Trans-Arterial Embolization for Liver Metastases of Gastroenteropancreatic Neuroendocrine Tumors: Response Indicates Survival Benefit?
Simple Summary
Abstract
1. Introduction
2. Methods
2.1. Patients
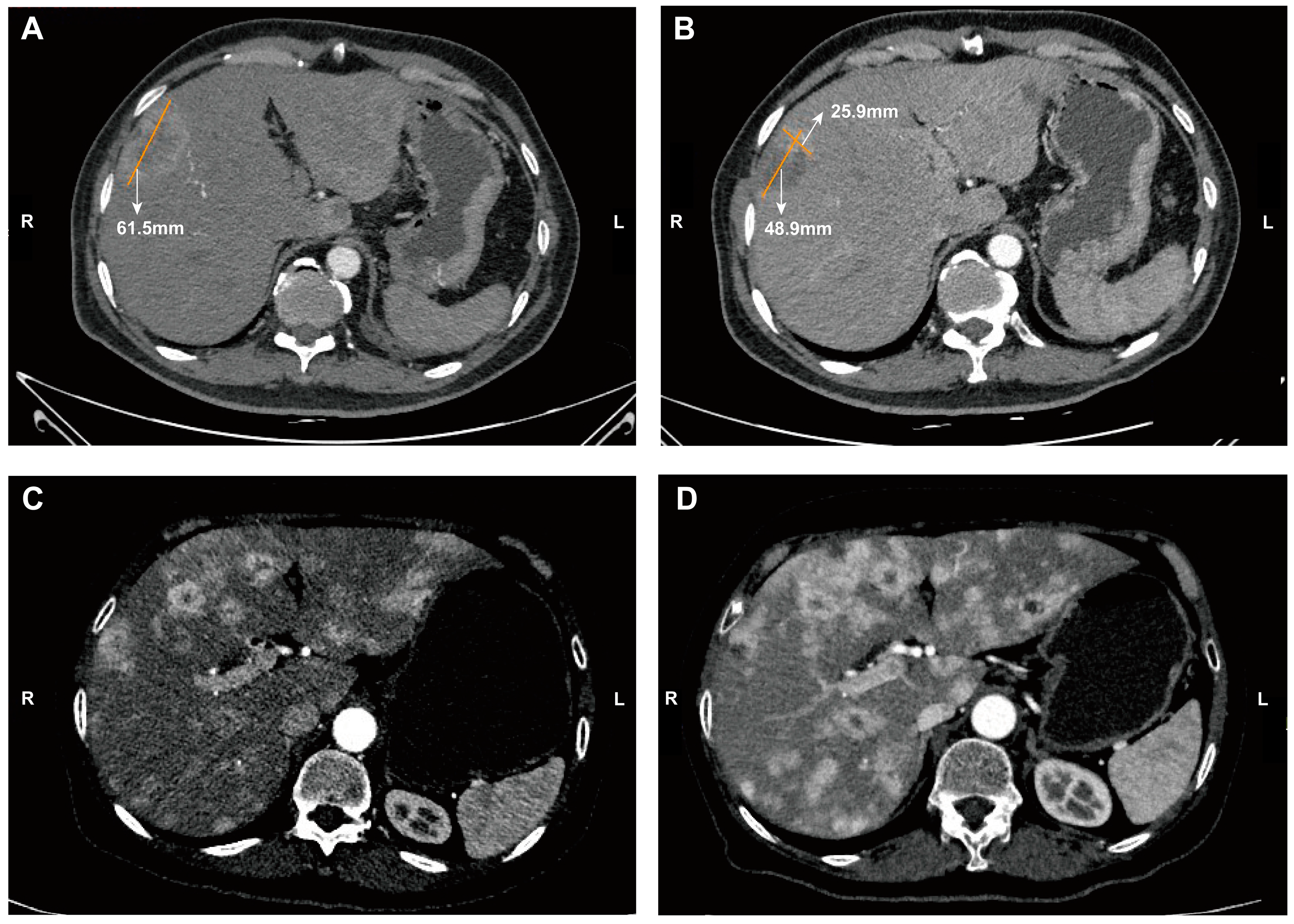
2.2. TAE Procedure and Tumor Response Assessment
2.3. CT Protocols and Assessments
2.4. Statistical Analysis
3. Results
3.1. Basic Demographics of Patients with LM-GEP-NETs
3.2. Survival Analysis of Patients with LM-GEP-NETs Treated with TAE
3.3. Identification of Factors Associated with Tumor Response After TAE Treatments
3.4. Analysis of the Role of Early TAE in Tumor Response Using Propensity Score and IPTW
4. Discussion
5. Conclusions
Author Contributions
Funding
Institutional Review Board Statement
Informed Consent Statement
Data Availability Statement
Acknowledgments
Conflicts of Interest
List of Abbreviations
| GEP-NETs | gastroenteropancreatic neuroendocrine tumors |
| LM | liver metastases |
| TAE | trans-arterial embolization |
| TACE | trans-arterial chemotherapy embolization |
| RECIST | response evaluation criteria in solid tumors |
| mRECIST | modified RECIST |
| OS | overall survival |
| CR | complete remission |
| PR | partial remission |
| SD | stable disease |
| PD | progressive disease |
| IPTW | inverse probability of treatment weighting |
References
- Chen, L.; Yan, X.; Liu, M.; Lin, Y.; He, Q.; Luo, Y.; Wang, Y.; Chen, M.; Zeng, Z.; Zhang, N. EP25 Metastatic Pattern and Its Prognostic Value in Well-differentiated Neuroendocrine Tumors. Gastroenterology 2023, 164, S-1192–S-1193. [Google Scholar] [CrossRef]
- Rinke, A.; Muller, H.H.; Schade-Brittinger, C.; Klose, K.J.; Barth, P.; Wied, M.; Mayer, C.; Aminossadati, B.; Pape, U.F.; Blaker, M.; et al. Placebo-controlled, double-blind, prospective, randomized study on the effect of octreotide LAR in the control of tumor growth in patients with metastatic neuroendocrine midgut tumors: A report from the PROMID Study Group. J. Clin. Oncol. 2009, 27, 4656–4663. [Google Scholar] [CrossRef] [PubMed]
- Chen, L.; Jumai, N.; He, Q.; Liu, M.; Lin, Y.; Luo, Y.; Wang, Y.; Chen, M.H.; Zeng, Z.; Zhang, X.; et al. The role of quantitative tumor burden based on [(68) Ga]Ga-DOTA-NOC PET/CT in well-differentiated neuroendocrine tumors: Beyond prognosis. Eur. J. Nucl. Med. Mol. Imaging 2023, 50, 525–534. [Google Scholar] [CrossRef] [PubMed]
- Liu, Y.; Chen, W.; Cui, W.; Liu, H.; Zhou, X.; Chen, L.; Li, J.; Chen, M.; Chen, J.; Wang, Y. Quantitative Pretreatment CT Parameters as Predictors of Tumor Response of Neuroendocrine Tumor Liver Metastasis to Transcatheter Arterial Bland Embolization. Neuroendocrinology 2020, 110, 697–704. [Google Scholar] [CrossRef] [PubMed]
