Characterization of the Pepper Virome in Oklahoma Reveals Emerging RNA and DNA Viruses
Abstract
1. Introduction
2. Materials and Methods
2.1. Field Survey and Collection of Samples
2.2. Nucleic Acid Extraction
2.3. Samples Analyzed by HTS, Sample Preparations, and Genome Assemblies
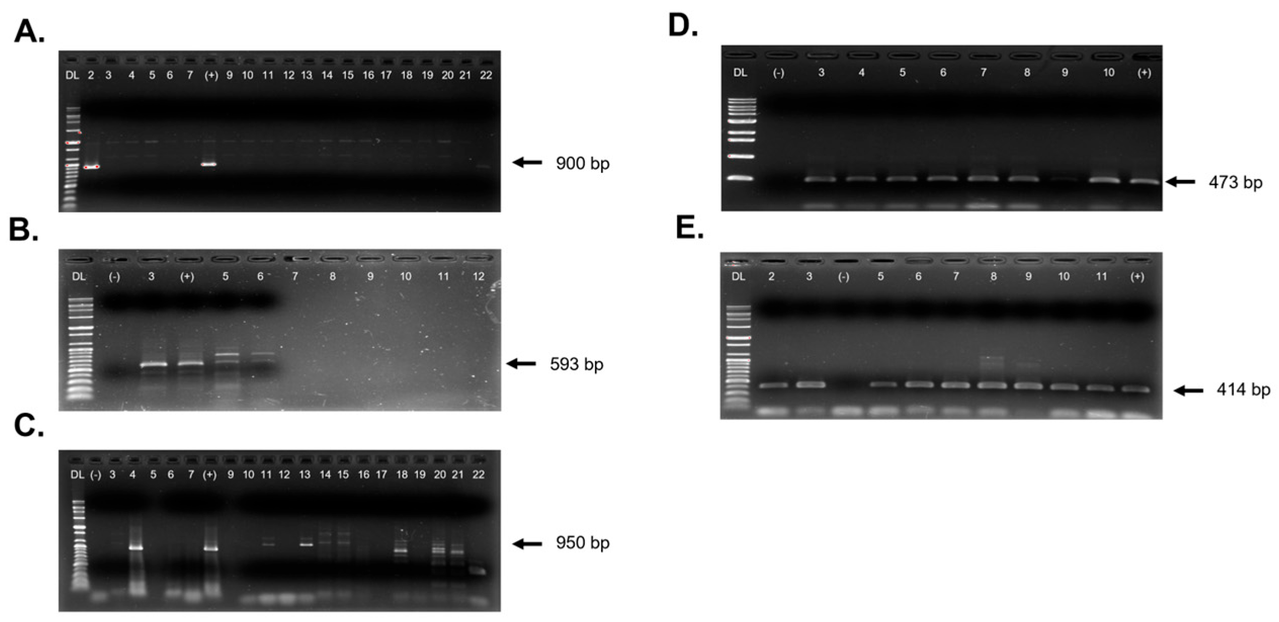
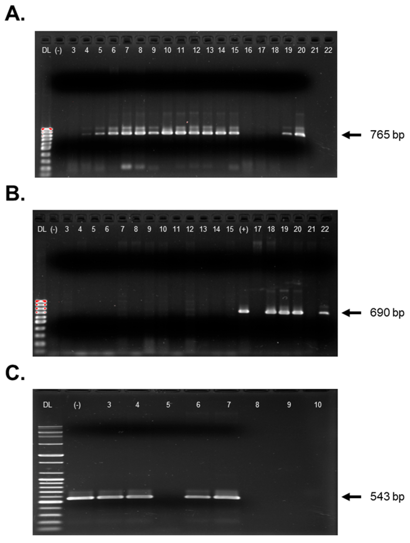
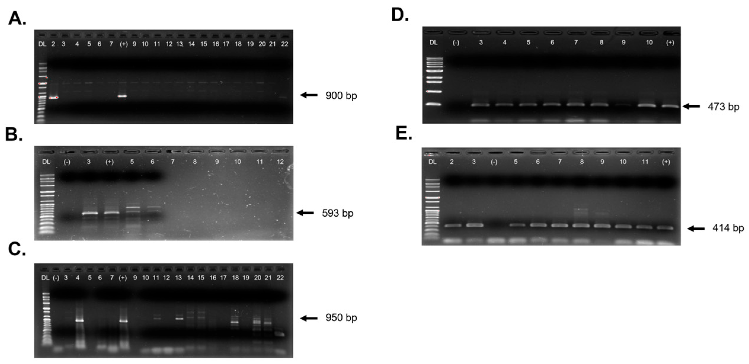
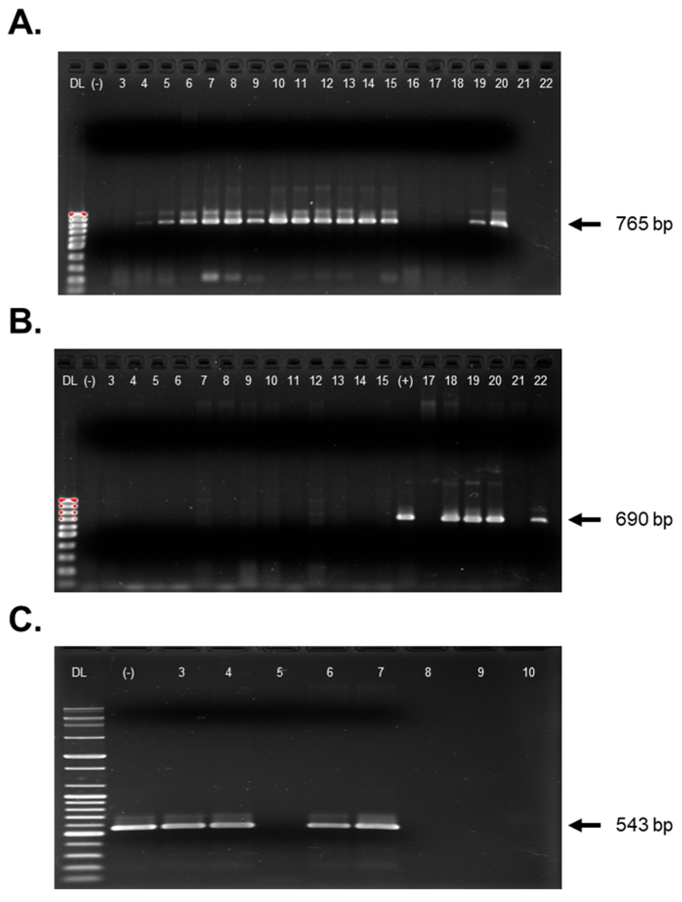
2.4. Development of RT-PCR and PCR Assays
2.5. Virus Occurrence and Detection Rates
3. Results
3.1. Samples and Field Symptoms Associated with Viral Infection
3.2. HTS Total Read Count and Contigs Assembled
3.3. Viruses Identified by HTS from Pepper
3.4. Viruses Identified by HTS from Non-Pepper Hosts
3.5. Occurrence of Viruses in 2021 and 2022
3.6. Virus Detection Rates for 2021 and 2022
3.7. Mixed Viral Infections
4. Discussion
5. Conclusions
Supplementary Materials
Author Contributions
Funding
Institutional Review Board Statement
Informed Consent Statement
Data Availability Statement
Acknowledgments
Conflicts of Interest
References
- Chen, L.F.; Vivoda, E.; Gilbertson, R. Genetic diversity in curtoviruses: A highly divergent strain of beet mild curly top virus associated with an outbreak of curly top disease in pepper in Mexico. Arch. Virol. 2011, 156, 547–555. [Google Scholar] [CrossRef]
- Pérez-Colmenares, Y.; Mejías, A.; Rodríguez-Román, E.; Avilán, D.; Gómez, J.; Marys, E.; Olachea, J.E.; Zambrano, K. Identification of Tomato spotted wilt virus associated with fruit damage during a recent virus outbreak in pepper in Venezuela. Plant Dis. 2015, 99, 896. [Google Scholar] [CrossRef]
- Waweru, B.; Kilalo, D.; Miano, D.; Kimenju, J.; Rukundo, P. Diversity and economic importance of viral diseases of pepper (Capsicum spp.) in Eastern Africa. J. Appl. Hortic. 2019, 21, 70–76. [Google Scholar] [CrossRef]
- Pernezny, K.; Roberts, P.D.; Murphy, J.F.; Goldberg, N.P. Compendium of Pepper Diseases; APS Press: St. Paul, MN, USA, 2003; Volume 88. [Google Scholar]
- Ali, A. Overview of RNA viruses infecting Capsicum species. In Pepper Virome: Molecular Biology, Diagnostics and Management; Academic Press: Cambridge, MA, USA, 2024; pp. 67–98. [Google Scholar]
- Moubset, O.; François, S.; Maclot, F.; Palanga, E.; Julian, C.; Claude, L.; Fernandez, E.; Rott, P.; Daugrois, J.-H.; Antoine-Lorquin, A.; et al. Virion-associated nucleic acid-based metagenomics: A decade of advances in molecular characterization of plant viruses. Phytopathology 2022, 112, 2253–2272. [Google Scholar] [CrossRef] [PubMed]
