Sign in to use this feature.

Years

Between: -

Subjects

remove_circle_outline
remove_circle_outline
remove_circle_outline
remove_circle_outline
remove_circle_outline
remove_circle_outline
remove_circle_outline
remove_circle_outline
remove_circle_outline

Journals

remove_circle_outline
remove_circle_outline
remove_circle_outline
remove_circle_outline
remove_circle_outline
remove_circle_outline
remove_circle_outline
remove_circle_outline
remove_circle_outline
remove_circle_outline
remove_circle_outline
remove_circle_outline
remove_circle_outline
remove_circle_outline
remove_circle_outline

Article Types

Countries / Regions

remove_circle_outline
remove_circle_outline
remove_circle_outline
remove_circle_outline
remove_circle_outline
remove_circle_outline

Search Results (1,634)

Search Parameters:
Keywords = RT distribution

Order results
Result details
Results per page
Select all
Export citation of selected articles as:
13 pages, 2078 KB  
Article
Identification of Yellowfin seabream (Acanthopagrus latus) Gcga and Gcgb Genes and Effects of Fasting Strategies on Their Expression
by Jiang Zhou, Baosuo Liu, Huayang Guo, Nan Zhang, Lin Xian, Qin Zhang, Kecheng Zhu and Dianchang Zhang
Fishes 2026, 11(4), 205; https://doi.org/10.3390/fishes11040205 (registering DOI) - 28 Mar 2026
Abstract
The yellowfin seabream (Acanthopagrus latus) is an important aquaculture species, yet endocrine gene regulation during practical fasting and feeding schedules remains poorly understood. Here, we identified and characterized two duplicated proglucagon genes (Gcga and Gcgb) and examined tissue distribution [...] Read more.
The yellowfin seabream (Acanthopagrus latus) is an important aquaculture species, yet endocrine gene regulation during practical fasting and feeding schedules remains poorly understood. Here, we identified and characterized two duplicated proglucagon genes (Gcga and Gcgb) and examined tissue distribution of expression and transcriptional responses to feeding-related challenges. Sequence and phylogenetic analyses confirmed that Gcga and Gcgb cluster with teleost proglucagon paralogs and contain conserved peptide domains. Both genes were broadly expressed, with the strongest relative qRT-PCR signal detected in brain and fin, while other tissues (including intestine, gill, stomach, and liver) showed comparatively low but detectable expression. Because the liver is a central metabolic organ and displayed reproducible feeding-dependent regulation, we further quantified hepatic transcription under two paradigms. In a short-term starvation–refeeding trial, hepatic Gcga was significantly suppressed during fasting and rebounded after refeeding, whereas Gcgb showed a distinct, weaker response. In an acute peri-feeding assay, hepatic Gcga and Gcgb displayed rapid but differential regulation around meal time, and Gcgb expression differed between feeding and non-feeding groups. Together, these results support transcriptional divergence between the two proglucagon paralogs in nutritional regulation within a liver-focused metabolic-response model. Our findings provide baseline molecular information for A. latus and offer endocrine insights relevant to evaluating feeding strategies in aquaculture. Full article
(This article belongs to the Section Genetics and Biotechnology)
37 pages, 10249 KB  
Article
Quercetin Sensitizes Retinoblastoma Cells to Mitomycin C Through Transcriptional Modulation of p53-Regulated Apoptotic Genes: A Preclinical Study
by Erkan Duman, Aydın Maçin, İlhan Özdemir, Şamil Öztürk and Mehmet Cudi Tuncer
Pharmaceuticals 2026, 19(4), 545; https://doi.org/10.3390/ph19040545 (registering DOI) - 28 Mar 2026
Abstract
Background/Objectives: Retinoblastoma represents the most common intraocular malignancy in childhood; however, the clinical applicability of mitomycin C (MMC) is restricted by dose-dependent ocular toxicity. Consequently, the development of pharmacological strategies that sensitize tumor cells to MMC while allowing dose reduction remains an [...] Read more.
Background/Objectives: Retinoblastoma represents the most common intraocular malignancy in childhood; however, the clinical applicability of mitomycin C (MMC) is restricted by dose-dependent ocular toxicity. Consequently, the development of pharmacological strategies that sensitize tumor cells to MMC while allowing dose reduction remains an unmet therapeutic objective. In this context, quercetin, a bioactive flavonoid with pleiotropic anticancer properties, has emerged as a potential chemosensitizing agent. Methods: Human retinoblastoma cell lines Y79 and WERI-Rb1 were exposed to MMC and quercetin, administered either individually or in fixed-ratio combinations. Cytotoxic responses were quantified through dose–response modeling and IC50 determination following 24 and 48 h of treatment. Drug–drug interactions were quantitatively characterized using the Chou–Talalay combination index (CI) approach and isobologram analysis. Cell cycle distribution was assessed by propidium iodide (PI)-based flow cytometric analysis to evaluate treatment-associated alterations in cell cycle progression. Apoptotic cell death was assessed by Annexin V-FITC/PI flow cytometry, while transcriptional modulation of genes associated with apoptosis, cell cycle regulation, and oxidative stress (BAX, BCL-2, TP53, CASP3, CDKN1A, and HMOX1) was evaluated by qRT-PCR. Modulation of tumor-supportive signaling was examined by measuring VEGF and IL-6 secretion. Translational relevance was further investigated using a three-dimensional (3D) tumor spheroid model, and the functional contribution of reactive oxygen species (ROS) was interrogated through N-acetyl-L-cysteine (NAC) rescue experiments. Results: Quercetin significantly enhanced the cytotoxic activity of MMC in both retinoblastoma cell lines, with CI values below 1 across IC50–IC90 effect levels, indicating a synergistic pharmacological interaction. PI–FACS analysis revealed that combined MMC and quercetin treatment induced a pronounced accumulation of cells in the G2/M phase, consistent with cell cycle arrest, with a more marked effect observed in Y79 cells compared with WERI-Rb1 cells. Combination treatment resulted in a pronounced increase in apoptotic cell populations compared with single-agent exposure and triggered a coordinated pro-apoptotic transcriptional response, characterized by increased expression of BAX, TP53, CASP3, CDKN1A, and HMOX1, alongside suppression of BCL-2 and a marked shift in the BAX/BCL-2 ratio. Concurrently, VEGF and IL-6 secretion were significantly reduced, reflecting attenuation of pro-angiogenic and pro-inflammatory signaling. Notably, synergistic cytotoxicity was maintained in 3D tumor spheroids, where combined treatment induced spheroid shrinkage, architectural disruption, and reduced viability. NAC pretreatment diminished ROS accumulation and partially restored cell viability, indicating that oxidative stress contributes to, but does not solely account for, the observed synergistic cytotoxic effect. Conclusions: Collectively, these findings indicate that quercetin appears to function as an effective chemosensitizing adjuvant to MMC in retinoblastoma models, through transcriptional changes consistent with p53-associated apoptotic signaling at the transcriptional level, G2/M cell cycle arrest, and partial involvement of ROS-related cellular stress responses, along with suppression of tumor-supportive signaling pathways. The preservation of synergistic activity in 3D tumor spheroids supports the potential preclinical relevance of this combination. However, these findings are based on transcriptional and phenotypic analyses and should be interpreted as hypothesis-generating, requiring further validation through protein-level and in vivo studies before translational application. Full article
(This article belongs to the Section Pharmacology)
Show Figures