- Kennedy, A.; Bester, L.; Salem, R.; Sharma, R.A.; Parks, R.W.; Ruszniewski, P.; Conference, N.E.-L.-M.C. Role of hepatic intra-arterial therapies in metastatic neuroendocrine tumours (NET): Guidelines from the NET-Liver-Metastases Consensus Conference. HPB 2015, 17, 29–37. [Google Scholar] [CrossRef] [PubMed]
- Liu, Y.; Liu, H.; Chen, W.; Yu, H.; Yao, W.; Fan, W.; Li, J.; Chen, M.; Chen, J.; Wang, Y. Prolonged progression-free survival achieved by octreotide LAR plus transarterial embolization in low-to-intermediate grade neuroendocrine tumor liver metastases with high hepatic tumor burden. Cancer Med. 2022, 11, 2588–2600. [Google Scholar] [CrossRef] [PubMed]
- Assouline, J.; Cannella, R.; Porrello, G.; de Mestier, L.; Dioguardi Burgio, M.; Raynaud, L.; Hentic, O.; Cros, J.; Tselikas, L.; Ruszniewski, P.; et al. Volumetric Enhancing Tumor Burden at CT to Predict Survival Outcomes in Patients with Neuroendocrine Liver Metastases after Intra-arterial Treatment. Radiol. Imaging Cancer 2023, 5, e220051. [Google Scholar] [CrossRef] [PubMed]
- Gowdra Halappa, V.; Corona-Villalobos, C.P.; Bonekamp, S.; Li, Z.; Reyes, D.; Cosgrove, D.; Pawlik, T.M.; Diaz, L.A.; Bhagat, N.; Eng, J.; et al. Neuroendocrine Liver Metastasis Treated by Using Intraarterial Therapy: Volumetric Functional Imaging Biomarkers of Early Tumor Response and Survival. Radiology 2013, 266, 502–513. [Google Scholar] [CrossRef] [PubMed]
- Touloupas, C.; Faron, M.; Hadoux, J.; Deschamps, F.; Roux, C.; Ronot, M.; Yevich, S.; Joskin, J.; Gelli, M.; Barbe, R.; et al. Long Term Efficacy and Assessment of Tumor Response of Transarterial Chemoembolization in Neuroendocrine Liver Metastases: A 15-Year Monocentric Experience. Cancers 2021, 13, 5366. [Google Scholar] [CrossRef]
- Fiore, F.; Del Prete, M.; Franco, R.; Marotta, V.; Ramundo, V.; Marciello, F.; Di Sarno, A.; Carratu, A.C.; de Luca di Roseto, C.; Colao, A.; et al. Transarterial embolization (TAE) is equally effective and slightly safer than transarterial chemoembolization (TACE) to manage liver metastases in neuroendocrine tumors. Endocrine 2014, 47, 177–182. [Google Scholar] [CrossRef] [PubMed]
- Eisenhauer, E.A.; Therasse, P.; Bogaerts, J.; Schwartz, L.H.; Sargent, D.; Ford, R.; Dancey, J.; Arbuck, S.; Gwyther, S.; Mooney, M.; et al. New response evaluation criteria in solid tumours: Revised RECIST guideline (version 1.1). Eur. J. Cancer 2009, 45, 228–247. [Google Scholar] [CrossRef]
- Lencioni, R.; Llovet, J.M. Modified RECIST (mRECIST) assessment for hepatocellular carcinoma. Semin. Liver Dis. 2010, 30, 52–60. [Google Scholar] [CrossRef]
