Sign in to use this feature.

Years

Between: -

Subjects

remove_circle_outline
remove_circle_outline
remove_circle_outline
remove_circle_outline
remove_circle_outline
remove_circle_outline
remove_circle_outline

Journals

Article Types

Countries / Regions

Search Results (94)

Search Parameters:
Keywords = Response Evaluation Criteria in Solid Tumors (RECIST)

Order results
Result details
Results per page
Select all
Export citation of selected articles as:
17 pages, 3201 KB  
Article
Efficacy of B-TACE Versus C-TACE and Potential Predictive Value of Intraoperative Balloon-Occluded Stump Pressure in HCC
by Liting Shan, Zhuoyang Fan, Guowei Yang, Sheng Qian, Wei Zhang, Bo Zhou and Rong Liu
J. Clin. Med. 2026, 15(2), 668; https://doi.org/10.3390/jcm15020668 - 14 Jan 2026
Viewed by 87
Abstract
Objectives: To compare the therapeutic efficacy and safety of balloon-assisted transarterial chemoembolization (B-TACE) versus conventional TACE (C-TACE) in hepatocellular carcinoma (HCC) and to evaluate the potential predictive value of intraoperative balloon-occluded arterial stump pressure (Boasp). Methods: In this prospective, single-centre, randomized controlled study, [...] Read more.
Objectives: To compare the therapeutic efficacy and safety of balloon-assisted transarterial chemoembolization (B-TACE) versus conventional TACE (C-TACE) in hepatocellular carcinoma (HCC) and to evaluate the potential predictive value of intraoperative balloon-occluded arterial stump pressure (Boasp). Methods: In this prospective, single-centre, randomized controlled study, 60 patients with hepatocellular carcinoma were allocated to either the B-TACE group (n = 30) or the C-TACE group (n = 30). One patient in the B-TACE group was lost to follow-up after allocation. The primary analyses were conducted according to the intention-to-treat (ITT) principle, including all randomized patients, with conservative handling of missing data. Sensitivity analyses were performed to assess the robustness of the results. Tumor response and survival outcomes were evaluated using the modified Response Evaluation Criteria in Solid Tumors (mRECIST) and Cox proportional hazards regression models. Intraoperative balloon-occluded arterial stump pressure (BOASP) was measured as an exploratory parameter to quantify embolization adequacy. Adverse events (AEs) were systematically assessed and graded according to the Common Terminology Criteria for Adverse Events (CTCAE), version 5.0. Results: TACE achieved a higher 3-month ORR (63.3% vs. 10.0%, p < 0.001) and 6-month disease control rates (80.0% vs. 36.7%, p < 0.001), with PFS (HR = 0.30, 95% CI 0.148–0.608) and procedures within 6 months (1 vs. 3, p < 0.001). The 6-month surgical conversion rate was higher (34.5% vs. 6.7%, p = 0.009). Changes in Boasp correlated with efficacy (AUC = 0.825, p = 0.0398). Severe infections were lower in B-TACE (17.2% vs. 76.7%, p < 0.001). Conclusions: B-TACE offers superior efficacy, survival, and surgical conversion versus C-TACE with favorable safety. Boasp provides a quantitative biomarker for predicting treatment response. Full article
(This article belongs to the Section Gastroenterology & Hepatopancreatobiliary Medicine)
Show Figures

