Sign in to use this feature.

Years

Between: -

Subjects

remove_circle_outline
remove_circle_outline
remove_circle_outline
remove_circle_outline
remove_circle_outline
remove_circle_outline
remove_circle_outline
remove_circle_outline
remove_circle_outline

Journals

Article Types

Countries / Regions

Search Results (45)

Search Parameters:
Keywords = Lepidium meyenii

Order results
Result details
Results per page
Select all
Export citation of selected articles as:
19 pages, 813 KB  
Review
Maca (Lepidium meyenii) as a Functional Food and Dietary Supplement: A Review on Analytical Studies
by Andreas Wasilewicz and Ulrike Grienke
Foods 2026, 15(2), 306; https://doi.org/10.3390/foods15020306 - 14 Jan 2026
Abstract
Maca (Lepidium meyenii Walp.), a Brassicaceae species native to the high Andes of Peru, has gained global attention as a functional food and herbal medicinal product due to its endocrine-modulating, fertility-enhancing, and neuroprotective properties. Although numerous studies have addressed its biological effects, [...] Read more.
Maca (Lepidium meyenii Walp.), a Brassicaceae species native to the high Andes of Peru, has gained global attention as a functional food and herbal medicinal product due to its endocrine-modulating, fertility-enhancing, and neuroprotective properties. Although numerous studies have addressed its biological effects, a systematic and up-to-date summary of its chemical constituents and analytical methodologies is lacking. This review aims to provide a critical overview of the chemical constituents of L. meyenii and to evaluate analytical studies published between 2000 and 2025, focusing on recent advances in extraction strategies and qualitative and quantitative analytical techniques for quality control. Major compound classes include macamides, macaenes, glucosinolates, and alkaloids, each contributing to maca’s multifaceted activity. Ultra-(high-)performance liquid chromatography (U(H)PLC), often coupled with ultraviolet, diode array, or mass spectrometric detection, is the primary and most robust analytical platform due to its sensitivity, selectivity, and throughput, while ultrasound-assisted extraction improves efficiency and reproducibility. Emerging techniques such as metabolomics and chemometric approaches enhance quality control by enabling holistic, multivariate assessment of complex systems and early detection of variations not captured by traditional univariate methods. As such, they provide complementary, predictive, and more representative insights into maca’s phytochemical complexity. The novelty of this review lies in its integration of conventional targeted analysis with emerging approaches, comprehensive comparison of analytical workflows, and critical discussion of variability related to phenotype, geographic origin, and post-harvest processing. By emphasizing analytical standardization and quality assessment rather than biological activity alone, this review provides a framework for quality control, authentication, and safety evaluation of L. meyenii as a functional food and dietary supplement. Full article
Show Figures

Figure 1

23 pages, 2829 KB  
Article
Purification of Lepidilines A, B, C, and D from Lepidium meyenii Walpers by Centrifugal Partition Chromatography Followed by Semi-Preparative HPLC and Preliminary Evaluation of Anticancer Activity Against Neuroblastoma Cell Lines
by Dominik Tarabasz, Estera Okoń, Anna Wawruszak, Stavros Beteinakis, Apostolis Angelis, Henry O. Meissner, Leandros A. Skaltsounis and Wirginia Kukula-Koch
Molecules 2025, 30(22), 4360; https://doi.org/10.3390/molecules30224360 - 11 Nov 2025
Viewed by 639
Abstract
Lepidium meyenii Walpers (syn. Lepidium peruvianum Chacon) has been cultivated for centuries in the Peruvian Andes as both a vegetable and a traditional medicine resource. Maca is classified as a superfood and is widely used as a dietary supplement, particularly noted for its [...] Read more.
Lepidium meyenii Walpers (syn. Lepidium peruvianum Chacon) has been cultivated for centuries in the Peruvian Andes as both a vegetable and a traditional medicine resource. Maca is classified as a superfood and is widely used as a dietary supplement, particularly noted for its potential to enhance endurance, fertility, and endocrine balance. In recent years, there has been a growing interest in the cytotoxic effects of lepidilines and their derivatives; however, these compounds have been less extensively studied due to challenges associated with their isolation. This study aims to establish optimal extraction conditions to enrich lepidiline content in the extracts and to propose an efficient isolation method for four lepidilines using a green purification technique known as Centrifugal Partition Chromatography (CPC). The isolated compounds will be evaluated for their anticancer potential utilizing the MTT assay on SK-N-SH (ATCC® HTB-11™) and SK-N-AS (ATCC® CRL-2137™) neuroblastoma cell lines. The findings indicate that Soxhlet extraction with dichloromethane resulted in the highest recovery of lepidilines, with a content of 10.24% expressed as lepidiline A. The optimal biphasic solvent mixture suitable for CPC chromatographic applications was identified as a combination of chloroform, methanol, and water (4:3:2 v/v/v) containing 60 mM HCl. When utilized in conjunction with semi-preparative high-performance liquid chromatography (HPLC), this method successfully isolated lepidilines A–D, achieving a purity exceeding 95%. Notably, lepidiline B exhibited the highest cytotoxic potential, with an IC50 value of 14.85 µg/mL in SK-N-AS cells. Full article
Show Figures