Graphical abstract

17 pages, 2711 KB  
Article
Identification of the NLP Gene Family in Populus euphratica and Its Expression Analysis Under Drought Stress
by Xinyue Long, Chen Qiu, Jianhao Sun, Tongrui Song, Jing Li, Hongyan Jin, Donghui Miao, Xiaoli Han, Zhijun Li and Zhongshuai Gai
Int. J. Mol. Sci. 2026, 27(7), 3071; https://doi.org/10.3390/ijms27073071 - 27 Mar 2026
Abstract
NIN-like protein (NLP) transcription factors are key regulators of plant nitrate signaling and stress responses. Although extensively studied in Arabidopsis thaliana and various crops, it has rarely been reported in woody plants, particularly in drought-tolerant tree species. In this study, 10 PeNLP genes [...] Read more.
NIN-like protein (NLP) transcription factors are key regulators of plant nitrate signaling and stress responses. Although extensively studied in Arabidopsis thaliana and various crops, it has rarely been reported in woody plants, particularly in drought-tolerant tree species. In this study, 10 PeNLP genes were identified in the drought-tolerant tree Populus euphratica Oliv. through comparative genomics. These genes were unevenly distributed across seven chromosomes, and the gene-family expansion was mainly driven by whole-genome duplication (WGD). Analysis of conserved domains showed that PeNLPs contained 4–10 characteristic motifs, and most members possessed the typical RWP-RK and PB1-related domains. Collinearity analysis identified 18 NLP orthologous gene pairs between P. euphratica and its relatives (Populus pruinosa and Salix sinopurpurea), which exceeded the 15 pairs detected between P. euphratica and A. thaliana, indicating that the NLP family is more conserved within the Salicaceae. Phylogenetic analysis divided PeNLPs into three subfamilies, and their promoter regions harbored diverse cis-acting elements associated with hormone signaling, environmental stress, growth, and light response. Transcriptome and qRT-PCR analyses further demonstrated that PeNLPs were generally downregulated under drought stress. Overall, this study systematically characterized the evolution, structure, and drought responsiveness of the PeNLPs, providing a theoretical basis and genetic resources for improving nitrogen use efficiency and drought resistance in trees. Full article
(This article belongs to the Special Issue Molecular Mechanisms of Plant Adaptation to Stress)
26 pages, 7095 KB  
Article
CB-DETR: Symmetry-Guided Density-Adaptive Attention and Posterior Dynamic Query Decoding for Remote Sensing Target Detection
by Xiaodong Zhang, Jiahui Xue and Shengye Zhao
Symmetry 2026, 18(4), 561; https://doi.org/10.3390/sym18040561 - 25 Mar 2026
Viewed by 198
Abstract
Remote sensing object detection is severely hindered by background clutter and uneven object spatial distribution, limiting the performance of traditional algorithms and the original RT-DETR. To address these issues, this paper proposes an improved RT-DETR-based algorithm, CB-DETR. First, a symmetry-guided Density-Adaptive Attention (DAA) [...] Read more.
Remote sensing object detection is severely hindered by background clutter and uneven object spatial distribution, limiting the performance of traditional algorithms and the original RT-DETR. To address these issues, this paper proposes an improved RT-DETR-based algorithm, CB-DETR. First, a symmetry-guided Density-Adaptive Attention (DAA) module is designed to tackle insufficient intra-scale feature interaction and poor adaptability to uneven density regions in RT-DETR. Centered on a density estimation network, it predicts target density, generates normalized weights via temperature scaling and softmax, and dynamically adjusts receptive fields through a multi-branch structure to symmetrically adapt to high- and low-density regions, outperforming RT-DETR’s fixed receptive field design. Second, a cross-attention-fused Posterior Dynamic Query Decoder (PDQD) is constructed to overcome fixed query interaction and weak small/occluded object detection in the original decoder. A dynamic query update mechanism optimizes vectors via multi-round iterations, breaking fixed-layer limitations and mining detailed features in complex scenarios, thus improving small/occluded target detection accuracy. Comparative experiments on RSOD, DIOR, and DOTA datasets show that CB-DETR outperforms the original RT-DETR comprehensively: mAP50/mAP50:95 improve by 2.8%/2.1% and Precision (P)/Recall (R) by 4%/2.4% on RSOD; mAP50 improves by 1.3% on DIOR and 3% on DOTA. All core metrics surpass the original model and mainstream improved algorithms, verifying the effectiveness and innovation of the proposed improvements. Full article
(This article belongs to the Special Issue Symmetry-Aware Methods in Image Processing and Computer Vision)
Show Figures

