune Checkpoint in Endometriosis: Toward a Minimally Invasive Diagnostic Model Based on Machine Learning
by Anastasia Belevich, Maria Yarmolinskaya, Ilya Smirnov, Anastasia Stolbovaya, Olga Shashkova, Marina Samoylovich, Sergey Selkov, Polina Grebenkina, Elizaveta Tyshchuk and Dmitry Sokolov
Biomedicines 2026, 14(3), 647; https://doi.org/10.3390/biomedicines14030647 - 12 Mar 2026
Viewed by 378
Abstract
Background: Endometriosis is a complex condition that impairs women’s quality of life and reproductive potential. Its diagnosis remains significant challenge for clinicians. The aim of the study was to investigate cancer-like immune evasion mechanisms in endometriosis and to develop a novel diagnostic model [...] Read more.
Background: Endometriosis is a complex condition that impairs women’s quality of life and reproductive potential. Its diagnosis remains significant challenge for clinicians. The aim of the study was to investigate cancer-like immune evasion mechanisms in endometriosis and to develop a novel diagnostic model using machine learning. Methods: In this study, we measured the levels of soluble forms of the following immune markers in blood serum and peritoneal fluid (PF): sMICA, sMICB, sEng, sCD25, s4-1BB, sB7.2, sCTLA-4, sPD-L1, sPD-1, sTIM-3, sLAG-3, and sGal-9. Results: sMICB levels in PF differed across endometriosis stages and were higher in patients with endometriosis-associated adhesions. sMICA levels in PF were elevated in women with endometriosis-associated infertility. The disease severity was inversely correlated with serum sB7.2 levels and positively correlated with serum sTIM-3 levels. A logistic regression model achieved an accuracy = 0.79, AUC = 0.94, and F1-score = 0.88, whereas XGBoost performed better with accuracy = 0.94, AUC = 0.95, and F1-score = 0.96. The key predictive features in both models were sMICB serum level and patients’ pain score. Conclusions: Our results demonstrate the potential role of sMICA and sMICB shedding in endometriosis and present a novel, minimally invasive diagnostic approach. Full article
Show Figures

Figure 1

31 pages, 1336 KB  
Review
Neuronal Calcium Signaling and Cytoskeletal Dynamics in Neurodegeneration
by Anastasiya Rakovskaya, Ekaterina Volkova and Ekaterina Pchitskaya
Int. J. Mol. Sci. 2026, 27(6), 2550; https://doi.org/10.3390/ijms27062550 - 10 Mar 2026
Viewed by 500
Abstract
Neuronal function relies on the precise coordination between intracellular calcium (Ca2+) signaling and the cytoskeletal architecture that underpins synaptic transmission, plasticity, and structural stability. Disruption of this calcium–cytoskeleton interplay has been noted in numerous neurodegenerative diseases. We discuss how Ca2+ [...] Read more.
Neuronal function relies on the precise coordination between intracellular calcium (Ca2+) signaling and the cytoskeletal architecture that underpins synaptic transmission, plasticity, and structural stability. Disruption of this calcium–cytoskeleton interplay has been noted in numerous neurodegenerative diseases. We discuss how Ca2+-dependent cytoskeletal remodeling governs long-term potentiation and depression, dendritic spine morphology, and presynaptic function, highlighting the functions of end-binding proteins, STIM (Stromal Interaction Molecule)/Orai-mediated store-operated calcium entry, and the spine apparatus. Disease-specific manifestations of cytoskeletal–calcium dysregulation are reviewed across Alzheimer’s disease, Parkinson’s disease, amyotrophic lateral sclerosis, tauopathies, and prion disorders. Finally, we evaluate emerging therapeutic strategies targeting calcium homeostasis, cytoskeletal dynamics, and their downstream effectors, including multi-target approaches. Full article
(This article belongs to the Special Issue Advances in the Role of Cytoskeletal Proteins in Diseases)
Show Figures