Figure 1

22 pages, 2773 KB  
Article
Antioxidant, Neuroprotective, and Antinociceptive Effects of Peruvian Black Maca (Lepidium meyenii Walp.)
by Iván M. Quispe-Díaz, Roberto O. Ybañez-Julca, Daniel Asunción-Alvarez, Cinthya Enriquez-Lara, José L. Polo-Bardales, Rafael Jara-Aguilar, Edmundo A. Venegas-Casanova, Ricardo D. D. G. de Albuquerque, Noé Costilla-Sánchez, Edison Vásquez-Corales, Pedro Buc Calderon and Julio Benites
Antioxidants 2025, 14(10), 1214; https://doi.org/10.3390/antiox14101214 - 8 Oct 2025
Viewed by 2186
Abstract
Lepidium meyenii Walp. (black maca, BM) is a traditional Andean crop increasingly studied for its bioactive potential. This work characterized the phytochemical profile and evaluated the antioxidant, antinociceptive, and neuroprotective properties of a lyophilized aqueous extract of BM hypocotyls. UHPLC-ESI-QTOF-MS/MS identified twelve major [...] Read more.
Lepidium meyenii Walp. (black maca, BM) is a traditional Andean crop increasingly studied for its bioactive potential. This work characterized the phytochemical profile and evaluated the antioxidant, antinociceptive, and neuroprotective properties of a lyophilized aqueous extract of BM hypocotyls. UHPLC-ESI-QTOF-MS/MS identified twelve major compounds, including macamides, imidazole alkaloids, sterols, and fatty acid amides. BM showed a moderate total phenolic content but strong electron transfer-based antioxidant activity in CUPRAC and FRAP assays, together with moderate radical scavenging capacity in ABTS and DPPH systems. In ovariectomized rats, BM significantly reduced brain malondialdehyde levels, mitigated oxidative stress, and improved spatial learning during acquisition in the Morris water maze, confirming its neuroprotective effect. Antinociceptive assays (hot plate, cold plate, and tail immersion) further revealed a rapid but transient increase in nociceptive thresholds. This study provides experimental evidence supporting the analgesic effect of black maca. Molecular docking highlighted lepidiline B and campesterol as key metabolites with strong interactions with redox enzymes, the μ-opioid receptor, and the FAAH enzyme, supporting their role in the observed bioactivities. ADMET predictions indicated favorable oral bioavailability, CNS penetration, systemic clearance, and acceptable safety profiles. These results substantiate the role of black maca as a neuroprotective nutraceutical and highlight its promise as a novel source of rapidly acting natural analgesic compounds. Full article
Show Figures

