Sign in to use this feature.

Years

Between: -

Subjects

remove_circle_outline
remove_circle_outline
remove_circle_outline
remove_circle_outline
remove_circle_outline
remove_circle_outline
remove_circle_outline
remove_circle_outline
remove_circle_outline

Journals

remove_circle_outline
remove_circle_outline
remove_circle_outline
remove_circle_outline
remove_circle_outline
remove_circle_outline
remove_circle_outline
remove_circle_outline
remove_circle_outline
remove_circle_outline
remove_circle_outline
remove_circle_outline
remove_circle_outline
remove_circle_outline
remove_circle_outline
remove_circle_outline
remove_circle_outline
remove_circle_outline
remove_circle_outline

Article Types

Countries / Regions

remove_circle_outline
remove_circle_outline
remove_circle_outline
remove_circle_outline
remove_circle_outline

Search Results (424)

Search Parameters:
Keywords = MAN1B

Order results
Result details
Results per page
Select all
Export citation of selected articles as:
10 pages, 3235 KB  
Case Report
Surgical Procedures to Enhance Prosthetic Prognosis in the Rehabilitation of a Maxillectomy Defect Due to Sinonasal Carcinoma: A Case Report
by Armando Crupi, Giancarlo Pecorari, Vincenzo Ronsivalle and Marco Cicciù
Prosthesis 2026, 8(1), 6; https://doi.org/10.3390/prosthesis8010006 (registering DOI) - 30 Dec 2025
Abstract
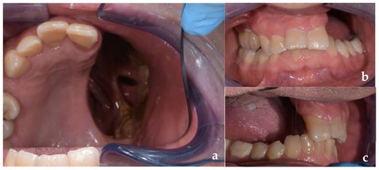
Background: Rehabilitation of head and neck cancer patients with acquired intraoral defects is challenging and requires multidisciplinary collaboration. This case report describes an integrated surgical and prosthetic approach in which palatal obturator rehabilitation is used to restore palatal integrity, speech, swallowing, aesthetics, [...] Read more.
Background: Rehabilitation of head and neck cancer patients with acquired intraoral defects is challenging and requires multidisciplinary collaboration. This case report describes an integrated surgical and prosthetic approach in which palatal obturator rehabilitation is used to restore palatal integrity, speech, swallowing, aesthetics, and overall quality of life after maxillectomy. The objective is to show how careful surgical planning to optimize prosthetic prognosis, combined with a precisely designed obturator prosthesis, can achieve satisfactory functional rehabilitation. Methods: A man in his 50s with sinonasal carcinoma underwent partial left maxillectomy followed by radiotherapy and chemotherapy. The defect was classified as Aramany class I and Brown class 2b, and the surgical resection was planned to preserve structures favorable to prosthetic support. Prosthetic management included fabrication of a removable partial denture incorporating a hollow-bulb obturator. Results: During trial and delivery, the patient demonstrated improved speech and swallowing, enhanced denture stability, and favorable aesthetics. The patient reported satisfaction with functional and cosmetic outcomes and was provided with instructions for use and cleaning, with a plan for regular follow-up. Conclusions: Palatal obturator prostheses remain a gold standard for unilateral maxillectomy rehabilitation when adequate retention is achievable. Surgical-prosthetic collaboration permits restoring palatal contours, and dentition can normalize speech and swallowing, and substantially improve the quality of life. Full article
(This article belongs to the Special Issue Prosthesis: Spotlighting the Work of the Editorial Board Members)
Show Figures

