Sign in to use this feature.

Years

Between: -

Subjects

remove_circle_outline
remove_circle_outline
remove_circle_outline
remove_circle_outline
remove_circle_outline
remove_circle_outline
remove_circle_outline
remove_circle_outline
remove_circle_outline

Journals

remove_circle_outline
remove_circle_outline
remove_circle_outline
remove_circle_outline
remove_circle_outline
remove_circle_outline
remove_circle_outline

Article Types

Countries / Regions

Search Results (173)

Search Parameters:
Keywords = Noonan

Order results
Result details
Results per page
Select all
Export citation of selected articles as:
20 pages, 700 KB  
Article
A Randomized Study to Examine the Ability of a Caffeine-Based Energy Drink to Impact Energy Expenditure, Fat Oxidation, and Cognitive Performance
by Joesi Krieger, Alex Schrautemeier, Anthony Hagele, Connor Gaige, Olivia Mennemeyer, Sydney Tolbert, Joshua Iannotti, Chad Kerksick, Chris Noonan and Petey Mumford
Nutrients 2025, 17(23), 3793; https://doi.org/10.3390/nu17233793 - 3 Dec 2025
Viewed by 2612
Abstract
Objectives: This study evaluated the effects of acute and 28-day supplementation with a caffeine-based energy drink on energy expenditure, fat oxidation, and cognitive performance. Methods: In a double-blind, placebo-controlled trial, 33 males and 27 females (27 ± 8 years, 26.7 ± [...] Read more.
Objectives: This study evaluated the effects of acute and 28-day supplementation with a caffeine-based energy drink on energy expenditure, fat oxidation, and cognitive performance. Methods: In a double-blind, placebo-controlled trial, 33 males and 27 females (27 ± 8 years, 26.7 ± 2.2 m/kg2) consumed a caffeinated energy drink (200 mg; CAF) or placebo (PLA) for 28 days. Indirect calorimetry assessed energy expenditure and fat oxidation at 0, 30, 60, 90, and 120 min after ingestion on day 1 and 28. Cognition assessments (Dynavision reaction, Serial Sevens, Trail Making Test A (TMT-A) and B (TMT-B)) were performed at 0, 60, and 120 min. Results: On day 1, CAF demonstrated higher energy expenditure vs. PLA at 30 (p = 0.011), 60 (p = 0.001), 90 (p = 0.002), and 120 min (p < 0.001). On day 28, expenditure remained higher at 30 (p < 0.001), 60 (p = 0.019), and 90 min (p = 0.003). Comparing day 28 to day 1, CAF maintained greater energy expenditure at baseline (p = 0.031) with trends at 30 (p = 0.057) and 90 min (p = 0.051). Fat oxidation was greater with CAF only on day 1 at 60 (p = 0.019), 90 (p = 0.006), and 120 min (p = 0.012). On day 28, CAF showed more correct Dynavision hits (60, p = 0.002; 120, p = 0.003) and fewer misses (60, p = 0.003; 120, p = 0.005) vs. PLA. Faster reaction time occurred in CAF at 120 min on day 1 (p = 0.028), while serial subtraction showed trends toward higher counts in CAF (day 1: p = 0.079; day 28: p = 0.059). On day 28, CAF increased perceived focus and energy at 60 and 120 min (focus: p = 0.012, p = 0.026; energy: p = 0.005, p = 0.029). Alternatively, a trend for slower TMT-A performance emerged in CAF at 60 min on day 28 (p = 0.075), resulting in PLA having faster times across day 28 vs. day 1 comparisons (p = 0.033). Conclusions: Acute energy drink consumption enhances energy expenditure, fat oxidation, and some cognitive measures, while 28-day use sustains energy expenditure and select cognitive benefits. Full article
(This article belongs to the Section Sports Nutrition)
Show Figures