Figure 1

27 pages, 5128 KB  
Article
Lepidium meyenii Walpers Promotes the Regeneration of Salivary Gland and Prevents Xerostomia After Irradiation Injury
by Yi-Ting Tsai, Yuan-Chuan Lin, Ming-Jen Cheng, Chun-Ming Shih, Chien-Sung Tsai, Ze-Hao Lai, Ching-Yi Wu, Chen-Wei Liu, Feng-Yen Lin and Yi-Wen Lin
Nutrients 2025, 17(19), 3033; https://doi.org/10.3390/nu17193033 - 23 Sep 2025
Viewed by 1565
Abstract
Objectives: Lepidium meyenii Walpers (LMW), a high-altitude plant, is known to stimulate hormone release, counteract neurodegeneration, and protect against oxidative stress. Saliva is vital for oral health, and reduced production leads to xerostomia, often caused by aging, radiation, or Sjögren’s syndrome. Key pathological [...] Read more.
Objectives: Lepidium meyenii Walpers (LMW), a high-altitude plant, is known to stimulate hormone release, counteract neurodegeneration, and protect against oxidative stress. Saliva is vital for oral health, and reduced production leads to xerostomia, often caused by aging, radiation, or Sjögren’s syndrome. Key pathological features include mesenchymal fibrosis and acinar atrophy, largely regulated by the TGF-β1 pathway. Current treatments are limited, with many patients relying on artificial saliva. Developing therapies to restore salivary function could offer significant benefits. Methods: In this study, we assessed the protective effects of LMW extract (LMWE) in irradiated C57BL/6J mice and TGF-β1-treated rat parotid acinar cells (Par-C10) using histological, molecular, bioenergetic, and 3D organoid analyses to evaluate salivary gland regeneration and lineage-specific differentiation. Results: LMWE significantly restored gland weight, shortened secretion lag time, and increased amylase activity in irradiated mice. Histological and molecular analyses showed reduced acinar atrophy and fibrosis, preservation of epithelial polarity, and upregulation of Mist1, AQP5, and amylase. In vitro, LMWE protected Par-C10 cells from TGF-β1-induced senescence, preserved mitochondrial membrane potential, and improved epithelial barrier function. In 3D organoid cultures of Par-C10 cells embedded in matrix, (1E,4Z)-1-(2,4-dihydroxyphenyl)-5-(3,4-dihydroxyphenyl) penta-1,4-dien-3-one (DHPPD) and (Z)-N-phenyldodec-2-enamide (E4Z-PD)-selectively enhanced acinar and ductal lineage differentiation, respectively. Conclusions: These results suggest that LMWE promotes salivary gland regeneration through antioxidative and lineage-specific mechanisms and may represent a safe and effective therapeutic strategy for xerostomia. Full article
(This article belongs to the Special Issue Diet and Oral Health)
Show Figures

Figure 1

13 pages, 652 KB  
Article
Optimization of Deep Eutectic Solvent-Based Ultrasound-Assisted Extraction of Bioactive Compounds from Maca Leaves Using the Taguchi Method
by Eun Ji Lee and Kyung Young Yoon
Molecules 2025, 30(7), 1635; https://doi.org/10.3390/molecules30071635 - 6 Apr 2025
Cited by 1 | Viewed by 1353
Abstract
This study was conducted to identify the optimal conditions and evaluate the feasibility of deep eutectic solvent (DES)-based ultrasound-assisted extraction (UAE) for utilizing maca (Lepidium meyenii) leaves, an agricultural by-product, as functional materials. The extraction parameters influencing the recovery of saponins [...] Read more.
This study was conducted to identify the optimal conditions and evaluate the feasibility of deep eutectic solvent (DES)-based ultrasound-assisted extraction (UAE) for utilizing maca (Lepidium meyenii) leaves, an agricultural by-product, as functional materials. The extraction parameters influencing the recovery of saponins and polyphenols, which are major bioactive compounds, were analyzed using the Taguchi method. Results: Signal-to-noise ratios and analysis of variance indicated that the liquid–solid ratio was the most critical factor for optimizing the extraction process. The optimal extraction conditions were determined to be a liquid–solid ratio of 40 mL/g, a water content in DES of 30%, an extraction time of 30 min, and an ultrasonic power of 300 W in the DES system consisting of choline chloride and glycerin in the molar ratio of 1:2. Maca leaf extract obtained under optimized DES-based UAE conditions exhibited higher bioactive compounds content and antioxidant activity compared with that obtained by hot water extraction. Therefore, the DES-based UAE method is a promising, eco-friendly alternative for extracting bioactive compounds from maca leaves. Full article
Show Figures

Graphical abstract

16 pages, 1141 KB  
Article
Using Immunoliposomes as Carriers to Enhance the Therapeutic Effectiveness of Macamide N-3-Methoxybenzyl-Linoleamide
by Karin J. Vera-López, María Aranzamendi-Zenteno, Gonzalo Davila-Del-Carpio and Rita Nieto-Montesinos
Neurol. Int. 2025, 17(3), 38; https://doi.org/10.3390/neurolint17030038 - 3 Mar 2025
Cited by 3 | Viewed by 1964
Abstract
Background/Objectives: Epilepsy is one of the most common chronic neurological disorders, characterized by alterations in neuronal electrical activity that result in recurrent seizures and involuntary body movements. Anticonvulsants are the primary treatment for this condition, helping patients improve their quality of life. However, [...] Read more.
Background/Objectives: Epilepsy is one of the most common chronic neurological disorders, characterized by alterations in neuronal electrical activity that result in recurrent seizures and involuntary body movements. Anticonvulsants are the primary treatment for this condition, helping patients improve their quality of life. However, the development of new drugs with fewer side effects and greater economic accessibility remains a key focus in nanomedicine. Macamides, secondary metabolites derived from Maca (Lepidium meyenii), represent a promising class of novel drugs with diverse therapeutic applications, particularly in the treatment of neurological disorders. Methods: In this study, we optimized the potential of the macamide N-3-methoxybenzyl-linoleamide (3-MBL) as an anticonvulsant agent through its encapsulation in PEGylated liposomes conjugated with OX26 F(ab′)2 fragments. Results: These immunoliposomes exhibited a size of 120.52 ± 9.46 nm and a zeta potential of −8.57 ± 0.80 mV. Furthermore, in vivo tests using a pilocarpine-induced status epilepticus model revealed that the immunoliposomes provided greater efficacy against epileptic seizures compared to the free form of N-3-methoxybenzyl-linoleamide at the same dose. Notably, the observed anticonvulsant effect was comparable to that of carbamazepine, a traditional FDA-approved antiepileptic drug. Conclusions: This pioneering work employs liposomal nanocarriers to deliver macamides to the brain, aiming to set a new standard for the use of modified liposomes in anticonvulsant epilepsy treatment. Full article
Show Figures