Figure 1

18 pages, 5393 KB  
Article
Exacerbated Skeletal Muscle Phenotype in Mice with ‘Homotypic’ Expression of the Tubular Aggregate Myopathy ORAI1 G100S Mutation
by Nan Zhao, Miao He and Robert T. Dirksen
Biomedicines 2026, 14(3), 587; https://doi.org/10.3390/biomedicines14030587 - 5 Mar 2026
Viewed by 406
Abstract
Background: Tubular aggregate myopathy (TAM) is an autosomal dominant myopathy that results from gain-of-function mutations in the STIM1 and ORAI1 genes, which encode the two key proteins that coordinate store-operated Ca2+ entry in skeletal muscle and other cell types. Knock-in mice heterozygous [...] Read more.
Background: Tubular aggregate myopathy (TAM) is an autosomal dominant myopathy that results from gain-of-function mutations in the STIM1 and ORAI1 genes, which encode the two key proteins that coordinate store-operated Ca2+ entry in skeletal muscle and other cell types. Knock-in mice heterozygous for a glycine-to-serine point mutation in the ORAI1 pore (ORAI1G100S/+ or GS mice) phenocopy several key aspects of TAM in humans with the analogous mutation including muscle weakness, exercise intolerance, elevated CK levels, hypocalcemia, and the presence of tubular aggregates. Methods: Since homozygous inheritance of the ORAI1-G100S mutation is embryonic lethal, we assessed the impact of homotypic ORAI1-G100S expression in skeletal muscle by crossing GS mice with constitutive, muscle-specific ORAI1 knock-in mice (cORAI1-KO). Results: Compound cORAI1-KO/GS mice exhibit only one active ORAI1 (GS) allele, and thus only express ORAI1-G100S monomers in skeletal muscle (‘homotypic’ GS mice). Homotypic GS mice exhibit an earlier onset and more severe muscle phenotype than age-matched heterotypic GS mice with both WT and GS alleles. Specifically, homotypic GS mice exhibit TAs at an earlier age, as well as significantly reduced in vivo muscle performance (grip strength, treadmill endurance, and rotarod endurance), maximal specific force production, and respiratory function, compared to those observed for both WT and heterotypic GS mice. Conclusions: These findings indicate that homotypic expression of the ORAI1-G100S mutation in skeletal muscle results in an earlier-onset and more severe muscle phenotype. Full article
Show Figures

Figure 1

14 pages, 633 KB  
Article
Occipital Nerve Stimulation for Refractory Occipital Neuralgia: A Multicenter, Randomized, Controlled Trial [StimO Study]
by Stéphanie Ravaillault, Homaon Alipour, François Leger, Julien Labarre, Jean-Michel Nguyen, Yves Marie Pluchon, Thibault Riant, Évelyne Emery, Julien Nizard and Sylvie Raoul
J. Clin. Med. 2026, 15(5), 1922; https://doi.org/10.3390/jcm15051922 - 3 Mar 2026
Viewed by 467
Abstract
Introduction: Occipital neuralgia [ON] is a primary headache disorder that contributes to a significant proportion of facial pain cases. Occipital neuralgia is an uncommon but disabling headache disorder with an estimated annual incidence of approximately 3.2 per 100,000 individuals. The pathophysiology of [...] Read more.
Introduction: Occipital neuralgia [ON] is a primary headache disorder that contributes to a significant proportion of facial pain cases. Occipital neuralgia is an uncommon but disabling headache disorder with an estimated annual incidence of approximately 3.2 per 100,000 individuals. The pathophysiology of ON involves both sensitization of the greater occipital nerve and central mechanisms, including the sensitization of the trigeminocervical pain pathway. Objective: The aim of this study was to evaluate the effectiveness of occipital nerve stimulation (ONS) in patients with refractory occipital neuralgia after six months of treatment. Materials and Methods: StimO is a prospective, open-label, controlled, randomized, and parallel-group study comparing two groups: ONS (occipital nerve stimulation) and OMM (optimized medical management). Results: The percentage change in maximum pain between baseline (D0) and month 6 (M6) showed a significantly greater reduction (p = 0.04) in the ONS group compared to the OMM group. The EQ5D scores revealed that the ONS group had a better quality of life than the OMM group at month 1 (p = 0.01). Medication Quantification Scale (MQS) scores were significantly lower at M1, M3, and M6 [p = 0.03]. However, ONS did not significantly impact anxiety or depression, as assessed by the HAD scale [p > 0.05]. Conclusions: ONS appears to be safe and effective therapy, decreasing pain and medication use and improving quality of life at six months. Trial Registration: The study protocol is registered on ClinicalTrial.gov under the following registration number: NCT03475797 Full article
(This article belongs to the Section Clinical Neurology)
Show Figures