Figure 1

9 pages, 2392 KB  
Case Report
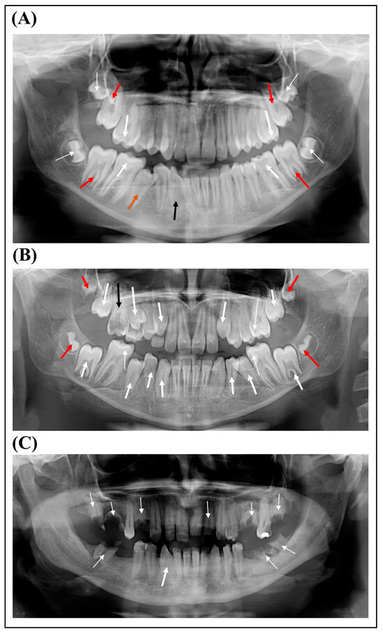
Heterogeneity of Orodental Features in a Family with Noonan Syndrome
by Gréta Antal, Laura Csabai, Anna Zsigmond, Ildiko Szanto, Kinga Hadzsiev and Judit Bene
Int. J. Mol. Sci. 2025, 26(23), 11414; https://doi.org/10.3390/ijms262311414 - 26 Nov 2025
Viewed by 318
Abstract
Noonan syndrome is a relatively common genetic syndrome with clinical and genetic heterogeneity. Besides the characteristic features such as short stature, typical facial features, congenital heart defects, skeletal and ocular anomalies, various orodental manifestations occur with variable frequency. High-arched palate, malocclusions, micrognathism, giant [...] Read more.
Noonan syndrome is a relatively common genetic syndrome with clinical and genetic heterogeneity. Besides the characteristic features such as short stature, typical facial features, congenital heart defects, skeletal and ocular anomalies, various orodental manifestations occur with variable frequency. High-arched palate, malocclusions, micrognathism, giant cell lesions, and anomalous lateral incisors are frequently observed features, whereas supernumerary teeth, hypodontia, macrodontia, enamel hypoplasia, severe dental caries, impacted teeth, delayed eruption, taurodontism and odontoma have occasionally been reported. Here, we present a family with three affected members displaying variable dental manifestations carrying the same PTPN11 c.178G>A pathogenic variant. A 14-year-old and a 12-year-old, both female patients, presented high-arched palates, delayed dental eruption and caries. Moreover, the younger sibling exhibited frequently observed manifestations such as malocclusion and gingivitis, and further rare features like open-bite, micrognathia, and crowded teeth were present. The mother of the patients had periodontitis and enamel problems. Monitoring the oral health of the patients with NS is important, as they are prone to severe dental caries, gingival and other orodental problems. Therefore, initiating early orodental examination is highly recommended for patients with suspicion or diagnosis of NS. Full article
(This article belongs to the Section Molecular Genetics and Genomics)
Show Figures

Figure 1

14 pages, 758 KB  
Article
Clinical and Genetic Characterization of Noonan Syndrome in a Romanian Cohort from Transylvania: Details on PTPN11 c.922A>G Variant and Phenotypic Spectrum
by Florina Victoria Nazarie, Diana Miclea, Crina Șufană, Alina Botezatu, Radu Anghel Popp, Ionela Maria Pascanu, Camelia Alkhzouz, Simona Bucerzan, Călin Lazăr, Cecilia Lazea and Romana Vulturar
Diagnostics 2025, 15(21), 2753; https://doi.org/10.3390/diagnostics15212753 - 30 Oct 2025
Viewed by 732
Abstract
Background: Noonan syndrome (NS) is a genetically heterogeneous condition within the RASopathies spectrum, with distinctive craniofacial features, congenital heart defects, short stature, and variably present developmental delay. Most cases result from variants in genes regulating the RAS/MAPK pathway, with PTPN11 variants being [...] Read more.
Background: Noonan syndrome (NS) is a genetically heterogeneous condition within the RASopathies spectrum, with distinctive craniofacial features, congenital heart defects, short stature, and variably present developmental delay. Most cases result from variants in genes regulating the RAS/MAPK pathway, with PTPN11 variants being the most frequent; the c.922A>G substitution being among the most commonly reported. Methods: This pilot study analyzed clinical and partial genetic features of NS in a cohort from Transylvania, evaluated in the Children’s Emergency Clinical Hospital in Cluj-Napoca. Thirty-one patients fulfilling the Van der Burgt diagnostic criteria (twenty-two males, nine females) were included. Clinical data were systematically reviewed, and targeted molecular testing for the PTPN11 c.922A>G variant was performed. Results: Congenital heart defects were highly prevalent, with pulmonary stenosis representing the most frequent anomaly (54.8%). Craniofacial dysmorphism was observed in 76.7% of cases, cryptorchidism in 50% of the males, and short stature below the third percentile was described in 77.4% of patients. Genetic screening identified the PTPN11 c.922A>G variant in two individuals (6.45%). Additional diagnoses included Williams–Beuren syndrome and a 17q11.2 deletion consistent with Neurofibromatosis–Noonan syndrome, underscoring the clinical and genetic heterogeneity of the cohort. Comparison with international reports highlighted variability in phenotype and variant frequency. Future research directions include Sanger sequencing of key PTPN11 exons and the application of next-generation sequencing targeting all RAS pathway genes. Conclusions: This is the first Romanian cohort study on patients with a clinical suspicion of NS, providing insight into their evaluation. The findings reinforce the need for comprehensive molecular approaches, facilitating diagnostic precision and counseling strategies. Full article
(This article belongs to the Special Issue Insights into Pediatric Genetics)
Show Figures