- Koloniuk, I.; Přibylová, J.; Čmejla, R.; Valentová, L.; Fránová, J. Identification and characterization of a novel umbra-like virus, strawberry virus a, infecting strawberry plants. Plants 2022, 11, 643. [Google Scholar] [CrossRef] [PubMed]
- Read, D.A.; Thompson, G.D.; Cordeur, N.L.; Swanevelder, D.; Pietersen, G. Genomic characterization of grapevine viruses n and o: Novel vitiviruses from South Africa. Arch. Virol. 2022, 167, 611–614. [Google Scholar] [CrossRef]
- Massart, S.; Olmos, A.; Jijakli, H.; Candresse, T. Current impact and future directions of high throughput sequencing in plant virus diagnostics. Virus Res. 2014, 188, 90–96. [Google Scholar] [CrossRef]
- Adams, I.; Fox, A. Diagnosis of plant viruses using next-generation sequencing and metagenomic analysis. In Current Research Topics in Plant Virology; Springer: Cham, Switzerland, 2016; pp. 323–335. [Google Scholar]
- Jo, Y.; Choi, H.; Kim, S.M.; Kim, S.L.; Lee, B.C.; Cho, W.K. The pepper virome: Natural co-infection of diverse viruses and their quasispecies. BMC Genomics 2017, 18, 453. [Google Scholar] [CrossRef]
- Jo, Y.; Choi, H.; Lee, J.H.; Moh, S.H.; Cho, W.K. Viromes of 15 pepper (Capsicum annuum L.) cultivars. Int. J. Mol. Sci. 2022, 23, 10507. [Google Scholar] [CrossRef]
- Dias, N.P.; Hu, R.; Hale, F.A.; Hansen, Z.R.; Wszelaki, A.; Domier, L.L.; Hajimorad, M.R. Viromes of field-grown tomatoes and peppers in Tennessee revealed by RNA sequencing followed by bioinformatic analysis. Plant Health Prog. 2023, 24, 207–213. [Google Scholar] [CrossRef]
- Reddy, N.V.; Hiremath, S.; Muttappagol, M.; Vinay Kumar, H.; Prasanna, S.K.; Mohan Kumar, T.; Basha, C.R.J.; Shankarappa, K.S.; Venkataravanappa, V.; Reddy, C.N.L. Virome analyses by next-generation sequencing (NGS) in chilli (Capsicum anuum L.) presented with diverse symptoms phenotype revealed the association of seven plant viruses. bioRxiv 2023. [Google Scholar] [CrossRef]
- Green, S.; Kim, J. Characteristics and Control of Viruses Infecting Peppers: A Literature Review; AVRDC: Tainan, Taiwan, 1991. [Google Scholar]
- Okada, R.; Kiyota, E.; Sabanadzovic, S.; Moriyama, H.; Fukuhara, T.; Saha, P.; Roossinck, M.J.; Severin, A.; Valverde, R.A. Bell pepper endornavirus: Molecular and biological properties, and occurrence in the genus capsicum. J. Gen. Virol. 2011, 92, 2664–2673. [Google Scholar] [CrossRef]