Graphical abstract

12 pages, 3231 KB  
Article
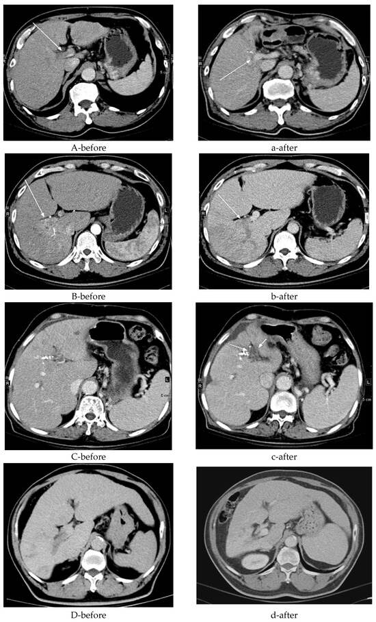
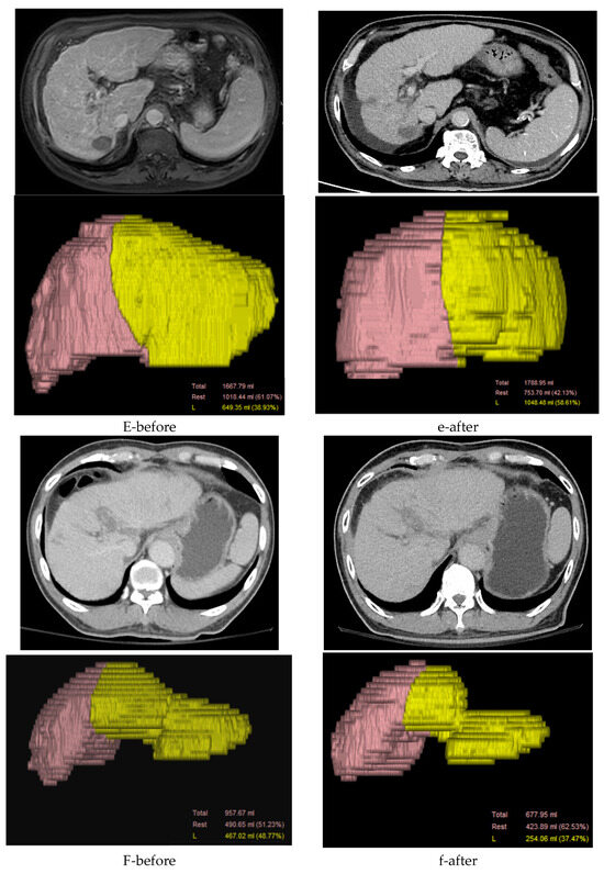
Imaging Features of Patients with Hepatocellular Carcinoma and Portal Vein Tumor Thrombosis Surviving Beyond 1 Year After Combined Therapy
by Wei-Ming Lin, Hui-Ling Huang, Sheng-Nan Lu, Tse-Yen Yang, Hao-Chung Wang, Sheng-Lung Hsu, Chia-Hsuan Lai and Te-Sheng Chang
Diagnostics 2026, 16(1), 115; https://doi.org/10.3390/diagnostics16010115 - 31 Dec 2025
Viewed by 350
Abstract
Background/Objectives: Portal vein tumor thrombus (PVTT) is a severe complication of hepatocellular carcinoma (HCC) and is associated with poor outcomes. This study aimed to describe the imaging and clinical characteristics observed among HCC patients with PVTT who survived longer than one year following [...] Read more.
Background/Objectives: Portal vein tumor thrombus (PVTT) is a severe complication of hepatocellular carcinoma (HCC) and is associated with poor outcomes. This study aimed to describe the imaging and clinical characteristics observed among HCC patients with PVTT who survived longer than one year following combined systemic therapy and radiotherapy. Methods: This retrospective, single-center study included 26 consecutive HCC patients with PVTT who survived more than one year after combined treatment. Baseline characteristics included PVTT extent classified according to the Liver Cancer Study Group of Japan—VP1 (segmental portal vein invasion), VP2 (second-order portal vein invasion), VP3 (first-order portal vein invasion), and VP4 (main portal trunk or contralateral PV invasion) and liver function assessed by Child–Pugh class and ALBI grade. Contrast-enhanced CT or MRI was evaluated at baseline and 6 months after treatment using RECIST 1.1 criteria. Results: The cohort was predominantly male (69%), and most patients had extensive PVTT (VP3–VP4, n = 19). Preserved liver function was common at baseline (Child–Pugh class A, n = 24; ALBI grade I, n = 14). Tumor response was observed in 23 patients (88%) during follow-up. Frequently observed post-treatment imaging findings included portal vein recanalization (n = 12), collateral circulation (present in 7 patients at baseline and 6 at follow-up), and compensatory liver hypertrophy (n = 6). Conclusions: Among HCC patients with PVTT who survived longer than one year after combined therapy, portal vein recanalization, collateral circulation, and compensatory liver hypertrophy were commonly observed imaging features. Given the retrospective design and survivor-selection nature of the study, these findings should be interpreted as descriptive observations rather than evidence of treatment efficacy or prognostic determinants. Full article
(This article belongs to the Special Issue Clinical Applications of CT and MRI)
Show Figures

Figure 1

13 pages, 1427 KB  
Article
Prognostic Significance of Glypican-3 Expression in Hepatocellular Carcinoma Treated with Atezolizumab-Bevacizumab
by Ji Hoon Kim, Ji Won Han, Hee Sun Cho, Jeong Won Jang, Kwon Yong Tak and Pil Soo Sung
Cancers 2025, 17(24), 3967; https://doi.org/10.3390/cancers17243967 - 12 Dec 2025
Viewed by 623
Abstract
Background: Glypican-3 (GPC3) is overexpressed in most hepatocellular carcinoma (HCC) tissues but is absent in normal adult liver. We evaluated whether tumor GPC3 expression is associated with clinical outcomes in patients with advanced HCC treated with atezolizumab–bevacizumab (AB). Methods: We conducted [...] Read more.
Background: Glypican-3 (GPC3) is overexpressed in most hepatocellular carcinoma (HCC) tissues but is absent in normal adult liver. We evaluated whether tumor GPC3 expression is associated with clinical outcomes in patients with advanced HCC treated with atezolizumab–bevacizumab (AB). Methods: We conducted a single-center retrospective cohort study of 139 patients with Barcelona Clinic Liver Cancer (BCLC) stage C HCC who received AB between January 2022 and August 2025. Tumor GPC3 expression was assessed by immunohistochemistry. The primary endpoints were overall survival (OS) and progression-free survival (PFS), and the secondary endpoint was objective response rate (ORR) according to modified Response Evaluation Criteria in Solid Tumors (mRECIST). Results: Baseline characteristics were largely balanced between GPC3-positive (n = 87) and GPC3-negative (n = 52) groups. Median OS was significantly shorter in patients with GPC3-positive tumors than in those with GPC3-negative tumors (p = 0.006). In multivariable analysis, GPC3 positivity remained independently associated with higher mortality (hazard ratio [HR] 1.77, 95% confidence interval [CI] 1.05–3.00; p = 0.033), along with Child–Pugh class B. PFS did not differ significantly between the groups (p = 0.712). ORR was lower in GPC3-positive tumors than in GPC3-negative tumors (approximately 17–18% vs. ~32%; p = 0.023). Membranous GPC3 localization was associated with inferior OS compared with cytoplasmic or absent expression (p = 0.025). Conclusions: Tumor GPC3 expression was associated with decreased OS and lower ORR among AB-treated patients with advanced HCC, suggesting potential clinical relevance and may help in risk stratification. Full article
Show Figures