Graphical abstract

23 pages, 1720 KB  
Review
From Genetics to Phenotype: Understanding the Diverse Manifestations of Cardiovascular Genetic Diseases in Pediatric Populations
by Jule Leonie Gutmann, Alina Spister and Lara Baticic
Cardiogenetics 2025, 15(4), 29; https://doi.org/10.3390/cardiogenetics15040029 - 11 Oct 2025
Viewed by 2312
Abstract
Congenital genetic heart defects are major contributors to pediatric morbidity and mortality, underscoring the importance of early detection and individualized therapeutic strategies. This review aimed to summarize current knowledge on a spectrum of inherited cardiovascular disorders, with a focus on their genetic etiology, [...] Read more.
Congenital genetic heart defects are major contributors to pediatric morbidity and mortality, underscoring the importance of early detection and individualized therapeutic strategies. This review aimed to summarize current knowledge on a spectrum of inherited cardiovascular disorders, with a focus on their genetic etiology, molecular pathogenesis, and phenotypic presentation in children. Conditions discussed include Marfan syndrome, Noonan syndrome, various cardiomyopathies, Duchenne muscular dystrophy, DiGeorge syndrome, and the tetralogy of Fallot. These six conditions were selected to represent the spectrum of pediatric cardiovascular genetic diseases, encompassing connective tissue disorders, multisystem syndromes, primary myocardial diseases, neuromuscular cardiac involvement, and structural congenital defects, thereby illustrating how distinct genotypes lead to diverse phenotypes. For each disorder, the underlying genetic mutations, associated molecular pathways, cardiovascular involvement, clinical features, and approaches to diagnosis and management are examined. Emphasis is placed on the role of timely diagnosis, genetic counseling, and personalized treatment in improving patient outcomes. The review concludes by highlighting emerging research directions and novel therapeutic interventions aimed at enhancing care for these complex pediatric conditions. Full article
(This article belongs to the Section Inherited Heart Disease-Children)
Show Figures

Figure 1

17 pages, 1865 KB  
Article
Biomarkers in Renal Cell Carcinoma: A Systematic Review and Immunohistochemical Validation Study
by Brett Berezowski, Robert Boothe, Billy Chaplin, Sharon J. Del Vecchio, Zakariya Fares, Tyrone L. R. Humphries, Keng Lim Ng, Taylor Noonan, Hemamali Samaratunga, Aaron Urquhart, David A. Vesey, Simon T. Wood, Glenda C. Gobe and Robert J. Ellis
Cancers 2025, 17(15), 2588; https://doi.org/10.3390/cancers17152588 - 6 Aug 2025
Viewed by 1753
Abstract
Background and Objectives: The worldwide incidence of renal cell carcinoma (RCC) rose by 22% between 2012 and 2022. In Australia, RCC accounted for 2.8% of all cancer diagnoses and contributing to 1.8% of cancer-related deaths. Identification of RCC biomarkers may aid in [...] Read more.
Background and Objectives: The worldwide incidence of renal cell carcinoma (RCC) rose by 22% between 2012 and 2022. In Australia, RCC accounted for 2.8% of all cancer diagnoses and contributing to 1.8% of cancer-related deaths. Identification of RCC biomarkers may aid in diagnosis and management. Methods: A systematic review of immunohistochemical markers of RCC studies published between 1990 and 2019 was undertaken to select candidate biomarkers of RCC. Immunohistochemical staining of 73 clear cell RCC tumors and paired normal tissue was undertaken using selected markers. Semi-quantitative and quantitative analysis of staining intensity between paired samples was undertaken to evaluate utility as potential biomarkers, using Chi-square tests and paired t-tests for analysis. As an exploratory analysis, staining intensity was also compared on clinical/demographic variables using linear and logistic regression. Results: There were 123 candidate biomarkers identified in 91 studies. Four candidate markers were selected for further investigation: aminopeptidase A (APA)/cluster of differentiation (CD)249, aminopeptidase N (APN)/CD13, gamma-glutamyl transferase (GGT), and neuron-specific enolase (NSE). APA, GGT, and APN all demonstrated reduced staining intensity in the tumor compared with normal tissue (p < 0.001 for all). NSE demonstrated a statistically significant increase in expression in tumor compared with normal tissue (p < 0.001), and this was more pronounced in patients aged >60 years (p = 0.038). Conclusions: The utility of APA, APN, and GGT as diagnostic biomarkers in clear cell RCC is limited. NSE may have some role as a biomarker for clear cell RCC, particularly among older patients; however, further investigation is required. Full article
(This article belongs to the Special Issue Optimizing Surgical Procedures and Outcomes in Renal Cancer)
Show Figures