- Brown, J.; Idris, A.; Ostrow, K.; Goldberg, N.; French, R.; Stenger, D. Genetic and phenotypic variation of the pepper golden mosaic virus complex. Phytopathology 2005, 95, 1217–1224. [Google Scholar] [CrossRef] [PubMed][Green Version]
- Abdalla, O.; Desjardins, P.; Dodds, J. Identification, disease incidence, and distribution of viruses infecting peppers in California. Plant Dis. 1991, 75, 1019–1023. [Google Scholar] [CrossRef]
- Semancik, J. Purification and properties of two isolates of tobacco rattle virus from pepper in California. Phytopathology 1966, 56, 1190–1193. [Google Scholar]
- Webster, C.G.; Frantz, G.; Reitz, S.R.; Funderburk, J.E.; Mellinger, H.C.; McAvoy, E.; Turechek, W.W.; Marshall, S.H.; Tantiwanich, Y.; McGrath, M.T.; et al. Emergence of groundnut ringspot virus and tomato chlorotic spot virus in vegetables in Florida and the southeastern united states. Phytopathology 2015, 105, 388–398. [Google Scholar] [CrossRef] [PubMed]
- Gitaitis, R.; Dowler, C.; Chalfant, R. Epidemiology of tomato spotted wilt in pepper and tomato in southern Georgia. Plant Dis. 1998, 82, 752–756. [Google Scholar] [CrossRef]
- Lee, R.F.; Niblett, C.; Hubbard, J.; Johnson, L. Characterization of belladonna mottle virus isolates from Kansas and Iowa. Phytopathology 1979, 69, 985–989. [Google Scholar] [CrossRef]
- Escalante, C.; Alcalá-Briseño, R.; Valverde, R. First report of a mixed infection of pepper mild mottle virus and tobacco mild green mosaic virus in pepper (Capsicum annuum) in the united states. Plant Dis. 2018, 102, 1469. [Google Scholar] [CrossRef]
- Creamer, R.; Hubble, H.; Lewis, A. Curtovirus infection of Chile pepper in new Mexico. Plant Dis. 2005, 89, 480–486. [Google Scholar] [CrossRef]
- Villalon, B. Virus diseases of bell peppers in South Texas. Plant Dis. Rep. 1975, 59, 858–862. [Google Scholar]
- Torres-Pacheco, I.; Garzón-Tiznado, J.A.; Brown, J.K.; Becerra-Flora, A.; Rivera-Bustamante, R.F. Detection and distribution of geminiviruses in Mexico and the southern united states. Phytopathology 1996, 86, 1186–1192. [Google Scholar] [CrossRef]
- Alabi, O.; Al Rwahnih, M.; Jifon, J.; Gregg, L.; Crosby, K.; Mirkov, T. First report of pepper vein yellows virus infecting pepper (Capsicum spp.) in the united states. Plant Dis. 2015, 99, 1656. [Google Scholar] [CrossRef]
- Abdalla, O.; Ali, A. First report of alfalfa mosaic virus associated with severe mosaic and mottling of pepper (Capsicum annuum) and white clover (Trifolium repens) in Oklahoma. Plant Dis. 2012, 96, 1705. [Google Scholar] [CrossRef]
