Second Trimester Ultrasound Diagnosis of External Hydrocephalus in Two Fetuses with Noonan Syndrome—Case Report Series
Abstract
1. Introduction
2. Case Report Series
2.1. Case 1
2.1.1. Patient Information and Obstetric History
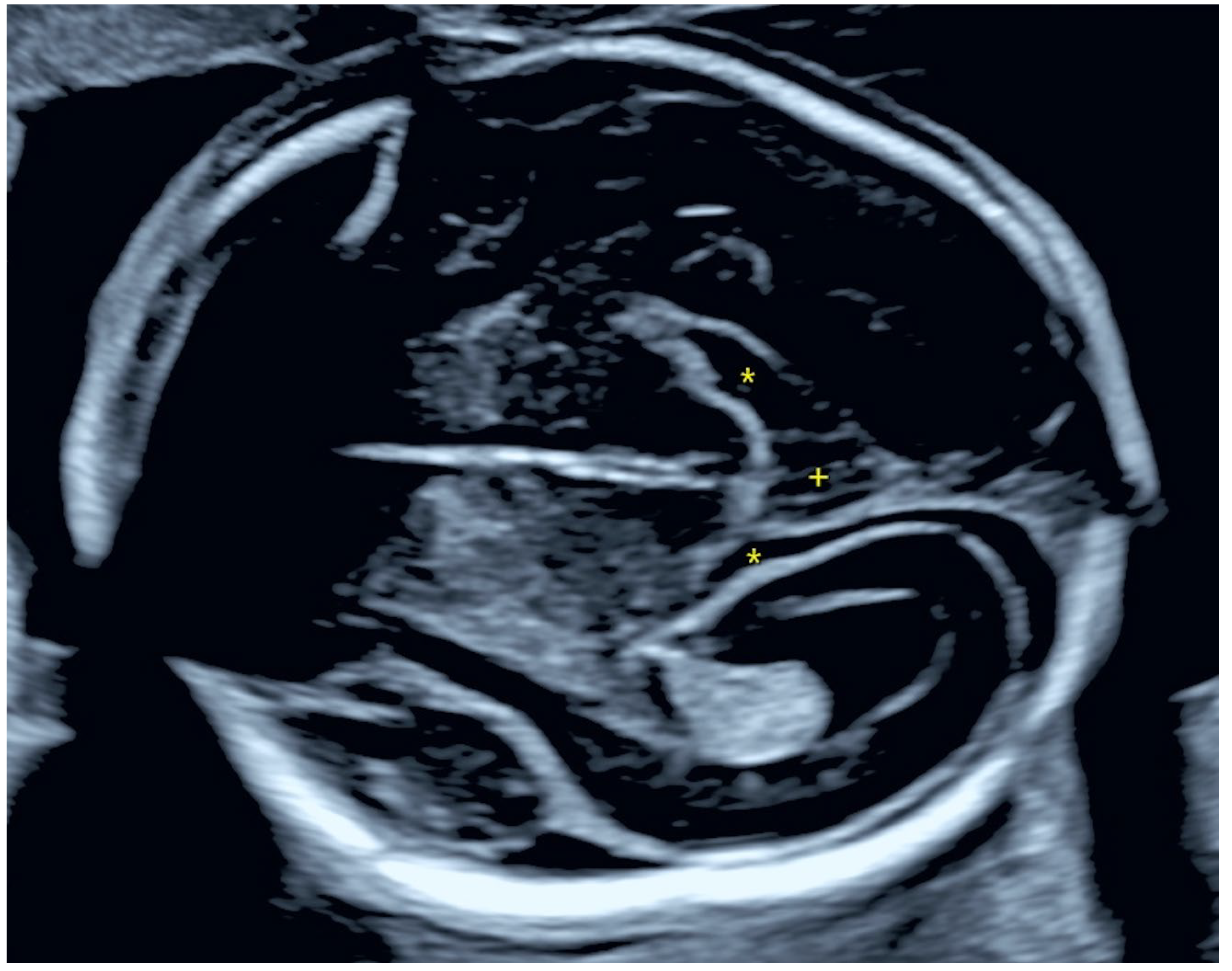
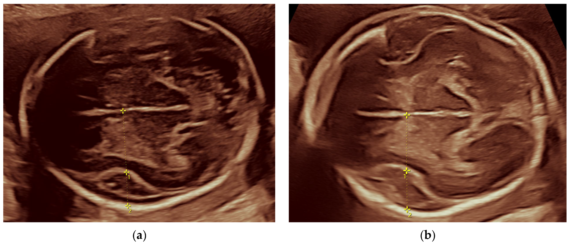
2.1.2. Ultrasound Findings
2.1.3. Genetic Studies
2.1.4. Perinatal and Postnatal Outcome
2.2. Case 2
2.2.1. Patient Information and Obstetric History
2.2.2. Ultrasound Findings
2.2.3. Genetic Studies
2.2.4. Perinatal and Postnatal Outcome
3. Discussion
Author Contributions
Funding
Institutional Review Board Statement
Informed Consent Statement
Data Availability Statement
Conflicts of Interest
Abbreviations
| AC | Abdominal circumference |
| BMI | Body mass index |
| BPD | Biparietal diameter |
| cf-DNA | Cell-free DNA |
| CNS | Central nervous system |
| CRL | Crown-rump length |
| DV | Ductus venosus |
| DVP | Deepest (maximal) vertical pocket |
| EH | External hydrocephalus |
| EIF | Echogenic intracardiac focus |
| HC | Head circumference |
| IVF | In vitro fertilization |
| NS | Noonan syndrome |
| NT | Nuchal translucency |
| PFSR | Prefrontal space ratio |
| SUA | Single umbilical artery |
| VSD | Ventricular septal defect |
References
- Mendez, H.M.M.; Opitz, J.M.; Reynolds, J.F. Noonan Syndrome: A Review. Am. J. Med. Genet. 1985, 21, 493–506. [Google Scholar] [CrossRef] [PubMed]
- Nora, J.J. The Ullrich-Noonan Syndrome (Turner Phenotype). Arch. Pediatr. Adolesc. Med. 1974, 127, 48. [Google Scholar] [CrossRef] [PubMed]
- Goel, N.; Morris, J.K.; Tucker, D.; De Walle, H.E.K.; Bakker, M.K.; Kancherla, V.; Marengo, L.; Canfield, M.A.; Kallen, K.; Lelong, N.; et al. Trisomy 13 and 18—Prevalence and Mortality—A Multi-registry Population Based Analysis. Am. J. Med. Genet. A. 2019, 179, 2382–2392. [Google Scholar] [CrossRef] [PubMed]
- Noonan, J.A. Associated Noncardiac Malformations in Children with Congenital Heart Disease. Midwest. Soc. Pediat Res. 1963, 63, 468–470. [Google Scholar]
- Baldo, F.; Fachin, A.; Da Re, B.; Rubinato, E.; Bobbo, M.; Barbi, E. New Insights on Noonan Syndrome’s Clinical Phenotype: A Single Center Retrospective Study. BMC Pediatr. 2022, 22, 734. [Google Scholar] [CrossRef]
- Tartaglia, M.; Kalidas, K.; Shaw, A.; Song, X.; Musat, D.L.; Van Der Burgt, I.; Brunner, H.G.; Bertola, D.R.; Crosby, A.; Ion, A.; et al. PTPN11 Mutations in Noonan Syndrome: Molecular Spectrum, Genotype-Phenotype Correlation, and Phenotypic Heterogeneity. Am. J. Hum. Genet. 2002, 70, 1555–1563. [Google Scholar] [CrossRef]