Figure 1

19 pages, 3319 KB  
Article
Nox1-Derived ROS Amplifies Calcium Entry and Enhances Pneumolysin-Induced Lung Endothelial Barrier Dysfunction in Hyperglycemia
by Stephen Haigh, Feng Chen, Yanfang Yu, Zsuzsanna Bordan, Xueyi Li, Supriya Sridhar, Maritza J. Romero, Trinad Chakraborty, Gabor Csanyi, Austin T. Joshua, Tej V. Patel, Zachary L. Brown, Mitchel A. Shivers, Hunter G. Sellers, Farhana Ananna, Tohru Fukai, Masuko Ushio-Fukai, Eric J. Belin de Chantemele, Alexander Verin, David W. Stepp, Rudolf Lucas and David J. R. Fultonadd Show full author list remove Hide full author list
Antioxidants 2026, 15(3), 275; https://doi.org/10.3390/antiox15030275 - 24 Feb 2026
Viewed by 548
Abstract
Background: Streptococcus pneumonia is the primary etiological agent of community-acquired pneumonia (CAP). Pneumococci promote severe lung injury through the release of virulence factors, including pneumolysin (PLY). Obesity/diabetes increases pneumonia-associated mortality, but the mechanisms remain elusive. We found that obese db/db mice have [...] Read more.
Background: Streptococcus pneumonia is the primary etiological agent of community-acquired pneumonia (CAP). Pneumococci promote severe lung injury through the release of virulence factors, including pneumolysin (PLY). Obesity/diabetes increases pneumonia-associated mortality, but the mechanisms remain elusive. We found that obese db/db mice have increased pulmonary barrier disruption to PLY. Previously we showed that upregulation of NOX1 in endothelial cells (EC) of db/db mice drives endothelial dysfunction, but a role for NOX1 in PLY-induced lung injury, especially in diabetic conditions, has not yet been described. Results: Increased NOX1 in lung ECs dose-dependently increased superoxide and EC barrier disruption (p < 0.05). Even at low activity levels, NOX1 greatly potentiated PLY-induced EC barrier disruption, whereas loss of NOX1 activity, either pharmacological or genetic, reduced barrier disruption (p < 0.05). Blockade of calcium entry protected the EC barrier from combined PLY and NOX1, indicating a key role for calcium. Hyperglycemia amplified PLY-enduced EC barrier disruption and intracellular calcium and these effects were mitigated by NOX1 inhibition and silencing (p < 0.05). NOX1-enhanced calcium entry was reduced by knockout of calcium sensor STIM1, and PLY-induced barrier disruption was reduced by STIM1 inhibition. Levels of STIM1, Orai1, TRPV4, or TRPC4 were unchanged by HG, but TRPC1 significantly increased (p < 0.05). NOX1 and HG promoted increased STIM1 and TRPC1 binding, and silencing TRPC1 ameliorated PLY-induced barrier disruption (p < 0.05). Increased calcium promoted mitochondrial permeability transition pore (MPTP) opening and PPIF inhibition protected EC barrier function (p < 0.05). Conclusions: These results suggest that elevated glucose levels in obesity primes EC barrier disruption by amplifying PLY-induced calcium influx via a novel NOX1, STIM1, TRPC1 and MPTP signaling axis. Full article
(This article belongs to the Special Issue Oxidative Stress in Lung Diseases)
Show Figures