- Paganelli, G.; Sansovini, M.; Nicolini, S.; Grassi, I.; Ibrahim, T.; Amadori, E.; Di Iorio, V.; Monti, M.; Scarpi, E.; Bongiovanni, A.; et al. (177)Lu-PRRT in advanced gastrointestinal neuroendocrine tumors: 10-year follow-up of the IRST phase II prospective study. Eur. J. Nucl. Med. Mol. Imaging 2021, 48, 152–160. [Google Scholar] [CrossRef] [PubMed]
- Strosberg, J.; El-Haddad, G.; Wolin, E.; Hendifar, A.; Yao, J.; Chasen, B.; Mittra, E.; Kunz, P.L.; Kulke, M.H.; Jacene, H.; et al. Phase 3 Trial of 177Lu-Dotatate for Midgut Neuroendocrine Tumors. N. Engl. J. Med. 2017, 376, 125–135. [Google Scholar] [CrossRef] [PubMed]
- Singh, S.; Halperin, D.; Myrehaug, S.; Herrmann, K.; Pavel, M.; Kunz, P.L.; Chasen, B.; Tafuto, S.; Lastoria, S.; Capdevila, J.; et al. [(177)Lu]Lu-DOTA-TATE plus long-acting octreotide versus high-dose long-acting octreotide for the treatment of newly diagnosed, advanced grade 2-3, well-differentiated, gastroenteropancreatic neuroendocrine tumours (NETTER-2): An open-label, randomised, phase 3 study. Lancet 2024, 403, 2807–2817. [Google Scholar] [CrossRef] [PubMed]
- Akhavanallaf, A.; Joshi, S.; Mohan, A.; Worden, F.P.; Krauss, J.C.; Zaidi, H.; Frey, K.; Suresh, K.; Dewaraja, Y.K.; Wong, K.K. Enhancing precision: A predictive model for (177)Lu-DOTATATE treatment response in neuroendocrine tumors using quantitative (68)Ga-DOTATATE PET and clinicopathological biomarkers. Theranostics 2024, 14, 3708–3718. [Google Scholar] [CrossRef] [PubMed]
- Ejaz, A.; Reames, B.N.; Maithel, S.; Poultsides, G.A.; Bauer, T.W.; Fields, R.C.; Weiss, M.J.; Marques, H.P.; Aldrighetti, L.; Pawlik, T.M. Cytoreductive debulking surgery among patients with neuroendocrine liver metastasis: A multi-institutional analysis. HPB 2018, 20, 277–284. [Google Scholar] [CrossRef] [PubMed]
- Desai, R.J.; Franklin, J.M. Alternative approaches for confounding adjustment in observational studies using weighting based on the propensity score: A primer for practitioners. BMJ 2019, 367, l5657. [Google Scholar] [CrossRef] [PubMed]
- Hsieh, P.M.; Hung, K.C.; Chen, Y.S. Tumor lysis syndrome after transarterial chemoembolization of hepatocellular carcinoma: Case reports and literature review. World J. Gastroenterol. 2009, 15, 4726–4728. [Google Scholar] [CrossRef] [PubMed]
- Lee, H.N.; Hyun, D. Complications Related to Transarterial Treatment of Hepatocellular Carcinoma: A Comprehensive Review. Korean J. Radiol. 2023, 24, 204–223. [Google Scholar] [CrossRef] [PubMed]



| Characteristics | N (%) or Median |
|---|---|
| Age, years | 53 |
| Sex | |
| Male | 121 (45.3) |
| Female | 146 (54.7) |
| Primary sites | |
| Pancreas | 147 (55.1) |
| Stomach | 14 (5.2) |
| Small intestine | 32 (12) |