Figure 1

15 pages, 7346 KB  
Article
Fibroblast Activation Protein Alpha (FAP) Expression Is Associated with Disease Recurrence and Poor Response to Tyrosine Kinase Inhibitors in Advanced Clear Cell Renal Cell Carcinoma
by María Riaza Montes, Beatriz Suárez, Jon Danel Solano-Iturri, David Lecumberri, Ane Miren Iturregui, Charles H. Lawrie, María Armesto, Caroline E. Nunes-Xavier, Rafael Pulido, José I. López, Javier C. Angulo and Gorka Larrinaga
Int. J. Mol. Sci. 2025, 26(22), 11112; https://doi.org/10.3390/ijms262211112 - 17 Nov 2025
Viewed by 900
Abstract
Despite advances in the management of advanced clear cell renal cell carcinoma (ccRCC), robust biomarkers for prognosis and therapeutic response prediction remain elusive. Fibroblast activation protein-α (FAP), a marker of activated cancer-associated fibroblasts (CAFs), has emerged as a potential indicator of tumor aggressiveness [...] Read more.
Despite advances in the management of advanced clear cell renal cell carcinoma (ccRCC), robust biomarkers for prognosis and therapeutic response prediction remain elusive. Fibroblast activation protein-α (FAP), a marker of activated cancer-associated fibroblasts (CAFs), has emerged as a potential indicator of tumor aggressiveness and resistance to systemic therapies in various solid tumors. This study evaluated the clinical relevance of stromal FAP expression in a cohort of 137 patients with advanced ccRCC and long-term follow-up. FAP immunohistochemistry (IHC) was performed on primary tumor specimens and correlated with key clinicopathological features, disease-free survival (DFS), overall survival (OS), and radiological response to first-line tyrosine kinase inhibitors (TKIs). A significantly higher percentage of FAP-positive CAFs was observed in primary tumors with high histological grade, extensive local invasion (pT3–4), and advanced clinical stage (NCCN stage III–IV). Stromal FAP expression was associated with shorter DFS and OS. Moreover, tumors lacking FAP expression were more likely to achieve complete response to TKI therapy as defined by RECIST criteria. These findings highlight the potential of FAP IHC as a prognostic and predictive tool in advanced ccRCC and support further clinical validation. Full article
(This article belongs to the Special Issue Editorial Board Members’ Collection Series: Cancer Metastasis)
Show Figures

Figure 1

10 pages, 363 KB  
Article
Safety of Combination TARE and SBRT in Hepatocellular Carcinoma: A Review of Literature & Single-Center Case Series
by Bahareh Gholami, Ali Afrasiabi, Andrew M. Moon, Ted K. Yanagihara, Hui Wang, Sandra Gad, Alex Villalobos, David M. Mauro, Hyeon Yu, Johannes L. du Pisanie and Nima Kokabi
Curr. Oncol. 2025, 32(9), 487; https://doi.org/10.3390/curroncol32090487 - 31 Aug 2025
Cited by 1 | Viewed by 1590
Abstract
Hepatocellular carcinoma (HCC) is the most common primary liver cancer. At the time of diagnosis, many HCC patients are not candidates for surgical resection and are considered for other locoregional therapies, including transarterial radioembolization (TARE) and stereotactic body radiation therapy (SBRT). To date [...] Read more.
Hepatocellular carcinoma (HCC) is the most common primary liver cancer. At the time of diagnosis, many HCC patients are not candidates for surgical resection and are considered for other locoregional therapies, including transarterial radioembolization (TARE) and stereotactic body radiation therapy (SBRT). To date only a few studies have explored the safety and efficacy of combining TARE and SBRT. Therefore, we aimed to evaluate it. Patients who received both SBRT and TARE from 2016 to 2024 were retrospectively evaluated for treatment-related toxicity based on criteria for adverse events (CTCAE v4.0). Treatment response was evaluated by modified response evaluation criteria for solid tumors (m-RECIST). We identified 12 patients with median age of 66.5 (range: 40, 87) and median follow up of 12 months. The median time between TARE and SBRT was 6.5 months (range: 1.5 to 24). Following the second treatment, ALBI grade remined the same among all patients at 3-month post treatment compared to baseline. Baseline CP was A among all patients and remained unchanged during follow-up and no higher than grade 3 clinical or biochemical toxicity was seen. The objective response rate (ORR) among patients receiving treatment to the same lesion was 100%. The combination treatment was consistent with prior studies in which the combination of TARE and SBRT has been shown to have good local control with few cases of grade 3 toxicity. Our study demonstrates that treatment with TARE and SBRT was safe and effective among our small sample of patients. Full article
(This article belongs to the Special Issue Combined Therapies for Hepatocellular Carcinoma)
Show Figures