Figure 1

18 pages, 304 KB  
Article
Biological Aging and Chemotoxicity in Patients with Colorectal Cancer: A Secondary Data Analysis Using EHR Data
by Claire J. Han, Ashley E. Rosko, Jesse J. Plascak, Alai Tan, Anne M. Noonan and Christin E. Burd
Curr. Oncol. 2025, 32(8), 438; https://doi.org/10.3390/curroncol32080438 - 5 Aug 2025
Viewed by 1315
Abstract
Background: Biological aging influences cancer outcomes, but its changes during chemotherapy and impact on chemotoxicity in colorectal cancer (CRC) remain underinvestigated. We examined (1) trajectories of biological aging (using Levine Phenotypic Age) during six months of chemotherapy, (2) sociodemographic and clinical risk [...] Read more.
Background: Biological aging influences cancer outcomes, but its changes during chemotherapy and impact on chemotoxicity in colorectal cancer (CRC) remain underinvestigated. We examined (1) trajectories of biological aging (using Levine Phenotypic Age) during six months of chemotherapy, (2) sociodemographic and clinical risk factors for biological aging, and (3) links between biological aging and chemotoxicity. Methods: Using data from electronic health records (2013–2019) from 1129 adult CRC patients, we computed biological aging (raw Levine Phenotypic Age and its age acceleration [Levine Phenotypic Age–chronological age]) from routine blood tests (e.g., complete blood counts, hepatorenal/inflammatory markers). Chemotoxicity was identified primarily via International Classification of Diseases (ICD-9 and -10) codes. Results: Chemotherapy accelerated biological aging over time. Biological aging at baseline and changes over time predicted chemotoxicity. However, changes in biological aging over time showed stronger associations than baseline biological aging. Advanced cancer stages, higher comorbidity burden, and socioeconomic disadvantage (especially area-level deprivation) were associated with accelerated biological aging at baseline and over time. Biological aging occurred across both young and older adults. Conclusions: Levine Phenotypic Age, computed from routine blood tests in EHRs, offers a feasible clinical tool for aging-related chemotoxicity risk stratification. Validation in diverse cohorts and the development of predictive models are needed. Full article
(This article belongs to the Special Issue Health Disparities and Outcomes in Cancer Survivors)
9 pages, 1462 KB  
Brief Report
Using Audit to Improve End-of-Life Care in a Tertiary Cancer Centre
by Conor D. Moloney, Hailey K. Carroll, Elaine Cunningham, Daniel Nuzum, Mairead Lyons, Richard M. Bambury, Dearbhaile C. Collins, Roisín M. Connolly, Paula O'Donovan, Renelyn Sumugat, Shahid Iqbal, Sinead A. Noonan, Derek G. Power, Aoife C. Lowney, Seamus O’Reilly and Mary Jane O'Leary
Curr. Oncol. 2025, 32(8), 430; https://doi.org/10.3390/curroncol32080430 - 30 Jul 2025
Viewed by 1204
Abstract
High-quality end-of-life care (EoLC) is a critical yet often underemphasised component of oncology care. Several shortcomings in the delivery of EoLC for oncology patients in our centre during the COVID-19 pandemic were identified in our initial 2021 audit. In 2022, we introduced a [...] Read more.
High-quality end-of-life care (EoLC) is a critical yet often underemphasised component of oncology care. Several shortcomings in the delivery of EoLC for oncology patients in our centre during the COVID-19 pandemic were identified in our initial 2021 audit. In 2022, we introduced a care of dying patients proforma, an EoLC quality checklist, targeted education and training for staff, and an expanded end-of-life (EoL) committee. This re-audit aimed to review how these changes impacted on the care received by patients in a tertiary cancer centre. A second retrospective re-audit of patients who died between 11 July 2022 and 30 April 2023 was performed to assess quality of EoLC using the Oxford Quality indicators. A total of 72 deaths occurred over the audit period. Quality of EoLC improved significantly when compared to the initial audit (χ2 (3, n = 138) = 9.75, p = 0.021). Exploration of patients’ wishes was documented in 48.8% and referral to pastoral care was documented in 68.3%, from 24.2% and 10.6%, respectively. The proportion of patients receiving poor EoLC reduced from 21.2% to 8.3%. Our study demonstrates the benefits of simple interventions, the importance of re-audit, and the role of ongoing interdisciplinary commitment to improving EoLC for our patients. Full article
(This article belongs to the Section Palliative and Supportive Care)
Show Figures