- Hakami, F.; Dillon, M.W.; Lebo, M.; Mason-Suares, H. Retrospective Study of Prenatal Ultrasound Findings in Newborns with a Noonan Spectrum Disorder: Prenatal Diagnosis of Noonan Spectrum Disorders. Prenat. Diagn. 2016, 36, 418–423. [Google Scholar] [CrossRef]
- Marino, B.; Digilio, M.C.; Toscano, A.; Giannotti, A.; Dallapiccola, B. Congenital Heart Diseases in Children with Noonan Syndrome: An Expanded Cardiac Spectrum with High Prevalence of Atrioventricular Canal. J. Pediatr. 1999, 135, 703–706. [Google Scholar] [CrossRef]
- Bakker, M.; Pajkrt, E.; Mathijssen, I.B.; Bilardo, C.M. Targeted Ultrasound Examination and DNA Testing for Noonan Syndrome, in Fetuses with Increased Nuchal Translucency and Normal Karyotype. Prenat. Diagn. 2011, 31, 833–840. [Google Scholar] [CrossRef]
- Noonan, J.A. Noonan Syndrome: An Update and Review for the Primary Pediatrician. Clin. Pediatr. 1994, 33, 548–555. [Google Scholar] [CrossRef]
- Croonen, E.A.; Nillesen, W.M.; Stuurman, K.E.; Oudesluijs, G.; Van De Laar, I.M.B.M.; Martens, L.; Ockeloen, C.; Mathijssen, I.B.; Schepens, M.; Ruiterkamp-Versteeg, M.; et al. Prenatal Diagnostic Testing of the Noonan Syndrome Genes in Fetuses with Abnormal Ultrasound Findings. Eur. J. Hum. Genet. 2013, 21, 936–942. [Google Scholar] [CrossRef] [PubMed]
- Matyášová, M.; Dobšáková, Z.; Hiemerová, M.; Kadlecová, J.; Nikulenkov Grochová, D.; Popelínská, E.; Svobodová, E.; Vlašín, P. Prenatal Diagnosis of Noonan Syndrome in Fetuses with Increased Nuchal Translucency and a Normal Karyotype. Ceska Gynekol. 2019, 84, 195–200. [Google Scholar] [PubMed]
- Schlüter, G.; Steckel, M.; Schiffmann, H.; Harms, K.; Viereck, V.; Emons, G.; Burfeind, P.; Pauer, H.-U. Prenatal DNA Diagnosis of Noonan Syndrome in a Fetus with Massive Hygroma Colli, Pleural Effusion and Ascites. Prenat. Diagn. 2005, 25, 574–576. [Google Scholar] [CrossRef] [PubMed]
- Yang, Z.; Shikany, A.; Ni, Y.; Zhang, G.; Weaver, K.N.; Chen, J. Using Deep Learning and Electronic Health Records to Detect Noonan Syndrome in Pediatric Patients. Genet. Med. 2022, 24, 2329–2337. [Google Scholar] [CrossRef]
- Zahl, S.M.; Egge, A.; Helseth, E.; Wester, K. Benign External Hydrocephalus: A Review, with Emphasis on Management. Neurosurg. Rev. 2011, 34, 417–432. [Google Scholar] [CrossRef]