Figure 1

15 pages, 1656 KB  
Article
Transarterial Chemoembolization Outperforms Radioembolization in Early- and Intermediate-Stage Hepatocellular Carcinoma: A Multicenter Retrospective Study
by Faisal M. Sanai, Adnan Alzanbagi, Mohammed Arabi, Sarah S. Alfawaz, Khalid I. Bzeizi, Mohammed Almatrafi, Abdulmalik M. Alsabban, Jameel Bardesi, Hamdan S. Alghamdi, Mohamed Shawkat, Talal M. Alotaibi, Khairat H. Alameer, Shadi Saleem, Saad Abualganam, Abdulaziz M. Tashkandi, Noha H. Guzaiz, Nesreen H. Abourokbah, Hassan O. Alfakieh, Majed Almaghrabi, Abeer A. Alabdullah, Lujain H. Aljohani, Nuwayyir A. Alqasimi, Saad Aldosari, Azzam Khankan, Dieter Broering and Saleh A. Alqahtaniadd Show full author list remove Hide full author list
Cancers 2025, 17(13), 2254; https://doi.org/10.3390/cancers17132254 - 7 Jul 2025
Cited by 1 | Viewed by 2382
Abstract
Background: Transarterial radioembolization (TARE) with Yttrium-90 microspheres is an established therapy for unresectable hepatocellular carcinoma (HCC). However, its clinical efficacy compared to transarterial chemoembolization (TACE) remains unclear. Methods: We retrospectively reviewed 279 consecutive patients undergoing TARE (n = 104) or TACE (n = [...] Read more.
Background: Transarterial radioembolization (TARE) with Yttrium-90 microspheres is an established therapy for unresectable hepatocellular carcinoma (HCC). However, its clinical efficacy compared to transarterial chemoembolization (TACE) remains unclear. Methods: We retrospectively reviewed 279 consecutive patients undergoing TARE (n = 104) or TACE (n = 175) at four tertiary centers. Patients with metastatic disease, locally advanced HCC, or Child–Pugh (CP) C were excluded. Data on treatment, adverse events, survival outcomes (median overall survival [mOS], and objective response rates [by modified Response Evaluation Criteria in Solid Tumors; mRECIST]) were collected. Results: The median follow-up of the cohort was 27 months (IQR 13–50), the mean age was 67.6 ± 10.1 years, and 207 (74.2%) were male. The cohort was balanced in age, performance status, CP class, and HCC etiology. Maximum tumor diameter was significantly larger in the TARE cohort compared to the TACE cohort (4.4 vs. 3.1 cm, p < 0.001), including within the BCLC 0/A (4.2 vs. 2.7 cm, p = 0.001) and BCLC B (5.0 vs. 4.0 cm, p = 0.049) subgroups. The mOS was longer with TACE (37 vs. 22 months; hazard ratio [HR] 1.65, 95% CI: 1.19–2.29, p = 0.002). In BCLC 0/A patients, TACE yielded longer mOS (60 vs. 25 months; HR 2.35, 95% CI: 1.17–4.69; p = 0.016). In BCLC B, mOS was longer with TACE (32 vs. 20 months), but was not statistically significant (HR 1.39, 95% CI: 0.96–2.03, p = 0.080). In BCLC 0/A, complete response rates were higher with TACE (43.2% vs. 34.3%, p = 0.012). Hepatic decompensation was more frequent with TARE- (26.0%) than with TACE-treated patients (13.7%, p = 0.010). Conclusions: TACE demonstrated superior survival outcomes over TARE, particularly in early-stage disease. These results advocate for a more nuanced selection of embolization therapies in these patients. Full article
(This article belongs to the Section Cancer Therapy)
Show Figures

Figure 1

7 pages, 1080 KB  
Case Report
Effect of Nanoemulsions of Betulinic Acid on the Development of Canine Mammary Tumors
by Zayra Yeretzi Amoros-Cerón, Juan Manuel Pinos-Rodríguez, Hugo Sergio García, Angélica Olivares-Muñoz, Isaac De Gasperin-López and Argel Flores-Primo
Vet. Sci. 2025, 12(6), 522; https://doi.org/10.3390/vetsci12060522 - 27 May 2025
Viewed by 1055
Abstract
Mammary gland tumors in dogs are very common in clinical practice. Betulinic acid is currently a compound considered to have anticancer properties in human mammary tumors via nanoemulsions. In this study, betulinic acid nanoemulsions with a particle size of less than 300 nm [...] Read more.
Mammary gland tumors in dogs are very common in clinical practice. Betulinic acid is currently a compound considered to have anticancer properties in human mammary tumors via nanoemulsions. In this study, betulinic acid nanoemulsions with a particle size of less than 300 nm were prepared. Biopsies were obtained from five female dogs with mammary tumors for histopathological analysis, confirming that two were tubular mammary carcinomas (MMTs, malignant) and three were complex mammary adenomas (BMTs, benign). The five female dogs were administered with a daily oral dose of nanoemulsion containing 5 mg/kg of betulinic acid for 30 days. Tumor size was measured every 7 days, and the response to treatment was assessed according to RECIST (Response Evaluation Criteria In Solid Tumors) standards. In one of the females with MMTs treated with the nanoemulsion, the tumor size was reduced by approximately 38%, while in the BMT female dogs, the nanoemulsion reduced the tumor size by 25.3%. It was concluded that oral administration of betulinic acid nanoemulsions reduced the size of canine mammary tumors. Experimental studies are still needed to further evaluate this preparation. Full article
(This article belongs to the Special Issue New Insight into Canine and Feline Tumor)
Show Figures