Figure 1

16 pages, 1298 KB  
Systematic Review
Heart Failure Outcomes with SGLT2 Inhibitors in Adults with Type 2 Diabetes: A Systematic Review and Meta-Analysis
by Raghad Rasheed Alrasheed, Amenah Fayez Altaf, Abdullah Hameed Althurwi, Shahad Fahad Alrodan, Manal Hussain Asiri, Bushra Abdulrahman Alsaluli, Muath Awadh Alsurur, Khalid Ali Alghamdi, Ahmed Anwer Alrowaithi and Nariman Safar Almalki
Medicina 2026, 62(1), 69; https://doi.org/10.3390/medicina62010069 - 29 Dec 2025
Viewed by 54
Abstract
Background and Objectives: Type 2 diabetes mellitus (T2DM) substantially increases the risk of heart failure (HF) and worsens its prognosis. Sodium-glucose cotransporter-2 inhibitors (SGLT2i), initially developed for glycemic control, have shown important cardiovascular benefits. This systematic review and meta-analysis evaluated the effects of [...] Read more.
Background and Objectives: Type 2 diabetes mellitus (T2DM) substantially increases the risk of heart failure (HF) and worsens its prognosis. Sodium-glucose cotransporter-2 inhibitors (SGLT2i), initially developed for glycemic control, have shown important cardiovascular benefits. This systematic review and meta-analysis evaluated the effects of SGLT2i on HF hospitalizations, cardiovascular (CV) death, and renal outcomes, as well as their safety profile, in patients with T2DM and established HF. Materials and Methods: Following PRISMA 2020 guidelines, we systematically searched PubMed, the Cochrane Library, and Web of Science for randomized controlled trials (RCTs) comparing SGLT2i with placebo in adults with T2DM and HF. Data on HF hospitalizations, CV death, other clinical outcomes, and adverse events were extracted. Risk of bias was assessed using the Cochrane RoB2 tool, and pooled hazard ratios (HRs) with 95% confidence intervals (CIs) were calculated using RevMan 5.4.1. Results: Ten RCTs including more than 21,000 participants met the inclusion criteria. Most were large, international, double-blind trials with overall low risk of bias. SGLT2i reduced the composite of worsening HF or CV death by about 21% (pooled HR 0.79, 95% CI 0.69–0.89), mainly driven by a consistent reduction in HF hospitalizations across trials. Effects on CV death alone were directionally favorable but not uniformly significant. Furthermore, SGLT2i were associated with beneficial effects on cardiac function and patient-reported health status and showed consistent renoprotective effects. The safety profile was favorable, with a small increase in genital infections and no excess of hypoglycemia or other serious adverse events. Conclusions: In patients with T2DM and HF, SGLT2i meaningfully reduce HF events and provide additional renal benefits with good tolerability. Our findings consolidate and update the current evidence by focusing specifically on RCTs enrolling patients with both T2DM and established HF across the spectrum of ejection fraction, thereby reinforcing the role of SGLT2i as a key component of guideline-directed therapy in this high-risk population. Full article
(This article belongs to the Section Cardiology)
Show Figures

Figure 1

18 pages, 1002 KB  
Article
Study on the Potential Impact of Biofuels on the Operation and Maintenance Durability of Marine Main Engine Components
by Catalin Faitar, Ionut Voicu, Mariana Panaitescu, Andra Nedelcu and Eugen Rusu
J. Mar. Sci. Eng. 2025, 13(12), 2398; https://doi.org/10.3390/jmse13122398 - 17 Dec 2025
Viewed by 198
Abstract
The maritime transportation industry is under pressure to reduce the level of emissions generated annually by commercial vessels. In order to achieve this objective, regulatory bodies, both national and international, have imposed strict limitations on the industry, and thus major changes have to [...] Read more.
The maritime transportation industry is under pressure to reduce the level of emissions generated annually by commercial vessels. In order to achieve this objective, regulatory bodies, both national and international, have imposed strict limitations on the industry, and thus major changes have to be made in a tight time frame. In the last decade, engineers and ship designers have been searching for alternatives to traditional fuels, but it is not easy to find a perfect balance between operational costs and economic efficiency. Many potential solutions are being studied, with some of them already proven and implemented, such as liquefied natural gas, solar and wind power, electric propulsion, and many more. One solution might be biofuels, and this study aims to assess the potential impact of their use on the energy performance and durability of a typical marine propulsion engine, namely the MAN B&W 6S70MC-C7, fitted on board many types of ships including large oil tankers, container ships and bulk carriers. The main topic is approached through a progressive structure, starting from the analysis of general characteristics of these fuels and the engine installation, comparative simulations, operational experience, and technical recommendations. The comparative assessment is focused on two traditional types of fuels and two biofuel types. The aim is to identify a viable solution that can sustain the operational efficiency of this main engine without a major impact on its maintenance cycle and without additional costs on the components. Even if these biofuels are more expensive than the traditional ones, in the long run, they could prove to be a better choice in terms of operational costs and compliance with regulation. Full article
(This article belongs to the Section Ocean Engineering)
Show Figures