Figure 1

16 pages, 2088 KB  
Article
Chronic Histamine Exposure Promotes Melanogenesis via ORAI1-STIM1-Mediated Calcium Signaling Remodeling
by Nhung Thi Hong Van, Hong Thi Lam Phan, Minh Tuan Nguyen, Woo Kyung Kim, Hyun Jong Kim and Joo Hyun Nam
Int. J. Mol. Sci. 2026, 27(4), 2055; https://doi.org/10.3390/ijms27042055 - 22 Feb 2026
Viewed by 767
Abstract
Post-inflammatory hyperpigmentation (PIH) is a common pigmentary disorder characterized by excessive melanin production following skin inflammation. Histamine, a key inflammatory mediator, is known to stimulate melanogenesis via H2 receptors; however, the underlying calcium (Ca2+) signaling mechanisms remain largely unexplored. In [...] Read more.
Post-inflammatory hyperpigmentation (PIH) is a common pigmentary disorder characterized by excessive melanin production following skin inflammation. Histamine, a key inflammatory mediator, is known to stimulate melanogenesis via H2 receptors; however, the underlying calcium (Ca2+) signaling mechanisms remain largely unexplored. In this study, we investigated the role of the ORAI1-STIM1 complex in histamine-induced melanogenesis using B16F10 melanoma cells and normal human epidermal melanocytes (NHEMs). Histamine (10–30 μM) significantly increased melanin content (2.5–2.8-fold), an effect specifically abolished by the H2 antagonist famotidine. Notably, while acute histamine application failed to trigger immediate Ca2+ influx, chronic exposure significantly enhanced store-operated Ca2+ entry (SOCE) capacity by approximately 2.8-fold, providing evidence for a functional remodeling of the Ca2+ signaling machinery. Histamine-induced melanogenesis was significantly suppressed by intracellular Ca2+ chelation, pharmacological inhibition of ORAI1 (BTP-2 or Synta-66), and siRNA-mediated silencing of ORAI1 or STIM1, but not ORAI2, ORAI3, or STIM2. Our findings demonstrate that chronic histamine exposure drives hyperpigmentation through ORAI1-STIM1-mediated SOCE remodeling, establishing this complex as a promising therapeutic target for the treatment of PIH and related inflammatory pigmentary disorders. Full article
(This article belongs to the Special Issue The Role of Ion Channels in Health and Disease)
Show Figures

Graphical abstract

17 pages, 1073 KB  
Article
A Circulating Signature of Tumour Hybrid Cells and Immune Checkpoints Predicts Metastatic Progression in Lung Cancer
by Gonzalo Sáenz de Santa María-Diez, Sandra Liana Pardo-Prieto, Roberto Lozano-Rodríguez, Urko Aguirre-Larracoechea, María Elena Corpa-Rodríguez, Julia del Prado-Montero, Verónica Terrón-Arcos, Karla Montalbán-Hernández, Daniel Arvelo-Rosario, Jesús Fernández-Felipe, Laura Córdoba, Gloria C. Bonel-Pérez, Carlos del Fresno, Laura Hurtado-Navarro and Eduardo López-Collazo
Int. J. Mol. Sci. 2026, 27(4), 1994; https://doi.org/10.3390/ijms27041994 - 19 Feb 2026
Viewed by 565
Abstract
Lung cancer remains the leading cause of cancer-related mortality worldwide and is frequently diagnosed at advanced stages, when metastatic dissemination is already present. Tumour hybrid cells (THCs) are rare circulating cells formed through fusion between cancer stem cells with leukocytes, predominantly monocytes. These [...] Read more.
Lung cancer remains the leading cause of cancer-related mortality worldwide and is frequently diagnosed at advanced stages, when metastatic dissemination is already present. Tumour hybrid cells (THCs) are rare circulating cells formed through fusion between cancer stem cells with leukocytes, predominantly monocytes. These cells combine traits from both lineages, conferring enhanced migratory, invasive and immune-evasive capacities that could promote metastasis. In parallel, soluble immune checkpoints (sICs) have emerged as minimally invasive biomarkers and indicators of systemic immune dysregulation and tumour-driven immune escape. In this study, 31 patients with lung cancer were prospectively enrolled at La Paz University Hospital (Madrid, Spain). Circulating THCs were quantified by spectral flow cytometry, and plasma sICs concentrations were determined using multiplex immunoassays. Patients were stratified by metastatic status and survival. Variables showing the strongest discriminative capacity were integrated into multivariable logistic regression models. Number of THCs, and levels of sCTLA-4, s-41BB, sLAG-3, and sTIM-3 exhibited the strongest discrimination for metastasis, while THCs, sLAG-3, and sTIM-3 distinguished deceased from surviving patients. Integrating predictive models demonstrated high accuracy, and survival analyses supported their prognostic significance. These findings indicate circulating THCs and selected sICs represent promising liquid biomarkers for monitoring lung cancer progression and patient outcomes. Full article
(This article belongs to the Special Issue Advancements in Cancer Biomarkers)
Show Figures