Figure 1

21 pages, 1467 KB  
Article
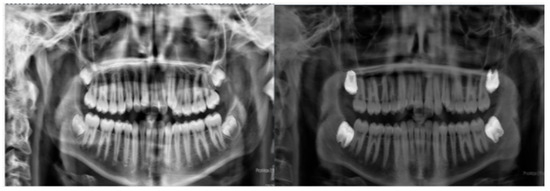
Comparative Analysis of Third Molar Segmentation Performance Between Sexes Using Deep Learning Models
by Ayşe Bulut, Melis Büşra Aşkın and Gökalp Çınarer
Diagnostics 2026, 16(7), 977; https://doi.org/10.3390/diagnostics16070977 - 25 Mar 2026
Viewed by 208
Abstract
Background/Objectives: Sex analysis in dental radiographs plays a central role in forensic identification, especially when biological material is compromised or incomplete. While most AI-based studies rely on complete dentition or craniofacial structures, this study investigates whether sex-based information can be extracted solely through [...] Read more.
Background/Objectives: Sex analysis in dental radiographs plays a central role in forensic identification, especially when biological material is compromised or incomplete. While most AI-based studies rely on complete dentition or craniofacial structures, this study investigates whether sex-based information can be extracted solely through segmentation of third molars in panoramic radiographs. Methods: A retrospective dataset containing 2818 third molar annotations from 757 panoramic images with balanced class distribution across training, validation, and testing subsets was constructed. Three sample segmentation-based deep learning models—YOLOv12n, YOLO26n, and RT-DETR v2—were evaluated under the same training conditions using detection-focused metrics including sensitivity, recall, and mAP. Results: YOLOv12n demonstrated the most balanced performance, achieving the highest mAP@0.50 score of 0.810 and mAP@0.50–0.95 score of 0.574; RT-DETR v2 showed higher sensitivity but lower localization accuracy and significantly longer training time. YOLO26n yielded the highest recall rate but showed an increase in false positives. Class-based analyses indicated sex-specific morphological variability in third molar anatomy, showing consistently higher detection performance in female samples. Conclusions: These results demonstrate that isolated third molars encode distinctive sex-related signals and that segmentation-focused frameworks offer an interpretable and clinically relevant alternative to whole-image classification in forensic dentistry. Future studies should incorporate larger multi-population datasets, multi-tooth integration, and explainable AI techniques to further improve robustness and applicability. Full article
(This article belongs to the Special Issue 3rd Edition: AI/ML-Based Medical Image Processing and Analysis)
Show Figures