Figure 1

11 pages, 2240 KB  
Case Report
Unusual Neuropsychiatric Presentation of Cryptococcus neoformans Meningoencephalitis in an Immunosuppressed Patient with Rheumatoid Arthritis: A Case Report
by Sinthia Vidal-Cañas, Manuel David Mayoral-Valencia, Esteban Artunduaga-Cañas, Esteban Pineda-Arias, Danna Alejandra Betancourt Cañas and Daniela Arturo-Terranova
Diseases 2025, 13(12), 404; https://doi.org/10.3390/diseases13120404 - 17 Dec 2025
Viewed by 265
Abstract
Central nervous system (CNS) cryptococcosis caused by Cryptococcus neoformans is a severe opportunistic infection that primarily affects individuals with impaired cellular immunity. Although the classic presentation includes headache, fever, and meningeal signs, chronically immunosuppressed patients may develop atypical neuropsychiatric manifestations, leading to diagnostic [...] Read more.
Central nervous system (CNS) cryptococcosis caused by Cryptococcus neoformans is a severe opportunistic infection that primarily affects individuals with impaired cellular immunity. Although the classic presentation includes headache, fever, and meningeal signs, chronically immunosuppressed patients may develop atypical neuropsychiatric manifestations, leading to diagnostic delays. We report the case of a 53-year-old man with rheumatoid arthritis (RA) receiving long-term prednisolone and etanercept therapy, who presented with a 7-day history of depressive mood, anhedonia, social withdrawal, irritability, and progressive confusion. Neurological examination revealed disorientation without focal deficits. Brain imaging showed only mild cortical atrophy, and cerebrospinal fluid (CSF) analysis revealed lymphocytic pleocytosis, low glucose, and elevated protein levels. Multiplex PCR (FilmArray®) of CSF identified Cryptococcus neoformans, CSF positive to C. neoformans. The patient was treated with liposomal amphotericin B followed by fluconazole, resulting in gradual improvement of both neurological and psychiatric symptoms. This case highlights an unusual presentation of CNS cryptococcosis in a non-HIV immunosuppressed patient with RA, emphasizing that acute psychiatric or cognitive changes can be the predominant manifestation. Clinicians should consider fungal infections in the differential diagnosis of acute neuropsychiatric symptoms in patients receiving chronic corticosteroid and biologic therapy. Early recognition and molecular diagnosis can facilitate timely antifungal treatment, potentially improving prognosis and reducing morbidity associated with delayed therapy. This report underscores the importance of awareness of atypical presentations of opportunistic infections in immunosuppressed populations. Full article
(This article belongs to the Section Infectious Disease)
Show Figures

Figure 1

9 pages, 8215 KB  
Case Report
Non-Syndromic Ganglioneuromatosis of the Gallbladder, an Extremely Rare Condition: Case Report and Literature Review
by Catalin-Bogdan Satala, Alina-Mihaela Gurau, Gabriela Patrichi and Daniela Mihalache
Reports 2025, 8(4), 259; https://doi.org/10.3390/reports8040259 - 7 Dec 2025
Viewed by 256
Abstract
Background and Clinical Significance: Ganglioneuromatosis is a benign proliferation of mature ganglion cells, Schwann cells, and nerve fibers within the enteric or autonomic nervous system. According to the WHO classification, it encompasses a spectrum range from solitary ganglioneuroma to ganglioneuromatous polyposis and [...] Read more.
Background and Clinical Significance: Ganglioneuromatosis is a benign proliferation of mature ganglion cells, Schwann cells, and nerve fibers within the enteric or autonomic nervous system. According to the WHO classification, it encompasses a spectrum range from solitary ganglioneuroma to ganglioneuromatous polyposis and diffuse mural involvement. It is most commonly encountered in the colon and small bowel and is strongly associated with hereditary syndromes such as neurofibromatosis type 1 (NF1), multiple endocrine neoplasia type 2B (MEN2B), and Cowden syndrome. The involvement of the gallbladder is exceptional and only isolated cases have been documented. Case Presentation: We present the case of 64-year-old man admitted with longstanding right hypochondrium and epigastric pain, accompanied by intermittent nausea and occasional bilious vomiting. A cholecystectomy was performed and the histology result showed hypertrophic nerve fibers with interspersed mature ganglion cells within the fibromuscular layer. Immunohistochemistry supported neural origin and glial differentiations, consistent with ganglioneuromatosis of the gallbladder. The patient has no clinical evidence of NF1, MEN2B, or Cowden syndrome, adding a non-syndromic adult case to the very limited literature on this entity. Conclusions: This is a rare, non-syndromic adult case of gallbladder ganglioneuromatosis, contributing to the very limited literature on this entity. Full article
Show Figures