Figure 1

13 pages, 2685 KB  
Article
The Effects of Peruvian maca (Lepidium meyenii) Root Extract on In Vitro Cultured Porcine Fibroblasts and Adipocytes
by Weronika Loba-Pasternak, Mehmet Onur Aksoy, Kinga Stuper-Szablewska, Lidia Szwajkowska-Michalek, Pawel Kolodziejski, Izabela Szczerbal and Joanna Nowacka-Woszuk
Molecules 2025, 30(4), 847; https://doi.org/10.3390/molecules30040847 - 12 Feb 2025
Viewed by 6643
Abstract
Peruvian maca (Lepidium meyenii) is a plant known for its nutritional and medicinal properties whose use as a supplement in animal diets has attracted much interest. We studied the effects of powdered maca root extract on the growth potential of in [...] Read more.
Peruvian maca (Lepidium meyenii) is a plant known for its nutritional and medicinal properties whose use as a supplement in animal diets has attracted much interest. We studied the effects of powdered maca root extract on the growth potential of in vitro cultured porcine cells prior to its use as an additive in animal nutrition. Fibroblast cell viability (MTT), cell proliferation (BrdU), and apoptosis level (TUNEL) were measured for a range of extract doses (0, 0.5, 1.0, 2.0, 3.0, 4.0, 5.0, 7.0, and 10 mg/mL). Transcript levels of CCND1, MCM2, and PCNA genes as molecular markers of cell proliferation were also determined. Next, the effects of maca extract at 2 and 5 mg/mL on in vitro induced adipogenesis were evaluated over eight days of differentiation. The transcript levels of three adipocyte marker genes (CEBPA, PPARG, and FABPB4) were measured at days 0, 4, and 8 of adipose differentiation, and lipid droplet accumulation (BODIPY staining) was also noted. No cytotoxic effect was detected on fibroblast cell viability, and the inhibitory concentration (IC50) value was determined to be IC50 > 10 mg/mL. Doses of maca extract above 3 mg/mL decreased cell proliferation. The transcript level decreased in concentrations above 5 for the MCM2 and PCNA genes. For the CCND1 gene, the transcript level decreased when the greatest maca dose was used. In the in vitro adipogenesis experiment, it was found that the rate of lipid droplet formation increased on day 4 of differentiation for both doses, while decreased lipid droplet formation was observed on day 8 for 5 mg/mL of maca extract. Significant changes were seen in the mRNA level for CEBPA and PPARG on days 4 and 8, while the transcript of FABP4 increased only on day 8 at 2 mg/mL dose. It can be concluded that the addition of Peruvian maca in small doses (<3 mg/mL) has no negative effect on porcine fibroblast growth or proliferation, while 2 mg/mL of maca extract enhances adipocyte differentiation. Full article
Show Figures