Figure 1

18 pages, 9217 KB  
Article
Pleuromutilins Suppress Hepatocellular Carcinoma Growth via ABCA1 Inhibition-Induced Cholesterol Accumulation
by Mingshan Zhou, Jie Cao, Junfei Chen, Bohan Zhang, Jiawen Wu, Xiaofeng Lian, Miaoxin Zhu, Peifeng Liu and Min Zhou
Cancers 2026, 18(7), 1054; https://doi.org/10.3390/cancers18071054 (registering DOI) - 24 Mar 2026
Viewed by 69
Abstract
Bcakground: Hepatocellular carcinoma (HCC) is a prevalent malignancy with limited therapeutic options. Drug repurposing offers an attractive strategy to accelerate anticancer discovery. The pleuromutilin class of antibiotics, including the human-approved agent lefamulin and the veterinary drug tiamulin, has shown preliminary anticancer potential, but [...] Read more.
Bcakground: Hepatocellular carcinoma (HCC) is a prevalent malignancy with limited therapeutic options. Drug repurposing offers an attractive strategy to accelerate anticancer discovery. The pleuromutilin class of antibiotics, including the human-approved agent lefamulin and the veterinary drug tiamulin, has shown preliminary anticancer potential, but its efficacy and mechanism in HCC remain unexplored. Methods: The anti-tumor effects of lefamulin and tiamulin were evaluated in HCC cell lines, patient-derived organoids, and a C57BL/6 mouse subcutaneous tumor model. Safety was assessed in a human normal hepatocyte cell line and by histopathological examination of major organs in treated mice. Mechanistic investigations were performed using RNA-sequencing, RT-qPCR, immunohistochemistry (IHC), filipin staining, pharmacological rescue assays, and shRNA-mediated gene silencing. Results: In this study, we found that both lefamulin and tiamulin markedly inhibited HCC cell proliferation in vitro and significantly suppressed tumor growth in vivo (lefamulin vs. control, p = 0.014; tiamulin vs. control, p = 0.021), without causing significant toxicity. RNA-sequencing analysis revealed consistent downregulation of the cholesterol transporter Abca1 (ATP-binding cassette transporter A1) and alterations in cell adhesion molecule pathways. Functional studies confirmed that treatment reduced ABCA1 protein levels, leading to intracellular cholesterol accumulation and aberrant distribution. Furthermore, treated tumors exhibited a significant increase in CD8+ T-cell infiltration, with CD4+ T cells and macrophage infiltration remained unchanged, indicating a specific modulation of the tumor immune microenvironment. Conclusions: These findings suggest that lefamulin and tiamulin are promising therapeutic candidates for HCC. Full article
(This article belongs to the Special Issue Research and Treatment of Hepatocellular Carcinoma)
Show Figures

Figure 1

26 pages, 11524 KB  
Article
Genome-Wide Analysis of the Cinnamoyl-CoA Reductase (CCR) Gene Family and Its Involvement in Lignin Biosynthesis and Stress Responses in Six Tea Plant Cultivars
by Ni Yang, Gui-Nan Li, Jia-Qi Zhang, Yuan Gao, Zhi-Hang Hu, Ai-Sheng Xiong and Jing Zhuang
Int. J. Mol. Sci. 2026, 27(7), 2957; https://doi.org/10.3390/ijms27072957 - 24 Mar 2026
Viewed by 65
Abstract
Cinnamoyl-CoA reductase (CCR) is the first rate-limiting enzyme in the lignin biosynthetic pathway in higher plants. It catalyzes the conversion of cinnamoyl-CoA into the corresponding cinnamaldehydes. Tea plant (Camellia sinensis) is a perennial woody species. Systematic identification and functional characterization of [...] Read more.
Cinnamoyl-CoA reductase (CCR) is the first rate-limiting enzyme in the lignin biosynthetic pathway in higher plants. It catalyzes the conversion of cinnamoyl-CoA into the corresponding cinnamaldehydes. Tea plant (Camellia sinensis) is a perennial woody species. Systematic identification and functional characterization of the CCR gene family in tea plants is still limited. In this study, 202 CCR genes were identified from six tea plant cultivars, and a significant expansion of the CCR gene family was observed during the domestication process from wild to cultivated tea plants. A total of 50 CsCCR genes were identified in the tea cultivar ‘Shuchazao’, and they were distributed across 13 chromosomes. Multiple sequence alignment revealed that the key catalytic motifs NWYCYGK and H-X-X-K were fully conserved in CsCCR1, CsCCR2, and CsCCR3. Phylogenetic analysis showed that CsCCR1/2/3 clustered with AtCCR1/2 and PtrCCR2, which were known to be involved in lignin biosynthesis. Transcriptome data analysis showed that CsCCR3 exhibited significantly higher transcript abundance in stems than in young, mature, and old leaves. CsCCRL9, CsCCRL33, CsCCRL34, and CsCCRL36 also showed relatively high expression levels in stem. RT-qPCR further confirmed the high expression of CsCCR3 and CsCCRL33 in stems. Furthermore, comparison of CCR members derived from tandem and segmental duplication in the tea cultivar ‘Shuchazao’ showed clear differences in Ka/Ks ratios, expression correlations, and the distribution of stress-responsive cis-acting elements. This study provides new insights into the expansion and duplication-related functional divergence of the CCR gene family in tea plant and identifies key candidate genes potentially involved in lignin biosynthesis and stress responses. Full article
Show Figures