Figure 1

9 pages, 212 KB  
Case Report
Pulmonary Rehabilitation in Primary Care: Functional and Emotional Impact in a Patient with COPD: A Case Report
by Verónica Esteves and Sara Diogo Gonçalves
Reports 2025, 8(4), 257; https://doi.org/10.3390/reports8040257 - 4 Dec 2025
Viewed by 364
Abstract
Background and Clinical Significance: Chronic Obstructive Pulmonary Disease (COPD) is a progressive respiratory disorder characterized by airflow limitation and a significant impact on functional capacity, emotional well-being, and quality of life. Pulmonary rehabilitation improves functional capacity and psychosocial outcomes in individuals with [...] Read more.
Background and Clinical Significance: Chronic Obstructive Pulmonary Disease (COPD) is a progressive respiratory disorder characterized by airflow limitation and a significant impact on functional capacity, emotional well-being, and quality of life. Pulmonary rehabilitation improves functional capacity and psychosocial outcomes in individuals with COPD, but evidence on its implementation in primary care is limited. This case report describes the functional and emotional outcomes of a structured pulmonary rehabilitation program delivered in a primary care setting for a patient with moderate COPD, indicating potential feasibility and clinical relevance, while recognizing that evidence from a single case cannot be generalized; Case Presentation: A 73-year-old man, an ex-smoker for 10 years, with a history of moderate COPD (GOLD 2/B), controlled hypertension, and recurrent respiratory infections, presented after discontinuation of regular exercise following a previous hospital-based rehabilitation program completed 26 months earlier. The patient reported dyspnea on exertion and functional decline. He completed a 16-week pulmonary rehabilitation program delivered in a primary care setting. The intervention included weekly supervised sessions (breathing exercises, aerobic and resistance training, and education) and twice-weekly home exercises. Outcomes were assessed pre- and post-intervention. Dyspnea improved (mMRC 2 → 1), 6-Minute Walk Test distance increased (303 → 380 m), lower-limb strength improved (10× Sit-to-Stand: 10 → 18 repetitions), perceived exertion decreased (Borg 7 → 4), daily activity limitations were reduced (LCADL 28 → 20), and anxiety decreased (HADS 10 → 6). No adverse events occurred, and adherence was 100%. Conclusions: This single case shows that a structured pulmonary rehabilitation program delivered in primary care was feasible and associated with meaningful improvements in functional performance and emotional well-being in a patient with moderate COPD. Full article
19 pages, 9552 KB  
Article
Characterization and Genomic Analysis of Pasteurella multocida NQ01 Isolated from Yak in China
by Kewei Li, Haofang Yuan, Chao Jin, Muhammad Farhan Rahim, Xire Luosong, Tianwu An and Jiakui Li
Animals 2025, 15(23), 3462; https://doi.org/10.3390/ani15233462 - 1 Dec 2025
Cited by 1 | Viewed by 395
Abstract
Hemorrhagic septicemia (HS) is a fulminant bovine disease across Asia and Africa, yet Pasteurella multocida (P. multocida) isolated from yak is poorly reported. We isolated strain NQ01 from a fatal HS case in Xizang, China and identified it as P. multocida [...] Read more.
Hemorrhagic septicemia (HS) is a fulminant bovine disease across Asia and Africa, yet Pasteurella multocida (P. multocida) isolated from yak is poorly reported. We isolated strain NQ01 from a fatal HS case in Xizang, China and identified it as P. multocida B:2 by morphology, Gram stain, and PCR (kmt1+, bcbD+, LPS L2). NQO1 formed smooth, non-hemolytic colonies. After Gram staining, the cells appeared as red rods with bipolar staining. Antimicrobial testing showed broad susceptibility to β-lactams, aminoglycosides, tetracyclines, fluoroquinolones, midecamycin, florfenicol, polymyxin, and vancomycin, with resistance to metronidazole, trimethoprim sulfamethoxazole, and clindamycin. Streptomycin and ofloxacin had intermediate activity. In mice, the intraperitoneal and intranasal LD50 values were 40.64 CFU/mL and 9.53 × 106 CFU/mL, respectively. The intranasal fatal cases were characterized by bacteremia with multifocal disseminated intravascular coagulation involving lung, liver, and spleen. The complete genome comprises a single 2.33 Mb chromosome (40.47% GC, 2115 CDS, no plasmids) with only one resistance gene (Eco_EFTu_PLV) and 28 virulence genes spanning adhesion (tadA, rcpA, ppdD, pilB, tuf/tufA, htpB, PM_RS00430, PM_RS00425, PM_RS08640), immune modulation (lpxB/C/D, msbB, manB, rfaE/F, gmhA/lpcA, kdsA, pgi, wecA, galE, bexD’, ABZJ_RS06285, ABD1_RS00310), and nutritional/metabolic factor (hgbA, hemR, hemN), plus a YadA-like factor. Phylogenetically, NQ01 clusters with regional B:2 bovine/yak isolates. Collectively, these data define NQ01 as a highly virulent, low-resistance yak isolate and a practical model for natural-route HS pathogenesis and targeted control in high-altitude pastoral settings yaks. Full article
Show Figures