Figure 1

22 pages, 30933 KB  
Article
A Theoretical Study on the Efficacy and Mechanism of Combined YAP-1 and PARP-1 Inhibitors in the Treatment of Glioblastoma Multiforme Using Peruvian Maca Lepidium meyenii
by Albert Gabriel Turpo-Peqqueña, Sebastian Luna-Prado, Renato Javier Valencia-Arce, Fabio Leonardo Del-Carpio-Carrazco and Badhin Gómez
Curr. Issues Mol. Biol. 2025, 47(1), 40; https://doi.org/10.3390/cimb47010040 - 9 Jan 2025
Viewed by 2471
Abstract
Glioblastoma multiforme (GBM) is one of the most aggressive and treatment-resistant forms of brain cancer. Current therapeutic strategies, including surgery, chemotherapy, and radiotherapy, often fail due to the tumor’s ability to develop resistance. The proteins YAP-1 (Yes-associated protein 1) and PARP-1 (Poly-(ADP-ribose)–polymerase-1) have [...] Read more.
Glioblastoma multiforme (GBM) is one of the most aggressive and treatment-resistant forms of brain cancer. Current therapeutic strategies, including surgery, chemotherapy, and radiotherapy, often fail due to the tumor’s ability to develop resistance. The proteins YAP-1 (Yes-associated protein 1) and PARP-1 (Poly-(ADP-ribose)–polymerase-1) have been implicated in this resistance, playing crucial roles in cell proliferation and DNA repair mechanisms, respectively. This study explored the inhibitory potential of natural compounds from Lepidium meyenii (Peruvian Maca) on the YAP-1 and PARP-1 protein systems to develop novel therapeutic strategies for GBM. By molecular dynamics simulations, we identified N-(3-Methoxybenzyl)-(9Z,12Z,15Z)- octadecatrienamide (DK5) as the most promising natural inhibitor for PARP-1 and stearic acid (GK4) for YAP-1. Although synthetic inhibitors, such as Olaparib (ODK) for PARP-1 and Verteporfin (VER) for YAP-1, only VER was superior to the naturally occurring molecule and proved a promising alternative. In conclusion, natural compounds from Lepidium meyenii (Peruvian Maca) offer a potentially innovative approach to improve GBM treatment, complementing existing therapies with their inhibitory action on PARP-1 and YAP-1. Full article
(This article belongs to the Section Molecular Pharmacology)
Show Figures

Figure 1

24 pages, 2523 KB  
Review
Effects of Maca (Lepidium meyenii Walp.) on Physical Performance in Animals and Humans: A Systematic Review and Meta-Analysis
by Álvaro Huerta Ojeda, Javiera Rodríguez Rojas, Jorge Cancino-López, Guillermo Barahona-Fuentes, Leonardo Pavez, María-Mercedes Yeomans-Cabrera and Carlos Jorquera-Aguilera
Nutrients 2025, 17(1), 107; https://doi.org/10.3390/nu17010107 - 30 Dec 2024
Cited by 3 | Viewed by 18213
Abstract
Background: Lepidium meyenii Walp. (LmW), known as maca, has been shown to increase physical performance. However, the effect size (ES) of LmW on the different manifestations of physical performance has not yet been described. Objectives: To examine and qualitatively describe the studies published [...] Read more.
Background: Lepidium meyenii Walp. (LmW), known as maca, has been shown to increase physical performance. However, the effect size (ES) of LmW on the different manifestations of physical performance has not yet been described. Objectives: To examine and qualitatively describe the studies published up to 2024 that employed LmW supplementation to increase physical performance in animal and human experimentation. In addition, the ES associated with the different interventions was calculated. Methods: The research followed PRISMA® guidelines for systematic reviews and meta-analyses, using Web of Science, Scopus, SPORTDiscus, PubMed, and MEDLINE databases until 2024. Randomized controlled studies with a pre- and post-test design, conducted both in vitro and in vivo in animals and humans, were included. Methodological quality assessment was performed using the CAMARADES tool for animal studies and the Newcastle Ottawa Scale for human studies. The main variables were the forced swimming test (FST), the rota-rod test (RRT), the grip strength test (GST), blood lactic acid (BLA), and lactic acid (LA). The analysis was conducted with a pooled standardized mean difference (SMD) through Hedges’ g test (95% CI). Results: Twenty-one studies were included in the systematic review and sixteen in the meta-analysis. They revealed a large effect for all outcomes (SMD: FST = 2.26, RRT = 6.26, GST = 5.23, LA = −1.01, and BLA = −1.70). Conclusions: The phytochemical compounds of LmW, mainly macamides, increase physical performance, showing a greater effect at higher doses (dose–response effect). Full article
(This article belongs to the Section Sports Nutrition)
Show Figures

Figure 1

15 pages, 16719 KB  
Review
Macamides as Potential Therapeutic Agents in Neurological Disorders
by Karin J. Vera-López, Gonzalo Davila-Del-Carpio and Rita Nieto-Montesinos
Neurol. Int. 2024, 16(6), 1611-1625; https://doi.org/10.3390/neurolint16060117 - 21 Nov 2024
Cited by 5 | Viewed by 3915
Abstract
Therapeutic treatment of nervous system disorders has represented one of the significant challenges in medicine for the past several decades. Technological and medical advances have made it possible to recognize different neurological disorders, which has led to more precise identification of potential therapeutic [...] Read more.
Therapeutic treatment of nervous system disorders has represented one of the significant challenges in medicine for the past several decades. Technological and medical advances have made it possible to recognize different neurological disorders, which has led to more precise identification of potential therapeutic targets, in turn leading to research into developing drugs aimed at these disorders. In this sense, recent years have seen an increase in exploration of the therapeutic effects of various metabolites extracted from Maca (Lepidium meyenii), a plant native to the central alpine region of Peru. Among the most important secondary metabolites contained in this plant are macamides, molecules derived from N-benzylamides of long-chain fatty acids. Macamides have been proposed as active drugs to treat some neurological disorders. Their excellent human tolerance and low toxicity along with neuroprotective, immune-enhancing, and and antioxidant properties make them ideal for exploration as therapeutic agents. In this review, we have compiled information from various studies on macamides, along with theories about the metabolic pathways on which they act. Full article
Show Figures