Figure 1

14 pages, 11417 KB  
Review
The Desmoid Dilemma: Challenges and Opportunities in Assessing Tumor Burden and Therapeutic Response
by Yu-Cherng Chang, Bryan Nixon, Felipe Souza, Fabiano Nassar Cardoso, Etan Dayan, Erik J. Geiger, Andrew Rosenberg, Gina D’Amato and Ty Subhawong
Curr. Oncol. 2025, 32(5), 288; https://doi.org/10.3390/curroncol32050288 - 21 May 2025
Cited by 1 | Viewed by 1310
Abstract
Desmoid tumors are rare, locally invasive soft-tissue tumors with unpredictable clinical behavior. Imaging plays a crucial role in their diagnosis, measurement of disease burden, and assessment of treatment response. However, desmoid tumors’ unique imaging features present challenges to conventional imaging metrics. The heterogeneous [...] Read more.
Desmoid tumors are rare, locally invasive soft-tissue tumors with unpredictable clinical behavior. Imaging plays a crucial role in their diagnosis, measurement of disease burden, and assessment of treatment response. However, desmoid tumors’ unique imaging features present challenges to conventional imaging metrics. The heterogeneous nature of these tumors, with a variable composition (fibrous, myxoid, or cellular), complicates accurate delineation of tumor boundaries and volumetric assessment. Furthermore, desmoid tumors can demonstrate prolonged stability or spontaneous regression, and biologic quiescence is often manifested by collagenization rather than bulk size reduction, making traditional size-based response criteria, such as Response Evaluation Criteria in Solid Tumors (RECIST), suboptimal. To overcome these limitations, advanced imaging techniques offer promising opportunities. Functional and parametric imaging methods, such as diffusion-weighted MRI, dynamic contrast-enhanced MRI, and T2 relaxometry, can provide insights into tumor cellularity and maturation. Radiomics and artificial intelligence approaches may enhance quantitative analysis by extracting and correlating complex imaging features with biological behavior. Moreover, imaging biomarkers could facilitate earlier detection of treatment efficacy or resistance, enabling tailored therapy. By integrating advanced imaging into clinical practice, it may be possible to refine the evaluation of disease burden and treatment response, ultimately improving the management and outcomes of patients with desmoid tumors. Full article
(This article belongs to the Special Issue An In-Depth Review of Desmoid Tumours)
Show Figures

Figure 1

11 pages, 1468 KB  
Article
Initial Experience with Single-Session Resin-Based Transarterial Radioembolization Mapping and Treatment of Small Hepatocellular Carcinomas
by Michael Mohnasky, Sandra Gad, Marco Fanous, Johannes L. Du Pisanie, Marija Ivanovic, David M. Mauro, Hyeon Yu, Alex Villalobos, Andrew M. Moon, Hanna K. Sanoff, Jingquan Jia and Nima Kokabi
Cancers 2025, 17(8), 1265; https://doi.org/10.3390/cancers17081265 - 9 Apr 2025
Cited by 2 | Viewed by 1662
Abstract
Background/Objectives: Studies have indicated that forgoing lung shunt fraction measurement in select patients undergoing Yttrium 90 (Y90) transarterial radioembolization (TARE) may be safe without sacrificing efficacy. This study evaluated the safety and efficacy of a streamlined treatment in patients with small hepatocellular carcinoma [...] Read more.
Background/Objectives: Studies have indicated that forgoing lung shunt fraction measurement in select patients undergoing Yttrium 90 (Y90) transarterial radioembolization (TARE) may be safe without sacrificing efficacy. This study evaluated the safety and efficacy of a streamlined treatment in patients with small hepatocellular carcinoma (HCC) receiving resin-based TARE. Methods: Patients who received single-session Y90 TARE between September 2023 and May 2024 were retrospectively evaluated. Treatment response was evaluated at the 3-month follow-up using the modified Response Evaluation Criteria in Solid Tumors (mRECIST) criteria. Adverse events (AEs) ≥ Grade 3 were recorded post-procedurally at 3 months. The time from the interventional radiology clinic visit to the procedure date was compared to patients receiving the conventional TARE treatment. Results: Ten consecutive patients were treated with 12 treatments. Each treatment targeted an isolated lesion with median size of 2.5 cm (IQR: 2.1, 2.9). Two patients received two treatments (one for treatment of a separate lesion and the other for the initial incomplete targeting of the tumor). The median delivered tumor dose was 377.7 Gy (IQR: 246.5, 570.1). No patients developed ≥ Grade 3 AEs post-TARE. Complete response was achieved in 11/12 patients (92%). The conventional cohort consisted of 60 patients, all OPTN T2 treated with radiation segmentectomy with glass microspheres. Patients undergoing SSMT had a median time from clinic visit to treatment of 26.5 days (IQR: 15.3, 39) vs. 61 days (IQR: 48, 88.8) in the conventional TARE group (p < 0.001). Conclusions: Streamlined single-session resin-based Y90-TARE in patients with OPTN T2 stage HCC is feasible, efficacious, safe, and associated with reduced time to treatment. Full article
(This article belongs to the Section Cancer Therapy)
Show Figures