Figure 1

19 pages, 1156 KB  
Review
The Pleiotropic Influence of Cannabidiol and Tetrahydrocannabinol on Inflammatory Biomarkers: A Systematic Review and Meta-Analytical Synthesis
by Bruno Moreira Candeloro, Camila M. de Oliveira, Fabiana Veronez Martelato Gimenez, Marianne P. C. N. Barbosa, Beatriz Paiva Soares, Ana C. F. Ruiz, Derfel R. M. A. Folegatti, Sandra Maria Barbalho, Nancy S. Oliveira, Andrey A. Porto, David Matthew Garner, Fernando H. Sousa and Vitor E. Valenti
Int. J. Mol. Sci. 2025, 26(23), 11618; https://doi.org/10.3390/ijms262311618 - 30 Nov 2025
Viewed by 580
Abstract
Preclinical data suggest that cannabidiol (CBD) and Δ9-tetrahydrocannabinol (THC) modulate inflammatory pathways (e.g., NLRP3, NF-κB, and PPAR-γ), but clinical translation into consistent changes in circulating biomarkers remains ambiguous. Two reviewers independently screened the studies, extracted data, and assessed risk of bias with RoB-2. [...] Read more.
Preclinical data suggest that cannabidiol (CBD) and Δ9-tetrahydrocannabinol (THC) modulate inflammatory pathways (e.g., NLRP3, NF-κB, and PPAR-γ), but clinical translation into consistent changes in circulating biomarkers remains ambiguous. Two reviewers independently screened the studies, extracted data, and assessed risk of bias with RoB-2. Random-effects meta-analyses (RevMan 5.4.1) formed standardized mean differences (SMD) or mean differences (MD) as appropriate. The certainty of evidence was graded by means of GRADE. Thirteen studies satisfied inclusion criteria; meta-analyses were feasible for IL-6 (four studies, n ≈ 129 per arm), IL-8 (two studies, n ≈ 78 per arm), IL-10 (two studies, n ≈ 92 per arm), and TNF-α (three studies, n ≈ 105 per arm). Pooled estimates favored CBD but were trivial and imprecise: IL-6 SMD −0.17 (95% CI −0.56 to 0.23; p = 0.41; I2 = 55%); IL-8 SMD −0.30 (95% CI −0.62 to 0.01; p = 0.06; I2 = 0%); IL-10 SMD −0.10 (95% CI −0.83 to 0.63; p = 0.79; I2 = 81%); and TNF-α SMD −0.09 (95% CI −0.45 to 0.27; p = 0.62; I2 = 33%). Individual trials reported reductions in biomarkers in high-exposure or diseased populations. GRADE ratings were as follows: IL-6 very low, IL-8 moderate, IL-10 low, and TNF-α moderate. Current RCT evidence demonstrates inconsistent, often trivial effects of phytocannabinoid interventions on circulating inflammatory biomarkers. Full article
(This article belongs to the Special Issue Advancements in Inflammatory and Oxidative Disease Research)
Show Figures

Figure 1

22 pages, 2478 KB  
Article
Potential Regulatory Role of miR-15b, miR-99b, and miR-181a of the Shikonin-Induced MAPK/ERK Apoptotic Signaling Pathway in Renal Carcinoma
by Anna Vass, József Király, Erzsébet Szabó, Nitya Shree, Deisy Ramos, Mahua Choudhury, Petra Fodor, Krisztián Szegedi, Gábor Halmos and Zsuzsanna Szabó
Biomedicines 2025, 13(12), 2898; https://doi.org/10.3390/biomedicines13122898 - 27 Nov 2025
Viewed by 357
Abstract
Background: Shikonin, a natural compound derived from Lithospermum erythrorhizon, exhibits anticancer properties by inducing apoptosis in various tumor types, including clear cell renal cell carcinoma (ccRCC) cell lines CAKI-2 and A-498. This study investigates the mechanisms underlying shikonin-induced apoptosis, focusing on microRNAs [...] Read more.
Background: Shikonin, a natural compound derived from Lithospermum erythrorhizon, exhibits anticancer properties by inducing apoptosis in various tumor types, including clear cell renal cell carcinoma (ccRCC) cell lines CAKI-2 and A-498. This study investigates the mechanisms underlying shikonin-induced apoptosis, focusing on microRNAs miR-15b, miR-99b, and miR-181a in ccRCC. Materials and Methods: ccRCC cells were treated with 5 µM shikonin. Expression levels of miR-15b, miR-99b, and miR-181a were measured by TaqMan PCR. Apoptosis-related targets (AKT3, PDCD4, FOXO1, FOXO3, JNK1, and LAMTOR3) were identified in silico and validated by qRT-PCR and Western blot. Spearman’s correlation was used to evaluate miRNA–target relationships. Ingenuity Pathway Analysis explored relevant pathways. Results: Shikonin decreased miR-15b, miR-99b, and miR-181a levels in CAKI-2 cells, whereas these miRNAs were increased in A-498 cells, demonstrating cell-line-specific effects. qRT-PCR and Western blot confirmed changes in target expression, suggesting regulation by these miRNAs. In A-498 cells, miR-181a expression positively correlated with the studied target levels during 24–72 h of treatment, indicating that its potential regulatory role may be cell-type-dependent. MiR-15b and miR-99b showed linear correlations with targets in both cell lines, but expression patterns differed, suggesting direct regulation alongside potential involvement in additional pathways contributing to shikonin-induced apoptosis. Conclusions: Shikonin induces apoptosis in renal cancer cells by modulating the MAPK/ERK pathway and through cell-line-specific, cell-type-dependent regulation of miR-15b, miR-99b, and miR-181a. These findings highlight the importance of cell-type-dependent miRNA regulation and underscore the therapeutic potential of shikonin in ccRCC. Full article
Show Figures