- Alonso, I.; Borenstein, M.; Grant, G.; Narbona, I.; Azumendi, G. Depth of Brain Fissures in Normal Fetuses by Prenatal Ultrasound between 19 and 30 Weeks of Gestation. Ultrasound Obstet. Gynecol. 2010, 36, 693–699. [Google Scholar] [CrossRef]
- Achiron, R.; Heggesh, J.; Grisaru, D.; Goldman, B.; Lipitz, S.; Yagel, S.; Frydman, M. Noonan Syndrome: A Cryptic Condition in Early Gestation. Am. J. Med. Genet. 2000, 92, 159–165. [Google Scholar] [CrossRef]
- La Verde, M.; Marrapodi, M.M.; Capristo, C.; Conte, A.; Molitierno, R.; Morlando, M.; Fordellone, M.; De Franciscis, P.; Campitiello, M.R.; Torella, M. Racial and Ethnic Disparities in Non-Invasive Prenatal Testing Adherence: A Retrospective Cohort Study. Minerva Obstet. Gynecol. Online ahead of print. 2024. [Google Scholar] [CrossRef]
- Thilaganathan, B.; Khare, M.; Williams, B.; Wathen, N.C. Influence of Ethnic Origin on Nuchal Translucency Screening for Down’s Syndrome. Ultrasound Obstet. Gynecol. 1998, 12, 112–114. [Google Scholar] [CrossRef]
- Dubois, M.-L.; Winters, P.D.; Rodrigue, M.-A.; Gekas, J. Patient Attitudes and Preferences about Expanded Noninvasive Prenatal Testing. Front. Genet. 2023, 14, 976051. [Google Scholar] [CrossRef]
- Tangshewinsirikul, C.; Wattanasirichaigoon, D.; Tim-Aroon, T.; Promsonthi, P.; Katanyuwong, P.; Diawtipsukon, S.; Chansriniyom, N.; Tongsong, T. Prenatal Sonographic Features of Noonan Syndrome: Case Series and Literature Review. J. Clin. Med. 2024, 13, 5735. [Google Scholar] [CrossRef] [PubMed]
- Sharland, M.; Burch, M.; McKenna, W.M.; Paton, M.A. A Clinical Study of Noonan Syndrome. Arch. Dis. Child. 1992, 67, 178–183. [Google Scholar] [CrossRef] [PubMed]
- Mahajan, S.; Narayanan, V.; Narayan, V.; Depuru, A. A Rare Neurological Presentation of Noonan Syndrome and Its Management—A Case Report. Asian J. Neurosurg. 2024, 19, 094–096. [Google Scholar] [CrossRef] [PubMed]
- Spennato, P.; Sacco, M.; Cinalli, G. Diverticular Enlargement of Foramen of Luschka and Hydrocephalus in Child with Noonan Syndrome. World Neurosurg. 2019, 125, 371–373. [Google Scholar] [CrossRef]
- Heye, N.; Dunne, J.W. Noonan’s Syndrome with Hydrocephalus, Hindbrain Herniation, and Upper Cervical Intracord Cyst. J. Neurol. Neurosurg. Psychiatry 1995, 59, 338–339. [Google Scholar] [CrossRef]
- Helenius, K.; Parkkola, R.; Arola, A.; Peltola, V.; Haanpää, M.K. Detailed Prenatal and Postnatal MRI Findings and Clinical Analysis of RAF1 in Noonan Syndrome. Eur. J. Med. Genet. 2022, 65, 104626. [Google Scholar] [CrossRef]