Figure 1

11 pages, 942 KB  
Article
Epidemiological Investigation and Partial NS5 Sequence Analysis of Duck Tembusu Virus in Several Regions of China in 2024
by Wenxin Li, Yang Li, Qingling Ren, Yang Wang, Chengjie Cai, Ying Wang, Xiaohui Yu, Yixin Wang and Hualei Liu
Viruses 2026, 18(4), 400; https://doi.org/10.3390/v18040400 - 24 Mar 2026
Viewed by 222
Abstract
In order to investigate the prevalence of duck Tembusu virus (DTMUV) in several regions of China, this study conducted an epidemiological survey on 2674 avian throat swab samples (including chickens, ducks, geese, and pigeons) collected from seven provincial-level administrative regions in China in [...] Read more.
In order to investigate the prevalence of duck Tembusu virus (DTMUV) in several regions of China, this study conducted an epidemiological survey on 2674 avian throat swab samples (including chickens, ducks, geese, and pigeons) collected from seven provincial-level administrative regions in China in 2024. Following RT-qPCR testing, 198 positive samples were identified, demonstrating an overall positivity rate of 7.40% (198/2674) across the seven provinces included in the study. Subsequent virus isolation using BHK-21 cells led to successful isolation in 17 cases. Additionally, genetic evolution analysis of the partial NS5 gene was carried out on these 17 isolates through RT-PCR amplification and sequencing. The data analysis indicated that Guangdong Province had the highest positive detection rate, reaching 22.40% (86/384), followed by Henan at 12.24% (47/384). Among infected hosts, geese were primarily affected by DTMUV, with a positivity rate of 40.76% (97/238). The prevailing subgroup of DTMUV in circulation in China is subgroup 3.2. Farmer’s markets, wholesale markets, slaughterhouses, and poultry farms all showed evidence of DTMUV presence, indicating widespread contamination across diverse locations. This study examines the distribution, genetics, and phylogenetic features of DTMUV in China, which will enhance our comprehension of the epidemiological landscape of DTMUV in China. Full article
(This article belongs to the Special Issue Avian Viruses and Antiviral Immunity)
Show Figures

Figure 1

13 pages, 1945 KB  
Article
Distribution of Ugandan Passiflora Virus (Potyvirus passiflorafricanse) in Major Passion Fruit Growing Areas in Rwanda
by Esperance Munganyinka, Bancy W. Waweru, Marie Claire Kanyange, Josiane Umubyeyi, Ghislain Niyonteze, Lydie Kankundiye and Melanie Mukashimwe
Viruses 2026, 18(3), 397; https://doi.org/10.3390/v18030397 - 23 Mar 2026
Viewed by 293
Abstract
Passion fruit (Passiflora edulis Sims) is an important economic fruit crop in Rwanda grown for both domestic consumption and export markets. However, viral diseases pose a significant threat to passion fruit production. Among these, passion fruit woodiness disease (PWD) is the most [...] Read more.
Passion fruit (Passiflora edulis Sims) is an important economic fruit crop in Rwanda grown for both domestic consumption and export markets. However, viral diseases pose a significant threat to passion fruit production. Among these, passion fruit woodiness disease (PWD) is the most destructive, causing yield losses of up to 100%. A survey was carried out to assess the distribution of Ugandan passiflora virus (UPV; Potyvirus passiflorafricanse) in major passion fruit growing areas. UPV is one of the major viruses known to cause PWD. The incidence of viral symptoms observed in the field did not differ significantly among districts, ranging from 81% in Rusizi to 100% in Rwamagana. However, mean symptom severity scores varied significantly between districts, with the highest severity recorded in Kayonza (3.1) and the lowest in Rulindo (1.9). Serological analysis detected potyviruses in 44% of the total samples (n = 216), including 43% of symptomatic (n = 144) and 47% of asymptomatic (n = 72) leaf samples collected from passion fruit fields. Further analysis using Reverse-Transcription Polymerase Chain Reaction (RT-PCR) detected UPV in 56% of symptomatic (n = 126) and 53% of asymptomatic (n = 60) samples, corresponding to 55% of the total samples tested (n = 186). The virus was present in all surveyed districts, with UPV infection prevalence of 89% in Rusizi, 75% in Rwamagana, 74% in Karongi, 59% in Nyamagabe, 44% in Nyaruguru, 38% in Kayonza, and 30% in both Gakenke and Rulindo. Fifteen partial coat-protein gene sequences for the Rwandan isolates were obtained. The newly described Rwandan isolates shared 97–99% nucleotide (nt) identity with one another, 89–94% with previously reported Rwandan isolates, 81–97% with Ugandan isolates, and 80–82% with Kenyan UPV isolates, suggesting that the Rwandan virus population is relatively homogenous. Genetic distances among the 15 new UPV isolates and previously reported Rwandan, Ugandan, and Kenyan isolates were very short (0.01–0.03), indicating high sequence similarity. All Rwandan isolates clustered into a single major clade, together with some Ugandan and Kenyan isolates. This close genetic relationship suggests a common ancestry and the regional spread of a single dominant UPV lineage. These findings highlight the need to reinforce seed and planting-material certification systems, as well as the need to enhance farmer capacity through targeted training on viral disease identification and management practices. This is vital to limiting the spread of viral diseases that threaten income security among smallholder passion fruit farmers. Full article
(This article belongs to the Special Issue Economically Important Viruses in African Crops)
Show Figures