Figure 1

14 pages, 777 KB  
Article
Increased Prevalence of Psychiatric Disorders in Children with RASopathies: Comparing NF1, Noonan Syndrome Spectrum Disorder, and the General Population
by Yaffa Serur, Odeya Russo, Chloe Alexa McGhee and Tamar Green
Genes 2025, 16(7), 843; https://doi.org/10.3390/genes16070843 - 19 Jul 2025
Cited by 1 | Viewed by 2143
Abstract
Background/Objectives: Neurofibromatosis type 1 (NF1) and Noonan syndrome spectrum disorders (NSSD) are the most common RASopathies, resulting from germline mutations that affect the RAS-MAPK signaling pathway. Both are associated with increased risk for neurodevelopmental and psychiatric conditions, yet few studies have used [...] Read more.
Background/Objectives: Neurofibromatosis type 1 (NF1) and Noonan syndrome spectrum disorders (NSSD) are the most common RASopathies, resulting from germline mutations that affect the RAS-MAPK signaling pathway. Both are associated with increased risk for neurodevelopmental and psychiatric conditions, yet few studies have used structured diagnostic interviews to compare their psychiatric comorbidities. Methods: We conducted clinician-administered DSM-5 diagnostic assessments (KSADS) in 123 children with RASopathies (NF1 = 29, NSSD = 94; ages 5–15). Diagnosis prevalence was compared within each group and to population-based estimates. Results: Psychiatric diagnoses were highly prevalent, at 79.3% in NF1 and 76.6% in NSSD, with ADHD (NF1 = 72.4%, NSSD = 51.1%) and anxiety disorders (NF1 = 37.9% and NSSD = 43.6%) being the most common, rates substantially higher than those reported in general population estimates. Behavioral and sleep disorders were identified in approximately 25% of both groups. Notably, social anxiety disorder was identified in 14.9% of NSSD but not in NF1. Full-scale IQ did not significantly differ by diagnosis status. Specific anxiety disorders, elimination disorders, obsessive–compulsive disorder, and post-traumatic stress disorder were characterized, expanding the known psychiatric phenotype of RASopathies. Conclusions: Children with NF1 and NSSD demonstrate similarly high rates of ADHD, anxiety, and behavioral disorders compared to the general population; in addition, we report sleep disorders in NSSD and characterize psychiatric disorders not previously described in RASopathies. The shared psychiatric profiles may reflect the common effect of RAS-MAPK pathway dysregulation on psychiatric outcomes. These findings highlight the need for early, syndrome-informed mental health screening and intervention in the clinical care of individuals with RASopathies. Full article
(This article belongs to the Special Issue Phenotypic Variability of Genetic Diseases in Children)
Show Figures

Graphical abstract

24 pages, 886 KB  
Review
Cosmeceutical and Dermatological Potential of Olive Mill Wastewater: A Sustainable and Eco-Friendly Source of Natural Ingredients
by Adriana Albini, Paola Corradino, Danilo Morelli, Francesca Albini and Douglas Noonan
Cosmetics 2025, 12(4), 142; https://doi.org/10.3390/cosmetics12040142 - 3 Jul 2025
Cited by 5 | Viewed by 5375
Abstract
Olive oil and its derivatives, particularly polyphenol-rich extracts, are valued for their antioxidant, anti-inflammatory, and regenerative properties. Olive mill wastewater (OMWW), a byproduct of olive oil production, traditionally seen as an environmental pollutant, has emerged as a promising source of high-value dermatological ingredients. [...] Read more.
Olive oil and its derivatives, particularly polyphenol-rich extracts, are valued for their antioxidant, anti-inflammatory, and regenerative properties. Olive mill wastewater (OMWW), a byproduct of olive oil production, traditionally seen as an environmental pollutant, has emerged as a promising source of high-value dermatological ingredients. Key polyphenols such as hydroxytyrosol, oleuropein, and tyrosol exhibit potent antioxidant, anti-inflammatory, antimicrobial, and photoprotective effects. These compounds mitigate oxidative stress, prevent collagen degradation, modulate NF-κB and MAPK signaling, and promote cellular repair and regeneration. Skin health is increasingly recognized as crucial to overall well-being, driving interest in cosmeceuticals that combine cosmetic benefits with dermatological activity. This review examines the cosmeceutical and dermatological potential of OMWW, highlighting its incorporation into innovative topical formulations like oil-in-water nanoemulsions, liposomes, and microneedles that enhance skin penetration and bioavailability. Additionally, OMWW fractions have shown selective antiproliferative effects on melanoma cells, suggesting potential for skin cancer prevention. Valorization of OMWW through biorefinery processes aligns with circular-economy principles, converting agro-industrial waste into sustainable cosmeceutical ingredients. This approach not only meets consumer demand for natural, effective products, but also reduces the ecological footprint of olive oil production, offering a scalable, eco-friendly strategy for next-generation dermatological applications. Full article
Show Figures