- Mastromoro, G.; De Luca, A.; Marchionni, E.; Spagnuolo, A.; Ventriglia, F.; Manganaro, L.; Pizzuti, A. External Hydrocephalus as a Prenatal Feature of Noonan Syndrome. Ann. Hum. Genet. 2021, 85, 249–252. [Google Scholar] [CrossRef]
- Varughese, R.T.; Cohen, D.J.; Kothare, S.V.; Maytal, J. Prenatal External Hydrocephalus in Snijders Blok–Campeau Syndrome. Neurol. India 2023, 71, 863. [Google Scholar] [CrossRef]
- Girard, N.J.; Raybaud, C.A. Ventriculomegaly and Pericerebral CSF Collection in the Fetus: Early Stage of Benign External Hydrocephalus? Childs Nerv. Syst. 2001, 17, 239–245. [Google Scholar] [CrossRef]
- Baron, J.; Tirosh, D.; Ben-Harush, Y.; Shelef, I.; Hershkovitz, R. P10.04: External Hydrocephalus: A New Entity in Prenatal Diagnosis. Ultrasound Obstet. Gynecol. 2016, 48, 195. [Google Scholar] [CrossRef]
- Cizmeci, M.N.; Lequin, M.; Lichtenbelt, K.D.; Chitayat, D.; Kannu, P.; James, A.G.; Groenendaal, F.; Chakkarapani, E.; Blaser, S.; De Vries, L.S. Characteristic MR Imaging Findings of the Neonatal Brain in RASopathies. Am. J. Neuroradiol. 2018, 39, 1146–1152. [Google Scholar] [CrossRef] [PubMed]
- Samanta, D. Severe Developmental Delay and Complete Agenesis of Corpus Callosum in a Noonan Syndrome Patient with SOS1 Mutation. Acta Neurol. Belg. 2016, 116, 223–224. [Google Scholar] [CrossRef] [PubMed]
- Santoro, C.; Giugliano, T.; Melone, M.A.B.; Cirillo, M.; Schettino, C.; Bernardo, P.; Cirillo, G.; Perrotta, S.; Piluso, G. Multiple Spinal Nerve Enlargement and SOS1 Mutation: Further Evidence of Overlap between Neurofibromatosis Type 1 and Noonan Phenotype. Clin. Genet. 2018, 93, 138–143. [Google Scholar] [CrossRef] [PubMed]
- Rai, B.; Naylor, P.; Sanchez, M.S.; Wintermark, M.; Raman, M.; Jo, B.; Reiss, A.; Green, T. Novel Effects of Ras-MAPK Pathogenic Variants on the Developing Human Brain and Their Link to Gene Expression and Inhibition Abilities. Transl. Psychiatry 2023, 13, 245. [Google Scholar] [CrossRef]
- Johnson, E.M.; Ishak, A.D.; Naylor, P.E.; Stevenson, D.A.; Reiss, A.L.; Green, T. PTPN11 Gain-of-Function Mutations Affect the Developing Human Brain, Memory, and Attention. Cereb. Cortex 2019, 29, 2915–2923. [Google Scholar] [CrossRef]
- Paladini, D.; Malinger, G.; Birnbaum, R.; Monteagudo, A.; Pilu, G.; Salomon, L.J.; Timor-Tritsch, I.E. ISUOG Practice Guidelines (Updated): Sonographic Examination of the Fetal Central Nervous System. Part 2: Performance of Targeted Neurosonography. Ultrasound Obstet. Gynecol. 2021, 57, 661–671. [Google Scholar] [CrossRef]