Figure 1

14 pages, 633 KB  
Article
Trends in Efficacy Endpoints in Phase II Glioblastoma Trials: A Regulatory Science Analysis (FY2020–FY2022)
by Shinya Watanabe, Makoto Maeda, Narushi Sugii, Masanobu Yamada, Yoshihiro Arakawa, Kimika Nakamura, Koichi Hashimoto and Eiichi Ishikawa
Cancers 2025, 17(5), 855; https://doi.org/10.3390/cancers17050855 - 1 Mar 2025
Viewed by 2132
Abstract
Background/Objectives: In glioblastoma trials, efficacy evaluation often deviates from the standard Response Evaluation Criteria in Solid Tumors (RECIST), an objective response rate (ORR) method, because of the unique nature of brain tumors. In phase II trials from the fiscal years (FYs) 2017–2019, [...] Read more.
Background/Objectives: In glioblastoma trials, efficacy evaluation often deviates from the standard Response Evaluation Criteria in Solid Tumors (RECIST), an objective response rate (ORR) method, because of the unique nature of brain tumors. In phase II trials from the fiscal years (FYs) 2017–2019, primary endpoints (PEs) were overall survival (OS) at 29%, ORR at 20%, progression-free survival (PFS) at 17%, and OS rate at 10%. Clinical trial methodologies have likely evolved in recent years. This study analyzed trends in efficacy endpoint settings for phase II trials from FY2020 to FY2022 compared with FY2017–2019. Methods: Using Clarivate’s Cortellis™ Clinical Trial Intelligence database, 116 phase II glioblastoma trials initiated between April 2020 and March 2023 were identified. After exclusions, 88 trials were analyzed. Trial characteristics, PEs, secondary endpoints (SEs), and designs were summarized and compared to prior data. Results: Of 101 PEs in the 88 trials, approximately half targeted newly diagnosed patients, and most tested pharmaceutical products. The most common PEs were FS (22%), OS (20%), and PFS rate (17%), while among 299 SEs, OS (15%), PFS (15%), and quality of life (14%) were most frequent. Time-to-event outcomes were employed in 74 (73%) trials, whereas ORR was used as a PE in only 7 trials (8%). ORR as a PE was significantly lower than in FY2017–2019 (p = 0.022). Conclusions: Recent glioblastoma trials show increased diversity in efficacy endpoints with less reliance on ORR compared to earlier periods, reflecting evolving strategies to address the unique challenges of glioblastoma treatment and evaluation. Full article
(This article belongs to the Special Issue Study on Clinical Treatment of Brain Tumors)
Show Figures

Figure 1

14 pages, 2960 KB  
Article
Trans-Arterial Embolization for Liver Metastases of Gastroenteropancreatic Neuroendocrine Tumors: Response Indicates Survival Benefit?
by Luohai Chen, Dequan Yang, Yueriguli Yusufu, Haikuan Liu, Man Liu, Yuan Lin, Yanji Luo, Qiao He, Minhu Chen, Zhirong Zeng, Ning Zhang and Yu Wang
Cancers 2025, 17(2), 309; https://doi.org/10.3390/cancers17020309 - 19 Jan 2025
Cited by 3 | Viewed by 2014
Abstract
Objective: To determine the impact of trans-arterial embolization (TAE) on overall survival (OS) in patients with liver metastases from gastroenteropancreatic neuroendocrine tumors (LM-GEP-NETs) and to identify factors that may influence tumor response to TAE treatment. Methods: This study included patients with histologically and [...] Read more.
Objective: To determine the impact of trans-arterial embolization (TAE) on overall survival (OS) in patients with liver metastases from gastroenteropancreatic neuroendocrine tumors (LM-GEP-NETs) and to identify factors that may influence tumor response to TAE treatment. Methods: This study included patients with histologically and radiologically confirmed LM-GEP-NETs who received TAE treatment at The First Affiliated Hospital, Sun Yat-sen University, between November 2016 and January 2023. Imaging responses were assessed using Response Evaluation Criteria in Solid Tumors (RECIST) 1.1 and modified RECIST (mRECIST) criteria. Tumor response was defined as complete or partial remission. Results: In total, 267 patients with LM-GEP-NETs were included. Patients with liver tumor burdens <25%, 25–50%, and ≥50% had progressively worse OS (p < 0.005). According to the RECIST criteria, 65.9% of patients exhibited tumor responses. Using the mRECIST criteria, 77.5% of patients showed tumor responses. Survival analyses with log-rank tests indicated that patients with tumor responses assessed using either the RECIST or mRECIST criteria had significantly better OS (p = 0.015 and p = 0.023, respectively). Further logistic regression analyses showed that early TAE (within 4 months after diagnosis of liver metastases) was associated with tumor responses assessed using RECIST or mRECIST. These results were further verified using propensity score matching and inverse probability treatment weighting adjusted datasets. Conclusions: A higher liver tumor burden was associated with poorer OS in patients with LM-GEP-NETs. Tumor response after TAE indicates survival benefits. Early TAE (within 4 months of diagnosis) was associated with better treatment responses. Full article
Show Figures