Figure 1

26 pages, 3835 KB  
Article
Lepidium peruvianum as a Source of Compounds with Anticancer and Cosmetic Applications
by Dorota Kasprzak, Katarzyna Gaweł-Bęben, Wirginia Kukula-Koch, Marcelina Strzępek-Gomółka, Anna Wawruszak, Sylwia Woźniak, Marcelina Chrzanowska, Karolina Czech, Julia Borzyszkowska-Bukowska, Kazimierz Głowniak, Dariusz Matosiuk, Rita Cristina Orihuela-Campos, Barbara Jodłowska-Jędrych, Tomasz Laskowski and Henry O. Meissner
Int. J. Mol. Sci. 2024, 25(19), 10816; https://doi.org/10.3390/ijms251910816 - 8 Oct 2024
Viewed by 2186
Abstract
Lepidium peruvianum—an edible herbaceous biennial plant distributed in the Andes—has been used for centuries as food and as a natural medicine in treating hormonal disorders, as an antidepressant, and as an anti-osteoporotic agent. The presented study aims to prove its beneficial cosmetic [...] Read more.
Lepidium peruvianum—an edible herbaceous biennial plant distributed in the Andes—has been used for centuries as food and as a natural medicine in treating hormonal disorders, as an antidepressant, and as an anti-osteoporotic agent. The presented study aims to prove its beneficial cosmetic and chemopreventive properties by testing the antiradical, whitening, cytotoxic, and anticancer properties of differently colored phenotypes that were extracted using three solvents: methanol, water, and chloroform, with the help of the chemometric approach to provide evidence on the impact of single glucosinolanes (seven identified compounds in the HPLC-ESI-QTOF-MS/MS analysis) on the biological activity of the total extracts. The tested extracts exhibited moderate antiradical activity, with the methanolic extract from yellow and grey maca phenotypes scavenging 49.9 ± 8.96% and 48.8% ± 0.44% of DPPH radical solution at a concentration of 1 mg/mL, respectively. Grey maca was the most active tyrosinase inhibitor, with 72.86 ± 3.42% of the enzyme activity calculated for the water extract and 75.66 ± 6.21% for the chloroform extract. The studies in cells showed no cytotoxicity towards the human keratinocyte line HaCaT in all studied extracts and a marked inhibition of cell viability towards the G361 melanoma cell line, which the presence of pent-4-enylglucosinolate, glucotropaeolin, and glucoalyssin in the samples could have caused. Given all biological activity tests combined, the three mentioned compounds were shown to be the most significant positive contributors to the results obtained, and the grey maca water extract was found to be the best source of the former compound among the tested samples. Full article
(This article belongs to the Section Bioactives and Nutraceuticals)
Show Figures