Figure 1

21 pages, 10090 KB  
Article
Oxidative Stress and Ultrastructural Changes in Laminar Tissue of Dairy Cows with Acute Laminitis Induced by Oligofructose Overload
by Muhammad Abid Hayat, Jiafeng Ding, Xianhao Zhang, Tao Liu, Jiantao Zhang and Hongbin Wang
Animals 2026, 16(6), 980; https://doi.org/10.3390/ani16060980 - 20 Mar 2026
Viewed by 139
Abstract
This study explored ultrastructural changes and the expression of oxidative stress-related genes and proteins in the laminar tissue of dairy cows with acute laminitis induced by oligofructose (OF) overload. Twelve clinically healthy, non-pregnant Chinese Holstein cows were randomly allocated into two groups: the [...] Read more.
This study explored ultrastructural changes and the expression of oxidative stress-related genes and proteins in the laminar tissue of dairy cows with acute laminitis induced by oligofructose (OF) overload. Twelve clinically healthy, non-pregnant Chinese Holstein cows were randomly allocated into two groups: the OF-overload group (n = 6) and the control group (n = 6). 17 g/kg BW of oligofructose (OF) dissolved in 20 mL/kg BW of deionized water was provided to the OF-treated group, while the control group received 20 mL/kg BW of deionized water via a stomach tube. Laminar tissue samples were collected at 72 h post-OF administration. RT-qPCR revealed significantly increased Keap1 mRNA expression (p = 0.0097) and significantly decreased Nrf2 (p < 0.0001), Ho1 (p < 0.0001), and Nqo1 (p = 0.0101) mRNA expression in the OF group compared to the control group. Western blot analysis confirmed corresponding protein-level changes, with significantly increased Keap1 (p = 0.0062) and significantly decreased Nrf2 (p = 0.0008), Ho1 (p = 0.0297), and Nqo1 (p = 0.0004) in the OF group compared with the control group. Immunohistochemical analysis revealed significantly increased cytoplasmic Keap1 distribution (p = 0.0200) and significantly decreased nuclear Nrf2 localization (p = 0.0032) in the OF group than the control group. Ultrastructural examination revealed significant pathological changes in the OF group, including a reduced number of hemidesmosomes (p < 0.01), an increased distance from epidermal basal cells to the lamina densa (p < 0.01), thickened and damaged lamina densa with disorganized collagen fibers, and deformed basal cell nuclei with reduced chromatin relative to the control group. In conclusion, these findings demonstrate that OF-induced acute laminitis is associated with significant dysregulation of the Keap1-Nrf2 antioxidant pathway and severe ultrastructural damage to the dermal–epidermal interface, suggesting that oxidative stress contributes to laminar tissue injury in dairy cows. Full article
(This article belongs to the Section Veterinary Clinical Studies)
Show Figures

Figure 1

15 pages, 6190 KB  
Article
Differential Expression of MITF, WNT3A, SLC7A11, and EDN3 in the Shoulder ‘Bider Marking’ of Dun Mongolian Horses
by Tana An and Manglai Dugarjaviin
Animals 2026, 16(6), 967; https://doi.org/10.3390/ani16060967 - 19 Mar 2026
Viewed by 215
Abstract
(1) Background: The “Bider marking” on the shoulder of the Dun Mongolian horse represents a unique pigmentation pattern, the molecular formation mechanism of which remains incompletely understood. This study investigates the differential expression and protein localization of pigment-related genes—specifically the core transcription factor [...] Read more.
(1) Background: The “Bider marking” on the shoulder of the Dun Mongolian horse represents a unique pigmentation pattern, the molecular formation mechanism of which remains incompletely understood. This study investigates the differential expression and protein localization of pigment-related genes—specifically the core transcription factor MITF, as well as EDN3, SLC7A11, and WNT3A—in the skin. The analysis focuses on three distinct regions: the dark-colored area of the ‘Bider marking’ shoulder (BIDC), the light-colored area of the ‘Bider marking’ shoulder (BILC), and the non-Bider-marked shoulder area (NBIS). The aim is to clarify their correlation with the formation of this distinctive pigmentation pattern. (2) Methods: Skin tissue samples from both the “Bider marking” and non-Bider-marked shoulder regions were collected (n ≥ 3). The mRNA expression levels were quantified using RT-qPCR, protein levels were analyzed through Western blotting, and protein localization was assessed via immunohistochemistry and immunofluorescence. (3) Results: Compared to the NBIS group, both the BIDC and BILC groups exhibited significantly elevated protein expression of MITF and WNT3A. Further immunofluorescence showed that the distribution of MITF protein exhibits regional specificity in the epidermis and hair follicles. In the BIDC region, the protein is localized specifically to the stratum corneum of the epidermis, the dermal papilla, and the outer root sheath of hair follicles. In contrast, the mRNA and protein expression levels of SLC7A11 and EDN3 did not display consistent patterns among the three groups, and no specific differences were observed in tissue localization. (4) Conclusions: The findings show that the specific pigmentation in dark “Bider marking” regions is closely linked to the upregulated protein levels and unique spatial patterns of MITF and WNT3A; SLC7A11 and EDN3 may not be primary regulators of this trait. Full article
(This article belongs to the Special Issue Equine Genetics, Evolution, and Breeds)
Show Figures