| Rectum | 74 (27.7) |
| Ki-67 index, % | 8 |
| Grade | |
| Grade 1 | 34 (12.7) |
| Grade 2 | 214 (80.1) |
| Grade 3 | 19 (7.1) |
| Functionality | |
| Functional | 39 (14.6) |
| Non-functional | 228 (85.4) |
| Liver tumor burden | |
| <25% | 121 (45.3) |
| 25–50% | 56 (21.0) |
| ≥50% | 90 (33.7) |
| Extrahepatic metastases | |
| Yes | 178 (66.7) |
| No | 89 (33.3) |
| Primary resected | |
| Yes | 115 (43.1) |
| No | 152 (56.9) |
| Partial liver resection | |
| Yes | 43 (16.1) |
| No | 224 (83.9) |
| Liver-directed ablation before 1 | |
| Yes | 26 (9.7) |
| No | 241 (90.3) |
| Concurrent systemic treatment | |
| SSAs | 211 (79.0) |
| TKIs | 10 (3.7) |
| Everolimus | 5 (1.9) |
| Chemotherapy | 30 (11.2) |
| Combinations | 5 (1.9) |
| No | 6 (2.2) |
| Latency to TAE, months | 3 |
| CR/PR (RECIST) | CR/PR (mRECIST) | |||||||
|---|---|---|---|---|---|---|---|---|
| Univariate Analysis | Adjusted Analysis * | Univariate Analysis | Adjusted Analysis * | |||||
| OR (95%CI) | p | OR (95%CI) | p | OR (95%CI) | p | OR (95%CI) | p | |
| Age, years | 0.988 (0.968–1.009) | 0.258 | 1.001 (0.978–1.024) | 0.962 | ||||
| Sex | ||||||||
| Female | 1 | 1 | ||||||
| Male | 0.777 (0.467–1.291) | 0.330 | 0.855 (0.480–1.525) | 0.594 | ||||
| Primary sites | ||||||||
| Pancreas | 1 | 1 | 1 | 1 | ||||
| Stomach | 2.529 (0.752–11.527) | 0.168 | 2.491 (0.663–1.288) | 0.215 | 2.563 (0.663–16.910) | 0.230 | 2.518 (0.626–16.960) | 0.249 |
| Small intestine | 3.724 (1.463–11.471) | 0.011 | 2.605 (0.981–8.256) | 0.073 | 2.990 (1.092–10.542) | 0.052 | 2.842 (1.014–10.163) | 0.069 |
| Rectum | 1.529 (0.853–2.797) | 0.160 | 1.186 (0.632–2.258) | 0.598 | 2.734 (1.330–6.098) | 0.009 | 3.167 (1.445–7.469) | 0.006 |
| Grade | ||||||||
| Grade 1 | 1 | 1 | ||||||
| Grade 2 | 0.984 (0.439–2.091) | 0.967 | 1.036 (0.416–2.346) | 0.935 | ||||
| Grade 3 | 0.430 (0.133–1.353) | 0.152 | 1.641 (0.406–8.328) | 0.508 | ||||
| Functionality | ||||||||
| Non-functional | 1 | 1 | ||||||
| Functional | 1.040 (0.514–2.193) | 0.915 | 0.600 (0.288–1.308) | 0.182 | ||||
| Liver tumor burden | ||||||||
| <25% | 1 | 1 | ||||||
| 25–50% | 0.762 (0.391–1.505) | 0.428 | 0.525 (0.249–1.118) | 0.091 | ||||
| ≥50% | 0.666 (0.373–1.184) | 0.166 | 0.612 (0.312–1.193) | 0.149 | ||||
| Extrahepatic | ||||||||
| metastases | ||||||||
| No | 1 | 1 | ||||||
| Yes | 0.776 (0.445–1.330) | 0.362 | 0.821 (0.433–1.511) | 0.534 | ||||
| Primary resected | ||||||||
| No | 1 | 1 | ||||||
| Yes | 0.947 (0.569–1.581) | 0.834 | 0.904 (0.507–1.620) | 0.732 | ||||
| Partial liver resection | ||||||||
| No | 1 | 1 | ||||||
| Yes | 0.755 (0.388–1.498) | 0.411 | 0.535 (0.265–1.119) | 0.087 | ||||
| Liver-directed ablation before | ||||||||