Figure 1

28 pages, 2428 KB  
Review
The Effects of Maca (Lepidium meyenii Walp) on Cellular Oxidative Stress: A Systematic Review and Meta-Analysis
by Álvaro Huerta Ojeda, Javiera Rodríguez Rojas, Jorge Cuevas Guíñez, Stephanie Ciriza Velásquez, Jorge Cancino-López, Guillermo Barahona-Fuentes, María-Mercedes Yeomans-Cabrera, Leonardo Pavez and Carlos Jorquera-Aguilera
Antioxidants 2024, 13(9), 1046; https://doi.org/10.3390/antiox13091046 - 28 Aug 2024
Cited by 3 | Viewed by 8126
Abstract
Lepidium meyenii Walp (LmW) or Maca, including its bioactive components such as macamides, among others, has demonstrated antioxidant effects. However, the effect size (ES) of LmW on oxidative stress has not been qualitatively described and calculated. The primary objective of this systematic review [...] Read more.
Lepidium meyenii Walp (LmW) or Maca, including its bioactive components such as macamides, among others, has demonstrated antioxidant effects. However, the effect size (ES) of LmW on oxidative stress has not been qualitatively described and calculated. The primary objective of this systematic review and meta-analysis was to review and qualitatively describe the studies published up to 2023 that supplemented LmW to control cellular oxidative stress; the secondary objective was to calculate the ES of the different interventions. The search was designed following the PRISMA® guidelines for systematic reviews and meta-analyses and performed in the Web of Science, Scopus, SPORTDiscus, PubMed, and MEDLINE until 2023. The selection of studies included randomized controlled trials, with tests and post-tests, both in vitro and in vivo in animals and humans. The methodological quality and risk of bias were evaluated with the CAMARADES tool. The main variables were reduced glutathione, glutathione peroxidase, superoxide dismutase, and malondialdehyde. The analysis was conducted with a pooled standardized mean difference (SMD) through Hedges’ g test (95% CI). Eleven studies were included in the systematic review and eight in the meta-analysis. They revealed a small effect for reduced glutathione (SMD = 0.89), a large effect for glutathione peroxidase (SMD = 0.96), a moderate effect for superoxide dismutase (SMD = 0.68), and a moderate effect for malondialdehyde (SMD = −0.53). According to the results, the phytochemical compounds of LmW effectively controlled cellular oxidative stress, mainly macamides. It was also determined that a higher dose of LmW generated a greater antioxidant effect. However, information concerning humans is scarce. Full article
(This article belongs to the Section Natural and Synthetic Antioxidants)
Show Figures

Figure 1

20 pages, 21549 KB  
Article
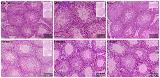
Phytochemical Evaluation of Lepidium meyenii, Trigonella foenum-graecum, Spirulina platensis, and Tribulus arabica, and Their Potential Effect on Monosodium Glutamate Induced Male Reproductive Dysfunction in Adult Wistar Rats
by Naglaa Gamil Shehab, Temidayo S. Omolaoye, Stefan S. Du Plessis, Surendra Singh Rawat, Nerissa Naidoo, Kholoud Y. Abushawish, Ayat Ahmed, Baraa Alaa, Heba Ihsan, Manar Abdelhalim, Mariam Ayman and Eslam El Nebrisi
Antioxidants 2024, 13(8), 939; https://doi.org/10.3390/antiox13080939 - 2 Aug 2024
Cited by 6 | Viewed by 6130
Abstract
Monosodium glutamate (MSG), a sodium salt derived from glutamic acid, is widely used in commercial food products to improve taste, quality, and preservation. However, its consumption may have detrimental effects on male reproductive function. Nevertheless, plant extracts, such as Lepidium meyenii (Maca), Trigonella [...] Read more.
Monosodium glutamate (MSG), a sodium salt derived from glutamic acid, is widely used in commercial food products to improve taste, quality, and preservation. However, its consumption may have detrimental effects on male reproductive function. Nevertheless, plant extracts, such as Lepidium meyenii (Maca), Trigonella foenum-graecum (Fenugreek), Spirulina platensis (Spirulina), and Tribulus arabica (Tribulus), may ameliorate these adverse effects. To this effect, the phytochemical properties of Lepidium meyenii, Trigonella foenum-graecum, Spirulina platensis, and Tribulus arabica were assessed, and their potential impact on MSG-induced impairment of reproductive parameters was examined. The phytochemical composition (steroids, terpenes, phenols, flavonoids) of the plants was profiled through spectrophotometry and the antioxidant activity was assessed using the 1,1-diphenyl-2-picrylhydrazyl (DPPH) radical scavenging assay. Thirty-six male Wistar rats were divided into six groups at random: a control group receiving distilled water, and five experimental groups (MSG, Maca, Fenugreek, Spirulina, and Tribulus) receiving 900 mg/kg/day of MSG dissolved in water for 45 days. Subsequently, the animals in the experimental groups were administered 500 mg/kg/day of the respective plant extract via oral gavage for an additional 35 days, while the MSG group continued to receive water only. Following the treatment period, the animals were sacrificed, and their reproductive tract organs were collected, weighed, and subjected to further analysis. Phytochemical analysis revealed the presence of diverse bioactive elements in the plant extracts, including phenolic and flavonoid compounds. Exposure to MSG negatively impacted total and progressive sperm motility, which was ameliorated by Lepidium meyenii treatment. Sperm morphology showed no significant differences among groups. Treatment of the phytochemical agents diminished histomorphometric alternations of the testicular length, germinal epithelium height, and number of cells in seminiferous tubules, which were caused by the initial administration of MSG. Testosterone and LH levels were reduced in the MSG group but improved in extract-treated groups. The study suggests Lepidium meyenii as a potential remedy for reproductive dysfunction. However, further investigation into its mechanisms and human safety and efficacy is warranted. Full article
Show Figures