Figure 1

20 pages, 2825 KB  
Article
FAD-DETR: A Frequency-Adaptive and Haze-Aware Detection Transformer for Autonomous Driving in Adverse Weather
by Ke Lv, Chendong Yao, Kaixin Huang, Sichao Ye and Jiayan Zhuang
Appl. Sci. 2026, 16(6), 2913; https://doi.org/10.3390/app16062913 - 18 Mar 2026
Viewed by 176
Abstract
Robust perception in adverse meteorological conditions remains a critical challenge for autonomous driving systems. Generic object detectors often suffer from feature degradation and domain shifts in foggy environments due to the loss of high-frequency details and contrast attenuation. To address these limitations, we [...] Read more.
Robust perception in adverse meteorological conditions remains a critical challenge for autonomous driving systems. Generic object detectors often suffer from feature degradation and domain shifts in foggy environments due to the loss of high-frequency details and contrast attenuation. To address these limitations, we propose the Frequency-Adaptive and Haze-Aware Detection Transformer (FAD-DETR). Building upon the Real-Time Detection Transformer (RT-DETR), an atmospheric scattering suppression module recalibrates the feature distribution in the latent space based on physical scattering priors to mitigate haze interference. Subsequently, an edge-guided enhancement module utilizes Laplacian operators to enhance structural boundaries blurred by fog. Finally, a frequency-adaptive context aggregation module is applied to reduce spectral aliasing during cross-scale feature fusion. Evaluations on the real-world RTTS benchmark demonstrate that FAD-DETR achieves a favorable performance, improving the mAP@50 by 4.1% compared to the RT-DETR-L baseline. Furthermore, zero-shot experiments on the synthetic Foggy Cityscapes dataset indicate the generalization capability of the model without additional fine-tuning. This framework provides a practical solution to visual perception tasks in complex weather. Full article
Show Figures

Figure 1

17 pages, 6493 KB  
Article
Genome-Wide Identification of the CmnsLTP Gene Family in Melon (Cucumis melo L.) and Its Response to Copper Stress
by Kun Zhang, Zhiyi Yang, Ende Chen, Jicheng Shi, Tiantian Yang, Huilin Wang, Xuezheng Wang, Shi Liu, Feishi Luan, Zuyun Dai, Zhongzhou Yang, Xiaofei Wei, Zhongmin Yang, Chong Du and Chaonan Wang
Horticulturae 2026, 12(3), 371; https://doi.org/10.3390/horticulturae12030371 - 18 Mar 2026
Viewed by 165
Abstract
Non-specific Lipid Transfer Proteins (nsLTPs) constitute a ubiquitous family of plant proteins that play a critical role in mediating plant adaptation and tolerance to abiotic stress. While their functions have been extensively characterized in model plants such as Arabidopsis thaliana and rice (Oryza [...] Read more.
Non-specific Lipid Transfer Proteins (nsLTPs) constitute a ubiquitous family of plant proteins that play a critical role in mediating plant adaptation and tolerance to abiotic stress. While their functions have been extensively characterized in model plants such as Arabidopsis thaliana and rice (Oryza sativa L.), they remain largely unexplored in Cucurbitaceae crops. We identified 31 CmnsLTP genes in the melon (Cucumis melo L.) genome, these genes were unevenly distributed across 11 chromosomes and classified into 8 subfamilies. Members of the same subfamily have similar gene structures and conserved domains, with all family members having motif 1 and motif 3. The promoter region contains cis elements that respond to light, hormones (ABA and MeJA response elements), and abiotic stress, suggesting that this gene is involved in melon growth, development, and stress response. Previous studies have identified copper resistant candidate MELO3C031073.2 through forward genetics, which belongs to the nsLTP family and was named CmnsLTPY.9 in this study. The RT qPCR results showed that the CmnsLTPY.9 exhibited specific expression in different tissues, The expression levels of CmnsLTPY.9 in leaves ranged from 0.3 to 3.2. Under copper stress, the ‘M625’ (copper-sensitive) showed a 3.2-fold increase, indicating marked upregulation. Additionally, CmnsLTPY.9 was localized to the endoplasmic reticulum, and the position remains unchanged after copper stress. This study provides the first systematic analysis of the CmnsLTP gene family in melon; these findings provide fundamental insights into their specific functions in plant development and stress response, as well as valuable genetic resources for future research on copper-tolerant molecular breeding. Full article
(This article belongs to the Special Issue Germplasm Resources and Genetics Improvement of Watermelon and Melon)
Show Figures