| No | 1 | 1 | ||||||
| Yes | 0.569 (0.251–1.306) | 0.176 | 0.507 (0.218–1.252) | 0.124 | ||||
| Concurrent systemic treatment | ||||||||
| SSAs | 1 | 1 | 1 | 1 | ||||
| TKIs | 0.102 (0.015–0.420) | 0.005 | 0.118 (0.017–0.514) | 0.010 | 0.351 (0.096–1.426) | 0.117 | 0.394 (0.091–1.790) | 0.208 |
| Everolimus | 0.610 (0.099–4.716) | 0.593 | 0.576 (0.088–4.659) | 0.564 | 0.351 (0.056–2.729) | 0.260 | 0.648 (0.090–5.682) | 0.667 |
| Chemotherapy | 0.702 (0.320–1.608) | 0.387 | 0.727 (0.317–1.727) | 0.457 | 0.936 (0.379–2.659) | 0.892 | 0.809 (0.259–2.880) | 0.727 |
| Combinations | 0.271 (0.035–1.674) | 0.158 | 0.407 (0.051–2.596) | 0.340 | 0.156 (0.020–0.970) | 0.046 | 0.150 (0.018–1.012) | 0.051 |
| No | <0.001 (NA-1.558 × 1033) | 0.986 | <0.001 (NA-1.514 × 1032) | 0.986 | 0.047 (0.002–0.300) | 0.006 | 0.062 (0.003–0.430) | 0.015 |
| Latency to TAE, months | ||||||||
| ≥4 | 1 | 1 | 1 | 1 | ||||
| <4 | 2.602 (1.554–4.410) | <0.001 | 2.487 (1.435–4.368) | 0.001 | 2.479 (1.380–4.545) | 0.003 | 2.679 (1.438–5.124) | 0.002 |
| Before Matching | PS Matched | IPTW Adjusted | ||||||||||
|---|---|---|---|---|---|---|---|---|---|---|---|---|
| Late TAE | Early TAE | p | SMD | Late TAE | Early TAE | p | SMD | Late TAE | Early TAE | p | SMD | |
| n | 123 | 144 | 123 | 123 | 266.69 | 267.71 | ||||||
| Age (mean (SD)) | 50.57 (12.42) | 51.00 (12.72) | 0.780 | 0.034 | 50.57 (12.42) | 51.10 (12.46) | 0.739 | 0.042 | 50.77 (12.11) | 50.64 (12.49) | 0.929 | 0.011 |
| Male sex (%) | 57 (46.3) | 64 (44.4) | 0.852 | 0.038 | 57 (46.3) | 56 (45.5) | 1 | 0.016 | 115.3 (43.3) | 118.5 (44.2) | 0.878 | 0.02 |
| Primary site (%) | 0.755 | 0.135 | 0.947 | 0.077 | 0.989 | 0.045 | ||||||
| Pancreas | 70 (56.9) | 77 (53.5) | 70 (56.9) | 67 (54.5) | 145.1 (54.4) | 145.6 (54.4) | ||||||
| Rectum | 35 (28.5) | 39 (27.1) | 35 (28.5) | 37 (30.1) | 72.4 (27.2) | 75.8 (28.3) | ||||||
| Small intestine | 12 (9.8) | 20 (13.9) | 12 (9.8) | 14 (11.4) | 36.0 (13.5) | 32.5 (12.1) | ||||||
| Stomach | 6 (4.9) | 8 (5.6) | 6 (4.9) | 5 (4.1) | 13.1 (4.9) | 13.8 (5.2) | ||||||
| Grade (%) | 0.557 | 0.132 | 0.771 | 0.092 | 0.912 | 0.058 | ||||||
| Grade 1 | 15 (12.2) | 19 (13.2) | 15 (12.2) | 15 (12.2) | 37.2 (13.9) | 32.2 (12.0) | ||||||
| Grade 2 | 97 (78.9) | 117 (81.2) | 97 (78.9) | 100 (81.3) | 209.9 (78.7) | 214.5 (80.1) | ||||||
| Grade 3 | 11 (8.9) | 8 (5.6) | 11 (8.9) | 8 (6.5) | 19.6 (7.4) | 21.0 (7.9) | ||||||
| Functional tumors (%) | 13 (10.6) | 26 (18.1) | 0.121 | 0.215 | 13 (10.6) | 15 (12.2) | 0.841 | 0.051 | 39.9 (15.0) | 40.8 (15.3) | 0.958 | 0.008 |
| Primary resected (%) | 63 (51.2) | 52 (36.1) | 0.018 | 0.308 | 63 (51.2) | 50 (40.7) | 0.125 | 0.213 | 113.8 (42.7) | 116.7 (43.6) | 0.889 | 0.018 |