Figure 1

13 pages, 3756 KB  
Article
Expanding the Phenotypic Spectrum Associated with DPH5-Related Diphthamide Deficiency
by Davide Politano, Cecilia Mancini, Massimiliano Celario, Francesca Clementina Radio, Fulvio D'Abrusco, Jessica Garau, Silvia Kalantari, Gaia Visani, Simone Carbonera, Simone Gana, Marco Ferilli, Luigi Chiriatti, Camilla Cappelletti, Katia Ellena, Elena Prodi, Renato Borgatti, Enza Maria Valente, Simona Orcesi, Marco Tartaglia and Fabio Sirchia
Genes 2025, 16(7), 799; https://doi.org/10.3390/genes16070799 - 2 Jul 2025
Viewed by 1207
Abstract
Background/Objectives: Neurodevelopmental disorders (NDDs) represent a clinically diverse group of conditions that affect brain development, often leading to varying degrees of functional impairment. Many NDDs, particularly syndromic forms, are caused by genetic mutations affecting critical cellular pathways. Ribosomopathies, a subgroup of NDDs, are [...] Read more.
Background/Objectives: Neurodevelopmental disorders (NDDs) represent a clinically diverse group of conditions that affect brain development, often leading to varying degrees of functional impairment. Many NDDs, particularly syndromic forms, are caused by genetic mutations affecting critical cellular pathways. Ribosomopathies, a subgroup of NDDs, are linked to defects in ribosomal function, including those involving the synthesis of diphthamide, a post-translational modification of translation elongation factor 2 (eEF2). Loss-of-function (LoF) mutations in genes involved in diphthamide biosynthesis, such as DPH1, DPH2, and DPH5, result in developmental delay (DD), intellectual disability (ID), and multisystemic abnormalities. DPH5-related diphthamide deficiency syndrome has recently been reported as an ultrarare disorder linked to LoF mutations in DPH5, encoding a methyltransferase required for diphthamide synthesis. Methods: Clinical, neurological, and dysmorphological evaluations were performed by a multidisciplinary team. Brain MRI was acquired on a 3T scanner. Craniofacial abnormalities were assessed using the GestaltMatcher phenotyping tool. Whole exome sequencing (WES) was conducted on leukocyte-derived DNA with a trio-based approach. Bioinformatic analyses included variant annotation, filtering, and pathogenicity prediction using established databases and tools. Results: The affected subject carried a previously reported missense change, p.His260Arg, suggesting the occurrence of genotype–phenotype correlations and a hypomorphic behavior of the variant, likely explaining the overall milder phenotype compared to the previously reported patients with DPH5-related diphthamide deficiency syndrome. Conclusions: Overall, the co-occurrence of short stature, relative macrocephaly, congenital heart defects, variable DD/ID, minor skeletal and ectodermal features, and consistent craniofacial features suggests a differential diagnosis with Noonan syndrome and related phenotypes. Full article
(This article belongs to the Special Issue Advances in Neurogenetics and Neurogenomics)
Show Figures

Figure 1

19 pages, 791 KB  
Article
Targeted Therapy for Complex Lymphatic Anomalies in Patients with Noonan Syndrome and Related Disorders
by Erika K. S. M. Leenders, Vera C. van den Brink, Lotte E. R. Kleimeier, Danielle T. J. Woutersen, Catelijne H. Coppens, Jeroen den Hertog, Willemijn M. Klein, Tuula Rinne, Sabine L. Vrancken, Saskia N. de Wildt, Jos M. T. Draaisma and Joris Fuijkschot
Int. J. Mol. Sci. 2025, 26(13), 6126; https://doi.org/10.3390/ijms26136126 - 26 Jun 2025
Cited by 2 | Viewed by 2182
Abstract
Recent diagnostic advances reveal that lymphatic disease in Noonan syndrome (NS) and other NS-like RASopathies often stems from central conducting lymphatic anomalies (CCLAs). The RAS/MAPK-ERK pathway plays a central role in lymphangiogenesis. Targeting this pathway with MEK-inhibitor trametinib has emerged as a promising [...] Read more.
Recent diagnostic advances reveal that lymphatic disease in Noonan syndrome (NS) and other NS-like RASopathies often stems from central conducting lymphatic anomalies (CCLAs). The RAS/MAPK-ERK pathway plays a central role in lymphangiogenesis. Targeting this pathway with MEK-inhibitor trametinib has emerged as a promising therapeutic strategy for managing CCLAs in patients with NS-like RASopathies. This case series assessed the clinical outcomes of trametinib therapy in eight patients with NS-like RASopathies and CCLA, each offering unique insights into the therapeutic efficacy of MEK inhibition. In infants, a lower dose of 0.01 mg/kg/day and earlier discontinuation of trametinib therapy effectively alleviated the symptoms of congenital chylothorax and rescued the lymphatic phenotype, compared to similar published cases. Moreover, four patients aged >11 y showed a slower response and did not achieve complete symptomatic recovery. In conclusion, it is advised to consider trametinib therapy for patients with severe, therapy-refractory CCLA in patients with NS-like RASopathies. However, individual responses to trametinib therapy may vary, with some patients demonstrating more favorable outcomes than others. Further investigation into potential enhancers and suppressors of the lymphatic phenotype is necessary for more accurate treatment predictions. While these factors are likely genetic, we cannot rule out other intrinsic or physiological factors. Full article
(This article belongs to the Special Issue Lymphatic Disorders: From Molecular Mechanisms to Therapies)
Show Figures