- Gripp, K.W.; Zand, D.J.; Demmer, L.; Anderson, C.E.; Dobyns, W.B.; Zackai, E.H.; Denenberg, E.; Jenny, K.; Stabley, D.L.; Sol-Church, K. Expanding the SHOC2 Mutation Associated Phenotype of Noonan Syndrome with Loose Anagen Hair: Structural Brain Anomalies and Myelofibrosis. Am. J. Med. Genet. A. 2013, 161, 2420–2430. [Google Scholar] [CrossRef]
- Zarate, Y.A.; Lichty, A.W.; Champion, K.J.; Clarkson, L.K.; Holden, K.R.; Matheus, M.G. Unique Cerebrovascular Anomalies in Noonan Syndrome with RAF1 Mutation. J. Child. Neurol. 2014, 29, NP13–NP17. [Google Scholar] [CrossRef]





Disclaimer/Publisher’s Note: The statements, opinions and data contained in all publications are solely those of the individual author(s) and contributor(s) and not of MDPI and/or the editor(s). MDPI and/or the editor(s) disclaim responsibility for any injury to people or property resulting from any ideas, methods, instructions or products referred to in the content. |
© 2025 by the authors. Licensee MDPI, Basel, Switzerland. This article is an open access article distributed under the terms and conditions of the Creative Commons Attribution (CC BY) license (https://creativecommons.org/licenses/by/4.0/).
Share and Cite
Elekes, T.; Ladanyi, A.; Pap, E.; Szabo, J.; Illes, A.; Gullai, N.; Varbiro, S. Second Trimester Ultrasound Diagnosis of External Hydrocephalus in Two Fetuses with Noonan Syndrome—Case Report Series. J. Clin. Med. 2025, 14, 3973. https://doi.org/10.3390/jcm14113973
Elekes T, Ladanyi A, Pap E, Szabo J, Illes A, Gullai N, Varbiro S. Second Trimester Ultrasound Diagnosis of External Hydrocephalus in Two Fetuses with Noonan Syndrome—Case Report Series. Journal of Clinical Medicine. 2025; 14(11):3973. https://doi.org/10.3390/jcm14113973
Chicago/Turabian StyleElekes, Tibor, Aniko Ladanyi, Eva Pap, Janos Szabo, Anett Illes, Nora Gullai, and Szabolcs Varbiro. 2025. "Second Trimester Ultrasound Diagnosis of External Hydrocephalus in Two Fetuses with Noonan Syndrome—Case Report Series" Journal of Clinical Medicine 14, no. 11: 3973. https://doi.org/10.3390/jcm14113973
APA StyleElekes, T., Ladanyi, A., Pap, E., Szabo, J., Illes, A., Gullai, N., & Varbiro, S. (2025). Second Trimester Ultrasound Diagnosis of External Hydrocephalus in Two Fetuses with Noonan Syndrome—Case Report Series. Journal of Clinical Medicine, 14(11), 3973. https://doi.org/10.3390/jcm14113973