Figure 1

19 pages, 11310 KB  
Article
Genome-Wide Identification and Functional Studies of the APX Gene Family in Oat (Avena sativa L.)
by Conghui Li, Lijuan Zhao, Xinmei Li, Xinyu He, Yuhao Niu, Guangyin Wang, Lijun Cheng, Siyue He, Yi Zhang and Haitao Liu
Life 2026, 16(3), 494; https://doi.org/10.3390/life16030494 - 18 Mar 2026
Viewed by 263
Abstract
Ascorbate peroxidase (APX) plays a crucial role in both the removal of hydrogen peroxide and chloroplast development in response to light. To clarify the function of the APX gene family in oat (Avena sativa L.), we identified the family members and systematically [...] Read more.
Ascorbate peroxidase (APX) plays a crucial role in both the removal of hydrogen peroxide and chloroplast development in response to light. To clarify the function of the APX gene family in oat (Avena sativa L.), we identified the family members and systematically analyzed their characteristics, phylogenetic relationships, promoter cis-elements, and expression patterns. Overall, 27 oat APX (AsAPX) members were identified in oat, and all encoded products had a peroxidase or peroxidase-like heptapeptide structure and motif. The genes were distributed unevenly across 15 chromosomes, with amino acid sequences ranging from 112 to 510 and molecular weights varying between 11.83 and 55.45 kDa. A phylogenetic analysis revealed that AsAPXs can be categorized into five branches, while an intra-group syntenic analysis identified 17 pairs of duplicate segments. Furthermore, 41 cis-element recognition sites were identified in the promoter regions of AsAPX genes, primarily comprising light-responsive and phytohormone-responsive elements. Moreover, qRT-PCR results indicated that AsAPX genes respond to light. Based on these results, our research establishes a foundation for exploration of AsAPX gene functionality and offers light-inducible candidate genes for chloroplast development to enhance A. sativa and improve crop production. Full article
Show Figures

Figure 1

17 pages, 22749 KB  
Article
Identification and Application of Carbonate Reservoir Based on Bayesian Model
by Bei Wang, Xixiang Liu, Yong Hu, Lianjin Zhang, Ruiduo Zhang, Liang Wang, Xin Dai and Jie Tian
Processes 2026, 14(6), 955; https://doi.org/10.3390/pr14060955 - 17 Mar 2026
Viewed by 246
Abstract
Aiming at the challenges in accurately identifying complex pore-space types, significant scale variations, and overlapping log responses in carbonate reservoirs, this study takes the Jurassic Da’anzhai Member in the central Sichuan Basin as the research object. By integrating core observations, cast thin sections, [...] Read more.
Aiming at the challenges in accurately identifying complex pore-space types, significant scale variations, and overlapping log responses in carbonate reservoirs, this study takes the Jurassic Da’anzhai Member in the central Sichuan Basin as the research object. By integrating core observations, cast thin sections, scanning electron microscopy, and well log data, the genetic types and log response characteristics of pore spaces at different scales are systematically analyzed. Building on this, a multivariate distribution identification model for pore-space scales is established based on Bayesian discriminant theory. To enhance the model’s identification accuracy, Z-score normalization is introduced to eliminate dimensional differences. Nonlinear combined features, such as the ratio of the compensated acoustic log (AC) to the gamma ray log (GR) and the logarithmic difference between deep and shallow resistivity logs (RT and RI), are constructed to achieve a multidimensional coupling representation of reservoir physical properties; a class-balancing augmentation method based on Gaussian perturbation is adopted to mitigate decision bias caused by sample imbalance. The results show that the improved Bayesian model achieves F1 scores exceeding 0.80 for large-, small-, and micro-scale pore spaces, with an overall identification accuracy of 84.38%, significantly outperforming the conventional crossplot method’s accuracy of 59.38%. Validation through experiments and well log data demonstrates that the model’s identification results are consistent with core and thin-section observations, indicating that this method can effectively identify large-, small-, and micro-scale pore spaces in strongly heterogeneous carbonate reservoirs. This study provides a valuable approach for reservoir log interpretation and favorable reservoir prediction. Full article
Show Figures

Figure 1

Back to TopTop