Figure 1

33 pages, 15086 KB  
Review
Broad Electrocardiogram Syndromes Spectrum: From Common Emergencies to Particular Electrical Heart Disorders—Part II
by Alexandr Ceasovschih, Anastasia Balta, Victorița Șorodoc, Krishnaraj Rathod, Ahmed El Gohary, Serghei Covantsev, Richárd Masszi, Yusuf Ziya Şener, Alexandru Corlăteanu, Syed Haseeb Raza Naqvi, Alexandra Grejdieru, Nicholas G. Kounis and Laurențiu Șorodoc
Diagnostics 2025, 15(12), 1568; https://doi.org/10.3390/diagnostics15121568 - 19 Jun 2025
Viewed by 5486
Abstract
The electrocardiogram (ECG) remains a cornerstone of modern cardiology, providing rapid, non-invasive, and widely accessible diagnostic insights. While ECG interpretation is an essential skill for clinicians, certain patterns can be subtle or atypical, posing diagnostic challenges. In our previous review (doi.org/10.3390/jpm12111754), we explored [...] Read more.
The electrocardiogram (ECG) remains a cornerstone of modern cardiology, providing rapid, non-invasive, and widely accessible diagnostic insights. While ECG interpretation is an essential skill for clinicians, certain patterns can be subtle or atypical, posing diagnostic challenges. In our previous review (doi.org/10.3390/jpm12111754), we explored several uncommon ECG syndromes with significant clinical implications. However, the spectrum of electrocardiographic abnormalities extends far beyond those initially discussed. In this second installment, we expand our discussion of rare and underrecognized ECG syndromes, including Long QT, Jervell and Lange-Nielsen, Romano–Ward, Andersen–Tawil, Timothy, Short QT, and Twiddler’s syndromes, as well as Noonan, Barlow’s, Bundgaard, BRASH, Carvajal, Naxos, and Danon disease. We highlight their clinical context, characteristic findings, and implications for diagnosis and management. These conditions range from acute, life-threatening emergencies requiring immediate intervention to chronic electrical disorders necessitating long-term monitoring and risk stratification. By broadening our focus, we aim to enhance awareness and recognition of these entities, ultimately improving patient outcomes through timely and accurate diagnosis. Full article
Show Figures

Figure 1

10 pages, 1688 KB  
Case Report
Second Trimester Ultrasound Diagnosis of External Hydrocephalus in Two Fetuses with Noonan Syndrome—Case Report Series
by Tibor Elekes, Aniko Ladanyi, Eva Pap, Janos Szabo, Anett Illes, Nora Gullai and Szabolcs Varbiro
J. Clin. Med. 2025, 14(11), 3973; https://doi.org/10.3390/jcm14113973 - 4 Jun 2025
Viewed by 1814
Abstract
Background: Noonan syndrome (NS) is a relatively common RASopathy that can be associated with a variety of phenotypic and genotypic variations and potential long-term health consequences. Its most described prenatal ultrasound features in the first trimester are thickened nuchal translucency (NT) and dilated [...] Read more.
Background: Noonan syndrome (NS) is a relatively common RASopathy that can be associated with a variety of phenotypic and genotypic variations and potential long-term health consequences. Its most described prenatal ultrasound features in the first trimester are thickened nuchal translucency (NT) and dilated jugular sacs; while heart defects, polyhydramnios and facial dysmorphisms are its known manifestations in the second and third trimesters. Methods: We present two cases of NS with the prenatal ultrasound diagnosis of external hydrocephalus (EH) in the second trimester. Results: Case 1 had a normal first trimester scan and showed mild polyhydramnios, an echogenic intracardiac focus (EIF) in the left ventricle and pyelectasis in the second trimester in association with the EH. The whole exome sequencing (WES) confirmed a pathogenic variant in the SOS1 gene. Case 2 showed increased NT, agenesis of the ductus venosus (DV), single umbilical artery (SUA), an EIF in the right ventricle and an abnormal prefrontal space ratio (PSFR). By the 19th gestational week, EH appeared. The ambient and quadrigeminal cisterns were also slightly widened. The WES revealed a PTPN11 gene variant. Conclusions: The most reported sonographic features of NS are either non-specific or difficult to integrate into routine screening, requiring substantial experience. In our two cases, we detected EH in the second trimester, which is rarely described as a prenatal ultrasound diagnosis. To our current knowledge, this is the first case reported of EH in NS caused by an SOS1 gene variant and these are the first cases reported with the prenatal sonographic diagnosis of EH in NS. Full article
(This article belongs to the Special Issue New Advances in Prenatal Diagnosis and Newborn Screening)
Show Figures