Figure 1

18 pages, 3154 KB  
Article
Study on Improvement of Acidizing Fracturing Formula in Carbonate Reservoir
by Leyan Shi and Fengpeng Lai
Processes 2026, 14(3), 563; https://doi.org/10.3390/pr14030563 - 5 Feb 2026
Viewed by 423
Abstract
Addressing the challenges of poorly developed fractures and low individual well water yields within the Tianjin Ordovician–Wumishan carbonate thermal reservoir, alongside the rapid reaction rates and short effective distances observed during conventional acid fracturing operations, this study employed an XRD core analysis to [...] Read more.
Addressing the challenges of poorly developed fractures and low individual well water yields within the Tianjin Ordovician–Wumishan carbonate thermal reservoir, alongside the rapid reaction rates and short effective distances observed during conventional acid fracturing operations, this study employed an XRD core analysis to confirm reservoir calcite contents exceeding 90%. Based on this finding, an acid formulation incorporating a 2% SPR-12 retarder was developed. High-temperature high-pressure reactor experiments demonstrated that this system successfully reduced the acid–rock reaction rate from 0.122 g·min−1·cm−2 to 0.037 g·min−1·cm−2 and increased the retardation efficiency from 34.07% to 68%. This significantly extended the acid penetration distance and enhanced the fracture network connectivity within the reservoir. The field trial conditions informed the parameter optimization via E-StimPlan® 3D simulations, ultimately determining that a fracture extension of 400 m could be achieved with a 20 MPa breakdown pressure. Conductivity experiments validated that a flow rate of 1.3 m3/min generated pillar-supported wormhole structures, yielding a final conductivity of 46.8 μm2·cm. The pumping pressure plummeted from 20 MPa to 1 MPa, confirming effective fracture network communication. Gas lift backflow for 20 h mitigated secondary precipitation risks. After implementation, the water production rate of this well increased from 12.33 m3/h to 95 m3/h, with a dynamic water level of 158.85 m. The water temperature rose from 62 °C to 88 °C and remained stable. Compared to current acidizing and fracturing methods applied in geothermal wells, the new acid fluid system and process have increased the geothermal production capacity by 275.8%, while reducing acid consumption by 50%, providing critical technological support for the efficient development of carbonate thermal reservoirs. Full article
(This article belongs to the Topic Polymer Gels for Oil Drilling and Enhanced Recovery)
Show Figures