- Ali, I.; Ali, A. First report of pepper mild mottle virus in peppers in Oklahoma. Plant Dis. 2015, 99, 736. [Google Scholar] [CrossRef]
- Larkin, M.A.; Blackshields, G.; Brown, N.P.; Chenna, R.; McGettigan, P.A.; McWilliam, H.; Valentin, F.; Wallace, I.M.; Wilm, A.; Lopez, R.; et al. Clustal W and Clustal X version 2.0. Bioinformatics 2007, 23, 2947–2948. [Google Scholar] [CrossRef] [PubMed]
- Ochar, K.; Ko, H.C.; Woo, H.J.; Hahn, B.S.; Hur, O. Pepper mild mottle virus: An infectious pathogen in pepper production and a potential indicator of domestic water quality. Viruses 2023, 15, 282. [Google Scholar] [CrossRef] [PubMed]
- Fonsah, E.G.; Chen, Y.; Diffie, S.; Srinivansan, R.; Riley, D. Economic productivity and profitability analysis for whiteflies and tomato yellow leaf curl virus (TYLCV) management options. J. Agric. Environ. Sci. 2018, 7, 1–9. [Google Scholar]
- Wang, H.; Gurusinghe, P.d.A.; Falk, B.W. Systemic insecticides and plant age affect beet curly top virus transmission to selected host plants. Plant Dis. 1999, 83, 351–355. [Google Scholar] [CrossRef]
- Strausbaugh, C.A.; Eujayl, I.A.; Wintermantel, W.M. Beet curly top virus strains associated with sugar beet in Idaho, Oregon, and a Western US collection. Plant Dis. 2017, 101, 1373–1382. [Google Scholar] [CrossRef] [PubMed]
- Secrist, K.E. Molecular and Biological Characterization of Pepper Mild Mottle Virus in Oklahoma. Ph.D. Thesis, The University of Tulsa, Tulsa, OK, USA, 2021. [Google Scholar]
- Roossinck, M.; Ali, A. Mechanisms of plant virus evolution and identification of genetic bottlenecks: Impact on disease management. In Biotechnology and Plant Disease Management; CAB International: Wallingford, UK, 2007; pp. 109–124. [Google Scholar]
- Paslay, C.; Ali, A. First report of tomato yellow leaf curl virus infecting pepper and tomato in Oklahoma. Plant Dis. 2023, 107, 973. [Google Scholar] [CrossRef]
- Paslay, C.; Ali, A. First report of potato yellow dwarf nucleorhabdovirus infecting pepper (Capsicum spp.) in Oklahoma. Plant Dis. 2023, 107, 2562. [Google Scholar] [CrossRef]
- Symonds, E.M.; Rosario, K.; Breitbart, M. Pepper mild mottle virus: Agricultural menace turned effective tool for microbial water quality monitoring and assessing (waste) water treatment technologies. PLoS Pathog. 2019, 15, e1007639. [Google Scholar] [CrossRef]