Figure 1

10 pages, 401 KB  
Article
Serum Markers of Bone Turnover and Bone Remodeling in Children with Noonan Syndrome: Genotype-Phenotype Correlation
by Mariangela Chiarito, Ilaria Farella, Crescenza Lattanzio, Rossella Vitale, Flavia Urbano, Pietro Guida, Laura Piacente, Paola Muggeo and Maria Felicia Faienza
Genes 2025, 16(6), 668; https://doi.org/10.3390/genes16060668 - 30 May 2025
Viewed by 1599
Abstract
Noonan syndrome (NS) is a genetic disorder characterized by distinctive craniofacial and skeletal features, short stature, mild to moderate developmental impairment, and multisystem involvement, notably affecting the cardiovascular, musculoskeletal, and endocrine systems. Although abnormalities of the bone matrix, as well as osteopenia and [...] Read more.
Noonan syndrome (NS) is a genetic disorder characterized by distinctive craniofacial and skeletal features, short stature, mild to moderate developmental impairment, and multisystem involvement, notably affecting the cardiovascular, musculoskeletal, and endocrine systems. Although abnormalities of the bone matrix, as well as osteopenia and osteoporosis, are well recognized in individuals with NS and other RASopathies, the specific impact of RAS/MAPK pathway dysregulation on bone health remains poorly understood. Objectives: The aim of this study was to evaluate bone turnover and bone remodeling markers in a cohort of children with NS, to gain further insights into the bone status of these patients. Methods: In this cross-sectional, case-control study, we analyzed 28 children (20 males) with a molecular diagnosis of NS and 35 healthy subjects (21 males), matched by age and sex. We assessed markers of bone metabolism and bone turnover (calcium, phosphate, PTH, 25(OH)-vitamin D, osteocalcin, procollagen I N-propeptide-P1NP, bone alkaline phosphatase-BALP, C-telopeptides of type I collagen-CTX) and bone remodeling (RANKL, OPG, and sclerostin). Bone mineralization was measured at the lumbar spine (L2–L4) using dual-energy X-ray absorptiometry (DEXA). Results: Serum CTX levels were significantly higher in NS patients compared to controls (1.8 ± 0.7 vs. 1.3 ± 0.5 ng/mL, p = 0.0004). RANKL levels were higher in NS patients, although the difference did not reach statistical significance. No significant differences were found for OPG, sclerostin, or other markers of bone metabolism between patients and controls. Conclusions: Children with NS exhibit increased bone resorption, as indicated by elevated CTX levels, suggesting a potential imbalance in bone remodeling processes. Further studies are warranted to better define the impact of RAS/MAPK pathway dysregulation on bone health in this population. Full article
(This article belongs to the Collection Genetics and Genomics of Rare Disorders)
Show Figures

Figure 1

24 pages, 2946 KB  
Article
Individual Mechanical Energy Expenditure Regimens Vary Seasonally with Weather, Sex, Age and Body Condition in a Generalist Carnivore Population: Support for Inter-Individual Tactical Diversity
by Julius G. Bright Ross, Andrew Markham, Michael J. Noonan, Christina D. Buesching, Erin Connolly, Denise W. Pallett, Yadvinder Malhi, David W. Macdonald and Chris Newman
Animals 2025, 15(11), 1560; https://doi.org/10.3390/ani15111560 - 27 May 2025
Viewed by 1276
Abstract
Diverse individual energy-budgeting tactics within wild populations provide resilience to natural fluctuations in food availability and expenditure costs. Although substantial heterogeneity in activity-related energy expenditure has been documented, few studies differentiate between responses to the environment and inter-individual differences stemming from life history, [...] Read more.
Diverse individual energy-budgeting tactics within wild populations provide resilience to natural fluctuations in food availability and expenditure costs. Although substantial heterogeneity in activity-related energy expenditure has been documented, few studies differentiate between responses to the environment and inter-individual differences stemming from life history, allometry, or somatic stores. Using tri-axial accelerometry, complemented by diet analysis, we investigated inter-individual within-season variation in overall dynamic body acceleration (ODBA; activity intensity measure) and “Activity” (above an ODBA threshold) in a high-density population of European badgers (Meles meles). Weather (including wind speed) affected ODBA and activity according to predictors of earthworm (food) availability and cooling potential. In spring, maximal ODBA expenditure at intermediate rainfall and temperature values suggested that badgers traded foraging success against thermoregulatory losses, where lower-condition badgers maintained higher spring ODBA irrespective of temperature while badgers in better body condition reduced ODBA at colder temperatures. Conversely, in summer, lower-condition badgers modulated ODBA according to temperature, likely in response to super-abundant food supply. Between 35% (spring, summer) and 57% (autumn) of residual total daily ODBA variance related to inter-individual differences unexplained by seasonal predictors, suggesting within-season tactical activity typologies. We propose that this heterogeneity among individual energy-expenditure profiles may contribute to population resilience under rapid environmental change. Full article
(This article belongs to the Section Wildlife)
Show Figures

Figure 1

Back to TopTop