Figure 1

29 pages, 809 KB  
Review
Endocrine Disorders of Calcium Signaling in Children: Neuroendocrine Crosstalk and Clinical Implications
by Roberto Paparella, Francesca Pastore, Lavinia Marchetti, Arianna Bei, Irene Bernabei, Norma Iafrate, Vittorio Maglione, Marcello Niceta, Anna Zambrano, Mauro Celli, Marco Fiore, Ida Pucarelli and Luigi Tarani
Cells 2026, 15(2), 140; https://doi.org/10.3390/cells15020140 - 13 Jan 2026
Viewed by 1147
Abstract
Calcium ions (Ca2+) serve as universal second messengers regulating endocrine, neuronal, and metabolic processes. In children and adolescents, tight calcium signaling control is crucial for growth, hormone homeostasis, neuromuscular function, and neurodevelopment. Disruptions in Ca2+-dependent pathways—whether genetic, metabolic, or [...] Read more.
Calcium ions (Ca2+) serve as universal second messengers regulating endocrine, neuronal, and metabolic processes. In children and adolescents, tight calcium signaling control is crucial for growth, hormone homeostasis, neuromuscular function, and neurodevelopment. Disruptions in Ca2+-dependent pathways—whether genetic, metabolic, or acquired—underlie a spectrum of pediatric endocrine diseases often presenting with neurological manifestations This review summarizes calcium’s roles in hormone secretion, parathyroid and vitamin D metabolism, and neuronal excitability, and discusses monogenic and metabolic disorders affecting calcium sensing and signaling, including CASR, GNA11, AP2S1, STIM1, and ORAI1 mutations. Diagnostic challenges, therapeutic strategies, and future directions for precision medicine in pediatric neuroendocrinology are highlighted, emphasizing early recognition and improved clinical outcomes. Full article
(This article belongs to the Special Issue New Discoveries in Calcium Signaling-Related Neurological Disorders)
Show Figures

Figure 1

11 pages, 720 KB  
Article
“Reverse” Dual Stimulation Has Comparable Efficacy, but Higher Efficiency, than Two Conventional Follicular Phase Stimulations in Poor Responders Undergoing In Vitro Fertilization
by Andrea Roberto Carosso, Chiara Benedetto, Bernadette Evangelisti, Marco Carosso, Gianvito Contangelo, Stefano Canosa, Gianluca Gennarelli and Alberto Revelli
J. Clin. Med. 2026, 15(2), 582; https://doi.org/10.3390/jcm15020582 - 11 Jan 2026
Viewed by 627
Abstract
Background/Objectives: Dual stimulation starting in the follicular phase allows retrieval of more oocytes than single follicular-phase controlled ovarian stimulation (COS). However, dual stimulation excludes fresh embryo transfer (ET), forcing us to postpone the first ET. If dual stimulation is performed in a [...] Read more.
Background/Objectives: Dual stimulation starting in the follicular phase allows retrieval of more oocytes than single follicular-phase controlled ovarian stimulation (COS). However, dual stimulation excludes fresh embryo transfer (ET), forcing us to postpone the first ET. If dual stimulation is performed in a reverse way (“reverse”-dual stimulation, R-DS), fresh ET can be performed, potentially reducing the time to pregnancy. The aim of the present study is to investigate reproductive outcomes of R-DS compared to two consecutive COS starting in the follicular phase (2FP-COS). Methods: A retrospective study was performed on 146 poor responders matching Bologna criteria, among which 45 underwent R-DS and 101 received 2FP-COS. In the R-DS group, the first COS began 5 days after ovulation and the second 5 days after oocyte retrieval. The primary outcome was the time to pregnancy. Results: In R-DS, stimulation length, retrieved oocytes, and blastocyst formation rate were comparable in the luteal and follicular COS rounds. Circulating progesterone was always <1.0 ng/mL at ovulation trigger, and fresh ET was performed with a mean endometrial thickness of 9.27 ± 2.28 mm. Comparing R-DS and 2FP-COS, no differences were found in terms of retrieved oocytes and cumulative live birth rate; however, the R-DS group showed significantly shorter time to pregnancy (52.9 ± 11.6 vs. 103.2 ± 23.2 days, p < 0.05). Conclusions: This study suggests that R-DS is not inferior to two consecutive COS starting in the follicular phase in terms of oocytes retrieved and cumulative live birth rate. R-DS allows immediate fresh ET and can significantly shorten the time to pregnancy, a relevant issue for poor responders’ patients. Full article
(This article belongs to the Section Obstetrics & Gynecology)
Show Figures