Figure 1

22 pages, 2191 KB  
Systematic Review
Virtual Reality-Based Cognitive and Physical Interventions in Cognitive Impairment: A Network Meta-Analysis of Immersion Level Effects
by Wanyi Li, Wei Gao and Xiangyang Lin
Behav. Sci. 2025, 15(12), 1610; https://doi.org/10.3390/bs15121610 - 22 Nov 2025
Viewed by 832
Abstract
Virtual reality (VR) has emerged as an innovative platform for delivering cognitive and physical training to individuals with cognitive impairment. However, the differential effectiveness of fully immersive versus partially immersive VR interventions remains unclear. This network meta-analysis aimed to evaluate how immersion level [...] Read more.
Virtual reality (VR) has emerged as an innovative platform for delivering cognitive and physical training to individuals with cognitive impairment. However, the differential effectiveness of fully immersive versus partially immersive VR interventions remains unclear. This network meta-analysis aimed to evaluate how immersion level influences cognitive, motor, and functional outcomes in neurodegenerative populations. A systematic search of PubMed, Embase, Cochrane Library, and Web of Science up to October 2025 identified 20 randomized controlled trials involving 1382 participants with mild cognitive impairment (MCI) or dementia. Interventions were categorized into four groups: (1) fully immersive VR (head-mounted displays), (2) partially immersive VR (screen-based or motion-capture systems), (3) active control (traditional cognitive or physical training), and (4) passive control (usual care or health education). Outcomes included the Mini-Mental State Examination (MMSE), Montreal Cognitive Assessment (MoCA), Trail Making Test (TMT), Digit Span Test (DST), Timed Up and Go (TUG), and Instrumental Activities of Daily Living (IADL). Standardized mean differences (SMDs) and surface under the cumulative ranking curve (SUCRA) values were calculated using RevMan 5.4 and Stata 18.0. Fully immersive VR significantly improved global cognition compared to passive control (MMSE: SMD = 0.51, 95% CI [0.06, 0.96]), while partially immersive VR showed superior effects on executive function versus active control (TMT-B: SMD = −1.29, 95% CI [−2.62, −0.93]) and on motor function (TUG: SMD = −0.59, 95% CI [−1.11, −0.08]). In MoCA performance, both VR modalities outperformed traditional interventions (SUCRA: fully immersive = 76.0%; partially immersive = 84.8%). SUCRA rankings suggest that fully immersive VR is optimal for memory and foundational cognition (81.7%), whereas partially immersive VR performs best for executive function (98.9%). These findings indicate that the efficacy of VR-based cognitive or physical–cognitive interventions is modulated by immersion level. Tailoring VR modality to specific cognitive domains may optimize rehabilitation outcomes in MCI and dementia care. Full article
Show Figures

Figure 1

8 pages, 3914 KB  
Case Report
A Humanized Anti-IL-4Rα Monoclonal Antibody Improves Aural Fullness
by Yiyun Zhang, Mengwen Shi, Yan Zhou, Jianjun Chen, Huabin Li and Yu Sun
J. Otorhinolaryngol. Hear. Balance Med. 2025, 6(2), 21; https://doi.org/10.3390/ohbm6020021 - 21 Nov 2025
Viewed by 444
Abstract
Background and Clinical Significance: Otitis media with effusion (OME) is characterized by persistent middle ear effusion without acute infection. Type 2 inflammation, mediated by IL-4 and IL-13 signaling via the IL-4Rα receptor, has been implicated in the pathogenesis of chronic rhinosinusitis with [...] Read more.
Background and Clinical Significance: Otitis media with effusion (OME) is characterized by persistent middle ear effusion without acute infection. Type 2 inflammation, mediated by IL-4 and IL-13 signaling via the IL-4Rα receptor, has been implicated in the pathogenesis of chronic rhinosinusitis with nasal polyps (CRSwNP), asthma, and possibly OME. Refractory OME in adults remains a therapeutic challenge, as conventional treatments often fail to achieve long-term resolution. Targeted biologic therapies that modulate type 2 inflammation may offer a novel treatment option. Case Presentation: We report the case of a 60-year-old man with a 15-year history of allergic rhinitis and CRSwNP, complicated by recurrent asthma exacerbations, who presented with bilateral aural fullness, hearing loss, and tinnitus. His symptoms persisted despite repeated tympanic punctures, Eustachian tube insufflation, and corticosteroid therapy. Otoscopy revealed dull tympanic membranes with effusion, and audiometry showed conductive hearing loss with a B-type tympanogram on the left. Laboratory findings demonstrated mild peripheral eosinophilia. The patient was diagnosed with OME, likely secondary to type 2 inflammation. After nine biweekly injections of Stapokibart (CM310)—a humanized monoclonal antibody targeting IL-4Rα—aural fullness completely resolved. Otoscopic findings and tympanograms normalized, and hearing thresholds improved significantly. Retrospective evaluation using Iino’s diagnostic framework suggested that the patient did not meet the full criteria for eosinophilic otitis media (EOM); nevertheless, marked symptomatic and functional improvement was achieved. No recurrence or adverse effects were observed during follow-up. Conclusions: This case suggests that IL-4Rα blockade with Stapokibart may be effective in treating refractory OME associated with type 2 inflammation, even in patients who do not fulfill the diagnostic criteria for EOM. These findings highlight the potential of anti-IL-4Rα biologics as a novel therapeutic option for middle ear diseases driven by type 2 inflammation. Full article
(This article belongs to the Special Issue Etiology, Diagnosis, and Treatment of Congenital Hearing Loss)
Show Figures