Figure 1

15 pages, 2118 KB  
Review
Radiological Assessment and Therapeutic Evaluation in Hepatocellular Carcinoma: Differentiation and Treatment Response with Japanese Guidelines
by Masakatsu Tsurusaki, Keitaro Sofue, Takamichi Murakami and Noboru Tanigawa
Cancers 2025, 17(1), 101; https://doi.org/10.3390/cancers17010101 - 31 Dec 2024
Cited by 1 | Viewed by 2549
Abstract
The liver is supplied by a dual blood flow system consisting of the portal vein and hepatic artery. Imaging techniques for diagnosing hepatocellular carcinoma (HCC) have been developed along with blood flow imaging, which visualizes the amount of arterial and portal blood flow. [...] Read more.
The liver is supplied by a dual blood flow system consisting of the portal vein and hepatic artery. Imaging techniques for diagnosing hepatocellular carcinoma (HCC) have been developed along with blood flow imaging, which visualizes the amount of arterial and portal blood flow. The diagnosis of HCC differentiation is important for early-stage liver cancer screening and determination of treatment strategies. Dynamic computed tomography/magnetic resonance imaging (MRI) includes blood flow imaging and MRI with contrast-enhanced ultrasound and liver-specific contrast agents are used in combination. In addition, unlike the Response Evaluation Criteria in Solid Tumors (RECIST) (version 1.1), which is the standard for determining treatment efficacy for solid tumors in general, tumor necrosis is generally considered a treatment effect in HCC, and the modified RECIST and Liver Cancer Direct Effectiveness Criteria (RECICL) are widely used. Familiarity with the definitions, criteria, and potential challenges of the mRECIST and RECICL is essential for their effective application in clinical practice. This review integrates the latest advancements in systemic treatments and imaging techniques, including the role of LI-RADS and updates on molecular-targeted therapies such as regorafenib, supported by some systematic review and meta-analysis. Full article
(This article belongs to the Special Issue Imaging of Hepatocellular Carcinomas)
Show Figures

Figure 1

18 pages, 6869 KB  
Article
Reliability of Automated RECIST 1.1 and Volumetric RECIST Target Lesion Response Evaluation in Follow-Up CT—A Multi-Center, Multi-Observer Reading Study
by Isabel C. Dahm, Manuel Kolb, Sebastian Altmann, Konstantin Nikolaou, Sergios Gatidis, Ahmed E. Othman, Alessa Hering, Jan H. Moltz and Felix Peisen
Cancers 2024, 16(23), 4009; https://doi.org/10.3390/cancers16234009 - 29 Nov 2024
Cited by 3 | Viewed by 2439
Abstract
Objectives: To evaluate the performance of a custom-made convolutional neural network (CNN) algorithm for fully automated lesion tracking and segmentation, as well as RECIST 1.1 evaluation, in longitudinal computed tomography (CT) studies compared to a manual Response Evaluation Criteria in Solid Tumors (RECIST [...] Read more.
Objectives: To evaluate the performance of a custom-made convolutional neural network (CNN) algorithm for fully automated lesion tracking and segmentation, as well as RECIST 1.1 evaluation, in longitudinal computed tomography (CT) studies compared to a manual Response Evaluation Criteria in Solid Tumors (RECIST 1.1) evaluation performed by three radiologists. Methods: Baseline and follow-up CTs of patients with stage IV melanoma (n = 58) was investigated in a retrospective reading study. Three radiologists performed manual measurements of metastatic lesions. Fully automated segmentations were generated, and diameters and volumes were computed from the segmentation results, with subsequent RECIST 1.1 evaluation. We measured (1) the intra- and inter-reader variability in the manual diameter measurements, (2) the agreement between manual and automated diameter measurements, as well as the resulting RECIST 1.1 categories, and (3) the agreement between the RECIST 1.1 categories derived from automated diameter measurement compared to automated volume measurements. Results: In total, 114 target lesions were measured at baseline and follow-up. The intraclass correlation coefficients (ICCs) for the intra- and inter-reader reliability of the diameter measurements were excellent, being >0.90 for all readers. There was moderate to almost perfect agreement when comparing the timepoint response category derived from the mean manual diameter measurements from all three readers with those derived from automated diameter measurements (Cohen’s k 0.67–0.76). The agreement between the manual and automated volumetric timepoint responses was substantial (Fleiss’ k 0.66–0.68) and that between the automated diameter and volume timepoint responses was substantial to almost perfect (Cohen’s k 0.81). Conclusions: The automated diameter measurement of preselected target lesions in follow-up CT is reliable and can potentially help to accelerate RECIST evaluation. Full article
(This article belongs to the Section Methods and Technologies Development)
Show Figures