Figure 1

16 pages, 643 KB  
Article
Early Screen Exposure and Preadolescent Outcomes: A Longitudinal Follow-Up on Dysregulation, Academic Achievements, and Capacity to Be Alone
by Luca Cerniglia and Silvia Cimino
Children 2025, 12(11), 1544; https://doi.org/10.3390/children12111544 - 14 Nov 2025
Viewed by 1312
Abstract
Background: Previous longitudinal evidence suggested that screen exposure at age 4 was associated with dysregulation symptoms and lower academic achievement up to age 8. Yet, it remains unclear whether these effects persist in preadolescence and extend to higher-order developmental outcomes such as the [...] Read more.
Background: Previous longitudinal evidence suggested that screen exposure at age 4 was associated with dysregulation symptoms and lower academic achievement up to age 8. Yet, it remains unclear whether these effects persist in preadolescence and extend to higher-order developmental outcomes such as the capacity to be alone, a marker of self-regulation and autonomy within the developmental psychopathology framework. Aim: This follow-up study re-contacted the original cohort at age 12 (T3) to examine whether early screen time predicted dysregulation, academic achievement, and capacity to be alone, testing the mediating role of dysregulation at ages 6 (T1) and 8 (T2), and the moderating role of maternal scaffolding at age 4. Methods: A community sample of N = 323 children and their mothers, previously assessed at T0–T2, was re-evaluated at T3 (mean age = 12.2 years, SD = 0.7). At T0, screen exposure and maternal scaffolding were measured using the StimQ (PIDA subscale). Dysregulation at T1–T3 was assessed with the Teacher Report Form (TRF). Academic achievement in mathematics and literacy was rated by teachers using the Teacher Academic Ratings. At T3, children also completed the Capacity to Be Alone Scale for Children (CBASC). Structural Equation Modeling (SEM) tested longitudinal direct, indirect, and moderated pathways, adjusting for sex, maternal education, and socioeconomic status. Results: Screen time at age 4 was associated with elevated dysregulation at T1 and T2, which in turn mediated poorer mathematics and literacy outcomes and reduced capacity to be alone at age 12 (all p < 0.01). Maternal scaffolding buffered early dysregulation but did not prevent long-term academic or self-regulatory impairments. Conclusions: Findings indicate that early excessive screen use contributes to a cumulative cascade of dysregulation, undermining both academic achievement and the developmental capacity to be alone by preadolescence. Preventive strategies should integrate screen-time guidelines with parental scaffolding interventions. Full article
Show Figures