Figure 1

10 pages, 1176 KB  
Article
Creating New Forms of Hexaploid Triticale Associating Complete R and D Genomes
by Michel Bernard, Sylvie Bernard, Ekaterina Badaeva and Rolf Schlegel
Biology 2025, 14(11), 1632; https://doi.org/10.3390/biology14111632 - 20 Nov 2025
Viewed by 442
Abstract
Triticale, a man-made cereal, has been grown worldwide since the 1980s in order to replace established cereals in difficult areas, at least partially. The present cultivars are mostly hexaploid genotypes with 42 chromosomes, of genomic structure AA BB RR. Their agricultural performance does [...] Read more.
Triticale, a man-made cereal, has been grown worldwide since the 1980s in order to replace established cereals in difficult areas, at least partially. The present cultivars are mostly hexaploid genotypes with 42 chromosomes, of genomic structure AA BB RR. Their agricultural performance does not meet all breeding requirements. In particular, some technological characteristics are inadequate compared to tetraploid (durum) and hexaploid (soft) wheats. Therefore, we aimed to find ways to improve modern triticale varieties by targeted introgression with genes and even chromosomes from wheat, in particular, from the D genome. Through appropriate bridge crossings and embryo culture technique and under cytogenetic control, a series of new stable hexaploid lines with reasonable agronomic stability were finally produced. All of them carried a complete D sub-genome, a complete R sub-genome, plus a mixed genome consisting of various combinations of chromosomes derived from the A and B genomes representing the seven homoeologous groups. It is clear that such mixed genomes can be of genetic and breeding significance. These large introgression lines demonstrate the flexibility of genome organization and offer the opportunity for further regulatory and genetic optimization. Full article
(This article belongs to the Collection Crop Improvement Now and Beyond)
Show Figures

Figure 1

7 pages, 1011 KB  
Case Report
Possible Involvement of Circulating Immune Complex Containing IgG4 in the Pathogenesis of IgG4-Related Disease Complicated by Hypocomplementemia: A Case Report
by Takahiro Uchida, Yuka Miyake, Sachiko Iwama, Ken Aoki, Dan Inoue, Muneharu Yamada and Takashi Oda
Int. J. Mol. Sci. 2025, 26(21), 10687; https://doi.org/10.3390/ijms262110687 - 3 Nov 2025
Viewed by 573
Abstract
Studies examining IgG subclasses within circulating immune complexes (CICs) in patients with IgG4-related disease remain scarce. A Japanese man in his 50s with a history of diabetes mellitus and chronic pancreatitis was referred to our department because of an increase in serum creatinine [...] Read more.
Studies examining IgG subclasses within circulating immune complexes (CICs) in patients with IgG4-related disease remain scarce. A Japanese man in his 50s with a history of diabetes mellitus and chronic pancreatitis was referred to our department because of an increase in serum creatinine levels. Serum IgG and IgG4 levels were markedly high, accompanied by eosinophilia and elevated serum IgE levels. C3 hypocomplementemia and an increase in CICs were also noted, and imaging revealed swollen mediastinal lymph nodes. Renal biopsy revealed extensive tubulointerstitial nephritis with numerous IgG4-positive plasma cells and dense interstitial fibrosis. The patient was diagnosed with IgG4-related disease, and glucocorticoid therapy was initiated; renal function, serological abnormalities, and swelling of the mediastinal lymph nodes improved. Subsequent analyses revealed that the patient’s CICs mainly comprised IgG4 and that there was tubular deposition of complement components C1q, C4d, C3, and C5b-9 in the renal biopsy tissue, suggesting that immune complexes containing IgG4 activated the complement pathway in circulation and locally in the kidneys. Hypocomplementemia and CICs are observed in a subset of patients with IgG4-related diseases; however, the underlying mechanisms remain unclear. Further accumulation of IgG4-related disease cases is required to evaluate the possibility of IgG4-mediated complement activation. Full article
(This article belongs to the Special Issue The Innate Immune System in Renal Diseases)
Show Figures