- Dhakar, V.; Geetanjali, A.S. Role of pepper mild mottle virus as a tracking tool for fecal pollution in aquatic environments. Arch. Microbiol. 2022, 204, 513. [Google Scholar] [CrossRef]
- Anderson-Coughlin, B.L.; Craighead, S.; Kelly, A.; Gartley, S.; Vanore, A.; Johnson, G.; Jiang, C.; Haymaker, J.; White, C.; Foust, D.; et al. Enteric viruses and pepper mild mottle virus show significant correlation in select mid-Atlantic agricultural waters. Appl. Environ. Microbiol. 2021, 87, e00211-21. [Google Scholar] [CrossRef]
- Trebicki, P. Climate change and plant virus epidemiology. Virus Res. 2020, 286, 198059. [Google Scholar] [CrossRef] [PubMed]
- Dayal, V.; Paslay, C.; Ali, A. First report, detection and phylogenetic analysis of bell pepper endornavirus (BPEV) isolates infecting pepper in Oklahoma. PhytoFrontiers 2025, 1–22. [Google Scholar] [CrossRef]
- Sabanadzovic, S.; Valverde, R.A. Properties and detection of two cryptoviruses from pepper (Capsicum annuum). Virus Genes 2011, 43, 307–312. [Google Scholar] [CrossRef] [PubMed]
- Safari, M.; Ferrari, M.J.; Roossinck, M.J. Manipulation of aphid behavior by a persistent plant virus. J. Virol. 2019, 93, 10–1128. [Google Scholar] [CrossRef]
- Hadidi, A.; Sun, L.; Randles, J.W. Modes of viroid transmission. Cells 2022, 11, 719. [Google Scholar] [CrossRef]
- Cottilli, P.; Belda-Palazon, B.; Adkar-Purushothama, C.R.; Perreault, J.P.; Schleiff, E.; Rodrigo, I.; Ferrando, A.; Lisón, P. Citrus exocortis viroid causes ribosomal stress in tomato plants. Nucleic Acids Res. 2019, 47, 8649–8661. [Google Scholar] [CrossRef] [PubMed]
- Constable, F.; Chambers, G.; Penrose, L.; Daly, A.; Mackie, J.; Davis, K.; Rodoni, B.; Gibbs, M. Viroid-infected tomato and capsicum seed shipments to Australia. Viruses 2019, 11, 98. [Google Scholar] [CrossRef] [PubMed]
- Di Serio, F.; Owens, R.A.; Li, S.F.; Matoušek, J.; Pallás, V.; Randles, J.W.; Sano, T.; Verhoeven, J.T.J.; Vidalakis, G.; Flores, R.; et al. ICTV virus taxonomy profile: Pospiviroidae. J. Gen. Virol. 2021, 102, 001543. [Google Scholar] [CrossRef]
- Murcia, N.; Bernad, L.; Duran-Vilan, N.; Serra, P. Two nucleotide positions in the citrus exocortis viroid RNA associated with symptom expression in etrog citron but not in experimental herbaceous hosts. Mol. Plant Pathol. 2011, 12, 203–208. [Google Scholar] [CrossRef]