Figure 1

14 pages, 1033 KB  
Article
Characteristics and Prognosis of Patients with Advanced Hepatocellular Carcinoma Treated with Atezolizumab/Bevacizumab Combination Therapy Who Achieved Complete Response
by Teiji Kuzuya, Naoto Kawabe, Hisanori Muto, Yoshihiko Tachi, Takeshi Ukai, Yuryo Wada, Gakushi Komura, Takuji Nakano, Hiroyuki Tanaka, Kazunori Nakaoka, Eizaburo Ohno, Kohei Funasaka, Mitsuo Nagasaka, Ryoji Miyahara and Yoshiki Hirooka
Curr. Oncol. 2024, 31(10), 6218-6231; https://doi.org/10.3390/curroncol31100463 - 16 Oct 2024
Cited by 5 | Viewed by 3415
Abstract
Aim: To investigate the characteristics and prognosis of patients with advanced hepatocellular carcinoma (HCC) treated with atezolizumab and bevacizumab (Atz/Bev) who achieved a complete response (CR) according to the modified Response Evaluation Criteria in Solid Tumors (mRECIST). Methods: A total of 120 patients [...] Read more.
Aim: To investigate the characteristics and prognosis of patients with advanced hepatocellular carcinoma (HCC) treated with atezolizumab and bevacizumab (Atz/Bev) who achieved a complete response (CR) according to the modified Response Evaluation Criteria in Solid Tumors (mRECIST). Methods: A total of 120 patients with Eastern Cooperative Oncology Group performance status (PS) 0 or 1 and Child–Pugh A at the start of Atz/Bev treatment were included. Barcelona Clinic Liver Cancer stage C was recorded in 59 patients. Results: The CR rate with Atz/Bev alone was 15.0%. The median time to CR was 3.4 months, and the median duration of CR was 15.6 months. A significant factor associated with achieving CR with Atz/Bev alone was an AFP ratio of 0.34 or less at 3 weeks. Adding transarterial chemoembolization (TACE) in the six patients who achieved a partial response increased the overall CR rate to 20%. Among the 24 patients who achieved CR, the median progression-free survival was 19.3 months, the median overall survival was not reached, and 14 patients (58.3%) were able to discontinue Atz/Bev and achieve a drug-free status. Twelve of these patients developed progressive disease (PD), but eleven successfully received post-PD treatments and responded well. Conclusions: Achieving CR by mRECIST using Atz/Bev alone or with additional TACE can be expected to offer an extremely favorable prognosis. Full article
Show Figures

Graphical abstract

15 pages, 3727 KB  
Article
Therapy Response and Survival among Patients with Gynecologic Tumors Treated with Transarterial Chemoperfusion and Transarterial Chemoembolization
by Thomas J. Vogl, Andreea I. Nica, Christian Booz, Leona S. Alizadeh, Sven Becker, Ibrahim Yel, Teodora Biciusca, Aynur Gökduman, Mirela Dimitrova, Christian Wolfram, Tatjana Gruber-Rouh, John Bielfeldt and Hamzah Adwan
Medicina 2024, 60(10), 1585; https://doi.org/10.3390/medicina60101585 - 27 Sep 2024
Cited by 1 | Viewed by 1973
Abstract
Background and Objectives: This study aimed to evaluate the tumor response relating to and survival benefit of transarterial chemoperfusion (TACP) and transarterial chemoembolization (TACE) in the treatment of patients with unresectable gynecologic tumors who are intolerant of or have a suboptimal response [...] Read more.
Background and Objectives: This study aimed to evaluate the tumor response relating to and survival benefit of transarterial chemoperfusion (TACP) and transarterial chemoembolization (TACE) in the treatment of patients with unresectable gynecologic tumors who are intolerant of or have a suboptimal response to chemotherapy and radiotherapy. Materials and Methods: Between January 2000 and October 2023, 75 patients diagnosed with gynecologic tumors underwent 213 TACP and 154 TACE procedures. Of these, 33 patients were treated with TACP, 20 were treated with TACE, and 22 received a combination of both therapies. A retrospective evaluation of local tumor response according to Response Evaluation Criteria in Solid Tumors (RECIST) was conducted, and survival rates were determined using the Kaplan–Meier estimator. Results: Of the total 75 patients, 50 (67%) maintained a stable course of disease until the completion of therapy, 10 (13%) had a partial response, 2 (3%) had a complete response following thermal ablation, and 13 (17%) experienced progression. Furthermore, a 6% reduction in the sum of the longest diameters and an 8% reduction in tumor volume were observed. The median overall survival was 16.15 months, while the median progression-free survival was 13.19 months. Conclusions: TACP and TACE are potential treatment options for local tumor control in patients with unresectable gynecologic tumors who are intolerant of or show a poor response to chemotherapy and radiotherapy. However, further investigation and adjustment of treatment protocols are required to improve therapy response and survival outcomes. Full article
(This article belongs to the Section Oncology)
Show Figures

Figure 1

Back to TopTop