Figure 1

15 pages, 1537 KB  
Article
Effectiveness of Controlled Ovarian Stimulation for Oocyte Preservation in Oncologic Patients: Insights from DuoStim Protocol
by Andrea Panattoni, Maria Magdalena Montt Guevara, Ilaria Marzi, Koray Görkem Saçıntı, Francesca Papini, Chiara Maggiorano, Sara Macaluso, Elena Casarosa, Tommaso Simoncini, Paolo Giovanni Artini and Vito Cela
J. Clin. Med. 2025, 14(22), 8062; https://doi.org/10.3390/jcm14228062 - 14 Nov 2025
Viewed by 1269
Abstract
Background/Objectives: Fertility preservation is a key component of oncological care. This study evaluated the effectiveness of different controlled ovarian stimulation (COS) protocols, including dual stimulation (DuoStim), for oocyte preservation, with a specific focus on breast cancer patients, and aimed to identify predictors [...] Read more.
Background/Objectives: Fertility preservation is a key component of oncological care. This study evaluated the effectiveness of different controlled ovarian stimulation (COS) protocols, including dual stimulation (DuoStim), for oocyte preservation, with a specific focus on breast cancer patients, and aimed to identify predictors of mature oocyte yield. Methods: A retrospective single-center study was conducted on 203 women under 40 years undergoing fertility preservation before cancer treatment between August 2013 and May 2024 at the Fertility Unit of the University Hospital of Pisa. COS protocols were stratified by menstrual cycle phase: early follicular (EFP), late follicular (LFP), luteal (LP), and DuoStim. The primary outcome was fertility preservation, assessed by the number of mature oocytes retrieved (MII). Independent predictors of oocyte yield were assessed using multivariable Poisson regression. Results: A total of 244 COS cycles were analyzed. The DuoStim group showed a lower median number of MII oocytes collected during the second stimulation compared to EFP, LFP, and LP (all adjusted p-value < 0.05, FDR); however, cumulative MII counts across both stimulations were comparable to other protocols. Oocyte maturity rates were similar across groups. Multivariable analysis identified AMH and AFC, but not age, basal FSH, hormonal parameters, and year of cryopreservation, as independent predictors of MII oocyte yield. Conclusions: COS is effective for fertility preservation across different cycle phases without delaying cancer treatment. DuoStim is not inferior but rather a valuable strategy for poor responders with insufficient oocyte yield after an initial cycle, thereby broadening opportunities for cryopreservation in time-sensitive oncological settings. Full article
(This article belongs to the Section Reproductive Medicine & Andrology)
Show Figures

Figure 1

23 pages, 914 KB  
Article
Genetic Analysis of Patients with Chronic Thromboembolic Pulmonary Hypertension (CTEPH): A Single-Center Observational Study
by Zsuzsanna Bereczky, Gábor Kolodzey, Sarolta Borsos, László Balogh, Petra Erzsébet Biró, Éva Molnár, Katalin Rázsó, Andrea Péter, Judit Barta and Tibor Szűk
Genes 2025, 16(11), 1336; https://doi.org/10.3390/genes16111336 - 6 Nov 2025
Cited by 3 | Viewed by 1338
Abstract
Background/Objectives: Chronic thromboembolic pulmonary hypertension (CTEPH) is a rare disease, in which multiple genetic and environmental factors may contribute. This study aimed to identify potential genetic determinants in patients with CTEPH and to compare their occurrence to a control group, which included [...] Read more.
Background/Objectives: Chronic thromboembolic pulmonary hypertension (CTEPH) is a rare disease, in which multiple genetic and environmental factors may contribute. This study aimed to identify potential genetic determinants in patients with CTEPH and to compare their occurrence to a control group, which included patients with pulmonary embolism who had not developed CTEPH. Methods: Tier 1 and 2 genes related to coagulation, fibrinolysis and platelet disorders—as recommended by the International Society on Thrombosis and Haemostasis—and genes associated with vascular conditions were analyzed in n = 15 patients with CTEPH and n = 17 controls using next-generation sequencing. Non-synonymous, rare variants were collected and interpreted. Results: As expected, no single gene or variant was consistently present among CTEPH patients. Instead, individuals carried different mutations and combinations of variants. We identified several variants that were not found in the control group. Candidate variants were detected in F12, F13A1, F13B, F5, KNG1, SERPIND1, THBD, ADAMTS13, VWF, STIM1, ETV6, THPO, MPL, SERPINA1, ENG, RASA1, ACVRL1, GDF2, NFE2, SOX17 and RNF213. We did not detect exclusive variants in FGA, CPB2, and BMPR2 although they were suggested as candidates in previous studies. Elevated factor VIII and von Willebrand factor in CTEPH could not be explained by mutations in VWF and F8. Conclusions: Our study supports the hypothesis of heterogeneous genetic background in CTEPH, involving multiple pathways such as coagulation, altered fibrinolysis and impaired angiogenesis. These results provide a basis for more detailed investigations into specific genes and variants potentially associated with CTEPH in larger cohorts. Full article
(This article belongs to the Section Human Genomics and Genetic Diseases)
Show Figures

Figure 1

Back to TopTop