- Walker, P.J.; Blasdell, K.R.; Calisher, C.H.; Dietzgen, R.G.; Kondo, H.; Kurath, G.; Longdon, B.; Stone, D.M.; Tesh, R.B.; Tordo, N.; et al. ICTV virus taxonomy profile: Rhabdoviridae. J. Gen. Virol. 2018, 99, 447–448. [Google Scholar] [CrossRef] [PubMed]
- Ali, A.; Kobayashi, M. Seed transmission of cucumber mosaic virus in pepper. J. Virol. Methods 2010, 163, 234–237. [Google Scholar] [CrossRef]
- United States Department of Agriculture. Vegetables 2022 Summary. 2023. Available online: https://esmis.nal.usda.gov/sites/default/release-files/02870v86p/hq37x121v/4b29ck28c/vegean23.pdf (accessed on 10 August 2025).
- Rojas, M.R.; Gilbertson, R.L. Emerging plant viruses: A diversity of mechanisms and opportunities. In Plant Virus Evolution; Springer: Berlin/Heidelberg, Germany, 2008; pp. 27–51. [Google Scholar]
- Li, H.; Roossinck, M.J. Genetic bottlenecks reduce population variation in an experimental RNA virus population. J. Virol. 2004, 78, 10582–10587. [Google Scholar] [CrossRef]






| County | Basil | Blackberry | Insect | Pepper | Potato | Squash | Tomato | Miscellaneous 1 | Total |
|---|---|---|---|---|---|---|---|---|---|
| Atoka | 0 | 0 | 0 | 3 | 0 | 4 | 0 | 0 | 7 |
| Caddo | 0 | 0 | 0 | 124 | 0 | 0 | 0 | 0 | 124 |
| Cherokee | 2 | 3 | 1 | 49 | 5 | 7 | 2 | 2 | 71 |
| Greer | 0 | 0 | 5 | 32 | 0 | 0 | 0 | 2 | 39 |
| Muskogee | 0 | 0 | 0 | 2 | 0 | 0 | 0 | 0 | 2 |
| Tulsa | 0 | 0 | 0 | 18 | 0 | 3 | 31 | 15 | 67 |
| Total | 2 | 3 | 6 | 226 | 5 | 14 | 33 | 21 | 310 |
| No. | Virus/Viroid Name | Family | Genome | Total Read Count | Average Coverage | Contig Length | Percent nt Identity (%) | Reference Accession 1 |
|---|---|---|---|---|---|---|---|---|
| 1 | Alfalfa mosaic virus | Bromoviridae | ssRNA (+) | 1,111,851 | 22,699 | 3601 | 99.6 | MH332897.1 |
| 2 | Beet western yellows virus | Solemoviridae | ssRNA (+) | 6030 | 328 | 1349 | 97.5 | LC428355.1 |
| 3 | Bell pepper endornavirus | Endornaviridae | ssRNA (+) | 42,322 | 256 | 12,140 | 99.8 | MN073197.1 |
| 4 | Cucumber mosaic virus | Bromoviridae | ssRNA (+) | 475,944 | 12,330 | 2843 | 98.8 | AF416900.1 |
| 5 | Pepper mild mottle virus | Virgaviridae | ssRNA (+) | 756,359 | 8825 | 6350 | 99.6 | AB000709.2 |
| 6 | Potato yellow dwarf virus/Constrica yellow dwarf virus | Rhabdoviridae | ssRNA (-) | 3,353,898 | 19,711 | 12,624 | 90.7 | NC_076163.1 |
| 7 | Viola verecunda virus 1 | Rhabdoviridae | ssRNA (-) | 17,107 | 265 | 4767 | 73.3 | BK014333.1 |
| 8 | Pepper cryptic virus 1 | Partitiviridae | dsRNA | 27,045 | 1292 | 1547 | 100 | KY923702.1 |