| Partial liver resection | ||||||||||||
| (%) | 26 (21.1) | 17 (11.8) | 0.057 | 0.254 | 26 (21.1) | 17 (13.8) | 0.179 | 0.194 | 42.4 (15.9) | 44.5 (16.6) | 0.888 | 0.019 |
| Liver-directed ablation | ||||||||||||
| before (%) | 19 (15.4) | 7 (4.9) | 0.007 | 0.356 | 19 (15.4) | 7 (5.7) | 0.023 | 0.321 | 25.7 (9.6) | 25.0 (9.3) | 0.943 | 0.01 |
| Liver tumor burden (%) | 0.168 | 0.233 | 0.639 | 0.121 | 0.988 | 0.021 | ||||||
| <25% | 49 (39.8) | 72 (50.0) | 49 (39.8) | 54 (43.9) | 117.9 (44.2) | 120.8 (45.1) | ||||||
| 25–50% | 31 (25.2) | 25 (17.4) | 31 (25.2) | 25 (20.3) | 56.5 (21.2) | 56.7 (21.2) | ||||||
| 50%+ | 43 (35.0) | 47 (32.6) | 43 (35.0) | 44 (35.8) | 92.3 (34.6) | 90.2 (33.7) | ||||||
Disclaimer/Publisher’s Note: The statements, opinions and data contained in all publications are solely those of the individual author(s) and contributor(s) and not of MDPI and/or the editor(s). MDPI and/or the editor(s) disclaim responsibility for any injury to people or property resulting from any ideas, methods, instructions or products referred to in the content. |
© 2025 by the authors. Licensee MDPI, Basel, Switzerland. This article is an open access article distributed under the terms and conditions of the Creative Commons Attribution (CC BY) license (https://creativecommons.org/licenses/by/4.0/).
Share and Cite
Chen, L.; Yang, D.; Yusufu, Y.; Liu, H.; Liu, M.; Lin, Y.; Luo, Y.; He, Q.; Chen, M.; Zeng, Z.; et al. Trans-Arterial Embolization for Liver Metastases of Gastroenteropancreatic Neuroendocrine Tumors: Response Indicates Survival Benefit? Cancers 2025, 17, 309. https://doi.org/10.3390/cancers17020309
Chen L, Yang D, Yusufu Y, Liu H, Liu M, Lin Y, Luo Y, He Q, Chen M, Zeng Z, et al. Trans-Arterial Embolization for Liver Metastases of Gastroenteropancreatic Neuroendocrine Tumors: Response Indicates Survival Benefit? Cancers. 2025; 17(2):309. https://doi.org/10.3390/cancers17020309
Chicago/Turabian StyleChen, Luohai, Dequan Yang, Yueriguli Yusufu, Haikuan Liu, Man Liu, Yuan Lin, Yanji Luo, Qiao He, Minhu Chen, Zhirong Zeng, and et al. 2025. "Trans-Arterial Embolization for Liver Metastases of Gastroenteropancreatic Neuroendocrine Tumors: Response Indicates Survival Benefit?" Cancers 17, no. 2: 309. https://doi.org/10.3390/cancers17020309
APA StyleChen, L., Yang, D., Yusufu, Y., Liu, H., Liu, M., Lin, Y., Luo, Y., He, Q., Chen, M., Zeng, Z., Zhang, N., & Wang, Y. (2025). Trans-Arterial Embolization for Liver Metastases of Gastroenteropancreatic Neuroendocrine Tumors: Response Indicates Survival Benefit? Cancers, 17(2), 309. https://doi.org/10.3390/cancers17020309