Figure 1

21 pages, 2426 KB  
Article
Estimating River Discharge from Remotely Sensed River Widths in Arid Regions of the Northern Slope of Kunlun Mountain
by Zhixiong Wei, Yaning Chen, Gonghuan Fang, Yonghui Wang, Yupeng Li, Chuanxiu Liu and Jiaorong Qian
Water 2025, 17(21), 3105; https://doi.org/10.3390/w17213105 - 30 Oct 2025
Viewed by 938
Abstract
Arid-region water resource management is hindered by severely inadequate river discharge monitoring, with effective observations of hydrological processes particularly lacking in narrow river channels. To overcome this bottleneck, this study proposes an integrated multi-model remote sensing retrieval framework and systematically evaluates the applicability [...] Read more.
Arid-region water resource management is hindered by severely inadequate river discharge monitoring, with effective observations of hydrological processes particularly lacking in narrow river channels. To overcome this bottleneck, this study proposes an integrated multi-model remote sensing retrieval framework and systematically evaluates the applicability of Manning’s equation, the At-Many-Stations Hydraulic Geometry (AHG) model, and the AHG’s relaxed form (AMHG) in typical arid-region rivers on the northern slope of the Kunlun Mountains. Runoff was estimated by integrating multi-source remote sensing imagery (Sentinel-2, Landsat-8, and Gaofen-1) on the Google Earth Engine platform and combining it with genetic algorithms for parameter optimization. The results indicate that Manning’s equation performed the best overall (RMSE = 21.78 m3/s, NSE = 0.94) and was highly robust to river width extraction errors, with Manning’s roughness coefficient having a significantly greater impact than the hydraulic slope. The AHG model can construct long-term discharge series based on limited measured data but is sensitive to the accuracy of river width extraction. Although the AMHG model improved the retrieval performance, its effectiveness was constrained by systematic biases in proxy variables. The study also found that the AHG exponent b in the rivers of this region exhibits high stability (coefficient of variation < 0.09), providing a theoretical basis for constructing a sustainable discharge monitoring system. The integrated method developed in this study offers a reliable technical pathway for dynamic hydrological monitoring and quantitative water resource management in data-scarce arid regions. Full article
(This article belongs to the Section Hydrology)
Show Figures

Figure 1

12 pages, 2038 KB  
Systematic Review
Thromboembolic Risk After Total Hip Replacement Versus Hemiarthroplasty in Femoral Neck Fracture Patients: A Systematic Review and Meta-Analysis
by Ibrahim A. Hakami, Mohammed A. Altammar, Shafi A. Alaklabi, Meshari M. Alotaibi, Saleh N. Almunyif, Mohammed I. Alshuwaier, Sultan T. Alobaysi, Sultan S. Aldalbahi, Abdullah H. Alotaibi, Mohammed M. Alotaibi, Omar S. Alobaysi, Moath T. Aladhyani and Mohammad A. Jareebi
Medicina 2025, 61(11), 1929; https://doi.org/10.3390/medicina61111929 - 28 Oct 2025
Viewed by 668
Abstract
Background and Objectives: Femoral neck fractures are common among elderly patients and are typically managed surgically to restore mobility and reduce complications. Total Hip Replacement (THR) and Hemiarthroplasty (HA) are standard interventions. While both procedures are widely used, the comparative risks of [...] Read more.
Background and Objectives: Femoral neck fractures are common among elderly patients and are typically managed surgically to restore mobility and reduce complications. Total Hip Replacement (THR) and Hemiarthroplasty (HA) are standard interventions. While both procedures are widely used, the comparative risks of thromboembolic complications remain unclear. This study aimed to systematically compare the risk of Venous Thromboembolism (VTE), including Deep Vein Thrombosis (DVT), Pulmonary Embolism (PE), and Arterial Thromboembolic events in patients undergoing THR versus hemiarthroplasty for femoral neck fractures. Materials and Methods: A comprehensive literature search was conducted in PubMed, Web of Science, Google Scholar, and OVID-Medline for studies published between 2000 and 2024. Eligible studies included patients aged ≥50 years with femoral neck fractures treated with THR or Hemiarthroplasty and reported thromboembolic outcomes. Risk of bias was assessed using the Newcastle–Ottawa Scale and the RoB 2 tools. Meta-analysis was performed using RevMan software (Version 5.4). Results: Twelve studies were included in the systematic review, and ten in the meta-analysis, encompassing over 160,000 patients. THR was associated with a significantly increased risk of DVT (RR = 1.53; 95% CI: 1.40–1.68, p = 0.00001) and combined VTE (RR = 1.48; 95% CI: 1.36–1.61, p = 0.00001) compared to HA. No significant difference was observed in PE risk. Interestingly, THR was linked to a lower risk of Arterial Thromboembolic events, such as Ischemic Stroke. Conclusions: Compared with Hemiarthroplasty, THR increases the risk of VTE, including DVT, with no increased risk of PE. Surgical decisions should be guided by individual patients’ risk factors for thrombotic and cardiovascular events. Full article
(This article belongs to the Special Issue Techniques, Risks and Recovery of Hip Surgery)
Show Figures

Figure 1

Back to TopTop