| 9 | Pepper cryptic virus 2 | Partitiviridae | dsRNA | 177,086 | 8311 | 1531 | 99.8 | KY923704.1 |
| 10 | Beet curly top virus | Geminiviridae | ssDNA | 62,068 | 1541 | 2926 | 98.8 | AY548948.1 |
| 10.1 | BCTV-pepper yellow dwarf virus | Geminiviridae | ssDNA | 145,273 | 3590 | 2990 | 99.0 | EU921828.1 |
| 11 | Tomato yellow leaf curl virus | Geminiviridae | ssDNA | 23,392 | 617 | 2781 | 99.8 | ON321843.1 |
| 12 | Tobacco vein clearing virus | Caulimoviridae | dsDNA | 11,915 | 1438 | 579 | 84.5 | NC_003378.1 |
| 13 | Citrus exocortis viroid | Pospiviroidae | ssRNA | 6033 | 1863 | 215 | 86.5 | OR024670.1 |
| 14 | Insect narna-like virus 1 | Narnaviridae | ssRNA | 128,534 | 3111 | 3057 | 96.7 | MN764145.1 |
| No. | Virus | Family | Genome | Host | Total Read Count | Average Coverage | Contig Length | Percent nt Identity (%) | Reference Accession |
|---|---|---|---|---|---|---|---|---|---|
| 1 | Blackberry chlorotic ringspot virus | Bromoviridae | ssRNA (+) | Basil, Squash | 74,148 | 2404 | 2278 | 98.7 | JX429895.1 |
| 2 | Pokeweed mosaic virus | Potyviridae | ssRNA (+) | Pokeweed | 5,593,771 | 42,963 | 9629 | 97.7 | MG189944.1 |
| 3 | Potato leafroll virus | Solemoviridae | ssRNA (+) | Tomato | 4994 | 164 | 2236 | 97.5 | AY138970.1 |
| 4 | Ocimum basilicum RNA virus 2 | Mitoviridae | ssRNA | Basil, Squash | 200,707 | 5349 | 2770 | 97.6 | NC_035463.1 |
| No. | Virus/Viroid Name/s | Abbreviation | Number of Isolates Detected by HTS |
|---|---|---|---|
| 1 | Insect narna-like virus 1 | - | 48 |
| 2 | Pepper cryptic virus 1 | PCV-1 | 41 |
| 3 | Pepper cryptic virus 2 | PCV-2 | 41 |
| 4 | Beet curly top virus | BCTV | 15 |
| 5 | Tobacco vein clearing virus | TVCV | 14 |
| 6 | Bell pepper alphaendornavirus | BPEV | 11 |
| 7 | Potato yellow dwarf virus/constricta yellow dwarf virus | PYDV/CYDV | 11 |
| 8 | Pepper yellow dwarf virus | BCTV-PeYDV | 9 |
| 9 | Cucumber mosaic virus | CMV | 8 |
| 10 | Alfalfa mosaic virus | AMV | 7 |
| 11 | Citrus exocortis viroid | CEVd | 6 |
| 12 | Pepper mild mottle virus | PMMoV | 6 |
| 13 | Beet western yellows virus | BWYV | 5 |
| 13.1 | Tomato yellow leaf curl virus | TYLCV | 3 |
| 14 | Blackberry chlorotic ringspot virus | BCRV | 1 |
| 15 | Ocimum basilicum RNA virus 2 | ObRV2 | 1 |
| 16 | Pokeweed mosaic virus | PkMV | 1 |
| 17 | Potato leafroll virus | PLRV | 1 |
| 18 | Viola verecunda virus 1 | VVeV1 | 1 |
| Total | 230 |
| County | No. Samples | AMV | BCTV | BCTV-PeYDV | BWYV | CMV | PMMoV | PYDV-CYDV | TYLCV | Total Positive |