Figure 1

46 pages, 3100 KB  
Review
Not All Maca Is Created Equal: A Review of Colors, Nutrition, Phytochemicals, and Clinical Uses
by Deanna M. Minich, Kim Ross, James Frame, Mona Fahoum, Wendy Warner and Henry O. Meissner
Nutrients 2024, 16(4), 530; https://doi.org/10.3390/nu16040530 - 14 Feb 2024
Cited by 14 | Viewed by 38832
Abstract
Maca (Lepidium meyenii, Lepidium peruvianum) is part of the Brassicaceae family and grows at high altitudes in the Peruvian Andes mountain range (3500–5000 m). Historically, it has been used as a nutrient-dense food and for its medicinal properties, primarily in [...] Read more.
Maca (Lepidium meyenii, Lepidium peruvianum) is part of the Brassicaceae family and grows at high altitudes in the Peruvian Andes mountain range (3500–5000 m). Historically, it has been used as a nutrient-dense food and for its medicinal properties, primarily in enhancing energy and fertility. Scientific research has validated these traditional uses and other clinical applications by elucidating maca’s mechanisms of action, nutrition, and phytochemical content. However, research over the last twenty years has identified up to seventeen different colors (phenotypes) of maca. The color, hypocotyl size, growing location, cultivation, and post-harvest processing methods can have a significant effect on the nutrition content, phytochemical profile, and clinical application. Yet, research differentiating the colors of maca and clinical applications remains limited. In this review, research on the nutrition, phytochemicals, and various colors of maca, including black, red, yellow (predominant colors), purple, gray (lesser-known colors), and any combination of colors, including proprietary formulations, will be discussed based on available preclinical and clinical trials. The gaps, deficiencies, and conflicts in the studies will be detailed, along with quality, safety, and efficacy criteria, highlighting the need for future research to specify all these factors of the maca used in publications. Full article
(This article belongs to the Special Issue Positive Effects of Phytonutrients on Human Health)
Show Figures

Graphical abstract

15 pages, 2486 KB  
Article
Effect of Atomized Black Maca (Lepidium meyenii) Supplementation in the Cryopreservation of Alpaca (Vicugna pacos) Epididymal Spermatozoa
by Gloria Levano, Juana Quispe, Diego Vargas, Marlon García, Alberto López, Luis Aguila and Martha Valdivia
Animals 2023, 13(13), 2054; https://doi.org/10.3390/ani13132054 - 21 Jun 2023
Cited by 4 | Viewed by 6086
Abstract
Artificial insemination is an important assisted reproductive technology that has been applied in several mammalian species. However, successful cryopreservation of semen of South American camelids has been limited, hindering the commercial application of artificial insemination in alpaca species. In this scenario, the addition [...] Read more.
Artificial insemination is an important assisted reproductive technology that has been applied in several mammalian species. However, successful cryopreservation of semen of South American camelids has been limited, hindering the commercial application of artificial insemination in alpaca species. In this scenario, the addition of antioxidants to semen extenders provides a strategy to improve the freezability of mammalian sperm. Bioactive metabolites from natural extracts of black maca have shown valuable antioxidant properties. Thus, the objective of this study was to evaluate the effect of the addition of atomized black maca in the freezing medium of epididymal spermatozoa of alpacas. Fifteen pairs of epididymis were collected from a local slaughterhouse. Each sample was divided into six groups: (1) fresh, (2) yolk medium (YM), (3) 10 mg/mL maca, (4) 20 mg/mL maca, (5) 30 mg/mL maca, and (6) resveratrol (as an antioxidant control). Sperm cryopreservation was performed through the slow freezing method. Markers associated with functionality, such as motility, viability, and plasma membrane integrity, as well as markers associated with oxidative damage, such as DNA integrity, total ROS production, and mitochondrial function, were analyzed. The results show that the supplementation with black maca (20 mg/mL) improved the sperm motility, viability, plasma membrane integrity, and mitochondrial function evaluated according to an index of formazan deposits. Similarly, the ROS production decreased with maca at 20 mg/mL, although the DNA integrity did not show any differences among the groups. These results suggest that maca at 20 mg/mL has cytoprotective effects during freezing/thawing of epididymal sperm of alpaca species. Further research will be focused on assessing the effects of maca supplementation on semen extenders by using biomolecular markers (proAKAP4) associated with fertility. Full article
(This article belongs to the Special Issue Recent Advances in Reproductive Biotechnologies)
Show Figures

Figure 1

Back to TopTop