|---|---|---|---|---|---|---|---|---|---|---|
| Atoka | 7 | 0 | 0 | 0 | 0 | 0 | 0 | 0 | 0 | 0 |
| Caddo | 83 | 8 | 10 | 2 | 5 | 7 | 19 | 2 | 0 | 53 |
| Cherokee | 6 | 0 | 0 | 0 | 0 | 0 | 0 | 0 | 0 | 0 |
| Greer | NS | NS | NS | NS | NS | NS | NS | NS | NS | 0 |
| Muskogee | 2 | 0 | 0 | 0 | 0 | 0 | 0 | 0 | 0 | 0 |
| Tulsa | 24 | 0 | 0 | 0 | 0 | 0 | 0 | 0 | 7 | 9 |
| 2021 Total | 122 | 8 | 10 | 2 | 5 | 7 | 19 | 2 | 7 | 60 |
| County | No. Samples | AMV | BCTV | BCTV-PeYDV | BWYV | CMV | PMMoV | PYDV-CYDV | TYLCV | Total Positive |
|---|---|---|---|---|---|---|---|---|---|---|
| Atoka | NS | NS | NS | NS | NS | NS | NS | NS | NS | 0 |
| Caddo | 41 | 0 | 15 | 11 | 0 | 0 | 0 | 0 | 0 | 26 |
| Cherokee | 65 | 0 | 0 | 0 | 0 | 1 | 0 | 29 | 0 | 30 |
| Greer | 39 | 0 | 28 | 11 | 0 | 0 | 0 | 0 | 0 | 39 |
| Muskogee | NS | NS | NS | NS | NS | NS | NS | NS | NS | 0 |
| Tulsa | 43 | 0 | 0 | 0 | 0 | 0 | 0 | 0 | 23 | 23 |
| 2022 Total | 188 | 0 | 43 | 22 | 0 | 1 | 0 | 29 | 23 | 118 |
| 2021 and 2022 | 310 | 8 | 53 | 24 | 5 | 8 | 19 | 31 | 30 | 178 |
Disclaimer/Publisher’s Note: The statements, opinions and data contained in all publications are solely those of the individual author(s) and contributor(s) and not of MDPI and/or the editor(s). MDPI and/or the editor(s) disclaim responsibility for any injury to people or property resulting from any ideas, methods, instructions or products referred to in the content. |
© 2025 by the authors. Licensee MDPI, Basel, Switzerland. This article is an open access article distributed under the terms and conditions of the Creative Commons Attribution (CC BY) license (https://creativecommons.org/licenses/by/4.0/).
Share and Cite
Paslay, C.; Ali, A. Characterization of the Pepper Virome in Oklahoma Reveals Emerging RNA and DNA Viruses. Pathogens 2025, 14, 1035. https://doi.org/10.3390/pathogens14101035
Paslay C, Ali A. Characterization of the Pepper Virome in Oklahoma Reveals Emerging RNA and DNA Viruses. Pathogens. 2025; 14(10):1035. https://doi.org/10.3390/pathogens14101035
Chicago/Turabian StylePaslay, Caleb, and Akhtar Ali. 2025. "Characterization of the Pepper Virome in Oklahoma Reveals Emerging RNA and DNA Viruses" Pathogens 14, no. 10: 1035. https://doi.org/10.3390/pathogens14101035
APA StylePaslay, C., & Ali, A. (2025). Characterization of the Pepper Virome in Oklahoma Reveals Emerging RNA and DNA Viruses. Pathogens, 14(10), 1035. https://doi.org/10.3390/pathogens14101035

